JavaScript is disabled in your browser. Please enable JavaScript to view this website.
AB229447

Anti-CD168 antibody [EPR4055] - Low endotoxin, Azide free

Be the first to review this product! Submit a review

|

(1 Publication)

Rabbit Recombinant Monoclonal CD168 antibody. Carrier free. Suitable for IHC-P, IP, WB and reacts with Human samples. Cited in 1 publication.

View Alternative Names

CD168, IHABP, RHAMM, HMMR, Hyaluronan mediated motility receptor, Intracellular hyaluronic acid-binding protein, Receptor for hyaluronan-mediated motility

10 Images
Immunohistochemistry (Formalin/PFA-fixed paraffin-embedded sections) - Anti-CD168 antibody [EPR4055] - Low endotoxin, Azide free (AB229447)
  • IHC-P

Unknown

Immunohistochemistry (Formalin/PFA-fixed paraffin-embedded sections) - Anti-CD168 antibody [EPR4055] - Low endotoxin, Azide free (AB229447)

ab108339 showing positive staining in Colonic adenocarcinoma tissue.

This data was developed using the same antibody clone in a different buffer formulation containing PBS, BSA, glycerol, and sodium azide (ab108339).

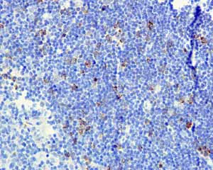
Immunohistochemistry (Formalin/PFA-fixed paraffin-embedded sections) - Anti-CD168 antibody [EPR4055] - Low endotoxin, Azide free (AB229447)
  • IHC-P

Unknown

Immunohistochemistry (Formalin/PFA-fixed paraffin-embedded sections) - Anti-CD168 antibody [EPR4055] - Low endotoxin, Azide free (AB229447)

ab108339 showing positive staining in Normal thymus tissue.

This data was developed using the same antibody clone in a different buffer formulation containing PBS, BSA, glycerol, and sodium azide (ab108339).

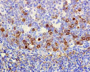
Immunohistochemistry (Formalin/PFA-fixed paraffin-embedded sections) - Anti-CD168 antibody [EPR4055] - Low endotoxin, Azide free (AB229447)
  • IHC-P

Unknown

Immunohistochemistry (Formalin/PFA-fixed paraffin-embedded sections) - Anti-CD168 antibody [EPR4055] - Low endotoxin, Azide free (AB229447)

ab108339 showing positive staining in Normal tonsil tissue.

This data was developed using the same antibody clone in a different buffer formulation containing PBS, BSA, glycerol, and sodium azide (ab108339).

Immunohistochemistry (Formalin/PFA-fixed paraffin-embedded sections) - Anti-CD168 antibody [EPR4055] - Low endotoxin, Azide free (AB229447)
  • IHC-P

Unknown

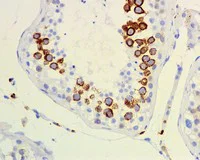
Immunohistochemistry (Formalin/PFA-fixed paraffin-embedded sections) - Anti-CD168 antibody [EPR4055] - Low endotoxin, Azide free (AB229447)

ab108339 at 1/100 staining CD168 in paraffin-embedded human testis tissue by Immunohistochemistry.This data was developed using the same antibody clone in a different buffer formulation containing PBS BSA glycerol and sodium azide (ab108339).

Immunohistochemistry (Formalin/PFA-fixed paraffin-embedded sections) - Anti-CD168 antibody [EPR4055] - Low endotoxin, Azide free (AB229447)
  • IHC-P

Unknown

Immunohistochemistry (Formalin/PFA-fixed paraffin-embedded sections) - Anti-CD168 antibody [EPR4055] - Low endotoxin, Azide free (AB229447)

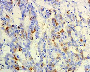
This IHC data was generated using the same anti-CD168 antibody clone EPR4055 in a different buffer formulation (ab108339).

ab108339 at 1/100 staining CD168 in paraffin-embedded human breast carcinoma tissue by Immunohistochemistry.

Perform heat mediated antigen retrieval with citrate buffer pH 6 before commencing with IHC staining protocol.

Immunohistochemistry (Formalin/PFA-fixed paraffin-embedded sections) - Anti-CD168 antibody [EPR4055] - Low endotoxin, Azide free (AB229447)
  • IHC-P

Unknown

Immunohistochemistry (Formalin/PFA-fixed paraffin-embedded sections) - Anti-CD168 antibody [EPR4055] - Low endotoxin, Azide free (AB229447)

ab108339 showing positive staining in Normal stomach tissue.

This data was developed using the same antibody clone in a different buffer formulation containing PBS, BSA, glycerol, and sodium azide (ab108339).

Immunoprecipitation - Anti-CD168 antibody [EPR4055] - Low endotoxin, Azide free (AB229447)
  • IP

Lab

Immunoprecipitation - Anti-CD168 antibody [EPR4055] - Low endotoxin, Azide free (AB229447)

This data was developed using ab108339, the same antibody clone in a different buffer formulation.
Purified ab108339 at 1/50 dilution (2μg) immunoprecipitating CD168 in T-47D whole cell lysate.
Lane 1 (input) : T-47D (Human ductal breast epithelial tumor epithelial cell) whole cell lysate 10μg
Lane 2 (+) : ab108339 + T-47D whole cell lysate.
Lane 3 (-) : Rabbit monoclonal IgG (ab172730) instead of ab108339 in T-47D whole cell lysate.
VeriBlot for IP Detection Reagent (HRP) (ab131366) (1/1000 dilution) was used for Western blotting.
Blocking Buffer and concentration : 5% NFDM/TBST.
Diluting buffer and concentration : 5% NFDM/TBST.
Observed band size : 85 kDa

All lanes:

Immunoprecipitation - Anti-CD168 antibody [EPR4055] (<a href='/en-us/products/primary-antibodies/cd168-antibody-epr4055-ab108339'>ab108339</a>)

Predicted band size: 84 kDa

false

Western blot - Anti-CD168 antibody [EPR4055] - Low endotoxin, Azide free (AB229447)
  • WB

Lab

Western blot - Anti-CD168 antibody [EPR4055] - Low endotoxin, Azide free (AB229447)

This WB data was generated using the same anti-CD168 antibody clone, EPR4055, in a different buffer formulation (cat# ab108339).

Lane 1 : Wild type HAP1 whole cell lysate (20 μg)
Lane 2 : Empty knockout HAP1 whole cell lysate (20 μg)
Lane 3 : CD168 whole cell lysate (20 μg)

Lanes 1 - 3 : Merged signal (red and green). Green - ab108339 observed at 90 kDa. Red - loading control, ab9484, observed at 37 kDa.

ab108339 was shown to specifically react with CD168 when CD168 knockout samples were used. Wild-type and Empty knockout samples were subjected to SDS-PAGE. ab108339 and ab9484 (Mouse anti GAPDH loading control) were incubated overnight at 4°C at 1000 dilution and 1/10000 dilution respectively. Blots were developed with Goat anti-Rabbit IgG H&L (IRDye® 800CW) preabsorbed ab216773 and Goat anti-Mouse IgG H&L (IRDye® 680RD) preabsorbed ab216776 secondary antibodies at 1/20000 dilution for 1 hour at room temperature before imaging.

All lanes:

Western blot - Anti-CD168 antibody [EPR4055] (<a href='/en-us/products/primary-antibodies/cd168-antibody-epr4055-ab108339'>ab108339</a>)

Predicted band size: 84 kDa

false

Immunohistochemistry (Formalin/PFA-fixed paraffin-embedded sections) - Anti-CD168 antibody [EPR4055] - Low endotoxin, Azide free (AB229447)
  • IHC-P

Unknown

Immunohistochemistry (Formalin/PFA-fixed paraffin-embedded sections) - Anti-CD168 antibody [EPR4055] - Low endotoxin, Azide free (AB229447)

ab108339 showing negative staining in Normal brain tissue.

This data was developed using the same antibody clone in a different buffer formulation containing PBS, BSA, glycerol, and sodium azide (ab108339).

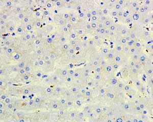
Immunohistochemistry (Formalin/PFA-fixed paraffin-embedded sections) - Anti-CD168 antibody [EPR4055] - Low endotoxin, Azide free (AB229447)
  • IHC-P

Unknown

Immunohistochemistry (Formalin/PFA-fixed paraffin-embedded sections) - Anti-CD168 antibody [EPR4055] - Low endotoxin, Azide free (AB229447)

ab108339 showing negative staining in Normal liver tissue.

This data was developed using the same antibody clone in a different buffer formulation containing PBS, BSA, glycerol, and sodium azide (ab108339).

Key facts

Host species

Rabbit

Clonality

Monoclonal

Clone number

EPR4055

Isotype

IgG

Carrier free

Yes

Reacts with

Human

Applications

IHC-P, WB, IP

applications

Immunogen

The exact immunogen used to generate this antibody is proprietary information.

Reactivity data

{ "title": "Reactivity Data", "filters": { "stats": ["", "Species", "Dilution Info", "Notes"], "tabs": { "all-applications": {"fullname" : "All Applications", "shortname": "All Applications"}, "IHCP" : {"fullname" : "Immunohistochemistry (Formalin/PFA-fixed paraffin-embedded sections)", "shortname":"IHC-P"}, "IP" : {"fullname" : "Immunoprecipitation", "shortname":"IP"}, "WB" : {"fullname" : "Western blot", "shortname":"WB"}, "ICCIF" : {"fullname" : "Immunocytochemistry/ Immunofluorescence", "shortname":"ICC/IF"} }, "product-promise": { "all": "all", "testedAndGuaranteed": "tested", "guaranteed": "expected", "predicted": "predicted", "notRecommended": "not-recommended" } }, "values": { "Human": { "IHCP-species-checked": "testedAndGuaranteed", "IHCP-species-dilution-info": "", "IHCP-species-notes": "<p></p>", "IP-species-checked": "testedAndGuaranteed", "IP-species-dilution-info": "", "IP-species-notes": "<p></p>", "WB-species-checked": "testedAndGuaranteed", "WB-species-dilution-info": "", "WB-species-notes": "<p></p>", "ICCIF-species-checked": "notRecommended", "ICCIF-species-dilution-info": "", "ICCIF-species-notes": "<p></p>" } } }

Product details

ab229447 is the carrier-free version of ab108339.

Patented technology
Our RabMAb® technology is a patented hybridoma-based technology for making rabbit monoclonal antibodies. For details on our patents, please refer to RabMAb® patents.

What are the advantages of a recombinant monoclonal antibody?
This product is a recombinant monoclonal antibody, which offers several advantages including:

  • - High batch-to-batch consistency and reproducibility
  • - Improved sensitivity and specificity
  • - Long-term security of supply
  • - Animal-free batch production

For more information, read more on recombinant antibodies.

Conjugation ready
Our carrier-free antibodies are typically supplied in a PBS-only formulation, purified and free of BSA, sodium azide and glycerol. This conjugation-ready format is designed for use with fluorochromes, metal isotopes, oligonucleotides, and enzymes, which makes them ideal for antibody labelling, functional and cell-based assays, flow-based assays (e.g. mass cytometry) and Multiplex Imaging applications.

Use our conjugation kits for antibody conjugates that are ready-to-use in as little as 20 minutes with 1 minute hands-on-time and 100% antibody recovery: available for fluorescent dyes, HRP, biotin and gold.

Compatibility
This product is compatible with the Maxpar® Antibody Labeling Kit from Fluidigm, without the need for antibody preparation. Maxpar® is a trademark of Fluidigm Canada Inc.

What does low endotoxin mean?
Our low endotoxin, azide-free formats have low endotoxin level (1 EU/mg, determined by the TAL assay) and are free from azide, to achieve consistent experimental results in functional assays.

Properties and storage information

Form
Liquid
Purification technique
Affinity purification Protein A
Storage buffer
pH: 7.2 - 7.4 Constituents: PBS
Shipped at conditions
Blue Ice
Appropriate short-term storage conditions
+4°C
Appropriate long-term storage conditions
+4°C
Storage information
Do Not Freeze

Supplementary information

This supplementary information is collated from multiple sources and compiled automatically.

CD168 also known as HMMR (hyaluronan-mediated motility receptor) is a protein that functions mechanically as a receptor involved in cell motility proliferation and adhesion. Its molecular weight is approximately 95 kDa. CD168 expression can be prominently found in tissues that contain a high density of hyaluronan such as tumor cells and certain types of epithelial cells. Additionally CD168 is often used as a marker for certain macrophage populations illustrating its role in the immune landscape.
Biological function summary

Hyaluronan-mediated motility receptor plays an important role in the regulation of the extracellular matrix (ECM) by binding to hyaluronan a significant component of the ECM. CD168 has a vital function in cell surface signaling processes facilitating communication between cells and their environment. The protein operates in a complex with elements like growth factor receptors enhancing its ability to modulate cellular responses. This interaction allows CD168 to significantly influence processes like wound healing and tissue remodeling.

Pathways

Hyaluronan-mediated motility receptor participates in the Rho signaling pathway important for cytoskeletal organization and cell movement. Through this pathway CD168 interacts directly with proteins such as GTPases including members of the Rho family like RhoA which play key roles in the reorganization of the actin cytoskeleton. CD168 also relates to the PI3K/AKT pathway influencing cellular survival and proliferation by interacting with proteins such as PI3K integrally involved in cellular growth and response to extracellular signals.

Increased expression of hyaluronan-mediated motility receptor has been observed in several cancers including breast and ovarian cancers where it often correlates with advanced disease stages and poor prognosis. CD168's role in cancer is linked with its interaction with the epidermal growth factor receptor (EGFR) which promotes aggressive tumor behavior. In arthritis CD168 expression contributes to synovial inflammation connecting with inflammatory cytokines that escalate the disease progression. These associations underline the importance of CD168 in both oncology and inflammatory disorders.

Product protocols

For this product, it's our understanding that no specific protocols are required. You can visit:

Target data

Receptor for hyaluronic acid (HA) (By similarity). Involved in cell motility (By similarity). When hyaluronan binds to HMMR, the phosphorylation of a number of proteins, including PTK2/FAK1 occurs. May also be involved in cellular transformation and metastasis formation, and in regulating extracellular-regulated kinase (ERK) activity. May act as a regulator of adipogenisis (By similarity).
See full target information HMMR

Publications (1)

Recent publications for all applications. Explore the full list and refine your search

Immunity 55:2369-2385.e10 PubMed36370712

2022

The transcription factor IRF2 drives interferon-mediated CD8 T cell exhaustion to restrict anti-tumor immunity.

Applications

Unspecified application

Species

Unspecified reactive species

Sabelo Lukhele,Diala Abd Rabbo,Mengdi Guo,Jian Shen,Heidi J Elsaesser,Rene Quevedo,Madeleine Carew,Ramy Gadalla,Laura M Snell,Lawanya Mahesh,M Teresa Ciudad,Bryan E Snow,Annick You-Ten,Jillian Haight,Andrew Wakeham,Pamela S Ohashi,Tak W Mak,Weiguo Cui,Tracy L McGaha,David G Brooks
View all publications

Product promise

We are committed to supporting your work with high-quality reagents, and we're here for you every step of the way. In the unlikely event that one of our products does not perform as expected, you're protected by our Product Promise.
For full details, please see our Terms & Conditions

Please note: All products are 'FOR RESEARCH USE ONLY. NOT FOR USE IN DIAGNOSTIC OR THERAPEUTIC PROCEDURES'.

For licensing inquiries, please contact partnerships@abcam.com