JavaScript is disabled in your browser. Please enable JavaScript to view this website.
AB275095

Anti-CD16+CD32 antibody [EPR23501-203] - BSA and Azide free

Be the first to review this product! Submit a review

|

(0 Publication)

Rabbit Recombinant Monoclonal FCGR3 antibody. Carrier free. Suitable for ICC/IF, IP, Flow Cyt, WB, IHC-P and reacts with Mouse, Recombinant fragment - Mouse samples.

View Alternative Names

CD16, Low affinity immunoglobulin gamma Fc region receptor III, IgG Fc receptor III, Fc-gamma RIII, FcRIII, Fcgr3

11 Images
Flow Cytometry - Anti-CD16+CD32 antibody [EPR23501-203] - BSA and Azide free (AB275095)
  • Flow Cyt

Unknown

Flow Cytometry - Anti-CD16+CD32 antibody [EPR23501-203] - BSA and Azide free (AB275095)

This data was developed using ab223200, the same antibody clone in a different buffer formulation.

Flow cytometric analysis of mouse splenocytes cells labelling CD16+CD32 with ab223200 at 1/500 dilution (Right) compared with a Rabbit monoclonal IgG (ab172730) isotype control (Left).

Goat anti rabbit IgG (Alexa Fluor® 488, ab150077) at 1/2000 dilution was used as the secondary antibody.

Gated on viable cells.

Immunohistochemistry (Formalin/PFA-fixed paraffin-embedded sections) - Anti-CD16+CD32 antibody [EPR23501-203] - BSA and Azide free (AB275095)
  • IHC-P

Unknown

Immunohistochemistry (Formalin/PFA-fixed paraffin-embedded sections) - Anti-CD16+CD32 antibody [EPR23501-203] - BSA and Azide free (AB275095)

This data was developed using ab223200, the same antibody clone in a different buffer formulation.

Immunohistochemical analysis of paraffin-embedded mouse colon carcinoma tissue labeling CD16+CD32 with ab223200 at 1/1000 dilution followed by a ready to use Rabbit specific IHC polymer detection kit HRP/DAB (ab209101). Positive staining on the stroma in mouse colon carcinoma. The section was incubated with ab223200 for 30 mins at room temperature. The immunostaining was performed on a Leica Biosystems BOND® RX instrument. Counterstained with Hematoxylin.

Secondary antibody only control : Secondary antibody is a ready to use Rabbit specific IHC polymer detection kit HRP/DAB (ab209101).

Heat mediated antigen retrieval with Tris-EDTA buffer (pH 9.0, epitope retrieval solution2) for 20 mins.

Flow Cytometry - Anti-CD16+CD32 antibody [EPR23501-203] - BSA and Azide free (AB275095)
  • Flow Cyt

Unknown

Flow Cytometry - Anti-CD16+CD32 antibody [EPR23501-203] - BSA and Azide free (AB275095)

This data was developed using ab223200, the same antibody clone in a different buffer formulation.

Flow cytometric analysis of bEnd.3 (mouse brain endothelioma, Left) / J774A.1 (mouse reticulum cell sarcoma monocyte macrophage, Right) cells labelling CD16+CD32 with ab223200 at 1/500 dilution (Red) compared with a Rabbit monoclonal IgG (ab172730) isotype control (Black) and an unlabelled control (cells without incubation with primary antibody and secondary antibody) (Blue).

Goat anti rabbit IgG (Alexa Fluor® 488, ab150077) at 1/2000 dilution was used as the secondary antibody.

Negative control : bEnd.3 (PMID : 23911392).

Gated on viable cells.

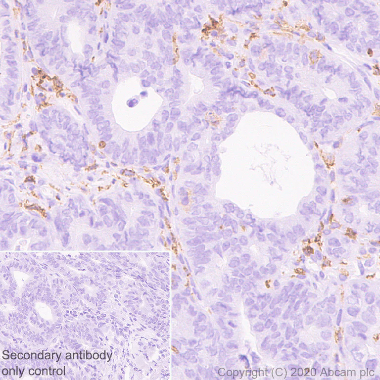
Immunohistochemistry (Formalin/PFA-fixed paraffin-embedded sections) - Anti-CD16+CD32 antibody [EPR23501-203] - BSA and Azide free (AB275095)
  • IHC-P

Unknown

Immunohistochemistry (Formalin/PFA-fixed paraffin-embedded sections) - Anti-CD16+CD32 antibody [EPR23501-203] - BSA and Azide free (AB275095)

This data was developed using ab223200, the same antibody clone in a different buffer formulation.

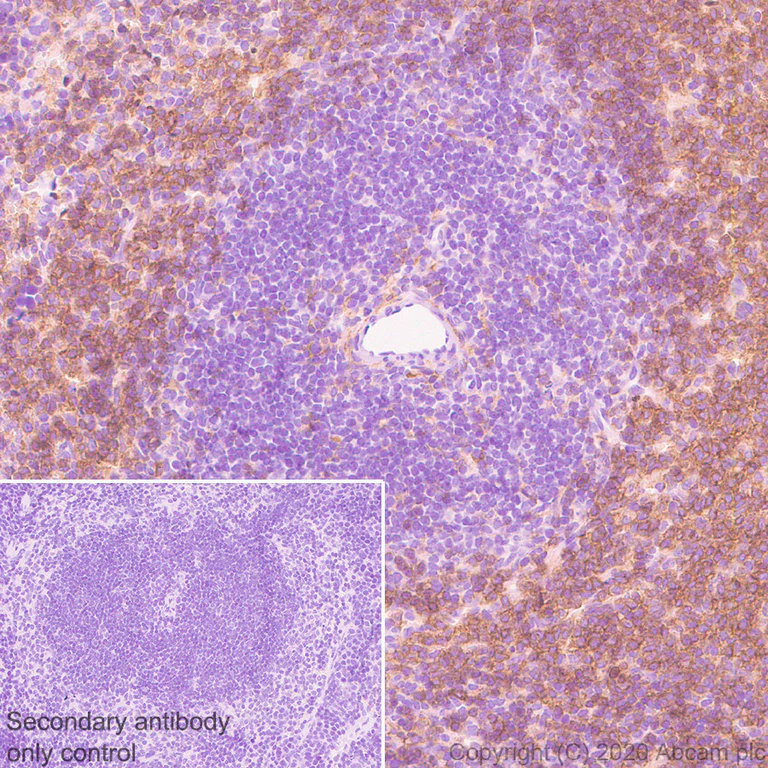
Immunohistochemical analysis of paraffin-embedded mouse spleen tissue labeling CD16+CD32 with ab223200 at 1/1000 dilution followed by a ready to use Rabbit specific IHC polymer detection kit HRP/DAB (ab209101). Cytoplasmic and membranouse staining on mouse spleen (PMID : 22618994). The section was incubated with ab223200 for 30 mins at room temperature. The immunostaining was performed on a Leica Biosystems BOND® RX instrument. Counterstained with Hematoxylin.

Secondary antibody only control : Secondary antibody is a ready to use Rabbit specific IHC polymer detection kit HRP/DAB (ab209101).

Heat mediated antigen retrieval with Tris-EDTA buffer (pH 9.0, epitope retrieval solution2) for 20 mins.

Immunocytochemistry/ Immunofluorescence - Anti-CD16+CD32 antibody [EPR23501-203] - BSA and Azide free (AB275095)
  • ICC/IF

Unknown

Immunocytochemistry/ Immunofluorescence - Anti-CD16+CD32 antibody [EPR23501-203] - BSA and Azide free (AB275095)

This data was developed using ab223200, the same antibody clone in a different buffer formulation.

Immunofluorescent analysis of 4% paraformaldehyde-fixed, 0.1% TritonX-100 permeabilized J774A.1 (mouse reticulum cell sarcoma monocyte macrophage) cells labelling CD16+CD32 with ab223200 at 1/500 dilution, followed by ab150077 Goat Anti-Rabbit IgG H&L (Alexa Fluor® 488) antibody at 1/1000 dilution (Green). Confocal image showing strong membranous and weak cytoplasmic staining in J774A.1 cells. ab195889 Anti-alpha Tubulin mouse monoclonal antibody - Microtubule Marker (Alexa Fluor® 594) was used to counterstain tubulin at 1/200 dilution (Red). The Nuclear counterstain was DAPI (Blue).

Secondary antibody only control : Secondary antibody is ab150077 Goat Anti-Rabbit IgG H&L (Alexa Fluor® 488) at 1/1000 dilution.

Negative control : bEnd.3 cell (PMID : 23911392).

Immunohistochemistry (Formalin/PFA-fixed paraffin-embedded sections) - Anti-CD16+CD32 antibody [EPR23501-203] - BSA and Azide free (AB275095)
  • IHC-P

Unknown

Immunohistochemistry (Formalin/PFA-fixed paraffin-embedded sections) - Anti-CD16+CD32 antibody [EPR23501-203] - BSA and Azide free (AB275095)

This data was developed using ab223200, the same antibody clone in a different buffer formulation.

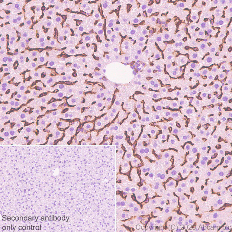
Immunohistochemical analysis of paraffin-embedded mouse liver tissue labeling CD16+CD32 with ab223200 at 1/1000 dilution followed by a ready to use Rabbit specific IHC polymer detection kit HRP/DAB (ab209101). Positive staining on mouse liver. The section was incubated with ab223200 for 30 mins at room temperature. The immunostaining was performed on a Leica Biosystems BOND® RX instrument. Counterstained with Hematoxylin.

Secondary antibody only control : Secondary antibody is a ready to use Rabbit specific IHC polymer detection kit HRP/DAB (ab209101).

Heat mediated antigen retrieval with Tris-EDTA buffer (pH 9.0, epitope retrieval solution2) for 20 mins.

Immunoprecipitation - Anti-CD16+CD32 antibody [EPR23501-203] - BSA and Azide free (AB275095)
  • IP

Unknown

Immunoprecipitation - Anti-CD16+CD32 antibody [EPR23501-203] - BSA and Azide free (AB275095)

This data was developed using ab223200, the same antibody clone in a different buffer formulation.

CD16+CD32 was immunoprecipitated from 0.35 mg J774A.1 (mouse reticulum cell sarcoma monocyte macrophage) whole cell lysate with ab223200 at 1/30 dilution (2ug in 0.35mg lysates). Western blot was performed on the immunoprecipitate using ab223200 at 1/1000 dilution. VeriBlot for IP Detection Reagent (HRP)(ab131366) was used at 1/5000 dilution.

Lane 1 : J774A.1 (mouse reticulum cell sarcoma monocyte macrophage) whole cell lysate 10 ug

Lane 2 : ab223200 IP in J774A.1 whole cell lysate

Lane 3 : Rabbit monoclonal IgG (ab172730) instead of ab223200 in J774A.1 whole cell lysate

Blocking and dilution buffer and concentration : 5% NFDM/TBST.

Exposure time : 8 seconds.

All lanes:

Immunoprecipitation - Anti-CD16+CD32 antibody [EPR23501-203] (<a href='/en-us/products/primary-antibodies/cd16cd32-antibody-epr23501-203-ab223200'>ab223200</a>)

Predicted band size: 26 kDa

Observed band size: 40-60 kDa

false

Immunoprecipitation - Anti-CD16+CD32 antibody [EPR23501-203] - BSA and Azide free (AB275095)
  • IP

Unknown

Immunoprecipitation - Anti-CD16+CD32 antibody [EPR23501-203] - BSA and Azide free (AB275095)

This data was developed using ab223200, the same antibody clone in a different buffer formulation.

CD16+CD32 was immunoprecipitated from 0.35 mg Mouse spleen tissue lysate with ab223200 at 1/30 dilution (2ug in 0.35mg lysates). Western blot was performed on the immunoprecipitate using ab223200 at 1/1000 dilution. VeriBlot for IP Detection Reagent (HRP)(ab131366) was used at 1/5000 dilution.

Lane 1 : Mouse spleen tissue lysate 10 ug

Lane 2 : ab223200 IP in Mouse spleen tissue lysate

Lane 3 : Rabbit monoclonal IgG (ab172730) instead of ab223200 in mouse spleen tissue lysate

Blocking and dilution buffer and concentration : 5% NFDM/TBST.

Exposure time : 3 minutes.

All lanes:

Immunoprecipitation - Anti-CD16+CD32 antibody [EPR23501-203] (<a href='/en-us/products/primary-antibodies/cd16cd32-antibody-epr23501-203-ab223200'>ab223200</a>)

Predicted band size: 26 kDa

Observed band size: 40-60 kDa

false

Western blot - Anti-CD16+CD32 antibody [EPR23501-203] - BSA and Azide free (AB275095)
  • WB

Lab

Western blot - Anti-CD16+CD32 antibody [EPR23501-203] - BSA and Azide free (AB275095)

This data was developed using ab223200, the same antibody clone in a different buffer formulation.

Blocking and diluting buffer and concentration : 5% NFDM/TBST.

The molecular weight observed is consistent with what has been described in the literature (PMID : 19503602, 31172847).

Exposure time : 3 minutes.

All lanes:

Western blot - Anti-CD16+CD32 antibody [EPR23501-203] (<a href='/en-us/products/primary-antibodies/cd16cd32-antibody-epr23501-203-ab223200'>ab223200</a>) at 1/1000 dilution

Lane 1:

Mouse spleen tissue lysate at 20 µg

Lane 2:

Mouse liver tissue lysate at 20 µg

Secondary

All lanes:

Goat Anti-Rabbit IgG, (H+L), Peroxidase conjugated (<a href='/en-us/products/secondary-antibodies/goat-rabbit-igg-h-l-hrp-ab97051'>ab97051</a>) at 1/50000 dilution

Predicted band size: 26 kDa

Observed band size: 40-60 kDa

false

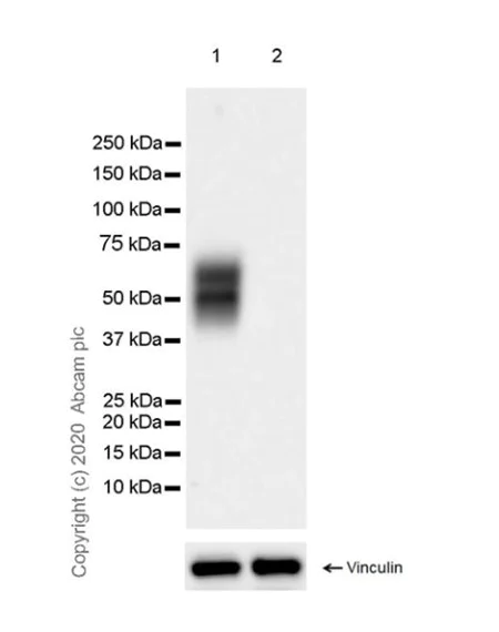
Western blot - Anti-CD16+CD32 antibody [EPR23501-203] - BSA and Azide free (AB275095)
  • WB

Lab

Western blot - Anti-CD16+CD32 antibody [EPR23501-203] - BSA and Azide free (AB275095)

This data was developed using ab223200, the same antibody clone in a different buffer formulation. Blocking/Diluting buffer and concentration : 5% NFDM/TBST The molecular weight observed is consistent with what has been described in the literature (PMID : 19503602, 31172847). Negative control : bEnd.3 (PMID : 23911392). Exposure time : Lanes 1-2 : 5.5 seconds

Lanes 1 - 2:

Western blot - Anti-CD16+CD32 antibody [EPR23501-203] (<a href='/en-us/products/primary-antibodies/cd16cd32-antibody-epr23501-203-ab223200'>ab223200</a>) at 1/1000 dilution

Lanes 1 - 2:

Western blot - Anti-CD16+CD32 antibody [EPR23501-203] - BSA and Azide free (ab275095)

Lane 1:

J774A.1 (mouse reticulum cell sarcoma monocyte macrophage) whole cell lysate at 20 µg

Lane 2:

bEnd.3 (mouse brain endothelioma) whole cell lysate at 20 µg

Secondary

All lanes:

Western blot - Goat Anti-Rabbit IgG H&L (HRP) (<a href='/en-us/products/secondary-antibodies/goat-rabbit-igg-h-l-hrp-ab97051'>ab97051</a>) at 1/50000 dilution

Observed band size: 40-60 kDa

false

Exposure time: 5.5s

Western blot - Anti-CD16+CD32 antibody [EPR23501-203] - BSA and Azide free (AB275095)
  • WB

Lab

Western blot - Anti-CD16+CD32 antibody [EPR23501-203] - BSA and Azide free (AB275095)

This data was developed using ab223200, the same antibody clone in a different buffer formulation.

Blocking and diluting buffer and concentration : 5% NFDM/TBST.

This product can recognize both CD16 and CD32.

The loading samples are E.coil extracts containing CD16 or CD32 recombinant protein respectively.

Exposure time : 70 seconds.

All lanes:

Western blot - Anti-CD16+CD32 antibody [EPR23501-203] (<a href='/en-us/products/primary-antibodies/cd16cd32-antibody-epr23501-203-ab223200'>ab223200</a>) at 1/1000 dilution

Lane 1:

His-tagged mouse CD16 recombinant protein (aa 31-215), 5 uL

Lane 2:

His-tagged mouse CD32 recombinant protein (aa 30-210), 25 uL

Secondary

All lanes:

Goat Anti-Rabbit IgG, (H+L), Peroxidase conjugated (<a href='/en-us/products/secondary-antibodies/goat-rabbit-igg-h-l-hrp-ab97051'>ab97051</a>) at 1/50000 dilution

Predicted band size: 26 kDa

false

Key facts

Host species

Rabbit

Clonality

Monoclonal

Clone number

EPR23501-203

Isotype

IgG

Carrier free

Yes

Reacts with

Mouse

Applications

IHC-P, WB, IP, ICC/IF, Flow Cyt

applications

Immunogen

The exact immunogen used to generate this antibody is proprietary information.

Reactivity data

{ "title": "Reactivity Data", "filters": { "stats": ["", "Species", "Dilution Info", "Notes"], "tabs": { "all-applications": {"fullname" : "All Applications", "shortname": "All Applications"}, "ICCIF" : {"fullname" : "Immunocytochemistry/ Immunofluorescence", "shortname":"ICC/IF"}, "IP" : {"fullname" : "Immunoprecipitation", "shortname":"IP"}, "FlowCyt" : {"fullname" : "Flow Cytometry", "shortname":"Flow Cyt"}, "WB" : {"fullname" : "Western blot", "shortname":"WB"}, "IHCP" : {"fullname" : "Immunohistochemistry (Formalin/PFA-fixed paraffin-embedded sections)", "shortname":"IHC-P"}, "IHCFr" : {"fullname" : "Immunohistochemistry (Frozen sections)", "shortname":"IHC-Fr"} }, "product-promise": { "all": "all", "testedAndGuaranteed": "tested", "guaranteed": "expected", "predicted": "predicted", "notRecommended": "not-recommended" } }, "values": { "Human": { "ICCIF-species-checked": "notRecommended", "ICCIF-species-dilution-info": "", "ICCIF-species-notes": "", "IP-species-checked": "notRecommended", "IP-species-dilution-info": "", "IP-species-notes": "", "FlowCyt-species-checked": "notRecommended", "FlowCyt-species-dilution-info": "", "FlowCyt-species-notes": "", "WB-species-checked": "notRecommended", "WB-species-dilution-info": "", "WB-species-notes": "<p></p>", "IHCP-species-checked": "notRecommended", "IHCP-species-dilution-info": "", "IHCP-species-notes": "<p></p>", "IHCFr-species-checked": "notRecommended", "IHCFr-species-dilution-info": "", "IHCFr-species-notes": "" }, "Mouse": { "ICCIF-species-checked": "testedAndGuaranteed", "ICCIF-species-dilution-info": "", "ICCIF-species-notes": "<p></p>", "IP-species-checked": "testedAndGuaranteed", "IP-species-dilution-info": "", "IP-species-notes": "<p></p>", "FlowCyt-species-checked": "testedAndGuaranteed", "FlowCyt-species-dilution-info": "", "FlowCyt-species-notes": "<p></p>", "WB-species-checked": "testedAndGuaranteed", "WB-species-dilution-info": "", "WB-species-notes": "<p></p>", "IHCP-species-checked": "testedAndGuaranteed", "IHCP-species-dilution-info": "", "IHCP-species-notes": "<p></p>", "IHCFr-species-checked": "notRecommended", "IHCFr-species-dilution-info": "", "IHCFr-species-notes": "<p></p>" }, "Rat": { "ICCIF-species-checked": "notRecommended", "ICCIF-species-dilution-info": "", "ICCIF-species-notes": "", "IP-species-checked": "notRecommended", "IP-species-dilution-info": "", "IP-species-notes": "", "FlowCyt-species-checked": "notRecommended", "FlowCyt-species-dilution-info": "", "FlowCyt-species-notes": "", "WB-species-checked": "notRecommended", "WB-species-dilution-info": "", "WB-species-notes": "<p></p>", "IHCP-species-checked": "notRecommended", "IHCP-species-dilution-info": "", "IHCP-species-notes": "<p></p>", "IHCFr-species-checked": "notRecommended", "IHCFr-species-dilution-info": "", "IHCFr-species-notes": "" }, "Recombinant fragment - Mouse": { "ICCIF-species-checked": "notRecommended", "ICCIF-species-dilution-info": "", "ICCIF-species-notes": "", "IP-species-checked": "notRecommended", "IP-species-dilution-info": "", "IP-species-notes": "", "FlowCyt-species-checked": "notRecommended", "FlowCyt-species-dilution-info": "", "FlowCyt-species-notes": "", "WB-species-checked": "testedAndGuaranteed", "WB-species-dilution-info": "", "WB-species-notes": "<p></p>", "IHCP-species-checked": "notRecommended", "IHCP-species-dilution-info": "", "IHCP-species-notes": "", "IHCFr-species-checked": "notRecommended", "IHCFr-species-dilution-info": "", "IHCFr-species-notes": "" } } }

Product details

ab275095 is the carrier-free version of ab223200.

Patented technology
Our RabMAb® technology is a patented hybridoma-based technology for making rabbit monoclonal antibodies. For details on our patents, please refer to RabMAb® patents.

What are the advantages of a recombinant monoclonal antibody?
This product is a recombinant monoclonal antibody, which offers several advantages including:

  • - High batch-to-batch consistency and reproducibility
  • - Improved sensitivity and specificity
  • - Long-term security of supply
  • - Animal-free batch production

For more information, read more on recombinant antibodies.

Conjugation ready
Our carrier-free antibodies are typically supplied in a PBS-only formulation, purified and free of BSA, sodium azide and glycerol. This conjugation-ready format is designed for use with fluorochromes, metal isotopes, oligonucleotides, and enzymes, which makes them ideal for antibody labelling, functional and cell-based assays, flow-based assays (e.g. mass cytometry) and Multiplex Imaging applications.

Use our conjugation kits for antibody conjugates that are ready-to-use in as little as 20 minutes with 1 minute hands-on-time and 100% antibody recovery: available for fluorescent dyes, HRP, biotin and gold.

Compatibility
This product is compatible with the Maxpar® Antibody Labeling Kit from Fluidigm, without the need for antibody preparation. Maxpar® is a trademark of Fluidigm Canada Inc.

Properties and storage information

Form
Liquid
Purification technique
Affinity purification Protein A
Storage buffer
Constituents: PBS
Shipped at conditions
Blue Ice
Appropriate short-term storage conditions
+4°C
Appropriate long-term storage conditions
+4°C

Supplementary information

This supplementary information is collated from multiple sources and compiled automatically.

CD16 and CD32 also referred to as FCγRIII and FCγRII are proteins expressed on the surface of various immune cells like natural killer cells macrophages and some subsets of T cells. CD16 has a mass ranging between 50-80 kDa while CD32 exhibits variability in size between 32-40 kDa due to different isoforms. These proteins play pivotal roles in immune response by binding to the Fc region of immunoglobulins influencing cell activation and signaling.
Biological function summary

CD16 and CD32 serve important roles in mediating immune cell interactions. They work as part of immune synapses facilitating antibody-dependent cellular cytotoxicity (ADCC) and phagocytosis processes. Due to their involvement in these complex activities they are included in immunological synapse formation and modulation extending their influence over overall immune regulation and response. These proteins are known to contribute to both innate and adaptive immune mechanisms as receptors for the Fc portion of immunoglobulin G.

Pathways

CD16 and CD32 interact within signaling pathways like the Fc gamma receptor-mediated phagocytosis pathway and the immune response-regulating signaling pathway. These receptors work in coordination with other immunoglobulin family members to initiate targeted cellular reactions necessary for immune challenge responses. CD32 often partners with CD19 and CD21 within pathways to modulate B cell receptor-mediated signaling.

CD16 and CD32 have connections to autoimmune diseases and infectious diseases. Aberrant expression or dysfunction in these proteins can contribute to the development of conditions such as systemic lupus erythematosus where improper immune complex clearance occurs and chronic inflammation results. CD16's involvement with NK cells can also play a role in viral infection control highlighting their importance in pathogen defense mechanisms.

Product protocols

For this product, it's our understanding that no specific protocols are required. You can visit:

Target data

Receptor for the Fc region of complexed immunoglobulins gamma. Low affinity receptor which binds to IgG1, IgG2a and IgG2b (PubMed : 17558411). Mediates neutrophil activation by IgG complexes redundantly with Fcgr4 (PubMed : 18097064).
See full target information Fcgr3

Additional targets

Fcgr2

Product promise

We are committed to supporting your work with high-quality reagents, and we're here for you every step of the way. In the unlikely event that one of our products does not perform as expected, you're protected by our Product Promise.
For full details, please see our Terms & Conditions

Please note: All products are 'FOR RESEARCH USE ONLY. NOT FOR USE IN DIAGNOSTIC OR THERAPEUTIC PROCEDURES'.

For licensing inquiries, please contact partnerships@abcam.com