JavaScript is disabled in your browser. Please enable JavaScript to view this website.
AB17186

Anti-CD1a antibody [O10]

Be the first to review this product! Submit a review

|

(1 Publication)

Mouse Monoclonal CD1A antibody. Suitable for IHC-P and reacts with Human samples. Cited in 1 publication. Immunogen corresponding to Cell preparation containing CD1A protein.

View Alternative Names

CD1a, T-cell surface glycoprotein CD1a, T-cell surface antigen T6/Leu-6, hTa1 thymocyte antigen, CD1A

1 Images
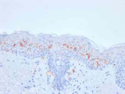
Immunohistochemistry (Formalin/PFA-fixed paraffin-embedded sections) - Anti-CD1a antibody [O10] (AB17186)
  • IHC-P

Supplier Data

Immunohistochemistry (Formalin/PFA-fixed paraffin-embedded sections) - Anti-CD1a antibody [O10] (AB17186)

Immunohistochemistry (Formalin/PFA-fixed paraffin-embedded sections) analysis of Human tonsil tissue labeling CD1a with ab17186.

Key facts

Host species

Mouse

Clonality

Monoclonal

Clone number

O10

Isotype

IgG1

Light chain type

kappa

Carrier free

No

Reacts with

Human

Applications

IHC-P

applications

Immunogen

Cell preparation containing CD1A protein. The exact immunogen used to generate this antibody is proprietary information.

P06126

Reactivity data

{ "title": "Reactivity Data", "filters": { "stats": ["", "Species", "Dilution Info", "Notes"], "tabs": { "all-applications": {"fullname" : "All Applications", "shortname": "All Applications"}, "IHCP" : {"fullname" : "Immunohistochemistry (Formalin/PFA-fixed paraffin-embedded sections)", "shortname":"IHC-P"} }, "product-promise": { "all": "all", "testedAndGuaranteed": "tested", "guaranteed": "expected", "predicted": "predicted", "notRecommended": "not-recommended" } }, "values": { "Human": { "IHCP-species-checked": "testedAndGuaranteed", "IHCP-species-dilution-info": "1/25 - 1/50", "IHCP-species-notes": "<p>Pretreat tissue with EDTA buffer pH 8. Incubate with primary antibody for 30 minutes at room temperature.</p>" } } }

Properties and storage information

Form
Liquid
Purity
Tissue culture supernatant
Storage buffer
pH: 7.3 - 7.5 Preservative: 0.05% Sodium azide Constituents: Tissue culture supernatant, 1% BSA
Shipped at conditions
Blue Ice
Appropriate short-term storage duration
1-2 weeks
Appropriate short-term storage conditions
+4°C
Appropriate long-term storage conditions
-20°C
Storage information
Avoid freeze / thaw cycle

Supplementary information

This supplementary information is collated from multiple sources and compiled automatically.

CD1a also known as T6 antigen or CD1 is a protein with an estimated molecular mass of 37 kDa. It is expressed mainly on the surface of Langerhans cells in the skin and dendritic cells in the thymus. CD1a belongs to the CD1 family which presents lipid antigens to T cells. The protein is an important marker in immunophenotyping of these dendritic cells making it useful in flow cytometry applications.
Biological function summary

CD1a participates in the immune system by presenting lipid and glycolipid antigens to T lymphocytes including natural killer T (NKT) cells. It forms a complex with β2-microglobulin which is essential for its proper function and antigen presentation. CD1a expression helps differentiate between types of dendritic cells with CD1a-positive cells often engaging in specific responses to microbial lipid antigens.

Pathways

CD1a plays a significant role in the antigen presentation pathway particularly in lipid antigen presentation to T cells. This is important for initiating immune responses. It interacts with related proteins such as CD1b and CD1c which also present lipid antigens. CD1a has implications in innate and adaptive immunity and can influence pathways involved in microbial recognition and elimination.

CD1a is associated with certain skin conditions like Langerhans Cell Histiocytosis and psoriasis. It is involved in the pathogenesis of these diseases by affecting immune responses in the skin. In Langerhans Cell Histiocytosis CD1a-positive cells accumulate abnormally. Additionally CD1a is often studied alongside related proteins like CD207 (Langerin) to understand these conditions better.

Product protocols

For this product, it's our understanding that no specific protocols are required. You can visit:

Target data

Antigen-presenting protein that binds self and non-self lipid and glycolipid antigens and presents them to T-cell receptors on natural killer T-cells.
See full target information CD1A

Publications (1)

Recent publications for all applications. Explore the full list and refine your search

Journal of cancer research and clinical oncology 149:6225-6237 PubMed36700980

2023

hnRNP K induces HPV16 oncogene expression and promotes cervical cancerization.

Applications

Unspecified application

Species

Unspecified reactive species

Yuanjing Lyu,Li Song,Rui Mao,Chunliang Liu,Meijuan Feng,Caihong Wu,Ruixin Pei,Ling Ding,Jintao Wang
View all publications

Product promise

We are committed to supporting your work with high-quality reagents, and we're here for you every step of the way. In the unlikely event that one of our products does not perform as expected, you're protected by our Product Promise.
For full details, please see our Terms & Conditions

Please note: All products are 'FOR RESEARCH USE ONLY. NOT FOR USE IN DIAGNOSTIC OR THERAPEUTIC PROCEDURES'.

For licensing inquiries, please contact partnerships@abcam.com