JavaScript is disabled in your browser. Please enable JavaScript to view this website.
AB255296

Anti-CD177 antibody [EPR22813-205]

  • BOND RX™ Validated
  • RabMAb
  • Recombinant
  • Advanced Validation
  • What is this?

Be the first to review this product! Submit a review

|

(3 Publications)

Rabbit Recombinant Monoclonal CD177 antibody. Suitable for WB, IHC-P, mIHC and reacts with Human samples. Cited in 3 publications.

View Alternative Names

CD177, NB1, PRV1, UNQ595/PRO1181, CD177 antigen, Human neutrophil alloantigen 2a, NB1 glycoprotein, Polycythemia rubra vera protein 1, HNA-2a, NB1 GP, PRV-1

11 Images
Multiplex immunohistochemistry - Anti-CD177 antibody [EPR22813-205] (AB255296)
  • mIHC

Lab

Multiplex immunohistochemistry - Anti-CD177 antibody [EPR22813-205] (AB255296)

Multiplex immunohistochemistry analysis of formalin/PFA-fixed paraffin-embedded human placenta tissue staining CD68 with ab213363 at a 1/500 dilution, ab315802 anti-CD34 used at 1/2000 dilution and ab255296 anti-CD177 used at a 1/2000 dilution.

Panel A : merged staining of anti-CD68 (green; Opal™520), anti-CD34 (magenta; Opal™690) and anti-CD177 (gray; Opal™570) on human placenta.

Panel B : anti-CD68 staining macrophages in human placenta.

Panel C : ant-CD34 staining endothelium in human placenta.

Panel D : ant-CD177 staining neutrophils in human placenta.

Nuclear DNA was labeled with DAPI (shown in blue).

The section was incubated in three rounds of staining : in the order of ab213363, ab315802 and ab255296 for 30 mins at room temperature. Each round was followed by a separate fluorescent tyramide signal amplification system.

The immunostaining was performed on a Leica Biosystems BOND® RX instrument with an Opal™ 4-color kit. Image acquisition was performed with Leica SP8 confocal microscope.

Heat mediated antigen retrieval with Tris-EDTA buffer (pH 9.0, epitope retrieval solution 2) for 20 mins.

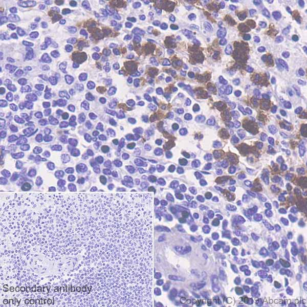
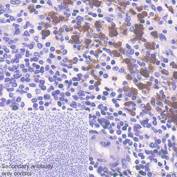
Immunohistochemistry (Formalin/PFA-fixed paraffin-embedded sections) - Anti-CD177 antibody [EPR22813-205] (AB255296)
  • IHC-P

Unknown

Immunohistochemistry (Formalin/PFA-fixed paraffin-embedded sections) - Anti-CD177 antibody [EPR22813-205] (AB255296)

Immunohistochemical analysis of paraffin-embedded human spleen tissue labeling CD177 with ab255296 at 1/2000 dilution (0.252 μg/ml) followed by a ready to use Rabbit specific IHC polymer detection kit HRP/DAB (ab209101). Positive staining on neutrophils in human spleen (PMID : 24562309) is observed. The section was incubated with ab255296 for 10 mins at RT. The immunostaining was performed on a Leica Biosystems BOND® RX instrument. Counterstained with hematoxylin. Heat mediated antigen retrieval with Tris-EDTA buffer (pH 9.0, epitope retrieval solution 2) for 20 mins.

Secondary antibody only control : Used PBS instead of primary antibody, secondary antibody is a ready to use Rabbit specific IHC polymer detection kit HRP/DAB (ab209101).

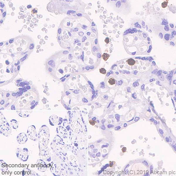
Immunohistochemistry (Formalin/PFA-fixed paraffin-embedded sections) - Anti-CD177 antibody [EPR22813-205] (AB255296)
  • IHC-P

Unknown

Immunohistochemistry (Formalin/PFA-fixed paraffin-embedded sections) - Anti-CD177 antibody [EPR22813-205] (AB255296)

Immunohistochemical analysis of paraffin-embedded human placenta tissue labeling CD177 with ab255296 at 1/2000 dilution (0.252 μg/ml) followed by a ready to use Rabbit specific IHC polymer detection kit HRP/DAB (ab209101). Positive staining on neutrophils in human placenta. The section was incubated with ab255296 for 10 mins at RT. The immunostaining was performed on a Leica Biosystems BOND® RX instrument. Counterstained with hematoxylin. Heat mediated antigen retrieval with Tris-EDTA buffer (pH 9.0, epitope retrieval solution 2) for 20 mins.

Secondary antibody only control : Used PBS instead of primary antibody, secondary antibody is a ready to use Rabbit specific IHC polymer detection kit HRP/DAB (ab209101).

Immunohistochemistry (Formalin/PFA-fixed paraffin-embedded sections) - Anti-CD177 antibody [EPR22813-205] (AB255296)
  • IHC-P

Unknown

Immunohistochemistry (Formalin/PFA-fixed paraffin-embedded sections) - Anti-CD177 antibody [EPR22813-205] (AB255296)

Immunohistochemical analysis of paraffin-embedded human bone marrow labeling CD177 with ab255296 at 1/2000 dilution (0.252 μg/ml) followed by a ready to use Rabbit specific IHC polymer detection kit HRP/DAB (ab209101). Positive staining on human bone marrow (PMID : 22434870). The section was incubated with ab255296 for 10 mins at RT. The immunostaining was performed on a Leica Biosystems BOND® RX instrument. Counterstained with hematoxylin. Heat mediated antigen retrieval with Tris-EDTA buffer (pH 9.0, epitope retrieval solution 2) for 20 mins.

Secondary antibody only control : Used PBS instead of primary antibody, secondary antibody is a ready to use Rabbit specific IHC polymer detection kit HRP/DAB (ab209101).

Multiplex immunohistochemistry - Anti-CD177 antibody [EPR22813-205] (AB255296)
  • mIHC

Supplier Data

Multiplex immunohistochemistry - Anti-CD177 antibody [EPR22813-205] (AB255296)

Immunohistochemistry analysis of Formalin/PFA-fixed paraffin-embedded sections human bone marrow tissue labelling PRG2 with ab322142 at 5000 dilution (B), CD1777 with ab255296 at 2000 dilution (C) and CD42d/GP5 with ab322703 at 500 dilution (D). Opal Polymer HRP Ms + Rb was used as a secondary antibody, and DAPI was used for a nuclear counter stain. Heat mediated antigen retrieval with TrisEDTA buffer (pH 9.0, epitope retrieval solution2) for 20 mins.

Panel A : anti-PRG2 (green; Opal™520), anti-CD177 (magenta; Opal™690) and anti-CD42d/GP5 (gray; Opal™570) on human bond marrow.

Panel B : anti-PRG2 staining basophils in human bone marrow.

Panel C : anti-CD177 staining neutrophils in human bone marrow.

Panel D : anti-CD42d/PGP5 staining megakaryocytes in human bone marrow.

Nuclear DNA was labeled with DAPI (shown in blue).

The section was incubated in three rounds of staining : in the order of ab322142, ab255296 and ab322703 for 30 mins at room temperature. Each round was followed by a separate fluorescent tyramide signal amplification system.

The immunostaining was performed on a Leica Biosystems BOND® RX instrument with an Opal™ 4-color kit. Image acquisition was performed with Leica SP8 confocal microscope.

Multiplex immunohistochemistry - Anti-CD177 antibody [EPR22813-205] (AB255296)
  • mIHC

Lab

Multiplex immunohistochemistry - Anti-CD177 antibody [EPR22813-205] (AB255296)

Multiplex immunohistochemistry analysis of formalin/PFA-fixed paraffin-embedded human spleen tissue staining CD42d/GP5 with ab322703 at a 1/500 dilution, ab255296 anti-CD177 used at 1/2000 dilution and ab323609 anti-HYAL2 used at a 1/100 dilution.

Panel A : anti-CD42d/GP5 (green; Opal™520), anti-CD177 (magenta; Opal™690) and anti-HYAL2 (gray; Opal™570) on human spleen.

Panel B : anti-CD42d/GP5 staining platelets in human spleen.

Panel C : anti-CD177 staining neutrophils in human spleen.

Panel D : anti-HYAL2 staining blood vessel in human spleen.

Nuclear DNA was labeled with DAPI (shown in blue).

The section was incubated in three rounds of staining : in the order of ab322703, ab255296 and ab323609 for 30 mins at room temperature. Each round was followed by a separate fluorescent tyramide signal amplification system.

The immunostaining was performed on a Leica Biosystems BOND® RX instrument with an Opal™ 4-color kit. Image acquisition was performed with Leica SP8 confocal microscope.

Heat mediated antigen retrieval was performed with Tris-EDTA buffer (pH 9.0, Epitope Retrieval Solution 2) for 20 mins.

Multiplex immunohistochemistry - Anti-CD177 antibody [EPR22813-205] (AB255296)
  • mIHC

Lab

Multiplex immunohistochemistry - Anti-CD177 antibody [EPR22813-205] (AB255296)

Panel A : anti-CD42d/GP5 (green; Opal™520), anti-CD177 (magenta; Opal™690) and anti-HYAL2 (gray; Opal™570) on human spleen. Panel B : anti-CD42d/GP5 staining platelets in human spleen. Panel C : anti-CD177 staining neutrophils in human spleen. Panel D : anti-HYAL2 staining blood vessel in human spleen. Nuclear DNA was labeled with DAPI (shown in blue). The section was incubated in three rounds of staining : in the order of ab322703, ab255296 and ab323609 for 30 mins at room temperature. Each round was followed by a separate fluorescent tyramide signal amplification system. The immunostaining was performed on a Leica Biosystems BOND® RX instrument with an Opal™ 4-color kit. Image acquisition was performed with Leica SP8 confocal microscope.

Multiplex immunohistochemistry - Anti-CD177 antibody [EPR22813-205] (AB255296)
  • mIHC

Lab

Multiplex immunohistochemistry - Anti-CD177 antibody [EPR22813-205] (AB255296)

Multiplex immunohistochemistry analysis of formalin/PFA-fixed paraffin-embedded human spleen tissue staining CD42d/GP5 with ab322703 at a 1/500 dilution, ab255296 anti-CD177 used at 1/2000 dilution and ab183322 anti-CD14 used at a 1/100 dilution.

Panel A : anti-CD42d/GP5 (green; Opal™520), anti-CD177 (magenta; Opal™690) and anti-CD14 (gray; Opal™570) on human spleen.

Panel B : anti-CD42d/GP5 staining platelets in human spleen.

Panel C : anti-CD177 staining neutrophils in human spleen.

Panel D : anti-CD14 staining blood vessel in human spleen.

Nuclear DNA was labeled with DAPI (shown in blue).

The section was incubated in three rounds of staining : in the order of ab322703, ab255296 and ab183322 for 30 mins at room temperature. Each round was followed by a separate fluorescent tyramide signal amplification system.

The immunostaining was performed on a Leica Biosystems BOND® RX instrument with an Opal™ 4-color kit. Image acquisition was performed with Leica SP8 confocal microscope.

Heat mediated antigen retrieval was performed with Tris-EDTA buffer (pH 9.0, Epitope Retrieval Solution 2) for 20 mins.

Western blot - Anti-CD177 antibody [EPR22813-205] (AB255296)
  • WB

Unknown

Western blot - Anti-CD177 antibody [EPR22813-205] (AB255296)

CD177 is a glycoprotein. The molecular weight observed is consistent with what has been described in the literature (PMID : 17580308). Negative control : U-937 (PMID : 17580308).

Blocking/Dilution buffer : 5% NFDM/TBST.

All lanes:

Western blot - Anti-CD177 antibody [EPR22813-205] (ab255296) at 1/1000 dilution

Lane 1:

Human liver lysate at 20 µg

Lane 2:

U-937 (human histiocytic lymphoma monocyte) whole cell lysate at 20 µg

Secondary

All lanes:

Western blot - VeriBlot for IP Detection Reagent (HRP) (<a href='/en-us/products/reagents/veriblot-for-ip-detection-reagent-hrp-ab131366'>ab131366</a>) at 1/1000 dilution

Predicted band size: 46 kDa

false

Exposure time: 3min

Western blot - Anti-CD177 antibody [EPR22813-205] (AB255296)
  • WB

Unknown

Western blot - Anti-CD177 antibody [EPR22813-205] (AB255296)

CD177 is a glycoprotein. The molecular weight observed is consistent with what has been described in the literature (PMID : 17580308).

Blocking/Dilution buffer : 5% NFDM/TBST.

Exposure times : Lane 1 : 26 secs; Lane 2 : 3 mins.

All lanes:

Western blot - Anti-CD177 antibody [EPR22813-205] (ab255296) at 1/1000 dilution

Lane 1:

Human lung lysate at 10 µg

Lane 2:

Human spleen lysate at 10 µg

Secondary

All lanes:

Western blot - VeriBlot for IP Detection Reagent (HRP) (<a href='/en-us/products/reagents/veriblot-for-ip-detection-reagent-hrp-ab131366'>ab131366</a>) at 1/1000 dilution

Predicted band size: 46 kDa

false

Western blot - Anti-CD177 antibody [EPR22813-205] (AB255296)
  • WB

Unknown

Western blot - Anti-CD177 antibody [EPR22813-205] (AB255296)

Blocking/Dilution buffer : 5% NFDM/TBST.

All lanes:

Western blot - Anti-CD177 antibody [EPR22813-205] (ab255296) at 1/5000 dilution

All lanes:

Recombinant his-tagged human CD177 protein (aa22-407), 20 ng

Secondary

All lanes:

Western blot - Goat Anti-Rabbit IgG H&L (HRP) (<a href='/en-us/products/secondary-antibodies/goat-rabbit-igg-h-l-hrp-ab97051'>ab97051</a>) at 1/100000 dilution

Predicted band size: 46 kDa

false

Exposure time: 59s

  • Carrier free

    Anti-CD177 antibody [EPR22813-205] - BSA and Azide free

Key facts

Host species

Rabbit

Clonality

Monoclonal

Clone number

EPR22813-205

Isotype

IgG

Carrier free

No

Reacts with

Human

Applications

IHC-P, mIHC, WB

applications

Immunogen

The exact immunogen used to generate this antibody is proprietary information.

Reactivity data

{ "title": "Reactivity Data", "filters": { "stats": ["", "Species", "Dilution Info", "Notes"], "tabs": { "all-applications": {"fullname" : "All Applications", "shortname": "All Applications"}, "IP" : {"fullname" : "Immunoprecipitation", "shortname":"IP"}, "FlowCyt" : {"fullname" : "Flow Cytometry", "shortname":"Flow Cyt"}, "WB" : {"fullname" : "Western blot", "shortname":"WB"}, "ICCIF" : {"fullname" : "Immunocytochemistry/ Immunofluorescence", "shortname":"ICC/IF"}, "IHCP" : {"fullname" : "Immunohistochemistry (Formalin/PFA-fixed paraffin-embedded sections)", "shortname":"IHC-P"}, "mIHC" : {"fullname" : "Multiplex immunohistochemistry", "shortname":"mIHC"} }, "product-promise": { "all": "all", "testedAndGuaranteed": "tested", "guaranteed": "expected", "predicted": "predicted", "notRecommended": "not-recommended" } }, "values": { "Human": { "IP-species-checked": "notRecommended", "IP-species-dilution-info": "", "IP-species-notes": "<p></p>", "FlowCyt-species-checked": "notRecommended", "FlowCyt-species-dilution-info": "", "FlowCyt-species-notes": "<p></p>", "WB-species-checked": "testedAndGuaranteed", "WB-species-dilution-info": "1/1000", "WB-species-notes": "<p></p>", "ICCIF-species-checked": "notRecommended", "ICCIF-species-dilution-info": "", "ICCIF-species-notes": "<p></p>", "IHCP-species-checked": "testedAndGuaranteed", "IHCP-species-dilution-info": "1/2000", "IHCP-species-notes": "<p></p> Perform heat-mediated antigen retrieval with Tris/EDTA buffer pH 9.0 before commencing with IHC staining protocol.", "mIHC-species-checked": "testedAndGuaranteed", "mIHC-species-dilution-info": "1/2000", "mIHC-species-notes": "<p></p> Perform heat-mediated antigen retrieval with Tris/EDTA buffer pH 9.0 before commencing with IHC staining protocol." }, "Mouse": { "IP-species-checked": "notRecommended", "IP-species-dilution-info": "", "IP-species-notes": "<p></p>", "FlowCyt-species-checked": "notRecommended", "FlowCyt-species-dilution-info": "", "FlowCyt-species-notes": "", "WB-species-checked": "notRecommended", "WB-species-dilution-info": "", "WB-species-notes": "", "ICCIF-species-checked": "notRecommended", "ICCIF-species-dilution-info": "", "ICCIF-species-notes": "", "IHCP-species-checked": "notRecommended", "IHCP-species-dilution-info": "", "IHCP-species-notes": "", "mIHC-species-checked": "notRecommended", "mIHC-species-dilution-info": "", "mIHC-species-notes": "" } } }

Product details

Patented technology
Our RabMAb® technology is a patented hybridoma-based technology for making rabbit monoclonal antibodies. For details on our patents, please refer to RabMAb® patents.

What are the advantages of a recombinant monoclonal antibody?
This product is a recombinant monoclonal antibody, which offers several advantages including:

  • - High batch-to-batch consistency and reproducibility
  • - Improved sensitivity and specificity
  • - Long-term security of supply
  • - Animal-free batch production

For more information, read more on recombinant antibodies.

Properties and storage information

Form
Liquid
Purification technique
Affinity purification Protein A
Storage buffer
pH: 7.2 - 7.4 Preservative: 0.01% Sodium azide Constituents: PBS, 40% Glycerol (glycerin, glycerine), 0.05% BSA
Shipped at conditions
Blue Ice
Appropriate short-term storage duration
1-2 weeks
Appropriate short-term storage conditions
+4°C
Appropriate long-term storage conditions
-20°C
Aliquoting information
Upon delivery aliquot
Storage information
Avoid freeze / thaw cycle

Supplementary information

This supplementary information is collated from multiple sources and compiled automatically.

CD177 also known as neutrophil antigen NB1 is a glycoprotein with an approximate mass of 58 kDa. It is primarily expressed on the surface of neutrophils a type of white blood cell involved in immune response. The expression of CD177 can vary among individuals where some people might have a higher or lower presence on their neutrophils. CD177 has been identified to play a role in cell adhesion and signaling functions contributing to various cellular processes within the immune system.
Biological function summary

CD177 functions by mediating interactions between neutrophils and endothelial cells during inflammation. This protein is not known to be part of a multi-protein complex but it plays a significant role in facilitating neutrophil transmigration from blood vessels to sites of tissue damage or infection. This process supports the body's defense mechanisms by enabling neutrophils to quickly respond to external threats and participate in the inflammatory response.

Pathways

The involvement of CD177 in chemotactic activity and cell migration highlights its contribution to both the immune response and inflammation pathways. Its interaction with proteins such as PECAM-1 (Platelet Endothelial Cell Adhesion Molecule-1) enhances neutrophil transmigration across the endothelium. CD177 acts within these pathways to ensure a precise and rapid movement of neutrophils which is essential for an effective immune response.

CD177 levels have associations with conditions like polycythemia vera and anti-neutrophil cytoplasmic antibody (ANCA)-associated vasculitis. In polycythemia vera CD177 can affect the proliferation of blood cells due to its role in neutrophil function. In ANCA-associated vasculitis CD177's interaction with proteins such as PR3 (Proteinase 3) on the surface of neutrophils could contribute to the pathophysiology of the disease leading to inappropriate activation of the immune system and subsequent tissue damage.

Product protocols

For this product, it's our understanding that no specific protocols are required. You can visit:

Target data

In association with beta-2 integrin heterodimer ITGAM/CD11b and ITGB2/CD18, mediates activation of TNF-alpha primed neutrophils including degranulation and superoxide production (PubMed : 21193407). In addition, by preventing beta-2 integrin internalization and attenuating chemokine signaling favors adhesion over migration (PubMed : 28807980). Heterophilic interaction with PECAM1 on endothelial cells plays a role in neutrophil transendothelial migration in vitro (PubMed : 17580308). However, appears to be dispensable for neutrophil recruitment caused by bacterial infection in vivo (PubMed : 23461681). Acts as a receptor for the mature form of protease PRTN3 allowing its display at the cell surface of neutrophils (PubMed : 17244676, PubMed : 18462208). By displaying PRTN3 at the neutrophil cell surface, may play a role in enhancing endothelial cell junctional integrity and thus vascular integrity during neutrophil diapedesis (PubMed : 23202369).
See full target information CD177

Publications (3)

Recent publications for all applications. Explore the full list and refine your search

Hepatology research : the official journal of the Japan Society of Hepatology 55:1296-1306 PubMed40515742

2025

CXCL6 Is a Novel Biliary Marker and a Downstream Target of MMP7 in Biliary Atresia.

Applications

Unspecified application

Species

Unspecified reactive species

Fanyang Kong,Jingying Jiang,Min Du,Rui Dong,Gong Chen,Shan Zheng,Junfeng Wang

Frontiers in nutrition 11:1468874 PubMed39758319

2025

Melanin-concentrating hormone attenuates the hedonic feeding induced by orexin-A in the ventral tegmental area of high-fat diet male mice.

Applications

Unspecified application

Species

Unspecified reactive species

Xiaoning Liu,Helin Yang,Wenguang Xu,Xuezhe Wang,Wenhui Tang,Xiaoxuan Wang,Yang Jiao,Xinchi Luan,Pengmeng Li,Feifei Guo

Chinese medical journal 137:1316-1323 PubMed38738696

2024

Development and validation of a novel criterion of histologic healing in ulcerative colitis defined by inflammatory cell enumeration in lamina propria mucosa: A multicenter retrospective cohort in China.

Applications

Unspecified application

Species

Unspecified reactive species

Han Gao,Kangsheng Peng,Yadi Shi,Shenshen Zhu,Ruicong Sun,Chunjin Xu,Ping Liu,Zhi Pang,Lanxiang Zhu,Weichang Chen,Baisui Feng,Huili Wu,Guangxi Zhou,Mingsong Li,Junxiang Li,Baijing Ding,Zhanju Liu
View all publications

Product promise

We are committed to supporting your work with high-quality reagents, and we're here for you every step of the way. In the unlikely event that one of our products does not perform as expected, you're protected by our Product Promise.
For full details, please see our Terms & Conditions

Please note: All products are 'FOR RESEARCH USE ONLY. NOT FOR USE IN DIAGNOSTIC OR THERAPEUTIC PROCEDURES'.

For licensing inquiries, please contact partnerships@abcam.com