JavaScript is disabled in your browser. Please enable JavaScript to view this website.
AB203615

Anti-CD19 (phospho Y531) antibody

5

(1 Review)

|

(13 Publications)

Rabbit Polyclonal CD19 phospho Y531 antibody. Suitable for IHC-P and reacts with Mouse, Human samples. Cited in 13 publications. Immunogen corresponding to Synthetic Peptide within Human CD19 phospho Y531 aa 500 to C-terminus conjugated to Keyhole Limpet Haemocyanin.

View Alternative Names

CD19, B-lymphocyte antigen CD19, B-lymphocyte surface antigen B4, Differentiation antigen CD19, T-cell surface antigen Leu-12

4 Images
Immunohistochemistry (Formalin/PFA-fixed paraffin-embedded sections) - Anti-CD19 (phospho Y531) antibody (AB203615)
  • IHC-P

Supplier Data

Immunohistochemistry (Formalin/PFA-fixed paraffin-embedded sections) - Anti-CD19 (phospho Y531) antibody (AB203615)

Immunohistochemical analysis of formalin-fixed, paraffin-embedded human esophageal cancer tissue labeling CD19 (phospho Y531) with ab203615 at 1/200 dilution, followed by conjugation to the secondary antibody and DAB staining.

Immunohistochemistry (Formalin/PFA-fixed paraffin-embedded sections) - Anti-CD19 (phospho Y531) antibody (AB203615)
  • IHC-P

Supplier Data

Immunohistochemistry (Formalin/PFA-fixed paraffin-embedded sections) - Anti-CD19 (phospho Y531) antibody (AB203615)

Immunohistochemical analysis of paraformaldehyde-fixed, paraffin-embedded mouse spleen tissue labeling CD19 (phospho Y531) with ab203615 at 1/500 dilution, followed by conjugation to the secondary antibody and DAB staining.

Antigen retrieval by boiling in sodium citrate buffer (pH6) for 15min; Block endogenous peroxidase by 3% hydrogen peroxide for 30 minutes; Blocking buffer (normal goat serum) at 37°C for 20min.

Immunohistochemistry (Formalin/PFA-fixed paraffin-embedded sections) - Anti-CD19 (phospho Y531) antibody (AB203615)
  • IHC-P

Supplier Data

Immunohistochemistry (Formalin/PFA-fixed paraffin-embedded sections) - Anti-CD19 (phospho Y531) antibody (AB203615)

Immunohistochemical analysis of paraformaldehyde-fixed, paraffin-embedded mouse fetal liver tissue labeling CD19 (phospho Y531) with ab203615 at 1/500 dilution, followed by conjugation to the secondary antibody and DAB staining.

Antigen retrieval by boiling in sodium citrate buffer (pH6) for 15min; Block endogenous peroxidase by 3% hydrogen peroxide for 30 minutes; Blocking buffer (normal goat serum) at 37°C for 20min.

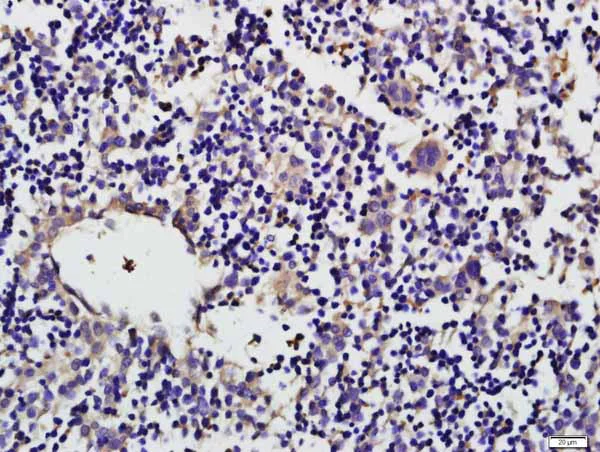
Immunohistochemistry (Formalin/PFA-fixed paraffin-embedded sections) - Anti-CD19 (phospho Y531) antibody (AB203615)
  • IHC-P

Supplier Data

Immunohistochemistry (Formalin/PFA-fixed paraffin-embedded sections) - Anti-CD19 (phospho Y531) antibody (AB203615)

Immunohistochemical analysis of paraformaldehyde-fixed, paraffin-embedded mouse spleen tissue labeling CD19 (phospho Y531) with ab203615 at 1/500 dilution, followed by conjugation to the secondary antibody and DAB staining.

Antigen retrieval by boiling in sodium citrate buffer (pH6) for 15min; Block endogenous peroxidase by 3% hydrogen peroxide for 30 minutes; Blocking buffer (normal goat serum) at 37°C for 20min.

Key facts

Host species

Rabbit

Clonality

Polyclonal

Isotype

IgG

Carrier free

No

Reacts with

Mouse, Human

Applications

IHC-P

applications

Immunogen

Synthetic Peptide within Human CD19 phospho Y531 aa 500 to C-terminus conjugated to Keyhole Limpet Haemocyanin. The exact immunogen used to generate this antibody is proprietary information.

P15391

Reactivity data

{ "title": "Reactivity Data", "filters": { "stats": ["", "Species", "Dilution Info", "Notes"], "tabs": { "all-applications": {"fullname" : "All Applications", "shortname": "All Applications"}, "IHCP" : {"fullname" : "Immunohistochemistry (Formalin/PFA-fixed paraffin-embedded sections)", "shortname":"IHC-P"} }, "product-promise": { "all": "all", "testedAndGuaranteed": "tested", "guaranteed": "expected", "predicted": "predicted", "notRecommended": "not-recommended" } }, "values": { "Human": { "IHCP-species-checked": "testedAndGuaranteed", "IHCP-species-dilution-info": "1/100 - 1/500", "IHCP-species-notes": "<p></p>" }, "Mouse": { "IHCP-species-checked": "testedAndGuaranteed", "IHCP-species-dilution-info": "1/100 - 1/500", "IHCP-species-notes": "<p></p>" }, "Rat": { "IHCP-species-checked": "predicted", "IHCP-species-dilution-info": "", "IHCP-species-notes": "" } } }

Properties and storage information

Form
Liquid
Purification technique
Affinity purification Protein A
Storage buffer
pH: 7.4 Preservative: 0.02% Proclin 300 Constituents: 50% Glycerol (glycerin, glycerine), 48.98% TBS, 1X, 1% BSA
Shipped at conditions
Blue Ice
Appropriate short-term storage duration
1-2 weeks
Appropriate short-term storage conditions
+4°C
Appropriate long-term storage conditions
-20°C
Aliquoting information
Upon delivery aliquot
Storage information
Avoid freeze / thaw cycle

Supplementary information

This supplementary information is collated from multiple sources and compiled automatically.

CD19 is a transmembrane protein also known as B4 or B-lymphocyte antigen CD19 with an approximate molecular weight of 95 kDa. It is expressed on the surface of B cells throughout their development from pro-B cells to mature B cells. CD19 functions mechanically as a coreceptor enhancing the sensitivity of B cell receptor (BCR) signaling. This protein plays a significant role in promoting the activation and proliferation of B cells by lowering the threshold for antigen receptor engagement.
Biological function summary

CD19 acts as an essential player in B cell signaling. CD19 integrates signals from the BCR with other coreceptors acting as a signaling hub. It participates in forming a signaling complex that includes proteins like CD21 and CD81 which further amplifies BCR-mediated signaling. This complex plays a critical role in B cell activation differentiation and survival ensuring that immune responses are efficiently mounted against pathogens.

Pathways

The CD19 protein fits into key immune response pathways such as the BCR signaling pathway and the PI3K-Akt signaling pathway. CD19 collaborates with other proteins like CD21 CD81 and PI3K within these pathways. Its interaction in the PI3K-Akt pathway for instance supports critical processes including B cell activation and homeostasis contributing to the adaptive immune response.

CD19 is connected to B cell malignancies and autoimmune diseases. B cell acute lymphoblastic leukemia (ALL) often shows aberrant CD19 expression making it a valuable target for therapeutic interventions like anti-CD19 monoclonal antibodies. Additionally overexpression or mutations of CD19 may contribute to autoimmune diseases by disrupting normal B cell regulation. CD19's connection with proteins like CD22 and CD20 in these pathological contexts highlights its relevance in developing targeted therapies.

Product protocols

For this product, it's our understanding that no specific protocols are required. You can visit:

Target data

Functions as a coreceptor for the B-cell antigen receptor complex (BCR) on B-lymphocytes (PubMed : 29523808). Decreases the threshold for activation of downstream signaling pathways and for triggering B-cell responses to antigens (PubMed : 1373518, PubMed : 16672701, PubMed : 2463100). Activates signaling pathways that lead to the activation of phosphatidylinositol 3-kinase and the mobilization of intracellular Ca(2+) stores (PubMed : 12387743, PubMed : 16672701, PubMed : 9317126, PubMed : 9382888). Is not required for early steps during B cell differentiation in the blood marrow (PubMed : 9317126). Required for normal differentiation of B-1 cells (By similarity). Required for normal B cell differentiation and proliferation in response to antigen challenges (PubMed : 1373518, PubMed : 2463100). Required for normal levels of serum immunoglobulins, and for production of high-affinity antibodies in response to antigen challenge (PubMed : 12387743, PubMed : 16672701, PubMed : 9317126).
See full target information CD19 phospho Y531

Publications (13)

Recent publications for all applications. Explore the full list and refine your search

JCI insight 10: PubMed40985892

2025

HMGB1 couples LEF1 to regulate B cell immunity.

Applications

Unspecified application

Species

Unspecified reactive species

Qiuyue Chen,Ziyin Zhang,Nanshu Xiang,Li Luo,Xin Dai,Danqing Kang,Lu Yang,Yingzi Zhu,Jiang Chang,Yukai Jing,Na Li,Qianglin Chen,Panpan Jiang,Ju Liu,Yanmei Huang,Heather Miller,Xinyuan Zhou,Fang Zheng,Quan Gong,Chaohong Liu

Advanced science (Weinheim, Baden-Wurttemberg, Germany) 11:e2403939 PubMed39412083

2024

PGRN Inhibits Early B-cell Activation and IgE Production Through the IFITM3-STAT1 Signaling Pathway in Asthma.

Applications

Unspecified application

Species

Unspecified reactive species

Pingping Zhang,Changshun Ruan,Guangli Yang,Yaning Guan,Yin Zhu,Qian Li,Xin Dai,Yang An,Xiaoqi Shi,Pei Huang,Yan Chen,Zhixu He,Zuochen Du,Chaohong Liu

Clinical and translational medicine 12:e887 PubMed35875970

2022

Involvement of MST1/mTORC1/STAT1 activity in the regulation of B-cell receptor signalling by chemokine receptor 2.

Applications

Unspecified application

Species

Unspecified reactive species

Yingzi Zhu,Heng Gu,Lu Yang,Na Li,Qiuyue Chen,Danqing Kang,Shengyan Lin,Yukai Jing,Panpan Jiang,Qianglin Chen,Li Luo,Ju Liu,Jiang Chang,Zhenzhen Li,Yi Wang,Xin Dai,Heather Miller,Lisa S Westerberg,Chan-Sik Park,Masato Kubo,Quan Gong,Lingli Dong,Chaohong Liu

Journal of experimental & clinical cancer research : CR 41:132 PubMed35392977

2022

Adaptive antitumor immune response stimulated by bio-nanoparticle based vaccine and checkpoint blockade.

Applications

Unspecified application

Species

Unspecified reactive species

Xuewei Bai,Yanmei Zhou,Yuki Yokota,Yoshihiro Matsumoto,Bo Zhai,Nader Maarouf,Hikaru Hayashi,Rolf Carlson,Songhua Zhang,Aryanna Sousa,Bei Sun,Hossein Ghanbari,Xiaoqun Dong,Jack R Wands

Cell reports 36:109674 PubMed34496236

2021

Tumor-initiating stem cell shapes its microenvironment into an immunosuppressive barrier and pro-tumorigenic niche.

Applications

Unspecified application

Species

Unspecified reactive species

Xi He,Sarah E Smith,Shiyuan Chen,Hua Li,Di Wu,Paloma I Meneses-Giles,Yongfu Wang,Mark Hembree,Kexi Yi,Xia Zhao,Fengli Guo,Jay R Unruh,Lucinda E Maddera,Zulin Yu,Allison Scott,Anoja Perera,Yan Wang,Chongbei Zhao,KyeongMin Bae,Andrew Box,Jeffrey S Haug,Fang Tao,Deqing Hu,Darrick M Hansen,Pengxu Qian,Subhrajit Saha,Dan Dixon,Shrikant Anant,Da Zhang,Edward H Lin,Weijing Sun,Leanne M Wiedemann,Linheng Li

Cell death and differentiation 28:2616-2633 PubMed33879857

2021

CCL2 regulation of MST1-mTOR-STAT1 signaling axis controls BCR signaling and B-cell differentiation.

Applications

Unspecified application

Species

Unspecified reactive species

Lu Yang,Na Li,Di Yang,Anwei Chen,Jianlong Tang,Yukai Jing,Danqing Kang,Panpan Jiang,Xin Dai,Li Luo,Qiuyue Chen,Jiang Chang,Ju Liu,Heng Gu,Yanmei Huang,Qianglin Chen,Zhenzhen Li,Yingzi Zhu,Heather Miller,Yan Chen,Liru Qiu,Heng Mei,Yu Hu,Quan Gong,Chaohong Liu

The Journal of allergy and clinical immunology 147:1907-1923.e6 PubMed33045280

2020

STAT3 couples with 14-3-3σ to regulate BCR signaling, B-cell differentiation, and IgE production.

Applications

Unspecified application

Species

Unspecified reactive species

Zuochen Du,Anwei Chen,Lu Huang,Xin Dai,Qiuyue Chen,Di Yang,Liling Li,Heather Miller,Lisa Westerberg,Yuan Ding,Xuemei Tang,Masato Kubo,Liping Jiang,Xiaodong Zhao,Hua Wang,Chaohong Liu

International journal of cardiology 313:67-75 PubMed32402518

2020

Exacerbation of autoimmune myocarditis by an immune checkpoint inhibitor is dependent on its time of administration in mice.

Applications

Unspecified application

Species

Unspecified reactive species

Kenjiro Tsuruoka,Shigeo Wakabayashi,Hirofumi Morihara,Ninso Matsunaga,Yasuhito Fujisaka,Isao Goto,Akihisa Imagawa,Michio Asahi

Cellular and molecular life sciences : CMLS 77:4379-4395 PubMed32016488

2020

CX3CR1 positively regulates BCR signaling coupled with cell metabolism via negatively controlling actin remodeling.

Applications

Unspecified application

Species

Unspecified reactive species

Na Li,Panpan Jiang,Anwei Chen,Xi Luo,Yukai Jing,Lu Yang,Danqing Kang,Qiuyue Chen,Ju Liu,Jiang Chang,Julia Jellusova,Heather Miller,Lisa Westerberg,Cong-Yi Wang,Quan Gong,Chaohong Liu

PloS one 14:e0222999 PubMed31560714

2019

IGFBP2 promotes immunosuppression associated with its mesenchymal induction and FcγRIIB phosphorylation in glioblastoma.

Applications

Unspecified application

Species

Unspecified reactive species

Yunmian Liu,Chunyan Song,Faping Shen,Jing Zhang,Sonya Wei Song
View all publications

Product promise

We are committed to supporting your work with high-quality reagents, and we're here for you every step of the way. In the unlikely event that one of our products does not perform as expected, you're protected by our Product Promise.
For full details, please see our Terms & Conditions

Please note: All products are 'FOR RESEARCH USE ONLY. NOT FOR USE IN DIAGNOSTIC OR THERAPEUTIC PROCEDURES'.

For licensing inquiries, please contact partnerships@abcam.com