JavaScript is disabled in your browser. Please enable JavaScript to view this website.
AB156708

Anti-CD1c antibody [OTI2F4]

5

(4 Reviews)

|

(12 Publications)

Anti-CD1c antibody [OTI2F4] (ab156708) is a mouse monoclonal antibody detecting CD1c in Western Blot, IHC-P. Suitable for Human.

- Over 10 publications

View Alternative Names

CD1c, T-cell surface glycoprotein CD1c, CD1C

4 Images
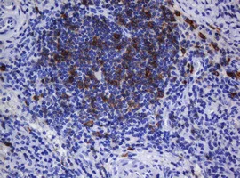
Immunohistochemistry (Formalin/PFA-fixed paraffin-embedded sections) - Anti-CD1c antibody [OTI2F4] (AB156708)
  • IHC-P

AbReview40945****

Immunohistochemistry (Formalin/PFA-fixed paraffin-embedded sections) - Anti-CD1c antibody [OTI2F4] (AB156708)

ab156708 staining MAFA in Cynomolgus monkey lymph node sections by Immunohistochemistry (IHC-P - paraformaldehyde-fixed, paraffin-embedded sections). Tissue was fixed with formaldehyde and blocked with 10% donkey serum for 20 minutes at romm temperature; antigen retrieval was by heat mediation. Samples were incubated with primary antibody (1/50) for 30 minutes at room temperature. A Biotin-conjugated Donkey anti-mouse IgG polyclonal (1/2000) was used as the secondary antibody.

This image is courtesy of an Abreview submitted by Jing Ma

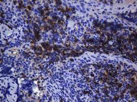
Immunohistochemistry (Formalin/PFA-fixed paraffin-embedded sections) - Anti-CD1c antibody [OTI2F4] (AB156708)
  • IHC-P

Unknown

Immunohistochemistry (Formalin/PFA-fixed paraffin-embedded sections) - Anti-CD1c antibody [OTI2F4] (AB156708)

Immunohistochemical staining of paraffin-embedded Human lymph node tissue using anti-CD1C mouse monoclonal antibody(ab156708)

Immunohistochemistry (Formalin/PFA-fixed paraffin-embedded sections) - Anti-CD1c antibody [OTI2F4] (AB156708)
  • IHC-P

Supplier Data

Immunohistochemistry (Formalin/PFA-fixed paraffin-embedded sections) - Anti-CD1c antibody [OTI2F4] (AB156708)

Immunohistochemical staining of paraffin-embedded Human tonsil using anti-CD1C mouse monoclonal antibody. (ab156708)

Western blot - Anti-CD1c antibody [OTI2F4] (AB156708)
  • WB

Unknown

Western blot - Anti-CD1c antibody [OTI2F4] (AB156708)

HEK293T cell lysates were generated from transient transfection of the cDNA clone (RC211378)

All lanes:

Western blot - Anti-CD1c antibody [OTI2F4] (ab156708)

Lane 1:

HEK293T cells were transfected with the pCMV6-ENTRY at 5 µg

Lane 2:

HEK293T cells were transfected with pCMV6-ENTRY CD1C at 5 µg

Predicted band size: 38 kDa

false

Key facts

Host species

Mouse

Clonality

Monoclonal

Clone number

OTI2F4

Isotype

IgG1

Carrier free

No

Reacts with

Human

Applications

IHC-P, WB

applications

Immunogen

Recombinant Full Length Protein corresponding to Human CD1C.

P29017

Reactivity data

{ "title": "Reactivity Data", "filters": { "stats": ["", "Species", "Dilution Info", "Notes"], "tabs": { "all-applications": {"fullname" : "All Applications", "shortname": "All Applications"}, "WB" : {"fullname" : "Western blot", "shortname":"WB"}, "IHCP" : {"fullname" : "Immunohistochemistry (Formalin/PFA-fixed paraffin-embedded sections)", "shortname":"IHC-P"} }, "product-promise": { "all": "all", "testedAndGuaranteed": "tested", "guaranteed": "expected", "predicted": "predicted", "notRecommended": "not-recommended" } }, "values": { "Human": { "WB-species-checked": "testedAndGuaranteed", "WB-species-dilution-info": "1/2000", "WB-species-notes": "<p></p>", "IHCP-species-checked": "testedAndGuaranteed", "IHCP-species-dilution-info": "1/150", "IHCP-species-notes": "<p></p>" } } }

Product details

Properties and storage information

Form
Liquid
Purification technique
Affinity purification Protein G
Purification notes
Purified from TCS
Storage buffer
pH: 7.3 Preservative: 0.02% Sodium azide Constituents: PBS, 50% Glycerol (glycerin, glycerine), 1% BSA
Shipped at conditions
Blue Ice
Appropriate short-term storage conditions
+4°C
Appropriate long-term storage conditions
-20°C
Aliquoting information
Upon delivery aliquot
Storage information
Avoid freeze / thaw cycle

Supplementary information

This supplementary information is collated from multiple sources and compiled automatically.

CD1c also known as CD1c molecule or R7 is a transmembrane glycoprotein with a molecular weight of approximately 43 kDa. It belongs to the CD1 family of glycoproteins which share structural similarity to major histocompatibility complex (MHC) proteins. CD1c presents lipid and glycolipid antigens to T cells. It is expressed on professional antigen-presenting cells (APCs) like dendritic cells B cells and some monocytes. This expression allows CD1c to function in the immune response by presenting specialized antigens to T cells.
Biological function summary

The function of CD1c involves the presentation of lipid antigens which plays a role in immune recognition. CD1c is a part of a complex that includes Β2-microglobulin which stabilizes its structure for antigen presentation. CD1c contributes to the immune surveillance by enabling the recognition of microbial lipid antigens as well as self-lipids by specific T cell subsets. This function supports the body's immune defense by identifying and reacting to potential pathogenic lipids.

Pathways

CD1c is involved in immune response pathways that center around antigen presentation. It interacts with other proteins like CD1a CD1b and CD1d expanding the range of antigens that T cells can recognize. CD1c participates in the lipid antigen presentation pathway influencing both innate and adaptive immunity. The presentation of lipid antigens by CD1c to T cells can trigger signaling pathways that affect both immune activation and resolution.

CD1c is implicated in autoimmune diseases and infections. Its role in antigen presentation makes it a potential factor in autoimmune conditions where immune recognition errors might occur. Additionally CD1c may relate to infectious diseases where mycobacteria or other pathogens present unique lipid antigens. Through its interaction with T cell receptors CD1c can impact how well immune responses are mounted against these challenges making it a notable target for therapeutic development and research.

Product protocols

For this product, it's our understanding that no specific protocols are required. You can visit:

Target data

Antigen-presenting protein that binds self and non-self lipid and glycolipid antigens and presents them to T-cell receptors on natural killer T-cells.
See full target information CD1C

Publications (12)

Recent publications for all applications. Explore the full list and refine your search

PeerJ 11:e16618 PubMed38099311

2023

Identifying as a potential biomarker by the comprehensive exploration of tumor mutational burden and immune infiltration in diffuse large B cell lymphoma.

Applications

Unspecified application

Species

Unspecified reactive species

Xiaoyu Xiang,Li-Min Gao,Yuehua Zhang,Qiqi Zhu,Sha Zhao,Weiping Liu,Yunxia Ye,Yuan Tang,Wenyan Zhang

EBioMedicine 86:104371 PubMed36434949

2022

Impacts of neoadjuvant chemoradiotherapy on the immune landscape of esophageal squamous cell carcinoma.

Applications

Unspecified application

Species

Unspecified reactive species

Jing Wen,Shuogui Fang,Yi Hu,Mian Xi,Zelin Weng,Chuqing Pan,Kongjia Luo,Yihong Ling,Renchun Lai,Xiuying Xie,Xiaodan Lin,Ting Lin,Jiyang Chen,Qianwen Liu,Jianhua Fu,Hong Yang

Frontiers in immunology 13:874255 PubMed35663986

2022

Deciphering the Immune Complexity in Esophageal Adenocarcinoma and Pre-Cancerous Lesions With Sequential Multiplex Immunohistochemistry and Sparse Subspace Clustering Approach.

Applications

Unspecified application

Species

Unspecified reactive species

Srinand Sundaram,Eun Na Kim,Georgina M Jones,Shamilene Sivagnanam,Monika Tripathi,Ahmad Miremadi,Massimiliano Di Pietro,Lisa M Coussens,Rebecca C Fitzgerald,Young Hwan Chang,Lizhe Zhuang

Cancer cell 40:424-437.e5 PubMed35303421

2022

Immune phenotypic linkage between colorectal cancer and liver metastasis.

Applications

Unspecified application

Species

Unspecified reactive species

Yedan Liu,Qiming Zhang,Baocai Xing,Nan Luo,Ranran Gao,Kezhuo Yu,Xueda Hu,Zhaode Bu,Jirun Peng,Xianwen Ren,Zemin Zhang

Cancer cell 39:1594-1609.e12 PubMed34767762

2021

Single-cell analysis of human non-small cell lung cancer lesions refines tumor classification and patient stratification.

Applications

Unspecified application

Species

Unspecified reactive species

Andrew M Leader,John A Grout,Barbara B Maier,Barzin Y Nabet,Matthew D Park,Alexandra Tabachnikova,Christie Chang,Laura Walker,Alona Lansky,Jessica Le Berichel,Leanna Troncoso,Nausicaa Malissen,Melanie Davila,Jerome C Martin,Giuliana Magri,Kevin Tuballes,Zhen Zhao,Francesca Petralia,Robert Samstein,Natalie Roy D'Amore,Gavin Thurston,Alice O Kamphorst,Andrea Wolf,Raja Flores,Pei Wang,Sören Müller,Ira Mellman,Mary Beth Beasley,Hélène Salmon,Adeeb H Rahman,Thomas U Marron,Ephraim Kenigsberg,Miriam Merad

Cell 182:886-900.e17 PubMed32783918

2020

TREM2 Modulation Remodels the Tumor Myeloid Landscape Enhancing Anti-PD-1 Immunotherapy.

Applications

Unspecified application

Species

Unspecified reactive species

Martina Molgora,Ekaterina Esaulova,William Vermi,Jinchao Hou,Yun Chen,Jingqin Luo,Simone Brioschi,Mattia Bugatti,Andrea Salvatore Omodei,Biancamaria Ricci,Catrina Fronick,Santosh K Panda,Yoshiko Takeuchi,Matthew M Gubin,Roberta Faccio,Marina Cella,Susan Gilfillan,Emil R Unanue,Maxim N Artyomov,Robert D Schreiber,Marco Colonna

Translational oncology 13:100790 PubMed32428851

2020

IGF1R Axis Inhibition Restores Dendritic Cell Antitumor Response in Ovarian Cancer.

Applications

Unspecified application

Species

Unspecified reactive species

Lina Somri-Gannam,Shilhav Meisel-Sharon,Shay Hantisteanu,Gabriel Groisman,Ofer Limonad,Mordechai Hallak,Ilan Bruchim

Cell reports 30:1027-1038.e4 PubMed31995747

2020

Human pDCs Are Superior to cDC2s in Attracting Cytolytic Lymphocytes in Melanoma Patients Receiving DC Vaccination.

Applications

Unspecified application

Species

Unspecified reactive species

Jasper J P van Beek,Georgina Flórez-Grau,Mark A J Gorris,Till S M Mathan,Gerty Schreibelt,Kalijn F Bol,Johannes Textor,I Jolanda M de Vries

Scientific data 6:323 PubMed31848351

2019

Highly multiplexed immunofluorescence images and single-cell data of immune markers in tonsil and lung cancer.

Applications

Unspecified application

Species

Unspecified reactive species

Rumana Rashid,Giorgio Gaglia,Yu-An Chen,Jia-Ren Lin,Ziming Du,Zoltan Maliga,Denis Schapiro,Clarence Yapp,Jeremy Muhlich,Artem Sokolov,Peter Sorger,Sandro Santagata

Nature immunology 20:1012-1022 PubMed31263276

2019

The macrophage tetraspan MS4A4A enhances dectin-1-dependent NK cell-mediated resistance to metastasis.

Applications

Unspecified application

Species

Unspecified reactive species

Irene Mattiola,Federica Tomay,Maria De Pizzol,Rita Silva-Gomes,Benedetta Savino,Tamara Gulic,Andrea Doni,Silvia Lonardi,Marie Astrid Boutet,Alessandra Nerviani,Roberta Carriero,Martina Molgora,Matteo Stravalaci,Diego Morone,Irina N Shalova,Yunquin Lee,Subhra K Biswas,Giovanna Mantovani,Marina Sironi,Costantino Pitzalis,William Vermi,Barbara Bottazzi,Alberto Mantovani,Massimo Locati
View all publications

Product promise

We are committed to supporting your work with high-quality reagents, and we're here for you every step of the way. In the unlikely event that one of our products does not perform as expected, you're protected by our Product Promise.
For full details, please see our Terms & Conditions

Associated Products

Select an associated product type
Alternative Product
Primary Antibodies

AB190305

Anti-CD1c antibody [L161]

primary-antibodies

cd1c-antibody-l161-ab190305

0

(0 reviews)

Alternative Product
Primary Antibodies

AB167419

Anti-CD1c antibody [EPR9638]

primary-antibodies

cd1c-antibody-epr9638-ab167419

0

(0 reviews)

Alternative Product
Primary Antibodies

AB18216

Anti-CD1c antibody [M241]

primary-antibodies

cd1c-antibody-m241-ab18216

0

(0 reviews)

Please note: All products are 'FOR RESEARCH USE ONLY. NOT FOR USE IN DIAGNOSTIC OR THERAPEUTIC PROCEDURES'.

For licensing inquiries, please contact partnerships@abcam.com