JavaScript is disabled in your browser. Please enable JavaScript to view this website.
AB288365

Anti-CD19 antibody [4C7]

Be the first to review this product! Submit a review

|

(0 Publication)

Rabbit Monoclonal CD19 antibody. Suitable for IP, WB, IHC-P and reacts with Human samples. Immunogen corresponding to Synthetic Peptide within Human CD19.

View Alternative Names

CD19, B-lymphocyte antigen CD19, B-lymphocyte surface antigen B4, Differentiation antigen CD19, T-cell surface antigen Leu-12

3 Images
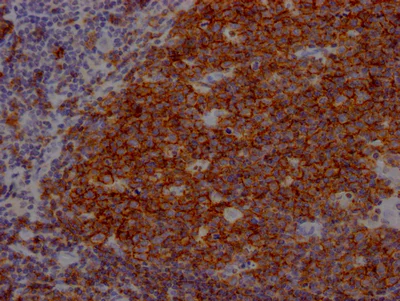
Immunohistochemistry (Formalin/PFA-fixed paraffin-embedded sections) - Anti-CD19 antibody [4C7] (AB288365)
  • IHC-P

Supplier Data

Immunohistochemistry (Formalin/PFA-fixed paraffin-embedded sections) - Anti-CD19 antibody [4C7] (AB288365)

IHC image of ab288365 diluted at 1 : 100 and staining in paraffin-embedded human tonsil tissue performed on a Leica Bond™ system. After dewaxing and hydration, antigen retrieval was mediated by high pressure in a citrate buffer (pH 6.0). Section was blocked with 10% normal goat serum 30min at RT. Then primary antibody (1% BSA) was incubated at 4°C overnight. The primary is detected by a Goat anti-rabbit IgG polymer labeled by HRP and visualized using 0.05% DAB.

Immunoprecipitation - Anti-CD19 antibody [4C7] (AB288365)
  • IP

Supplier Data

Immunoprecipitation - Anti-CD19 antibody [4C7] (AB288365)

Immunoprecipitating CD19 in Raji whole cell lysate.

Lane 1 : Rabbit control IgG instead of ab288365 in Raji whole cell lysate. For western blotting,a HRP-conjugated Protein G antibody was used as the secondary antibody (1/2000)

Lane 2 : ab288365 (2 μg)+ Raji whole cell lysate (500 μg)

Lane 3 : Raji whole cell lysate (10 μg)

All lanes:

Immunoprecipitation - Anti-CD19 antibody [4C7] (ab288365)

Predicted band size: 61 kDa

false

Western blot - Anti-CD19 antibody [4C7] (AB288365)
  • WB

Supplier Data

Western blot - Anti-CD19 antibody [4C7] (AB288365)

All lanes:

Western blot - Anti-CD19 antibody [4C7] (ab288365) at 1/2000 dilution

Lane 1:

Daudi (Human Burkitt's lymphoma cell line) whole cell lysate

Lane 2:

Raji (Human Burkitt's lymphoma cell line) whole cell lysate

Secondary

All lanes:

Goat polyclonal to rabbit IgG at 1/50000 dilution

Predicted band size: 61 kDa

Observed band size: 95 kDa

false

Key facts

Host species

Rabbit

Clonality

Monoclonal

Clone number

4C7

Isotype

IgG

Carrier free

No

Reacts with

Human

Applications

WB, IP, IHC-P

applications

Immunogen

Synthetic Peptide within Human CD19. The exact immunogen used to generate this antibody is proprietary information.

P15391

Reactivity data

{ "title": "Reactivity Data", "filters": { "stats": ["", "Species", "Dilution Info", "Notes"], "tabs": { "all-applications": {"fullname" : "All Applications", "shortname": "All Applications"}, "IP" : {"fullname" : "Immunoprecipitation", "shortname":"IP"}, "WB" : {"fullname" : "Western blot", "shortname":"WB"}, "IHCP" : {"fullname" : "Immunohistochemistry (Formalin/PFA-fixed paraffin-embedded sections)", "shortname":"IHC-P"} }, "product-promise": { "all": "all", "testedAndGuaranteed": "tested", "guaranteed": "expected", "predicted": "predicted", "notRecommended": "not-recommended" } }, "values": { "Human": { "IP-species-checked": "testedAndGuaranteed", "IP-species-dilution-info": "1/200 - 1/1000", "IP-species-notes": "<p></p>", "WB-species-checked": "testedAndGuaranteed", "WB-species-dilution-info": "1/500 - 1/5000", "WB-species-notes": "<p></p>", "IHCP-species-checked": "testedAndGuaranteed", "IHCP-species-dilution-info": "1/50 - 1/200", "IHCP-species-notes": "<p></p>" } } }

Properties and storage information

Form
Liquid
Purification technique
Affinity purification
Storage buffer
pH: 7.4 Preservative: 0.02% Sodium azide Constituents: PBS, 50% Glycerol (glycerin, glycerine), 0.87% Sodium chloride
Shipped at conditions
Blue Ice
Appropriate short-term storage duration
1-2 weeks
Appropriate short-term storage conditions
+4°C
Appropriate long-term storage conditions
-20°C
Aliquoting information
Upon delivery aliquot
Storage information
Avoid freeze / thaw cycle

Supplementary information

This supplementary information is collated from multiple sources and compiled automatically.

CD19 is a transmembrane protein also known as B4 or B-lymphocyte antigen CD19 with an approximate molecular weight of 95 kDa. It is expressed on the surface of B cells throughout their development from pro-B cells to mature B cells. CD19 functions mechanically as a coreceptor enhancing the sensitivity of B cell receptor (BCR) signaling. This protein plays a significant role in promoting the activation and proliferation of B cells by lowering the threshold for antigen receptor engagement.
Biological function summary

CD19 acts as an essential player in B cell signaling. CD19 integrates signals from the BCR with other coreceptors acting as a signaling hub. It participates in forming a signaling complex that includes proteins like CD21 and CD81 which further amplifies BCR-mediated signaling. This complex plays a critical role in B cell activation differentiation and survival ensuring that immune responses are efficiently mounted against pathogens.

Pathways

The CD19 protein fits into key immune response pathways such as the BCR signaling pathway and the PI3K-Akt signaling pathway. CD19 collaborates with other proteins like CD21 CD81 and PI3K within these pathways. Its interaction in the PI3K-Akt pathway for instance supports critical processes including B cell activation and homeostasis contributing to the adaptive immune response.

CD19 is connected to B cell malignancies and autoimmune diseases. B cell acute lymphoblastic leukemia (ALL) often shows aberrant CD19 expression making it a valuable target for therapeutic interventions like anti-CD19 monoclonal antibodies. Additionally overexpression or mutations of CD19 may contribute to autoimmune diseases by disrupting normal B cell regulation. CD19's connection with proteins like CD22 and CD20 in these pathological contexts highlights its relevance in developing targeted therapies.

Product protocols

For this product, it's our understanding that no specific protocols are required. You can visit:

Target data

Functions as a coreceptor for the B-cell antigen receptor complex (BCR) on B-lymphocytes (PubMed : 29523808). Decreases the threshold for activation of downstream signaling pathways and for triggering B-cell responses to antigens (PubMed : 1373518, PubMed : 16672701, PubMed : 2463100). Activates signaling pathways that lead to the activation of phosphatidylinositol 3-kinase and the mobilization of intracellular Ca(2+) stores (PubMed : 12387743, PubMed : 16672701, PubMed : 9317126, PubMed : 9382888). Is not required for early steps during B cell differentiation in the blood marrow (PubMed : 9317126). Required for normal differentiation of B-1 cells (By similarity). Required for normal B cell differentiation and proliferation in response to antigen challenges (PubMed : 1373518, PubMed : 2463100). Required for normal levels of serum immunoglobulins, and for production of high-affinity antibodies in response to antigen challenge (PubMed : 12387743, PubMed : 16672701, PubMed : 9317126).
See full target information CD19

Product promise

We are committed to supporting your work with high-quality reagents, and we're here for you every step of the way. In the unlikely event that one of our products does not perform as expected, you're protected by our Product Promise.
For full details, please see our Terms & Conditions

Please note: All products are 'FOR RESEARCH USE ONLY. NOT FOR USE IN DIAGNOSTIC OR THERAPEUTIC PROCEDURES'.

For licensing inquiries, please contact partnerships@abcam.com