JavaScript is disabled in your browser. Please enable JavaScript to view this website.
AB307407

Anti-CD18 antibody [EPR26929-26] - BSA and Azide free

Be the first to review this product! Submit a review

|

(0 Publication)

Rabbit Recombinant Monoclonal CD18 antibody. Carrier free. Suitable for Flow Cyt, ICC/IF, IHC-P, WB and reacts with Human, Transfected cell line samples.

View Alternative Names

CD18, MFI7, ITGB2, Integrin beta-2, Complement receptor C3 subunit beta

10 Images
Immunohistochemistry (Formalin/PFA-fixed paraffin-embedded sections) - Anti-CD18 antibody [EPR26929-26] - BSA and Azide free (AB307407)
  • IHC-P

Supplier Data

Immunohistochemistry (Formalin/PFA-fixed paraffin-embedded sections) - Anti-CD18 antibody [EPR26929-26] - BSA and Azide free (AB307407)

This data was developed using ab307406, the same antibody clone in a different buffer formulation. Immunohistochemical analysis of paraffin-embedded Human cardiac muscle tissue labeling CD18 with ab307406 at 1/100 (5.22 ug/ml) followed by a ready to use LeicaDS9800 (Bond? Polymer Refine Detection) was used. Negative control : no staining on human cardiac muscle. The section was incubated with ab307406 for 30 mins at room temperature.The immunostaining was performed on a Leica Biosystems BOND? RX instrument Counterstained with Hematoxylin. Secondary antibody only control : Secondary antibody is a ready to use LeicaDS9800 (Bond? Polymer Refine Detection) was used. Heat mediated antigen retrieval was performed with Tris-EDTA buffer (pH 9.0, Epitope Retrieval Solution2) for 20 mins

Immunohistochemistry (Formalin/PFA-fixed paraffin-embedded sections) - Anti-CD18 antibody [EPR26929-26] - BSA and Azide free (AB307407)
  • IHC-P

Supplier Data

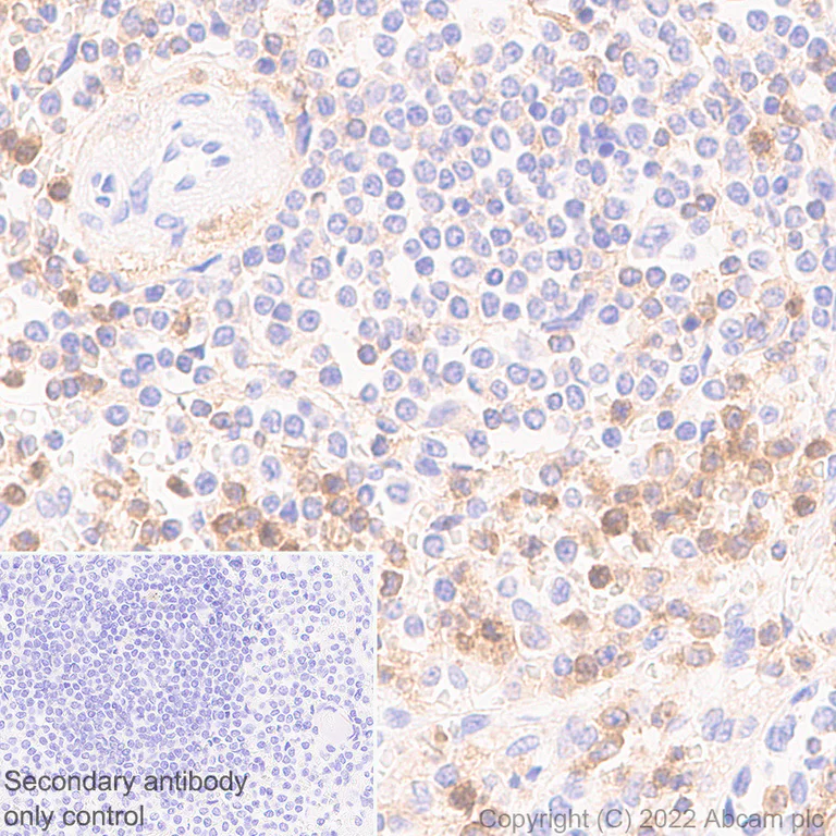
Immunohistochemistry (Formalin/PFA-fixed paraffin-embedded sections) - Anti-CD18 antibody [EPR26929-26] - BSA and Azide free (AB307407)

This data was developed using ab307406, the same antibody clone in a different buffer formulation. Immunohistochemical analysis of paraffin-embedded Human spleen tissue labeling CD18 with ab307406 at 1/100 (5.22 ug/ml) followed by a ready to use LeicaDS9800 (Bond? Polymer Refine Detection) was used. Positive staining on human spleen. The section was incubated with ab307406 for 30 mins at room temperature.The immunostaining was performed on a Leica Biosystems BOND? RX instrument Counterstained with Hematoxylin. Secondary antibody only control : Secondary antibody is a ready to use LeicaDS9800 (Bond? Polymer Refine Detection) was used. Heat mediated antigen retrieval was performed with Tris-EDTA buffer (pH 9.0, Epitope Retrieval Solution2) for 20 mins

Immunohistochemistry (Formalin/PFA-fixed paraffin-embedded sections) - Anti-CD18 antibody [EPR26929-26] - BSA and Azide free (AB307407)
  • IHC-P

Supplier Data

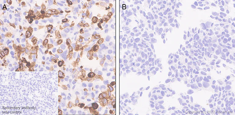
Immunohistochemistry (Formalin/PFA-fixed paraffin-embedded sections) - Anti-CD18 antibody [EPR26929-26] - BSA and Azide free (AB307407)

This data was developed using ab307406, the same antibody clone in a different buffer formulation. Immunohistochemical analysis of paraffin-embedded (A) HEK-293T (human tissue labeling CD18 with ab307406 at 1/100 (5.22 ug/ml) followed by a ready to use LeicaDS9800 (Bond? Polymer Refine Detection) was used. Positive staining on (A) HEK-293T transfected with a ITGB2 his tag construct, no staining on (B) HEK-293T transfected with empty plasmid.The section was incubated with ab307406 for 30 mins at room temperature.The immunostaining was performed on a Leica Biosystems BOND? RX instrument Counterstained with Hematoxylin. Secondary antibody only control : Secondary antibody is a ready to use LeicaDS9800 (Bond? Polymer Refine Detection) was used. Heat mediated antigen retrieval was performed with Tris-EDTA buffer (pH 9.0, Epitope Retrieval Solution2) for 20 mins

Immunohistochemistry (Formalin/PFA-fixed paraffin-embedded sections) - Anti-CD18 antibody [EPR26929-26] - BSA and Azide free (AB307407)
  • IHC-P

Supplier Data

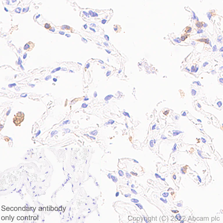
Immunohistochemistry (Formalin/PFA-fixed paraffin-embedded sections) - Anti-CD18 antibody [EPR26929-26] - BSA and Azide free (AB307407)

This data was developed using ab307406, the same antibody clone in a different buffer formulation. Immunohistochemical analysis of paraffin-embedded Human lung tissue labeling CD18 with ab307406 at 1/100 (5.22 ug/ml) followed by a ready to use LeicaDS9800 (Bond? Polymer Refine Detection) was used. Positive staining on macrophages of human lung. The section was incubated with ab307406 for 30 mins at room temperature.The immunostaining was performed on a Leica Biosystems BOND? RX instrument Counterstained with Hematoxylin. Secondary antibody only control : Secondary antibody is a ready to use LeicaDS9800 (Bond? Polymer Refine Detection) was used. Heat mediated antigen retrieval was performed with Tris-EDTA buffer (pH 9.0, Epitope Retrieval Solution2) for 20 mins

Immunocytochemistry/ Immunofluorescence - Anti-CD18 antibody [EPR26929-26] - BSA and Azide free (AB307407)
  • ICC/IF

Supplier Data

Immunocytochemistry/ Immunofluorescence - Anti-CD18 antibody [EPR26929-26] - BSA and Azide free (AB307407)

This data was developed using ab307406, the same antibody clone in a different buffer formulation. Immunofluorescent analysis of 4% Paraformaldehyde-fixed, 0.1% TritonX-100 permeABilized U-937 (human histiocytic lymphoma monocyte) cells lABelling CD18 with ab307406 at 1/1000 (0.522 ug/ml) dilution, followed by ab150081 Goat Anti-RABbit IgG H&L (Alexa Fluor? 488) preadsorbed antibody at 1/1000 2 ug/ml dilution (Green). Confocal image showing cytoplasmic staining in U-937 cell line.Negative control : HeLa.Image was taken with a confocal microscope(Leica-Microsystems, TCS SP8). is observed. ab195889 Anti-alpha Tubulin mouse monoclonal antibody - Microtubule Marker (Alexa Fluor? 594) was used to counterstain tubulin at 1/200 2.5 ug/ml dilution (Red). The Nuclear counterstain was DAPI (Blue). Secondary antibody only control : Secondary antibody is ab150081 Goat Anti-RABbit IgG H&L (Alexa Fluor? 488) preadsorbed at 1/1000 2 ug/ml dilution.

Flow Cytometry - Anti-CD18 antibody [EPR26929-26] - BSA and Azide free (AB307407)
  • Flow Cyt

Supplier Data

Flow Cytometry - Anti-CD18 antibody [EPR26929-26] - BSA and Azide free (AB307407)

This data was developed using ab307406, the same antibody clone in a different buffer formulation. Flow cytometric analysis of HeLa (human cervix adenocarcinoma epithelial cell, Left) / U937 (human histiocytic lymphoma monocyte, Right) cells labelling CD18 with ab307406 at 1/50 dilution (1ug) (Red) compared with a Rabbit monoclonal IgG (ab172730) (Black) isotype control and an unlabelled control (cells without incubation with primary antibody and secondary antibody) (Blue). Goat Anti-Rabbit IgG (Alexa Fluor® 488, ab150081) at 1/2000 dilution was used as the secondary antibody. Gated on viable cells.Negative control : HeLa (PMID : 31109948).

Flow Cytometry - Anti-CD18 antibody [EPR26929-26] - BSA and Azide free (AB307407)
  • Flow Cyt

Supplier Data

Flow Cytometry - Anti-CD18 antibody [EPR26929-26] - BSA and Azide free (AB307407)

This data was developed using ab307406, the same antibody clone in a different buffer formulation. Flow cytometric analysis of Human peripheral blood mononuclear cell (PBMC) cells labelling CD18 with ab307406 at 1/500 dilution (0.1ug)/ Right compared with a Rabbit monoclonal IgG (ab172730) / Left isotype control and an unlabelled control (cells without incubation with primary antibody and secondary antibody) (Blue). Goat Anti-Rabbit IgG (Alexa Fluor® 488, ab150081) at 1/2000 dilution was used as the secondary antibody. Gated on viable cells.Cells were stained with Rabbit IgG or ab307406. Then stained with anti-CD4 conjugated to Alexa Fluor® 647.

Flow Cytometry - Anti-CD18 antibody [EPR26929-26] - BSA and Azide free (AB307407)
  • Flow Cyt

Supplier Data

Flow Cytometry - Anti-CD18 antibody [EPR26929-26] - BSA and Azide free (AB307407)

This data was developed using ab307406, the same antibody clone in a different buffer formulation. Flow cytometric analysis of Human peripheral blood mononuclear cell (PBMC) cells lABelling CD18 with ab307406 at 1/500 dilution (0.1ug)/ Right compared with a Rabbit monoclonal IgG (ab172730) / Left isotype control and an unlabelled control (cells without incubation with primary antibody and secondary antibody) (Blue). Goat Anti-Rabbit IgG (Alexa Fluor® 488, ab150081) at 1/2000 dilution was used as the secondary antibody. Gated on viable cells. Cells were stained with Rabbit IgG or ab307406. Then stained with anti-CD14 conjugated to Alexa Fluor® 647.

Western blot - Anti-CD18 antibody [EPR26929-26] - BSA and Azide free (AB307407)
  • WB

Supplier Data

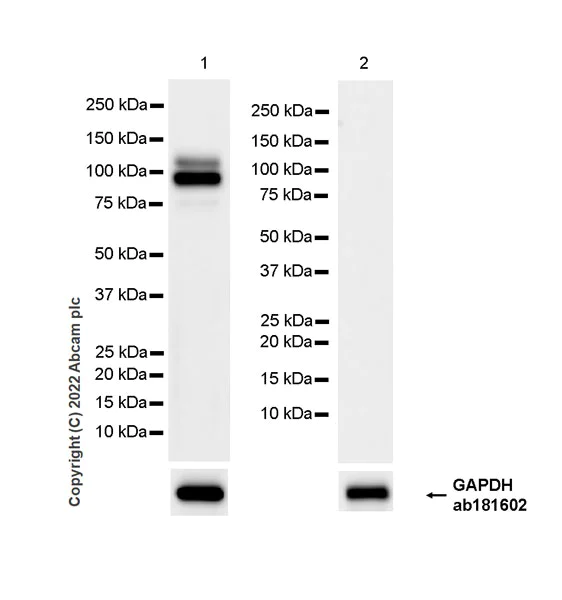
Western blot - Anti-CD18 antibody [EPR26929-26] - BSA and Azide free (AB307407)

This data was developed using 307406, the same antibody clone in a different buffer formulation. Blocking and diluting buffer and concentration : Negative control : human heart The MW is consistent to what has been described in the literature (PMID : 31109948) Samples are non-boiled as boiling may cause protein aggregation. Lanes 1 : 37 seconds, Lanes 2-3 : 59 seconds, Lanes 4-5 : 103 seconds, Exposure time :

All lanes:

Western blot - Anti-CD18 antibody [EPR26929-26] (<a href='/en-us/products/primary-antibodies/cd18-antibody-epr26929-26-ab307406'>ab307406</a>) at 1/1000 dilution

Lane 1:

Human lymphoma tissue 20 μg

Lane 2:

Human heart tissue 20 μg

Secondary

All lanes:

Goat Anti-Rabbit IgG (HRP) with minimal cross-reactivity with human IgG at 1/2000 dilution

Observed band size: 90 kDa,110 kDa

false

Exposure time: 37s

Western blot - Anti-CD18 antibody [EPR26929-26] - BSA and Azide free (AB307407)
  • WB

Supplier Data

Western blot - Anti-CD18 antibody [EPR26929-26] - BSA and Azide free (AB307407)

This data was developed using 307406, the same antibody clone in a different buffer formulation. Blocking and diluting buffer and concentration : Negative control : Hela The MW is consistent to what has been described in the literature (PMID : 31109948) Lysates were freshly made and used for Western blotting immediately to minimize protein degradation. Samples are non-boiled as boiling may cause protein aggregation. 26 seconds Exposure time :

All lanes:

Western blot - Anti-CD18 antibody [EPR26929-26] (<a href='/en-us/products/primary-antibodies/cd18-antibody-epr26929-26-ab307406'>ab307406</a>) at 1/1000 dilution

Lane 1:

U-937 (human histiocytic lymphoma monocyte) whole cell lysate 20 μg

Lane 2:

Hela (human cervix adenocarcinoma epithelial cell) whole cell lysate 20 μg

Secondary

All lanes:

Western blot - Goat Anti-Rabbit IgG H&L (HRP) (<a href='/en-us/products/secondary-antibodies/goat-rabbit-igg-h-l-hrp-ab97051'>ab97051</a>) at 1/100000 dilution

Observed band size: 90 kDa,110 kDa

false

Exposure time: 26s

Key facts

Host species

Rabbit

Clonality

Monoclonal

Clone number

EPR26929-26

Isotype

IgG

Carrier free

Yes

Reacts with

Human

Applications

Flow Cyt, ICC/IF, WB, IHC-P

applications

Immunogen

The exact immunogen used to generate this antibody is proprietary information.

Reactivity data

{ "title": "Reactivity Data", "filters": { "stats": ["", "Species", "Dilution Info", "Notes"], "tabs": { "all-applications": {"fullname" : "All Applications", "shortname": "All Applications"}, "IP" : {"fullname" : "Immunoprecipitation", "shortname":"IP"}, "FlowCyt" : {"fullname" : "Flow Cytometry", "shortname":"Flow Cyt"}, "ICCIF" : {"fullname" : "Immunocytochemistry/ Immunofluorescence", "shortname":"ICC/IF"}, "IHCFr" : {"fullname" : "Immunohistochemistry (Frozen sections)", "shortname":"IHC-Fr"}, "IHCP" : {"fullname" : "Immunohistochemistry (Formalin/PFA-fixed paraffin-embedded sections)", "shortname":"IHC-P"}, "WB" : {"fullname" : "Western blot", "shortname":"WB"} }, "product-promise": { "all": "all", "testedAndGuaranteed": "tested", "guaranteed": "expected", "predicted": "predicted", "notRecommended": "not-recommended" } }, "values": { "Human": { "IP-species-checked": "notRecommended", "IP-species-dilution-info": "", "IP-species-notes": "<p></p>", "FlowCyt-species-checked": "testedAndGuaranteed", "FlowCyt-species-dilution-info": "", "FlowCyt-species-notes": "<p></p>", "ICCIF-species-checked": "testedAndGuaranteed", "ICCIF-species-dilution-info": "", "ICCIF-species-notes": "<p></p>", "IHCFr-species-checked": "notRecommended", "IHCFr-species-dilution-info": "", "IHCFr-species-notes": "", "IHCP-species-checked": "testedAndGuaranteed", "IHCP-species-dilution-info": "", "IHCP-species-notes": "<p></p>", "WB-species-checked": "testedAndGuaranteed", "WB-species-dilution-info": "", "WB-species-notes": "<p></p>" }, "Mouse": { "IP-species-checked": "notRecommended", "IP-species-dilution-info": "", "IP-species-notes": "", "FlowCyt-species-checked": "notRecommended", "FlowCyt-species-dilution-info": "", "FlowCyt-species-notes": "", "ICCIF-species-checked": "notRecommended", "ICCIF-species-dilution-info": "", "ICCIF-species-notes": "", "IHCFr-species-checked": "notRecommended", "IHCFr-species-dilution-info": "", "IHCFr-species-notes": "<p></p>", "IHCP-species-checked": "notRecommended", "IHCP-species-dilution-info": "", "IHCP-species-notes": "<p></p>", "WB-species-checked": "notRecommended", "WB-species-dilution-info": "", "WB-species-notes": "<p></p>" }, "Rat": { "IP-species-checked": "notRecommended", "IP-species-dilution-info": "", "IP-species-notes": "", "FlowCyt-species-checked": "notRecommended", "FlowCyt-species-dilution-info": "", "FlowCyt-species-notes": "", "ICCIF-species-checked": "notRecommended", "ICCIF-species-dilution-info": "", "ICCIF-species-notes": "", "IHCFr-species-checked": "notRecommended", "IHCFr-species-dilution-info": "", "IHCFr-species-notes": "", "IHCP-species-checked": "notRecommended", "IHCP-species-dilution-info": "", "IHCP-species-notes": "<p></p>", "WB-species-checked": "notRecommended", "WB-species-dilution-info": "", "WB-species-notes": "<p></p>" }, "Transfected cell line": { "IP-species-checked": "notRecommended", "IP-species-dilution-info": "", "IP-species-notes": "", "FlowCyt-species-checked": "notRecommended", "FlowCyt-species-dilution-info": "", "FlowCyt-species-notes": "", "ICCIF-species-checked": "notRecommended", "ICCIF-species-dilution-info": "", "ICCIF-species-notes": "", "IHCFr-species-checked": "notRecommended", "IHCFr-species-dilution-info": "", "IHCFr-species-notes": "", "IHCP-species-checked": "testedAndGuaranteed", "IHCP-species-dilution-info": "", "IHCP-species-notes": "<p></p>", "WB-species-checked": "notRecommended", "WB-species-dilution-info": "", "WB-species-notes": "" } } }

Product details

Patented technology
Our RabMAb® technology is a patented hybridoma-based technology for making rabbit monoclonal antibodies. For details on our patents, please refer to RabMAb® patents.

What are the advantages of a recombinant monoclonal antibody?
This product is a recombinant monoclonal antibody, which offers several advantages including:

  • - High batch-to-batch consistency and reproducibility
  • - Improved sensitivity and specificity
  • - Long-term security of supply
  • - Animal-free batch production

For more information, read more on recombinant antibodies.

Conjugation ready
Our carrier-free antibodies are typically supplied in a PBS-only formulation, purified and free of BSA, sodium azide and glycerol. This conjugation-ready format is designed for use with fluorochromes, metal isotopes, oligonucleotides, and enzymes, which makes them ideal for antibody labelling, functional and cell-based assays, flow-based assays (e.g. mass cytometry) and Multiplex Imaging applications.

Use our conjugation kits for antibody conjugates that are ready-to-use in as little as 20 minutes with 1 minute hands-on-time and 100% antibody recovery: available for fluorescent dyes, HRP, biotin and gold.

Compatibility
This product is compatible with the Maxpar® Antibody Labeling Kit from Fluidigm, without the need for antibody preparation. Maxpar® is a trademark of Fluidigm Canada Inc.

Properties and storage information

Form
Liquid
Purification technique
Affinity purification Protein A
Storage buffer
pH: 7.2 - 7.4 Constituents: 100% PBS
Shipped at conditions
Blue Ice
Appropriate short-term storage conditions
+4°C
Appropriate long-term storage conditions
+4°C

Supplementary information

This supplementary information is collated from multiple sources and compiled automatically.

CD18 also known as ITGB2 is a protein with a molecular weight of approximately 95 kDa. It is part of the beta-2 integrin family and partners with different alpha subunits to form heterodimers. CD18 is primarily expressed on leukocytes including neutrophils monocytes macrophages and lymphocytes. As a surface marker CD18 plays a significant role in immune cell adhesion and migration enabling cells to respond to inflammation signals effectively.
Biological function summary

The CD18 protein functions in conjunction with associated alpha subunit partners forming a part of the wider integrin family complex. ItgB2 as it is sometimes referred to is essential for cell adhesion processes. These heterodimers facilitate binding between leukocytes and various ligands on endothelial cells which subsequently controls leukocyte transmigration through vascular walls. CD18's activities are critical in immune system responses making it a prominent focus in immunological research.

Pathways

The role of CD18 extends into inflammatory and immune response signaling pathways. It contributes critically to the leukocyte adhesion cascade. This cascade engagement involves interaction with other proteins such as ICAM-1 on endothelial surfaces. CD18 through its association in integrin-mediated signaling influences processes like phagocytosis and lymphocyte activation giving it a central place in cellular immunity.

Deficiencies or mutations affecting CD18 function correlate with disorders such as Leukocyte Adhesion Deficiency type I (LAD-I). This condition results from impaired leukocyte function due to defective integrin expression. The role of CD18 in arthritis is also significant primarily by mediating leukocyte infiltration into inflamed tissues. Its interaction with proteins like ICAM-1 becomes exceptionally relevant in these disease dynamics indicating potential therapeutic targets for modulating immune responses.

Product protocols

For this product, it's our understanding that no specific protocols are required. You can visit:

Target data

Integrin ITGAL/ITGB2 is a receptor for ICAM1, ICAM2, ICAM3 and ICAM4. Integrin ITGAL/ITGB2 is also a receptor for the secreted form of ubiquitin-like protein ISG15; the interaction is mediated by ITGAL (PubMed : 29100055). Integrins ITGAM/ITGB2 and ITGAX/ITGB2 are receptors for the iC3b fragment of the third complement component and for fibrinogen. Integrin ITGAX/ITGB2 recognizes the sequence G-P-R in fibrinogen alpha-chain. Integrin ITGAM/ITGB2 recognizes P1 and P2 peptides of fibrinogen gamma chain. Integrin ITGAM/ITGB2 is also a receptor for factor X. Integrin ITGAD/ITGB2 is a receptor for ICAM3 and VCAM1. Contributes to natural killer cell cytotoxicity (PubMed : 15356110). Involved in leukocyte adhesion and transmigration of leukocytes including T-cells and neutrophils (PubMed : 11812992, PubMed : 28807980). Triggers neutrophil transmigration during lung injury through PTK2B/PYK2-mediated activation (PubMed : 18587400). Integrin ITGAL/ITGB2 in association with ICAM3, contributes to apoptotic neutrophil phagocytosis by macrophages (PubMed : 23775590). In association with alpha subunit ITGAM/CD11b, required for CD177-PRTN3-mediated activation of TNF primed neutrophils (PubMed : 21193407).
See full target information ITGB2

Product promise

We are committed to supporting your work with high-quality reagents, and we're here for you every step of the way. In the unlikely event that one of our products does not perform as expected, you're protected by our Product Promise.
For full details, please see our Terms & Conditions

Please note: All products are 'FOR RESEARCH USE ONLY. NOT FOR USE IN DIAGNOSTIC OR THERAPEUTIC PROCEDURES'.

For licensing inquiries, please contact partnerships@abcam.com