JavaScript is disabled in your browser. Please enable JavaScript to view this website.
AB325521

Anti-CD18 antibody [RM1357]

Be the first to review this product! Submit a review

|

(0 Publication)

Rabbit Recombinant Multiclonal CD18 antibody. Suitable for IHC-P, Flow Cyt, ICC/IF, WB and reacts with Human, Mouse samples.

View Alternative Names

CD18, MFI7, ITGB2, Integrin beta-2, Complement receptor C3 subunit beta

14 Images
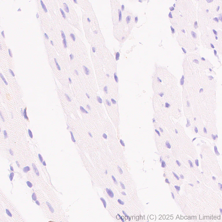
Immunohistochemistry (Formalin/PFA-fixed paraffin-embedded sections) - Anti-CD18 antibody [RM1357] (AB325521)
  • IHC-P

Lab

Immunohistochemistry (Formalin/PFA-fixed paraffin-embedded sections) - Anti-CD18 antibody [RM1357] (AB325521)

Immunohistochemical analysis of paraffin-embedded Human cardiac muscle tissue labeling CD18 with ab325521 at 1/100 (5.02 μg/ml) dilution, followed by a ready to use Rabbit specific IHC polymer detection kit HRP/DAB (ab209101).

Low expression tissue : no staining on human cardiac muscle.

The primary antibody was incubated for 30 mins at room temperature.

The immunostaining was performed on a Leica Biosystems BOND® RX instrument

Counterstained with Hematoxylin.

Secondary antibody only control : Secondary antibody is a ready to use Rabbit specific IHC polymer detection kit HRP/DAB (ab209101).

Heat mediated antigen retrieval was performed with Tris-EDTA buffer (pH 9.0, Epitope Retrieval Solution2) for 20 mins

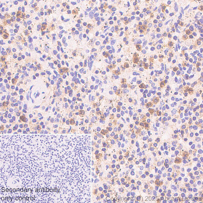
Immunohistochemistry (Formalin/PFA-fixed paraffin-embedded sections) - Anti-CD18 antibody [RM1357] (AB325521)
  • IHC-P

Lab

Immunohistochemistry (Formalin/PFA-fixed paraffin-embedded sections) - Anti-CD18 antibody [RM1357] (AB325521)

Immunohistochemical analysis of paraffin-embedded Human spleen tissue labeling CD18 with ab325521 at 1/100 (5.02 μg/ml) dilution, followed by a ready to use Rabbit specific IHC polymer detection kit HRP/DAB (ab209101).

Positive staining on human spleen.

The primary antibody was incubated for 30 mins at room temperature.

The immunostaining was performed on a Leica Biosystems BOND® RX instrument

Counterstained with Hematoxylin.

Secondary antibody only control : Secondary antibody is a ready to use Rabbit specific IHC polymer detection kit HRP/DAB (ab209101).

Heat mediated antigen retrieval was performed with Tris-EDTA buffer (pH 9.0, Epitope Retrieval Solution2) for 20 mins

Flow Cytometry - Anti-CD18 antibody [RM1357] (AB325521)
  • Flow Cyt

Lab

Flow Cytometry - Anti-CD18 antibody [RM1357] (AB325521)

Flow cytometric analysis of Human PBMC (human peripheral blood mononuclear cell) cells labelling CD18 with ab325521 at 1/500 dilution (0.1ug) / Right compared with a Rabbit monoclonal IgG (ab172730) / Left isotype control and an unlabelled control (cells without incubation with primary antibody and secondary antibody).

Goat Anti-Rabbit IgG (Alexa Fluor® 488, ab150081) at 1/5000 dilution was used as the secondary antibody.

Cells were co-stained with anti human CD14 conjugated to Alexa Fluor®647. Gated on viable cells.

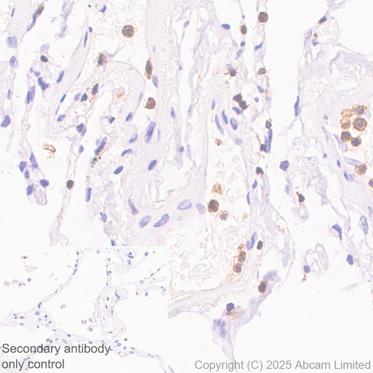
Immunohistochemistry (Formalin/PFA-fixed paraffin-embedded sections) - Anti-CD18 antibody [RM1357] (AB325521)
  • IHC-P

Lab

Immunohistochemistry (Formalin/PFA-fixed paraffin-embedded sections) - Anti-CD18 antibody [RM1357] (AB325521)

Immunohistochemical analysis of paraffin-embedded Human lung tissue labeling CD18 with ab325521 at 1/100 (5.02 μg/ml) dilution, followed by a ready to use Rabbit specific IHC polymer detection kit HRP/DAB (ab209101).

Positive staining on immune cells of human lung.

The primary antibody was incubated for 30 mins at room temperature.

The immunostaining was performed on a Leica Biosystems BOND® RX instrument

Counterstained with Hematoxylin.

Secondary antibody only control : Secondary antibody is a ready to use Rabbit specific IHC polymer detection kit HRP/DAB (ab209101).

Heat mediated antigen retrieval was performed with Tris-EDTA buffer (pH 9.0, Epitope Retrieval Solution2) for 20 mins

Immunocytochemistry/ Immunofluorescence - Anti-CD18 antibody [RM1357] (AB325521)
  • ICC/IF

Lab

Immunocytochemistry/ Immunofluorescence - Anti-CD18 antibody [RM1357] (AB325521)

Immunofluorescent analysis of 4% Paraformaldehyde-fixed, 0.1% TritonX-100 permeabilized U-937(human histiocytic lymphoma monocyte);HeLa (human cervical adenocarcinoma epithelial cell) cells labelling CD18 with ab325521 at 1/1000 (0.502 μg/ml) dilution , followed by ab150081 Goat Anti-Rabbit IgG H&L (Alexa Fluor® 488) preadsorbed antibody at 1/1000 dilution (Green).

Confocal image showing cytoplasmic staining in U-937 cells (shown in green). The counterstain was observed in magenta. Nuclear DNA was labelled with DAPI (shown in blue). Negative control : HeLa. Image was taken with a confocal microscope (Leica-Microsystems, TCS SP8).

ab7291 Anti-alpha Tubulin mouse monoclonal antibody was used to counterstain tubulin at 1/1000 dilution (Magenta). The Nuclear counterstain was DAPI (Blue).

Secondary antibody only control : Secondary antibody is ab150081 Goat Anti-Rabbit IgG H&L (Alexa Fluor® 488) preadsorbed at 1/1000 dilution.

Flow Cytometry - Anti-CD18 antibody [RM1357] (AB325521)
  • Flow Cyt

Lab

Flow Cytometry - Anti-CD18 antibody [RM1357] (AB325521)

Flow cytometric analysis of U937 (human histiocytic lymphoma monocyte) (Right) / HeLa (human cervical adenocarcinoma epithelial cell) (Left) cells labelling CD18 with ab325521 at 1/500 dilution (0.1ug) / Red compared with a Rabbit monoclonal IgG (ab172730) / Black isotype control and an unlabelled control (cells without incubation with primary antibody and secondary antibody).

Goat Anti-Rabbit IgG (Alexa Fluor® 488, ab150081) at 1/5000 dilution was used as the secondary antibody.

Gated on viable cells. Negative control : HeLa.

Immunohistochemistry (Formalin/PFA-fixed paraffin-embedded sections) - Anti-CD18 antibody [RM1357] (AB325521)
  • IHC-P

Lab

Immunohistochemistry (Formalin/PFA-fixed paraffin-embedded sections) - Anti-CD18 antibody [RM1357] (AB325521)

Immunohistochemical analysis of paraffin-embedded Mouse spleen tissue labeling CD18 with ab325521 at 1/100 (5.02 μg/ml) dilution, followed by a ready to use Rabbit specific IHC polymer detection kit HRP/DAB (ab209101).

Positive staining on mouse spleen.

The primary antibody was incubated for 30 mins at room temperature.

The immunostaining was performed on a Leica Biosystems BOND® RX instrument

Counterstained with Hematoxylin.

Secondary antibody only control : Secondary antibody is a ready to use Rabbit specific IHC polymer detection kit HRP/DAB (ab209101).

Heat mediated antigen retrieval was performed with Tris-EDTA buffer (pH 9.0, Epitope Retrieval Solution2) for 20 mins

Flow Cytometry - Anti-CD18 antibody [RM1357] (AB325521)
  • Flow Cyt

Lab

Flow Cytometry - Anti-CD18 antibody [RM1357] (AB325521)

Flow cytometric analysis of RAW 264.7 (mouse Abelson murine leukemia virus-induced tumor macrophage) (Right) / Neuro-2a (mouse neuroblastoma neuroblast) (Left) cells labelling CD18 with ab325521 at 1/500 dilution (0.1ug) / Red compared with a Rabbit monoclonal IgG (ab172730) / Black isotype control and an unlabelled control (cells without incubation with primary antibody and secondary antibody).

Goat Anti-Rabbit IgG (Alexa Fluor® 488, ab150081) at 1/5000 dilution was used as the secondary antibody.

Gated on viable cells. Negative control : Neuro-2a.

Immunocytochemistry/ Immunofluorescence - Anti-CD18 antibody [RM1357] (AB325521)
  • ICC/IF

Lab

Immunocytochemistry/ Immunofluorescence - Anti-CD18 antibody [RM1357] (AB325521)

Immunofluorescent analysis of 4% Paraformaldehyde-fixed, 0.1% TritonX-100 permeabilized Raw 264.7 (mouse Abelson murine leukemia virus-induced tumor macrophage);Neuro-2a (mouse neuroblastoma neuroblast) cells labelling CD18 with ab325521 at 1/1000 (0.502 μg/ml) dilution , followed by ab150081 Goat Anti-Rabbit IgG H&L (Alexa Fluor® 488) preadsorbed antibody at 1/1000 dilution (Green).

Confocal image showing cytoplasmic staining in Raw 264.7 cells (shown in green). The counterstain was observed in magenta. Nuclear DNA was labelled with DAPI (shown in blue). Low expression : Neuro-2a. Image was taken with a confocal microscope (Leica-Microsystems, TCS SP8).

ab7291 Anti-alpha Tubulin mouse monoclonal antibody was used to counterstain tubulin at 1/1000 dilution (Magenta). The Nuclear counterstain was DAPI (Blue).

Secondary antibody only control : Secondary antibody is ab150081 Goat Anti-Rabbit IgG H&L (Alexa Fluor® 488) preadsorbed at 1/1000 dilution.

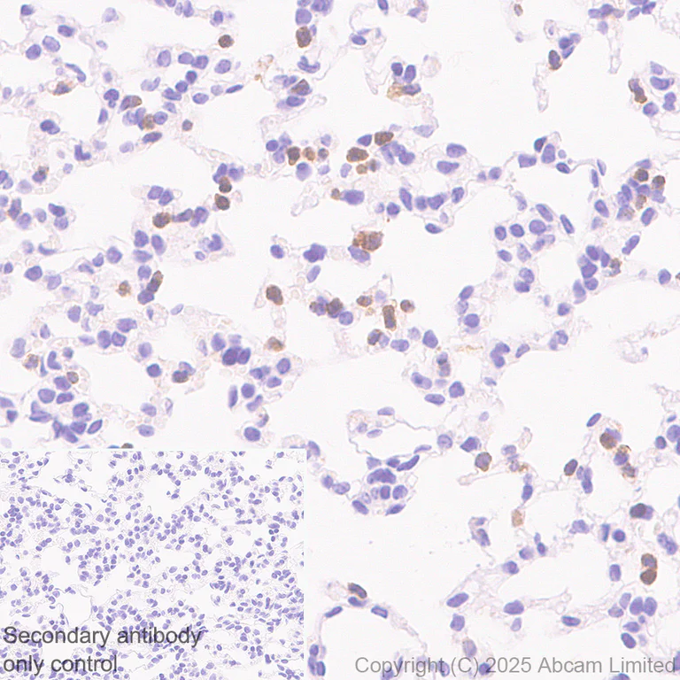
Immunohistochemistry (Formalin/PFA-fixed paraffin-embedded sections) - Anti-CD18 antibody [RM1357] (AB325521)
  • IHC-P

Lab

Immunohistochemistry (Formalin/PFA-fixed paraffin-embedded sections) - Anti-CD18 antibody [RM1357] (AB325521)

Immunohistochemical analysis of paraffin-embedded Mouse lung tissue labeling CD18 with ab325521 at 1/100 (5.02 μg/ml) dilution, followed by a ready to use Rabbit specific IHC polymer detection kit HRP/DAB (ab209101).

Positive staining on immune cells of mouse lung.

The primary antibody was incubated for 30 mins at room temperature.

The immunostaining was performed on a Leica Biosystems BOND® RX instrument

Counterstained with Hematoxylin.

Secondary antibody only control : Secondary antibody is a ready to use Rabbit specific IHC polymer detection kit HRP/DAB (ab209101).

Heat mediated antigen retrieval was performed with Tris-EDTA buffer (pH 9.0, Epitope Retrieval Solution2) for 20 mins

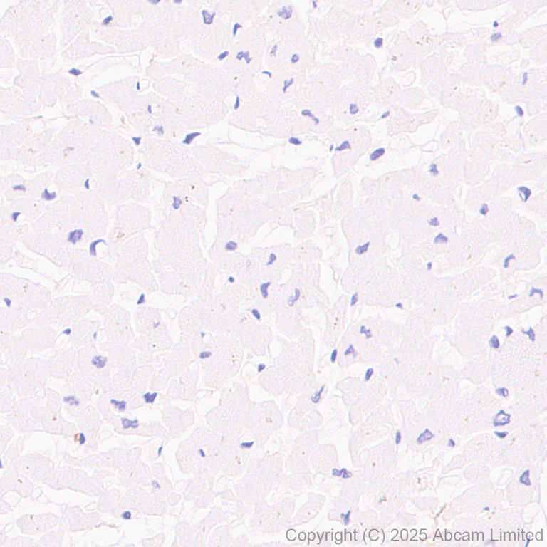
Immunohistochemistry (Formalin/PFA-fixed paraffin-embedded sections) - Anti-CD18 antibody [RM1357] (AB325521)
  • IHC-P

Lab

Immunohistochemistry (Formalin/PFA-fixed paraffin-embedded sections) - Anti-CD18 antibody [RM1357] (AB325521)

Immunohistochemical analysis of paraffin-embedded Mouse cardiac muscle tissue labeling CD18 with ab325521 at 1/100 (5.02 μg/ml) dilution, followed by a ready to use Rabbit specific IHC polymer detection kit HRP/DAB (ab209101).

Low expression tissue : no staining on mouse cardiac muscle.

The primary antibody was incubated for 30 mins at room temperature.

The immunostaining was performed on a Leica Biosystems BOND® RX instrument

Counterstained with Hematoxylin.

Secondary antibody only control : Secondary antibody is a ready to use Rabbit specific IHC polymer detection kit HRP/DAB (ab209101).

Heat mediated antigen retrieval was performed with Tris-EDTA buffer (pH 9.0, Epitope Retrieval Solution2) for 20 mins

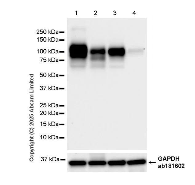
Western blot - Anti-CD18 antibody [RM1357] (AB325521)
  • WB

Lab

Western blot - Anti-CD18 antibody [RM1357] (AB325521)

Blocking and diluting buffer and concentration : 5% NFDM/TBST.

Low expression : Testis.

The molecular weight observed is consistent with what has been described in the literature (PMID : 31109948 and PMID : 10603370).

In Western blot, Anti-GAPDH antibody [EPR16891] - Loading Control (ab181602) (1 : 200000) (36KDa).

All lanes:

Western blot - Anti-CD18 antibody [RM1357] (ab325521) at 1/1000 dilution

Lane 1:

Human lymph node tissue lysate at 20 µg

Lane 2:

Human spleen tissue lystae at 20 µg

Lane 3:

Human tonsil tissue lysate at 20 µg

Lane 4:

Human testis tissue lysate at 20 µg

Secondary

All lanes:

Goat Anti-Rabbit IgG (HRP) with minimal cross-reactivity with human IgG at 1/2000 dilution

Observed band size: 90-95 kDa,36 kDa

false

Exposure time: 8s

Western blot - Anti-CD18 antibody [RM1357] (AB325521)
  • WB

Lab

Western blot - Anti-CD18 antibody [RM1357] (AB325521)

Blocking and diluting buffer and concentration : 5% NFDM/TBST.

Negative control : HeLa.

In Western blot, Anti-GAPDH antibody [EPR16891] - Loading Control (ab181602) (1 : 200000) (36KDa).

All lanes:

Western blot - Anti-CD18 antibody [RM1357] (ab325521) at 1/1000 dilution

Lane 1:

U-937 (human histiocytic lymphoma monocyte) whole cell lysate at 20 µg

Lane 2:

HeLa (human cervical adenocarcinoma epithelial cell) whole cell lysate at 20 µg

Secondary

All lanes:

Western blot - Goat Anti-Rabbit IgG H&L (HRP) (<a href='/en-us/products/secondary-antibodies/goat-rabbit-igg-h-l-hrp-ab97051'>ab97051</a>) at 1/20000 dilution

Observed band size: 90-95 kDa,36 kDa

false

Exposure time: 59s

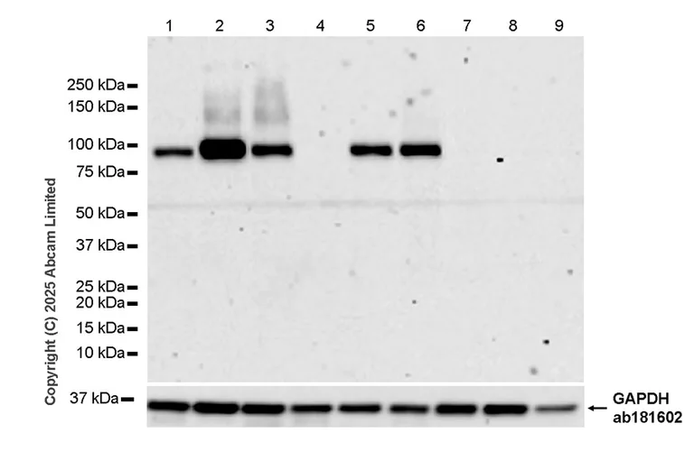
Western blot - Anti-CD18 antibody [RM1357] (AB325521)
  • WB

Lab

Western blot - Anti-CD18 antibody [RM1357] (AB325521)

Blocking and diluting buffer and concentration : 5% NFDM/TBST.

Low expression : Neuro-2a.

Low expression : heart, hippocampus and testis.

Samples are non-boiled as boiling may cause protein aggregation.

In Western blot, Anti-GAPDH antibody [EPR16891] - Loading Control (ab181602) (1 : 200000) (36KDa).

All lanes:

Western blot - Anti-CD18 antibody [RM1357] (ab325521) at 1/1000 dilution

Lane 1:

A20 (mouse reticulum sarcoma B lymphocyte) whole cell lysate at 20 µg

Lane 2:

J774A.1 (mouse reticulum cell sarcoma monocyte/macrophage ) whole cell lysate at 20 µg

Lane 3:

RAW 264.7 (mouse Abelson murine leukemia virus-induced tumor macrophage) whole cell lysate at 20 µg

Lane 4:

Neuro-2a (mouse neuroblastoma neuroblast) whole cell lysate at 20 µg

Lane 5:

Mouse lymph node tissue lysate at 20 µg

Lane 6:

Mouse spleen tissue lysate at 20 µg

Lane 7:

Mouse heart tissue lysate at 20 µg

Lane 8:

Mouse hippocampus tissue lysate at 20 µg

Lane 9:

Mouse testis tissue lysate at 20 µg

Secondary

All lanes:

Western blot - Goat Anti-Rabbit IgG H&L (HRP) (<a href='/en-us/products/secondary-antibodies/goat-rabbit-igg-h-l-hrp-ab97051'>ab97051</a>) at 1/20000 dilution

Observed band size: 95 kDa,36 kDa

false

Exposure time: 180s

Key facts

Host species

Rabbit

Clonality

Multiclonal

Clone number

RM1357

Isotype

IgG

Carrier free

No

Reacts with

Mouse, Human

Applications

Flow Cyt, IHC-P, WB, ICC/IF

applications

Immunogen

The exact immunogen used to generate this antibody is proprietary information.

Reactivity data

{ "title": "Reactivity Data", "filters": { "stats": ["", "Species", "Dilution Info", "Notes"], "tabs": { "all-applications": {"fullname" : "All Applications", "shortname": "All Applications"}, "IHCP" : {"fullname" : "Immunohistochemistry (Formalin/PFA-fixed paraffin-embedded sections)", "shortname":"IHC-P"}, "FlowCyt" : {"fullname" : "Flow Cytometry", "shortname":"Flow Cyt"}, "ICCIF" : {"fullname" : "Immunocytochemistry/ Immunofluorescence", "shortname":"ICC/IF"}, "WB" : {"fullname" : "Western blot", "shortname":"WB"} }, "product-promise": { "all": "all", "testedAndGuaranteed": "tested", "guaranteed": "expected", "predicted": "predicted", "notRecommended": "not-recommended" } }, "values": { "Human": { "IHCP-species-checked": "testedAndGuaranteed", "IHCP-species-dilution-info": "1/100", "IHCP-species-notes": "<p></p> Perform heat-mediated antigen retrieval with Tris/EDTA buffer pH 9.0 before commencing with IHC staining protocol.", "FlowCyt-species-checked": "testedAndGuaranteed", "FlowCyt-species-dilution-info": "1/500", "FlowCyt-species-notes": "<p></p>", "ICCIF-species-checked": "testedAndGuaranteed", "ICCIF-species-dilution-info": "1/1000", "ICCIF-species-notes": "<p></p>", "WB-species-checked": "testedAndGuaranteed", "WB-species-dilution-info": "1/1000", "WB-species-notes": "<p></p>" }, "Mouse": { "IHCP-species-checked": "testedAndGuaranteed", "IHCP-species-dilution-info": "1/100", "IHCP-species-notes": "<p></p> Perform heat-mediated antigen retrieval with Tris/EDTA buffer pH 9.0 before commencing with IHC staining protocol.", "FlowCyt-species-checked": "testedAndGuaranteed", "FlowCyt-species-dilution-info": "1/500", "FlowCyt-species-notes": "<p></p>", "ICCIF-species-checked": "testedAndGuaranteed", "ICCIF-species-dilution-info": "1/1000", "ICCIF-species-notes": "<p></p>", "WB-species-checked": "testedAndGuaranteed", "WB-species-dilution-info": "1/1000", "WB-species-notes": "<p></p>" } } }

Product details

Patented technology
Our RabMAb® technology is a patented hybridoma-based technology for making rabbit monoclonal antibodies. For details on our patents, please refer to RabMAb® patents.

What are recombinant multiclonals?
Recombinant multiclonals are a mixture of recombinant antibodies co-expressed from a library of heavy and light chains. They offer several advantages including:

  • - The sensitivity of polyclonal antibodies by recognising multiple epitopes
  • - High batch-to-batch consistency and reproducibility
  • - Improved sensitivity and specificity
  • - Long-term security of supply
  • - Animal-free batch production

View our range of recombinant multiclonal antibodies.

Properties and storage information

Form
Liquid
Purification technique
Affinity purification Protein A
Storage buffer
pH: 7.2 - 7.4 Preservative: 0.01% Sodium azide Constituents: PBS, 40% Glycerol (glycerin, glycerine), 0.05% BSA
Shipped at conditions
Blue Ice
Appropriate short-term storage duration
1-2 weeks
Appropriate short-term storage conditions
+4°C
Appropriate long-term storage conditions
-20°C
Aliquoting information
Upon delivery aliquot
Storage information
Avoid freeze / thaw cycle

Product protocols

For this product, it's our understanding that no specific protocols are required. You can visit:

Target data

Integrin ITGAL/ITGB2 is a receptor for ICAM1, ICAM2, ICAM3 and ICAM4. Integrin ITGAL/ITGB2 is also a receptor for the secreted form of ubiquitin-like protein ISG15; the interaction is mediated by ITGAL (PubMed : 29100055). Integrins ITGAM/ITGB2 and ITGAX/ITGB2 are receptors for the iC3b fragment of the third complement component and for fibrinogen. Integrin ITGAX/ITGB2 recognizes the sequence G-P-R in fibrinogen alpha-chain. Integrin ITGAM/ITGB2 recognizes P1 and P2 peptides of fibrinogen gamma chain. Integrin ITGAM/ITGB2 is also a receptor for factor X. Integrin ITGAD/ITGB2 is a receptor for ICAM3 and VCAM1. Contributes to natural killer cell cytotoxicity (PubMed : 15356110). Involved in leukocyte adhesion and transmigration of leukocytes including T-cells and neutrophils (PubMed : 11812992, PubMed : 28807980). Triggers neutrophil transmigration during lung injury through PTK2B/PYK2-mediated activation (PubMed : 18587400). Integrin ITGAL/ITGB2 in association with ICAM3, contributes to apoptotic neutrophil phagocytosis by macrophages (PubMed : 23775590). In association with alpha subunit ITGAM/CD11b, required for CD177-PRTN3-mediated activation of TNF primed neutrophils (PubMed : 21193407).
See full target information ITGB2

Additional targets

Itgb2

Product promise

We are committed to supporting your work with high-quality reagents, and we're here for you every step of the way. In the unlikely event that one of our products does not perform as expected, you're protected by our Product Promise.
For full details, please see our Terms & Conditions

Please note: All products are 'FOR RESEARCH USE ONLY. NOT FOR USE IN DIAGNOSTIC OR THERAPEUTIC PROCEDURES'.

For licensing inquiries, please contact partnerships@abcam.com