JavaScript is disabled in your browser. Please enable JavaScript to view this website.
AB166865

Anti-CD20 antibody [EP459Y] - Low endotoxin, Azide free

Be the first to review this product! Submit a review

|

(5 Publications)

Rabbit Recombinant Monoclonal CD20 antibody. Carrier free. Suitable for IP, WB, IHC-P, ICC/IF, Flow Cyt (Intra) and reacts with Human samples. Cited in 5 publications.

View Alternative Names

CD20, MS4A1, B-lymphocyte antigen CD20, B-lymphocyte surface antigen B1, Bp35, Leukocyte surface antigen Leu-16, Membrane-spanning 4-domains subfamily A member 1

15 Images
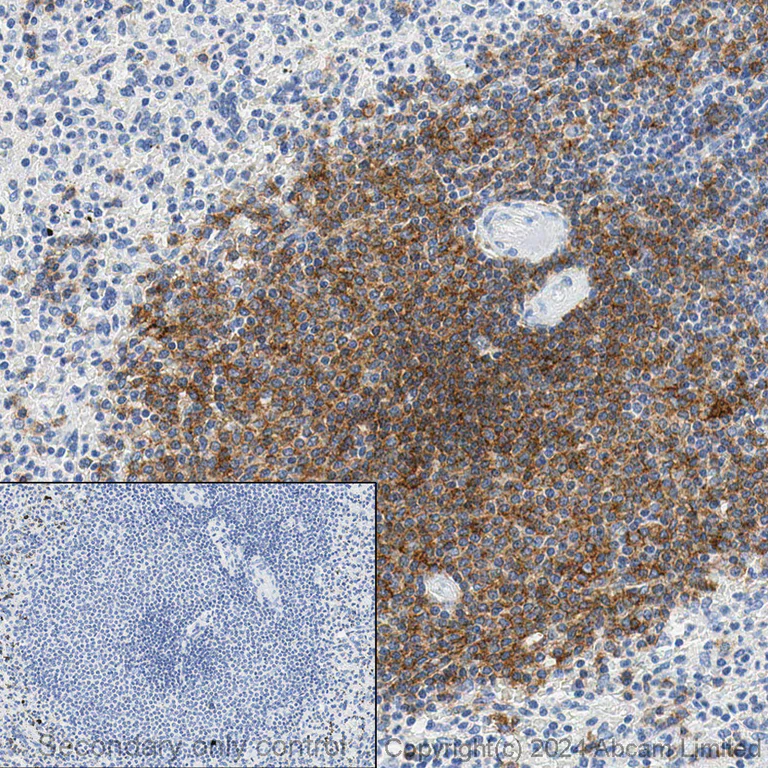
Immunohistochemistry (Formalin/PFA-fixed paraffin-embedded sections) - Anti-CD20 antibody [EP459Y] - Low endotoxin, Azide free (AB166865)
  • IHC-P

Lab

Immunohistochemistry (Formalin/PFA-fixed paraffin-embedded sections) - Anti-CD20 antibody [EP459Y] - Low endotoxin, Azide free (AB166865)

This data was developed using the same antibody clone in a different buffer formulation containing PBS, BSA, glycerol, and sodium azide (ab78237).

Immunohistochemical analysis of formalin fixed paraffin embedded human spleen labelling CD20 with ab78237 at a concentration of 1 µg/ml. The immunostaining was performed on a Ventana DISCOVERY ULTRA (Roche Tissue Diagnostics) instrument with a OptiView DAB IHC Detection Kit. Heat mediated antigen retrieval was performed with DISCOVERY cell conditioning solution (CC1) 100°C, pH 8.5 for 32mins.

ab78237 anti-CD20 [EP459Y] was incubated for 16mins at 37°C. Sections were counterstained with Hematoxylin II. Image inset shows absence of staining in secondary antibody only control.

Customers are encouraged to optimise antigen retrieval conditions, antibody concentration, incubation times and temperature for best results in their own IHC assay workflow (automated and manual).

Immunocytochemistry/ Immunofluorescence - Anti-CD20 antibody [EP459Y] - Low endotoxin, Azide free (AB166865)
  • ICC/IF

Lab

Immunocytochemistry/ Immunofluorescence - Anti-CD20 antibody [EP459Y] - Low endotoxin, Azide free (AB166865)

Immunocytochemistry/ Immunofluorescence analysis of Ramos (human Burkitt's lymphoma B lymphocyte) labeling CD20 with purified ab78237 at 1/10 dilution. Goat anti rabbit IgG (Alexa Fluor® 488, ab150077) at 1/1000 was used as the secondary antibody. Cells were counterstained with ab195889, Anti-alpha Tubulin antibody [DM1A] - Microtubule Marker (Alexa Fluor® 594) at 1/200. PBS instead of the primary antibody was used as negative control. Cells were fixed with 4% paraformaldehyde and permeabilized with 0.1% Triton X-100. Nuclei were stained with DAPI (blue).

This data was developed using the same antibody clone in a different buffer formulation containing PBS, BSA, glycerol, and sodium azide (ab78237).

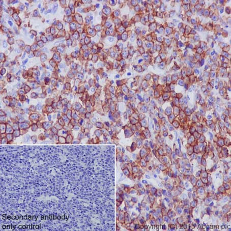
Immunohistochemistry (Formalin/PFA-fixed paraffin-embedded sections) - Anti-CD20 antibody [EP459Y] - Low endotoxin, Azide free (AB166865)
  • IHC-P

Unknown

Immunohistochemistry (Formalin/PFA-fixed paraffin-embedded sections) - Anti-CD20 antibody [EP459Y] - Low endotoxin, Azide free (AB166865)

This IHC data was generated using the same anti-CD20 antibody clone, EP459Y, in a different buffer formulation (cat# ab78237).

Immunohistochemical staining of paraffin embedded human B cell lymphoma with purified ab78237 at a working dilution of 1/50. The secondary antibody used is ab97051, a goat anti-rabbit IgG (H&L) at a dilution of 1/500. The sample is counter-stained with hematoxylin. Antigen retrieval was perfomed using Tris-EDTA buffer, pH 9.0. PBS was used instead of the primary antibody as the negative control, and is shown in the inset.

Flow Cytometry (Intracellular) - Anti-CD20 antibody [EP459Y] - Low endotoxin, Azide free (AB166865)
  • Flow Cyt (Intra)

Lab

Flow Cytometry (Intracellular) - Anti-CD20 antibody [EP459Y] - Low endotoxin, Azide free (AB166865)

This data was developed using the same antibody clone in a different buffer formulation containing PBS BSA glycerol and sodium azide (ab78237).

Flow Cytometry (Intracellular) - Anti-CD20 antibody [EP459Y] - Low endotoxin, Azide free (AB166865)
  • Flow Cyt (Intra)

Lab

Flow Cytometry (Intracellular) - Anti-CD20 antibody [EP459Y] - Low endotoxin, Azide free (AB166865)

Intracellular Flow Cytometry analysis ofRamos (Human Burkitt's lymphoma B lymphocyte) labeling CD20 with purified ab78237 at 1/200 dilution (Red). Goat anti rabbit IgG (Alexa Fluor®488, ab150081) at 1/2000 dilution was used as secondary antibody. Cells were fixed with 4% paraformaldehyde and permeabilized with 90% methanol.

Isotype control : Rabbit monoclonal IgG (ab172730) (Black)

Unlabelled cells : (Blue)

This data was developed using the same antibody clone in a different buffer formulation containing PBS, BSA, glycerol, and sodium azide (ab78237).

Immunohistochemistry (Formalin/PFA-fixed paraffin-embedded sections) - Anti-CD20 antibody [EP459Y] - Low endotoxin, Azide free (AB166865)
  • IHC-P

Unknown

Immunohistochemistry (Formalin/PFA-fixed paraffin-embedded sections) - Anti-CD20 antibody [EP459Y] - Low endotoxin, Azide free (AB166865)

Unpurified ab78237 showing positive staining in normal human spleen tissue.

This data was developed using the same antibody clone in a different buffer formulation containing PBS, BSA, glycerol, and sodium azide (ab78237).

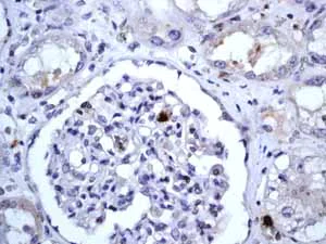
Immunohistochemistry (Formalin/PFA-fixed paraffin-embedded sections) - Anti-CD20 antibody [EP459Y] - Low endotoxin, Azide free (AB166865)
  • IHC-P

Unknown

Immunohistochemistry (Formalin/PFA-fixed paraffin-embedded sections) - Anti-CD20 antibody [EP459Y] - Low endotoxin, Azide free (AB166865)

Unpurified ab78237 showing negative staining in normal human kidney tissue.

This data was developed using the same antibody clone in a different buffer formulation containing PBS, BSA, glycerol, and sodium azide (ab78237).

Immunohistochemistry (Formalin/PFA-fixed paraffin-embedded sections) - Anti-CD20 antibody [EP459Y] - Low endotoxin, Azide free (AB166865)
  • IHC-P

Unknown

Immunohistochemistry (Formalin/PFA-fixed paraffin-embedded sections) - Anti-CD20 antibody [EP459Y] - Low endotoxin, Azide free (AB166865)

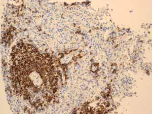
Unpurified ab78237 staining human CD20 in human lymphoma tissue by immunohistochemistry using formalin fixed, paraffin embedded tissue.

This data was developed using the same antibody clone in a different buffer formulation containing PBS, BSA, glycerol, and sodium azide (ab78237).

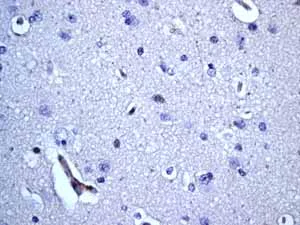
Immunohistochemistry (Formalin/PFA-fixed paraffin-embedded sections) - Anti-CD20 antibody [EP459Y] - Low endotoxin, Azide free (AB166865)
  • IHC-P

Unknown

Immunohistochemistry (Formalin/PFA-fixed paraffin-embedded sections) - Anti-CD20 antibody [EP459Y] - Low endotoxin, Azide free (AB166865)

Unpurified ab78237 showing negative staining in normal human brain tissue.

This data was developed using the same antibody clone in a different buffer formulation containing PBS, BSA, glycerol, and sodium azide (ab78237).

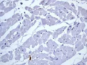
Immunohistochemistry (Formalin/PFA-fixed paraffin-embedded sections) - Anti-CD20 antibody [EP459Y] - Low endotoxin, Azide free (AB166865)
  • IHC-P

Unknown

Immunohistochemistry (Formalin/PFA-fixed paraffin-embedded sections) - Anti-CD20 antibody [EP459Y] - Low endotoxin, Azide free (AB166865)

Unpurified ab78237 showing negative staining in normal human heart tissue.

This data was developed using the same antibody clone in a different buffer formulation containing PBS, BSA, glycerol, and sodium azide (ab78237).

Immunohistochemistry (Formalin/PFA-fixed paraffin-embedded sections) - Anti-CD20 antibody [EP459Y] - Low endotoxin, Azide free (AB166865)
  • IHC-P

Unknown

Immunohistochemistry (Formalin/PFA-fixed paraffin-embedded sections) - Anti-CD20 antibody [EP459Y] - Low endotoxin, Azide free (AB166865)

This IHC data was generated using the same anti-CD20 antibody clone, EP459Y, in a different buffer formulation (cat# ab78237).

Unpurified ab78237 showing positive staining in normal human tonsil tissue.

Immunoprecipitation - Anti-CD20 antibody [EP459Y] - Low endotoxin, Azide free (AB166865)
  • IP

Unknown

Immunoprecipitation - Anti-CD20 antibody [EP459Y] - Low endotoxin, Azide free (AB166865)

ab78237 (purified) at 1/20 immunoprecipitating CD20 in 10 μg Ramos cell lysate (Lanes 1 and 2, observed at 33 kDa). Lane 3 - Rabbit monoclonal IgG (ab172730). For western blotting, VeriBlot for IP Detection Reagent (HRP) (ab131366), was used for detection at 1/10,000 dilution. Blocking buffer and concentration : 5% NFDM/TBST Dilution buffer and concentration : 5% NFDM/TBST

This data was developed using the same antibody clone in a different buffer formulation containing PBS, BSA, glycerol, and sodium azide (ab78237).

All lanes:

Immunoprecipitation - Anti-CD20 antibody [EP459Y] (<a href='/en-us/products/primary-antibodies/cd20-antibody-ep459y-ab78237'>ab78237</a>)

Predicted band size: 33 kDa

false

Western blot - Anti-CD20 antibody [EP459Y] - Low endotoxin, Azide free (AB166865)
  • WB

Lab

Western blot - Anti-CD20 antibody [EP459Y] - Low endotoxin, Azide free (AB166865)

False colour image of Western blot : Anti-CD20 antibody [EP459Y] - Mouse IgG1 (Chimeric) staining, shown in green; Rabbit anti-alpha Tubulin antibody [EP1332Y] (ab52866) loading control staining at 1/20000 dilution, shown in red. In Western blot, ab279298 was shown to bind specifically to CD20. A band was observed at 33 kDa in wild-type Raji cell lysates with no signal observed at this size in MS4A1 knockout cell line ab273871 (knockout cell lysate ab263259). To generate this image, wild-type and MS4A1 knockout Raji cell lysates were analysed. First, samples were run on an SDS-PAGE gel then transferred onto a nitrocellulose membrane. Membranes were blocked in 3 % milk in TBS-0.1 % Tween® 20 (TBS-T) before incubation with primary antibodies overnight at 4°C. Blots were washed four times in TBS-T, incubated with secondary antibodies for 1 h at room temperature, washed again four times then imaged. Secondary antibodies used were Goat anti-Mouse IgG H&L (IRDye® 800CW) preabsorbed (ab216772) and Goat anti-Rabbit IgG H&L (IRDye® 680RD) preabsorbed (ab216777) at 1/20000 dilution.

Lanes 1 - 4:

Western blot - Anti-CD20 antibody [EP459Y] - Mouse IgG1 (Chimeric) (<a href='/en-us/products/primary-antibodies/cd20-antibody-ep459y-mouse-igg1-chimeric-ab279298'>ab279298</a>) at 1/1000 dilution

Lanes 1 - 4:

Western blot - Anti-CD20 antibody [EP459Y] (<a href='/en-us/products/primary-antibodies/cd20-antibody-ep459y-ab78237'>ab78237</a>) at 1/1000 dilution

Lane 1:

Wild-type Raji cell lysate at 20 µg

Lane 2:

MS4A1 knockout Raji cell lysate at 20 µg

Lane 2:

Western blot - Human MS4A1 (CD20) knockout Raji cell line (<a href='/en-us/products/cell-lines/human-ms4a1-cd20-knockout-raji-cell-line-ab273871'>ab273871</a>)

Lane 3:

A549 cell lysate at 20 µg

Lane 4:

HeLa cell lysate at 20 µg

Predicted band size: 21 kDa,33 kDa

Observed band size: 33 kDa

false

Western blot - Anti-CD20 antibody [EP459Y] - Low endotoxin, Azide free (AB166865)
  • WB

Lab

Western blot - Anti-CD20 antibody [EP459Y] - Low endotoxin, Azide free (AB166865)

False colour image of Western blot : Anti-CD20 antibody [EP459Y] – Mouse IgG2a (Chimeric) staining at 1/1000 dilution, shown in green; Rabbit anti-alpha Tubulin antibody [EP1332Y] (ab52866) loading control staining at 1/20000 dilution, shown in red. In Western blot, ab279299 was shown to bind specifically to CD20. A band was observed at 33 kDa in wild-type Raji cell lysates with no signal observed at this size in MS4A1 knockout cell line ab273871 (knockout cell lysate ab263259). To generate this image, wild-type and MS4A1 knockout Raji cell lysates were analysed. First, samples were run on an SDS-PAGE gel then transferred onto a nitrocellulose membrane. Membranes were blocked in 3 % milk in TBS-0.1% Tween® 20 (TBS-T) before incubation with primary antibodies overnight at 4 °C. Blots were washed four times in TBS-T, incubated with secondary antibodies for 1 h at room temperature, washed again four times then imaged. Secondary antibodies used were Goat anti-Mouse IgG H&L (IRDye® 800CW) preabsorbed (ab216772) and Goat anti-Rabbit IgG H&L (IRDye® 680RD) preabsorbed (ab216777) at 1/20000 dilution.

Lanes 1 - 4:

Western blot - Anti-CD20 antibody [EP459Y] (<a href='/en-us/products/primary-antibodies/cd20-antibody-ep459y-ab78237'>ab78237</a>) at 1/1000 dilution

Lanes 1 - 4:

Western blot - Anti-CD20 antibody [EP459Y] - Mouse IgG2a (Chimeric) (<a href='/en-us/products/primary-antibodies/cd20-antibody-ep459y-mouse-igg2a-chimeric-ab279299'>ab279299</a>) at 1/1000 dilution

Lane 1:

Wild-type Raji cell lysate at 20 µg

Lane 2:

MS4A1 knockout Raji cell lysate at 20 µg

Lane 2:

Western blot - Human MS4A1 (CD20) knockout Raji cell line (<a href='/en-us/products/cell-lines/human-ms4a1-cd20-knockout-raji-cell-line-ab273871'>ab273871</a>)

Lane 3:

A549 cell lysate at 20 µg

Lane 4:

HeLa cell lysate at 20 µg

Predicted band size: 21 kDa,33 kDa

Observed band size: 33 kDa

false

Western blot - Anti-CD20 antibody [EP459Y] - Low endotoxin, Azide free (AB166865)
  • WB

Lab

Western blot - Anti-CD20 antibody [EP459Y] - Low endotoxin, Azide free (AB166865)

False colour image of Western blot : Anti-CD20 antibody [EP459Y] - Rat IgG2a (Chimeric) staining at 1/1000 dilution, shown in green; Rabbit anti-alpha Tubulin antibody [EP1332Y] (ab52866) loading control staining at 1/20000 dilution, shown in red. In Western blot, ab279300 was shown to bind specifically to CD20. A band was observed at 33 kDa in wild-type Raji cell lysates with no signal observed at this size in MS4A1 knockout cell line ab273871 (knockout cell lysate ab263259). To generate this image, wild-type and MS4A1 knockout Raji cell lysates were analysed. First, samples were run on an SDS-PAGE gel then transferred onto a nitrocellulose membrane. Membranes were blocked in 3 % milk in TBS-0.1% Tween® 20 (TBS-T) before incubation with primary antibodies overnight at 4°C. Blots were washed four times in TBS-T, incubated with secondary antibodies for 1 h at room temperature, washed again four times then imaged. Secondary antibodies used were Goat anti-Rat IgG H&L (IRDye® 800CW) preabsorbed (ab253031) and Goat anti-Rabbit IgG H&L (IRDye® 680RD) preabsorbed (ab216777) at 1/20000 dilution.

Lanes 1 - 4:

Western blot - Anti-CD20 antibody [EP459Y] (<a href='/en-us/products/primary-antibodies/cd20-antibody-ep459y-ab78237'>ab78237</a>) at 1/1000 dilution

Lanes 1 - 4:

Western blot - Anti-CD20 antibody [EP459Y] - Rat IgG2a (Chimeric) (<a href='/en-us/products/primary-antibodies/cd20-antibody-ep459y-rat-igg2a-chimeric-ab279300'>ab279300</a>) at 1/1000 dilution

Lane 1:

Wild-type Raji cell lysate at 20 µg

Lane 2:

MS4A1 knockout Raji cell lysate at 20 µg

Lane 2:

Western blot - Human MS4A1 (CD20) knockout Raji cell line (<a href='/en-us/products/cell-lines/human-ms4a1-cd20-knockout-raji-cell-line-ab273871'>ab273871</a>)

Lane 3:

A549 cell lysate at 20 µg

Lane 4:

HeLa cell lysate at 20 µg

Predicted band size: 21 kDa,33 kDa

Observed band size: 33 kDa

false

Key facts

Host species

Rabbit

Clonality

Monoclonal

Clone number

EP459Y

Isotype

IgG

Carrier free

Yes

Reacts with

Human

Applications

ICC/IF, IHC-P, Flow Cyt (Intra), IP, WB

applications

Immunogen

The exact immunogen used to generate this antibody is proprietary information.

Specificity

For optimal performance in IHC, the primary antibody should be incubated overnight at 4℃.

Reactivity data

{ "title": "Reactivity Data", "filters": { "stats": ["", "Species", "Dilution Info", "Notes"], "tabs": { "all-applications": {"fullname" : "All Applications", "shortname": "All Applications"}, "IP" : {"fullname" : "Immunoprecipitation", "shortname":"IP"}, "WB" : {"fullname" : "Western blot", "shortname":"WB"}, "IHCP" : {"fullname" : "Immunohistochemistry (Formalin/PFA-fixed paraffin-embedded sections)", "shortname":"IHC-P"}, "ICCIF" : {"fullname" : "Immunocytochemistry/ Immunofluorescence", "shortname":"ICC/IF"}, "FlowCytIntra" : {"fullname" : "Flow Cytometry (Intracellular)", "shortname":"Flow Cyt (Intra)"} }, "product-promise": { "all": "all", "testedAndGuaranteed": "tested", "guaranteed": "expected", "predicted": "predicted", "notRecommended": "not-recommended" } }, "values": { "Human": { "IP-species-checked": "testedAndGuaranteed", "IP-species-dilution-info": "", "IP-species-notes": "<p></p>", "WB-species-checked": "testedAndGuaranteed", "WB-species-dilution-info": "1/1000", "WB-species-notes": "<p></p>", "IHCP-species-checked": "testedAndGuaranteed", "IHCP-species-dilution-info": "", "IHCP-species-notes": "<p>For optimal performance in IHC, the primary antibody should be incubated overnight at 4℃.</p>", "ICCIF-species-checked": "testedAndGuaranteed", "ICCIF-species-dilution-info": "", "ICCIF-species-notes": "<p></p>", "FlowCytIntra-species-checked": "testedAndGuaranteed", "FlowCytIntra-species-dilution-info": "", "FlowCytIntra-species-notes": "<p></p>" }, "Mouse": { "IP-species-checked": "notRecommended", "IP-species-dilution-info": "", "IP-species-notes": "<p></p>", "WB-species-checked": "notRecommended", "WB-species-dilution-info": "1/1000", "WB-species-notes": "<p></p>", "IHCP-species-checked": "notRecommended", "IHCP-species-dilution-info": "", "IHCP-species-notes": "<p>For optimal performance in IHC, the primary antibody should be incubated overnight at 4℃.</p>", "ICCIF-species-checked": "notRecommended", "ICCIF-species-dilution-info": "", "ICCIF-species-notes": "<p></p>", "FlowCytIntra-species-checked": "notRecommended", "FlowCytIntra-species-dilution-info": "", "FlowCytIntra-species-notes": "<p></p>" }, "Rat": { "IP-species-checked": "notRecommended", "IP-species-dilution-info": "", "IP-species-notes": "<p></p>", "WB-species-checked": "notRecommended", "WB-species-dilution-info": "1/1000", "WB-species-notes": "<p></p>", "IHCP-species-checked": "notRecommended", "IHCP-species-dilution-info": "", "IHCP-species-notes": "<p>For optimal performance in IHC, the primary antibody should be incubated overnight at 4℃.</p>", "ICCIF-species-checked": "notRecommended", "ICCIF-species-dilution-info": "", "ICCIF-species-notes": "<p></p>", "FlowCytIntra-species-checked": "notRecommended", "FlowCytIntra-species-dilution-info": "", "FlowCytIntra-species-notes": "<p></p>" }, "Monkey": { "IP-species-checked": "notRecommended", "IP-species-dilution-info": "", "IP-species-notes": "", "WB-species-checked": "notRecommended", "WB-species-dilution-info": "", "WB-species-notes": "", "IHCP-species-checked": "notRecommended", "IHCP-species-dilution-info": "", "IHCP-species-notes": "", "ICCIF-species-checked": "notRecommended", "ICCIF-species-dilution-info": "", "ICCIF-species-notes": "", "FlowCytIntra-species-checked": "notRecommended", "FlowCytIntra-species-dilution-info": "", "FlowCytIntra-species-notes": "" } } }

Product details

ab166865 is the carrier-free version of ab78237.

Patented technology
Our RabMAb® technology is a patented hybridoma-based technology for making rabbit monoclonal antibodies. For details on our patents, please refer to RabMAb® patents.

What are the advantages of a recombinant monoclonal antibody?
This product is a recombinant monoclonal antibody, which offers several advantages including:

  • - High batch-to-batch consistency and reproducibility
  • - Improved sensitivity and specificity
  • - Long-term security of supply
  • - Animal-free batch production

For more information, read more on recombinant antibodies.

Conjugation ready
Our carrier-free antibodies are typically supplied in a PBS-only formulation, purified and free of BSA, sodium azide and glycerol. This conjugation-ready format is designed for use with fluorochromes, metal isotopes, oligonucleotides, and enzymes, which makes them ideal for antibody labelling, functional and cell-based assays, flow-based assays (e.g. mass cytometry) and Multiplex Imaging applications.

Use our conjugation kits for antibody conjugates that are ready-to-use in as little as 20 minutes with 1 minute hands-on-time and 100% antibody recovery: available for fluorescent dyes, HRP, biotin and gold.

Compatibility
This product is compatible with the Maxpar® Antibody Labeling Kit from Fluidigm, without the need for antibody preparation. Maxpar® is a trademark of Fluidigm Canada Inc.

What does low endotoxin mean?
Our low endotoxin, azide-free formats have low endotoxin level (1 EU/mg, determined by the TAL assay) and are free from azide, to achieve consistent experimental results in functional assays.

Properties and storage information

Form
Liquid
Purification technique
Affinity purification Protein A
Storage buffer
Constituents: PBS
Shipped at conditions
Blue Ice
Appropriate short-term storage conditions
+4°C
Appropriate long-term storage conditions
+4°C
Storage information
Do Not Freeze

Supplementary information

This supplementary information is collated from multiple sources and compiled automatically.

CD20 also known as MS4A1 or L26 is a membrane-spanning 4-domains subfamily A member 1 protein. It is a non-glycosylated phosphoprotein with a molecular mass of approximately 33-37 kDa. Expressed extensively on the surface of B-cells CD20 plays an important role in B-cell activation and regulation. While CD20 is absent on early pro-B cells and plasma cells its presence increases as B-cells mature. Anti-CD20 antibodies such as 2H7 are commonly used in research and treatment to deplete B-cells due to the target's consistent expression in most stages of B-cell development.
Biological function summary

CD20 contributes significantly to calcium ion transport which is essential for the activation process of B-cells. Although CD20 does not belong to a larger protein complex its role centers around forming a calcium channel that allows a sustained influx of calcium into the B-cells. This influx is important for the signaling pathways that govern B-cell activation proliferation and differentiation impacting the immune response efficacy.

Pathways

CD20 is closely involved in the B-cell receptor (BCR) signaling pathway and the Fc gamma R-mediated phagocytosis pathway. These pathways play vital roles in adaptive immunity and immune response modulation. CD20's interaction with proteins like PI3K during BCR signaling enhances receptor-mediated cellular signals subsequently influencing downstream effectors involved in cell growth and survival of B-cells.

CD20 is strongly linked to certain blood cancers and autoimmune diseases including non-Hodgkin's lymphoma and rheumatoid arthritis. These conditions often exploit aberrant B-cell activity or count. CD20's expression on malignant B-cells in non-Hodgkin's lymphoma makes it an effective target for monoclonal antibody therapies such as rituximab an anti-CD20 antibody. Additionally CD20-targeted therapies can help deplete pathogenic B-cells in rheumatoid arthritis highlighting the protein's relevance in disease treatment.

Product protocols

For this product, it's our understanding that no specific protocols are required. You can visit:

Target data

B-lymphocyte-specific membrane protein that plays a role in the regulation of cellular calcium influx necessary for the development, differentiation, and activation of B-lymphocytes (PubMed : 12920111, PubMed : 3925015, PubMed : 7684739). Functions as a store-operated calcium (SOC) channel component promoting calcium influx after activation by the B-cell receptor/BCR (PubMed : 12920111, PubMed : 18474602, PubMed : 7684739).
See full target information MS4A1

Publications (5)

Recent publications for all applications. Explore the full list and refine your search

Medical sciences (Basel, Switzerland) 13: PubMed40981193

2025

Mast Cell Association with the Microenvironment of a Phosphaturic Mesenchymal Tumour Secreting Fibroblast Growth Factor 23.

Applications

Unspecified application

Species

Unspecified reactive species

Andrey Kostin,Alexei Lyundup,Alexander Alekhnovich,Aleksandra Prikhodko,Olga Patsap,Sofia Gronskaia,Zhanna Belaya,Olga Lesnyak,Galina Melnichenko,Natalia Mokrysheva,Igor Buchwalow,Markus Tiemann,Dmitrii Atiakshin

Cell reports. Medicine 6:102299 PubMed40834854

2025

AI-driven multimodal algorithm predicts immunotherapy and targeted therapy outcomes in clear cell renal cell carcinoma.

Applications

Unspecified application

Species

Unspecified reactive species

Danil Stupichev,Natalia Miheecheva,Ekaterina Postovalova,Yang Lyu,Akshaya Ramachandran,Ilya Galkin,Gleb Khegai,Kristina Perevoshchikova,Anna Love,Sofia Menshikova,Artem Tarasov,Viktor Svekolkin,Maria Bruttan,Arina Varlamova,Kirill Kriukov,Ravshan Ataullakhanov,Nathan Fowler,Emily Cheng,Alexander Bagaev,James J Hsieh

Communications biology 8:984 PubMed40604292

2025

Continuous nuclear envelope surveillance is required for DNA double strand break repair.

Applications

Unspecified application

Species

Unspecified reactive species

Sara Medina-Suárez,Félix Machín

Breast cancer research : BCR 23:114 PubMed34922607

2021

Quantitative single-cell analysis of immunofluorescence protein multiplex images illustrates biomarker spatial heterogeneity within breast cancer subtypes.

Applications

Unspecified application

Species

Unspecified reactive species

Alison Min-Yan Cheung,Dan Wang,Kela Liu,Tyna Hope,Mayan Murray,Fiona Ginty,Sharon Nofech-Mozes,Anne Louise Martel,Martin Joel Yaffe

Cancer immunology research 7:644-657 PubMed30745366

2019

Immune Profiling and Quantitative Analysis Decipher the Clinical Role of Immune-Checkpoint Expression in the Tumor Immune Microenvironment of DLBCL.

Applications

Unspecified application

Species

Unspecified reactive species

Ziju Y Xu-Monette,Min Xiao,Qingyan Au,Raghav Padmanabhan,Bing Xu,Nicholas Hoe,Sandra Rodríguez-Perales,Raul Torres-Ruiz,Ganiraju C Manyam,Carlo Visco,Yi Miao,Xiaohong Tan,Hongwei Zhang,Alexandar Tzankov,Jing Wang,Karen Dybkær,Wayne Tam,Hua You,Govind Bhagat,Eric D Hsi,Maurilio Ponzoni,Andrés J M Ferreri,Michael B Møller,Miguel A Piris,J Han van Krieken,Jane N Winter,Jason R Westin,Lan V Pham,L Jeffrey Medeiros,George Z Rassidakis,Yong Li,Gordon J Freeman,Ken H Young
View all publications

Product promise

We are committed to supporting your work with high-quality reagents, and we're here for you every step of the way. In the unlikely event that one of our products does not perform as expected, you're protected by our Product Promise.
For full details, please see our Terms & Conditions

Please note: All products are 'FOR RESEARCH USE ONLY. NOT FOR USE IN DIAGNOSTIC OR THERAPEUTIC PROCEDURES'.

For licensing inquiries, please contact partnerships@abcam.com