JavaScript is disabled in your browser. Please enable JavaScript to view this website.
AB27093

Anti-CD20 antibody

4

(1 Review)

|

(10 Publications)

Anti-CD20 antibody (ab27093) is a rabbit polyclonal antibody detecting CD20 in Western Blot, IHC-P. Suitable for Human.

- Trusted since 2005

View Alternative Names

CD20, MS4A1, B-lymphocyte antigen CD20, B-lymphocyte surface antigen B1, Bp35, Leukocyte surface antigen Leu-16, Membrane-spanning 4-domains subfamily A member 1

2 Images
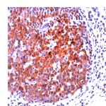
Immunohistochemistry (Formalin/PFA-fixed paraffin-embedded sections) - Anti-CD20 antibody (AB27093)
  • IHC-P

Unknown

Immunohistochemistry (Formalin/PFA-fixed paraffin-embedded sections) - Anti-CD20 antibody (AB27093)

Formalin fixed, paraffin embedded human tonsil tissue slide stained with anti CD20 antibody (ab27093).

Western blot - Anti-CD20 antibody (AB27093)
  • WB

Unknown

Western blot - Anti-CD20 antibody (AB27093)

Lane 1:

Western blot - Anti-CD20 antibody (ab27093) at 1/25 dilution

Lane 1:

Western blot - Anti-CD20 antibody, prediluted (<a href='/en-us/products/primary-antibodies/cd20-antibody-prediluted-ab27092'>ab27092</a>) at 1/25 dilution

All lanes:

Raji cell lysate

Predicted band size: 33 kDa

Observed band size: 35 kDa

false

Key facts

Host species

Rabbit

Clonality

Polyclonal

Isotype

IgG

Carrier free

No

Reacts with

Human

Applications

IHC-P, WB

applications

Immunogen

The exact immunogen used to generate this antibody is proprietary information.

Reactivity data

{ "title": "Reactivity Data", "filters": { "stats": ["", "Species", "Dilution Info", "Notes"], "tabs": { "all-applications": {"fullname" : "All Applications", "shortname": "All Applications"}, "IHCP" : {"fullname" : "Immunohistochemistry (Formalin/PFA-fixed paraffin-embedded sections)", "shortname":"IHC-P"}, "WB" : {"fullname" : "Western blot", "shortname":"WB"} }, "product-promise": { "all": "all", "testedAndGuaranteed": "tested", "guaranteed": "expected", "predicted": "predicted", "notRecommended": "not-recommended" } }, "values": { "Human": { "IHCP-species-checked": "testedAndGuaranteed", "IHCP-species-dilution-info": "1/300", "IHCP-species-notes": "<p></p> Antigen retrieval is not essential but may optimise staining.", "WB-species-checked": "testedAndGuaranteed", "WB-species-dilution-info": "", "WB-species-notes": "<p></p>" } } }

Product details

What is this antibody validated in?
Anti-CD20 antibody (ab27093) is a rabbit polyclonal antibody and is validated for use in Western Blot (WB), Immunohistochemistry (IHC-P) in Human samples.

What is the molecular weight of CD20?
Anti-CD20 (ab27093) specifically detects a band for CD20 (UniProt: P11836) at a molecular weight of 33kDa.

Trusted by the scientific community
Anti-CD20 (ab27093) was first used in a scientific publication in 2005 and has been cited over 10 times in peer-reviewed journals.

Properties and storage information

Form
Liquid
Purification technique
Affinity purification Immunogen
Purification notes
ab27093 is an affinity purified IgG.
Storage buffer
pH: 7.6 Preservative: 0.1% Sodium azide Constituents: PBS, 1% BSA
Shipped at conditions
Blue Ice
Appropriate short-term storage conditions
+4°C
Appropriate long-term storage conditions
-20°C
Aliquoting information
Upon delivery aliquot
Storage information
Avoid freeze / thaw cycle

Supplementary information

This supplementary information is collated from multiple sources and compiled automatically.

CD20 also known as MS4A1 or L26 is a membrane-spanning 4-domains subfamily A member 1 protein. It is a non-glycosylated phosphoprotein with a molecular mass of approximately 33-37 kDa. Expressed extensively on the surface of B-cells CD20 plays an important role in B-cell activation and regulation. While CD20 is absent on early pro-B cells and plasma cells its presence increases as B-cells mature. Anti-CD20 antibodies such as 2H7 are commonly used in research and treatment to deplete B-cells due to the target's consistent expression in most stages of B-cell development.
Biological function summary

CD20 contributes significantly to calcium ion transport which is essential for the activation process of B-cells. Although CD20 does not belong to a larger protein complex its role centers around forming a calcium channel that allows a sustained influx of calcium into the B-cells. This influx is important for the signaling pathways that govern B-cell activation proliferation and differentiation impacting the immune response efficacy.

Pathways

CD20 is closely involved in the B-cell receptor (BCR) signaling pathway and the Fc gamma R-mediated phagocytosis pathway. These pathways play vital roles in adaptive immunity and immune response modulation. CD20's interaction with proteins like PI3K during BCR signaling enhances receptor-mediated cellular signals subsequently influencing downstream effectors involved in cell growth and survival of B-cells.

CD20 is strongly linked to certain blood cancers and autoimmune diseases including non-Hodgkin's lymphoma and rheumatoid arthritis. These conditions often exploit aberrant B-cell activity or count. CD20's expression on malignant B-cells in non-Hodgkin's lymphoma makes it an effective target for monoclonal antibody therapies such as rituximab an anti-CD20 antibody. Additionally CD20-targeted therapies can help deplete pathogenic B-cells in rheumatoid arthritis highlighting the protein's relevance in disease treatment.

Product protocols

For this product, it's our understanding that no specific protocols are required. You can visit:

Target data

B-lymphocyte-specific membrane protein that plays a role in the regulation of cellular calcium influx necessary for the development, differentiation, and activation of B-lymphocytes (PubMed : 12920111, PubMed : 3925015, PubMed : 7684739). Functions as a store-operated calcium (SOC) channel component promoting calcium influx after activation by the B-cell receptor/BCR (PubMed : 12920111, PubMed : 18474602, PubMed : 7684739).
See full target information MS4A1

Publications (10)

Recent publications for all applications. Explore the full list and refine your search

Animals : an open access journal from MDPI 13: PubMed38003099

2023

Histological Characteristics of Conjunctiva-Associated Lymphoid Tissue in Young and Adult Holstein Cattle.

Applications

Unspecified application

Species

Unspecified reactive species

Keigo Kosenda,Osamu Ichii,Yusuke Yamashita,Hiromichi Ohtsuka,Shigeo Fukuda,Yasuhiro Kon

Scientific reports 12:5120 PubMed35332215

2022

Evaluation of 41 single nucleotide polymorphisms in canine diffuse large B-cell lymphomas using MassARRAY.

Applications

Unspecified application

Species

Unspecified reactive species

Sirintra Sirivisoot,Tanit Kasantikul,Somporn Techangamsuwan,Araya Radtanakatikanon,Ken Chen,Tzu-Yin Lin,Anudep Rungsipipat

EBioMedicine 57:102850 PubMed32574962

2020

Immune-infiltration based signature as a novel prognostic biomarker in gastrointestinal stromal tumour.

Applications

Unspecified application

Species

Unspecified reactive species

Zhe-Wei Wei,Jing Wu,Wei-Bin Huang,Jin Li,Xiao-Fang Lu,Yu-Jie Yuan,Wen-Jun Xiong,Xin-Hua Zhang,Wei Wang,Yu-Long He,Chang-Hua Zhang

Biomaterials 187:93-104 PubMed30312852

2018

Evaluation of the host immune response to decellularized lung scaffolds derived from α-Gal knockout pigs in a non-human primate model.

Applications

Unspecified application

Species

Unspecified reactive species

Elizabeth C Stahl,Ryan W Bonvillain,Clint D Skillen,Brandon L Burger,Hidetaka Hara,Whayoung Lee,Cynthia B Trygg,Peter J Didier,Brooke F Grasperge,Nicholas C Pashos,Bruce A Bunnell,John Bianchi,David L Ayares,Kelly I Guthrie,Bryan N Brown,Thomas H Petersen

Blood advances 2:76-84 PubMed29365313

2018

The human IL-15 superagonist ALT-803 directs SIV-specific CD8 T cells into B-cell follicles.

Applications

IHC-P

Species

Rhesus monkey

Gabriela M Webb,Shengbin Li,Gwantwa Mwakalundwa,Joy M Folkvord,Justin M Greene,Jason S Reed,Jeffery J Stanton,Alfred W Legasse,Theodore Hobbs,Lauren D Martin,Byung S Park,James B Whitney,Emily K Jeng,Hing C Wong,Douglas F Nixon,R Brad Jones,Elizabeth Connick,Pamela J Skinner,Jonah B Sacha

PLoS pathogens 12:e1005924 PubMed27716848

2016

Follicular Regulatory CD8 T Cells Impair the Germinal Center Response in SIV and Ex Vivo HIV Infection.

Applications

IHC (PFA fixed)

Species

Rhesus monkey

Brodie Miles,Shannon M Miller,Joy M Folkvord,David N Levy,Eva G Rakasz,Pamela J Skinner,Elizabeth Connick

Nature communications 6:8608 PubMed26482032

2015

Follicular regulatory T cells impair follicular T helper cells in HIV and SIV infection.

Applications

Unspecified application

Species

Unspecified reactive species

Brodie Miles,Shannon M Miller,Joy M Folkvord,Abigail Kimball,Mastooreh Chamanian,Amie L Meditz,Tessa Arends,Martin D McCarter,David N Levy,Eva G Rakasz,Pamela J Skinner,Elizabeth Connick

Journal of immunology (Baltimore, Md. : 1950) 193:5613-25 PubMed25362178

2014

Compartmentalization of simian immunodeficiency virus replication within secondary lymphoid tissues of rhesus macaques is linked to disease stage and inversely related to localization of virus-specific CTL.

Applications

Unspecified application

Species

Unspecified reactive species

Elizabeth Connick,Joy M Folkvord,Katherine T Lind,Eva G Rakasz,Brodie Miles,Nancy A Wilson,Mario L Santiago,Kimberly Schmitt,Edward B Stephens,Hyeon O Kim,Reece Wagstaff,Shengbin Li,Hadia M Abdelaal,Nathan Kemp,David I Watkins,Samantha MaWhinney,Pamela J Skinner

Leukemia 28:1163-7 PubMed24492323

2014

B-cell receptor pathway inhibitors affect CD20 levels and impair antitumor activity of anti-CD20 monoclonal antibodies.

Applications

Unspecified application

Species

Human

K Bojarczuk,M Siernicka,M Dwojak,M Bobrowicz,B Pyrzynska,P Gaj,M Karp,K Giannopoulos,D G Efremov,C Fauriat,J Golab,M Winiarska

Archives of neurology 66:44-53 PubMed19139298

2009

Imaging correlates of leukocyte accumulation and CXCR4/CXCL12 in multiple sclerosis.

Applications

IHC-Fr

Species

Human

Natalia M Moll,Michael B Cossoy,Elizabeth Fisher,Susan M Staugaitis,Barbara H Tucky,Anna M Rietsch,Ansi Chang,Robert J Fox,Bruce D Trapp,Richard M Ransohoff
View all publications

Product promise

We are committed to supporting your work with high-quality reagents, and we're here for you every step of the way. In the unlikely event that one of our products does not perform as expected, you're protected by our Product Promise.
For full details, please see our Terms & Conditions

Please note: All products are 'FOR RESEARCH USE ONLY. NOT FOR USE IN DIAGNOSTIC OR THERAPEUTIC PROCEDURES'.

For licensing inquiries, please contact partnerships@abcam.com