JavaScript is disabled in your browser. Please enable JavaScript to view this website.
AB320736

Anti-CD19 antibody [EPR28949-559] - BSA and Azide free

  • BOND RX™ Validated
  • Recombinant
  • Advanced Validation
  • RabMAb
  • What is this?

Be the first to review this product! Submit a review

|

(0 Publication)

Rabbit Recombinant Monoclonal CD19 antibody. Carrier free. Suitable for mIHC, IHC-P and reacts with Human samples.

View Alternative Names

CD19, B-lymphocyte antigen CD19, B-lymphocyte surface antigen B4, Differentiation antigen CD19, T-cell surface antigen Leu-12

10 Images
Immunohistochemistry (Formalin/PFA-fixed paraffin-embedded sections) - Anti-CD19 antibody [EPR28949-559] - BSA and Azide free (AB320736)
  • IHC-P

Supplier Data

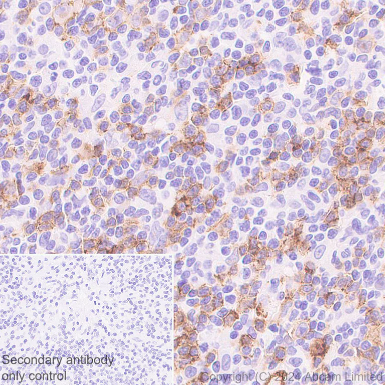
Immunohistochemistry (Formalin/PFA-fixed paraffin-embedded sections) - Anti-CD19 antibody [EPR28949-559] - BSA and Azide free (AB320736)

This data was developed using ab320735, the same antibody clone in a different buffer formulation. Immunohistochemical analysis of paraffin-embedded Human tonsil tissue labeling CD19 with ab320735 at 1/2000 (0.255 ug/ml) dilution, followed by a ready to use LeicaDS9800 (Bond™ Polymer Refine Detection). Positive staining in human tonsil. The section was incubated with ab320735 for 30 mins at room temperature. The immunostaining was performed on a Leica Biosystems BOND® RX instrument Counterstained with Hematoxylin. Secondary antibody only control : Secondary antibody is a ready to use LeicaDS9800 (Bond™ Polymer Refine Detection). Heat mediated antigen retrieval was performed with Tris-EDTA buffer (pH 9.0, Epitope Retrieval Solution2) for 20 mins

Multiplex immunohistochemistry - Anti-CD19 antibody [EPR28949-559] - BSA and Azide free (AB320736)
  • mIHC

Lab

Multiplex immunohistochemistry - Anti-CD19 antibody [EPR28949-559] - BSA and Azide free (AB320736)

This data was developed using ab320735, the same antibody clone in a different buffer formulation.

Panel A : merged staining of anti-CD19 (green; Opal™520), anti-CD19 (magenta; Opal™570) and anti-CD3 (yellow; Opal™690) on human tonsil. Panel B : anti-CD19 staining the B lymphocytes in human tonsil. Panel C : anti-CD19 staining the B lymphocytes in human tonsil. Panel D : anti-CD3 staining the T lymphocytes in human tonsil. Nuclear DNA was labeled with DAPI (shown in blue). The section was incubated in three rounds of staining : in the order of ab320735 at 1/2000 dilution, ab237772 at 1/5000 dilution and ab16669 at 1/150 dilution for 30 mins at room temperature. Each round was followed by a separate fluorescent tyramide signal amplification system. The secondary used was Opal Polymer HRP Ms + Rb. Heat mediated antigen retrieval with Tris-EDTA buffer (pH 9.0, epitope retrieval solution2) for 20 mins. The immunostaining was performed on a Leica Biosystems BOND® RX instrument with an Opal™ 4-color kit. Image acquisition was performed with Leica SP8 confocal microscope.

Immunohistochemistry (Formalin/PFA-fixed paraffin-embedded sections) - Anti-CD19 antibody [EPR28949-559] - BSA and Azide free (AB320736)
  • IHC-P

Supplier Data

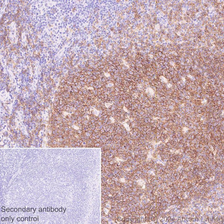
Immunohistochemistry (Formalin/PFA-fixed paraffin-embedded sections) - Anti-CD19 antibody [EPR28949-559] - BSA and Azide free (AB320736)

This data was developed using ab320735, the same antibody clone in a different buffer formulation. Immunohistochemical analysis of paraffin-embedded Human Hodgkin's lymphoma tissue labeling CD19 with ab320735 at 1/2000 (0.255 ug/ml) dilution, followed by a ready to use LeicaDS9800 (Bond™ Polymer Refine Detection). Positive staining in human Hodgkin's lymphoma. The section was incubated with ab320735 for 30 mins at room temperature. The immunostaining was performed on a Leica Biosystems BOND® RX instrument Counterstained with Hematoxylin. Secondary antibody only control : Secondary antibody is a ready to use LeicaDS9800 (Bond™ Polymer Refine Detection). Heat mediated antigen retrieval was performed with Tris-EDTA buffer (pH 9.0, Epitope Retrieval Solution2) for 20 mins

Multiplex immunohistochemistry - Anti-CD19 antibody [EPR28949-559] - BSA and Azide free (AB320736)
  • mIHC

Lab

Multiplex immunohistochemistry - Anti-CD19 antibody [EPR28949-559] - BSA and Azide free (AB320736)

This data was developed using ab320735, the same antibody clone in a different buffer formulation.

Multiplex immunohistochemistry analysis of formalin/PFA-fixed paraffin-embedded Human colon staining of PVRIG/CD112R with ab322348 at a 1/100 (5.16 µg/ml) dilution, CD19 with ab320735 at 1/2000 (0.255 µg/ml) dilution and CD8A with ab245118 at 1/1000 ( 0.375 µg/ml) dilution.

Panel A : merged staining of anti-PVRIG/CD112R (green; Opal™520), anti-CD8A (magenta; Opal™570) and anti-CD19 (yellow; Opal™690) on Human colon.
Panel B : anti-PVRIG/CD112R staining memory and effector CD8+ T lymphocytes in Human colon.
Panel C : anti-CD8A staining CD8+ T lymphocytes in Human colon.
Panel D : anti-CD19 staining B lymphocytes in Human colon.
Nuclear DNA was labelled with DAPI (shown in blue). ).

The section was incubated in three rounds of staining : in the order of ab322348, ab245118 and ab320735 for 30 mins at room temperature. Each round was followed by a separate fluorescent tyramide signal amplification system.

Heat mediated antigen retrieval with Tris-EDTA buffer (pH 9.0 epitope retrieval solution2) for 20 mins.

Multiplex immunohistochemistry - Anti-CD19 antibody [EPR28949-559] - BSA and Azide free (AB320736)
  • mIHC

Lab

Multiplex immunohistochemistry - Anti-CD19 antibody [EPR28949-559] - BSA and Azide free (AB320736)

This data was developed using ab320735, the same antibody clone in a different buffer formulation.

Multiplex immunohistochemistry analysis of formalin/PFA-fixed paraffin-embedded Human spleen staining of PVRIG/CD112R with ab322348 at a 1/100 (5.16 µg/ml) dilution, CD19 with ab320735 at 1/2000 (0.255 µg/ml) dilution and CD8A with ab245118 at 1/1000 ( 0.375 µg/ml) dilution.

Panel A : merged staining of anti-PVRIG/CD112R (green; Opal™520), anti-CD8A (magenta; Opal™570) and anti-CD19 (yellow; Opal™690) on human spleen.
Panel B : anti-PVRIG/CD112R staining memory and effector CD8+ T lymphocytes in human spleen.
Panel C : anti-CD8A staining CD8+ T lymphocytes in human spleen.
Panel D : anti-CD19 staining B lymphocytes in human spleen.
Nuclear DNA was labelled with DAPI (shown in blue). ).

The section was incubated in three rounds of staining : in the order of ab322348, ab245118 and ab320735 for 30 mins at room temperature. Each round was followed by a separate fluorescent tyramide signal amplification system.

Heat mediated antigen retrieval with Tris-EDTA buffer (pH 9.0 epitope retrieval solution2) for 20 mins.

Multiplex immunohistochemistry - Anti-CD19 antibody [EPR28949-559] - BSA and Azide free (AB320736)
  • mIHC

Lab

Multiplex immunohistochemistry - Anti-CD19 antibody [EPR28949-559] - BSA and Azide free (AB320736)

This data was developed using ab320735, the same antibody clone in a different buffer formulation.

Multiplex immunohistochemistry analysis of formalin/PFA-fixed paraffin-embedded Human tonsil staining of PVRIG/CD112R with ab322348 at a 1/100 (5.16 µg/ml) dilution, CD19 with ab320735 at 1/2000 (0.255 µg/ml) dilution and CD8A with ab245118 at 1/1000 ( 0.375 µg/ml) dilution.

Panel A : merged staining of anti-PVRIG/CD112R (green; Opal™520), anti-CD8A (magenta; Opal™570) and anti-CD19 (yellow; Opal™690) on human tonsil.
Panel B : anti-PVRIG/CD112R staining memory and effector CD8+ T lymphocytes in human tonsil.
Panel C : anti-CD8A staining CD8+ T lymphocytes in human tonsil.
Panel D : anti-CD19 staining B lymphocytes in human tonsil.
Nuclear DNA was labeled with DAPI (shown in blue). ).

The section was incubated in three rounds of staining : in the order of ab322348, ab245118 and ab320735 for 30 mins at room temperature. Each round was followed by a separate fluorescent tyramide signal amplification system.

Heat mediated antigen retrieval with Tris-EDTA buffer (pH 9.0 epitope retrieval solution2) for 20 mins.

Multiplex immunohistochemistry - Anti-CD19 antibody [EPR28949-559] - BSA and Azide free (AB320736)
  • mIHC

Lab

Multiplex immunohistochemistry - Anti-CD19 antibody [EPR28949-559] - BSA and Azide free (AB320736)

This data was developed using ab320735, the same antibody clone in a different buffer formulation.

Panel A : merged staining of anti-CD19 (green; Opal™520), anti-CD19 (magenta; Opal™570) and anti-CD3 (yellow; Opal™690) on human Hodgkin's lymphoma. Panel B : anti-CD19 staining the B lymphocytes in human Hodgkin's lymphoma. Panel C : anti-CD19 staining the B lymphocytes in human Hodgkin's lymphoma. Panel D : anti-CD3 staining the T lymphocytes in human Hodgkin's lymphoma. Nuclear DNA was labeled with DAPI (shown in blue). The section was incubated in three rounds of staining : in the order of ab320735 at 1/2000 dilution, ab237772 at 1/5000 dilution and ab16669 at 1/150 dilution for 30 mins at room temperature. Each round was followed by a separate fluorescent tyramide signal amplification system. The secondary used was Opal Polymer HRP Ms + Rb. Heat mediated antigen retrieval with Tris-EDTA buffer (pH 9.0, epitope retrieval solution2) for 20 mins. The immunostaining was performed on a Leica Biosystems BOND® RX instrument with an Opal™ 4-color kit. Image acquisition was performed with Leica SP8 confocal microscope.

Multiplex immunohistochemistry - Anti-CD19 antibody [EPR28949-559] - BSA and Azide free (AB320736)
  • mIHC

Lab

Multiplex immunohistochemistry - Anti-CD19 antibody [EPR28949-559] - BSA and Azide free (AB320736)

This data was developed using ab320735, the same antibody clone in a different buffer formulation.

Panel A : merged staining of anti-CD19 (green; Opal™520), anti-CD19 (green; Opal™570) and anti-CD3 (yellow; Opal™690) on human cerebrum. Panel B : anti-CD19 showed no staining in human cerebrum. Panel C : anti-CD19 showed no staining in human cerebrum. Panel D : anti-CD3 showed no staining in human cerebrum. Nuclear DNA was labeled with DAPI (shown in blue). The section was incubated in three rounds of staining : in the order of ab320735 at 1/2000 dilution, ab237772 at 1/5000 dilution and ab16669 at 1/150 dilution for 30 mins at room temperature. Each round was followed by a separate fluorescent tyramide signal amplification system. The secondary used was Opal Polymer HRP Ms + Rb. Heat mediated antigen retrieval with Tris-EDTA buffer (pH 9.0, epitope retrieval solution2) for 20 mins. The immunostaining was performed on a Leica Biosystems BOND® RX instrument with an Opal™ 4-color kit. Image acquisition was performed with Leica SP8 confocal microscope.

Immunohistochemistry (Formalin/PFA-fixed paraffin-embedded sections) - Anti-CD19 antibody [EPR28949-559] - BSA and Azide free (AB320736)
  • IHC-P

Supplier Data

Immunohistochemistry (Formalin/PFA-fixed paraffin-embedded sections) - Anti-CD19 antibody [EPR28949-559] - BSA and Azide free (AB320736)

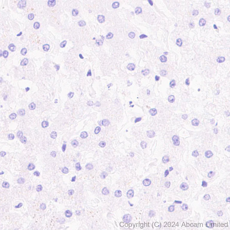
This data was developed using ab320735, the same antibody clone in a different buffer formulation. Immunohistochemical analysis of paraffin-embedded Human liver tissue labeling CD19 with ab320735 at 1/2000 (0.255 ug/ml) dilution, followed by a ready to use LeicaDS9800 (Bond™ Polymer Refine Detection). Negative control : No staining in human liver. The section was incubated with ab320735 for 30 mins at room temperature. The immunostaining was performed on a Leica Biosystems BOND® RX instrument Counterstained with Hematoxylin. Secondary antibody only control : Secondary antibody is a ready to use LeicaDS9800 (Bond™ Polymer Refine Detection). Heat mediated antigen retrieval was performed with Tris-EDTA buffer (pH 9.0, Epitope Retrieval Solution2) for 20 mins

Immunohistochemistry (Formalin/PFA-fixed paraffin-embedded sections) - Anti-CD19 antibody [EPR28949-559] - BSA and Azide free (AB320736)
  • IHC-P

Supplier Data

Immunohistochemistry (Formalin/PFA-fixed paraffin-embedded sections) - Anti-CD19 antibody [EPR28949-559] - BSA and Azide free (AB320736)

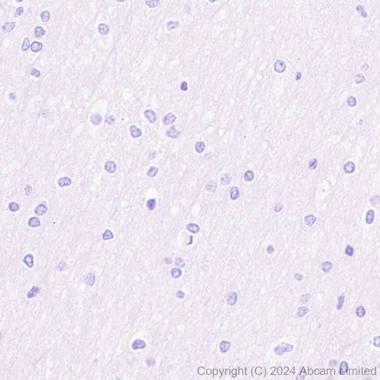
This data was developed using ab320735, the same antibody clone in a different buffer formulation. Immunohistochemical analysis of paraffin-embedded Human cerebrum tissue labeling CD19 with ab320735 at 1/2000 (0.255 ug/ml) dilution, followed by a ready to use LeicaDS9800 (Bond™ Polymer Refine Detection). Negative control : No staining in human cerebrum (PMID : 32961131). The section was incubated with ab320735 for 30 mins at room temperature. The immunostaining was performed on a Leica Biosystems BOND® RX instrument Counterstained with Hematoxylin. Secondary antibody only control : Secondary antibody is a ready to use LeicaDS9800 (Bond™ Polymer Refine Detection). Heat mediated antigen retrieval was performed with Tris-EDTA buffer (pH 9.0, Epitope Retrieval Solution2) for 20 mins

Key facts

Host species

Rabbit

Clonality

Monoclonal

Clone number

EPR28949-559

Isotype

IgG

Carrier free

Yes

Reacts with

Human

Applications

IHC-P, mIHC

applications

Immunogen

The exact immunogen used to generate this antibody is proprietary information.

Reactivity data

{ "title": "Reactivity Data", "filters": { "stats": ["", "Species", "Dilution Info", "Notes"], "tabs": { "all-applications": {"fullname" : "All Applications", "shortname": "All Applications"}, "mIHC" : {"fullname" : "Multiplex immunohistochemistry", "shortname":"mIHC"}, "IHCP" : {"fullname" : "Immunohistochemistry (Formalin/PFA-fixed paraffin-embedded sections)", "shortname":"IHC-P"}, "FlowCyt" : {"fullname" : "Flow Cytometry", "shortname":"Flow Cyt"} }, "product-promise": { "all": "all", "testedAndGuaranteed": "tested", "guaranteed": "expected", "predicted": "predicted", "notRecommended": "not-recommended" } }, "values": { "Human": { "mIHC-species-checked": "testedAndGuaranteed", "mIHC-species-dilution-info": "", "mIHC-species-notes": "<p></p>", "IHCP-species-checked": "testedAndGuaranteed", "IHCP-species-dilution-info": "", "IHCP-species-notes": "<p></p>", "FlowCyt-species-checked": "notRecommended", "FlowCyt-species-dilution-info": "", "FlowCyt-species-notes": "<p></p>" } } }

Product details

ab320736 is the carrier-free version of ab320735.

Patented technology
Our RabMAb® technology is a patented hybridoma-based technology for making rabbit monoclonal antibodies. For details on our patents, please refer to RabMAb® patents.

What are the advantages of a recombinant monoclonal antibody?
This product is a recombinant monoclonal antibody, which offers several advantages including:

  • - High batch-to-batch consistency and reproducibility
  • - Improved sensitivity and specificity
  • - Long-term security of supply
  • - Animal-free batch production

For more information, read more on recombinant antibodies.

Conjugation ready
Our carrier-free antibodies are typically supplied in a PBS-only formulation, purified and free of BSA, sodium azide and glycerol. This conjugation-ready format is designed for use with fluorochromes, metal isotopes, oligonucleotides, and enzymes, which makes them ideal for antibody labelling, functional and cell-based assays, flow-based assays (e.g. mass cytometry) and Multiplex Imaging applications.

Use our conjugation kits for antibody conjugates that are ready-to-use in as little as 20 minutes with 1 minute hands-on-time and 100% antibody recovery: available for fluorescent dyes, HRP, biotin and gold.

Compatibility
This product is compatible with the Maxpar® Antibody Labeling Kit from Fluidigm, without the need for antibody preparation. Maxpar® is a trademark of Fluidigm Canada Inc.

Properties and storage information

Form
Liquid
Purification technique
Affinity purification Protein A
Storage buffer
pH: 7.2 - 7.4 Constituents: 100% PBS
Shipped at conditions
Blue Ice
Appropriate short-term storage conditions
+4°C
Appropriate long-term storage conditions
+4°C

Supplementary information

This supplementary information is collated from multiple sources and compiled automatically.

CD19 is a transmembrane protein also known as B4 or B-lymphocyte antigen CD19 with an approximate molecular weight of 95 kDa. It is expressed on the surface of B cells throughout their development from pro-B cells to mature B cells. CD19 functions mechanically as a coreceptor enhancing the sensitivity of B cell receptor (BCR) signaling. This protein plays a significant role in promoting the activation and proliferation of B cells by lowering the threshold for antigen receptor engagement.
Biological function summary

CD19 acts as an essential player in B cell signaling. CD19 integrates signals from the BCR with other coreceptors acting as a signaling hub. It participates in forming a signaling complex that includes proteins like CD21 and CD81 which further amplifies BCR-mediated signaling. This complex plays a critical role in B cell activation differentiation and survival ensuring that immune responses are efficiently mounted against pathogens.

Pathways

The CD19 protein fits into key immune response pathways such as the BCR signaling pathway and the PI3K-Akt signaling pathway. CD19 collaborates with other proteins like CD21 CD81 and PI3K within these pathways. Its interaction in the PI3K-Akt pathway for instance supports critical processes including B cell activation and homeostasis contributing to the adaptive immune response.

CD19 is connected to B cell malignancies and autoimmune diseases. B cell acute lymphoblastic leukemia (ALL) often shows aberrant CD19 expression making it a valuable target for therapeutic interventions like anti-CD19 monoclonal antibodies. Additionally overexpression or mutations of CD19 may contribute to autoimmune diseases by disrupting normal B cell regulation. CD19's connection with proteins like CD22 and CD20 in these pathological contexts highlights its relevance in developing targeted therapies.

Product protocols

For this product, it's our understanding that no specific protocols are required. You can visit:

Target data

Functions as a coreceptor for the B-cell antigen receptor complex (BCR) on B-lymphocytes (PubMed : 29523808). Decreases the threshold for activation of downstream signaling pathways and for triggering B-cell responses to antigens (PubMed : 1373518, PubMed : 16672701, PubMed : 2463100). Activates signaling pathways that lead to the activation of phosphatidylinositol 3-kinase and the mobilization of intracellular Ca(2+) stores (PubMed : 12387743, PubMed : 16672701, PubMed : 9317126, PubMed : 9382888). Is not required for early steps during B cell differentiation in the blood marrow (PubMed : 9317126). Required for normal differentiation of B-1 cells (By similarity). Required for normal B cell differentiation and proliferation in response to antigen challenges (PubMed : 1373518, PubMed : 2463100). Required for normal levels of serum immunoglobulins, and for production of high-affinity antibodies in response to antigen challenge (PubMed : 12387743, PubMed : 16672701, PubMed : 9317126).
See full target information CD19

Product promise

We are committed to supporting your work with high-quality reagents, and we're here for you every step of the way. In the unlikely event that one of our products does not perform as expected, you're protected by our Product Promise.
For full details, please see our Terms & Conditions

Please note: All products are 'FOR RESEARCH USE ONLY. NOT FOR USE IN DIAGNOSTIC OR THERAPEUTIC PROCEDURES'.

For licensing inquiries, please contact partnerships@abcam.com