JavaScript is disabled in your browser. Please enable JavaScript to view this website.
AB314762

Anti-CD2 antibody [EPR27426-17] - BSA and Azide free

Be the first to review this product! Submit a review

|

(0 Publication)

Rabbit Recombinant Monoclonal CD2 antibody. Carrier free. Suitable for WB, IHC-P, ICC/IF, Flow Cyt and reacts with Human samples.

View Alternative Names

CD2, SRBC, T-cell surface antigen CD2, Erythrocyte receptor, LFA-2, LFA-3 receptor, Rosette receptor, T-cell surface antigen T11/Leu-5

10 Images
Flow Cytometry - Anti-CD2 antibody [EPR27426-17] - BSA and Azide free (AB314762)
  • Flow Cyt

Supplier Data

Flow Cytometry - Anti-CD2 antibody [EPR27426-17] - BSA and Azide free (AB314762)

This data was developed using ab314761, the same antibody clone in a different buffer formulation.

Flow cytometric analysis of Human PBMC (human peripheral blood mononuclear cell) cells labelling CD2 with ab314761 at 1/500 dilution (0.1 ug)/Right compared with a Rabbit monoclonal IgG (ab172730) / Left isotype control and an unlabelled control (cells without incubation with primary antibody and secondary antibody). Goat Anti-Rabbit IgG (Alexa Fluor® 488, ab150081) at 1/5000 dilution was used as the secondary antibody. Gated on viable cells. Cells are co-stained with CD19 conjugated to PE/Cy7.

Immunohistochemistry (Formalin/PFA-fixed paraffin-embedded sections) - Anti-CD2 antibody [EPR27426-17] - BSA and Azide free (AB314762)
  • IHC-P

Supplier Data

Immunohistochemistry (Formalin/PFA-fixed paraffin-embedded sections) - Anti-CD2 antibody [EPR27426-17] - BSA and Azide free (AB314762)

This data was developed using ab314761, the same antibody clone in a different buffer formulation.

Immunohistochemical analysis of paraffin-embedded Human skeletal muscle tissue labeling CD2 with ab314761 at 1/100 (5.2 ug/ml) followed by a ready to use Rabbit specific IHC polymer detection kit HRP/DAB (ab209101). Negative control : no staining on human skeletal muscle. The section was incubated with ab314761 for 30 mins at room temperature. The immunostaining was performed on a Leica Biosystems BOND® RX instrument. Counterstained with Hematoxylin.

Secondary antibody only control : Secondary antibody is a ready to use Rabbit specific IHC polymer detection kit HRP/DAB (ab209101).

Heat mediated antigen retrieval was performed with Tris-EDTA buffer (pH 9.0, Epitope Retrieval Solution2) for 20 mins.

Immunohistochemistry (Formalin/PFA-fixed paraffin-embedded sections) - Anti-CD2 antibody [EPR27426-17] - BSA and Azide free (AB314762)
  • IHC-P

Supplier Data

Immunohistochemistry (Formalin/PFA-fixed paraffin-embedded sections) - Anti-CD2 antibody [EPR27426-17] - BSA and Azide free (AB314762)

This data was developed using ab314761, the same antibody clone in a different buffer formulation.

Immunohistochemical analysis of paraffin-embedded Human spleen tissue labeling CD2 with ab314761 at 1/100 (5.2 ug/ml) followed by a ready to use Rabbit specific IHC polymer detection kit HRP/DAB (ab209101). Positive staining on human spleen. The section was incubated with ab314761 for 30 mins at room temperature. The immunostaining was performed on a Leica Biosystems BOND® RX instrument. Counterstained with Hematoxylin.

Secondary antibody only control : Secondary antibody is a ready to use Rabbit specific IHC polymer detection kit HRP/DAB (ab209101).

Heat mediated antigen retrieval was performed with Tris-EDTA buffer (pH 9.0, Epitope Retrieval Solution2) for 20 mins.

Immunocytochemistry/ Immunofluorescence - Anti-CD2 antibody [EPR27426-17] - BSA and Azide free (AB314762)
  • ICC/IF

Supplier Data

Immunocytochemistry/ Immunofluorescence - Anti-CD2 antibody [EPR27426-17] - BSA and Azide free (AB314762)

This data was developed using ab314761, the same antibody clone in a different buffer formulation.

Immunofluorescent analysis of 4% Paraformaldehyde-fixed, 0.1% Tween-20 permeabilized Jurkat (human T cell leukemia T lymphocyte from peripheral blood) cells labelling CD2 with ab314761 at 1/50 (10.4 ug/ml) dilution, followed by ab150081 Goat Anti-Rabbit IgG H&L (Alexa Fluor® 488) preadsorbed antibody at 1/1000 (2 ug/ml) dilution (Green). Confocal image showing membranous and cytoplasmic staining in Jurkat cell line. Negative control : Raji (PMID : 19494291). Image was taken with a confocal microscope(Leica-Microsystems, TCS SP8). ab195889 Anti-alpha Tubulin mouse monoclonal antibody - Microtubule Marker (Alexa Fluor® 594) was used to counterstain tubulin at 1/200 (2.5ug/ml) dilution (Red). The Nuclear counterstain was DAPI (Blue).

Secondary antibody only control : Secondary antibody is ab150081 Goat Anti-Rabbit IgG H&L (Alexa Fluor® 488) preadsorbed at 1/1000 (2 ug/ml) dilution.

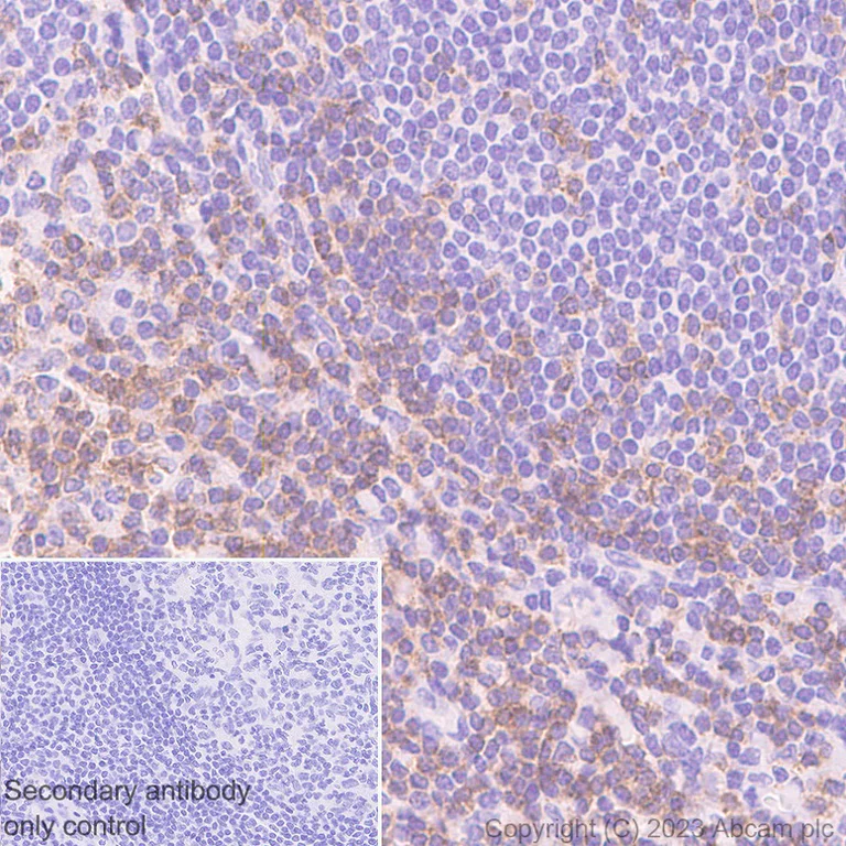
Immunohistochemistry (Formalin/PFA-fixed paraffin-embedded sections) - Anti-CD2 antibody [EPR27426-17] - BSA and Azide free (AB314762)
  • IHC-P

Supplier Data

Immunohistochemistry (Formalin/PFA-fixed paraffin-embedded sections) - Anti-CD2 antibody [EPR27426-17] - BSA and Azide free (AB314762)

This data was developed using ab314761, the same antibody clone in a different buffer formulation.

Immunohistochemical analysis of paraffin-embedded Human tonsil tissue labeling CD2 with ab314761 at 1/100 (5.2 ug/ml) followed by a ready to use Rabbit specific IHC polymer detection kit HRP/DAB (ab209101). Positive staining on human tonsil (PMID : 33446138; PMID : 2901356). The section was incubated with ab314761 for 30 mins at room temperature. The immunostaining was performed on a Leica Biosystems BOND® RX instrument. Counterstained with Hematoxylin.

Secondary antibody only control : Secondary antibody is a ready to use Rabbit specific IHC polymer detection kit HRP/DAB (ab209101).

Heat mediated antigen retrieval was performed with Tris-EDTA buffer (pH 9.0, Epitope Retrieval Solution2) for 20 mins.

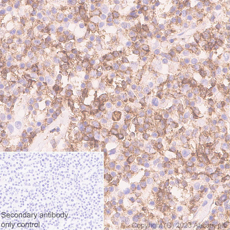
Immunohistochemistry (Formalin/PFA-fixed paraffin-embedded sections) - Anti-CD2 antibody [EPR27426-17] - BSA and Azide free (AB314762)
  • IHC-P

Supplier Data

Immunohistochemistry (Formalin/PFA-fixed paraffin-embedded sections) - Anti-CD2 antibody [EPR27426-17] - BSA and Azide free (AB314762)

This data was developed using ab314761, the same antibody clone in a different buffer formulation.

Immunohistochemical analysis of paraffin-embedded Human hodgkin's lymphoma tissue labeling CD2 with ab314761 at 1/100 (5.2 ug/ml) followed by a ready to use Rabbit specific IHC polymer detection kit HRP/DAB (ab209101). Positive staining on human hodgkin's lymphoma. The section was incubated with ab314761 for 30 mins at room temperature. The immunostaining was performed on a Leica Biosystems BOND® RX instrument. Counterstained with Hematoxylin.

Secondary antibody only control : Secondary antibody is a ready to use Rabbit specific IHC polymer detection kit HRP/DAB (ab209101).

Heat mediated antigen retrieval was performed with Tris-EDTA buffer (pH 9.0, Epitope Retrieval Solution2) for 20 mins.

Flow Cytometry - Anti-CD2 antibody [EPR27426-17] - BSA and Azide free (AB314762)
  • Flow Cyt

Supplier Data

Flow Cytometry - Anti-CD2 antibody [EPR27426-17] - BSA and Azide free (AB314762)

This data was developed using ab314761, the same antibody clone in a different buffer formulation.

Flow cytometric analysis of Raji (human Burkitt's lymphoma B lymphocyte, Left) / Jurkat (human T cell leukemia T lymphocyte from peripheral blood, Right) cells labelling CD2 with ab314761 at 1/500 dilution (0.1 ug)/Red compared with a Rabbit monoclonal IgG (ab172730) (Black) isotype control and an unlabelled control (cells without incubation with primary antibody and secondary antibody) (Blue). Goat Anti-Rabbit IgG (Alexa Fluor® 488, ab150081) at 1/5000 dilution was used as the secondary antibody. Negative control : Raji. Gated on viable cells.

Flow Cytometry - Anti-CD2 antibody [EPR27426-17] - BSA and Azide free (AB314762)
  • Flow Cyt

Supplier Data

Flow Cytometry - Anti-CD2 antibody [EPR27426-17] - BSA and Azide free (AB314762)

This data was developed using ab314761, the same antibody clone in a different buffer formulation.

Flow cytometric analysis of Human PBMC (human peripheral blood mononuclear cell) cells labelling CD2 with ab314761 at 1/500 dilution (0.1 ug)/Right compared with a Rabbit monoclonal IgG (ab172730) / Left isotype control and an unlabelled control (cells without incubation with primary antibody and secondary antibody). Goat Anti-Rabbit IgG (Alexa Fluor® 488, ab150081) at 1/5000 dilution was used as the secondary antibody. Gated on viable cells. Cells are co-stained with CD56 conjugated to Brilliant Violet 421.

Western blot - Anti-CD2 antibody [EPR27426-17] - BSA and Azide free (AB314762)
  • WB

Supplier Data

Western blot - Anti-CD2 antibody [EPR27426-17] - BSA and Azide free (AB314762)

This data was developed using ab314761, the same antibody clone in a different buffer formulation.

Blocking and diluting buffer and concentration : 5% NFDM/TBST.

Negative control : human skeletal muscle.

In Western blot, Anti-GAPDH antibody [EPR16891] - Loading Control (ab181602) staining at 1/200000 dilution.

All lanes:

Western blot - Anti-CD2 antibody [EPR27426-17] (<a href='/en-us/products/primary-antibodies/cd2-antibody-epr27426-17-ab314761'>ab314761</a>) at 1/1000 dilution

Lane 1:

Human tonsil tissue lysate at 20 µg

Lane 2:

Human thymus tissue lysate at 20 µg

Lane 3:

Human lymph node tissue lysate at 20 µg

Lane 4:

Human skeletal muscle tissue lysate at 20 µg

Secondary

All lanes:

Goat Anti-Rabbit IgG (HRP) with minimal cross-reactivity with human IgG at 1/2000 dilution

Observed band size: 35-60 kDa,36 kDa

false

Exposure time: 48s

Western blot - Anti-CD2 antibody [EPR27426-17] - BSA and Azide free (AB314762)
  • WB

Supplier Data

Western blot - Anti-CD2 antibody [EPR27426-17] - BSA and Azide free (AB314762)

This data was developed using ab314761, the same antibody clone in a different buffer formulation.

Blocking and diluting buffer and concentration : 5% NFDM/TBST.

Negative control : Raji (PMID : 32808354), K-562 (PMID : 32808354), HeLa.

In Western blot, Anti-Histone H3 antibody [EPR16987] - Nuclear Marker and ChIP Grade (ab176842) staining at 1/100000 dilution.

All lanes:

Western blot - Anti-CD2 antibody [EPR27426-17] (<a href='/en-us/products/primary-antibodies/cd2-antibody-epr27426-17-ab314761'>ab314761</a>) at 1/1000 dilution

Lane 1:

Jurkat (human T cell leukemia T lymphocyte from peripheral blood) whole cell lysate at 20 µg

Lane 2:

Raji (human Burkitt's lymphoma B lymphocyte) whole cell lysate at 20 µg

Lane 3:

MOLT-4 (human lymphoblastic leukemia T lymphoblast) whole cell lysate at 20 µg

Lane 4:

No-GFP-CD16. NK-92 (CD16 ectopically expressed natural killer(NK-92®) cell with no GFP tag) whole cell lysate at 20 µg

Lane 5:

HeLa (human cervical adenocarcinoma epithelial cell) whole cell lysate at 20 µg

Lane 6:

K-562 (human chronic myelogenous leukemia lymphoblast) whole cell lysate at 20 µg

Secondary

All lanes:

Western blot - Goat Anti-Rabbit IgG H&L (HRP) (<a href='/en-us/products/secondary-antibodies/goat-rabbit-igg-h-l-hrp-ab97051'>ab97051</a>) at 1/20000 dilution

Observed band size: 35-60 kDa,15 kDa

false

Exposure time: 48s

Key facts

Host species

Rabbit

Clonality

Monoclonal

Clone number

EPR27426-17

Isotype

IgG

Carrier free

Yes

Reacts with

Human

Applications

ICC/IF, IHC-P, WB, Flow Cyt

applications

Immunogen

The exact immunogen used to generate this antibody is proprietary information.

Reactivity data

{ "title": "Reactivity Data", "filters": { "stats": ["", "Species", "Dilution Info", "Notes"], "tabs": { "all-applications": {"fullname" : "All Applications", "shortname": "All Applications"}, "WB" : {"fullname" : "Western blot", "shortname":"WB"}, "IHCP" : {"fullname" : "Immunohistochemistry (Formalin/PFA-fixed paraffin-embedded sections)", "shortname":"IHC-P"}, "ICCIF" : {"fullname" : "Immunocytochemistry/ Immunofluorescence", "shortname":"ICC/IF"}, "FlowCyt" : {"fullname" : "Flow Cytometry", "shortname":"Flow Cyt"}, "IP" : {"fullname" : "Immunoprecipitation", "shortname":"IP"} }, "product-promise": { "all": "all", "testedAndGuaranteed": "tested", "guaranteed": "expected", "predicted": "predicted", "notRecommended": "not-recommended" } }, "values": { "Human": { "WB-species-checked": "testedAndGuaranteed", "WB-species-dilution-info": "", "WB-species-notes": "<p></p>", "IHCP-species-checked": "testedAndGuaranteed", "IHCP-species-dilution-info": "", "IHCP-species-notes": "<p></p>", "ICCIF-species-checked": "testedAndGuaranteed", "ICCIF-species-dilution-info": "", "ICCIF-species-notes": "<p></p>", "FlowCyt-species-checked": "testedAndGuaranteed", "FlowCyt-species-dilution-info": "", "FlowCyt-species-notes": "<p></p>", "IP-species-checked": "notRecommended", "IP-species-dilution-info": "", "IP-species-notes": "<p></p>" }, "Mouse": { "WB-species-checked": "notRecommended", "WB-species-dilution-info": "", "WB-species-notes": "<p></p>", "IHCP-species-checked": "notRecommended", "IHCP-species-dilution-info": "", "IHCP-species-notes": "<p></p>", "ICCIF-species-checked": "notRecommended", "ICCIF-species-dilution-info": "", "ICCIF-species-notes": "", "FlowCyt-species-checked": "notRecommended", "FlowCyt-species-dilution-info": "", "FlowCyt-species-notes": "", "IP-species-checked": "notRecommended", "IP-species-dilution-info": "", "IP-species-notes": "" }, "Rat": { "WB-species-checked": "notRecommended", "WB-species-dilution-info": "", "WB-species-notes": "<p></p>", "IHCP-species-checked": "notRecommended", "IHCP-species-dilution-info": "", "IHCP-species-notes": "<p></p>", "ICCIF-species-checked": "notRecommended", "ICCIF-species-dilution-info": "", "ICCIF-species-notes": "", "FlowCyt-species-checked": "notRecommended", "FlowCyt-species-dilution-info": "", "FlowCyt-species-notes": "", "IP-species-checked": "notRecommended", "IP-species-dilution-info": "", "IP-species-notes": "" } } }

Product details

ab314762 is the carrier-free version of ab314761.

Patented technology
Our RabMAb® technology is a patented hybridoma-based technology for making rabbit monoclonal antibodies. For details on our patents, please refer to RabMAb® patents.

What are the advantages of a recombinant monoclonal antibody?
This product is a recombinant monoclonal antibody, which offers several advantages including:

  • - High batch-to-batch consistency and reproducibility
  • - Improved sensitivity and specificity
  • - Long-term security of supply
  • - Animal-free batch production

For more information, read more on recombinant antibodies.

Conjugation ready
Our carrier-free antibodies are typically supplied in a PBS-only formulation, purified and free of BSA, sodium azide and glycerol. This conjugation-ready format is designed for use with fluorochromes, metal isotopes, oligonucleotides, and enzymes, which makes them ideal for antibody labelling, functional and cell-based assays, flow-based assays (e.g. mass cytometry) and Multiplex Imaging applications.

Use our conjugation kits for antibody conjugates that are ready-to-use in as little as 20 minutes with 1 minute hands-on-time and 100% antibody recovery: available for fluorescent dyes, HRP, biotin and gold.

Compatibility
This product is compatible with the Maxpar® Antibody Labeling Kit from Fluidigm, without the need for antibody preparation. Maxpar® is a trademark of Fluidigm Canada Inc.

Properties and storage information

Form
Liquid
Purification technique
Affinity purification Protein A
Storage buffer
pH: 7.2 - 7.4 Constituents: PBS
Shipped at conditions
Blue Ice
Appropriate short-term storage conditions
+4°C
Appropriate long-term storage conditions
+4°C

Supplementary information

This supplementary information is collated from multiple sources and compiled automatically.

CD2 also known as T11 or LFA-2 acts as a cell surface glycoprotein expressed mainly on T-cells natural killer cells and thymocytes. This protein has a molecular mass of approximately 50-55 kDa. CD2 plays a critical role in facilitating cell-cell adhesion and signal transduction. It serves as a receptor for the CD58 ligand on antigen-presenting cells supporting the interaction between T-cells and these cells. By enhancing adhesion CD2 contributes to the formation of the immunological synapse necessary for effective immune response.
Biological function summary

The functioning of CD2 helps in the modulation of immune responses and T-cell activation. CD2 participates in signal transduction leading to cytokine production and proliferation. It is associated with the immunological synapse complex working closely with other surface molecules like Lck and CD3 to promote T-cell responses. This collaboration is vital for the development and function of immune cells driving adaptive immunity.

Pathways

CD2 engages in pathways integral to T-cell activation and signal transduction. A well-known pathway involving CD2 is the TCR (T-cell Receptor) signaling pathway where it partners with CD3 to initiate T-cell activation. Additionally CD2 influences the LAT (Linker for Activation of T-cells) pathway contributing to downstream signaling cascades that involve various signaling proteins such as Lck and ZAP-70 ensuring proper T-cell function.

CD2 shows connections to autoimmune diseases and cancers. For instance its involvement in abnormal T-cell activation links CD2 to autoimmune conditions like rheumatoid arthritis. Also various leukemias demonstrate altered CD2 expression suggesting a role in cancer pathogenesis. Through these disease states CD2's interaction with the CD58 protein becomes critical as this interaction affects the activity of T-cells in the disease milieu influencing disease progression and treatment outcomes.

Product protocols

For this product, it's our understanding that no specific protocols are required. You can visit:

Target data

CD2 interacts with lymphocyte function-associated antigen CD58 (LFA-3) and CD48/BCM1 to mediate adhesion between T-cells and other cell types. CD2 is implicated in the triggering of T-cells, the cytoplasmic domain is implicated in the signaling function.
See full target information CD2

Product promise

We are committed to supporting your work with high-quality reagents, and we're here for you every step of the way. In the unlikely event that one of our products does not perform as expected, you're protected by our Product Promise.
For full details, please see our Terms & Conditions

Please note: All products are 'FOR RESEARCH USE ONLY. NOT FOR USE IN DIAGNOSTIC OR THERAPEUTIC PROCEDURES'.

For licensing inquiries, please contact partnerships@abcam.com