JavaScript is disabled in your browser. Please enable JavaScript to view this website.
AB227019

Anti-CD19 antibody

0

(1 Review)

|

(4 Publications)

Rabbit Polyclonal CD19 antibody. Suitable for Flow Cyt, WB, ICC/IF, IHC-P and reacts with Mouse, Human samples. Cited in 4 publications. Immunogen corresponding to Recombinant Fragment Protein within Human CD19.

View Alternative Names

CD19, B-lymphocyte antigen CD19, B-lymphocyte surface antigen B4, Differentiation antigen CD19, T-cell surface antigen Leu-12

6 Images
Immunocytochemistry/ Immunofluorescence - Anti-CD19 antibody (AB227019)
  • ICC/IF

Supplier Data

Immunocytochemistry/ Immunofluorescence - Anti-CD19 antibody (AB227019)

Immunofluorescence analysis of Raji cells fixed in 4% paraformaldehyde at RT for 15 min labelling CD19 protein at cell membrane using ab227019 at a 1/500 dilution (Green). Hoechst 33342 was used for nuclear staining (Blue).

Immunohistochemistry (Formalin/PFA-fixed paraffin-embedded sections) - Anti-CD19 antibody (AB227019)
  • IHC-P

Supplier Data

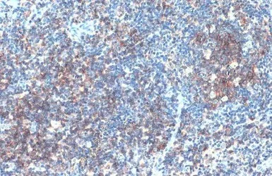
Immunohistochemistry (Formalin/PFA-fixed paraffin-embedded sections) - Anti-CD19 antibody (AB227019)

Immunohistochemical analysis of human tonsil tissue stained for CD19 protein at cell membrane and cytoplasm with ab227019 at a 1/250 dilution.

Antigen retrieval : Citrate buffer, pH 6.0, 15 min.

Immunohistochemistry (Formalin/PFA-fixed paraffin-embedded sections) - Anti-CD19 antibody (AB227019)
  • IHC-P

Supplier Data

Immunohistochemistry (Formalin/PFA-fixed paraffin-embedded sections) - Anti-CD19 antibody (AB227019)

Immunohistochemical analysis of human tonsil tissue stained for CD19 protein at cell membrane with ab227019 at a 1/500 dilution.

Antigen retrieval : Citrate buffer, pH 6.0, 15 min.

Flow Cytometry - Anti-CD19 antibody (AB227019)
  • Flow Cyt

Supplier Data

Flow Cytometry - Anti-CD19 antibody (AB227019)

Flow cytometric analysis of 4% paraformaldehyde-fixed mouse splenocytes labeling CD19 with ab227019 at 1/50 dilution (red) compared with an unlabeled sample as a control (black).

Acquisition of 20,000 events were collected using a Dylight 488-conjugated secondary antibody for FACS analysis.

Western blot - Anti-CD19 antibody (AB227019)
  • WB

Supplier Data

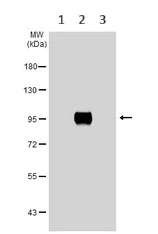
Western blot - Anti-CD19 antibody (AB227019)

Samples were separated by 7.5% SDS PAGE.

All lanes:

Western blot - Anti-CD19 antibody (ab227019) at 1/1000 dilution

Lane 1:

Jurkat whole cell extracts at 30 µg

Lane 2:

Raji whole cell extracts at 30 µg

Lane 3:

NCI-H929 whole cell extracts at 30 µg

Secondary

All lanes:

HRP-conjugated anti-rabbit IgG antibody

Predicted band size: 97 kDa

false

Western blot - Anti-CD19 antibody (AB227019)
  • WB

Supplier Data

Western blot - Anti-CD19 antibody (AB227019)

7.5% SDS-PAGE gel.

All lanes:

Western blot - Anti-CD19 antibody (ab227019) at 1/1000 dilution

All lanes:

Mouse leukocyte extract at 50 µg

Predicted band size: 61 kDa

false

Key facts

Host species

Rabbit

Clonality

Polyclonal

Isotype

IgG

Carrier free

No

Reacts with

Mouse, Human

Applications

IHC-P, WB, Flow Cyt, ICC/IF

applications

Immunogen

Recombinant Fragment Protein within Human CD19. The exact immunogen used to generate this antibody is proprietary information.

P15391

Reactivity data

{ "title": "Reactivity Data", "filters": { "stats": ["", "Species", "Dilution Info", "Notes"], "tabs": { "all-applications": {"fullname" : "All Applications", "shortname": "All Applications"}, "FlowCyt" : {"fullname" : "Flow Cytometry", "shortname":"Flow Cyt"}, "WB" : {"fullname" : "Western blot", "shortname":"WB"}, "ICCIF" : {"fullname" : "Immunocytochemistry/ Immunofluorescence", "shortname":"ICC/IF"}, "IHCP" : {"fullname" : "Immunohistochemistry (Formalin/PFA-fixed paraffin-embedded sections)", "shortname":"IHC-P"} }, "product-promise": { "all": "all", "testedAndGuaranteed": "tested", "guaranteed": "expected", "predicted": "predicted", "notRecommended": "not-recommended" } }, "values": { "Human": { "FlowCyt-species-checked": "guaranteed", "FlowCyt-species-dilution-info": "", "FlowCyt-species-notes": "", "WB-species-checked": "testedAndGuaranteed", "WB-species-dilution-info": "1/500 - 1/3000", "WB-species-notes": "<p></p>", "ICCIF-species-checked": "testedAndGuaranteed", "ICCIF-species-dilution-info": "1/100 - 1/1000", "ICCIF-species-notes": "<p></p>", "IHCP-species-checked": "testedAndGuaranteed", "IHCP-species-dilution-info": "1/100 - 1/1000", "IHCP-species-notes": "<p></p>" }, "Mouse": { "FlowCyt-species-checked": "testedAndGuaranteed", "FlowCyt-species-dilution-info": "1/50 - 1/200", "FlowCyt-species-notes": "<p></p>", "WB-species-checked": "testedAndGuaranteed", "WB-species-dilution-info": "1/500 - 1/3000", "WB-species-notes": "<p></p>", "ICCIF-species-checked": "guaranteed", "ICCIF-species-dilution-info": "", "ICCIF-species-notes": "", "IHCP-species-checked": "guaranteed", "IHCP-species-dilution-info": "", "IHCP-species-notes": "" } } }

Properties and storage information

Form
Liquid
Purification technique
Affinity purification Immunogen
Storage buffer
pH: 7 Preservative: 0.025% Proclin 300 Constituents: PBS, 20% Glycerol (glycerin, glycerine), 1% BSA
Shipped at conditions
Blue Ice
Appropriate short-term storage duration
1-2 weeks
Appropriate short-term storage conditions
+4°C
Appropriate long-term storage conditions
-20°C
Aliquoting information
Upon delivery aliquot
Storage information
Avoid freeze / thaw cycle

Supplementary information

This supplementary information is collated from multiple sources and compiled automatically.

CD19 is a transmembrane protein also known as B4 or B-lymphocyte antigen CD19 with an approximate molecular weight of 95 kDa. It is expressed on the surface of B cells throughout their development from pro-B cells to mature B cells. CD19 functions mechanically as a coreceptor enhancing the sensitivity of B cell receptor (BCR) signaling. This protein plays a significant role in promoting the activation and proliferation of B cells by lowering the threshold for antigen receptor engagement.
Biological function summary

CD19 acts as an essential player in B cell signaling. CD19 integrates signals from the BCR with other coreceptors acting as a signaling hub. It participates in forming a signaling complex that includes proteins like CD21 and CD81 which further amplifies BCR-mediated signaling. This complex plays a critical role in B cell activation differentiation and survival ensuring that immune responses are efficiently mounted against pathogens.

Pathways

The CD19 protein fits into key immune response pathways such as the BCR signaling pathway and the PI3K-Akt signaling pathway. CD19 collaborates with other proteins like CD21 CD81 and PI3K within these pathways. Its interaction in the PI3K-Akt pathway for instance supports critical processes including B cell activation and homeostasis contributing to the adaptive immune response.

CD19 is connected to B cell malignancies and autoimmune diseases. B cell acute lymphoblastic leukemia (ALL) often shows aberrant CD19 expression making it a valuable target for therapeutic interventions like anti-CD19 monoclonal antibodies. Additionally overexpression or mutations of CD19 may contribute to autoimmune diseases by disrupting normal B cell regulation. CD19's connection with proteins like CD22 and CD20 in these pathological contexts highlights its relevance in developing targeted therapies.

Product protocols

For this product, it's our understanding that no specific protocols are required. You can visit:

Target data

Functions as a coreceptor for the B-cell antigen receptor complex (BCR) on B-lymphocytes (PubMed : 29523808). Decreases the threshold for activation of downstream signaling pathways and for triggering B-cell responses to antigens (PubMed : 1373518, PubMed : 16672701, PubMed : 2463100). Activates signaling pathways that lead to the activation of phosphatidylinositol 3-kinase and the mobilization of intracellular Ca(2+) stores (PubMed : 12387743, PubMed : 16672701, PubMed : 9317126, PubMed : 9382888). Is not required for early steps during B cell differentiation in the blood marrow (PubMed : 9317126). Required for normal differentiation of B-1 cells (By similarity). Required for normal B cell differentiation and proliferation in response to antigen challenges (PubMed : 1373518, PubMed : 2463100). Required for normal levels of serum immunoglobulins, and for production of high-affinity antibodies in response to antigen challenge (PubMed : 12387743, PubMed : 16672701, PubMed : 9317126).
See full target information CD19

Publications (4)

Recent publications for all applications. Explore the full list and refine your search

Frontiers in immunology 16:1528471 PubMed40313936

2025

CD19 B cell depletion: a novel strategy to alleviate ischemic stroke damage.

Applications

Unspecified application

Species

Unspecified reactive species

Yu Xu,Jing Peng,Yizhong Yan,Min Gao,HongJing Zang,Lamei Cheng,Yu Zhou

The Journal of clinical investigation 132: PubMed35113815

2022

Lysosomal exocytosis of HSP70 stimulates monocytic BMP6 expression in Sjögren's syndrome.

Applications

Unspecified application

Species

Unspecified reactive species

Ying-Qian Mo,Hiroyuki Nakamura,Tsutomu Tanaka,Toshio Odani,Paola Perez,Youngmi Ji,Benjamin N French,Thomas Jf Pranzatelli,Drew G Michael,Hongen Yin,Susan S Chow,Maryam Khalaj,Sandra A Afione,Changyu Zheng,Fabiola Reis Oliveira,Ana Carolina F Motta,Alfredo Ribeiro-Silva,Eduardo M Rocha,Cuong Q Nguyen,Masayuki Noguchi,Tatsuya Atsumi,Blake M Warner,John A Chiorini

Frontiers in immunology 12:697725 PubMed34804004

2021

Intestinal CD11b B Cells Ameliorate Colitis by Secreting Immunoglobulin A.

Applications

Unspecified application

Species

Unspecified reactive species

Ying Fu,Zhiming Wang,Baichao Yu,Yuli Lin,Enyu Huang,Ronghua Liu,Chujun Zhao,Mingfang Lu,Wei Xu,Hongchun Liu,Yongzhong Liu,Luman Wang,Yiwei Chu

Biochemical and biophysical research communication :424-428 PubMed32972751

2020

Metabolic regulation of EGFR effector and feedback signaling in pancreatic cancer cells requires K-Ras.

Applications

Unspecified application

Species

Unspecified reactive species

Szu-Wei Lee,Cosimo Commisso
View all publications

Product promise

We are committed to supporting your work with high-quality reagents, and we're here for you every step of the way. In the unlikely event that one of our products does not perform as expected, you're protected by our Product Promise.
For full details, please see our Terms & Conditions

Please note: All products are 'FOR RESEARCH USE ONLY. NOT FOR USE IN DIAGNOSTIC OR THERAPEUTIC PROCEDURES'.

For licensing inquiries, please contact partnerships@abcam.com