JavaScript is disabled in your browser. Please enable JavaScript to view this website.
AB244591

Anti-CD2 antibody [OX34] - BSA and Azide free

Be the first to review this product! Submit a review

|

(1 Publication)

Mouse Recombinant Monoclonal CD2 antibody. Carrier free. Suitable for Flow Cyt, IHC-P, IHC-Fr and reacts with Rat samples. Cited in 1 publication.

View Alternative Names

CD2, SRBC, T-cell surface antigen CD2, Erythrocyte receptor, LFA-2, LFA-3 receptor, Rosette receptor, T-cell surface antigen T11/Leu-5

3 Images
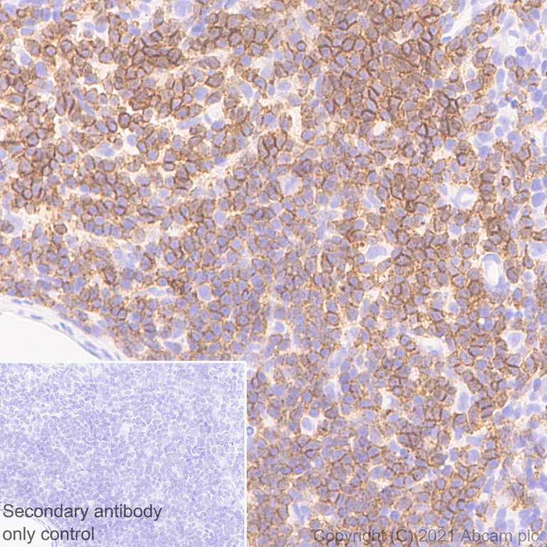
Immunohistochemistry (Formalin/PFA-fixed paraffin-embedded sections) - Anti-CD2 antibody [OX34] - BSA and Azide free (AB244591)
  • IHC-P

Lab

Immunohistochemistry (Formalin/PFA-fixed paraffin-embedded sections) - Anti-CD2 antibody [OX34] - BSA and Azide free (AB244591)

This data was developed using the same antibody clone in a different buffer formulation containing PBS and sodium azide (ab243837).

Immunohistochemical analysis of paraffin-embedded Rat spleen tissue labeling CD2 with ab243837 at 1/1000 (1.043 ug/ml) dilution, followed by a ready to use LeicaDS9800 (Bond™ Polymer Refine Detection). Counterstained with Hematoxylin.

Positive staining in rat spleen.

The section was incubated with ab243837 for 30 mins at room temperature, followed by anti-mouse IgG1 antibody (ab125913) for 8 mins during the LeicaDS9800 kit staining procedure.

Secondary antibody only control : Secondary antibody is a ready to use LeicaDS9800 (Bond™ Polymer Refine Detection).

Heat mediated antigen retrieval with Citrate buffer (pH 6.0, epitope retrieval solution 1) for 20 mins

Flow Cytometry - Anti-CD2 antibody [OX34] - BSA and Azide free (AB244591)
  • Flow Cyt

Lab

Flow Cytometry - Anti-CD2 antibody [OX34] - BSA and Azide free (AB244591)

This data was developed using the same antibody clone in a different buffer formulation containing PBS and sodium azide (ab243837).

Flow cytometric analysis of Rat splenocytes cells labelling CD2 with ab243837 at 1/1000 dilution (0.1 ug)/Right compared with a Mouse monoclonal IgG / Left isotype control.

Goat anti mouse IgG (Alexa Fluor® 488, ab150113) was used as a secondary antibody at 1/2000 dilution. Gated on viable cell.

Immunohistochemistry (Frozen sections) - Anti-CD2 antibody [OX34] - BSA and Azide free (AB244591)
  • IHC-Fr

Lab

Immunohistochemistry (Frozen sections) - Anti-CD2 antibody [OX34] - BSA and Azide free (AB244591)

This data was developed using the same antibody clone in a different buffer formulation containing PBS and sodium azide (ab243837).

Immunohistochemical analysis of 4% PFA-fixed, 0.2% Triton X-100 permeabilized frozen Rat spleen (fresh) tissue labeling CD2 with ab243837 at 1/100 (10.43 ug/ml) dilution followed by ab150113 Goat Anti-Mouse IgG H&L (Alexa Fluor® 488) at 1/1000 (2 ug/mL) dilution (Green).

Confocal image showing positive staining on rat spleen. The nuclear counterstain was DAPI (Blue).

Secondary antibody control : Secondary antibody is ab150113 Goat Anti-Mouse IgG H&L (Alexa Fluor® 488) at 1/1000 (2 ug/mL) dilution

Key facts

Host species

Mouse

Clonality

Monoclonal

Clone number

OX34

Isotype

IgG1

Light chain type

kappa

Carrier free

Yes

Reacts with

Rat

Applications

Flow Cyt, IHC-Fr, IHC-P

applications

Immunogen

The exact immunogen used to generate this antibody is proprietary information.

Reactivity data

{ "title": "Reactivity Data", "filters": { "stats": ["", "Species", "Dilution Info", "Notes"], "tabs": { "all-applications": {"fullname" : "All Applications", "shortname": "All Applications"}, "FlowCyt" : {"fullname" : "Flow Cytometry", "shortname":"Flow Cyt"}, "IHCP" : {"fullname" : "Immunohistochemistry (Formalin/PFA-fixed paraffin-embedded sections)", "shortname":"IHC-P"}, "IHCFr" : {"fullname" : "Immunohistochemistry (Frozen sections)", "shortname":"IHC-Fr"} }, "product-promise": { "all": "all", "testedAndGuaranteed": "tested", "guaranteed": "expected", "predicted": "predicted", "notRecommended": "not-recommended" } }, "values": { "Rat": { "FlowCyt-species-checked": "testedAndGuaranteed", "FlowCyt-species-dilution-info": "", "FlowCyt-species-notes": "<p></p>", "IHCP-species-checked": "testedAndGuaranteed", "IHCP-species-dilution-info": "", "IHCP-species-notes": "<p></p> Perform heat-mediated antigen retrieval with citrate buffer pH 6 before commencing with IHC staining protocol.", "IHCFr-species-checked": "testedAndGuaranteed", "IHCFr-species-dilution-info": "", "IHCFr-species-notes": "<p></p>" } } }

Product details

This product has switched from a hybridoma to recombinant production method on 07 March 2024.

Want a custom formulation?
This antibody clone is manufactured by Abcam. If you require a custom buffer formulation or conjugation for your experiments, please contact orders@abcam.com

What are the advantages of a recombinant monoclonal antibody?
This product is a recombinant monoclonal antibody, which offers several advantages including:

  • - High batch-to-batch consistency and reproducibility
  • - Improved sensitivity and specificity
  • - Long-term security of supply
  • - Animal-free batch production

For more information, read more on recombinant antibodies.

Conjugation ready
Our carrier-free antibodies are typically supplied in a PBS-only formulation, purified and free of BSA, sodium azide and glycerol. This conjugation-ready format is designed for use with fluorochromes, metal isotopes, oligonucleotides, and enzymes, which makes them ideal for antibody labelling, functional and cell-based assays, flow-based assays (e.g. mass cytometry) and Multiplex Imaging applications.

Use our conjugation kits for antibody conjugates that are ready-to-use in as little as 20 minutes with 1 minute hands-on-time and 100% antibody recovery: available for fluorescent dyes, HRP, biotin and gold.

Properties and storage information

Form
Liquid
Purification technique
Affinity purification Protein A
Storage buffer
pH: 7.2 - 7.4 Constituents: PBS
Shipped at conditions
Blue Ice
Appropriate short-term storage duration
1-2 weeks
Appropriate short-term storage conditions
+4°C
Appropriate long-term storage conditions
+4°C
Aliquoting information
Upon delivery aliquot
Storage information
Do Not Freeze

Supplementary information

This supplementary information is collated from multiple sources and compiled automatically.

CD2 also known as T11 or LFA-2 acts as a cell surface glycoprotein expressed mainly on T-cells natural killer cells and thymocytes. This protein has a molecular mass of approximately 50-55 kDa. CD2 plays a critical role in facilitating cell-cell adhesion and signal transduction. It serves as a receptor for the CD58 ligand on antigen-presenting cells supporting the interaction between T-cells and these cells. By enhancing adhesion CD2 contributes to the formation of the immunological synapse necessary for effective immune response.
Biological function summary

The functioning of CD2 helps in the modulation of immune responses and T-cell activation. CD2 participates in signal transduction leading to cytokine production and proliferation. It is associated with the immunological synapse complex working closely with other surface molecules like Lck and CD3 to promote T-cell responses. This collaboration is vital for the development and function of immune cells driving adaptive immunity.

Pathways

CD2 engages in pathways integral to T-cell activation and signal transduction. A well-known pathway involving CD2 is the TCR (T-cell Receptor) signaling pathway where it partners with CD3 to initiate T-cell activation. Additionally CD2 influences the LAT (Linker for Activation of T-cells) pathway contributing to downstream signaling cascades that involve various signaling proteins such as Lck and ZAP-70 ensuring proper T-cell function.

CD2 shows connections to autoimmune diseases and cancers. For instance its involvement in abnormal T-cell activation links CD2 to autoimmune conditions like rheumatoid arthritis. Also various leukemias demonstrate altered CD2 expression suggesting a role in cancer pathogenesis. Through these disease states CD2's interaction with the CD58 protein becomes critical as this interaction affects the activity of T-cells in the disease milieu influencing disease progression and treatment outcomes.

Product protocols

For this product, it's our understanding that no specific protocols are required. You can visit:

Target data

CD2 interacts with lymphocyte function-associated antigen CD58 (LFA-3) and CD48/BCM1 to mediate adhesion between T-cells and other cell types. CD2 is implicated in the triggering of T-cells, the cytoplasmic domain is implicated in the signaling function.
See full target information CD2

Publications (1)

Recent publications for all applications. Explore the full list and refine your search

Journal of the National Cancer Institute 65:33-42 PubMed6993744

1980

Subpopulations of normal and leukemic human thymocytes: an analysis with the use of monoclonal antibodies.

Applications

Unspecified application

Species

Unspecified reactive species

K F Bradstock,G Janossy,G Pizzolo,A V Hoffbrand,A McMichael,J R Pilch,C Milstein,P Beverley,F J Bollum
View all publications

Product promise

We are committed to supporting your work with high-quality reagents, and we're here for you every step of the way. In the unlikely event that one of our products does not perform as expected, you're protected by our Product Promise.
For full details, please see our Terms & Conditions

Please note: All products are 'FOR RESEARCH USE ONLY. NOT FOR USE IN DIAGNOSTIC OR THERAPEUTIC PROCEDURES'.

For licensing inquiries, please contact partnerships@abcam.com