JavaScript is disabled in your browser. Please enable JavaScript to view this website.
AB225717

Anti-CD19 antibody [SP110] - C-terminal

  • RabMAb
  • Recombinant
  • Lab Essentials
  • 20ul selling size
  • What is this?

Be the first to review this product! Submit a review

|

(0 Publication)

Rabbit Recombinant Monoclonal CD19 antibody. C-terminal. Suitable for IHC-P, Flow Cyt (Intra) and reacts with Human samples.

View Alternative Names

CD19, B-lymphocyte antigen CD19, B-lymphocyte surface antigen B4, Differentiation antigen CD19, T-cell surface antigen Leu-12

3 Images
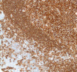
Immunohistochemistry (Formalin/PFA-fixed paraffin-embedded sections) - Anti-CD19 antibody [SP110] - C-terminal (AB225717)
  • IHC-P

Supplier Data

Immunohistochemistry (Formalin/PFA-fixed paraffin-embedded sections) - Anti-CD19 antibody [SP110] - C-terminal (AB225717)

Formalin-fixed, paraffin-embedded human tonsil tissue stained for CD19 using ab225717 at 1/200 dilution in immunohistochemical analysis.

Flow Cytometry (Intracellular) - Anti-CD19 antibody [SP110] - C-terminal (AB225717)
  • Flow Cyt (Intra)

Unknown

Flow Cytometry (Intracellular) - Anti-CD19 antibody [SP110] - C-terminal (AB225717)

Intracellular Flow Cytometry analysis of Raji (human Burkitt's lymphoma) labeling CD19 with purified ab225717 at 1/40 dilution (11.725μg/ml) (red). Cells were fixed with 4% paraformaldehyde and permeabilised with 90% methanol. Goat anti rabbit IgG (Alexa Fluor® 488, ab150077) at 1/2000 dilution was used as a secondary antibody. Isotype control - Rabbit monoclonal IgG (ab172730) (Black). Unlableled control - Unlabelled cells (blue).

Flow Cytometry (Intracellular) - Anti-CD19 antibody [SP110] - C-terminal (AB225717)
  • Flow Cyt (Intra)

Supplier Data

Flow Cytometry (Intracellular) - Anti-CD19 antibody [SP110] - C-terminal (AB225717)

Intracellular flow cytometric analysis ofRamos (human Burkitt's lymphoma cell line) cell line labeling CD19 with ab225717 at 1/100 dilution (green) compared with a negative control of rabbit IgG (blue)

  • Carrier free

    Anti-CD19 antibody [SP110] - BSA and Azide free

  • 578 PE

    PE Anti-CD19 antibody [SP110] (C-terminal)

  • 660 APC

    APC Anti-CD19 antibody [SP110] (C-terminal)

  • 519 Alexa Fluor® 488

    Alexa Fluor® 488 Anti-CD19 antibody [SP110] - C-terminal

  • 665 Alexa Fluor® 647

    Alexa Fluor® 647 Anti-CD19 antibody [SP110] - C-terminal

  • 617 Alexa Fluor® 594

    Alexa Fluor® 594 Anti-CD19 antibody [SP110] - C-terminal

  • 565 Alexa Fluor® 555

    Alexa Fluor® 555 Anti-CD19 antibody [SP110] - C-terminal

  • HRP

    HRP Anti-CD19 antibody [SP110] (C-terminal)

  • 603 Alexa Fluor® 568

    Alexa Fluor® 568 Anti-CD19 antibody [SP110] - C-terminal

  • 775 Alexa Fluor® 750

    Alexa Fluor® 750 Anti-CD19 antibody [SP110] - C-terminal

Key facts

Host species

Rabbit

Clonality

Monoclonal

Clone number

SP110

Isotype

IgG

Carrier free

No

Reacts with

Human

Applications

Flow Cyt (Intra), IHC-P

applications

Immunogen

The exact immunogen used to generate this antibody is proprietary information.

Reactivity data

{ "title": "Reactivity Data", "filters": { "stats": ["", "Species", "Dilution Info", "Notes"], "tabs": { "all-applications": {"fullname" : "All Applications", "shortname": "All Applications"}, "IHCP" : {"fullname" : "Immunohistochemistry (Formalin/PFA-fixed paraffin-embedded sections)", "shortname":"IHC-P"}, "FlowCytIntra" : {"fullname" : "Flow Cytometry (Intracellular)", "shortname":"Flow Cyt (Intra)"} }, "product-promise": { "all": "all", "testedAndGuaranteed": "tested", "guaranteed": "expected", "predicted": "predicted", "notRecommended": "not-recommended" } }, "values": { "Human": { "IHCP-species-checked": "testedAndGuaranteed", "IHCP-species-dilution-info": "1/200", "IHCP-species-notes": "<p>Perform heat mediated antigen retrieval with EDTA buffer pH 8.0 before commencing with IHC staining protocol. Primary incubation for 30 minutes at room temperature.</p>", "FlowCytIntra-species-checked": "testedAndGuaranteed", "FlowCytIntra-species-dilution-info": "1/40 - 1/100", "FlowCytIntra-species-notes": "<p>Primary incubation for 30 minutes at at 4°C.</p>" } } }

Product details

Patented technology
Our RabMAb® technology is a patented hybridoma-based technology for making rabbit monoclonal antibodies. For details on our patents, please refer to RabMAb® patents.

What are the advantages of a recombinant monoclonal antibody?
This product is a recombinant monoclonal antibody, which offers several advantages including:

  • - High batch-to-batch consistency and reproducibility
  • - Improved sensitivity and specificity
  • - Long-term security of supply
  • - Animal-free batch production

For more information, read more on recombinant antibodies.

Properties and storage information

Form
Liquid
Purification technique
Affinity purification Protein A
Purification notes
Purified from TCS by Protein A/G.
Storage buffer
pH: 7.2 - 7.4 Preservative: 0.1% Sodium azide Constituents: PBS, 1% BSA
Shipped at conditions
Blue Ice
Appropriate short-term storage duration
1-2 weeks
Appropriate short-term storage conditions
+4°C
Appropriate long-term storage conditions
-20°C
Aliquoting information
Upon delivery aliquot
Storage information
Avoid freeze / thaw cycle

Supplementary information

This supplementary information is collated from multiple sources and compiled automatically.

CD19 is a transmembrane protein also known as B4 or B-lymphocyte antigen CD19 with an approximate molecular weight of 95 kDa. It is expressed on the surface of B cells throughout their development from pro-B cells to mature B cells. CD19 functions mechanically as a coreceptor enhancing the sensitivity of B cell receptor (BCR) signaling. This protein plays a significant role in promoting the activation and proliferation of B cells by lowering the threshold for antigen receptor engagement.
Biological function summary

CD19 acts as an essential player in B cell signaling. CD19 integrates signals from the BCR with other coreceptors acting as a signaling hub. It participates in forming a signaling complex that includes proteins like CD21 and CD81 which further amplifies BCR-mediated signaling. This complex plays a critical role in B cell activation differentiation and survival ensuring that immune responses are efficiently mounted against pathogens.

Pathways

The CD19 protein fits into key immune response pathways such as the BCR signaling pathway and the PI3K-Akt signaling pathway. CD19 collaborates with other proteins like CD21 CD81 and PI3K within these pathways. Its interaction in the PI3K-Akt pathway for instance supports critical processes including B cell activation and homeostasis contributing to the adaptive immune response.

CD19 is connected to B cell malignancies and autoimmune diseases. B cell acute lymphoblastic leukemia (ALL) often shows aberrant CD19 expression making it a valuable target for therapeutic interventions like anti-CD19 monoclonal antibodies. Additionally overexpression or mutations of CD19 may contribute to autoimmune diseases by disrupting normal B cell regulation. CD19's connection with proteins like CD22 and CD20 in these pathological contexts highlights its relevance in developing targeted therapies.

Product protocols

For this product, it's our understanding that no specific protocols are required. You can visit:

Target data

Functions as a coreceptor for the B-cell antigen receptor complex (BCR) on B-lymphocytes (PubMed : 29523808). Decreases the threshold for activation of downstream signaling pathways and for triggering B-cell responses to antigens (PubMed : 1373518, PubMed : 16672701, PubMed : 2463100). Activates signaling pathways that lead to the activation of phosphatidylinositol 3-kinase and the mobilization of intracellular Ca(2+) stores (PubMed : 12387743, PubMed : 16672701, PubMed : 9317126, PubMed : 9382888). Is not required for early steps during B cell differentiation in the blood marrow (PubMed : 9317126). Required for normal differentiation of B-1 cells (By similarity). Required for normal B cell differentiation and proliferation in response to antigen challenges (PubMed : 1373518, PubMed : 2463100). Required for normal levels of serum immunoglobulins, and for production of high-affinity antibodies in response to antigen challenge (PubMed : 12387743, PubMed : 16672701, PubMed : 9317126).
See full target information CD19

Product promise

We are committed to supporting your work with high-quality reagents, and we're here for you every step of the way. In the unlikely event that one of our products does not perform as expected, you're protected by our Product Promise.
For full details, please see our Terms & Conditions

Associated Products

Select an associated product type
Alternative Product
Primary Antibodies

AB227019

Anti-CD19 antibody

primary-antibodies

cd19-antibody-ab227019

0

(1 reviews)

Alternative Product
Primary Antibodies

AB18224

APC Anti-CD19 antibody [LT19]

primary-antibodies

apc-cd19-antibody-lt19-ab18224

0

(0 reviews)

Alternative Product
Primary Antibodies

AB239315

PE/Cy7® Anti-CD19 antibody [LT19]

primary-antibodies

pe-cy7-cd19-antibody-lt19-ab239315

0

(0 reviews)

Alternative Product
Primary Antibodies

AB18229

PE Anti-CD19 antibody [LT19]

primary-antibodies

pe-cd19-antibody-lt19-ab18229

4

(1 reviews)

Alternative Product
Primary Antibodies

AB233279

APC/Cy7® Anti-CD19 antibody [LT19]

primary-antibodies

apc-cy7-cd19-antibody-lt19-ab233279

0

(0 reviews)

Alternative Product
Primary Antibodies

AB269320

PE Anti-CD19 antibody [4G7]

primary-antibodies

pe-cd19-antibody-4g7-ab269320

0

(0 reviews)

Alternative Product
Primary Antibodies

AB157303

PE/Cy5® Anti-CD19 antibody [4G7]

primary-antibodies

pe-cy5-cd19-antibody-4g7-ab157303

0

(0 reviews)

Alternative Product
Primary Antibodies

AB157324

PerCP/Cy5.5® Anti-CD19 antibody [4G7]

primary-antibodies

percp-cy55-cd19-antibody-4g7-ab157324

4

(1 reviews)

Alternative Product
Primary Antibodies

AB178449

PE/DyLight™ 594 Anti-CD19 antibody [4G7]

primary-antibodies

pe-dylight-594-cd19-antibody-4g7-ab178449

0

(0 reviews)

Alternative Product
Primary Antibodies

AB25548

PE/Cy5.5® Anti-CD19 antibody [6D5]

primary-antibodies

pe-cy55-cd19-antibody-6d5-ab25548

0

(0 reviews)

Alternative Product
Primary Antibodies

AB25295

Cy5 ® Anti-CD19 antibody [6D5]

primary-antibodies

cy5-cd19-antibody-6d5-ab25295

0

(0 reviews)

Alternative Product
Primary Antibodies

AB242261

redFluor™ 710 Anti-CD19 antibody [HIB19]

primary-antibodies

redfluor-710-cd19-antibody-hib19-ab242261

0

(0 reviews)

Alternative Product
Primary Antibodies

AB241934

violetFluor™ 450 Anti-CD19 antibody [1D3]

primary-antibodies

violetfluor-450-cd19-antibody-1d3-ab241934

0

(0 reviews)

Alternative Product
Primary Antibodies

AB242271

violetFluor™ 450 Anti-CD19 antibody [HIB19]

primary-antibodies

violetfluor-450-cd19-antibody-hib19-ab242271

0

(0 reviews)

Alternative Product
Primary Antibodies

AB25232

Anti-CD19 antibody [6D5]

primary-antibodies

cd19-antibody-6d5-ab25232

3

(3 reviews)

Please note: All products are 'FOR RESEARCH USE ONLY. NOT FOR USE IN DIAGNOSTIC OR THERAPEUTIC PROCEDURES'.

For licensing inquiries, please contact partnerships@abcam.com