JavaScript is disabled in your browser. Please enable JavaScript to view this website.
AB270715

Anti-CD19 antibody [CD19/3117]

Be the first to review this product! Submit a review

|

(1 Publication)

Mouse Monoclonal CD19 antibody. Suitable for Protein Array, IHC-P and reacts with Human samples. Cited in 1 publication. Immunogen corresponding to Recombinant Fragment Protein within Human CD19 aa 50-300.

View Alternative Names

CD19, B-lymphocyte antigen CD19, B-lymphocyte surface antigen B4, Differentiation antigen CD19, T-cell surface antigen Leu-12

3 Images
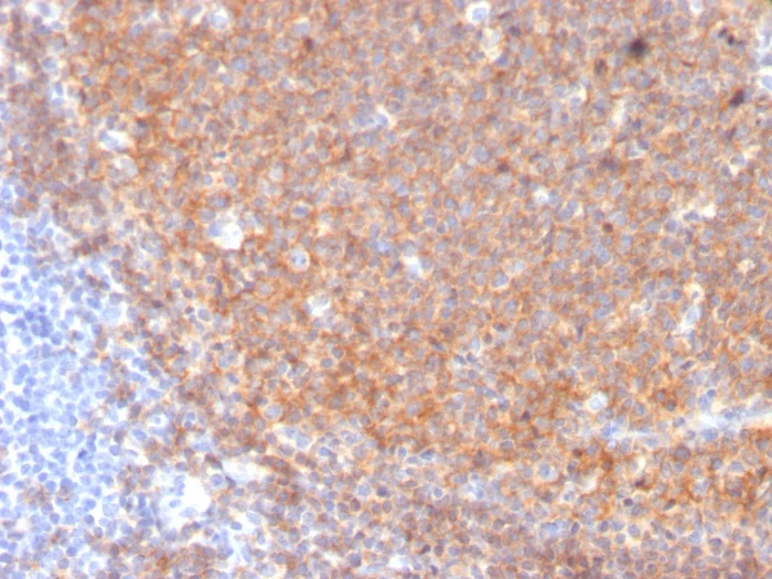
Immunohistochemistry (Formalin/PFA-fixed paraffin-embedded sections) - Anti-CD19 antibody [CD19/3117] (AB270715)
  • IHC-P

Supplier Data

Immunohistochemistry (Formalin/PFA-fixed paraffin-embedded sections) - Anti-CD19 antibody [CD19/3117] (AB270715)

Formalin-fixed, paraffin-embedded human tonsil tissue stained for CD19 using ab270715 at 2 μg/ml in immunohistochemical analysis.

Immunohistochemistry (Formalin/PFA-fixed paraffin-embedded sections) - Anti-CD19 antibody [CD19/3117] (AB270715)
  • IHC-P

Supplier Data

Immunohistochemistry (Formalin/PFA-fixed paraffin-embedded sections) - Anti-CD19 antibody [CD19/3117] (AB270715)

Formalin-fixed, paraffin-embedded human tonsil tissue stained for CD19 using ab270715 at 2 μg/ml in immunohistochemical analysis.

Protein Array - Anti-CD19 antibody [CD19/3117] (AB270715)
  • Protein Array

Supplier Data

Protein Array - Anti-CD19 antibody [CD19/3117] (AB270715)

Protein Array containing more than 19,000 full-length human proteins using ab270715.

Z- and S- Score : The Z-score represents the strength of a signal that a monoclonal antibody (MAb) (in combination with a fluorescently-tagged anti-IgG secondary antibody) produces when binding to a particular protein on the HuProtTM array. Z-scores are described in units of standard deviations (SD's) above the mean value of all signals generated on that array. If targets on HuProtTM are arranged in descending order of the Z-score, the S-score is the difference (also in units of SD's) between the Z-score. S-score therefore represents the relative target specificity of a MAb to its intended target. A MAb is considered to specific to its intended target, if the MAb has an S-score of at least 2.5. For example, if a MAb binds to protein X with a Z-score of 43 and to protein Y with a Z-score of 14, then the S-score for the binding of that MAb to protein X is equal to 29.

Key facts

Host species

Mouse

Clonality

Monoclonal

Clone number

CD19/3117

Isotype

IgG2b

Light chain type

kappa

Carrier free

No

Reacts with

Human

Applications

IHC-P, Protein Array

applications

Immunogen

Recombinant Fragment Protein within Human CD19 aa 50-300. The exact immunogen used to generate this antibody is proprietary information.

P15391

Reactivity data

{ "title": "Reactivity Data", "filters": { "stats": ["", "Species", "Dilution Info", "Notes"], "tabs": { "all-applications": {"fullname" : "All Applications", "shortname": "All Applications"}, "ProteinArray" : {"fullname" : "Protein Array", "shortname":"Protein Array"}, "IHCP" : {"fullname" : "Immunohistochemistry (Formalin/PFA-fixed paraffin-embedded sections)", "shortname":"IHC-P"} }, "product-promise": { "all": "all", "testedAndGuaranteed": "tested", "guaranteed": "expected", "predicted": "predicted", "notRecommended": "not-recommended" } }, "values": { "Human": { "ProteinArray-species-checked": "testedAndGuaranteed", "ProteinArray-species-dilution-info": "", "ProteinArray-species-notes": "<p></p>", "IHCP-species-checked": "testedAndGuaranteed", "IHCP-species-dilution-info": "1-2 µg/mL", "IHCP-species-notes": "<p></p> Perform heat-mediated antigen retrieval with Tris/EDTA buffer pH 9.0 before commencing with IHC staining protocol." } } }

Properties and storage information

Form
Liquid
Purification technique
Affinity purification Protein A/G
Purification notes
Purified from bioreactor concentrate.
Storage buffer
pH: 7.2 - 7.4 Preservative: 0.05% Sodium azide Constituents: PBS, 0.05% BSA
Shipped at conditions
Blue Ice
Appropriate short-term storage duration
1-2 weeks
Appropriate short-term storage conditions
+4°C
Appropriate long-term storage conditions
-20°C
Aliquoting information
Upon delivery aliquot
Storage information
Avoid freeze / thaw cycle

Supplementary information

This supplementary information is collated from multiple sources and compiled automatically.

CD19 is a transmembrane protein also known as B4 or B-lymphocyte antigen CD19 with an approximate molecular weight of 95 kDa. It is expressed on the surface of B cells throughout their development from pro-B cells to mature B cells. CD19 functions mechanically as a coreceptor enhancing the sensitivity of B cell receptor (BCR) signaling. This protein plays a significant role in promoting the activation and proliferation of B cells by lowering the threshold for antigen receptor engagement.
Biological function summary

CD19 acts as an essential player in B cell signaling. CD19 integrates signals from the BCR with other coreceptors acting as a signaling hub. It participates in forming a signaling complex that includes proteins like CD21 and CD81 which further amplifies BCR-mediated signaling. This complex plays a critical role in B cell activation differentiation and survival ensuring that immune responses are efficiently mounted against pathogens.

Pathways

The CD19 protein fits into key immune response pathways such as the BCR signaling pathway and the PI3K-Akt signaling pathway. CD19 collaborates with other proteins like CD21 CD81 and PI3K within these pathways. Its interaction in the PI3K-Akt pathway for instance supports critical processes including B cell activation and homeostasis contributing to the adaptive immune response.

CD19 is connected to B cell malignancies and autoimmune diseases. B cell acute lymphoblastic leukemia (ALL) often shows aberrant CD19 expression making it a valuable target for therapeutic interventions like anti-CD19 monoclonal antibodies. Additionally overexpression or mutations of CD19 may contribute to autoimmune diseases by disrupting normal B cell regulation. CD19's connection with proteins like CD22 and CD20 in these pathological contexts highlights its relevance in developing targeted therapies.

Product protocols

For this product, it's our understanding that no specific protocols are required. You can visit:

Target data

Functions as a coreceptor for the B-cell antigen receptor complex (BCR) on B-lymphocytes (PubMed : 29523808). Decreases the threshold for activation of downstream signaling pathways and for triggering B-cell responses to antigens (PubMed : 1373518, PubMed : 16672701, PubMed : 2463100). Activates signaling pathways that lead to the activation of phosphatidylinositol 3-kinase and the mobilization of intracellular Ca(2+) stores (PubMed : 12387743, PubMed : 16672701, PubMed : 9317126, PubMed : 9382888). Is not required for early steps during B cell differentiation in the blood marrow (PubMed : 9317126). Required for normal differentiation of B-1 cells (By similarity). Required for normal B cell differentiation and proliferation in response to antigen challenges (PubMed : 1373518, PubMed : 2463100). Required for normal levels of serum immunoglobulins, and for production of high-affinity antibodies in response to antigen challenge (PubMed : 12387743, PubMed : 16672701, PubMed : 9317126).
See full target information CD19

Publications (1)

Recent publications for all applications. Explore the full list and refine your search

Frontiers in immunology 13:1041176 PubMed36505417

2022

Characterization of intrahepatic B cells in acute-on-chronic liver failure.

Applications

Unspecified application

Species

Unspecified reactive species

Yudong Zhao,Wei He,Chenchen Wang,Nana Cui,Changjie Yang,Zhengrui You,Bisheng Shi,Lei Xia,Xiaosong Chen
View all publications

Product promise

We are committed to supporting your work with high-quality reagents, and we're here for you every step of the way. In the unlikely event that one of our products does not perform as expected, you're protected by our Product Promise.
For full details, please see our Terms & Conditions

Please note: All products are 'FOR RESEARCH USE ONLY. NOT FOR USE IN DIAGNOSTIC OR THERAPEUTIC PROCEDURES'.

For licensing inquiries, please contact partnerships@abcam.com