JavaScript is disabled in your browser. Please enable JavaScript to view this website.
AB270797

Anti-CD1c antibody [EPR23189-196] - BSA and Azide free

4

(4 Reviews)

|

(1 Publication)

Rabbit Recombinant Monoclonal CD1C antibody. Carrier free. Suitable for IHC-P, WB and reacts with Human samples. Cited in 1 publication.

View Alternative Names

CD1c, T-cell surface glycoprotein CD1c, CD1C

2 Images
Immunohistochemistry (Formalin/PFA-fixed paraffin-embedded sections) - Anti-CD1c antibody [EPR23189-196] - BSA and Azide free (AB270797)
  • IHC-P

Unknown

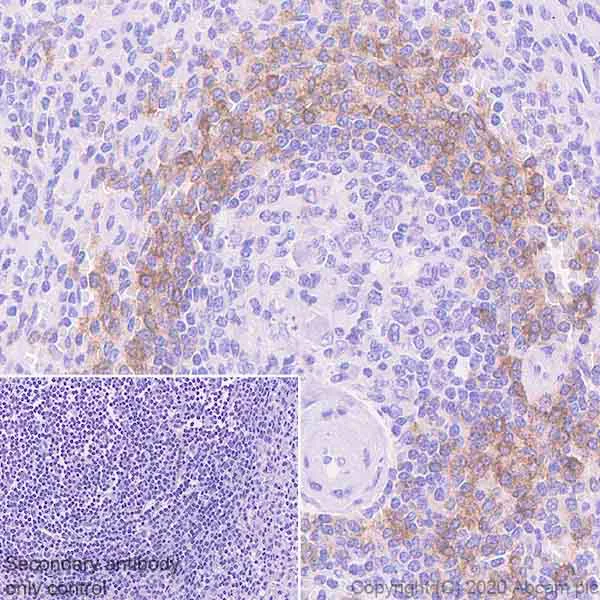
Immunohistochemistry (Formalin/PFA-fixed paraffin-embedded sections) - Anti-CD1c antibody [EPR23189-196] - BSA and Azide free (AB270797)

Immunohistochemical analysis of paraffin-embedded Human Hodgkin's lymphoma tissue labeling CD1c with ab246520 at 1/1000 dilution followed by a ready to use Rabbit specific IHC polymer detection kit HRP/DAB (ab209101). Positive staining on human Hodgkin's lymphoma. The section was incubated with ab246520 for 10 mins at room temperature.The immunostaining was performed on a Leica Biosystems BOND® RX instrument. Counterstained with Hematoxylin.

Secondary antibody only control : Secondary antibody is a ready to use Rabbit specific IHC polymer detection kit HRP/DAB (ab209101).

Heat mediated antigen retrieval with Citrate buffer (pH 6.0, epitope retrieval solution 1) for 20 mins

This data was developed using the same antibody clone in a different buffer formulation containing PBS, BSA, glycerol, and sodium azide (ab246520).

Immunohistochemistry (Formalin/PFA-fixed paraffin-embedded sections) - Anti-CD1c antibody [EPR23189-196] - BSA and Azide free (AB270797)
  • IHC-P

Unknown

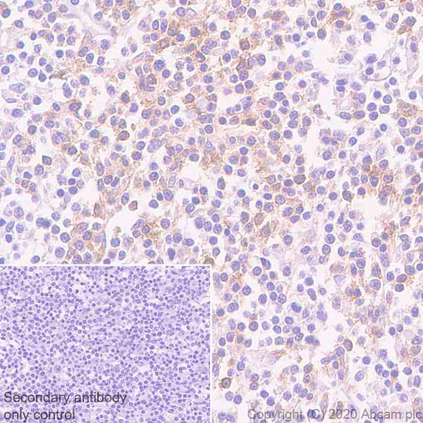
Immunohistochemistry (Formalin/PFA-fixed paraffin-embedded sections) - Anti-CD1c antibody [EPR23189-196] - BSA and Azide free (AB270797)

Immunohistochemical analysis of paraffin-embedded Human spleen tissue labeling CD1c with ab246520 at 1/1000 dilution followed by a ready to use Rabbit specific IHC polymer detection kit HRP/DAB (ab209101). Positive staining on human spleen. (PMID : 15191950)The section was incubated with ab246520 for 10 mins at room temperature.The immunostaining was performed on a Leica Biosystems BOND® RX instrument. Counterstained with Hematoxylin.

Secondary antibody only control : Secondary antibody is a ready to use Rabbit specific IHC polymer detection kit HRP/DAB (ab209101).

Heat mediated antigen retrieval with Citrate buffer (pH 6.0, epitope retrieval solution 1) for 20 mins

This data was developed using the same antibody clone in a different buffer formulation containing PBS, BSA, glycerol, and sodium azide (ab246520).

Key facts

Host species

Rabbit

Clonality

Monoclonal

Clone number

EPR23189-196

Isotype

IgG

Carrier free

Yes

Reacts with

Human

Applications

IHC-P, WB

applications

Immunogen

The exact immunogen used to generate this antibody is proprietary information.

Reactivity data

{ "title": "Reactivity Data", "filters": { "stats": ["", "Species", "Dilution Info", "Notes"], "tabs": { "all-applications": {"fullname" : "All Applications", "shortname": "All Applications"}, "IHCP" : {"fullname" : "Immunohistochemistry (Formalin/PFA-fixed paraffin-embedded sections)", "shortname":"IHC-P"}, "FlowCyt" : {"fullname" : "Flow Cytometry", "shortname":"Flow Cyt"}, "WB" : {"fullname" : "Western blot", "shortname":"WB"}, "ICCIF" : {"fullname" : "Immunocytochemistry/ Immunofluorescence", "shortname":"ICC/IF"}, "IP" : {"fullname" : "Immunoprecipitation", "shortname":"IP"} }, "product-promise": { "all": "all", "testedAndGuaranteed": "tested", "guaranteed": "expected", "predicted": "predicted", "notRecommended": "not-recommended" } }, "values": { "Human": { "IHCP-species-checked": "testedAndGuaranteed", "IHCP-species-dilution-info": "", "IHCP-species-notes": "<p></p>", "FlowCyt-species-checked": "notRecommended", "FlowCyt-species-dilution-info": "", "FlowCyt-species-notes": "<p></p>", "WB-species-checked": "guaranteed", "WB-species-dilution-info": "", "WB-species-notes": "<p></p>", "ICCIF-species-checked": "notRecommended", "ICCIF-species-dilution-info": "", "ICCIF-species-notes": "<p></p>", "IP-species-checked": "notRecommended", "IP-species-dilution-info": "", "IP-species-notes": "<p></p>" }, "Mouse": { "IHCP-species-checked": "notRecommended", "IHCP-species-dilution-info": "", "IHCP-species-notes": "<p></p>", "FlowCyt-species-checked": "notRecommended", "FlowCyt-species-dilution-info": "", "FlowCyt-species-notes": "", "WB-species-checked": "notRecommended", "WB-species-dilution-info": "", "WB-species-notes": "<p></p>", "ICCIF-species-checked": "notRecommended", "ICCIF-species-dilution-info": "", "ICCIF-species-notes": "", "IP-species-checked": "notRecommended", "IP-species-dilution-info": "", "IP-species-notes": "" }, "Rat": { "IHCP-species-checked": "notRecommended", "IHCP-species-dilution-info": "", "IHCP-species-notes": "<p></p>", "FlowCyt-species-checked": "notRecommended", "FlowCyt-species-dilution-info": "", "FlowCyt-species-notes": "", "WB-species-checked": "notRecommended", "WB-species-dilution-info": "", "WB-species-notes": "<p></p>", "ICCIF-species-checked": "notRecommended", "ICCIF-species-dilution-info": "", "ICCIF-species-notes": "", "IP-species-checked": "notRecommended", "IP-species-dilution-info": "", "IP-species-notes": "" } } }

Product details

ab270797 is the carrier-free version of ab246520.

Patented technology
Our RabMAb® technology is a patented hybridoma-based technology for making rabbit monoclonal antibodies. For details on our patents, please refer to RabMAb® patents.

What are the advantages of a recombinant monoclonal antibody?
This product is a recombinant monoclonal antibody, which offers several advantages including:

  • - High batch-to-batch consistency and reproducibility
  • - Improved sensitivity and specificity
  • - Long-term security of supply
  • - Animal-free batch production

For more information, read more on recombinant antibodies.

Conjugation ready
Our carrier-free antibodies are typically supplied in a PBS-only formulation, purified and free of BSA, sodium azide and glycerol. This conjugation-ready format is designed for use with fluorochromes, metal isotopes, oligonucleotides, and enzymes, which makes them ideal for antibody labelling, functional and cell-based assays, flow-based assays (e.g. mass cytometry) and Multiplex Imaging applications.

Use our conjugation kits for antibody conjugates that are ready-to-use in as little as 20 minutes with 1 minute hands-on-time and 100% antibody recovery: available for fluorescent dyes, HRP, biotin and gold.

Compatibility
This product is compatible with the Maxpar® Antibody Labeling Kit from Fluidigm, without the need for antibody preparation. Maxpar® is a trademark of Fluidigm Canada Inc.

Properties and storage information

Form
Liquid
Purification technique
Affinity purification Protein A
Storage buffer
pH: 7.2 - 7.4 Constituents: PBS
Shipped at conditions
Blue Ice
Appropriate short-term storage conditions
+4°C
Appropriate long-term storage conditions
+4°C
Storage information
Do Not Freeze

Supplementary information

This supplementary information is collated from multiple sources and compiled automatically.

CD1c also known as CD1c molecule or R7 is a transmembrane glycoprotein with a molecular weight of approximately 43 kDa. It belongs to the CD1 family of glycoproteins which share structural similarity to major histocompatibility complex (MHC) proteins. CD1c presents lipid and glycolipid antigens to T cells. It is expressed on professional antigen-presenting cells (APCs) like dendritic cells B cells and some monocytes. This expression allows CD1c to function in the immune response by presenting specialized antigens to T cells.
Biological function summary

The function of CD1c involves the presentation of lipid antigens which plays a role in immune recognition. CD1c is a part of a complex that includes β2-microglobulin which stabilizes its structure for antigen presentation. CD1c contributes to the immune surveillance by enabling the recognition of microbial lipid antigens as well as self-lipids by specific T cell subsets. This function supports the body's immune defense by identifying and reacting to potential pathogenic lipids.

Pathways

CD1c is involved in immune response pathways that center around antigen presentation. It interacts with other proteins like CD1a CD1b and CD1d expanding the range of antigens that T cells can recognize. CD1c participates in the lipid antigen presentation pathway influencing both innate and adaptive immunity. The presentation of lipid antigens by CD1c to T cells can trigger signaling pathways that affect both immune activation and resolution.

CD1c is implicated in autoimmune diseases and infections. Its role in antigen presentation makes it a potential factor in autoimmune conditions where immune recognition errors might occur. Additionally CD1c may relate to infectious diseases where mycobacteria or other pathogens present unique lipid antigens. Through its interaction with T cell receptors CD1c can impact how well immune responses are mounted against these challenges making it a notable target for therapeutic development and research.

Product protocols

For this product, it's our understanding that no specific protocols are required. You can visit:

Target data

Antigen-presenting protein that binds self and non-self lipid and glycolipid antigens and presents them to T-cell receptors on natural killer T-cells.
See full target information CD1C

Publications (1)

Recent publications for all applications. Explore the full list and refine your search

Nature communications 16:6009 PubMed40593805

2025

Spatial and single cell mapping of castleman disease reveals key stromal cell types and cytokine pathways.

Applications

Unspecified application

Species

Unspecified reactive species

David Smith,Anna Eichinger,Éanna Fennell,Zijun Y Xu-Monette,Andrew Rech,Julia Wang,Eduardo Esteva,Arta Seyedian,Xiaoxu Yang,Mei Zhang,Dan Martinez,Kai Tan,Minjie Luo,Katherine J Young,Paul G Murray,Christopher Park,Boris Reizis,Vinodh Pillai
View all publications

Product promise

We are committed to supporting your work with high-quality reagents, and we're here for you every step of the way. In the unlikely event that one of our products does not perform as expected, you're protected by our Product Promise.
For full details, please see our Terms & Conditions

Please note: All products are 'FOR RESEARCH USE ONLY. NOT FOR USE IN DIAGNOSTIC OR THERAPEUTIC PROCEDURES'.

For licensing inquiries, please contact partnerships@abcam.com