JavaScript is disabled in your browser. Please enable JavaScript to view this website.
AB131276

Anti-CD2 antibody [EPR6451]

  • BOND RX™ Validated
  • 20ul selling size
  • RabMAb
  • Recombinant
  • What is this?

Be the first to review this product! Submit a review

|

(3 Publications)

Rabbit Recombinant Monoclonal CD2 antibody. Suitable for IHC-P, IP, WB, Flow Cyt (Intra) and reacts with Human samples. Cited in 3 publications.

View Alternative Names

CD2, SRBC, T-cell surface antigen CD2, Erythrocyte receptor, LFA-2, LFA-3 receptor, Rosette receptor, T-cell surface antigen T11/Leu-5

8 Images
Flow Cytometry (Intracellular) - Anti-CD2 antibody [EPR6451] (AB131276)
  • Flow Cyt (Intra)

Lab

Flow Cytometry (Intracellular) - Anti-CD2 antibody [EPR6451] (AB131276)

Flow cytometry staining of human peripheral blood mononuclear cells (PBMCs) with ab131276 (right) or Recombinant Rabbit IgG, monoclonal [EPR25A] - Isotype Control (left). Cells were fixed and permeabilised with BD Cytofix/Cytoperm™ for 20 min. PBMCs were incubated for 30 mins on ice in 1x PBS containing 10 µg/ml human IgG and 10 % normal goat serum to block FC receptors and non-specific protein-protein interaction followed by the antibody ab131276 or Recombinant Rabbit IgG, monoclonal [EPR25A] - Isotype Control (1x 106 in 100 µl at 0.04 μg/ml (1/12,500 dilution)) for 30 mins at 22°C . The cells were simultaneously stained with CD3.

The secondary antibody Goat Anti-Rabbit IgG H&L (Alexa Fluor® 488) preadsorbed was incubated at 1/4000 dilutionfor 30 mins at 22°C

Acquisition of >30000 events were collected using a 50 mW Blue laser (488nm) and 525/40 bandpass filter. Events were gated on CD3+.

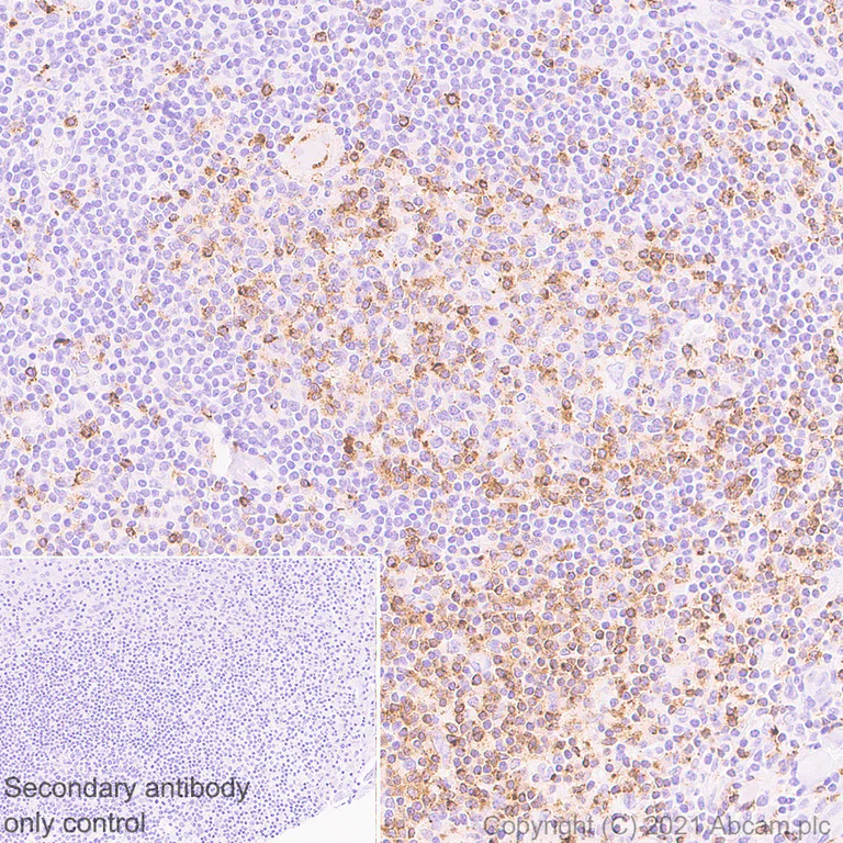
Immunohistochemistry (Formalin/PFA-fixed paraffin-embedded sections) - Anti-CD2 antibody [EPR6451] (AB131276)
  • IHC-P

Lab

Immunohistochemistry (Formalin/PFA-fixed paraffin-embedded sections) - Anti-CD2 antibody [EPR6451] (AB131276)

Immunohistochemical analysis of Paraffin-embedded sections Human tonsil tissue labelling CD2 with ab131276 at 1/1000 dilution, followed by a ready to use secondary Rabbit specific IHC polymer detection kit HRP/DAB (ab209101). Staining on Human tonsil tissue is observed. Counter stained with Haematoxylin. Secondary antibody only control : Used PBS instead of primary antibody, secondary antibody is ready to use Rabbit specific IHC polymer detection kit HRP/DAB (ab209101). Heat mediated antigen retrieval using Bond™ Epitope Retrieval Solution 2 (pH 9.0). The immunostaining was performed on a Leica Biosystems BOND® RX instrument.

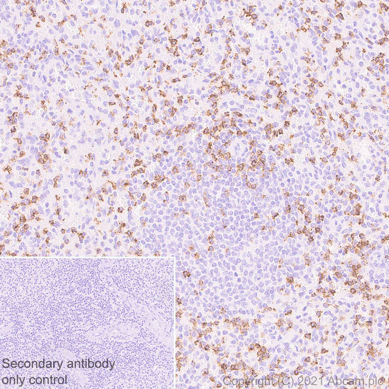
Immunohistochemistry (Formalin/PFA-fixed paraffin-embedded sections) - Anti-CD2 antibody [EPR6451] (AB131276)
  • IHC-P

Lab

Immunohistochemistry (Formalin/PFA-fixed paraffin-embedded sections) - Anti-CD2 antibody [EPR6451] (AB131276)

Immunohistochemical analysis of Paraffin-embedded sections Human spleen tissue labelling CD2 with ab131276 at 1/1000 dilution, followed by a ready to use secondary Rabbit specific IHC polymer detection kit HRP/DAB (ab209101). Staining on Human spleen tissue is observed. Counter stained with Haematoxylin. Secondary antibody only control : Used PBS instead of primary antibody, secondary antibody is ready to use Rabbit specific IHC polymer detection kit HRP/DAB (ab209101). Heat mediated antigen retrieval using Bond™ Epitope Retrieval Solution 2 (pH 9.0). The immunostaining was performed on a Leica Biosystems BOND® RX instrument.

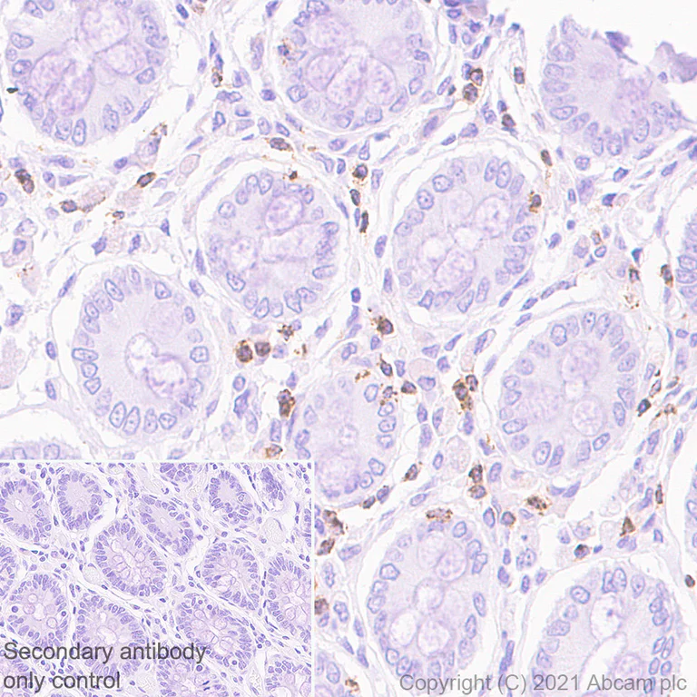
Immunohistochemistry (Formalin/PFA-fixed paraffin-embedded sections) - Anti-CD2 antibody [EPR6451] (AB131276)
  • IHC-P

Lab

Immunohistochemistry (Formalin/PFA-fixed paraffin-embedded sections) - Anti-CD2 antibody [EPR6451] (AB131276)

Immunohistochemical analysis of Paraffin-embedded sections Human colon tissue labelling CD2 with ab131276 at 1/1000 dilution, followed by a ready to use secondary Rabbit specific IHC polymer detection kit HRP/DAB (ab209101). Staining on Human colon tissue is observed. Counter stained with Haematoxylin. Secondary antibody only control : Used PBS instead of primary antibody, secondary antibody is ready to use Rabbit specific IHC polymer detection kit HRP/DAB (ab209101). Heat mediated antigen retrieval using Bond™ Epitope Retrieval Solution 2 (pH 9.0). The immunostaining was performed on a Leica Biosystems BOND® RX instrument.

Flow Cytometry (Intracellular) - Anti-CD2 antibody [EPR6451] (AB131276)
  • Flow Cyt (Intra)

Lab

Flow Cytometry (Intracellular) - Anti-CD2 antibody [EPR6451] (AB131276)

Intracellular Flow Cytometry analysis of Jurkat (Human T cell leukemia T lymphocyte) cells labeling CD2 with purified ab131276 at 1 : 20 dilution (10 μg/ml) (Red). Cells were fixed with 4% Paraformaldehyde and permeabilised with 90% Methanol. A Goat anti rabbit IgG (Alexa Fluor® 488, ab150081) (1/2000 dilution) was used as the secondary antibody. Rabbit monoclonal IgG (Black) was used as a isotype control. Cell without incubation with primary antibody and secondary antibody (Blue) were used as unlabeled control.

Western blot - Anti-CD2 antibody [EPR6451] (AB131276)
  • WB

Lab

Western blot - Anti-CD2 antibody [EPR6451] (AB131276)

Blocking and diluting buffer and concentration : 5% NFDM/TBST. The molecular weight observed is consistent with what has been described in the literature (PMID : 10510361).

All lanes:

Western blot - Anti-CD2 antibody [EPR6451] (ab131276) at 1/1000 dilution

All lanes:

Jurkat (Human T cell leukemia T lymphocyte) whole cell lysate at 15 µg

Secondary

All lanes:

Western blot - Goat Anti-Rabbit IgG H&L (HRP) (<a href='/en-us/products/secondary-antibodies/goat-rabbit-igg-h-l-hrp-ab97051'>ab97051</a>) at 1/20000 dilution

Predicted band size: 29 kDa

false

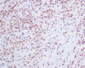
Immunohistochemistry (Formalin/PFA-fixed paraffin-embedded sections) - Anti-CD2 antibody [EPR6451] (AB131276)
  • IHC-P

Unknown

Immunohistochemistry (Formalin/PFA-fixed paraffin-embedded sections) - Anti-CD2 antibody [EPR6451] (AB131276)

ab131276 showing positive staining in Hodgkin's lymphoma tissue.

Perform heat mediated antigen retrieval with citrate buffer pH 6 before commencing with IHC staining protocol.

Immunoprecipitation - Anti-CD2 antibody [EPR6451] (AB131276)
  • IP

Lab

Immunoprecipitation - Anti-CD2 antibody [EPR6451] (AB131276)

CD2 was immunoprecipitated from 0.35 mg Jurkat (Human T cell leukemia T lymphocyte) whole cell lysate 10 μg with 131276 at 1/50 dilution (2μg). VeriBlot for IP Detection Reagent (HRP)(ab131366) was used at 1/5000 dilution.

Lane 1 : Jurkat (Human T cell leukemia T lymphocyte) whole cell lysate 10 μg

Lane 2 : ab131276 IP in Jurkat whole cell lysate

Lane 3 : Rabbit monoclonal IgG (ab172730) instead of ab131276 in Jurkat whole cell lysate

Blocking and dilution buffer and concentration : 5% NFDM/TBST.

All lanes:

Immunoprecipitation - Anti-CD2 antibody [EPR6451] (ab131276)

Predicted band size: 39 kDa

Observed band size: 50 kDa

false

Key facts

Host species

Rabbit

Clonality

Monoclonal

Clone number

EPR6451

Isotype

IgG

Carrier free

No

Reacts with

Human

Applications

WB, Flow Cyt (Intra), IP, IHC-P

applications

Immunogen

The exact immunogen used to generate this antibody is proprietary information.

Reactivity data

{ "title": "Reactivity Data", "filters": { "stats": ["", "Species", "Dilution Info", "Notes"], "tabs": { "all-applications": {"fullname" : "All Applications", "shortname": "All Applications"}, "IHCP" : {"fullname" : "Immunohistochemistry (Formalin/PFA-fixed paraffin-embedded sections)", "shortname":"IHC-P"}, "IP" : {"fullname" : "Immunoprecipitation", "shortname":"IP"}, "WB" : {"fullname" : "Western blot", "shortname":"WB"}, "FlowCytIntra" : {"fullname" : "Flow Cytometry (Intracellular)", "shortname":"Flow Cyt (Intra)"} }, "product-promise": { "all": "all", "testedAndGuaranteed": "tested", "guaranteed": "expected", "predicted": "predicted", "notRecommended": "not-recommended" } }, "values": { "Human": { "IHCP-species-checked": "testedAndGuaranteed", "IHCP-species-dilution-info": "1/250 - 1/500", "IHCP-species-notes": "<p></p> Perform heat-mediated antigen retrieval with citrate buffer pH 6 before commencing with IHC staining protocol.", "IP-species-checked": "testedAndGuaranteed", "IP-species-dilution-info": "1/10 - 1/100", "IP-species-notes": "<p></p>", "WB-species-checked": "testedAndGuaranteed", "WB-species-dilution-info": "1/1000 - 1/10000", "WB-species-notes": "<p></p>", "FlowCytIntra-species-checked": "testedAndGuaranteed", "FlowCytIntra-species-dilution-info": "1/2500", "FlowCytIntra-species-notes": "<p></p>" } } }

Product details

Species reactivity
Mouse, Rat: We have preliminary internal testing data to indicate this antibody may not react with these species.
Please contact us for more information.

Patented technology
Our RabMAb® technology is a patented hybridoma-based technology for making rabbit monoclonal antibodies. For details on our patents, please refer to RabMAb® patents.

What are the advantages of a recombinant monoclonal antibody?
This product is a recombinant monoclonal antibody, which offers several advantages including:

  • - High batch-to-batch consistency and reproducibility
  • - Improved sensitivity and specificity
  • - Long-term security of supply
  • - Animal-free batch production

For more information, read more on recombinant antibodies.

Properties and storage information

Form
Liquid
Purification technique
Affinity purification Protein A
Storage buffer
pH: 7.2 - 7.4 Preservative: 0.01% Sodium azide Constituents: PBS, 40% Glycerol (glycerin, glycerine), 0.05% BSA
Shipped at conditions
Blue Ice
Appropriate short-term storage duration
1-2 weeks
Appropriate short-term storage conditions
+4°C
Appropriate long-term storage conditions
-20°C
Aliquoting information
Upon delivery aliquot
Storage information
Stable for 12 months at -20°C

Supplementary information

This supplementary information is collated from multiple sources and compiled automatically.

CD2 also known as T11 or LFA-2 acts as a cell surface glycoprotein expressed mainly on T-cells natural killer cells and thymocytes. This protein has a molecular mass of approximately 50-55 kDa. CD2 plays a critical role in facilitating cell-cell adhesion and signal transduction. It serves as a receptor for the CD58 ligand on antigen-presenting cells supporting the interaction between T-cells and these cells. By enhancing adhesion CD2 contributes to the formation of the immunological synapse necessary for effective immune response.
Biological function summary

The functioning of CD2 helps in the modulation of immune responses and T-cell activation. CD2 participates in signal transduction leading to cytokine production and proliferation. It is associated with the immunological synapse complex working closely with other surface molecules like Lck and CD3 to promote T-cell responses. This collaboration is vital for the development and function of immune cells driving adaptive immunity.

Pathways

CD2 engages in pathways integral to T-cell activation and signal transduction. A well-known pathway involving CD2 is the TCR (T-cell Receptor) signaling pathway where it partners with CD3 to initiate T-cell activation. Additionally CD2 influences the LAT (Linker for Activation of T-cells) pathway contributing to downstream signaling cascades that involve various signaling proteins such as Lck and ZAP-70 ensuring proper T-cell function.

CD2 shows connections to autoimmune diseases and cancers. For instance its involvement in abnormal T-cell activation links CD2 to autoimmune conditions like rheumatoid arthritis. Also various leukemias demonstrate altered CD2 expression suggesting a role in cancer pathogenesis. Through these disease states CD2's interaction with the CD58 protein becomes critical as this interaction affects the activity of T-cells in the disease milieu influencing disease progression and treatment outcomes.

Product protocols

For this product, it's our understanding that no specific protocols are required. You can visit:

Target data

CD2 interacts with lymphocyte function-associated antigen CD58 (LFA-3) and CD48/BCM1 to mediate adhesion between T-cells and other cell types. CD2 is implicated in the triggering of T-cells, the cytoplasmic domain is implicated in the signaling function.
See full target information CD2

Publications (3)

Recent publications for all applications. Explore the full list and refine your search

European journal of haematology 109:513-518 PubMed35871391

2022

Loss of LEF-1 expression as a diagnostic indicator for extranodal NK/T-cell lymphoma: An immunohistochemical study of 88 cases.

Applications

Unspecified application

Species

Unspecified reactive species

Cen Qiu,Guangye Du

Breast cancer research : BCR 21:46 PubMed30922380

2019

Genomic signature of parity in the breast of premenopausal women.

Applications

Unspecified application

Species

Unspecified reactive species

Julia Santucci-Pereira,Anne Zeleniuch-Jacquotte,Yelena Afanasyeva,Hua Zhong,Michael Slifker,Suraj Peri,Eric A Ross,Ricardo López de Cicco,Yubo Zhai,Theresa Nguyen,Fathima Sheriff,Irma H Russo,Yanrong Su,Alan A Arslan,Pal Bordas,Per Lenner,Janet Åhman,Anna Stina Landström Eriksson,Robert Johansson,Göran Hallmans,Paolo Toniolo,Jose Russo

Journal of gastroenterology 52:39-49 PubMed27032393

2016

SCHLAFEN 5 expression correlates with intestinal metaplasia that progresses to gastric cancer.

Applications

Unspecified application

Species

Unspecified reactive species

Osmel Companioni Nápoles,Amy C Tsao,José Miguel Sanz-Anquela,Núria Sala,Catalina Bonet,María Luisa Pardo,Lin Ding,Ornella Simo,Milena Saqui-Salces,Verónica Parra Blanco,Carlos A Gonzalez,Juanita L Merchant
View all publications

Product promise

We are committed to supporting your work with high-quality reagents, and we're here for you every step of the way. In the unlikely event that one of our products does not perform as expected, you're protected by our Product Promise.
For full details, please see our Terms & Conditions

Associated Products

Select an associated product type
Alternative Product
Primary Antibodies

AB212988

Anti-CD2 antibody [1E7E8.G4] - BSA and Azide free

primary-antibodies

cd2-antibody-1e7e8g4-bsa-and-azide-free-ab212988

0

(0 reviews)

Alternative Product
Primary Antibodies

AB212989

Anti-CD2 antibody [UMCD2] - BSA and Azide free

primary-antibodies

cd2-antibody-umcd2-bsa-and-azide-free-ab212989

0

(0 reviews)

Alternative Product
Primary Antibodies

AB269319

PE Anti-CD2 antibody [TS1/8]

primary-antibodies

pe-cd2-antibody-ts1-8-ab269319

0

(0 reviews)

Alternative Product
Primary Antibodies

AB21901

Biotin Anti-CD2 antibody [MEM-65]

primary-antibodies

biotin-cd2-antibody-mem-65-ab21901

0

(0 reviews)

Alternative Product
Primary Antibodies

AB77138

PE Anti-CD2 antibody [LT2]

primary-antibodies

pe-cd2-antibody-lt2-ab77138

0

(0 reviews)

Alternative Product
Primary Antibodies

AB200593

APC/Cy7® Anti-CD2 antibody [TS18]

primary-antibodies

apc-cy7-cd2-antibody-ts18-ab200593

0

(0 reviews)

Alternative Product
Primary Antibodies

AB52003

APC Anti-CD2 antibody [T6.3]

primary-antibodies

apc-cd2-antibody-t63-ab52003

0

(0 reviews)

Alternative Product
Primary Antibodies

AB269317

FITC Anti-CD2 antibody [LT2]

primary-antibodies

fitc-cd2-antibody-lt2-ab269317

0

(0 reviews)

Alternative Product
Primary Antibodies

AB95556

PE/Cy5® Anti-CD2 antibody [RPA-2.10]

primary-antibodies

pe-cy5-cd2-antibody-rpa-210-ab95556

0

(0 reviews)

Alternative Product
Primary Antibodies

AB244591

Anti-CD2 antibody [OX34] - BSA and Azide free

primary-antibodies

cd2-antibody-ox34-bsa-and-azide-free-ab244591

0

(0 reviews)

Alternative Product
Primary Antibodies

AB227698

Anti-CD2 antibody [SP304]

primary-antibodies

cd2-antibody-sp304-ab227698

0

(0 reviews)

Alternative Product
Primary Antibodies

AB243837

Anti-CD2 antibody [OX34]

primary-antibodies

cd2-antibody-ox34-ab243837

0

(0 reviews)

Alternative Product
Primary Antibodies

AB256294

Alexa Fluor® 488 Anti-CD2 antibody [OX34]

primary-antibodies

alexa-fluor-488-cd2-antibody-ox34-ab256294

0

(0 reviews)

Alternative Product
Primary Antibodies

AB256295

Alexa Fluor® 647 Anti-CD2 antibody [OX34]

primary-antibodies

alexa-fluor-647-cd2-antibody-ox34-ab256295

0

(0 reviews)

Alternative Product
Primary Antibodies

AB256307

APC Anti-CD2 antibody [OX34]

primary-antibodies

apc-cd2-antibody-ox34-ab256307

0

(0 reviews)

Please note: All products are 'FOR RESEARCH USE ONLY. NOT FOR USE IN DIAGNOSTIC OR THERAPEUTIC PROCEDURES'.

For licensing inquiries, please contact partnerships@abcam.com