JavaScript is disabled in your browser. Please enable JavaScript to view this website.
AB245235

Anti-CD19 antibody [EPR23174-145]

  • BOND RX™ Validated
  • RabMAb
  • Recombinant
  • Lab Essentials
  • 20ul selling size
  • Advanced Validation
  • What is this?

5

(6 Reviews)

|

(47 Publications)

Anti-CD19 antibody [EPR23174-145] (ab245235) is a rabbit monoclonal antibody detecting CD19 in Western Blot, Flow Cytometry, IP, IHC-P, IHC-Fr, ICC/IF, mIHC. Suitable for Mouse.

- Multiplex IHC validated on the Leica BOND® MAX using Opal reagents
- Biophysical QC for unrivalled batch-batch consistency
- Over 20 publications

View Alternative Names

CD19, B-lymphocyte antigen CD19, Differentiation antigen CD19, Cd19

37 Images
Flow Cytometry - Anti-CD19 antibody [EPR23174-145] (AB245235)
  • Flow Cyt

Unknown

Flow Cytometry - Anti-CD19 antibody [EPR23174-145] (AB245235)

Flow cytometric analysis of mouse peripheral blood mononuclear cell (PBMC) cells labeling CD19 with ab245235 at 1/500 dilution (Right) compared with a Rabbit monoclonal IgG (ab172730) isotype control (Left). Goat anti rabbit IgG (Alexa Fluor® 488, ab150077) at 1/2000 dilution was used as the secondary antibody.

Cells were stained with rabbit IgG (Left) or ab245235 (Right). Then stained with anti-CD3 conjugated to Alexa Fluor® 647. CD19 and CD3 are mutually exclusive expressed in mouse PBMC.

Gated on viable cells.

Immunohistochemistry (Frozen sections) - Anti-CD19 antibody [EPR23174-145] (AB245235)
  • IHC-Fr

AbReview76872****

Immunohistochemistry (Frozen sections) - Anti-CD19 antibody [EPR23174-145] (AB245235)

Immunohistochemistry (Frozen sections) analysis of acetone-fixed mouse spleen tissue staining with ab245235 at 1/1000 dilution. Secondary antibody was Dako EnVision+ System- HRP Labelled Polymer Anti-R Samples were incubated with the primary antibody with 5% Normal Goat Serum for 19 hours at 4°C. Blocking was done using 5% serum for 1 hour at 21°C

This image is courtesy of an anonymous Abreview

Multiplex immunohistochemistry - Anti-CD19 antibody [EPR23174-145] (AB245235)
  • mIHC

Lab

Multiplex immunohistochemistry - Anti-CD19 antibody [EPR23174-145] (AB245235)

Multiplex immunohistochemistry analysis of formalin/PFA-fixed paraffin-embedded mouse spleen tissue staining with ab326044 at a 1 : 500 (0.982 µg/ml) dilution, ab245235 anti-CD19 used at 1 : 1000 (0.479 µg/ml) dilution and ab237721 anti-CD3 used at a 1 : 2000 (0.26 µg/ml) dilution.

Panel A : anti-CD22 (green; Opal™520), anti-CD19 (magenta; Opal™570), anti-CD3 (yellow; Opal™690) on mouse spleen.
Panel B : anti-CD22 staining B lymphocytes in mouse spleen.
Panel C : anti-CD19 staining B lymphocytes in mouse spleen.
Panel D : anti-CD3 staining on T lymphocytes in mouse spleen.
Nuclear DNA was labeled with DAPI (shown in blue).

The section was incubated in three rounds of staining : in the order of ab326044, ab245235 and ab237721 for 30 mins at room temperature. Each round was followed by a separate fluorescent tyramide signal amplification system.

The immunostaining was performed on a Leica Biosystems BOND® RX instrument with an Opal™ 4-color kit. Image acquisition was performed with Leica SP8 confocal microscope.

Nuclear counter stain with DAPI.

Heat mediated antigen retrieval was performed with Tris-EDTA buffer (pH 9.0, Epitope Retrieval Solution2) for 20 mins.

Multiplex immunohistochemistry - Anti-CD19 antibody [EPR23174-145] (AB245235)
  • mIHC

Supplier Data

Multiplex immunohistochemistry - Anti-CD19 antibody [EPR23174-145] (AB245235)

Multiplex immunohistochemistry analysis of formalin/PFA-fixed paraffin-embedded mouse spleen treated with lipopolysaccharide (1 ug/ml) for 16 hours and brefeldin a (1 ug/ml) for overnight tissue staining CD80 with ab322922 at a 1 : 2000 (0.257 ug/ml) dilution, ab245235 anti-CD19 used at 1 : 1000 (0.444 ug/ml) dilution.

Panel A : merged staining of anti-CD80 (green; Opal™520) and anti-CD19 (magenta; Opal™570) on mouse spleen treated with Lipopolysaccharide.
Panel B : anti-CD80 staining immune cells in mouse spleen treated with Lipopolysaccharide.
Panel C : ant-CD19 staining B lymphocytes in mouse spleen treated with Lipopolysaccharide.
Panel D : Nuclear DNA was labeled with DAPI (shown in blue).

The section was incubated in three rounds of staining : in the order of ab322922 and ab245235 for 30 mins at room temperature. Each round was followed by a separate fluorescent tyramide signal amplification system.

The immunostaining was performed on a Leica Biosystems BOND® RX instrument with an Opal™ 4-color kit. Image acquisition was performed with Leica SP8 confocal microscope.

Nuclear counter stain with DAPI.

Heat mediated antigen retrieval with Tris-EDTA buffer (pH 9.0, epitope retrieval solution2) for 20 mins.

Multiplex immunohistochemistry - Anti-CD19 antibody [EPR23174-145] (AB245235)
  • mIHC

Supplier Data

Multiplex immunohistochemistry - Anti-CD19 antibody [EPR23174-145] (AB245235)

Multiplex immunohistochemistry analysis of formalin/PFA-fixed paraffin-embedded mouse spleen tissue staining CD21+CD35 with ab318999 at a 1 : 2000 (0.255 ug/ml) dilution, ab245235 anti-CD19 used at 1 : 1000 (0.444 ug/ml) dilution and ab16669 anti-CD3 used at a 1 : 150 (0.06 ug/ml) dilution.

Panel A : merged staining of anti-CD21+CD35 (green; Opal™520), anti-CD19 (magenta; Opal™690) and anti-CD3 (yellow; Opal™570) on mouse spleen.
Panel B : anti-CD21+CD35 staining B lymphocytes in mouse spleen.
Panel C : anti-CD19 staining B lymphocytes in mouse spleen.
Panel D : anti-CD3 staining T lymphocytes in mouse spleen.
Nuclear DNA was labeled with DAPI (shown in blue).

The section was incubated in three rounds of staining : in the order of ab318999, ab245235 and ab16669 for 30 mins at room temperature. Each round was followed by a separate fluorescent tyramide signal amplification system.

The immunostaining was performed on a Leica Biosystems BOND® RX instrument with an Opal™ 4-color kit. Image acquisition was performed with Leica SP8 confocal microscope.

Nuclear counter stain with DAPI.

Heat mediated antigen retrieval with Tris-EDTA buffer (pH 9.0, epitope retrieval solution2) for 20 mins.

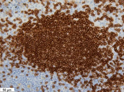
Immunohistochemistry (Formalin/PFA-fixed paraffin-embedded sections) - Anti-CD19 antibody [EPR23174-145] (AB245235)
  • IHC-P

AbReview76873****

Immunohistochemistry (Formalin/PFA-fixed paraffin-embedded sections) - Anti-CD19 antibody [EPR23174-145] (AB245235)

Immunohistochemistry analysis (Formalin/PFA-fixed paraffin-embedded sections) of paraformaldehyde fixed mouse spleen tissue. Stained with ab245235 at 1/1000 dilution. Secondary antibody used was Dako EnVision+ System- HRP Labelled Polymer Anti-R. Blocking was done with 5% serum for 1 hour at 21°C. The sample was incubated with the primary antibody and 5% Normal Goat Serum for 19 hours at 4°C. Antigen retrieval method was heat mediated Tris/EDTA pH 9.0.

This image is courtesy of an anonymous Abreview

Multiplex immunohistochemistry - Anti-CD19 antibody [EPR23174-145] (AB245235)
  • mIHC

Lab

Multiplex immunohistochemistry - Anti-CD19 antibody [EPR23174-145] (AB245235)

Multiplex immunohistochemistry analysis of formalin/PFA-fixed paraffin-embedded mouse lung tissue staining with ab326044 at a 1 : 500 (0.982 µg/ml) dilution, ab245235 anti-CD19 used at 1 : 1000 (0.479 µg/ml) dilution and ab237721 anti-CD3 used at a 1 : 2000 (0.26 µg/ml) dilution.

Panel A : anti-CD22 (green; Opal™520), anti-CD19 (magenta; Opal™570), anti-CD3 (yellow; Opal™690) on mouse lung.
Panel B : anti-CD22 staining B lymphocytes in mouse lung.
Panel C : anti-CD19 staining B lymphocytes in mouse lung.
Panel D : anti-CD3 staining on T lymphocytes in mouse lung.
Nuclear DNA was labeled with DAPI (shown in blue).

The section was incubated in three rounds of staining : in the order of ab326044, ab245235 and ab237721 for 30 mins at room temperature. Each round was followed by a separate fluorescent tyramide signal amplification system.

The immunostaining was performed on a Leica Biosystems BOND® RX instrument with an Opal™ 4-color kit. Image acquisition was performed with Leica SP8 confocal microscope.

Nuclear counter stain with DAPI.

Heat mediated antigen retrieval was performed with Tris-EDTA buffer (pH 9.0, Epitope Retrieval Solution2) for 20 mins.

Multiplex immunohistochemistry - Anti-CD19 antibody [EPR23174-145] (AB245235)
  • mIHC

Supplier Data

Multiplex immunohistochemistry - Anti-CD19 antibody [EPR23174-145] (AB245235)

Multiplex immunohistochemistry analysis of formalin/PFA-fixed paraffin-embedded mouse spleen tissue staining CD19 with ab245235 at a 1 : 1000 (0.44 ug/ml) dilution, ab317827 anti-BTLA used at 1 : 100 (4.92 ug/ml) dilution and ab16669 anti-CD3 used at a 1 : 150 (0.06 ug/ml) dilution.

Panel A : merged staining of anti-CD19 (magenta; Opal™690), anti-BTLA (green; Opal™520) and anti-CD3 (yellow; Opal™570) on mouse spleen.
Panel B : anti-CD19 staining B lymphocytes in mouse spleen.
Panel C : anti-BTLA staining B lymphocytes and T lymphocytes in mouse spleen.
Panel D : anti-CD3 staining T lymphocytes in mouse spleen.
Nuclear DNA was labeled with DAPI (shown in blue).

The section was incubated in three rounds of staining : in the order of ab245235, ab317827 and ab16669 for 30 mins at room temperature. Each round was followed by a separate fluorescent tyramide signal amplification system.

The immunostaining was performed on a Leica Biosystems BOND® RX instrument with an Opal™ 4-color kit. Image acquisition was performed with Leica SP8 confocal microscope.

Nuclear counter stain with DAPI.

Heat mediated antigen retrieval with Tris-EDTA buffer (pH 9.0, epitope retrieval solution2) for 20 mins.

Multiplex immunohistochemistry - Anti-CD19 antibody [EPR23174-145] (AB245235)
  • mIHC

Lab

Multiplex immunohistochemistry - Anti-CD19 antibody [EPR23174-145] (AB245235)

Multiplex immunohistochemistry analysis of formalin/PFA-fixed paraffin-embedded Mouse lymph node staining of NCR1 with ab233558 at a 1/500 (1.062 µg/ml) dilution, CD19 with ab245235 at 1/1000 (0.444 µg/ml) dilution and CD3 with ab237721 at 1/2000 ( 0.264 µg/ml) dilution.

Panel A : merged staining of anti-NCR1 (magenta; Opal™690), anti-CD19 (green; Opal™520) and anti-CD3 (gray; Opal™570) on mouse lymph node.
Panel B : anti-NCR1 staining natural killer cells in mouse lymph node.
Panel C : anti-CD19 staining B lymphocytes in mouse lymph node..
Panel D : anti-CD3 staining T lymphocytes in mouse lymph node.
Nuclear DNA was labelled with DAPI (shown in blue).

The section was incubated in three rounds of staining : in the order of ab233558, ab245235 and ab237721 for 30 mins at room temperature. Each round was followed by a separate fluorescent tyramide signal amplification system.

The immunostaining was performed on a Leica Biosystems BOND® RX instrument with an Opal™ 4-color kit. Image acquisition was performed with Leica SP8 confocal microscope.

Heat mediated antigen retrieval with Tris-EDTA buffer (pH 9.0 epitope retrieval solution2) for 20 mins.

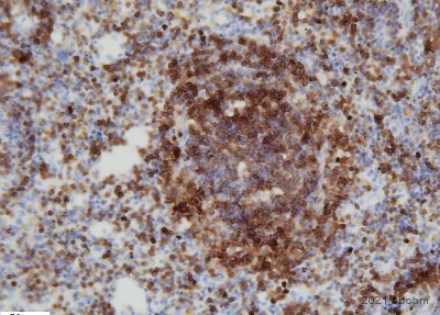
Immunohistochemistry (Formalin/PFA-fixed paraffin-embedded sections) - Anti-CD19 antibody [EPR23174-145] (AB245235)
  • IHC-P

Unknown

Immunohistochemistry (Formalin/PFA-fixed paraffin-embedded sections) - Anti-CD19 antibody [EPR23174-145] (AB245235)

Immunohistochemical analysis of paraffin-embedded mouse spleen tissue labeling CD19 with ab245235 at 1/1000 dilution (0.446 μg/ml) followed by a ready to use Goat Anti-Rabbit IgG H&L (HRP Polymer). Positive staining on mouse spleen (PMID : 18648532). The section was incubated with ab245235 for 10 mins at room temperature. The immunostaining staining was performed on a Leica Biosystems BOND® RX instrument. Counterstained with hematoxylin.

Secondary antibody only control : Secondary antibody is a ready to use Goat Anti-Rabbit IgG H&L (HRP Polymer).

Heat mediated antigen retrieval with Tris-EDTA buffer (pH 9.0, epitope retrieval solution 2) for 20 mins.

Immunocytochemistry/ Immunofluorescence - Anti-CD19 antibody [EPR23174-145] (AB245235)
  • ICC/IF

Unknown

Immunocytochemistry/ Immunofluorescence - Anti-CD19 antibody [EPR23174-145] (AB245235)

Immunofluorescent analysis of 4% Paraformaldehyde-fixed, 0.1% Triton X-100 permeabilized mouse PBMC (mouse primary peripheral blood mononuclear cell) cells labeling CD19 with ab245235 at 1/50 dilution, followed by ab150077 AlexaFluor®488 Goat anti-Rabbit secondary antibody at 1/1000 dilution (Green). Confocal image showing membranous staining in some subsets of mouse PBMCs. ab195889 Anti-alpha Tubulin antibody [DM1A] - Microtubule Marker (Alexa Fluor® 594) was used to counterstain tubulin at 1/200 dilution (Red). The nuclear counterstain was DAPI (Blue).

Secondary antibody only control : Secondary antibody is ab150077 AlexaFluor®488 Goat anti-Rabbit secondary at 1/1000 dilution.

Immunohistochemistry (Frozen sections) - Anti-CD19 antibody [EPR23174-145] (AB245235)
  • IHC-Fr

Unknown

Immunohistochemistry (Frozen sections) - Anti-CD19 antibody [EPR23174-145] (AB245235)

Immunohistochemical analysis of 4% PFA-fixed, 0.2% Triton X-100 permeabilized perfusion fixed frozen Mouse spleen tissue labeling CD19 with ab245235 at 1/250 (1.82 ug/ml) dilution followed by ab150077 Goat Anti-Rabbit IgG H&L (Alexa Fluor® 488) at 1/1000 dilution (Green). Positive staining on mouse spleen. is observed. The nuclear counterstain was DAPI (Blue).

Secondary antibody control : Secondary antibody is ab150077 Goat Anti-Rabbit IgG H&L (Alexa Fluor® 488) at 1000 dilution.

Heat mediated antigen retrieval using sodium citrate buffer (10mM citrate pH 6.0 + 0.05% Tween-20).

Multiplex immunohistochemistry - Anti-CD19 antibody [EPR23174-145] (AB245235)
  • mIHC

Supplier Data

Multiplex immunohistochemistry - Anti-CD19 antibody [EPR23174-145] (AB245235)

Multiplex immunohistochemistry analysis of formalin/PFA-fixed paraffin-embedded mouse spleen tissue staining LY6C with ab317272 at a 1 : 100 (0.978 ug/ml) dilution, ab133357 anti-CD11b used at 1 : 20000 (0.05 ug/ml) dilution and ab245235 anti-CD19 used at a 1 : 1000 (0.999 ug/ml) dilution.

Panel A : merged staining of anti-Ly6c (green; Opal™690), anti-CD11b (magenta; Opal™570) and anti-CD19 (yellow; Opal™520) on mouse spleen.
Panel B : anti-Ly6c stained on monocytes/macrophages.
Panel C : anti-CD11b stained on monocytes/macrophages.
Panel D : anti-CD19 stained on B cells.
Co-staining of Ly6c and CD11b can be observed.
The section was incubated in three rounds of staining : in the order of ab317272, ab133357, and ab245235 for 30 mins at room temperature. Each round was followed by a separate fluorescent tyramide signal amplification system.
Nuclear DNA was labeled with DAPI (shown in blue).

The immunostaining was performed on a Leica Biosystems BOND® RX instrument with an Opal™ 4-color kit. Image acquisition was performed with Leica SP8 confocal microscope.

Nuclear counter stain with DAPI.

Heat mediated antigen retrieval was performed with Tris-EDTA buffer (pH 9.0, Epitope Retrieval Solution2) for 20 mins.

Multiplex immunohistochemistry - Anti-CD19 antibody [EPR23174-145] (AB245235)
  • mIHC

Supplier Data

Multiplex immunohistochemistry - Anti-CD19 antibody [EPR23174-145] (AB245235)

Multiplex immunohistochemistry analysis of formalin/PFA-fixed paraffin-embedded mouse spleen tissue staining MARCO with ab323717 at a 1 : 200 (2.49 ug/ml) dilution, ab245235 anti-CD19 used at 1 : 1000 (0.22 ug/ml) dilution and ab237721 anti-CD3 used at a 1 : 2000 (0.26 ug/ml) dilution.

Panel A : merged staining of anti-MARCO (green; Opal™520), anti-CD19 (gray; Opal™690) and anti-CD3 (magenta; Opal™570) on mouse spleen.
Panel B : anti-MARCO staining macrophages in mouse spleen.
Panel C : ant-CD19 staining B lymphocytes in mouse spleen.
Panel D : ant-CD3 staining T lymphocytes in mouse spleen.
Nuclear DNA was labeled with DAPI (shown in blue).

The section was incubated in three rounds of staining : in the order of ab323717, ab245235 and ab237721 for 30 mins at room temperature. Each round was followed by a separate fluorescent tyramide signal amplification system.

The immunostaining was performed on a Leica Biosystems BOND® RX instrument with an Opal™ 4-color kit. Image acquisition was performed with Leica SP8 confocal microscope.

Nuclear counter stain with DAPI.

Heat mediated antigen retrieval with Tris-EDTA buffer (pH 9.0, epitope retrieval solution2) for 20 mins.

Multiplex immunohistochemistry - Anti-CD19 antibody [EPR23174-145] (AB245235)
  • mIHC

Supplier Data

Multiplex immunohistochemistry - Anti-CD19 antibody [EPR23174-145] (AB245235)

Multiplex immunohistochemistry analysis of formalin/PFA-fixed paraffin-embedded mouse liver tissue staining MARCO with ab323717 at a 1 : 200 (2.49 ug/ml) dilution, ab245235 anti-CD19 used at 1 : 1000 (0.22 ug/ml) dilution and ab237721 anti-CD3 used at a 1 : 2000 (0.26 ug/ml) dilution.

Panel A : merged staining of anti-MARCO (green; Opal™520), anti-CD19 (gray; Opal™690) and anti-CD3 (magenta; Opal™570) on mouse liver.
Panel B : anti-MARCO staining macrophages in mouse liver.
Panel C : ant-CD19 staining B lymphocytes in mouse liver.
Panel D : ant-CD3 staining T lymphocytes in mouse liver.
Nuclear DNA was labeled with DAPI (shown in blue).

The section was incubated in three rounds of staining : in the order of ab323717, ab245235 and ab237721 for 30 mins at room temperature. Each round was followed by a separate fluorescent tyramide signal amplification system.

The immunostaining was performed on a Leica Biosystems BOND® RX instrument with an Opal™ 4-color kit. Image acquisition was performed with Leica SP8 confocal microscope.

Nuclear counter stain with DAPI.

Heat mediated antigen retrieval with Tris-EDTA buffer (pH 9.0, epitope retrieval solution2) for 20 mins.

Multiplex immunohistochemistry - Anti-CD19 antibody [EPR23174-145] (AB245235)
  • mIHC

Lab

Multiplex immunohistochemistry - Anti-CD19 antibody [EPR23174-145] (AB245235)

Multiplex immunohistochemistry analysis of formalin/PFA-fixed paraffin-embedded mouse small intestine tissue staining CD68 with ab283654 at a 1/100 dilution, ab245235 anti-CD19 used at 1/1000 dilution and ab237721 anti-CD3 used at a 1/2000 dilution. Opal Polymer HRP Ms + Rb was used as a secondary antibody, and DAPI was used for a nuclear counter stain. Heat mediated antigen retrieval with Tris-EDTA buffer (pH 9.0, epitope retrieval solution2) for 20 mins.

Panel A : merged staining of anti-CD68 (magenta; Opal520), anti-CD19 (green; Opal690) and anti-CD3 (grey; Opal570) on mouse small intestine.
Panel B : anti-CD68 staining macrophages in mouse small intestine.
Panel C : anti-CD19 staining B lymphocytes in mouse small intestine.
Panel D : anti-CD3 staining T lymphocytes in mouse small intestine.
Nuclear DNA was labeled with DAPI (shown in blue).

The section was incubated in three rounds of staining : in the order of ab283654, ab245235 and ab237721 for 30 mins at room temperature. Each round was followed by a separate fluorescent tyramide signal amplification system.

The immunostaining was performed on a Leica Biosystems BOND®RX instrument with an Opal 4-color kit. Image acquisition was performed with Leica SP8 confocal microscope.

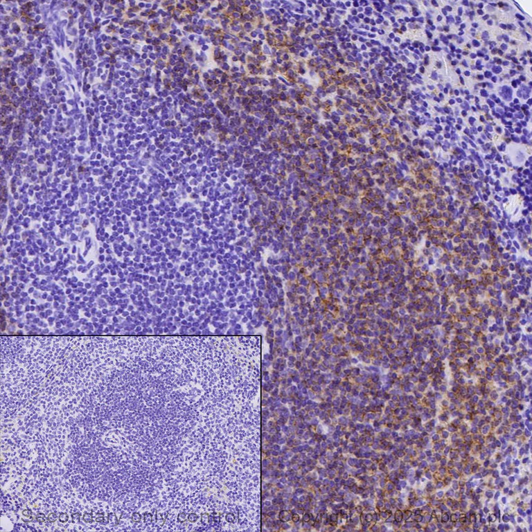
Immunohistochemistry (Formalin/PFA-fixed paraffin-embedded sections) - Anti-CD19 antibody [EPR23174-145] (AB245235)
  • IHC-P

Lab

Immunohistochemistry (Formalin/PFA-fixed paraffin-embedded sections) - Anti-CD19 antibody [EPR23174-145] (AB245235)

Immunohistochemical analysis of formalin fixed paraffin embedded mouse spleen labelling CD19 with ab245235 at a concentration of 1µg/ml.

The immunostaining was performed on a Ventana DISCOVERY ULTRA (Roche Tissue Diagnostics) instrument with a ChromoMap DAB kit and anti-rabbit HQ and anti-HQ HRP detection.
Heat mediated antigen retrieval was performed with DISCOVERY cell conditioning solution (CC1) 100°C, pH8.5 for 32mins.
ab245235 Anti-CD19 antibody [EPR23174-145] was incubated for 16mins at 37°C. Sections were counterstained with Hematoxylin II.
Image inset shows absence of staining in secondary antibody only control.
Customers are encouraged to optimise antigen retrieval conditions, antibody concentration, incubation times and temperature for best results in their own IHC assay workflow (automated and manual)

Multiplex immunohistochemistry - Anti-CD19 antibody [EPR23174-145] (AB245235)
  • mIHC

Lab

Multiplex immunohistochemistry - Anti-CD19 antibody [EPR23174-145] (AB245235)

Multiplex immunohistochemistry analysis of formalin/PFA-fixed paraffin-embedded mouse colon tissue staining CD68 with ab283654 at a 1/100 dilution, ab245235 anti-CD19 used at 1/1000 dilution and ab237721 anti-CD3 used at a 1/2000 dilution. Opal Polymer HRP Ms + Rb was used as a secondary antibody, and DAPI was used for a nuclear counter stain. Heat mediated antigen retrieval with Tris-EDTA buffer (pH 9.0, epitope retrieval solution2) for 20 mins.

Panel A : merged staining of anti-CD68 (magenta; Opal520), anti-CD19 (green; Opal690) and anti-CD3 (grey; Opal570) on mouse colon.
Panel B : anti-CD68 staining macrophages in mouse colon.
Panel C : anti-CD19 staining B lymphocytes in mouse colon.
Panel D : anti-CD3 staining T lymphocytes in mouse colon.
Nuclear DNA was labeled with DAPI (shown in blue).

The section was incubated in three rounds of staining : in the order of ab283654, ab245235 and ab237721 for 30 mins at room temperature. Each round was followed by a separate fluorescent tyramide signal amplification system.

The immunostaining was performed on a Leica Biosystems BOND®RX instrument with an Opal 4-color kit. Image acquisition was performed with Leica SP8 confocal microscope.

Multiplex immunohistochemistry - Anti-CD19 antibody [EPR23174-145] (AB245235)
  • mIHC

Supplier Data

Multiplex immunohistochemistry - Anti-CD19 antibody [EPR23174-145] (AB245235)

Multiplex immunohistochemistry analysis of formalin/PFA-fixed paraffin-embedded mouse lung tissue staining MARCO with ab323717 at a 1 : 200 (2.49 ug/ml) dilution, ab245235 anti-CD19 used at 1 : 1000 (0.22 ug/ml) dilution and ab237721 anti-CD3 used at a 1 : 2000 (0.26 ug/ml) dilution.

Panel A : merged staining of anti-MARCO (green; Opal™520), anti-CD19 (gray; Opal™690) and anti-CD3 (magenta; Opal™570) on mouse lung.
Panel B : anti-MARCO staining macrophages in mouse lung.
Panel C : ant-CD19 staining B lymphocytes in mouse lung.
Panel D : ant-CD3 staining T lymphocytes in mouse lung.
Nuclear DNA was labeled with DAPI (shown in blue).

The section was incubated in three rounds of staining : in the order of ab323717, ab245235 and ab237721 for 30 mins at room temperature. Each round was followed by a separate fluorescent tyramide signal amplification system.

The immunostaining was performed on a Leica Biosystems BOND® RX instrument with an Opal™ 4-color kit. Image acquisition was performed with Leica SP8 confocal microscope.

Nuclear counter stain with DAPI.

Heat mediated antigen retrieval with Tris-EDTA buffer (pH 9.0, epitope retrieval solution2) for 20 mins.

Multiplex immunohistochemistry - Anti-CD19 antibody [EPR23174-145] (AB245235)
  • mIHC

Lab

Multiplex immunohistochemistry - Anti-CD19 antibody [EPR23174-145] (AB245235)

Multiplex immunohistochemistry analysis of formalin/PFA-fixed paraffin-embedded mouse lymph node tissue staining CD23 with ab315289 at a 1/2000 dilution (0.253 µg/ml), CD19 with ab245235 at 1/1000 dilution (0.444 µg/ml), and CD3 with ab237721 at 1/8000 dilution (0.07 µg/ml), followed by a ready to use secondary antibody Opal Polymer HRP Ms + Rb.

Panel A : merged staining of anti-CD23 (green; Opal™520), anti-CD19 (magenta; Opal™570) and anti-CD3 (yellow; Opal™690) on mouse lymph node.
Panel B : anti-CD23 staining B lymphocytes in mouse lymph node.
Panel C : anti-CD19 staining B lymphocytes in mouse lymph node.
Panel D : anti-CD3 staining T lymphocytes in mouse lymph node.
Nuclear DNA was labeled with DAPI (shown in blue).

The section was incubated in three rounds of staining : in the order of ab315289, ab245235 and ab237721 for 30 mins at room temperature. Each round was followed by a separate fluorescent tyramide signal amplification system.

Heat mediated antigen retrieval with Tris-EDTA buffer (pH 9.0, epitope retrieval solution2) for 20 mins.

Multiplex immunohistochemistry - Anti-CD19 antibody [EPR23174-145] (AB245235)
  • mIHC

Lab

Multiplex immunohistochemistry - Anti-CD19 antibody [EPR23174-145] (AB245235)

Multiplex immunohistochemistry analysis of formalin/PFA-fixed paraffin-embedded mouse thymus tissue staining CD23 with ab315289 at a 1/2000 dilution (0.253 µg/ml), CD19 with ab245235 at 1/1000 dilution (0.444 µg/ml), and CD3 with ab237721 at 1/8000 dilution (0.07 µg/ml), followed by a ready to use secondary antibody Opal Polymer HRP Ms + Rb.

Panel A : merged staining of anti-CD23 (green; Opal™520), anti-CD19 (magenta; Opal™570) and anti-CD3 (yellow; Opal™690) on mouse thymus.
Panel B : anti-CD23 staining B lymphocytes in mouse thymus.
Panel C : anti-CD19 staining B lymphocytes in mouse thymus.
Panel D : anti-CD3 staining T lymphocytes in mouse thymus.
Nuclear DNA was labeled with DAPI (shown in blue).

The section was incubated in three rounds of staining : in the order of ab315289, ab245235 and ab237721 for 30 mins at room temperature. Each round was followed by a separate fluorescent tyramide signal amplification system.

Heat mediated antigen retrieval with Tris-EDTA buffer (pH 9.0, epitope retrieval solution2) for 20 mins.

Multiplex immunohistochemistry - Anti-CD19 antibody [EPR23174-145] (AB245235)
  • mIHC

Lab

Multiplex immunohistochemistry - Anti-CD19 antibody [EPR23174-145] (AB245235)

Multiplex immunohistochemistry analysis of formalin/PFA-fixed paraffin-embedded Mouse spleen staining of NCR1 with ab233558 at a 1/500 (1.062 µg/ml) dilution, CD19 with ab245235 at 1/1000 (0.444 µg/ml) dilution and CD3 with ab237721 at 1/2000 ( 0.264 µg/ml) dilution.

Panel A : merged staining of anti-NCR1 (magenta; Opal™690), anti-CD19 (green; Opal™520) and anti-CD3 (gray; Opal™570) on mouse spleen.
Panel B : Anti-NCR1 staining natural killer cells in mouse spleen.
Panel C : anti-CD19 staining B lymphocytes in mouse spleen.
Panel D : anti-CD3 staining T lymphocytes in mouse spleen.
Nuclear DNA was labelled with DAPI (shown in blue).

The section was incubated in three rounds of staining : in the order of ab233558, ab245235 and ab237721 for 30 mins at room temperature. Each round was followed by a separate fluorescent tyramide signal amplification system.

The immunostaining was performed on a Leica Biosystems BOND® RX instrument with an Opal™ 4-color kit. Image acquisition was performed with Leica SP8 confocal microscope.

Heat mediated antigen retrieval with Tris-EDTA buffer (pH 9.0 epitope retrieval solution2) for 20 mins.

Multiplex immunohistochemistry - Anti-CD19 antibody [EPR23174-145] (AB245235)
  • mIHC

Lab

Multiplex immunohistochemistry - Anti-CD19 antibody [EPR23174-145] (AB245235)

Multiplex immunohistochemistry analysis of formalin/PFA-fixed paraffin-embedded Mouse bone marrow tissue staining Neutrophil Elastase with ab310335 at a 1/500 ( 1.076 µg/ml) dilution, CD19 with ab245235 at a 1/1000 ( 0.444 µg/ml) dilution and CD3 with ab237721 at a 1/2000 ( 0.264 µg/ml) dilution followed by a ready to use secondary antibody Opal Polymer HRP Ms + Rb.

Panel A : merged staining of anti-Neutrophil Elastase (magenta; Opal™690), anti-CD19 (green; Opal™520) and anti-CD3 (gray; Opal™690) on mouse spleen.Panel B : anti-Neutrophil Elastase staining neutrophils in mouse spleen.
Panel C : anti-CD19 staining B lymphocytes in mouse spleen.
Panel D : anti-CD3 staining T lymphocytes in mouse spleen.
Nuclear DNA was labeled with DAPI (shown in blue).

The section was incubated in three rounds of staining : in the order of ab310335, ab245235 and ab237721 for 30 mins at room temperature. Each round was followed by a separate fluorescent tyramide signal amplification system.

The immunostaining was performed on a Leica Biosystems BOND® RX instrument with an Opal™ 4-color kit. Image acquisition was performed with Leica SP8 confocal microscope.

Heat mediated antigen retrieval with Tris-EDTA buffer (pH 9.0, epitope retrieval solution2) for 20 mins

Flow Cytometry - Anti-CD19 antibody [EPR23174-145] (AB245235)
  • Flow Cyt

Lab

Flow Cytometry - Anti-CD19 antibody [EPR23174-145] (AB245235)

Flow cytometry overlay histogram showing CD3+ve mouse splenocytes stained with ab245235 (right) and with Recombinant Rabbit IgG, monoclonal [EPR25A] - Isotype Control, used at the same concentration and conditions as the primary antibody (left). The cells were incubated in 1x PBS containing 10μg/ml anti CD16/CD32 and 10% normal goat serum to block FC receptors and non-specific protein-protein interaction followed by the antibody (ab245235) (1x 106 in 100μl at 1.0 μg/ml (1/500)) for 30min on ice.

The secondary antibody Goat Anti-Rabbit IgG H&L (Alexa Fluor® 488) preadsorbed was incubated at 1/4000 for 30min on ice

Unlabelled sample was also used as a control (this line is not shown for the purpose of simplicity).

Acquisition of >5000 events were collected using a 50 mW Blue laser (488nm) and 525/40 bandpass filter.

Multiplex immunohistochemistry - Anti-CD19 antibody [EPR23174-145] (AB245235)
  • mIHC

Lab

Multiplex immunohistochemistry - Anti-CD19 antibody [EPR23174-145] (AB245235)

Multiplex immunohistochemistry analysis of formalin/PFA-fixed paraffin-embedded mouse spleen tissue staining CD23 with ab315289 at a 1/2000 dilution (0.253 µg/ml), CD19 with ab245235 at 1/1000 dilution (0.444 µg/ml), and CD3 with ab237721 at 1/8000 dilution (0.07 µg/ml), followed by a ready to use secondary antibody Opal Polymer HRP Ms + Rb.

Panel A : merged staining of anti-CD23 (green; Opal™520), anti-CD19 (magenta; Opal™570) and anti-CD3 (yellow; Opal™690) on mouse spleen.
Panel B : anti-CD23 staining B lymphocytes in mouse spleen.
Panel C : anti-CD19 staining B lymphocytes in mouse spleen.
Panel D : anti-CD3 staining T lymphocytes in mouse spleen.
Nuclear DNA was labeled with DAPI (shown in blue).

The section was incubated in three rounds of staining : in the order of ab315289, ab245235 and ab237721 for 30 mins at room temperature. Each round was followed by a separate fluorescent tyramide signal amplification system.

Heat mediated antigen retrieval with Tris-EDTA buffer (pH 9.0, epitope retrieval solution2) for 20 mins.

Multiplex immunohistochemistry - Anti-CD19 antibody [EPR23174-145] (AB245235)
  • mIHC

Lab

Multiplex immunohistochemistry - Anti-CD19 antibody [EPR23174-145] (AB245235)

Multiplex immunohistochemistry analysis of formalin/PFA-fixed paraffin-embedded Mouse bone marrow staining of F4/80 with ab300421 at a 1/5000 (0.1 µg/ml) dilution, CD19 with ab245235 at 1/1000 (0.444 µg/ml) dilution and CD3 with ab237721 at 1/2000 ( 0.264 µg/ml) dilution.

Panel A : merged staining of anti-F4/80 (magenta; Opal™690), anti-CD19 (green; Opal™520) and anti-CD3 (gray; Opal™570) on mouse bone marrow.
Panel B : anti-F4/80 staining macrophages in mouse bone marrow.
Panel C : anti-CD19 staining B lymphocytes in mouse bone marrow.
Panel D : anti-CD3 staining T lymphocytes in mouse bone marrow.
Nuclear DNA was labelled with DAPI (shown in blue).

The section was incubated in three rounds of staining : in the order of ab300421, ab245235 and ab237721 for 30 mins at room temperature. Each round was followed by a separate fluorescent tyramide signal amplification system.

The immunostaining was performed on a Leica Biosystems BOND® RX instrument with an Opal™ 4-color kit. Image acquisition was performed with Leica SP8 confocal microscope.

Heat mediated antigen retrieval with Tris-EDTA buffer (pH 9.0 epitope retrieval solution2) for 20 mins.

Multiplex immunohistochemistry - Anti-CD19 antibody [EPR23174-145] (AB245235)
  • mIHC

Lab

Multiplex immunohistochemistry - Anti-CD19 antibody [EPR23174-145] (AB245235)

Multiplex immunohistochemistry analysis of formalin/PFA-fixed paraffin-embedded Mouse thymus staining of F4/80 with ab300421 at a 1/5000 (0.1 µg/ml) dilution, CD19 with ab245235 at 1/1000 (0.444 µg/ml) dilution and CD3 with ab237721 at 1/2000 ( 0.264 µg/ml) dilution.

Panel A : merged staining of anti-F4/80 (magenta; Opal™690), anti-CD19 (green; Opal™520) and anti-CD3 (gray; Opal™570) on mouse thymus.
Panel B : anti-F4/80 staining macrophages in mouse thymus.
Panel C : anti-CD19 staining B lymphocytes in mouse thymus.
Panel D : anti-CD3 staining T lymphocytes in mouse thymus.
Nuclear DNA was labelled with DAPI (shown in blue).

The section was incubated in three rounds of staining : in the order of ab300421, ab245235 and ab237721 for 30 mins at room temperature. Each round was followed by a separate fluorescent tyramide signal amplification system.

The immunostaining was performed on a Leica Biosystems BOND® RX instrument with an Opal™ 4-color kit. Image acquisition was performed with Leica SP8 confocal microscope.

Heat mediated antigen retrieval with Tris-EDTA buffer (pH 9.0 epitope retrieval solution2) for 20 mins.

Multiplex immunohistochemistry - Anti-CD19 antibody [EPR23174-145] (AB245235)
  • mIHC

Lab

Multiplex immunohistochemistry - Anti-CD19 antibody [EPR23174-145] (AB245235)

Multiplex immunohistochemistry analysis of formalin/PFA-fixed paraffin-embedded Mouse thymus staining of NCR1 with ab233558 at a 1/500 (1.062 µg/ml) dilution, CD19 with ab245235 at 1/1000 (0.444 µg/ml) dilution and CD3 with ab237721 at 1/2000 ( 0.264 µg/ml) dilution.

Panel A : merged staining of anti-NCR1 (magenta; Opal™690), anti-CD19 (green; Opal™520) and anti-CD3 (gray; Opal™570) on mouse thymus.
Panel B : anti-NCR1 staining natural killer cells in mouse thymus.
Panel C : anti-CD19 staining B lymphocytes in mouse thymus.
Panel D : anti-CD3 staining T lymphocytes in mouse thymus.
Nuclear DNA was labelled with DAPI (shown in blue).

The section was incubated in three rounds of staining : in the order of ab233558, ab245235 and ab237721 for 30 mins at room temperature. Each round was followed by a separate fluorescent tyramide signal amplification system.

The immunostaining was performed on a Leica Biosystems BOND® RX instrument with an Opal™ 4-color kit. Image acquisition was performed with Leica SP8 confocal microscope.

Heat mediated antigen retrieval with Tris-EDTA buffer (pH 9.0 epitope retrieval solution2) for 20 mins.

Multiplex immunohistochemistry - Anti-CD19 antibody [EPR23174-145] (AB245235)
  • mIHC

Lab

Multiplex immunohistochemistry - Anti-CD19 antibody [EPR23174-145] (AB245235)

Multiplex immunohistochemistry analysis of formalin/PFA-fixed paraffin-embedded Mouse lymph node staining of F4/80 with ab300421 at a 1/5000 (0.1 µg/ml) dilution, CD19 with ab245235 at 1/1000 (0.444 µg/ml) dilution and CD3 with ab237721 at 1/2000 ( 0.264 µg/ml) dilution.

Panel A : merged staining of anti-F4/80 (magenta; Opal™690), anti-CD19 (green; Opal™520) and anti-CD3 (gray; Opal™570) on mouse lymph node.
Panel B : anti-F4/80 staining macrophages in mouse lymph node.
Panel C : anti-CD19 staining B lymphocytes in mouse lymph node.
Panel D : anti-CD3 staining T lymphocytes in mouse lymph node.
Nuclear DNA was labelled with DAPI (shown in blue).

The section was incubated in three rounds of staining : in the order of ab300421, ab245235 and ab237721 for 30 mins at room temperature. Each round was followed by a separate fluorescent tyramide signal amplification system.

The immunostaining was performed on a Leica Biosystems BOND® RX instrument with an Opal™ 4-color kit. Image acquisition was performed with Leica SP8 confocal microscope.

Heat mediated antigen retrieval with Tris-EDTA buffer (pH 9.0 epitope retrieval solution2) for 20 mins.

Multiplex immunohistochemistry - Anti-CD19 antibody [EPR23174-145] (AB245235)
  • mIHC

Lab

Multiplex immunohistochemistry - Anti-CD19 antibody [EPR23174-145] (AB245235)

Multiplex immunohistochemistry analysis of formalin/PFA-fixed paraffin-embedded Mouse thymus tissue staining Neutrophil Elastase with ab310335 at a 1/500 ( 1.076 µg/ml) dilution, CD19 with ab245235 at a 1/1000 ( 0.444 µg/ml) dilution and CD3 with ab237721 at a 1/2000 ( 0.264 µg/ml) dilution followed by a ready to use secondary antibody Opal Polymer HRP Ms + Rb.

Panel A : merged staining of anti-Neutrophil Elastase (magenta; Opal™690), anti-CD19 (green; Opal™520) and anti-CD3 (gray; Opal™690) on mouse spleen.Panel B : anti-Neutrophil Elastase staining neutrophils in mouse spleen.
Panel C : anti-CD19 staining B lymphocytes in mouse spleen.
Panel D : anti-CD3 staining T lymphocytes in mouse spleen.
Nuclear DNA was labeled with DAPI (shown in blue).

The section was incubated in three rounds of staining : in the order of ab310335, ab245235 and ab237721 for 30 mins at room temperature. Each round was followed by a separate fluorescent tyramide signal amplification system.

The immunostaining was performed on a Leica Biosystems BOND® RX instrument with an Opal™ 4-color kit. Image acquisition was performed with Leica SP8 confocal microscope.

Heat mediated antigen retrieval with Tris-EDTA buffer (pH 9.0, epitope retrieval solution2) for 20 mins

Multiplex immunohistochemistry - Anti-CD19 antibody [EPR23174-145] (AB245235)
  • mIHC

Lab

Multiplex immunohistochemistry - Anti-CD19 antibody [EPR23174-145] (AB245235)

Multiplex immunohistochemistry analysis of formalin/PFA-fixed paraffin-embedded Mouse spleen tissue staining Neutrophil Elastase with ab310335 at a 1/500 ( 1.076 µg/ml) dilution, CD19 with ab245235 at a 1/1000 ( 0.444 µg/ml) dilution and CD3 with ab237721 at a 1/2000 ( 0.264 µg/ml) dilution followed by a ready to use secondary antibody Opal Polymer HRP Ms + Rb.

Panel A : merged staining of anti-Neutrophil Elastase (magenta; Opal™690), anti-CD19 (green; Opal™520) and anti-CD3 (gray; Opal™690) on mouse spleen.Panel B : anti-Neutrophil Elastase staining neutrophils in mouse spleen.
Panel C : anti-CD19 staining B lymphocytes in mouse spleen.
Panel D : anti-CD3 staining T lymphocytes in mouse spleen.
Nuclear DNA was labeled with DAPI (shown in blue).

The section was incubated in three rounds of staining : in the order of ab310335, ab245235 and ab237721 for 30 mins at room temperature. Each round was followed by a separate fluorescent tyramide signal amplification system.

The immunostaining was performed on a Leica Biosystems BOND® RX instrument with an Opal™ 4-color kit. Image acquisition was performed with Leica SP8 confocal microscope.

Heat mediated antigen retrieval with Tris-EDTA buffer (pH 9.0, epitope retrieval solution2) for 20 mins

Multiplex immunohistochemistry - Anti-CD19 antibody [EPR23174-145] (AB245235)
  • mIHC

Lab

Multiplex immunohistochemistry - Anti-CD19 antibody [EPR23174-145] (AB245235)

Multiplex immunohistochemistry analysis of formalin/PFA-fixed paraffin-embedded Mouse spleen staining of F4/80 with ab300421 at a 1/5000 (0.1 µg/ml) dilution, CD19 with ab245235 at 1/1000 (0.444 µg/ml) dilution and CD3 with ab237721 at 1/2000 ( 0.264 µg/ml) dilution.

Panel A : merged staining of anti-F4/80 (magenta; Opal™690), anti-CD19 (green; Opal™520) and anti-CD3 (gray; Opal™570) on mouse spleen.
Panel B : anti-F4/80 staining macrophages in mouse spleen.
Panel C : anti-CD19 staining B lymphocytes in mouse spleen.
Panel D : anti-CD3 staining T lymphocytes in mouse spleen.
Nuclear DNA was labelled with DAPI (shown in blue).

The section was incubated in three rounds of staining : in the order of ab300421, ab245235 and ab237721 for 30 mins at room temperature. Each round was followed by a separate fluorescent tyramide signal amplification system.

The immunostaining was performed on a Leica Biosystems BOND® RX instrument with an Opal™ 4-color kit. Image acquisition was performed with Leica SP8 confocal microscope.

Heat mediated antigen retrieval with Tris-EDTA buffer (pH 9.0 epitope retrieval solution2) for 20 mins.

Flow Cytometry - Anti-CD19 antibody [EPR23174-145] (AB245235)
  • Flow Cyt

Lab

Flow Cytometry - Anti-CD19 antibody [EPR23174-145] (AB245235)

Flow cytometry staining of C57BL/6 mouse splenocytes with ab245235 (right) or Recombinant Rabbit IgG, monoclonal [EPR25A] - Isotype Control (left). Cells were incubated for 30 min on ice in 1x PBS containing 10μg/ml anti CD16/CD32 and 10% normal goat serum to block FC receptors and non-specific protein-protein interaction followed by the antibody ab245235 or Recombinant Rabbit IgG, monoclonal [EPR25A] - Isotype Control (1x 106in 100 μl at 1.0 μg/ml (1/2120)) for 30min on ice. The cells were simultaneously stained with CD3.

The secondary antibody Goat Anti-Rabbit IgG H&L (Alexa Fluor® 488) preadsorbed was incubated at 1/4000 for 30min on ice

Acquisition of >30000 events were collected using a 50 mW Blue laser (488nm) and 525/40 bandpass filter. Events were gated on live cells.

Multiplex immunohistochemistry - Anti-CD19 antibody [EPR23174-145] (AB245235)
  • mIHC

Lab

Multiplex immunohistochemistry - Anti-CD19 antibody [EPR23174-145] (AB245235)

Multiplex immunohistochemistry analysis of formalin/PFA-fixed paraffin-embedded Mouse lymph node tissue staining Neutrophil Elastase with ab310335 at a 1/500 ( 1.076 µg/ml) dilution, CD19 with ab245235 at a 1/1000 ( 0.444 µg/ml) dilution and CD3 with ab237721 at a 1/2000 ( 0.264 µg/ml) dilution followed by a ready to use secondary antibody Opal Polymer HRP Ms + Rb.

Panel A : merged staining of anti-Neutrophil Elastase (magenta; Opal™690), anti-CD19 (green; Opal™520) and anti-CD3 (gray; Opal™690) on mouse spleen.Panel B : anti-Neutrophil Elastase staining neutrophils in mouse spleen.
Panel C : anti-CD19 staining B lymphocytes in mouse spleen.
Panel D : anti-CD3 staining T lymphocytes in mouse spleen.
Nuclear DNA was labeled with DAPI (shown in blue).

The section was incubated in three rounds of staining : in the order of ab310335, ab245235 and ab237721 for 30 mins at room temperature. Each round was followed by a separate fluorescent tyramide signal amplification system.

The immunostaining was performed on a Leica Biosystems BOND® RX instrument with an Opal™ 4-color kit. Image acquisition was performed with Leica SP8 confocal microscope.

Heat mediated antigen retrieval with Tris-EDTA buffer (pH 9.0, epitope retrieval solution2) for 20 mins

Immunoprecipitation - Anti-CD19 antibody [EPR23174-145] (AB245235)
  • IP

Unknown

Immunoprecipitation - Anti-CD19 antibody [EPR23174-145] (AB245235)

CD19 was immunoprecipitated from 0.35 mg mouse spleen lysate with ab245235 at 1/30 dilution (2μg in 0.35mg lysates). Western blot was performed on the immunoprecipitate using ab245235 at 1/1000 dilution. VeriBlot for IP Detection Reagent (HRP) (ab131366) was used at 1/5000 dilution.

Lane 1 : Mouse spleen lysate 10μg

Lane 2 : ab245235 IP in mouse spleen lysate

Lane 3 : Rabbit monoclonal IgG (ab172730) instead of ab245235 in mouse spleen lysate

Blocking and dilution buffer and concentration : 5% NFDM/TBST.

Exposure time : 30 seconds.

All lanes:

Immunoprecipitation - Anti-CD19 antibody [EPR23174-145] (ab245235)

Predicted band size: 61 kDa

Observed band size: 60-120 kDa

false

Western blot - Anti-CD19 antibody [EPR23174-145] (AB245235)
  • WB

Unknown

Western blot - Anti-CD19 antibody [EPR23174-145] (AB245235)

Blocking and dilution buffer : 5% NFDM/TBST.

Exposure time : 48 seconds.

The expression profile/ molecular weight observed is consistent with what has been described in the literature (PMID : 26516065).

All lanes:

Western blot - Anti-CD19 antibody [EPR23174-145] (ab245235) at 1/1000 dilution

All lanes:

Mouse spleen tissue lysate at 20 µg

Secondary

All lanes:

Western blot - Goat Anti-Rabbit IgG H&L (HRP) (<a href='/en-us/products/secondary-antibodies/goat-rabbit-igg-h-l-hrp-ab97051'>ab97051</a>) at 1/100000 dilution

Predicted band size: 61 kDa

Observed band size: 60-120 kDa

false

Western blot - Anti-CD19 antibody [EPR23174-145] (AB245235)
  • WB

Unknown

Western blot - Anti-CD19 antibody [EPR23174-145] (AB245235)

Blocking and dilution buffer : 5% NFDM/TBS.

Exposure time : 48 seconds.

The expression profile/ molecular weight observed is consistent with what has been described in the literature (PMID : 26516065).

Negative control : CTLL-2 (PMID : 1370948) is treated as a negative cell line according to the literature, that CD19 is a B lymphocyte cell-surface marker that is expressed early during pre-B-cell differentiation, not in T cells.

All lanes:

Western blot - Anti-CD19 antibody [EPR23174-145] (ab245235) at 1/1000 dilution

Lane 1:

WEHI-231 (mouse B cell lymphoma B lymphocyte), whole cell lysate at 20 µg

Lane 2:

A20 (mouse reticulum sarcoma B lymphocyte), whole cell lysate at 20 µg

Lane 3:

CTLL-2 (mouse T lymphocyte), whole cell lysate at 20 µg

Secondary

All lanes:

Western blot - Goat Anti-Rabbit IgG H&L (HRP) (<a href='/en-us/products/secondary-antibodies/goat-rabbit-igg-h-l-hrp-ab97051'>ab97051</a>) at 1/100000 dilution

Predicted band size: 61 kDa

Observed band size: 60-120 kDa

false

  • Carrier free

    Anti-CD19 antibody [EPR23174-145] - BSA and Azide free

  • 519 Alexa Fluor® 488

    Alexa Fluor® 488 Anti-CD19 antibody [EPR23174-145]

  • 660 APC

    APC Anti-CD19 antibody [EPR23174-145]

  • 578 PE

    PE Anti-CD19 antibody [EPR23174-145]

  • 665 Alexa Fluor® 647

    Alexa Fluor® 647 Anti-CD19 antibody [EPR23174-145]

Key facts

Host species

Rabbit

Clonality

Monoclonal

Clone number

EPR23174-145

Isotype

IgG

Carrier free

No

Reacts with

Mouse

Applications

ICC/IF, WB, Flow Cyt, mIHC, IHC-P, IHC-Fr, IP

applications

Immunogen

The exact immunogen used to generate this antibody is proprietary information.

Reactivity data

{ "title": "Reactivity Data", "filters": { "stats": ["", "Species", "Dilution Info", "Notes"], "tabs": { "all-applications": {"fullname" : "All Applications", "shortname": "All Applications"}, "IP" : {"fullname" : "Immunoprecipitation", "shortname":"IP"}, "FlowCyt" : {"fullname" : "Flow Cytometry", "shortname":"Flow Cyt"}, "WB" : {"fullname" : "Western blot", "shortname":"WB"}, "ICCIF" : {"fullname" : "Immunocytochemistry/ Immunofluorescence", "shortname":"ICC/IF"}, "IHCFr" : {"fullname" : "Immunohistochemistry (Frozen sections)", "shortname":"IHC-Fr"}, "IHCP" : {"fullname" : "Immunohistochemistry (Formalin/PFA-fixed paraffin-embedded sections)", "shortname":"IHC-P"}, "mIHC" : {"fullname" : "Multiplex immunohistochemistry", "shortname":"mIHC"} }, "product-promise": { "all": "all", "testedAndGuaranteed": "tested", "guaranteed": "expected", "predicted": "predicted", "notRecommended": "not-recommended" } }, "values": { "Human": { "IP-species-checked": "notRecommended", "IP-species-dilution-info": "", "IP-species-notes": "", "FlowCyt-species-checked": "notRecommended", "FlowCyt-species-dilution-info": "", "FlowCyt-species-notes": "", "WB-species-checked": "notRecommended", "WB-species-dilution-info": "1/1000", "WB-species-notes": "<p></p>", "ICCIF-species-checked": "notRecommended", "ICCIF-species-dilution-info": "", "ICCIF-species-notes": "", "IHCFr-species-checked": "notRecommended", "IHCFr-species-dilution-info": "", "IHCFr-species-notes": "", "IHCP-species-checked": "notRecommended", "IHCP-species-dilution-info": "1/1000", "IHCP-species-notes": "<p></p>", "mIHC-species-checked": "notRecommended", "mIHC-species-dilution-info": "", "mIHC-species-notes": "" }, "Mouse": { "IP-species-checked": "testedAndGuaranteed", "IP-species-dilution-info": "1/30", "IP-species-notes": "<p></p>", "FlowCyt-species-checked": "testedAndGuaranteed", "FlowCyt-species-dilution-info": "1/500", "FlowCyt-species-notes": "<p></p>", "WB-species-checked": "testedAndGuaranteed", "WB-species-dilution-info": "1/1000", "WB-species-notes": "<p></p>", "ICCIF-species-checked": "testedAndGuaranteed", "ICCIF-species-dilution-info": "1/50", "ICCIF-species-notes": "<p></p>", "IHCFr-species-checked": "testedAndGuaranteed", "IHCFr-species-dilution-info": "1/250", "IHCFr-species-notes": "<p></p>", "IHCP-species-checked": "testedAndGuaranteed", "IHCP-species-dilution-info": "1/1000", "IHCP-species-notes": "<p></p>", "mIHC-species-checked": "testedAndGuaranteed", "mIHC-species-dilution-info": "1/1000", "mIHC-species-notes": "<p></p>" }, "Rat": { "IP-species-checked": "notRecommended", "IP-species-dilution-info": "", "IP-species-notes": "", "FlowCyt-species-checked": "notRecommended", "FlowCyt-species-dilution-info": "", "FlowCyt-species-notes": "", "WB-species-checked": "notRecommended", "WB-species-dilution-info": "1/1000", "WB-species-notes": "<p></p>", "ICCIF-species-checked": "notRecommended", "ICCIF-species-dilution-info": "", "ICCIF-species-notes": "", "IHCFr-species-checked": "notRecommended", "IHCFr-species-dilution-info": "", "IHCFr-species-notes": "", "IHCP-species-checked": "notRecommended", "IHCP-species-dilution-info": "1/1000", "IHCP-species-notes": "<p></p>", "mIHC-species-checked": "notRecommended", "mIHC-species-dilution-info": "", "mIHC-species-notes": "" } } }

Product details

Anti-CD19 antibody [EPR23174-145] (ab245235) was developed by Abcam using patented rabbit monoclonal antibody technology and is validated for use in Flow Cyt, ICC/IF, IHC-Fr, IHC-P, IP, WB, mIHC in mouse samples.

Anti-CD19 antibody [EPR23174-145] (ab245235) has been cited over 21 times in peer reviewed journals and is trusted by the scientific community.

Abcam's high quality manufacturing and validation processes ensure Anti-CD19 antibody [EPR23174-145] (ab245235) has high sensitivity and specificity alongside high lot-to-lot consistency and reproducibility.

Anti-CD19 antibody [EPR23174-145] (ab245235) has 4 independent reviews from customers.

Anti-CD19 antibody [EPR23174-145] (ab245235) specifically detects CD19 (UniProt ID: P25918; Molecular weight: 58kDa) and is sold in a convenient trial size to enable initial testing (20 µL) and larger sizes for subsequent scaling up experiments (100 µL and 1 mL).

Conjugation-ready, carrier free format available for antibody clone EPR23174-145 - ab267394.

Antibody clone EPR23174-145 is also available pre-conjugated to a variety of labels for your convenience - Alexa Fluor® 488, APC, PE, Alexa Fluor® 647 (ab270176, ab270178, ab306537, ab314289).

Patented technology
Our RabMAb® technology is a patented hybridoma-based technology for making rabbit monoclonal antibodies. For details on our patents, please refer to RabMAb® patents.

What are the advantages of a recombinant monoclonal antibody?
This product is a recombinant monoclonal antibody, which offers several advantages including:

  • - High batch-to-batch consistency and reproducibility
  • - Improved sensitivity and specificity
  • - Long-term security of supply
  • - Animal-free batch production

For more information, read more on recombinant antibodies.

Properties and storage information

Form
Liquid
Purification technique
Affinity purification Protein A
Storage buffer
pH: 7.2 - 7.4 Preservative: 0.01% Sodium azide Constituents: PBS, 40% Glycerol (glycerin, glycerine), 0.05% BSA
Shipped at conditions
Blue Ice
Appropriate short-term storage duration
1-2 weeks
Appropriate short-term storage conditions
+4°C
Appropriate long-term storage conditions
-20°C
Aliquoting information
Upon delivery aliquot
Storage information
Avoid freeze / thaw cycle

Supplementary information

This supplementary information is collated from multiple sources and compiled automatically.

CD19 is a transmembrane protein also known as B4 or B-lymphocyte antigen CD19 with an approximate molecular weight of 95 kDa. It is expressed on the surface of B cells throughout their development from pro-B cells to mature B cells. CD19 functions mechanically as a coreceptor enhancing the sensitivity of B cell receptor (BCR) signaling. This protein plays a significant role in promoting the activation and proliferation of B cells by lowering the threshold for antigen receptor engagement.
Biological function summary

CD19 acts as an essential player in B cell signaling. CD19 integrates signals from the BCR with other coreceptors acting as a signaling hub. It participates in forming a signaling complex that includes proteins like CD21 and CD81 which further amplifies BCR-mediated signaling. This complex plays a critical role in B cell activation differentiation and survival ensuring that immune responses are efficiently mounted against pathogens.

Pathways

The CD19 protein fits into key immune response pathways such as the BCR signaling pathway and the PI3K-Akt signaling pathway. CD19 collaborates with other proteins like CD21 CD81 and PI3K within these pathways. Its interaction in the PI3K-Akt pathway for instance supports critical processes including B cell activation and homeostasis contributing to the adaptive immune response.

CD19 is connected to B cell malignancies and autoimmune diseases. B cell acute lymphoblastic leukemia (ALL) often shows aberrant CD19 expression making it a valuable target for therapeutic interventions like anti-CD19 monoclonal antibodies. Additionally overexpression or mutations of CD19 may contribute to autoimmune diseases by disrupting normal B cell regulation. CD19's connection with proteins like CD22 and CD20 in these pathological contexts highlights its relevance in developing targeted therapies.

Product protocols

For this product, it's our understanding that no specific protocols are required. You can visit:

Target data

Functions as a coreceptor for the B-cell antigen receptor complex (BCR) on B-lymphocytes. Decreases the threshold for activation of downstream signaling pathways and for triggering B-cell responses to antigens (By similarity). Activates signaling pathways that lead to the activation of phosphatidylinositol 3-kinase and the mobilization of intracellular Ca(2+) stores (PubMed : 12387743, PubMed : 20101619, PubMed : 9382888). Is not required for early steps during B cell differentiation in the blood marrow (PubMed : 7542548, PubMed : 7543183, PubMed : 9317126). Required for normal differentiation of B-1 cells (PubMed : 12387743, PubMed : 7542548, PubMed : 7543183). Required for normal B cell differentiation and proliferation in response to antigen challenges (PubMed : 12387743, PubMed : 7542548, PubMed : 9317126). Required for normal levels of serum immunoglobulins, and for production of high-affinity antibodies in response to antigen challenge (PubMed : 12387743, PubMed : 7542548, PubMed : 7543183).
See full target information Cd19

Publications (47)

Recent publications for all applications. Explore the full list and refine your search

Science advances 11:eadv9161 PubMed41061056

2025

Combination LIGHT overexpression and checkpoint blockade disrupts the tumor immune environment impacting colorectal liver metastases.

Applications

Unspecified application

Species

Unspecified reactive species

Bridget P Keenan,Guilin Qiao,Nicholas Kunda,Lyonell Kone,Sophia M Guldberg,Letizia Todeschini,Prabhakaran Kumar,Tommaso Pollini,Sophia Hernandez,Jianzhong Qin,Lawrence Fong,Matthew H Spitzer,Bellur S Prabhakar,Ajay V Maker

Clinical and translational medicine 15:e70464 PubMed40985995

2025

CD103CD8 tissue-resident memory T lymphocytes of melanoma boost anti-tumour immunity and predict immunotherapy outcomes.

Applications

Unspecified application

Species

Unspecified reactive species

Tianyi Zhang,Junquan Song,Yinlam Li,Kangjie Shen,Jiangying Xuan,Yuan Gao,Lili Lu,Zhi Pang,Lu Wang,Yang Yang,Zixu Gao,Qianrong Hu,Yu Zhu,Chenlu Wei,Shaoluan Zheng,Rongkui Luo,Yingyong Hou,Yuhong Zhou,Chuanyuan Wei,Jianying Gu

Communications biology 8:1312 PubMed40885864

2025

A single-cell atlas of mouse central nervous system immune cells reveals unique infection-stage immune signatures during the progression of meningitis caused by Streptococcus suis.

Applications

Unspecified application

Species

Unspecified reactive species

Xuan Jiang,Jikun Mei,Junhui Zhu,Yanyan Tian,Tong Wu,Ziheng Li,Zengshuai Wu,Tamim Abdelaal,Fengyang Li,Na Li,Liancheng Lei

Nature communications 16:6695 PubMed40691175

2025

A UFD1 variant encoding a microprotein modulates UFD1f and IPMK ubiquitination to play pivotal roles in anti-stress responses.

Applications

Unspecified application

Species

Unspecified reactive species

Xiuzhi Li,Xiaolin Wang,Xu Liu,Ge Shan,Liang Chen

Communications biology 8:1040 PubMed40640354

2025

Fortilin deficiency induces anti-atherosclerotic phenotypes in macrophages and protects hypercholesterolemic mice against atherosclerosis.

Applications

Unspecified application

Species

Unspecified reactive species

Nattaporn Wanachottrakul,Decha Pinkaew,Sandipan Mukherjee,Preedakorn Chunhacha,Mari Nakashima,Asa A Brockman,Uttariya Pal,Hasseri B Halim,Yuhong Wei,Lena Tanaka,Hanna Huynh,Kota Ramana,Shiyou Chen,Rebecca A Ihrie,Ken Fujise

Frontiers in cellular and infection microbiology 15:1587166 PubMed40365538

2025

Egg-driven immunosuppression and granuloma zonation in Peyer's patches of mice with infection.

Applications

Unspecified application

Species

Unspecified reactive species

Linzhu Li,Jing Wu,Guangxu Cao,Jiakai Yao,Yanping Miao,Yanglin Zhuang,Yushen Xiang,Xiaolin Zhong,Yicong Liu,Fubo Chen,Yalei Dai,Yang Dai,Xindong Xu,Qingfeng Zhang

Frontiers in immunology 16:1491450 PubMed40013140

2025

Diethyldithiocarbamate-copper complex ignites the tumor microenvironment through NKG2D-NKG2DL axis.

Applications

Unspecified application

Species

Unspecified reactive species

Daciana C Dumut,Marian Hajduch,Amanda M Zacharias,Qingling Duan,Ivo Frydrych,Zuzana Rozankova,Miroslav Popper,Dusan Garic,Radu Alexandru Paun,Amanda Centorame,Juhi Shah,Martin Mistrik,Petr Dzubak,Juan B De Sanctis,Danuta Radzioch

Cell & bioscience 15:24 PubMed39972392

2025

KAT8 catalyzes the acetylation of SEPP1 at lysine 247/249 and modulates the activity of CD8 T cells via LRP8 to promote anti-tumor immunity in pancreatic cancer.

Applications

Unspecified application

Species

Unspecified reactive species

Zhongfei Zhu,Gang Nie,Xiaobo Peng,Xianbao Zhan,Dan Ding

Advanced science (Weinheim, Baden-Wurttemberg, Germany) 12:e2406684 PubMed39465672

2024

Tertiary Lymphoid Structure in Dental Pulp: The Role in Combating Bacterial Infections.

Applications

Unspecified application

Species

Unspecified reactive species

Ruiqi Li,Fan Gu,Linlin Peng,Tingting Huan,Zhuo Zhou,Yaling Song,Jinmei He,Kaili Ye,Yao Sun,Tiejun Li,Miao He,Zhuan Bian,Wei Yin

Immunity & ageing : I & A 21:69 PubMed39407236

2024

Quercetin ameliorates lupus symptoms by promoting the apoptosis of senescent Tfh cells via the Bcl-2 pathway.

Applications

Unspecified application

Species

Unspecified reactive species

Feng Xiong,Kai Shen,Di Long,Suqing Zhou,Pinglang Ruan,Yue Xin,Yuezheng Xiao,Weijun Peng,Ming Yang,Haijing Wu,Qianjin Lu
View all publications

Product promise

We are committed to supporting your work with high-quality reagents, and we're here for you every step of the way. In the unlikely event that one of our products does not perform as expected, you're protected by our Product Promise.
For full details, please see our Terms & Conditions

Please note: All products are 'FOR RESEARCH USE ONLY. NOT FOR USE IN DIAGNOSTIC OR THERAPEUTIC PROCEDURES'.

For licensing inquiries, please contact partnerships@abcam.com