JavaScript is disabled in your browser. Please enable JavaScript to view this website.
AB267394

Anti-CD19 antibody [EPR23174-145] - BSA and Azide free

  • BOND RX™ Validated
  • Recombinant
  • Advanced Validation
  • RabMAb
  • What is this?

5

(1 Review)

|

(0 Publication)

Rabbit Recombinant Monoclonal CD19 antibody. Carrier free. Suitable for mIHC, IP, Flow Cyt, WB, ICC/IF, IHC-Fr, IHC-P and reacts with Mouse samples.

View Alternative Names

CD19, B-lymphocyte antigen CD19, Differentiation antigen CD19, Cd19

25 Images
Multiplex immunohistochemistry - Anti-CD19 antibody [EPR23174-145] - BSA and Azide free (AB267394)
  • mIHC

Lab

Multiplex immunohistochemistry - Anti-CD19 antibody [EPR23174-145] - BSA and Azide free (AB267394)

This data was developed using the same antibody clone in a different buffer formulation ( ab245235).

Multiplex immunohistochemistry analysis of formalin/PFA-fixed paraffin-embedded Mouse lymph node tissue staining Neutrophil Elastase with ab310335 at a 1/500 ( 1.076 µg/ml) dilution, CD19 with ab245235 at a 1/1000 ( 0.444 µg/ml) dilution and CD3 with ab237721 at a 1/2000 ( 0.264 µg/ml) dilution followed by a ready to use secondary antibody Opal Polymer HRP Ms + Rb.

Panel A : merged staining of anti-Neutrophil Elastase (magenta; Opal™690), anti-CD19 (green; Opal™520) and anti-CD3 (gray; Opal™690) on mouse spleen.Panel B : anti-Neutrophil Elastase staining neutrophils in mouse spleen.
Panel C : anti-CD19 staining B lymphocytes in mouse spleen.
Panel D : anti-CD3 staining T lymphocytes in mouse spleen.
Nuclear DNA was labeled with DAPI (shown in blue).

The section was incubated in three rounds of staining : in the order of ab310335, ab245235 and ab237721 for 30 mins at room temperature. Each round was followed by a separate fluorescent tyramide signal amplification system.

The immunostaining was performed on a Leica Biosystems BOND® RX instrument with an Opal™ 4-color kit. Image acquisition was performed with Leica SP8 confocal microscope.

Heat mediated antigen retrieval with Tris-EDTA buffer (pH 9.0, epitope retrieval solution2) for 20 mins

Flow Cytometry - Anti-CD19 antibody [EPR23174-145] - BSA and Azide free (AB267394)
  • Flow Cyt

Unknown

Flow Cytometry - Anti-CD19 antibody [EPR23174-145] - BSA and Azide free (AB267394)

Flow cytometric analysis of mouse peripheral blood mononuclear cell (PBMC) cells labeling CD19 with ab245235 at 1/500 dilution (Right) compared with a Rabbit monoclonal IgG (ab172730) isotype control (Left). Goat anti rabbit IgG (Alexa Fluor® 488, ab150077) at 1/2000 dilution was used as the secondary antibody.

Cells were stained with rabbit IgG (Left) or ab245235 (Right). Then stained with anti-CD3 conjugated to Alexa Fluor® 647. CD19 and CD3 are mutually exclusive expressed in mouse PBMC.

Gated on viable cells.

This data was developed using the same antibody clone in a different buffer formulation containing PBS, BSA, glycerol, and sodium azide (ab245235).

Multiplex immunohistochemistry - Anti-CD19 antibody [EPR23174-145] - BSA and Azide free (AB267394)
  • mIHC

Lab

Multiplex immunohistochemistry - Anti-CD19 antibody [EPR23174-145] - BSA and Azide free (AB267394)

This data was developed using ab245235, the same antibody clone in a different buffer formulation.

Multiplex immunohistochemistry analysis of formalin/PFA-fixed paraffin-embedded Mouse lymph node staining of NCR1 with ab233558 at a 1/500 (1.062 µg/ml) dilution, CD19 with ab245235 at 1/1000 (0.444 µg/ml) dilution and CD3 with ab237721 at 1/2000 ( 0.264 µg/ml) dilution.

Panel A : merged staining of anti-NCR1 (magenta; Opal™690), anti-CD19 (green; Opal™520) and anti-CD3 (gray; Opal™570) on mouse lymph node.
Panel B : anti-NCR1 staining natural killer cells in mouse lymph node.
Panel C : anti-CD19 staining B lymphocytes in mouse lymph node..
Panel D : anti-CD3 staining T lymphocytes in mouse lymph node.
Nuclear DNA was labelled with DAPI (shown in blue).

The section was incubated in three rounds of staining : in the order of ab233558, ab245235 and ab237721 for 30 mins at room temperature. Each round was followed by a separate fluorescent tyramide signal amplification system.

The immunostaining was performed on a Leica Biosystems BOND® RX instrument with an Opal™ 4-color kit. Image acquisition was performed with Leica SP8 confocal microscope.

Heat mediated antigen retrieval with Tris-EDTA buffer (pH 9.0 epitope retrieval solution2) for 20 mins.

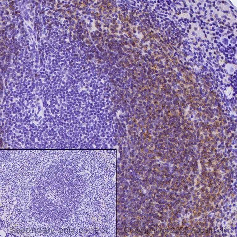
Immunohistochemistry (Formalin/PFA-fixed paraffin-embedded sections) - Anti-CD19 antibody [EPR23174-145] - BSA and Azide free (AB267394)
  • IHC-P

Unknown

Immunohistochemistry (Formalin/PFA-fixed paraffin-embedded sections) - Anti-CD19 antibody [EPR23174-145] - BSA and Azide free (AB267394)

Immunohistochemical analysis of paraffin-embedded mouse spleen tissue labeling CD19 with ab245235 at 1/1000 dilution (0.446 μg/ml) followed by a ready to use Goat Anti-Rabbit IgG H&L (HRP Polymer). Positive staining on mouse spleen (PMID : 18648532). The section was incubated with ab245235 for 10 mins at room temperature. The immunostaining staining was performed on a Leica Biosystems BOND® RX instrument. Counterstained with hematoxylin.

Secondary antibody only control : Secondary antibody is a ready to use Goat Anti-Rabbit IgG H&L (HRP Polymer).

Heat mediated antigen retrieval with Tris-EDTA buffer (pH 9.0, epitope retrieval solution 2) for 20 mins.

This data was developed using the same antibody clone in a different buffer formulation containing PBS, BSA, glycerol, and sodium azide (ab245235).

Immunocytochemistry/ Immunofluorescence - Anti-CD19 antibody [EPR23174-145] - BSA and Azide free (AB267394)
  • ICC/IF

Unknown

Immunocytochemistry/ Immunofluorescence - Anti-CD19 antibody [EPR23174-145] - BSA and Azide free (AB267394)

Immunofluorescent analysis of 4% Paraformaldehyde-fixed, 0.1% Triton X-100 permeabilized mouse PBMC (mouse primary peripheral blood mononuclear cell) cells labeling CD19 with ab245235 at 1/50 dilution, followed by ab150077 AlexaFluor®488 Goat anti-Rabbit secondary antibody at 1/1000 dilution (Green). Confocal image showing membranous staining in some subsets of mouse PBMCs. ab195889 Anti-alpha Tubulin antibody [DM1A] - Microtubule Marker (Alexa Fluor® 594) was used to counterstain tubulin at 1/200 dilution (Red). The nuclear counterstain was DAPI (Blue).

Secondary antibody only control : Secondary antibody is ab150077 AlexaFluor®488 Goat anti-Rabbit secondary at 1/1000 dilution.

This data was developed using the same antibody clone in a different buffer formulation containing PBS, BSA, glycerol, and sodium azide (ab245235).

Immunohistochemistry (Frozen sections) - Anti-CD19 antibody [EPR23174-145] - BSA and Azide free (AB267394)
  • IHC-Fr

Unknown

Immunohistochemistry (Frozen sections) - Anti-CD19 antibody [EPR23174-145] - BSA and Azide free (AB267394)

This data was developed using ab267394 the same antibody clone in a different buffer formulation.

Immunohistochemical analysis of 4% PFA-fixed, 0.2% Triton X-100 permeabilized perfusion fixed frozen Mouse spleen tissue labeling CD19 with ab245235 at 1/250 (1.82 ug/ml) dilution followed by ab150077 Goat Anti-Rabbit IgG H&L (Alexa Fluor® 488) at 1/1000 dilution (Green). Positive staining on mouse spleen. is observed. The nuclear counterstain was DAPI (Blue).

Secondary antibody control : Secondary antibody is ab150077 Goat Anti-Rabbit IgG H&L (Alexa Fluor® 488) at 1000 dilution.

Heat mediated antigen retrieval using sodium citrate buffer (10mM citrate pH 6.0 + 0.05% Tween-20).

Multiplex immunohistochemistry - Anti-CD19 antibody [EPR23174-145] - BSA and Azide free (AB267394)
  • mIHC

Supplier Data

Multiplex immunohistochemistry - Anti-CD19 antibody [EPR23174-145] - BSA and Azide free (AB267394)

This data was developed using ab317272 the same antibody clone in a different buffer formulation.

Multiplex immunohistochemistry analysis of formalin/PFA-fixed paraffin-embedded mouse spleen tissue staining LY6C with ab317272 at a 1 : 100 (0.978 ug/ml) dilution, ab133357 anti-CD11b used at 1 : 20000 (0.05 ug/ml) dilution and ab245235 anti-CD19 used at a 1 : 1000 (0.999 ug/ml) dilution.

Panel A : merged staining of anti-Ly6c (green; Opal™690), anti-CD11b (magenta; Opal™570) and anti-CD19 (yellow; Opal™520) on mouse spleen.
Panel B : anti-Ly6c stained on monocytes/macrophages.
Panel C : anti-CD11b stained on monocytes/macrophages.
Panel D : anti-CD19 stained on B cells.
Co-staining of Ly6c and CD11b can be observed.
The section was incubated in three rounds of staining : in the order of ab317272, ab133357, and ab245235 for 30 mins at room temperature. Each round was followed by a separate fluorescent tyramide signal amplification system.
Nuclear DNA was labeled with DAPI (shown in blue).

The immunostaining was performed on a Leica Biosystems BOND® RX instrument with an Opal™ 4-color kit. Image acquisition was performed with Leica SP8 confocal microscope.

Nuclear counter stain with DAPI.

Heat mediated antigen retrieval was performed with Tris-EDTA buffer (pH 9.0, Epitope Retrieval Solution2) for 20 mins.

Multiplex immunohistochemistry - Anti-CD19 antibody [EPR23174-145] - BSA and Azide free (AB267394)
  • mIHC

Lab

Multiplex immunohistochemistry - Anti-CD19 antibody [EPR23174-145] - BSA and Azide free (AB267394)

This data was developed using ab245235, the same antibody clone in a different buffer formulation.

Multiplex immunohistochemistry analysis of formalin/PFA-fixed paraffin-embedded mouse small intestine tissue staining CD68 with ab283654 at a 1/100 dilution, ab245235 anti-CD19 used at 1/1000 dilution and ab237721 anti-CD3 used at a 1/2000 dilution. Opal Polymer HRP Ms + Rb was used as a secondary antibody, and DAPI was used for a nuclear counter stain. Heat mediated antigen retrieval with Tris-EDTA buffer (pH 9.0, epitope retrieval solution2) for 20 mins.

Panel A : merged staining of anti-CD68 (magenta; Opal520), anti-CD19 (green; Opal690) and anti-CD3 (grey; Opal570) on mouse small intestine.
Panel B : anti-CD68 staining macrophages in mouse small intestine.
Panel C : anti-CD19 staining B lymphocytes in mouse small intestine.
Panel D : anti-CD3 staining T lymphocytes in mouse small intestine.
Nuclear DNA was labeled with DAPI (shown in blue).

The section was incubated in three rounds of staining : in the order of ab283654, ab245235 and ab237721 for 30 mins at room temperature. Each round was followed by a separate fluorescent tyramide signal amplification system.

The immunostaining was performed on a Leica Biosystems BOND®RX instrument with an Opal 4-color kit. Image acquisition was performed with Leica SP8 confocal microscope.

Immunohistochemistry (Formalin/PFA-fixed paraffin-embedded sections) - Anti-CD19 antibody [EPR23174-145] - BSA and Azide free (AB267394)
  • IHC-P

Lab

Immunohistochemistry (Formalin/PFA-fixed paraffin-embedded sections) - Anti-CD19 antibody [EPR23174-145] - BSA and Azide free (AB267394)

This data was developed using the same antibody clone in a different buffer formulation containing PBS, BSA, glycerol, and sodium azide (ab245235).

Immunohistochemical analysis of formalin fixed paraffin embedded mouse spleen labelling CD19 with ab245235 at a concentration of 1µg/ml.

The immunostaining was performed on a Ventana DISCOVERY ULTRA (Roche Tissue Diagnostics) instrument with a ChromoMap DAB kit and anti-rabbit HQ and anti-HQ HRP detection.
Heat mediated antigen retrieval was performed with DISCOVERY cell conditioning solution (CC1) 100°C, pH8.5 for 32mins.
ab245235 Anti-CD19 antibody [EPR23174-145] was incubated for 16mins at 37°C. Sections were counterstained with Hematoxylin II.
Image inset shows absence of staining in secondary antibody only control.
Customers are encouraged to optimise antigen retrieval conditions, antibody concentration, incubation times and temperature for best results in their own IHC assay workflow (automated and manual)

Multiplex immunohistochemistry - Anti-CD19 antibody [EPR23174-145] - BSA and Azide free (AB267394)
  • mIHC

Lab

Multiplex immunohistochemistry - Anti-CD19 antibody [EPR23174-145] - BSA and Azide free (AB267394)

This data was developed using ab245235, the same antibody clone in a different buffer formulation.

Multiplex immunohistochemistry analysis of formalin/PFA-fixed paraffin-embedded mouse colon tissue staining CD68 with ab283654 at a 1/100 dilution, ab245235 anti-CD19 used at 1/1000 dilution and ab237721 anti-CD3 used at a 1/2000 dilution. Opal Polymer HRP Ms + Rb was used as a secondary antibody, and DAPI was used for a nuclear counter stain. Heat mediated antigen retrieval with Tris-EDTA buffer (pH 9.0, epitope retrieval solution2) for 20 mins.

Panel A : merged staining of anti-CD68 (magenta; Opal520), anti-CD19 (green; Opal690) and anti-CD3 (grey; Opal570) on mouse colon.
Panel B : anti-CD68 staining macrophages in mouse colon.
Panel C : anti-CD19 staining B lymphocytes in mouse colon.
Panel D : anti-CD3 staining T lymphocytes in mouse colon.
Nuclear DNA was labeled with DAPI (shown in blue).

The section was incubated in three rounds of staining : in the order of ab283654, ab245235 and ab237721 for 30 mins at room temperature. Each round was followed by a separate fluorescent tyramide signal amplification system.

The immunostaining was performed on a Leica Biosystems BOND®RX instrument with an Opal 4-color kit. Image acquisition was performed with Leica SP8 confocal microscope.

Multiplex immunohistochemistry - Anti-CD19 antibody [EPR23174-145] - BSA and Azide free (AB267394)
  • mIHC

Lab

Multiplex immunohistochemistry - Anti-CD19 antibody [EPR23174-145] - BSA and Azide free (AB267394)

This data was developed using the same antibody clone in a different buffer formulation (ab245235).

Multiplex immunohistochemistry analysis of formalin/PFA-fixed paraffin-embedded mouse lymph node tissue staining CD23 with ab315289 at a 1/2000 dilution (0.253 µg/ml), CD19 with ab245235 at 1/1000 dilution (0.444 µg/ml), and CD3 with ab237721 at 1/8000 dilution (0.07 µg/ml), followed by a ready to use secondary antibody Opal Polymer HRP Ms + Rb.

Panel A : merged staining of anti-CD23 (green; Opal™520), anti-CD19 (magenta; Opal™570) and anti-CD3 (yellow; Opal™690) on mouse lymph node.
Panel B : anti-CD23 staining B lymphocytes in mouse lymph node.
Panel C : anti-CD19 staining B lymphocytes in mouse lymph node.
Panel D : anti-CD3 staining T lymphocytes in mouse lymph node.
Nuclear DNA was labeled with DAPI (shown in blue).

The section was incubated in three rounds of staining : in the order of ab315289, ab245235 and ab237721 for 30 mins at room temperature. Each round was followed by a separate fluorescent tyramide signal amplification system.

Heat mediated antigen retrieval with Tris-EDTA buffer (pH 9.0, epitope retrieval solution2) for 20 mins.

Multiplex immunohistochemistry - Anti-CD19 antibody [EPR23174-145] - BSA and Azide free (AB267394)
  • mIHC

Lab

Multiplex immunohistochemistry - Anti-CD19 antibody [EPR23174-145] - BSA and Azide free (AB267394)

This data was developed using the same antibody clone in a different buffer formulation (ab245235).

Multiplex immunohistochemistry analysis of formalin/PFA-fixed paraffin-embedded mouse thymus tissue staining CD23 with ab315289 at a 1/2000 dilution (0.253 µg/ml), CD19 with ab245235 at 1/1000 dilution (0.444 µg/ml), and CD3 with ab237721 at 1/8000 dilution (0.07 µg/ml), followed by a ready to use secondary antibody Opal Polymer HRP Ms + Rb.

Panel A : merged staining of anti-CD23 (green; Opal™520), anti-CD19 (magenta; Opal™570) and anti-CD3 (yellow; Opal™690) on mouse thymus.
Panel B : anti-CD23 staining B lymphocytes in mouse thymus.
Panel C : anti-CD19 staining B lymphocytes in mouse thymus.
Panel D : anti-CD3 staining T lymphocytes in mouse thymus.
Nuclear DNA was labeled with DAPI (shown in blue).

The section was incubated in three rounds of staining : in the order of ab315289, ab245235 and ab237721 for 30 mins at room temperature. Each round was followed by a separate fluorescent tyramide signal amplification system.

Heat mediated antigen retrieval with Tris-EDTA buffer (pH 9.0, epitope retrieval solution2) for 20 mins.

Multiplex immunohistochemistry - Anti-CD19 antibody [EPR23174-145] - BSA and Azide free (AB267394)
  • mIHC

Lab

Multiplex immunohistochemistry - Anti-CD19 antibody [EPR23174-145] - BSA and Azide free (AB267394)

This data was developed using ab245235, the same antibody clone in a different buffer formulation.

Multiplex immunohistochemistry analysis of formalin/PFA-fixed paraffin-embedded Mouse spleen staining of NCR1 with ab233558 at a 1/500 (1.062 µg/ml) dilution, CD19 with ab245235 at 1/1000 (0.444 µg/ml) dilution and CD3 with ab237721 at 1/2000 ( 0.264 µg/ml) dilution.

Panel A : merged staining of anti-NCR1 (magenta; Opal™690), anti-CD19 (green; Opal™520) and anti-CD3 (gray; Opal™570) on mouse spleen.
Panel B : Anti-NCR1 staining natural killer cells in mouse spleen.
Panel C : anti-CD19 staining B lymphocytes in mouse spleen.
Panel D : anti-CD3 staining T lymphocytes in mouse spleen.
Nuclear DNA was labelled with DAPI (shown in blue).

The section was incubated in three rounds of staining : in the order of ab233558, ab245235 and ab237721 for 30 mins at room temperature. Each round was followed by a separate fluorescent tyramide signal amplification system.

The immunostaining was performed on a Leica Biosystems BOND® RX instrument with an Opal™ 4-color kit. Image acquisition was performed with Leica SP8 confocal microscope.

Heat mediated antigen retrieval with Tris-EDTA buffer (pH 9.0 epitope retrieval solution2) for 20 mins.

Multiplex immunohistochemistry - Anti-CD19 antibody [EPR23174-145] - BSA and Azide free (AB267394)
  • mIHC

Lab

Multiplex immunohistochemistry - Anti-CD19 antibody [EPR23174-145] - BSA and Azide free (AB267394)

This data was developed using the same antibody clone in a different buffer formulation ( ab245235).

Multiplex immunohistochemistry analysis of formalin/PFA-fixed paraffin-embedded Mouse bone marrow tissue staining Neutrophil Elastase with ab310335 at a 1/500 ( 1.076 µg/ml) dilution, CD19 with ab245235 at a 1/1000 ( 0.444 µg/ml) dilution and CD3 with ab237721 at a 1/2000 ( 0.264 µg/ml) dilution followed by a ready to use secondary antibody Opal Polymer HRP Ms + Rb.

Panel A : merged staining of anti-Neutrophil Elastase (magenta; Opal™690), anti-CD19 (green; Opal™520) and anti-CD3 (gray; Opal™690) on mouse spleen.Panel B : anti-Neutrophil Elastase staining neutrophils in mouse spleen.
Panel C : anti-CD19 staining B lymphocytes in mouse spleen.
Panel D : anti-CD3 staining T lymphocytes in mouse spleen.
Nuclear DNA was labeled with DAPI (shown in blue).

The section was incubated in three rounds of staining : in the order of ab310335, ab245235 and ab237721 for 30 mins at room temperature. Each round was followed by a separate fluorescent tyramide signal amplification system.

The immunostaining was performed on a Leica Biosystems BOND® RX instrument with an Opal™ 4-color kit. Image acquisition was performed with Leica SP8 confocal microscope.

Heat mediated antigen retrieval with Tris-EDTA buffer (pH 9.0, epitope retrieval solution2) for 20 mins

Flow Cytometry - Anti-CD19 antibody [EPR23174-145] - BSA and Azide free (AB267394)
  • Flow Cyt

Lab

Flow Cytometry - Anti-CD19 antibody [EPR23174-145] - BSA and Azide free (AB267394)

This data was developed using the same antibody clone in a different buffer formulation containing PBS, BSA, glycerol, and sodium azide (ab245235).

Flow cytometry overlay histogram showing CD3+ve mouse splenocytes stained with ab245235 (right) and with Recombinant Rabbit IgG, monoclonal [EPR25A] - Isotype Control, used at the same concentration and conditions as the primary antibody (left). The cells were incubated in 1x PBS containing 10μg/ml anti CD16/CD32 and 10% normal goat serum to block FC receptors and non-specific protein-protein interaction followed by the antibody (ab245235) (1x 106 in 100μl at 1.0 μg/ml (1/500)) for 30min on ice.

The secondary antibody Goat Anti-Rabbit IgG H&L (Alexa Fluor® 488) preadsorbed was incubated at 1/4000 for 30min on ice

Unlabelled sample was also used as a control (this line is not shown for the purpose of simplicity).

Acquisition of >5000 events were collected using a 50 mW Blue laser (488nm) and 525/40 bandpass filter.

Multiplex immunohistochemistry - Anti-CD19 antibody [EPR23174-145] - BSA and Azide free (AB267394)
  • mIHC

Lab

Multiplex immunohistochemistry - Anti-CD19 antibody [EPR23174-145] - BSA and Azide free (AB267394)

This data was developed using the same antibody clone in a different buffer formulation (ab245235).

Multiplex immunohistochemistry analysis of formalin/PFA-fixed paraffin-embedded mouse spleen tissue staining CD23 with ab315289 at a 1/2000 dilution (0.253 µg/ml), CD19 with ab245235 at 1/1000 dilution (0.444 µg/ml), and CD3 with ab237721 at 1/8000 dilution (0.07 µg/ml), followed by a ready to use secondary antibody Opal Polymer HRP Ms + Rb.

Panel A : merged staining of anti-CD23 (green; Opal™520), anti-CD19 (magenta; Opal™570) and anti-CD3 (yellow; Opal™690) on mouse spleen.
Panel B : anti-CD23 staining B lymphocytes in mouse spleen.
Panel C : anti-CD19 staining B lymphocytes in mouse spleen.
Panel D : anti-CD3 staining T lymphocytes in mouse spleen.
Nuclear DNA was labeled with DAPI (shown in blue).

The section was incubated in three rounds of staining : in the order of ab315289, ab245235 and ab237721 for 30 mins at room temperature. Each round was followed by a separate fluorescent tyramide signal amplification system.

Heat mediated antigen retrieval with Tris-EDTA buffer (pH 9.0, epitope retrieval solution2) for 20 mins.

Multiplex immunohistochemistry - Anti-CD19 antibody [EPR23174-145] - BSA and Azide free (AB267394)
  • mIHC

Lab

Multiplex immunohistochemistry - Anti-CD19 antibody [EPR23174-145] - BSA and Azide free (AB267394)

This data was developed using ab245235, the same antibody clone in a different buffer formulation.

Multiplex immunohistochemistry analysis of formalin/PFA-fixed paraffin-embedded Mouse bone marrow staining of F4/80 with ab300421 at a 1/5000 (0.1 µg/ml) dilution, CD19 with ab245235 at 1/1000 (0.444 µg/ml) dilution and CD3 with ab237721 at 1/2000 ( 0.264 µg/ml) dilution.

Panel A : merged staining of anti-F4/80 (magenta; Opal™690), anti-CD19 (green; Opal™520) and anti-CD3 (gray; Opal™570) on mouse bone marrow.
Panel B : anti-F4/80 staining macrophages in mouse bone marrow.
Panel C : anti-CD19 staining B lymphocytes in mouse bone marrow.
Panel D : anti-CD3 staining T lymphocytes in mouse bone marrow.
Nuclear DNA was labelled with DAPI (shown in blue).

The section was incubated in three rounds of staining : in the order of ab300421, ab245235 and ab237721 for 30 mins at room temperature. Each round was followed by a separate fluorescent tyramide signal amplification system.

The immunostaining was performed on a Leica Biosystems BOND® RX instrument with an Opal™ 4-color kit. Image acquisition was performed with Leica SP8 confocal microscope.

Heat mediated antigen retrieval with Tris-EDTA buffer (pH 9.0 epitope retrieval solution2) for 20 mins.

Multiplex immunohistochemistry - Anti-CD19 antibody [EPR23174-145] - BSA and Azide free (AB267394)
  • mIHC

Lab

Multiplex immunohistochemistry - Anti-CD19 antibody [EPR23174-145] - BSA and Azide free (AB267394)

This data was developed using ab245235, the same antibody clone in a different buffer formulation.

Multiplex immunohistochemistry analysis of formalin/PFA-fixed paraffin-embedded Mouse thymus staining of F4/80 with ab300421 at a 1/5000 (0.1 µg/ml) dilution, CD19 with ab245235 at 1/1000 (0.444 µg/ml) dilution and CD3 with ab237721 at 1/2000 ( 0.264 µg/ml) dilution.

Panel A : merged staining of anti-F4/80 (magenta; Opal™690), anti-CD19 (green; Opal™520) and anti-CD3 (gray; Opal™570) on mouse thymus.
Panel B : anti-F4/80 staining macrophages in mouse thymus.
Panel C : anti-CD19 staining B lymphocytes in mouse thymus.
Panel D : anti-CD3 staining T lymphocytes in mouse thymus.
Nuclear DNA was labelled with DAPI (shown in blue).

The section was incubated in three rounds of staining : in the order of ab300421, ab245235 and ab237721 for 30 mins at room temperature. Each round was followed by a separate fluorescent tyramide signal amplification system.

The immunostaining was performed on a Leica Biosystems BOND® RX instrument with an Opal™ 4-color kit. Image acquisition was performed with Leica SP8 confocal microscope.

Heat mediated antigen retrieval with Tris-EDTA buffer (pH 9.0 epitope retrieval solution2) for 20 mins.

Multiplex immunohistochemistry - Anti-CD19 antibody [EPR23174-145] - BSA and Azide free (AB267394)
  • mIHC

Lab

Multiplex immunohistochemistry - Anti-CD19 antibody [EPR23174-145] - BSA and Azide free (AB267394)

This data was developed using ab245235, the same antibody clone in a different buffer formulation.

Multiplex immunohistochemistry analysis of formalin/PFA-fixed paraffin-embedded Mouse thymus staining of NCR1 with ab233558 at a 1/500 (1.062 µg/ml) dilution, CD19 with ab245235 at 1/1000 (0.444 µg/ml) dilution and CD3 with ab237721 at 1/2000 ( 0.264 µg/ml) dilution.

Panel A : merged staining of anti-NCR1 (magenta; Opal™690), anti-CD19 (green; Opal™520) and anti-CD3 (gray; Opal™570) on mouse thymus.
Panel B : anti-NCR1 staining natural killer cells in mouse thymus.
Panel C : anti-CD19 staining B lymphocytes in mouse thymus.
Panel D : anti-CD3 staining T lymphocytes in mouse thymus.
Nuclear DNA was labelled with DAPI (shown in blue).

The section was incubated in three rounds of staining : in the order of ab233558, ab245235 and ab237721 for 30 mins at room temperature. Each round was followed by a separate fluorescent tyramide signal amplification system.

The immunostaining was performed on a Leica Biosystems BOND® RX instrument with an Opal™ 4-color kit. Image acquisition was performed with Leica SP8 confocal microscope.

Heat mediated antigen retrieval with Tris-EDTA buffer (pH 9.0 epitope retrieval solution2) for 20 mins.

Multiplex immunohistochemistry - Anti-CD19 antibody [EPR23174-145] - BSA and Azide free (AB267394)
  • mIHC

Lab

Multiplex immunohistochemistry - Anti-CD19 antibody [EPR23174-145] - BSA and Azide free (AB267394)

This data was developed using ab245235, the same antibody clone in a different buffer formulation.

Multiplex immunohistochemistry analysis of formalin/PFA-fixed paraffin-embedded Mouse lymph node staining of F4/80 with ab300421 at a 1/5000 (0.1 µg/ml) dilution, CD19 with ab245235 at 1/1000 (0.444 µg/ml) dilution and CD3 with ab237721 at 1/2000 ( 0.264 µg/ml) dilution.

Panel A : merged staining of anti-F4/80 (magenta; Opal™690), anti-CD19 (green; Opal™520) and anti-CD3 (gray; Opal™570) on mouse lymph node.
Panel B : anti-F4/80 staining macrophages in mouse lymph node.
Panel C : anti-CD19 staining B lymphocytes in mouse lymph node.
Panel D : anti-CD3 staining T lymphocytes in mouse lymph node.
Nuclear DNA was labelled with DAPI (shown in blue).

The section was incubated in three rounds of staining : in the order of ab300421, ab245235 and ab237721 for 30 mins at room temperature. Each round was followed by a separate fluorescent tyramide signal amplification system.

The immunostaining was performed on a Leica Biosystems BOND® RX instrument with an Opal™ 4-color kit. Image acquisition was performed with Leica SP8 confocal microscope.

Heat mediated antigen retrieval with Tris-EDTA buffer (pH 9.0 epitope retrieval solution2) for 20 mins.

Multiplex immunohistochemistry - Anti-CD19 antibody [EPR23174-145] - BSA and Azide free (AB267394)
  • mIHC

Lab

Multiplex immunohistochemistry - Anti-CD19 antibody [EPR23174-145] - BSA and Azide free (AB267394)

This data was developed using the same antibody clone in a different buffer formulation ( ab245235).

Multiplex immunohistochemistry analysis of formalin/PFA-fixed paraffin-embedded Mouse thymus tissue staining Neutrophil Elastase with ab310335 at a 1/500 ( 1.076 µg/ml) dilution, CD19 with ab245235 at a 1/1000 ( 0.444 µg/ml) dilution and CD3 with ab237721 at a 1/2000 ( 0.264 µg/ml) dilution followed by a ready to use secondary antibody Opal Polymer HRP Ms + Rb.

Panel A : merged staining of anti-Neutrophil Elastase (magenta; Opal™690), anti-CD19 (green; Opal™520) and anti-CD3 (gray; Opal™690) on mouse spleen.Panel B : anti-Neutrophil Elastase staining neutrophils in mouse spleen.
Panel C : anti-CD19 staining B lymphocytes in mouse spleen.
Panel D : anti-CD3 staining T lymphocytes in mouse spleen.
Nuclear DNA was labeled with DAPI (shown in blue).

The section was incubated in three rounds of staining : in the order of ab310335, ab245235 and ab237721 for 30 mins at room temperature. Each round was followed by a separate fluorescent tyramide signal amplification system.

The immunostaining was performed on a Leica Biosystems BOND® RX instrument with an Opal™ 4-color kit. Image acquisition was performed with Leica SP8 confocal microscope.

Heat mediated antigen retrieval with Tris-EDTA buffer (pH 9.0, epitope retrieval solution2) for 20 mins

Multiplex immunohistochemistry - Anti-CD19 antibody [EPR23174-145] - BSA and Azide free (AB267394)
  • mIHC

Lab

Multiplex immunohistochemistry - Anti-CD19 antibody [EPR23174-145] - BSA and Azide free (AB267394)

This data was developed using the same antibody clone in a different buffer formulation ( ab245235).

Multiplex immunohistochemistry analysis of formalin/PFA-fixed paraffin-embedded Mouse spleen tissue staining Neutrophil Elastase with ab310335 at a 1/500 ( 1.076 µg/ml) dilution, CD19 with ab245235 at a 1/1000 ( 0.444 µg/ml) dilution and CD3 with ab237721 at a 1/2000 ( 0.264 µg/ml) dilution followed by a ready to use secondary antibody Opal Polymer HRP Ms + Rb.

Panel A : merged staining of anti-Neutrophil Elastase (magenta; Opal™690), anti-CD19 (green; Opal™520) and anti-CD3 (gray; Opal™690) on mouse spleen.Panel B : anti-Neutrophil Elastase staining neutrophils in mouse spleen.
Panel C : anti-CD19 staining B lymphocytes in mouse spleen.
Panel D : anti-CD3 staining T lymphocytes in mouse spleen.
Nuclear DNA was labeled with DAPI (shown in blue).

The section was incubated in three rounds of staining : in the order of ab310335, ab245235 and ab237721 for 30 mins at room temperature. Each round was followed by a separate fluorescent tyramide signal amplification system.

The immunostaining was performed on a Leica Biosystems BOND® RX instrument with an Opal™ 4-color kit. Image acquisition was performed with Leica SP8 confocal microscope.

Heat mediated antigen retrieval with Tris-EDTA buffer (pH 9.0, epitope retrieval solution2) for 20 mins

Multiplex immunohistochemistry - Anti-CD19 antibody [EPR23174-145] - BSA and Azide free (AB267394)
  • mIHC

Lab

Multiplex immunohistochemistry - Anti-CD19 antibody [EPR23174-145] - BSA and Azide free (AB267394)

This data was developed using ab245235, the same antibody clone in a different buffer formulation.

Multiplex immunohistochemistry analysis of formalin/PFA-fixed paraffin-embedded Mouse spleen staining of F4/80 with ab300421 at a 1/5000 (0.1 µg/ml) dilution, CD19 with ab245235 at 1/1000 (0.444 µg/ml) dilution and CD3 with ab237721 at 1/2000 ( 0.264 µg/ml) dilution.

Panel A : merged staining of anti-F4/80 (magenta; Opal™690), anti-CD19 (green; Opal™520) and anti-CD3 (gray; Opal™570) on mouse spleen.
Panel B : anti-F4/80 staining macrophages in mouse spleen.
Panel C : anti-CD19 staining B lymphocytes in mouse spleen.
Panel D : anti-CD3 staining T lymphocytes in mouse spleen.
Nuclear DNA was labelled with DAPI (shown in blue).

The section was incubated in three rounds of staining : in the order of ab300421, ab245235 and ab237721 for 30 mins at room temperature. Each round was followed by a separate fluorescent tyramide signal amplification system.

The immunostaining was performed on a Leica Biosystems BOND® RX instrument with an Opal™ 4-color kit. Image acquisition was performed with Leica SP8 confocal microscope.

Heat mediated antigen retrieval with Tris-EDTA buffer (pH 9.0 epitope retrieval solution2) for 20 mins.

Flow Cytometry - Anti-CD19 antibody [EPR23174-145] - BSA and Azide free (AB267394)
  • Flow Cyt

Lab

Flow Cytometry - Anti-CD19 antibody [EPR23174-145] - BSA and Azide free (AB267394)

This data was developed using ab245235, the same antibody clone in a different buffer formulation.

Flow cytometry staining of C57BL/6 mouse splenocytes with ab245235 (right) or Recombinant Rabbit IgG, monoclonal [EPR25A] - Isotype Control (left). Cells were incubated for 30 min on ice in 1x PBS containing 10μg/ml anti CD16/CD32 and 10% normal goat serum to block FC receptors and non-specific protein-protein interaction followed by the antibody ab245235 or Recombinant Rabbit IgG, monoclonal [EPR25A] - Isotype Control (1x 106in 100 μl at 1.0 μg/ml (1/2120)) for 30min on ice. The cells were simultaneously stained with CD3.

The secondary antibody Goat Anti-Rabbit IgG H&L (Alexa Fluor® 488) preadsorbed was incubated at 1/4000 for 30min on ice

Acquisition of >30000 events were collected using a 50 mW Blue laser (488nm) and 525/40 bandpass filter. Events were gated on live cells.

Immunoprecipitation - Anti-CD19 antibody [EPR23174-145] - BSA and Azide free (AB267394)
  • IP

Unknown

Immunoprecipitation - Anti-CD19 antibody [EPR23174-145] - BSA and Azide free (AB267394)

CD19 was immunoprecipitated from 0.35 mg mouse spleen lysate with ab245235 at 1/30 dilution (2μg in 0.35mg lysates). Western blot was performed on the immunoprecipitate using ab245235 at 1/1000 dilution. VeriBlot for IP Detection Reagent (HRP) (ab131366) was used at 1/5000 dilution.

Lane 1 : Mouse spleen lysate 10μg

Lane 2 : ab245235 IP in mouse spleen lysate

Lane 3 : Rabbit monoclonal IgG (ab172730) instead of ab245235 in mouse spleen lysate

Blocking and dilution buffer and concentration : 5% NFDM/TBST.

Exposure time : 30 seconds.

This data was developed using the same antibody clone in a different buffer formulation containing PBS, BSA, glycerol, and sodium azide (ab245235).

All lanes:

Immunoprecipitation - Anti-CD19 antibody [EPR23174-145] (<a href='/en-us/products/primary-antibodies/cd19-antibody-epr23174-145-ab245235'>ab245235</a>)

Predicted band size: 61 kDa

Observed band size: 60-120 kDa

false

  • Unconjugated

    Anti-CD19 antibody [EPR23174-145]

  • 519 Alexa Fluor® 488

    Alexa Fluor® 488 Anti-CD19 antibody [EPR23174-145]

  • 660 APC

    APC Anti-CD19 antibody [EPR23174-145]

  • 578 PE

    PE Anti-CD19 antibody [EPR23174-145]

  • 665 Alexa Fluor® 647

    Alexa Fluor® 647 Anti-CD19 antibody [EPR23174-145]

Key facts

Host species

Rabbit

Clonality

Monoclonal

Clone number

EPR23174-145

Isotype

IgG

Carrier free

Yes

Reacts with

Mouse

Applications

Flow Cyt, mIHC, IP, ICC/IF, IHC-Fr, IHC-P, WB

applications

Immunogen

The exact immunogen used to generate this antibody is proprietary information.

Reactivity data

{ "title": "Reactivity Data", "filters": { "stats": ["", "Species", "Dilution Info", "Notes"], "tabs": { "all-applications": {"fullname" : "All Applications", "shortname": "All Applications"}, "mIHC" : {"fullname" : "Multiplex immunohistochemistry", "shortname":"mIHC"}, "IP" : {"fullname" : "Immunoprecipitation", "shortname":"IP"}, "FlowCyt" : {"fullname" : "Flow Cytometry", "shortname":"Flow Cyt"}, "WB" : {"fullname" : "Western blot", "shortname":"WB"}, "ICCIF" : {"fullname" : "Immunocytochemistry/ Immunofluorescence", "shortname":"ICC/IF"}, "IHCFr" : {"fullname" : "Immunohistochemistry (Frozen sections)", "shortname":"IHC-Fr"}, "IHCP" : {"fullname" : "Immunohistochemistry (Formalin/PFA-fixed paraffin-embedded sections)", "shortname":"IHC-P"} }, "product-promise": { "all": "all", "testedAndGuaranteed": "tested", "guaranteed": "expected", "predicted": "predicted", "notRecommended": "not-recommended" } }, "values": { "Human": { "mIHC-species-checked": "notRecommended", "mIHC-species-dilution-info": "", "mIHC-species-notes": "", "IP-species-checked": "notRecommended", "IP-species-dilution-info": "", "IP-species-notes": "", "FlowCyt-species-checked": "notRecommended", "FlowCyt-species-dilution-info": "", "FlowCyt-species-notes": "", "WB-species-checked": "notRecommended", "WB-species-dilution-info": "", "WB-species-notes": "<p></p>", "ICCIF-species-checked": "notRecommended", "ICCIF-species-dilution-info": "", "ICCIF-species-notes": "", "IHCFr-species-checked": "notRecommended", "IHCFr-species-dilution-info": "", "IHCFr-species-notes": "", "IHCP-species-checked": "notRecommended", "IHCP-species-dilution-info": "", "IHCP-species-notes": "<p></p>" }, "Mouse": { "mIHC-species-checked": "testedAndGuaranteed", "mIHC-species-dilution-info": "", "mIHC-species-notes": "<p></p>", "IP-species-checked": "testedAndGuaranteed", "IP-species-dilution-info": "", "IP-species-notes": "<p></p>", "FlowCyt-species-checked": "testedAndGuaranteed", "FlowCyt-species-dilution-info": "", "FlowCyt-species-notes": "<p></p>", "WB-species-checked": "testedAndGuaranteed", "WB-species-dilution-info": "", "WB-species-notes": "<p></p>", "ICCIF-species-checked": "testedAndGuaranteed", "ICCIF-species-dilution-info": "", "ICCIF-species-notes": "<p></p>", "IHCFr-species-checked": "testedAndGuaranteed", "IHCFr-species-dilution-info": "1/250", "IHCFr-species-notes": "<p></p>", "IHCP-species-checked": "testedAndGuaranteed", "IHCP-species-dilution-info": "", "IHCP-species-notes": "<p></p>" }, "Rat": { "mIHC-species-checked": "notRecommended", "mIHC-species-dilution-info": "", "mIHC-species-notes": "", "IP-species-checked": "notRecommended", "IP-species-dilution-info": "", "IP-species-notes": "", "FlowCyt-species-checked": "notRecommended", "FlowCyt-species-dilution-info": "", "FlowCyt-species-notes": "", "WB-species-checked": "notRecommended", "WB-species-dilution-info": "", "WB-species-notes": "<p></p>", "ICCIF-species-checked": "notRecommended", "ICCIF-species-dilution-info": "", "ICCIF-species-notes": "", "IHCFr-species-checked": "notRecommended", "IHCFr-species-dilution-info": "", "IHCFr-species-notes": "", "IHCP-species-checked": "notRecommended", "IHCP-species-dilution-info": "", "IHCP-species-notes": "<p></p>" } } }

Product details

ab267394 is the carrier-free version of ab245235.

Patented technology
Our RabMAb® technology is a patented hybridoma-based technology for making rabbit monoclonal antibodies. For details on our patents, please refer to RabMAb® patents.

What are the advantages of a recombinant monoclonal antibody?
This product is a recombinant monoclonal antibody, which offers several advantages including:

  • - High batch-to-batch consistency and reproducibility
  • - Improved sensitivity and specificity
  • - Long-term security of supply
  • - Animal-free batch production

For more information, read more on recombinant antibodies.

Conjugation ready
Our carrier-free antibodies are typically supplied in a PBS-only formulation, purified and free of BSA, sodium azide and glycerol. This conjugation-ready format is designed for use with fluorochromes, metal isotopes, oligonucleotides, and enzymes, which makes them ideal for antibody labelling, functional and cell-based assays, flow-based assays (e.g. mass cytometry) and Multiplex Imaging applications.

Use our conjugation kits for antibody conjugates that are ready-to-use in as little as 20 minutes with 1 minute hands-on-time and 100% antibody recovery: available for fluorescent dyes, HRP, biotin and gold.

Compatibility
This product is compatible with the Maxpar® Antibody Labeling Kit from Fluidigm, without the need for antibody preparation. Maxpar® is a trademark of Fluidigm Canada Inc.

Properties and storage information

Form
Liquid
Purification technique
Affinity purification Protein A
Storage buffer
pH: 7.2 - 7.4 Constituents: PBS
Shipped at conditions
Blue Ice
Appropriate short-term storage conditions
+4°C
Appropriate long-term storage conditions
+4°C
Storage information
Do Not Freeze

Supplementary information

This supplementary information is collated from multiple sources and compiled automatically.

CD19 is a transmembrane protein also known as B4 or B-lymphocyte antigen CD19 with an approximate molecular weight of 95 kDa. It is expressed on the surface of B cells throughout their development from pro-B cells to mature B cells. CD19 functions mechanically as a coreceptor enhancing the sensitivity of B cell receptor (BCR) signaling. This protein plays a significant role in promoting the activation and proliferation of B cells by lowering the threshold for antigen receptor engagement.
Biological function summary

CD19 acts as an essential player in B cell signaling. CD19 integrates signals from the BCR with other coreceptors acting as a signaling hub. It participates in forming a signaling complex that includes proteins like CD21 and CD81 which further amplifies BCR-mediated signaling. This complex plays a critical role in B cell activation differentiation and survival ensuring that immune responses are efficiently mounted against pathogens.

Pathways

The CD19 protein fits into key immune response pathways such as the BCR signaling pathway and the PI3K-Akt signaling pathway. CD19 collaborates with other proteins like CD21 CD81 and PI3K within these pathways. Its interaction in the PI3K-Akt pathway for instance supports critical processes including B cell activation and homeostasis contributing to the adaptive immune response.

CD19 is connected to B cell malignancies and autoimmune diseases. B cell acute lymphoblastic leukemia (ALL) often shows aberrant CD19 expression making it a valuable target for therapeutic interventions like anti-CD19 monoclonal antibodies. Additionally overexpression or mutations of CD19 may contribute to autoimmune diseases by disrupting normal B cell regulation. CD19's connection with proteins like CD22 and CD20 in these pathological contexts highlights its relevance in developing targeted therapies.

Product protocols

For this product, it's our understanding that no specific protocols are required. You can visit:

Target data

Functions as a coreceptor for the B-cell antigen receptor complex (BCR) on B-lymphocytes. Decreases the threshold for activation of downstream signaling pathways and for triggering B-cell responses to antigens (By similarity). Activates signaling pathways that lead to the activation of phosphatidylinositol 3-kinase and the mobilization of intracellular Ca(2+) stores (PubMed : 12387743, PubMed : 20101619, PubMed : 9382888). Is not required for early steps during B cell differentiation in the blood marrow (PubMed : 7542548, PubMed : 7543183, PubMed : 9317126). Required for normal differentiation of B-1 cells (PubMed : 12387743, PubMed : 7542548, PubMed : 7543183). Required for normal B cell differentiation and proliferation in response to antigen challenges (PubMed : 12387743, PubMed : 7542548, PubMed : 9317126). Required for normal levels of serum immunoglobulins, and for production of high-affinity antibodies in response to antigen challenge (PubMed : 12387743, PubMed : 7542548, PubMed : 7543183).
See full target information Cd19

Product promise

We are committed to supporting your work with high-quality reagents, and we're here for you every step of the way. In the unlikely event that one of our products does not perform as expected, you're protected by our Product Promise.
For full details, please see our Terms & Conditions

Please note: All products are 'FOR RESEARCH USE ONLY. NOT FOR USE IN DIAGNOSTIC OR THERAPEUTIC PROCEDURES'.

For licensing inquiries, please contact partnerships@abcam.com