JavaScript is disabled in your browser. Please enable JavaScript to view this website.
AB272017

Anti-CD2 antibody [SP304] - BSA and Azide free

Be the first to review this product! Submit a review

|

(0 Publication)

Rabbit Recombinant Monoclonal CD2 antibody. Carrier free. Suitable for IHC-P and reacts with Human samples.

View Alternative Names

CD2, SRBC, T-cell surface antigen CD2, Erythrocyte receptor, LFA-2, LFA-3 receptor, Rosette receptor, T-cell surface antigen T11/Leu-5

12 Images
Immunohistochemistry (Formalin/PFA-fixed paraffin-embedded sections) - Anti-CD2 antibody [SP304] - BSA and Azide free (AB272017)
  • IHC-P

Supplier Data

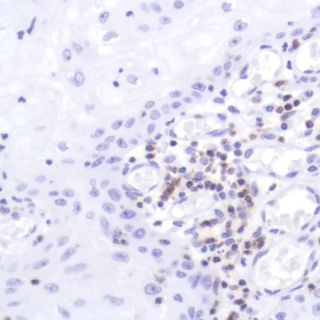
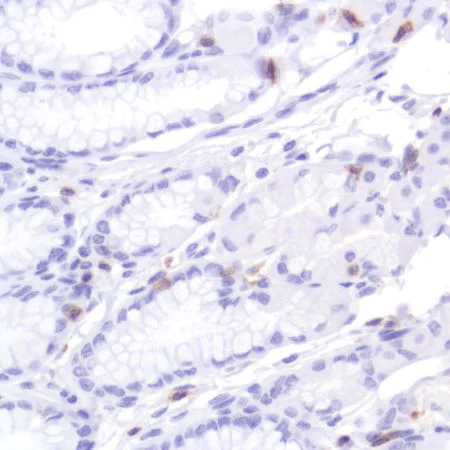
Immunohistochemistry (Formalin/PFA-fixed paraffin-embedded sections) - Anti-CD2 antibody [SP304] - BSA and Azide free (AB272017)

Formalin-fixed, paraffin-embedded human colon adenocarcinoma tissue stained for CD2 using ab227698 at 1/100 dilution in immunohistochemical analysis.

This data was developed using the same antibody clone in a different buffer formulation containing PBS, BSA, glycerol, and sodium azide (ab227698).

Immunohistochemistry (Formalin/PFA-fixed paraffin-embedded sections) - Anti-CD2 antibody [SP304] - BSA and Azide free (AB272017)
  • IHC-P

Supplier Data

Immunohistochemistry (Formalin/PFA-fixed paraffin-embedded sections) - Anti-CD2 antibody [SP304] - BSA and Azide free (AB272017)

Formalin-fixed, paraffin-embedded human stomach tissue stained for CD2 using ab227698 at 1/100 dilution in immunohistochemical analysis.

This data was developed using the same antibody clone in a different buffer formulation containing PBS, BSA, glycerol, and sodium azide (ab227698).

Immunohistochemistry (Formalin/PFA-fixed paraffin-embedded sections) - Anti-CD2 antibody [SP304] - BSA and Azide free (AB272017)
  • IHC-P

Supplier Data

Immunohistochemistry (Formalin/PFA-fixed paraffin-embedded sections) - Anti-CD2 antibody [SP304] - BSA and Azide free (AB272017)

Formalin-fixed, paraffin-embedded human cervical squamous cell carcinoma tissue stained for CD2 using ab227698 at 1/100 dilution in immunohistochemical analysis.

This data was developed using the same antibody clone in a different buffer formulation containing PBS, BSA, glycerol, and sodium azide (ab227698).

Immunohistochemistry (Formalin/PFA-fixed paraffin-embedded sections) - Anti-CD2 antibody [SP304] - BSA and Azide free (AB272017)
  • IHC-P

Supplier Data

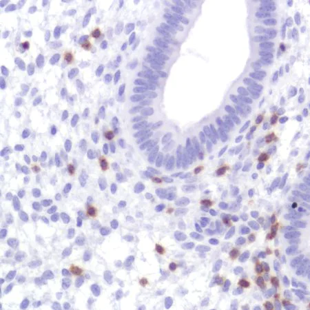
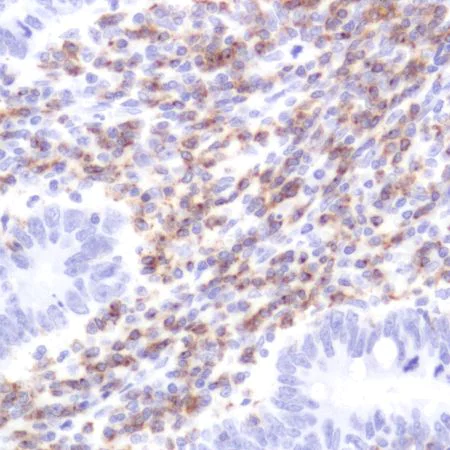
Immunohistochemistry (Formalin/PFA-fixed paraffin-embedded sections) - Anti-CD2 antibody [SP304] - BSA and Azide free (AB272017)

Formalin-fixed, paraffin-embedded human colon tissue stained for CD2 using ab227698 at 1/100 dilution in immunohistochemical analysis.

This data was developed using the same antibody clone in a different buffer formulation containing PBS, BSA, glycerol, and sodium azide (ab227698).

Immunohistochemistry (Formalin/PFA-fixed paraffin-embedded sections) - Anti-CD2 antibody [SP304] - BSA and Azide free (AB272017)
  • IHC-P

Supplier Data

Immunohistochemistry (Formalin/PFA-fixed paraffin-embedded sections) - Anti-CD2 antibody [SP304] - BSA and Azide free (AB272017)

Formalin-fixed, paraffin-embedded human uterus tissue stained for CD2 using ab227698 at 1/100 dilution in immunohistochemical analysis.

This data was developed using the same antibody clone in a different buffer formulation containing PBS, BSA, glycerol, and sodium azide (ab227698).

Immunohistochemistry (Formalin/PFA-fixed paraffin-embedded sections) - Anti-CD2 antibody [SP304] - BSA and Azide free (AB272017)
  • IHC-P

Supplier Data

Immunohistochemistry (Formalin/PFA-fixed paraffin-embedded sections) - Anti-CD2 antibody [SP304] - BSA and Azide free (AB272017)

Formalin-fixed, paraffin-embedded human stomach adenocarcinoma tissue stained for CD2 using ab227698 at 1/100 dilution in immunohistochemical analysis.

This data was developed using the same antibody clone in a different buffer formulation containing PBS, BSA, glycerol, and sodium azide (ab227698).

Immunohistochemistry (Formalin/PFA-fixed paraffin-embedded sections) - Anti-CD2 antibody [SP304] - BSA and Azide free (AB272017)
  • IHC-P

Supplier Data

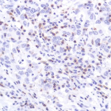
Immunohistochemistry (Formalin/PFA-fixed paraffin-embedded sections) - Anti-CD2 antibody [SP304] - BSA and Azide free (AB272017)

Formalin-fixed, paraffin-embedded human lung adenocarcinoma tissue stained for CD2 using ab227698 at 1/100 dilution in immunohistochemical analysis.

This data was developed using the same antibody clone in a different buffer formulation containing PBS, BSA, glycerol, and sodium azide (ab227698).

Immunohistochemistry (Formalin/PFA-fixed paraffin-embedded sections) - Anti-CD2 antibody [SP304] - BSA and Azide free (AB272017)
  • IHC-P

Supplier Data

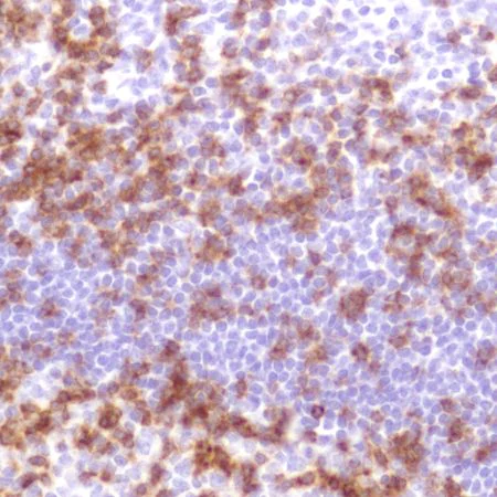
Immunohistochemistry (Formalin/PFA-fixed paraffin-embedded sections) - Anti-CD2 antibody [SP304] - BSA and Azide free (AB272017)

Formalin-fixed, paraffin-embedded human thymus tissue stained for CD2 using ab227698 at 1/100 dilution in immunohistochemical analysis.

This data was developed using the same antibody clone in a different buffer formulation containing PBS, BSA, glycerol, and sodium azide (ab227698).

Immunohistochemistry (Formalin/PFA-fixed paraffin-embedded sections) - Anti-CD2 antibody [SP304] - BSA and Azide free (AB272017)
  • IHC-P

Supplier Data

Immunohistochemistry (Formalin/PFA-fixed paraffin-embedded sections) - Anti-CD2 antibody [SP304] - BSA and Azide free (AB272017)

Formalin-fixed, paraffin-embedded human lung squamous cell carcinoma tissue stained for CD2 using ab227698 at 1/100 dilution in immunohistochemical analysis.

This data was developed using the same antibody clone in a different buffer formulation containing PBS, BSA, glycerol, and sodium azide (ab227698).

Immunohistochemistry (Formalin/PFA-fixed paraffin-embedded sections) - Anti-CD2 antibody [SP304] - BSA and Azide free (AB272017)
  • IHC-P

Supplier Data

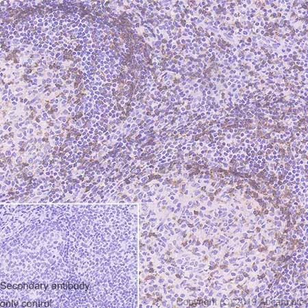
Immunohistochemistry (Formalin/PFA-fixed paraffin-embedded sections) - Anti-CD2 antibody [SP304] - BSA and Azide free (AB272017)

Formalin-fixed, paraffin-embedded human tonsil tissue stained for CD2 using ab227698 at 1/100 dilution in immunohistochemical analysis.

This data was developed using the same antibody clone in a different buffer formulation containing PBS, BSA, glycerol, and sodium azide (ab227698).

Immunohistochemistry (Formalin/PFA-fixed paraffin-embedded sections) - Anti-CD2 antibody [SP304] - BSA and Azide free (AB272017)
  • IHC-P

Unknown

Immunohistochemistry (Formalin/PFA-fixed paraffin-embedded sections) - Anti-CD2 antibody [SP304] - BSA and Azide free (AB272017)

Formalin-fixed, paraffin-embedded human tonsil tissue stained for CD2 using ab227698 at 1/100 dilution in immunohistochemical analysis.

This data was developed using the same antibody clone in a different buffer formulation containing PBS, BSA, glycerol, and sodium azide (ab227698).

Immunohistochemistry (Formalin/PFA-fixed paraffin-embedded sections) - Anti-CD2 antibody [SP304] - BSA and Azide free (AB272017)
  • IHC-P

Supplier Data

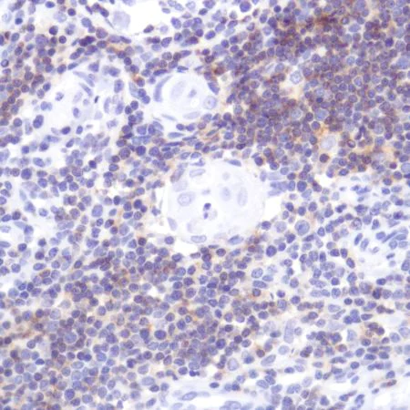
Immunohistochemistry (Formalin/PFA-fixed paraffin-embedded sections) - Anti-CD2 antibody [SP304] - BSA and Azide free (AB272017)

Immunohistochemistry analysis of paraffin-embedded human tonsil tissue sections labelling CD2 with ab227698 at 1/100 dilution. The section was incubated with ab227698 for 10 mins at room temperature. LeicaDS9800 (Bond™ Polymer Refine Detection) was used as the secondary antibody. Sections were counterstained with Hematoxylin. Heat mediated antigen retrieval with Tris-EDTA buffer (pH 9.0, epitope retrieval solution 2) for 20 mins.
Positive staining on the human tonsil tissue, performed on a Leica Biosystems BOND® RX instrument.
This data was developed using the same antibody clone in a different buffer formulation containing PBS, BSA, glycerol, and sodium azide (ab227698).

Key facts

Host species

Rabbit

Clonality

Monoclonal

Clone number

SP304

Isotype

IgG

Carrier free

Yes

Reacts with

Human

Applications

IHC-P

applications

Immunogen

The exact immunogen used to generate this antibody is proprietary information.

Reactivity data

{ "title": "Reactivity Data", "filters": { "stats": ["", "Species", "Dilution Info", "Notes"], "tabs": { "all-applications": {"fullname" : "All Applications", "shortname": "All Applications"}, "IHCP" : {"fullname" : "Immunohistochemistry (Formalin/PFA-fixed paraffin-embedded sections)", "shortname":"IHC-P"} }, "product-promise": { "all": "all", "testedAndGuaranteed": "tested", "guaranteed": "expected", "predicted": "predicted", "notRecommended": "not-recommended" } }, "values": { "Human": { "IHCP-species-checked": "testedAndGuaranteed", "IHCP-species-dilution-info": "", "IHCP-species-notes": "<p>Boil tissue section in EDTA buffer, pH 8.0 for 10 minutes followed by cooling at room temperature for 20 minutes.Incubate with primary antibody for 10 minutes at room temperature.</p>" } } }

Product details

ab272017 is the carrier-free version of ab227698.

Patented technology
Our RabMAb® technology is a patented hybridoma-based technology for making rabbit monoclonal antibodies. For details on our patents, please refer to RabMAb® patents.

What are the advantages of a recombinant monoclonal antibody?
This product is a recombinant monoclonal antibody, which offers several advantages including:

  • - High batch-to-batch consistency and reproducibility
  • - Improved sensitivity and specificity
  • - Long-term security of supply
  • - Animal-free batch production

For more information, read more on recombinant antibodies.

Conjugation ready
Our carrier-free antibodies are typically supplied in a PBS-only formulation, purified and free of BSA, sodium azide and glycerol. This conjugation-ready format is designed for use with fluorochromes, metal isotopes, oligonucleotides, and enzymes, which makes them ideal for antibody labelling, functional and cell-based assays, flow-based assays (e.g. mass cytometry) and Multiplex Imaging applications.

Use our conjugation kits for antibody conjugates that are ready-to-use in as little as 20 minutes with 1 minute hands-on-time and 100% antibody recovery: available for fluorescent dyes, HRP, biotin and gold.

Compatibility
This product is compatible with the Maxpar® Antibody Labeling Kit from Fluidigm, without the need for antibody preparation. Maxpar® is a trademark of Fluidigm Canada Inc.

Properties and storage information

Form
Liquid
Purification technique
Affinity purification Protein A/G
Purification notes
Purified from TCS by protein A/G.
Storage buffer
pH: 7.2 - 7.4 Constituents: PBS
Shipped at conditions
Blue Ice
Appropriate short-term storage conditions
+4°C
Appropriate long-term storage conditions
+4°C
Storage information
Do Not Freeze

Supplementary information

This supplementary information is collated from multiple sources and compiled automatically.

CD2 also known as T11 or LFA-2 acts as a cell surface glycoprotein expressed mainly on T-cells natural killer cells and thymocytes. This protein has a molecular mass of approximately 50-55 kDa. CD2 plays a critical role in facilitating cell-cell adhesion and signal transduction. It serves as a receptor for the CD58 ligand on antigen-presenting cells supporting the interaction between T-cells and these cells. By enhancing adhesion CD2 contributes to the formation of the immunological synapse necessary for effective immune response.
Biological function summary

The functioning of CD2 helps in the modulation of immune responses and T-cell activation. CD2 participates in signal transduction leading to cytokine production and proliferation. It is associated with the immunological synapse complex working closely with other surface molecules like Lck and CD3 to promote T-cell responses. This collaboration is vital for the development and function of immune cells driving adaptive immunity.

Pathways

CD2 engages in pathways integral to T-cell activation and signal transduction. A well-known pathway involving CD2 is the TCR (T-cell Receptor) signaling pathway where it partners with CD3 to initiate T-cell activation. Additionally CD2 influences the LAT (Linker for Activation of T-cells) pathway contributing to downstream signaling cascades that involve various signaling proteins such as Lck and ZAP-70 ensuring proper T-cell function.

CD2 shows connections to autoimmune diseases and cancers. For instance its involvement in abnormal T-cell activation links CD2 to autoimmune conditions like rheumatoid arthritis. Also various leukemias demonstrate altered CD2 expression suggesting a role in cancer pathogenesis. Through these disease states CD2's interaction with the CD58 protein becomes critical as this interaction affects the activity of T-cells in the disease milieu influencing disease progression and treatment outcomes.

Product protocols

For this product, it's our understanding that no specific protocols are required. You can visit:

Target data

CD2 interacts with lymphocyte function-associated antigen CD58 (LFA-3) and CD48/BCM1 to mediate adhesion between T-cells and other cell types. CD2 is implicated in the triggering of T-cells, the cytoplasmic domain is implicated in the signaling function.
See full target information CD2

Product promise

We are committed to supporting your work with high-quality reagents, and we're here for you every step of the way. In the unlikely event that one of our products does not perform as expected, you're protected by our Product Promise.
For full details, please see our Terms & Conditions

Please note: All products are 'FOR RESEARCH USE ONLY. NOT FOR USE IN DIAGNOSTIC OR THERAPEUTIC PROCEDURES'.

For licensing inquiries, please contact partnerships@abcam.com