JavaScript is disabled in your browser. Please enable JavaScript to view this website.
AB271904

Anti-CD19 antibody [EPR5906] - BSA and Azide free

4

(3 Reviews)

|

(0 Publication)

Rabbit Recombinant Monoclonal CD19 antibody. Carrier free. Suitable for IHC-P, WB, ICC/IF, Flow Cyt (Intra) and reacts with Human samples.

View Alternative Names

CD19, B-lymphocyte antigen CD19, B-lymphocyte surface antigen B4, Differentiation antigen CD19, T-cell surface antigen Leu-12

9 Images
Flow Cytometry (Intracellular) - Anti-CD19 antibody [EPR5906] - BSA and Azide free (AB271904)
  • Flow Cyt (Intra)

Supplier Data

Flow Cytometry (Intracellular) - Anti-CD19 antibody [EPR5906] - BSA and Azide free (AB271904)

Intracellular Flow Cytometry analysis of Raji cells (Human Burkitt's lymphoma B lymphocyte) labelling CD19 with ab134114 at 1/1000 dilution, 1.186 μg/ml (red). Cells were fixed with 4% paraformaldehyde, permeabilised with 90% methanol. Goat anti rabbit IgG (Alexa Fluor® 488, ab150077) was used as the secondary antibody at 1/2000.

Isotype control (black) - Rabbit monoclonal IgG (ab172730)

Unlabeled control (blue) - Unlabelled cells

This data was developed using the same antibody clone in a different buffer formulation containing PBS, BSA, glycerol, and sodium azide (ab134114).

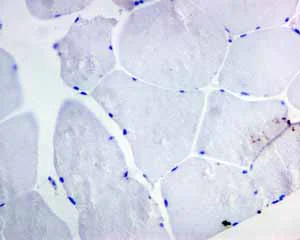
Immunohistochemistry (Formalin/PFA-fixed paraffin-embedded sections) - Anti-CD19 antibody [EPR5906] - BSA and Azide free (AB271904)
  • IHC-P

Unknown

Immunohistochemistry (Formalin/PFA-fixed paraffin-embedded sections) - Anti-CD19 antibody [EPR5906] - BSA and Azide free (AB271904)

Immunohistochemical analysis of paraffin embedded human skeletal muscle tissue using unpurified ab134114 showing negative staining.

Perform heat mediated antigen retrieval before commencing with IHC staining protocol.

This data was developed using the same antibody clone in a different buffer formulation containing PBS, BSA, glycerol, and sodium azide (ab134114).

Immunocytochemistry/ Immunofluorescence - Anti-CD19 antibody [EPR5906] - BSA and Azide free (AB271904)
  • ICC/IF

Lab

Immunocytochemistry/ Immunofluorescence - Anti-CD19 antibody [EPR5906] - BSA and Azide free (AB271904)

Immunocytochemistry/Immunofluorescence analysis of Raji cells labelling CD19 with purified ab134114 at a dilution of 1/500. Cells were fixed with 4% paraformaldehyde and permeabilized with 0.1% Triton X-100. ab150077, an Alexa Fluor® 488-conjugated goat anti-rabbit IgG (1/1000) was used as the secondary antibody. DAPI (blue) was used as the nuclear counterstain. ab7291, a mouse anti-tubulin (1/1000) and ab150120, an Alexa Fluor® 594-conjugated goat anti-mouse IgG (1/1000) were also used.

Control 1 : primary antibody (1/500) and secondary antibody, ab150120, an Alexa Fluor® 594-conjugated goat anti-mouse IgG (1/1000).

Control 2 : ab7291 (1/1000) and secondary antibody, ab150077, an Alexa Fluor® 488-conjugated goat anti-rabbit IgG (1/1000).

This data was developed using the same antibody clone in a different buffer formulation containing PBS, BSA, glycerol, and sodium azide (ab134114).

Immunohistochemistry (Formalin/PFA-fixed paraffin-embedded sections) - Anti-CD19 antibody [EPR5906] - BSA and Azide free (AB271904)
  • IHC-P

Lab

Immunohistochemistry (Formalin/PFA-fixed paraffin-embedded sections) - Anti-CD19 antibody [EPR5906] - BSA and Azide free (AB271904)

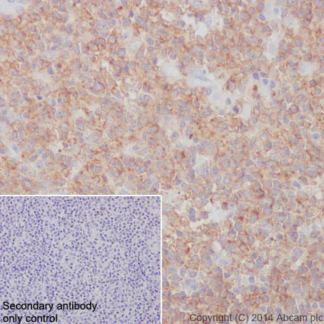
Immunohistochemistry (Formalin/PFA-fixed paraffin-embedded sections) analysis of human tonsil tissue labelling CD19 with purified ab134114 at a dilution of 1/500. Heat mediated antigen retrieval was performed using EDTA buffer pH 9. ab97051, a HRP-conjugated goat anti-rabbit IgG (H+L) was used as the secondary antibody (1/500). Negative control using PBS instead of primary antibody. Counterstained with hematoxylin.

This data was developed using the same antibody clone in a different buffer formulation containing PBS, BSA, glycerol, and sodium azide (ab134114).

Immunohistochemistry (Formalin/PFA-fixed paraffin-embedded sections) - Anti-CD19 antibody [EPR5906] - BSA and Azide free (AB271904)
  • IHC-P

Lab

Immunohistochemistry (Formalin/PFA-fixed paraffin-embedded sections) - Anti-CD19 antibody [EPR5906] - BSA and Azide free (AB271904)

Negative tissue : Immunohistochemistry (Formalin/PFA-fixed paraffin-embedded sections) analysis of human liver tissue labelling CD19 with purified ab134114 at a dilution of 1/500. Heat mediated antigen retrieval was performed using EDTA buffer pH 9. ab97051, a HRP-conjugated goat anti-rabbit IgG (H+L) was used as the secondary antibody (1/500). Negative control using PBS instead of primary antibody. Counterstained with hematoxylin.

This data was developed using the same antibody clone in a different buffer formulation containing PBS, BSA, glycerol, and sodium azide (ab134114).

Immunohistochemistry (Formalin/PFA-fixed paraffin-embedded sections) - Anti-CD19 antibody [EPR5906] - BSA and Azide free (AB271904)
  • IHC-P

Unknown

Immunohistochemistry (Formalin/PFA-fixed paraffin-embedded sections) - Anti-CD19 antibody [EPR5906] - BSA and Azide free (AB271904)

Immunohistochemistry (Formalin/PFA-fixed paraffin-embedded sections) analysis of human spleen tissue labelling CD19 with unpurified ab134114.

Perform heat mediated antigen retrieval before commencing with IHC staining protocol.

This data was developed using the same antibody clone in a different buffer formulation containing PBS, BSA, glycerol, and sodium azide (ab134114).

Immunohistochemistry (Formalin/PFA-fixed paraffin-embedded sections) - Anti-CD19 antibody [EPR5906] - BSA and Azide free (AB271904)
  • IHC-P

Unknown

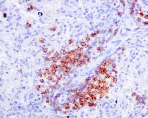
Immunohistochemistry (Formalin/PFA-fixed paraffin-embedded sections) - Anti-CD19 antibody [EPR5906] - BSA and Azide free (AB271904)

Immunohistochemistry (Formalin/PFA-fixed paraffin-embedded sections) analysis of human B-cell chronic lymphocytic leukaemia tissue labelling CD19 with unpurified ab134114.

Perform heat mediated antigen retrieval before commencing with IHC staining protocol.

This data was developed using the same antibody clone in a different buffer formulation containing PBS, BSA, glycerol, and sodium azide (ab134114).

Immunohistochemistry (Formalin/PFA-fixed paraffin-embedded sections) - Anti-CD19 antibody [EPR5906] - BSA and Azide free (AB271904)
  • IHC-P

Unknown

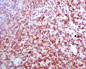
Immunohistochemistry (Formalin/PFA-fixed paraffin-embedded sections) - Anti-CD19 antibody [EPR5906] - BSA and Azide free (AB271904)

Immunohistochemistry (Formalin/PFA-fixed paraffin-embedded sections) analysis of human tonsil tissue labelling CD19 with unpurified ab134114 at a dilution of 1/250.

Perform heat mediated antigen retrieval before commencing with IHC staining protocol.

This data was developed using the same antibody clone in a different buffer formulation containing PBS, BSA, glycerol, and sodium azide (ab134114).

Immunohistochemistry (Formalin/PFA-fixed paraffin-embedded sections) - Anti-CD19 antibody [EPR5906] - BSA and Azide free (AB271904)
  • IHC-P

Unknown

Immunohistochemistry (Formalin/PFA-fixed paraffin-embedded sections) - Anti-CD19 antibody [EPR5906] - BSA and Azide free (AB271904)

Immunohistochemistry (Formalin/PFA-fixed paraffin-embedded sections) analysis of human diffuse large B-cell lymphoma tissue labelling CD19 with unpurified ab134114.

Perform heat mediated antigen retrieval before commencing with IHC staining protocol.

This data was developed using the same antibody clone in a different buffer formulation containing PBS, BSA, glycerol, and sodium azide (ab134114).

  • Unconjugated

    Anti-CD19 antibody [EPR5906]

  • 660 APC

    APC Anti-CD19 antibody [EPR5906]

  • 578 PE

    PE Anti-CD19 antibody [EPR5906]

  • 565 Alexa Fluor® 555

    Alexa Fluor® 555 Anti-CD19 antibody [EPR5906]

  • HRP

    HRP Anti-CD19 antibody [EPR5906]

  • 665 Alexa Fluor® 647

    Alexa Fluor® 647 Anti-CD19 antibody [EPR5906]

  • 519 Alexa Fluor® 488

    Alexa Fluor® 488 Anti-CD19 antibody [EPR5906]

  • Carrier free

    Anti-CD19 antibody [EPR5906] - Low endotoxin, Azide free

Key facts

Host species

Rabbit

Clonality

Monoclonal

Clone number

EPR5906

Isotype

IgG

Carrier free

Yes

Reacts with

Human

Applications

ICC/IF, IHC-P, Flow Cyt (Intra), WB

applications

Immunogen

The exact immunogen used to generate this antibody is proprietary information.

Reactivity data

{ "title": "Reactivity Data", "filters": { "stats": ["", "Species", "Dilution Info", "Notes"], "tabs": { "all-applications": {"fullname" : "All Applications", "shortname": "All Applications"}, "IHCP" : {"fullname" : "Immunohistochemistry (Formalin/PFA-fixed paraffin-embedded sections)", "shortname":"IHC-P"}, "IP" : {"fullname" : "Immunoprecipitation", "shortname":"IP"}, "WB" : {"fullname" : "Western blot", "shortname":"WB"}, "ICCIF" : {"fullname" : "Immunocytochemistry/ Immunofluorescence", "shortname":"ICC/IF"}, "FlowCytIntra" : {"fullname" : "Flow Cytometry (Intracellular)", "shortname":"Flow Cyt (Intra)"} }, "product-promise": { "all": "all", "testedAndGuaranteed": "tested", "guaranteed": "expected", "predicted": "predicted", "notRecommended": "not-recommended" } }, "values": { "Human": { "IHCP-species-checked": "testedAndGuaranteed", "IHCP-species-dilution-info": "", "IHCP-species-notes": "<p></p>", "IP-species-checked": "notRecommended", "IP-species-dilution-info": "", "IP-species-notes": "<p></p>", "WB-species-checked": "guaranteed", "WB-species-dilution-info": "", "WB-species-notes": "<p></p>", "ICCIF-species-checked": "testedAndGuaranteed", "ICCIF-species-dilution-info": "", "ICCIF-species-notes": "<p></p>", "FlowCytIntra-species-checked": "testedAndGuaranteed", "FlowCytIntra-species-dilution-info": "", "FlowCytIntra-species-notes": "<p></p>" } } }

Product details

ab271904 is the carrier-free version of ab134114.

Patented technology
Our RabMAb® technology is a patented hybridoma-based technology for making rabbit monoclonal antibodies. For details on our patents, please refer to RabMAb® patents.

What are the advantages of a recombinant monoclonal antibody?
This product is a recombinant monoclonal antibody, which offers several advantages including:

  • - High batch-to-batch consistency and reproducibility
  • - Improved sensitivity and specificity
  • - Long-term security of supply
  • - Animal-free batch production

For more information, read more on recombinant antibodies.

Conjugation ready
Our carrier-free antibodies are typically supplied in a PBS-only formulation, purified and free of BSA, sodium azide and glycerol. This conjugation-ready format is designed for use with fluorochromes, metal isotopes, oligonucleotides, and enzymes, which makes them ideal for antibody labelling, functional and cell-based assays, flow-based assays (e.g. mass cytometry) and Multiplex Imaging applications.

Use our conjugation kits for antibody conjugates that are ready-to-use in as little as 20 minutes with 1 minute hands-on-time and 100% antibody recovery: available for fluorescent dyes, HRP, biotin and gold.

Compatibility
This product is compatible with the Maxpar® Antibody Labeling Kit from Fluidigm, without the need for antibody preparation. Maxpar® is a trademark of Fluidigm Canada Inc.

Properties and storage information

Form
Liquid
Purification technique
Affinity purification Protein A
Storage buffer
pH: 7.2 - 7.4 Constituents: PBS
Shipped at conditions
Blue Ice
Appropriate short-term storage conditions
+4°C
Appropriate long-term storage conditions
+4°C
Storage information
Do Not Freeze

Supplementary information

This supplementary information is collated from multiple sources and compiled automatically.

CD19 is a transmembrane protein also known as B4 or B-lymphocyte antigen CD19 with an approximate molecular weight of 95 kDa. It is expressed on the surface of B cells throughout their development from pro-B cells to mature B cells. CD19 functions mechanically as a coreceptor enhancing the sensitivity of B cell receptor (BCR) signaling. This protein plays a significant role in promoting the activation and proliferation of B cells by lowering the threshold for antigen receptor engagement.
Biological function summary

CD19 acts as an essential player in B cell signaling. CD19 integrates signals from the BCR with other coreceptors acting as a signaling hub. It participates in forming a signaling complex that includes proteins like CD21 and CD81 which further amplifies BCR-mediated signaling. This complex plays a critical role in B cell activation differentiation and survival ensuring that immune responses are efficiently mounted against pathogens.

Pathways

The CD19 protein fits into key immune response pathways such as the BCR signaling pathway and the PI3K-Akt signaling pathway. CD19 collaborates with other proteins like CD21 CD81 and PI3K within these pathways. Its interaction in the PI3K-Akt pathway for instance supports critical processes including B cell activation and homeostasis contributing to the adaptive immune response.

CD19 is connected to B cell malignancies and autoimmune diseases. B cell acute lymphoblastic leukemia (ALL) often shows aberrant CD19 expression making it a valuable target for therapeutic interventions like anti-CD19 monoclonal antibodies. Additionally overexpression or mutations of CD19 may contribute to autoimmune diseases by disrupting normal B cell regulation. CD19's connection with proteins like CD22 and CD20 in these pathological contexts highlights its relevance in developing targeted therapies.

Product protocols

For this product, it's our understanding that no specific protocols are required. You can visit:

Target data

Functions as a coreceptor for the B-cell antigen receptor complex (BCR) on B-lymphocytes (PubMed : 29523808). Decreases the threshold for activation of downstream signaling pathways and for triggering B-cell responses to antigens (PubMed : 1373518, PubMed : 16672701, PubMed : 2463100). Activates signaling pathways that lead to the activation of phosphatidylinositol 3-kinase and the mobilization of intracellular Ca(2+) stores (PubMed : 12387743, PubMed : 16672701, PubMed : 9317126, PubMed : 9382888). Is not required for early steps during B cell differentiation in the blood marrow (PubMed : 9317126). Required for normal differentiation of B-1 cells (By similarity). Required for normal B cell differentiation and proliferation in response to antigen challenges (PubMed : 1373518, PubMed : 2463100). Required for normal levels of serum immunoglobulins, and for production of high-affinity antibodies in response to antigen challenge (PubMed : 12387743, PubMed : 16672701, PubMed : 9317126).
See full target information CD19

Product promise

We are committed to supporting your work with high-quality reagents, and we're here for you every step of the way. In the unlikely event that one of our products does not perform as expected, you're protected by our Product Promise.
For full details, please see our Terms & Conditions

Please note: All products are 'FOR RESEARCH USE ONLY. NOT FOR USE IN DIAGNOSTIC OR THERAPEUTIC PROCEDURES'.

For licensing inquiries, please contact partnerships@abcam.com