JavaScript is disabled in your browser. Please enable JavaScript to view this website.
AB78237

Anti-CD20 antibody [EP459Y]

4

(7 Reviews)

|

(124 Publications)

Anti-CD20 antibody [EP459Y] (ab78237) is a rabbit monoclonal antibody detecting CD20 in Western Blot, Flow Cytometry (Intra), Flow Cytometry, IP, IHC-P, ICC/IF. Suitable for Human.

- KO validated for confirmed specificity
- Biophysical QC for unrivalled batch-batch consistency
- Over 70 publications
- Trusted since 2009

View Alternative Names

CD20, MS4A1, B-lymphocyte antigen CD20, B-lymphocyte surface antigen B1, Bp35, Leukocyte surface antigen Leu-16, Membrane-spanning 4-domains subfamily A member 1

18 Images
Immunohistochemistry (Formalin/PFA-fixed paraffin-embedded sections) - Anti-CD20 antibody [EP459Y] (AB78237)
  • IHC-P

Unknown

Immunohistochemistry (Formalin/PFA-fixed paraffin-embedded sections) - Anti-CD20 antibody [EP459Y] (AB78237)

Unpurified ab78237 showing positive staining in human spleen tissue.

Immunohistochemistry (Formalin/PFA-fixed paraffin-embedded sections) - Anti-CD20 antibody [EP459Y] (AB78237)
  • IHC-P

Unknown

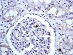
Immunohistochemistry (Formalin/PFA-fixed paraffin-embedded sections) - Anti-CD20 antibody [EP459Y] (AB78237)

Unpurified ab78237 showing negative staining in human kidney tissue.

Immunohistochemistry (Formalin/PFA-fixed paraffin-embedded sections) - Anti-CD20 antibody [EP459Y] (AB78237)
  • IHC-P

Unknown

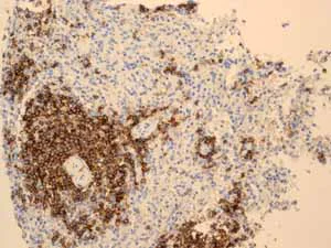
Immunohistochemistry (Formalin/PFA-fixed paraffin-embedded sections) - Anti-CD20 antibody [EP459Y] (AB78237)

Unpurified ab78237 staining human CD20 in human lymphoma tissue by immunohistochemistry using formalin fixed, paraffin embedded tissue.

Immunohistochemistry (Formalin/PFA-fixed paraffin-embedded sections) - Anti-CD20 antibody [EP459Y] (AB78237)
  • IHC-P

Unknown

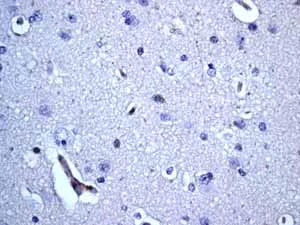
Immunohistochemistry (Formalin/PFA-fixed paraffin-embedded sections) - Anti-CD20 antibody [EP459Y] (AB78237)

Unpurified ab78237 showing negative staining in human brain tissue.

Immunohistochemistry (Formalin/PFA-fixed paraffin-embedded sections) - Anti-CD20 antibody [EP459Y] (AB78237)
  • IHC-P

Unknown

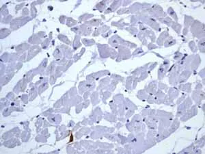
Immunohistochemistry (Formalin/PFA-fixed paraffin-embedded sections) - Anti-CD20 antibody [EP459Y] (AB78237)

Unpurified ab78237 showing negative staining in human heart tissue.

Immunohistochemistry (Formalin/PFA-fixed paraffin-embedded sections) - Anti-CD20 antibody [EP459Y] (AB78237)
  • IHC-P

Unknown

Immunohistochemistry (Formalin/PFA-fixed paraffin-embedded sections) - Anti-CD20 antibody [EP459Y] (AB78237)

Unpurified ab78237 showing positive staining in human tonsil tissue.

Immunohistochemistry (Formalin/PFA-fixed paraffin-embedded sections) - Anti-CD20 antibody [EP459Y] (AB78237)
  • IHC-P

AbReview19005****

Immunohistochemistry (Formalin/PFA-fixed paraffin-embedded sections) - Anti-CD20 antibody [EP459Y] (AB78237)

Formaldehyde-fixed, paraffin-embedded human spleen tissue stained for CD20 using ab78237 at 1/50 dilution in immunohistochemical analysis.

Heat mediated antigen retieval with citrate pH 6.0.

Image courtesy of an abreview by Mr Carl Hobbs

Immunocytochemistry/ Immunofluorescence - Anti-CD20 antibody [EP459Y] (AB78237)
  • ICC/IF

Lab

Immunocytochemistry/ Immunofluorescence - Anti-CD20 antibody [EP459Y] (AB78237)

Immunocytochemistry/ Immunofluorescence analysis of Ramos (human Burkitt's lymphoma B lymphocyte) labeling CD20 with purified ab78237 at 1/10 dilution. Goat anti rabbit IgG (Alexa Fluor® 488, ab150077) at 1/1000 was used as the secondary antibody. Cells were counterstained with ab195889, Anti-alpha Tubulin antibody [DM1A] - Microtubule Marker (Alexa Fluor® 594) at 1/200. PBS instead of the primary antibody was used as negative control. Cells were fixed with 4% paraformaldehyde and permeabilized with 0.1% Triton X-100. Nuclei were stained with DAPI (blue).

Immunohistochemistry (Formalin/PFA-fixed paraffin-embedded sections) - Anti-CD20 antibody [EP459Y] (AB78237)
  • IHC-P

Unknown

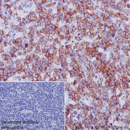
Immunohistochemistry (Formalin/PFA-fixed paraffin-embedded sections) - Anti-CD20 antibody [EP459Y] (AB78237)

Immunohistochemical staining of paraffin embedded human B cell lymphoma with purified ab78237 at a working dilution of 1/50.

The secondary antibody used is ab97051, a goat anti-rabbit IgG (H&L) at a dilution of 1/500. The sample is counterstained with hematoxylin. Antigen retrieval was perfomed using Tris-EDTA buffer, pH 9.0.

PBS was used instead of the primary antibody as the negative control, and is shown in the inset.

Flow Cytometry (Intracellular) - Anti-CD20 antibody [EP459Y] (AB78237)
  • Flow Cyt (Intra)

Lab

Flow Cytometry (Intracellular) - Anti-CD20 antibody [EP459Y] (AB78237)

Flow cytometry overlay histogram showing left Ramos positive cells and right negative HEK293 stained with ab78237 (red line). The cells were fixed with 4% formaldehyde (10 min) and then permeabilised with 0.1% PBS-Triton X-100 for 15 min. The cells were then incubated in 1x PBS containing 10μg/ml human IgG and 10% normal goat serum to block FC receptors and non-specific protein-protein interaction followed by the antibody (ab78237) (1x 106 in 100μl at 0.2μg/ml (1/2500)) for 30min at 22°C.

The secondary antibody Goat Anti-Rabbit IgG H&L (Alexa Fluor® 488) preadsorbed was incubated at 1/4000 for 30min at 22°C

Isotype control antibody (black line) was Recombinant Rabbit IgG, monoclonal [EPR25A] - Isotype Control used at the same concentration and conditions as the primary antibody. Unlabelled sample (blue line) was also used as a control.

Acquisition of >5000 events were collected using a 50 mW Blue laser (488nm) and 525/40 bandpass filter.

This antibody gave a positive signal in Ramos Fixed with 80% methanol (5 min) / permeabilised with 0.1% PBS-Triton X-100 for 15 min under the same conditions.

Immunohistochemistry (Formalin/PFA-fixed paraffin-embedded sections) - Anti-CD20 antibody [EP459Y] (AB78237)
  • IHC-P

Lab

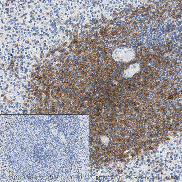
Immunohistochemistry (Formalin/PFA-fixed paraffin-embedded sections) - Anti-CD20 antibody [EP459Y] (AB78237)

Immunohistochemical analysis of formalin fixed paraffin embedded human spleen labelling CD20 with ab78237 at a concentration of 1 µg/ml. The immunostaining was performed on a Ventana DISCOVERY ULTRA (Roche Tissue Diagnostics) instrument with a OptiView DAB IHC Detection Kit. Heat mediated antigen retrieval was performed with DISCOVERY cell conditioning solution (CC1) 100°C, pH 8.5 for 32mins.

ab78237 anti-CD20 [EP459Y] was incubated for 16mins at 37°C. Sections were counterstained with Hematoxylin II. Image inset shows absence of staining in secondary antibody only control.

Customers are encouraged to optimise antigen retrieval conditions, antibody concentration, incubation times and temperature for best results in their own IHC assay workflow (automated and manual).

Western blot - Anti-CD20 antibody [EP459Y] (AB78237)
  • WB

Unknown

Western blot - Anti-CD20 antibody [EP459Y] (AB78237)

All lanes:

Western blot - Anti-CD20 antibody [EP459Y] (ab78237) at 1/5000 dilution

All lanes:

Raji (Human Burkitt's lymphoma cell line) cell lysate

Predicted band size: 33 kDa

Observed band size: 33 kDa

false

Western blot - Anti-CD20 antibody [EP459Y] (AB78237)
  • WB

Lab

Western blot - Anti-CD20 antibody [EP459Y] (AB78237)

False colour image of Western blot : Anti-CD20 antibody [EP459Y] - Rat IgG2a (Chimeric) staining at 1/1000 dilution, shown in green; Rabbit anti-alpha Tubulin antibody [EP1332Y] (ab52866) loading control staining at 1/20000 dilution, shown in red. In Western blot, ab279300 was shown to bind specifically to CD20. A band was observed at 33 kDa in wild-type Raji cell lysates with no signal observed at this size in MS4A1 knockout cell line ab273871 (knockout cell lysate ab263259). To generate this image, wild-type and MS4A1 knockout Raji cell lysates were analysed. First, samples were run on an SDS-PAGE gel then transferred onto a nitrocellulose membrane. Membranes were blocked in 3 % milk in TBS-0.1% Tween® 20 (TBS-T) before incubation with primary antibodies overnight at 4°C. Blots were washed four times in TBS-T, incubated with secondary antibodies for 1 h at room temperature, washed again four times then imaged. Secondary antibodies used were Goat anti-Rat IgG H&L (IRDye® 800CW) preabsorbed (ab253031) and Goat anti-Rabbit IgG H&L (IRDye® 680RD) preabsorbed (ab216777) at 1/20000 dilution.

Lanes 1 - 4:

Western blot - Anti-CD20 antibody [EP459Y] (ab78237) at 1/1000 dilution

Lanes 1 - 4:

Western blot - Anti-CD20 antibody [EP459Y] - Rat IgG2a (Chimeric) (<a href='/en-us/products/primary-antibodies/cd20-antibody-ep459y-rat-igg2a-chimeric-ab279300'>ab279300</a>) at 1/1000 dilution

Lane 1:

Wild-type Raji cell lysate at 20 µg

Lane 2:

MS4A1 knockout Raji cell lysate at 20 µg

Lane 2:

Western blot - Human MS4A1 (CD20) knockout Raji cell line (<a href='/en-us/products/cell-lines/human-ms4a1-cd20-knockout-raji-cell-line-ab273871'>ab273871</a>)

Lane 3:

A549 cell lysate at 20 µg

Lane 4:

HeLa cell lysate at 20 µg

Predicted band size: 21 kDa,33 kDa

Observed band size: 33 kDa

false

Western blot - Anti-CD20 antibody [EP459Y] (AB78237)
  • WB

Lab

Western blot - Anti-CD20 antibody [EP459Y] (AB78237)

False colour image of Western blot : Anti-CD20 antibody [EP459Y] – Mouse IgG2a (Chimeric) staining at 1/1000 dilution, shown in green; Rabbit anti-alpha Tubulin antibody [EP1332Y] (ab52866) loading control staining at 1/20000 dilution, shown in red. In Western blot, ab279299 was shown to bind specifically to CD20. A band was observed at 33 kDa in wild-type Raji cell lysates with no signal observed at this size in MS4A1 knockout cell line ab273871 (knockout cell lysate ab263259). To generate this image, wild-type and MS4A1 knockout Raji cell lysates were analysed. First, samples were run on an SDS-PAGE gel then transferred onto a nitrocellulose membrane. Membranes were blocked in 3 % milk in TBS-0.1% Tween® 20 (TBS-T) before incubation with primary antibodies overnight at 4 °C. Blots were washed four times in TBS-T, incubated with secondary antibodies for 1 h at room temperature, washed again four times then imaged. Secondary antibodies used were Goat anti-Mouse IgG H&L (IRDye® 800CW) preabsorbed (ab216772) and Goat anti-Rabbit IgG H&L (IRDye® 680RD) preabsorbed (ab216777) at 1/20000 dilution.

Lanes 1 - 4:

Western blot - Anti-CD20 antibody [EP459Y] (ab78237) at 1/1000 dilution

Lanes 1 - 4:

Western blot - Anti-CD20 antibody [EP459Y] - Mouse IgG2a (Chimeric) (<a href='/en-us/products/primary-antibodies/cd20-antibody-ep459y-mouse-igg2a-chimeric-ab279299'>ab279299</a>) at 1/1000 dilution

Lane 1:

Wild-type Raji cell lysate at 20 µg

Lane 2:

MS4A1 knockout Raji cell lysate at 20 µg

Lane 2:

Western blot - Human MS4A1 (CD20) knockout Raji cell line (<a href='/en-us/products/cell-lines/human-ms4a1-cd20-knockout-raji-cell-line-ab273871'>ab273871</a>)

Lane 3:

A549 cell lysate at 20 µg

Lane 4:

HeLa cell lysate at 20 µg

Predicted band size: 21 kDa,33 kDa

Observed band size: 33 kDa

false

Western blot - Anti-CD20 antibody [EP459Y] (AB78237)
  • WB

Lab

Western blot - Anti-CD20 antibody [EP459Y] (AB78237)

False colour image of Western blot : Anti-CD20 antibody [EP459Y] - Mouse IgG1 (Chimeric) staining, shown in green; Rabbit anti-alpha Tubulin antibody [EP1332Y] (ab52866) loading control staining at 1/20000 dilution, shown in red. In Western blot, ab279298 was shown to bind specifically to CD20. A band was observed at 33 kDa in wild-type Raji cell lysates with no signal observed at this size in MS4A1 knockout cell line ab273871 (knockout cell lysate ab263259). To generate this image, wild-type and MS4A1 knockout Raji cell lysates were analysed. First, samples were run on an SDS-PAGE gel then transferred onto a nitrocellulose membrane. Membranes were blocked in 3 % milk in TBS-0.1 % Tween® 20 (TBS-T) before incubation with primary antibodies overnight at 4°C. Blots were washed four times in TBS-T, incubated with secondary antibodies for 1 h at room temperature, washed again four times then imaged. Secondary antibodies used were Goat anti-Mouse IgG H&L (IRDye® 800CW) preabsorbed (ab216772) and Goat anti-Rabbit IgG H&L (IRDye® 680RD) preabsorbed (ab216777) at 1/20000 dilution.

Lanes 1 - 4:

Western blot - Anti-CD20 antibody [EP459Y] - Mouse IgG1 (Chimeric) (<a href='/en-us/products/primary-antibodies/cd20-antibody-ep459y-mouse-igg1-chimeric-ab279298'>ab279298</a>) at 1/1000 dilution

Lanes 1 - 4:

Western blot - Anti-CD20 antibody [EP459Y] (ab78237) at 1/1000 dilution

Lane 1:

Wild-type Raji cell lysate at 20 µg

Lane 2:

MS4A1 knockout Raji cell lysate at 20 µg

Lane 2:

Western blot - Human MS4A1 (CD20) knockout Raji cell line (<a href='/en-us/products/cell-lines/human-ms4a1-cd20-knockout-raji-cell-line-ab273871'>ab273871</a>)

Lane 3:

A549 cell lysate at 20 µg

Lane 4:

HeLa cell lysate at 20 µg

Predicted band size: 21 kDa,33 kDa

Observed band size: 33 kDa

false

Flow Cytometry (Intracellular) - Anti-CD20 antibody [EP459Y] (AB78237)
  • Flow Cyt (Intra)

Lab

Flow Cytometry (Intracellular) - Anti-CD20 antibody [EP459Y] (AB78237)

Intracellular Flow Cytometry analysis ofRamos (Human Burkitt's lymphoma B lymphocyte) labeling CD20 with purified ab78237 at 1/200 dilution (Red). Goat anti rabbit IgG (Alexa Fluorr® 488, ab150081) at 1/2000 dilution was used as secondary antibody. Cells were fixed with 4% paraformaldehyde and permeabilized with 90% methanol.

Isotype control : Rabbit monoclonal IgG (ab172730) (Black)

Unlabelled cells : (Blue)

Immunoprecipitation - Anti-CD20 antibody [EP459Y] (AB78237)
  • IP

Unknown

Immunoprecipitation - Anti-CD20 antibody [EP459Y] (AB78237)

ab78237 (purified) at 1/20 immunoprecipitating CD20 in 10 μg Ramos (Human Burkitt's lymphoma cell line) cell lysate (Lanes 1 and 2, observed at 33 kDa). Lane 3 - Rabbit monoclonal IgG (ab172730). For western blotting, VeriBlot for IP Detection Reagent (HRP) (ab131366), was used for detection at 1/10,000 dilution.

Blocking/Dilution buffer and concentration : 5% NFDM/TBST.

All lanes:

Immunoprecipitation - Anti-CD20 antibody [EP459Y] (ab78237)

Predicted band size: 33 kDa

false

Western blot - Anti-CD20 antibody [EP459Y] (AB78237)
  • WB

Lab

Western blot - Anti-CD20 antibody [EP459Y] (AB78237)

Blocking/Dilution buffer : 5% NFDM/TBST.

All lanes:

Western blot - Anti-CD20 antibody [EP459Y] (ab78237) at 1/10000 dilution

All lanes:

Raji (Human Burkitt's lymphoma cell line) whole cell lysate

Secondary

All lanes:

Western blot - Goat Anti-Rabbit IgG H&L (HRP) (<a href='/en-us/products/secondary-antibodies/goat-rabbit-igg-h-l-hrp-ab97051'>ab97051</a>) at 1/20000 dilution

Predicted band size: 33 kDa

Observed band size: 33 kDa

false

  • Carrier free

    Anti-CD20 antibody [EP459Y] - BSA and Azide free

  • 519 Alexa Fluor® 488

    Alexa Fluor® 488 Anti-CD20 antibody [EP459Y]

  • 665 Alexa Fluor® 647

    Alexa Fluor® 647 Anti-CD20 antibody [EP459Y]

  • 660 APC

    APC Anti-CD20 antibody [EP459Y]

  • HRP

    HRP Anti-CD20 antibody [EP459Y]

  • 617 Alexa Fluor® 594

    Alexa Fluor® 594 Anti-CD20 antibody [EP459Y]

  • 603 Alexa Fluor® 568

    Alexa Fluor® 568 Anti-CD20 antibody [EP459Y]

  • 565 Alexa Fluor® 555

    Alexa Fluor® 555 Anti-CD20 antibody [EP459Y]

  • 578 PE

    PE Anti-CD20 antibody [EP459Y]

  • 519 FITC

    FITC Anti-CD20 antibody [EP459Y]

Key facts

Host species

Rabbit

Clonality

Monoclonal

Clone number

EP459Y

Isotype

IgG

Carrier free

No

Reacts with

Human

Applications

IP, WB, IHC-P, ICC/IF, Flow Cyt (Intra)

applications

Immunogen

The exact immunogen used to generate this antibody is proprietary information.

Specificity

For optimal performance in IHC, the primary antibody should be incubated overnight at 4?.

Reactivity data

{ "title": "Reactivity Data", "filters": { "stats": ["", "Species", "Dilution Info", "Notes"], "tabs": { "all-applications": {"fullname" : "All Applications", "shortname": "All Applications"}, "ICCIF" : {"fullname" : "Immunocytochemistry/ Immunofluorescence", "shortname":"ICC/IF"}, "FlowCytIntra" : {"fullname" : "Flow Cytometry (Intracellular)", "shortname":"Flow Cyt (Intra)"}, "IP" : {"fullname" : "Immunoprecipitation", "shortname":"IP"}, "WB" : {"fullname" : "Western blot", "shortname":"WB"}, "IHCP" : {"fullname" : "Immunohistochemistry (Formalin/PFA-fixed paraffin-embedded sections)", "shortname":"IHC-P"} }, "product-promise": { "all": "all", "testedAndGuaranteed": "tested", "guaranteed": "expected", "predicted": "predicted", "notRecommended": "not-recommended" } }, "values": { "Human": { "ICCIF-species-checked": "testedAndGuaranteed", "ICCIF-species-dilution-info": "1/10", "ICCIF-species-notes": "<p></p>", "FlowCytIntra-species-checked": "testedAndGuaranteed", "FlowCytIntra-species-dilution-info": "1/200", "FlowCytIntra-species-notes": "<p><a href='/en-us/products/primary-antibodies/rabbit-igg-monoclonal-epr25a-isotype-control-ab172730'>ab172730</a> - Rabbit monoclonal IgG, is suitable for use as an isotype control with this antibody.</p>", "IP-species-checked": "testedAndGuaranteed", "IP-species-dilution-info": "1/20", "IP-species-notes": "<p></p>", "WB-species-checked": "testedAndGuaranteed", "WB-species-dilution-info": "1/1000 - 1/10000", "WB-species-notes": "<p></p>", "IHCP-species-checked": "testedAndGuaranteed", "IHCP-species-dilution-info": "1/50 - 1/250", "IHCP-species-notes": "<p>For optimal performance in IHC, the primary antibody should be incubated overnight at 4℃.</p>" }, "Mouse": { "ICCIF-species-checked": "notRecommended", "ICCIF-species-dilution-info": "1/10", "ICCIF-species-notes": "<p></p>", "FlowCytIntra-species-checked": "notRecommended", "FlowCytIntra-species-dilution-info": "1/200", "FlowCytIntra-species-notes": "<p><a href='/en-us/products/primary-antibodies/rabbit-igg-monoclonal-epr25a-isotype-control-ab172730'>ab172730</a> - Rabbit monoclonal IgG, is suitable for use as an isotype control with this antibody.</p>", "IP-species-checked": "notRecommended", "IP-species-dilution-info": "", "IP-species-notes": "<p></p>", "WB-species-checked": "notRecommended", "WB-species-dilution-info": "1/1000 - 1/10000", "WB-species-notes": "<p></p>", "IHCP-species-checked": "notRecommended", "IHCP-species-dilution-info": "1/50 - 1/250", "IHCP-species-notes": "<p>For optimal performance in IHC, the primary antibody should be incubated overnight at 4℃.</p>" }, "Rat": { "ICCIF-species-checked": "notRecommended", "ICCIF-species-dilution-info": "1/10", "ICCIF-species-notes": "<p></p>", "FlowCytIntra-species-checked": "notRecommended", "FlowCytIntra-species-dilution-info": "1/200", "FlowCytIntra-species-notes": "<p><a href='/en-us/products/primary-antibodies/rabbit-igg-monoclonal-epr25a-isotype-control-ab172730'>ab172730</a> - Rabbit monoclonal IgG, is suitable for use as an isotype control with this antibody.</p>", "IP-species-checked": "notRecommended", "IP-species-dilution-info": "", "IP-species-notes": "<p></p>", "WB-species-checked": "notRecommended", "WB-species-dilution-info": "1/1000 - 1/10000", "WB-species-notes": "<p></p>", "IHCP-species-checked": "notRecommended", "IHCP-species-dilution-info": "1/50 - 1/250", "IHCP-species-notes": "<p>For optimal performance in IHC, the primary antibody should be incubated overnight at 4℃.</p>" }, "Monkey": { "ICCIF-species-checked": "notRecommended", "ICCIF-species-dilution-info": "", "ICCIF-species-notes": "", "FlowCytIntra-species-checked": "notRecommended", "FlowCytIntra-species-dilution-info": "", "FlowCytIntra-species-notes": "", "IP-species-checked": "notRecommended", "IP-species-dilution-info": "", "IP-species-notes": "", "WB-species-checked": "notRecommended", "WB-species-dilution-info": "", "WB-species-notes": "", "IHCP-species-checked": "notRecommended", "IHCP-species-dilution-info": "", "IHCP-species-notes": "" } } }

Product details

What is this antibody validated in?
Anti-CD20 antibody [EP459Y] (ab78237) is a rabbit recombinant monoclonal antibody and is validated for use in Western Blot (WB), Flow Cytometry (Intra), Flow Cytometry (Flow Cyt), Immunoprecipitation (IP), Immunohistochemistry (IHC-P), Immunocytochemistry/immunofluorescence (ICC/IF) in Human samples.

What is the molecular weight of CD20?
Anti-CD20 [EP459Y] (ab78237) specifically detects a band for CD20 (UniProt: P11836) at a molecular weight of 33kDa.

Trusted by the scientific community
Anti-CD20 [EP459Y] (ab78237) was first used in a scientific publication in 2009 and has been cited over 70 times in peer-reviewed journals.

Reviewed by scientists
Anti-CD20 [EP459Y] (ab78237) has over 5 independent reviews from customers.

Trial sizes available!
Test your antibody or perform pre-screening before committing to a larger quantity. Sold in 10µl. Discover our selection of trial-size antibodies.

Specificity confirmed
The specificity of Anti-CD20 antibody [EP459Y] (ab78237) has been confirmed by Western blot testing in MS4A1 Knockout Raji cell line, ab273871.

Other related products
We have a range of other formats of antibody clone [EP459Y] also available for your convenience: ab78237, Carrier free - ab166865, Alexa Fluor® 488 - ab198941, Alexa Fluor® 647 - ab198943, Carrier free - ab214282, ab279298, ab279299, ab279300, Carrier free - ab279310, Carrier free - ab279311, Carrier free - ab279312, ab284424, PE - ab303031, APC - ab303032, HRP - ab303033, Alkaline Phosphatase - ab308897, Alexa Fluor® 594 - ab310623, Alexa Fluor® 555 - ab312151, Alexa Fluor® 568 - ab312637, FITC - ab322915

Patented technology
Our RabMAb® technology is a patented hybridoma-based technology for making rabbit monoclonal antibodies. For details on our patents, please refer to RabMAb® patents.

What are the advantages of a recombinant monoclonal antibody?
This product is a recombinant monoclonal antibody, which offers several advantages including:

  • - High batch-to-batch consistency and reproducibility
  • - Improved sensitivity and specificity
  • - Long-term security of supply
  • - Animal-free batch production

For more information, read more on recombinant antibodies.

Properties and storage information

Form
Liquid
Purification technique
Affinity purification Protein A
Storage buffer
pH: 7.2 - 7.4 Preservative: 0.01% Sodium azide Constituents: PBS, 40% Glycerol (glycerin, glycerine), 0.05% BSA
Shipped at conditions
Blue Ice
Appropriate short-term storage duration
1-2 weeks
Appropriate short-term storage conditions
+4°C
Appropriate long-term storage conditions
-20°C
Aliquoting information
Upon delivery aliquot
Storage information
Avoid freeze / thaw cycle

Supplementary information

This supplementary information is collated from multiple sources and compiled automatically.

CD20 also known as MS4A1 or L26 is a membrane-spanning 4-domains subfamily A member 1 protein. It is a non-glycosylated phosphoprotein with a molecular mass of approximately 33-37 kDa. Expressed extensively on the surface of B-cells CD20 plays an important role in B-cell activation and regulation. While CD20 is absent on early pro-B cells and plasma cells its presence increases as B-cells mature. Anti-CD20 antibodies such as 2H7 are commonly used in research and treatment to deplete B-cells due to the target's consistent expression in most stages of B-cell development.
Biological function summary

CD20 contributes significantly to calcium ion transport which is essential for the activation process of B-cells. Although CD20 does not belong to a larger protein complex its role centers around forming a calcium channel that allows a sustained influx of calcium into the B-cells. This influx is important for the signaling pathways that govern B-cell activation proliferation and differentiation impacting the immune response efficacy.

Pathways

CD20 is closely involved in the B-cell receptor (BCR) signaling pathway and the Fc gamma R-mediated phagocytosis pathway. These pathways play vital roles in adaptive immunity and immune response modulation. CD20's interaction with proteins like PI3K during BCR signaling enhances receptor-mediated cellular signals subsequently influencing downstream effectors involved in cell growth and survival of B-cells.

CD20 is strongly linked to certain blood cancers and autoimmune diseases including non-Hodgkin's lymphoma and rheumatoid arthritis. These conditions often exploit aberrant B-cell activity or count. CD20's expression on malignant B-cells in non-Hodgkin's lymphoma makes it an effective target for monoclonal antibody therapies such as rituximab an anti-CD20 antibody. Additionally CD20-targeted therapies can help deplete pathogenic B-cells in rheumatoid arthritis highlighting the protein's relevance in disease treatment.

Product protocols

For this product, it's our understanding that no specific protocols are required. You can visit:

Target data

B-lymphocyte-specific membrane protein that plays a role in the regulation of cellular calcium influx necessary for the development, differentiation, and activation of B-lymphocytes (PubMed : 12920111, PubMed : 3925015, PubMed : 7684739). Functions as a store-operated calcium (SOC) channel component promoting calcium influx after activation by the B-cell receptor/BCR (PubMed : 12920111, PubMed : 18474602, PubMed : 7684739).
See full target information MS4A1

Publications (124)

Recent publications for all applications. Explore the full list and refine your search

Frontiers in immunology 16:1652433 PubMed40963610

2025

Intratumoral bacterial load and tertiary lymphoid structure density in hepatocellular carcinoma: association and prognostic significance.

Applications

Unspecified application

Species

Unspecified reactive species

Shen Qu,Weili Jia,Xiaoyan Liu,Qianyun Yao,Chao Chen,Zihao Zhao,Ye Nie,Feng Chang,Zexu Yang,Chaosheng Peng,Yangang Wang,Wenjie Song

World journal of surgical oncology 23:329 PubMed40883713

2025

The correlation between EGFR mutation status and clinicopathological characteristics, Ki67 expression and immune cell infiltration in lung adenocarcinoma with different radiological subtypes.

Applications

Unspecified application

Species

Unspecified reactive species

Rirong Qu,Yang Zhang,Shenghui Qin,Jing Xiong,Xiangning Fu,Shaojie Hu,Yixin Cai

ESMO open 10:105494 PubMed40614660

2025

Deep learning-based quantification of tumor-infiltrating lymphocytes as a prognostic indicator in nasopharyngeal carcinoma: multicohort findings.

Applications

Unspecified application

Species

Unspecified reactive species

T Lu,F Xie,Y Hu,S Zhan,F Zhong,J Chen,J Pan,X Gong,Z Liu,C Huang,C Xie,Q Guo,M L K Chua,J Li

Cellular oncology (Dordrecht, Netherlands) 48:1127-1144 PubMed40498284

2025

SPTSSA facilitates gastric cancer progression with modulating PD-L1 in immunomicroenvironment through Wnt/β-catenin pathway.

Applications

Unspecified application

Species

Unspecified reactive species

Pingping Sun,Weiwei Qin,Haiyan Xu,Hang Yin,Lei Yang,Xiaojing Zhang,Xiaoxia Jin,Qiang Xu,Han Wu,Xiaoling Kuai,Lizhou Jia,Jianfei Huang,Yao Wang

Medicine 104:e42566 PubMed40489875

2025

Predictive power of tertiary lymphoid structure for prognosis and neoadjuvant chemotherapy response in HER2-positive breast cancer.

Applications

Unspecified application

Species

Unspecified reactive species

Mengxi Li,Jing Cao,Yueheng Wang,Ziru Zhao,Liqiang Ai,Kejing Zhang

MedComm 6:e70225 PubMed40416596

2025

Phase II Trial of Hypofractionated Radiotherapy and Immunochemotherapy in Primary Refractory Diffuse Large B-Cell Lymphoma: Preliminary Results and Insights from Digital Spatial Profiling.

Applications

Unspecified application

Species

Unspecified reactive species

Yong Yang,Jing Yu,Xiao-Mei Hu,Si-Lin Chen,Rui-Zhi Zhao,Cheng Huang,Jiang-Rui Guo,Tian-Lan Tang,Cheng Chen,Yu-Ping Lin,Ying Wang,Tian-Xiu Liu,Hao Zheng,Si-Qin Liao,Jin-Hua Chen,Hai-Ying Fu,Ting-Bo Liu

Journal of gastrointestinal oncology 16:453-469 PubMed40386598

2025

KCNC3 as a prognostic indicator and a predictive marker for immunotherapy in colorectal cancer.

Applications

Unspecified application

Species

Unspecified reactive species

Quanqing Li,Jiaying Lv,Hongxia Duan,Pingping Sun,Bing Lu,Wenyu Shi,Yihong Cai

Cancer medicine 14:e70954 PubMed40347070

2025

Enhanced IL36RN Expression and Its Association With Immune Microenvironment Predicts Poor Prognosis in Gastric Cancer.

Applications

Unspecified application

Species

Unspecified reactive species

Xiaojing Zhang,Sutian Jiang,Hang Yin,Hui Zhang,Lei Yang,Pingping Sun,Xiaoling Kuai,Chen Chen,Jianfei Huang

Cellular and molecular biology (Noisy-le-Grand, France) 71:110-116 PubMed40235326

2025

Tumor-infiltrating CD20+ B lymphocyte: evaluation and association with clinical and pathological characteristics in oral squamous cell carcinoma.

Applications

Unspecified application

Species

Unspecified reactive species

Ahlam T Bdaiwi,Aseel M Yousif,Ban F Al Drobie,Suhair W Abbood Al-Osaighari

Journal of translational medicine 23:375 PubMed40148849

2025

Spatial relationships and interactions of immune cell niches are linked to the pathologic response of muscle-invasive bladder cancer to neoadjuvant therapy.

Applications

Unspecified application

Species

Unspecified reactive species

Wasilijiang Wahafu,Quan Zhou,Xihua Yang,Yongming Yang,Yuanyuan Zhao,Zhu Wang,Xiangpeng Kang,Xiongjun Ye,Nianzeng Xing
View all publications

Product promise

We are committed to supporting your work with high-quality reagents, and we're here for you every step of the way. In the unlikely event that one of our products does not perform as expected, you're protected by our Product Promise.
For full details, please see our Terms & Conditions

Please note: All products are 'FOR RESEARCH USE ONLY. NOT FOR USE IN DIAGNOSTIC OR THERAPEUTIC PROCEDURES'.

For licensing inquiries, please contact partnerships@abcam.com