JavaScript is disabled in your browser. Please enable JavaScript to view this website.
AB124729

Anti-CD168 antibody [EPR4054]

5

(2 Reviews)

|

(22 Publications)

Rabbit Recombinant Monoclonal CD168 antibody. Suitable for IP, WB, IHC-P and reacts with Human, Mouse, Rat samples. Cited in 22 publications.

View Alternative Names

CD168, IHABP, RHAMM, HMMR, Hyaluronan mediated motility receptor, Intracellular hyaluronic acid-binding protein, Receptor for hyaluronan-mediated motility

7 Images
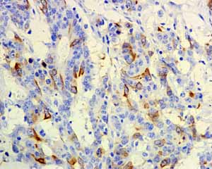
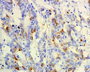
Immunohistochemistry (Formalin/PFA-fixed paraffin-embedded sections) - Anti-CD168 antibody [EPR4054] (AB124729)
  • IHC-P

Lab

Immunohistochemistry (Formalin/PFA-fixed paraffin-embedded sections) - Anti-CD168 antibody [EPR4054] (AB124729)

Immunohistochemistry (Formalin/PFA-fixed paraffin-embedded sections) analysis of Human gastric carcinoma tissue sections labeling CD168 with purified ab124729 at 1 : 250 dilution (7.7 μg/ml). Heat mediated antigen retrieval was performed using EDTA Buffer pH9.0. Tissue was counterstained with Hematoxylin. ImmunoHistoProbe one step HRP Polymer (ready to use) secondary antibody was used at 1 : 0 dilution. PBS instead of the primary antibody was used as the negative control.

Immunohistochemistry (Formalin/PFA-fixed paraffin-embedded sections) - Anti-CD168 antibody [EPR4054] (AB124729)
  • IHC-P

Unknown

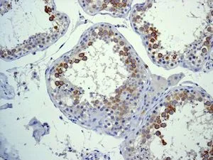
Immunohistochemistry (Formalin/PFA-fixed paraffin-embedded sections) - Anti-CD168 antibody [EPR4054] (AB124729)

Immunohistochemical analysis of paraffin-embedded human testis tissue using unpurified ab124729 at 1/50 - 1/100 dilution

Immunoprecipitation - Anti-CD168 antibody [EPR4054] (AB124729)
  • IP

Lab

Immunoprecipitation - Anti-CD168 antibody [EPR4054] (AB124729)

ab124729 (purified) at 1 : 100 dilution (2ug) immunoprecipitating CD168 in MCF-7 (Human breast adenocarcinoma epithelial cell) whole cell lysate.

Lane 1 (input) : MCF-7 (Human breast adenocarcinoma epithelial cell) whole cell lysate 10ug

Lane 2 (+) : ab124729 & MCF-7 (Human breast adenocarcinoma epithelial cell) whole cell lysate

Lane 3 (-) : Rabbit monoclonal IgG (ab172730) instead of ab124729 in MCF-7 (Human breast adenocarcinoma epithelial cell) whole cell lysate

For western blotting, VeriBlot for IP Detection Reagent (HRP) (ab131366) was used for detection at 1 : 1000 dilution.

Blocking and diluting buffer : 5% NFDM/TBST.

All lanes:

Immunoprecipitation - Anti-CD168 antibody [EPR4054] (ab124729)

Predicted band size: 84 kDa

Observed band size: 85 kDa

false

Western blot - Anti-CD168 antibody [EPR4054] (AB124729)
  • WB

Lab

Western blot - Anti-CD168 antibody [EPR4054] (AB124729)

5% NFDM/TBST

All lanes:

Western blot - Anti-CD168 antibody [EPR4054] (ab124729) at 1/1000 dilution

Lane 1:

MDA-MB-435 (Human mammary gland ductal carcinoma melanocyte) whole cell lysates at 20 µg

Lane 2:

RAW264.7 (Mouse Abelson murine leukemia virus-induced tumor macrophage) whole cell lysates at 15 µg

Lane 3:

PC-12 (Rat adrenal gland pheochromocytoma ) whole cell lysates at 15 µg

Secondary

All lanes:

Western blot - Goat Anti-Rabbit IgG H&L (HRP) (<a href='/en-us/products/secondary-antibodies/goat-rabbit-igg-h-l-hrp-ab97051'>ab97051</a>) at 1/20000 dilution

Predicted band size: 125 kDa,84 kDa

false

Western blot - Anti-CD168 antibody [EPR4054] (AB124729)
  • WB

Lab

Western blot - Anti-CD168 antibody [EPR4054] (AB124729)

Lane 1 : Wild type HAP1 whole cell lysate (20 μg)
Lane 2 : Empty
Lane 3 : CD168 knockout HAP1 whole cell lysate (20 μg)

Lanes 1 - 3 : Merged signal (red and green). Green - ab124729 observed at 90 kDa. Red - loading control, ab9484, observed at 37 kDa.

ab124729 was shown to specifically react with CD168 when CD168 knockout samples were used. Wild-type and CD168 knockout samples were subjected to SDS-PAGE. ab124729 and ab9484 (Mouse anti-GAPDH loading control) were incubated overnight at 4°C at a 1/1000 dilution and 1/10000 dilution respectively. Blots were developed with Goat anti-Rabbit IgG H&L (IRDye® 800CW) preabsorbed ab216773 and Goat anti-Mouse IgG H&L (IRDye® 680RD) preabsorbed ab216776 secondary antibodies at 1/20000 dilution for 1 hour at room temperature before imaging.

All lanes:

Western blot - Anti-CD168 antibody [EPR4054] (ab124729)

Predicted band size: 84 kDa

false

Western blot - Anti-CD168 antibody [EPR4054] (AB124729)
  • WB

Unknown

Western blot - Anti-CD168 antibody [EPR4054] (AB124729)

All lanes:

Western blot - Anti-CD168 antibody [EPR4054] (ab124729)

Lane 1:

MDA-MB-435 cell lysate at 10 µg

Lane 2:

LnCaP cell lysate at 10 µg

Lane 3:

T47-D cell lysate at 10 µg

Predicted band size: 84 kDa

false

OI-RD Scanning - Anti-CD168 antibody [EPR4054] (AB124729)
  • OI-RD Scanning

Unknown

OI-RD Scanning - Anti-CD168 antibody [EPR4054] (AB124729)

We have systematically measured KD (the equilibrium dissociation constant between the antibody and its antigen), of more than 840 recombinant antibodies to assess not only their individual KD values but also to see the average affinity of antibody. Based on the comparison with published literature values for mouse monoclonal antibodies, Recombinant antibodies appear to be on average 1-2 order of magnitude higher affinity.

  • Carrier free

    Anti-CD168 antibody [EPR4054] - Low endotoxin, Azide free

  • Carrier free

    Anti-CD168 antibody [EPR4054] - BSA and Azide free

  • 665 Alexa Fluor® 647

    Alexa Fluor® 647 Anti-CD168 antibody [EPR4054]

Key facts

Host species

Rabbit

Clonality

Monoclonal

Clone number

EPR4054

Isotype

IgG

Carrier free

No

Reacts with

Mouse, Rat, Human

Applications

WB, IP, IHC-P

applications

Immunogen

The exact immunogen used to generate this antibody is proprietary information.

Reactivity data

{ "title": "Reactivity Data", "filters": { "stats": ["", "Species", "Dilution Info", "Notes"], "tabs": { "all-applications": {"fullname" : "All Applications", "shortname": "All Applications"}, "ICCIF" : {"fullname" : "Immunocytochemistry/ Immunofluorescence", "shortname":"ICC/IF"}, "IP" : {"fullname" : "Immunoprecipitation", "shortname":"IP"}, "FlowCyt" : {"fullname" : "Flow Cytometry", "shortname":"Flow Cyt"}, "WB" : {"fullname" : "Western blot", "shortname":"WB"}, "IHCP" : {"fullname" : "Immunohistochemistry (Formalin/PFA-fixed paraffin-embedded sections)", "shortname":"IHC-P"} }, "product-promise": { "all": "all", "testedAndGuaranteed": "tested", "guaranteed": "expected", "predicted": "predicted", "notRecommended": "not-recommended" } }, "values": { "Human": { "ICCIF-species-checked": "notRecommended", "ICCIF-species-dilution-info": "", "ICCIF-species-notes": "<p></p>", "IP-species-checked": "testedAndGuaranteed", "IP-species-dilution-info": "1/10 - 1/100", "IP-species-notes": "<p></p>", "FlowCyt-species-checked": "notRecommended", "FlowCyt-species-dilution-info": "", "FlowCyt-species-notes": "<p></p>", "WB-species-checked": "testedAndGuaranteed", "WB-species-dilution-info": "1/1000", "WB-species-notes": "<p><strong>For unpurified use at 1/1000 - 1/10000.</strong></p>", "IHCP-species-checked": "testedAndGuaranteed", "IHCP-species-dilution-info": "1/250", "IHCP-species-notes": "<p><strong>For unpurified use at 1/50 - 1/100.</strong></p><p>Antigen retrieval is recommended</p> Perform heat-mediated antigen retrieval with Tris/EDTA buffer pH 9.0 before commencing with IHC staining protocol." }, "Mouse": { "ICCIF-species-checked": "notRecommended", "ICCIF-species-dilution-info": "", "ICCIF-species-notes": "<p></p>", "IP-species-checked": "guaranteed", "IP-species-dilution-info": "", "IP-species-notes": "", "FlowCyt-species-checked": "notRecommended", "FlowCyt-species-dilution-info": "", "FlowCyt-species-notes": "<p></p>", "WB-species-checked": "testedAndGuaranteed", "WB-species-dilution-info": "1/1000", "WB-species-notes": "<p><strong>For unpurified use at 1/1000 - 1/10000.</strong></p>", "IHCP-species-checked": "notRecommended", "IHCP-species-dilution-info": "", "IHCP-species-notes": "<p></p>" }, "Rat": { "ICCIF-species-checked": "notRecommended", "ICCIF-species-dilution-info": "", "ICCIF-species-notes": "<p></p>", "IP-species-checked": "guaranteed", "IP-species-dilution-info": "", "IP-species-notes": "", "FlowCyt-species-checked": "notRecommended", "FlowCyt-species-dilution-info": "", "FlowCyt-species-notes": "<p></p>", "WB-species-checked": "testedAndGuaranteed", "WB-species-dilution-info": "1/1000", "WB-species-notes": "<p><strong>For unpurified use at 1/1000 - 1/10000.</strong></p>", "IHCP-species-checked": "notRecommended", "IHCP-species-dilution-info": "", "IHCP-species-notes": "<p></p>" } } }

Product details

Patented technology
Our RabMAb® technology is a patented hybridoma-based technology for making rabbit monoclonal antibodies. For details on our patents, please refer to RabMAb® patents.

What are the advantages of a recombinant monoclonal antibody?
This product is a recombinant monoclonal antibody, which offers several advantages including:

  • - High batch-to-batch consistency and reproducibility
  • - Improved sensitivity and specificity
  • - Long-term security of supply
  • - Animal-free batch production

For more information, read more on recombinant antibodies.

Properties and storage information

Form
Liquid
Purification technique
Affinity purification Protein A
Storage buffer
pH: 7.2 - 7.4 Preservative: 0.01% Sodium azide Constituents: PBS, 40% Glycerol (glycerin, glycerine), 0.05% BSA
Shipped at conditions
Blue Ice
Appropriate short-term storage duration
1-2 weeks
Appropriate short-term storage conditions
+4°C
Appropriate long-term storage conditions
-20°C
Aliquoting information
Upon delivery aliquot
Storage information
Avoid freeze / thaw cycle|Stable for 12 months at -20°C

Supplementary information

This supplementary information is collated from multiple sources and compiled automatically.

CD168 also known as HMMR (hyaluronan-mediated motility receptor) is a protein that functions mechanically as a receptor involved in cell motility proliferation and adhesion. Its molecular weight is approximately 95 kDa. CD168 expression can be prominently found in tissues that contain a high density of hyaluronan such as tumor cells and certain types of epithelial cells. Additionally CD168 is often used as a marker for certain macrophage populations illustrating its role in the immune landscape.
Biological function summary

Hyaluronan-mediated motility receptor plays an important role in the regulation of the extracellular matrix (ECM) by binding to hyaluronan a significant component of the ECM. CD168 has a vital function in cell surface signaling processes facilitating communication between cells and their environment. The protein operates in a complex with elements like growth factor receptors enhancing its ability to modulate cellular responses. This interaction allows CD168 to significantly influence processes like wound healing and tissue remodeling.

Pathways

Hyaluronan-mediated motility receptor participates in the Rho signaling pathway important for cytoskeletal organization and cell movement. Through this pathway CD168 interacts directly with proteins such as GTPases including members of the Rho family like RhoA which play key roles in the reorganization of the actin cytoskeleton. CD168 also relates to the PI3K/AKT pathway influencing cellular survival and proliferation by interacting with proteins such as PI3K integrally involved in cellular growth and response to extracellular signals.

Increased expression of hyaluronan-mediated motility receptor has been observed in several cancers including breast and ovarian cancers where it often correlates with advanced disease stages and poor prognosis. CD168's role in cancer is linked with its interaction with the epidermal growth factor receptor (EGFR) which promotes aggressive tumor behavior. In arthritis CD168 expression contributes to synovial inflammation connecting with inflammatory cytokines that escalate the disease progression. These associations underline the importance of CD168 in both oncology and inflammatory disorders.

Product protocols

For this product, it's our understanding that no specific protocols are required. You can visit:

Target data

Receptor for hyaluronic acid (HA) (By similarity). Involved in cell motility (By similarity). When hyaluronan binds to HMMR, the phosphorylation of a number of proteins, including PTK2/FAK1 occurs. May also be involved in cellular transformation and metastasis formation, and in regulating extracellular-regulated kinase (ERK) activity. May act as a regulator of adipogenisis (By similarity).
See full target information HMMR

Publications (22)

Recent publications for all applications. Explore the full list and refine your search

The Korean journal of physiology & pharmacology : official journal of the Korean Physiological Society and the Korean Society of Pharmacology 29:337-347 PubMed40051130

2025

Hyaluronan-mediated motility receptor-mediated aerobic glycolysis enhances stem-like properties and chemoresistance in lung adenocarcinoma.

Applications

Unspecified application

Species

Unspecified reactive species

Wenwen Yu,Yubo Shi,Xiaoqiong Bao,Xiangxiang Chen,Yangyang Ni,Jincong Wang,Hua Ye

Protein & cell 16:28-48 PubMed38721690

2024

Noncoding RNA Terc-53 and hyaluronan receptor Hmmr regulate aging in mice.

Applications

Unspecified application

Species

Unspecified reactive species

Sipeng Wu,Yiqi Cai,Lixiao Zhang,Xiang Li,Xu Liu,Guangkeng Zhou,Hongdi Luo,Renjian Li,Yujia Huo,Zhirong Zhang,Siyi Chen,Jinliang Huang,Jiahao Shi,Shanwei Ding,Zhe Sun,Zizhuo Zhou,Pengcheng Wang,Geng Wang

Communications biology 6:1226 PubMed38049528

2023

Periportal hepatocyte proliferation at midgestation governs maternal glucose homeostasis in mice.

Applications

Unspecified application

Species

Unspecified reactive species

Satoshi Kozuki,Mio Kabata,Satoko Sakurai,Keiko Iwaisako,Tomomi Nishimura,Masakazu Toi,Takuya Yamamoto,Fumiko Toyoshima

Cancer communications (London, England) 43:981-1002 PubMed37405956

2023

HMMR alleviates endoplasmic reticulum stress by promoting autophagolysosomal activity during endoplasmic reticulum stress-driven hepatocellular carcinoma progression.

Applications

Unspecified application

Species

Unspecified reactive species

Lin He,Hao Li,Can Li,Ze-Kun Liu,Meng Lu,Ren-Yu Zhang,Dong Wu,Ding Wei,Jie Shao,Man Liu,Hao-Lin Wei,Cong Zhang,Zhe Wang,Ling-Min Kong,Zhi-Nan Chen,Huijie Bian

iScience 26:106862 PubMed37275516

2023

macrophages promote hepatocellular carcinoma tumor stemness and progression through /β-catenin/ axis.

Applications

Unspecified application

Species

Unspecified reactive species

Hai-Chao Zhao,Chang-Zhou Chen,Yan-Zhang Tian,Huang-Qin Song,Xiao-Xiao Wang,Yan-Jun Li,Jie-Feng He,Hao-Liang Zhao

Cancer genomics & proteomics 20:203-210 PubMed36870687

2023

Receptor for Hyaluronic Acid-mediated Motility (RHAMM) Is Associated With Prostate Cancer Migration and Poor Prognosis.

Applications

Unspecified application

Species

Unspecified reactive species

Akinori Minato,Yuzan Kudo,Hirotsugu Noguchi,Shiro Kohi,Yoshitaka Hasegawa,Norihiro Sato,Keiji Hirata,Naohiro Fujimoto

BMC cancer 23:125 PubMed36750807

2023

HELLPAR/RRM2 axis related to HMMR as novel prognostic biomarker in gliomas.

Applications

Unspecified application

Species

Unspecified reactive species

Huaxin Zhu,Jiacong Tan,Xinyi Pan,Hengyang Ouyang,Zhixiong Zhang,Meihua Li,Yeyu Zhao

Cell chemical biology 30:188-202.e6 PubMed36720221

2023

An affinity-directed phosphatase, AdPhosphatase, system for targeted protein dephosphorylation.

Applications

Unspecified application

Species

Unspecified reactive species

Luke M Simpson,Luke J Fulcher,Gajanan Sathe,Abigail Brewer,Jin-Feng Zhao,Daniel R Squair,Jennifer Crooks,Melanie Wightman,Nicola T Wood,Robert Gourlay,Joby Varghese,Renata F Soares,Gopal P Sapkota

Nature communications 13:1895 PubMed35393420

2022

Modification of BRCA1-associated breast cancer risk by HMMR overexpression.

Applications

Unspecified application

Species

Unspecified reactive species

Francesca Mateo,Zhengcheng He,Lin Mei,Gorka Ruiz de Garibay,Carmen Herranz,Nadia García,Amanda Lorentzian,Alexandra Baiges,Eline Blommaert,Antonio Gómez,Oriol Mirallas,Anna Garrido-Utrilla,Luis Palomero,Roderic Espín,Ana I Extremera,M Teresa Soler-Monsó,Anna Petit,Rong Li,Joan Brunet,Ke Chen,Susanna Tan,Connie J Eaves,Curtis McCloskey,Razq Hakem,Rama Khokha,Philipp F Lange,Conxi Lázaro,Christopher A Maxwell,Miquel Angel Pujana

PeerJ 9:e12624 PubMed35036134

2021

Identification of HMMR as a prognostic biomarker for patients with lung adenocarcinoma integrated bioinformatics analysis.

Applications

Unspecified application

Species

Unspecified reactive species

Zhaodong Li,Hongtian Fei,Siyu Lei,Fengtong Hao,Lijie Yang,Wanze Li,Laney Zhang,Rui Fei
View all publications

Product promise

We are committed to supporting your work with high-quality reagents, and we're here for you every step of the way. In the unlikely event that one of our products does not perform as expected, you're protected by our Product Promise.
For full details, please see our Terms & Conditions

Please note: All products are 'FOR RESEARCH USE ONLY. NOT FOR USE IN DIAGNOSTIC OR THERAPEUTIC PROCEDURES'.

For licensing inquiries, please contact partnerships@abcam.com