JavaScript is disabled in your browser. Please enable JavaScript to view this website.
AB231440

Anti-CD1a antibody [SP157]

Be the first to review this product! Submit a review

|

(1 Publication)

Rabbit Recombinant Monoclonal CD1A antibody. Suitable for IHC-P and reacts with Human samples. Cited in 1 publication.

View Alternative Names

CD1a, T-cell surface glycoprotein CD1a, T-cell surface antigen T6/Leu-6, hTa1 thymocyte antigen, CD1A

11 Images
Immunohistochemistry (Formalin/PFA-fixed paraffin-embedded sections) - Anti-CD1a antibody [SP157] (AB231440)
  • IHC-P

Supplier Data

Immunohistochemistry (Formalin/PFA-fixed paraffin-embedded sections) - Anti-CD1a antibody [SP157] (AB231440)

Formalin-fixed, paraffin-embedded human lung adenocarcinoma tissue stained for CD1a using ab231440 at 1/100 dilution in immunohistochemical analysis.

Immunohistochemistry (Formalin/PFA-fixed paraffin-embedded sections) - Anti-CD1a antibody [SP157] (AB231440)
  • IHC-P

Supplier Data

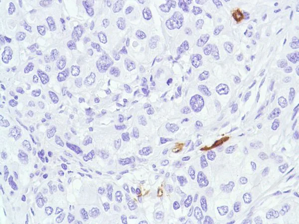
Immunohistochemistry (Formalin/PFA-fixed paraffin-embedded sections) - Anti-CD1a antibody [SP157] (AB231440)

Formalin-fixed, paraffin-embedded human bladder transitional cell carcinoma tissue stained for CD1a using ab231440 at 1/100 dilution in immunohistochemical analysis.

Immunohistochemistry (Formalin/PFA-fixed paraffin-embedded sections) - Anti-CD1a antibody [SP157] (AB231440)
  • IHC-P

Supplier Data

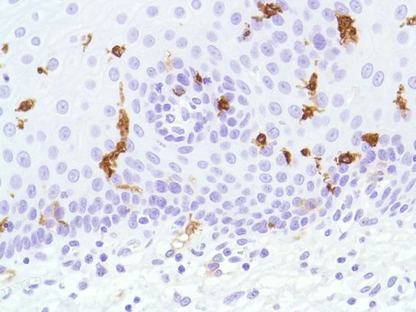
Immunohistochemistry (Formalin/PFA-fixed paraffin-embedded sections) - Anti-CD1a antibody [SP157] (AB231440)

Formalin-fixed, paraffin-embedded human skin tissue stained for CD1a using ab231440 at 1/100 dilution in immunohistochemical analysis.

Immunohistochemistry (Formalin/PFA-fixed paraffin-embedded sections) - Anti-CD1a antibody [SP157] (AB231440)
  • IHC-P

Supplier Data

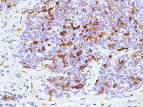
Immunohistochemistry (Formalin/PFA-fixed paraffin-embedded sections) - Anti-CD1a antibody [SP157] (AB231440)

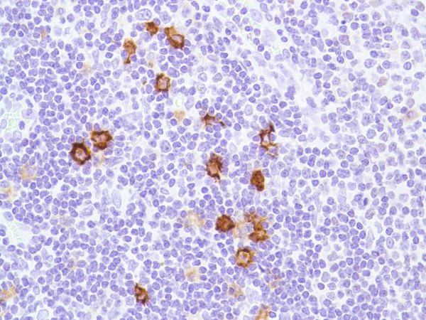
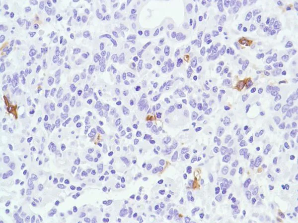
Formalin-fixed, paraffin-embedded human reactive lymph node tissue stained for CD1a using ab231440 at 1/100 dilution in immunohistochemical analysis.

Immunohistochemistry (Formalin/PFA-fixed paraffin-embedded sections) - Anti-CD1a antibody [SP157] (AB231440)
  • IHC-P

Unknown

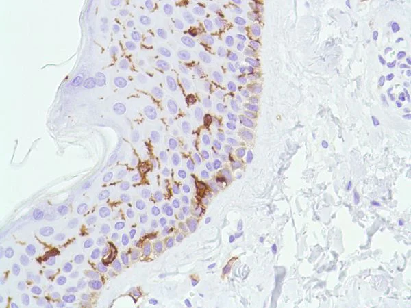
Immunohistochemistry (Formalin/PFA-fixed paraffin-embedded sections) - Anti-CD1a antibody [SP157] (AB231440)

Immunohistochemistry (Formalin/PFA-fixed paraffin-embedded sections) analysis of Human skin tissue sections labeling CD1a with ab231440 at 1/100 dilution (2.32 μg/ml). Heat mediated antigen retrieval with ab93684 (Tris/EDTA buffer, pH 9.0). Goat Anti-Rabbit IgG H&L (HRP) was used as the secondary antibody. Hematoxylin was used as a counterstain. Positive staining on langerhans cell human skin.

Immunohistochemistry (Formalin/PFA-fixed paraffin-embedded sections) - Anti-CD1a antibody [SP157] (AB231440)
  • IHC-P

Supplier Data

Immunohistochemistry (Formalin/PFA-fixed paraffin-embedded sections) - Anti-CD1a antibody [SP157] (AB231440)

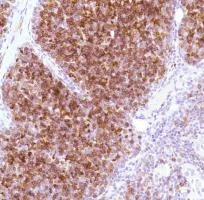
Formalin-fixed, paraffin-embedded human thymus tissue stained for CD1a using ab231440 at 1/100 dilution in immunohistochemical analysis.

Immunohistochemistry (Formalin/PFA-fixed paraffin-embedded sections) - Anti-CD1a antibody [SP157] (AB231440)
  • IHC-P

Supplier Data

Immunohistochemistry (Formalin/PFA-fixed paraffin-embedded sections) - Anti-CD1a antibody [SP157] (AB231440)

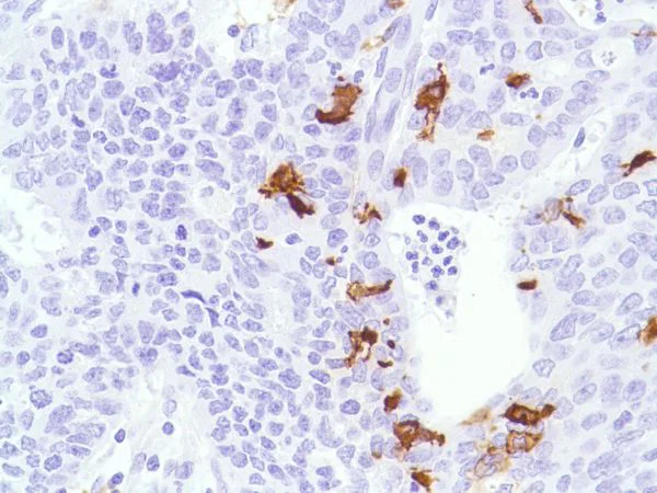
Formalin-fixed, paraffin-embedded human cervical squamous cell carcinoma tissue stained for CD1a using ab231440 at 1/100 dilution in immunohistochemical analysis.

Immunohistochemistry (Formalin/PFA-fixed paraffin-embedded sections) - Anti-CD1a antibody [SP157] (AB231440)
  • IHC-P

Supplier Data

Immunohistochemistry (Formalin/PFA-fixed paraffin-embedded sections) - Anti-CD1a antibody [SP157] (AB231440)

Formalin-fixed, paraffin-embedded human thymus tissue stained for CD1a using ab231440 at 1/100 dilution in immunohistochemical analysis.

Immunohistochemistry (Formalin/PFA-fixed paraffin-embedded sections) - Anti-CD1a antibody [SP157] (AB231440)
  • IHC-P

Supplier Data

Immunohistochemistry (Formalin/PFA-fixed paraffin-embedded sections) - Anti-CD1a antibody [SP157] (AB231440)

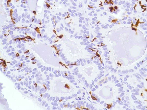
Formalin-fixed, paraffin-embedded human stomach adenocarcinoma tissue stained for CD1a using ab231440 at 1/100 dilution in immunohistochemical analysis.

Immunohistochemistry (Formalin/PFA-fixed paraffin-embedded sections) - Anti-CD1a antibody [SP157] (AB231440)
  • IHC-P

Supplier Data

Immunohistochemistry (Formalin/PFA-fixed paraffin-embedded sections) - Anti-CD1a antibody [SP157] (AB231440)

Formalin-fixed, paraffin-embedded human endometrial adenocarcinoma tissue stained for CD1a using ab231440 at 1/100 dilution in immunohistochemical analysis.

Immunohistochemistry (Formalin/PFA-fixed paraffin-embedded sections) - Anti-CD1a antibody [SP157] (AB231440)
  • IHC-P

Supplier Data

Immunohistochemistry (Formalin/PFA-fixed paraffin-embedded sections) - Anti-CD1a antibody [SP157] (AB231440)

Formalin-fixed, paraffin-embedded human esophagus tissue stained for CD1a using ab231440 at 1/100 dilution in immunohistochemical analysis.

  • Carrier free

    Anti-CD1a antibody [SP157] - BSA and Azide free

Key facts

Host species

Rabbit

Clonality

Monoclonal

Clone number

SP157

Isotype

IgG

Carrier free

No

Reacts with

Human

Applications

IHC-P

applications

Immunogen

The exact immunogen used to generate this antibody is proprietary information.

Reactivity data

{ "title": "Reactivity Data", "filters": { "stats": ["", "Species", "Dilution Info", "Notes"], "tabs": { "all-applications": {"fullname" : "All Applications", "shortname": "All Applications"}, "IHCP" : {"fullname" : "Immunohistochemistry (Formalin/PFA-fixed paraffin-embedded sections)", "shortname":"IHC-P"} }, "product-promise": { "all": "all", "testedAndGuaranteed": "tested", "guaranteed": "expected", "predicted": "predicted", "notRecommended": "not-recommended" } }, "values": { "Human": { "IHCP-species-checked": "testedAndGuaranteed", "IHCP-species-dilution-info": "1/100", "IHCP-species-notes": "<p>Boil tissue section in EDTA, pH 8.0 for 10 minutes followed by cooling at room temperature for 20 min. Incubate with ab231440 for 10 minutes at room temperature.</p>" } } }

Properties and storage information

Form
Liquid
Purification technique
Affinity purification Protein A/G
Purification notes
Purified from TCS by protein A/G.
Storage buffer
pH: 7.6 Preservative: 0.1% Sodium azide Constituents: PBS, 1% BSA
Shipped at conditions
Blue Ice
Appropriate short-term storage duration
1-2 weeks
Appropriate short-term storage conditions
+4°C
Appropriate long-term storage conditions
-20°C
Aliquoting information
Upon delivery aliquot
Storage information
Avoid freeze / thaw cycle

Supplementary information

This supplementary information is collated from multiple sources and compiled automatically.

CD1a also known as T6 antigen or CD1 is a protein with an estimated molecular mass of 37 kDa. It is expressed mainly on the surface of Langerhans cells in the skin and dendritic cells in the thymus. CD1a belongs to the CD1 family which presents lipid antigens to T cells. The protein is an important marker in immunophenotyping of these dendritic cells making it useful in flow cytometry applications.
Biological function summary

CD1a participates in the immune system by presenting lipid and glycolipid antigens to T lymphocytes including natural killer T (NKT) cells. It forms a complex with β2-microglobulin which is essential for its proper function and antigen presentation. CD1a expression helps differentiate between types of dendritic cells with CD1a-positive cells often engaging in specific responses to microbial lipid antigens.

Pathways

CD1a plays a significant role in the antigen presentation pathway particularly in lipid antigen presentation to T cells. This is important for initiating immune responses. It interacts with related proteins such as CD1b and CD1c which also present lipid antigens. CD1a has implications in innate and adaptive immunity and can influence pathways involved in microbial recognition and elimination.

CD1a is associated with certain skin conditions like Langerhans Cell Histiocytosis and psoriasis. It is involved in the pathogenesis of these diseases by affecting immune responses in the skin. In Langerhans Cell Histiocytosis CD1a-positive cells accumulate abnormally. Additionally CD1a is often studied alongside related proteins like CD207 (Langerin) to understand these conditions better.

Product protocols

For this product, it's our understanding that no specific protocols are required. You can visit:

Target data

Antigen-presenting protein that binds self and non-self lipid and glycolipid antigens and presents them to T-cell receptors on natural killer T-cells.
See full target information CD1A

Publications (1)

Recent publications for all applications. Explore the full list and refine your search

World journal of gastrointestinal oncology 17:105264 PubMed40697228

2025

Nav1.6 drives colorectal cancer proliferation and invasion through MAPK signaling pathway.

Applications

Unspecified application

Species

Unspecified reactive species

Li-Ming Zhao,Wan-Ying Hong,Jian-Guang Xu,Shui-Quan Lin,Ming-Sheng Liu,Li-Hui Wang,Xu-Li Jiang,Ming Sang,Yang-Bo Lv
View all publications

Product promise

We are committed to supporting your work with high-quality reagents, and we're here for you every step of the way. In the unlikely event that one of our products does not perform as expected, you're protected by our Product Promise.
For full details, please see our Terms & Conditions

Please note: All products are 'FOR RESEARCH USE ONLY. NOT FOR USE IN DIAGNOSTIC OR THERAPEUTIC PROCEDURES'.

For licensing inquiries, please contact partnerships@abcam.com