JavaScript is disabled in your browser. Please enable JavaScript to view this website.
AB271288

Anti-CD20 antibody [GOT214A]

5

(2 Reviews)

|

(2 Publications)

Rat Recombinant Monoclonal CD20 antibody. Suitable for IHC-P, ICC/IF and reacts with Mouse samples. Cited in 2 publications.

View Alternative Names

CD20, Cd20, Ly-44, Ms4a2, Ms4a1, B-lymphocyte antigen CD20, B-cell differentiation antigen Ly-44, Lymphocyte antigen 44, Membrane-spanning 4-domains subfamily A member 1

2 Images
Immunocytochemistry/ Immunofluorescence - Anti-CD20 antibody [GOT214A] (AB271288)
  • ICC/IF

Unknown

Immunocytochemistry/ Immunofluorescence - Anti-CD20 antibody [GOT214A] (AB271288)

Immunofluorescent analysis of 4% Paraformaldehyde-fixed, 0.1% TritonX-100 permeabilized Mouse PBMC cells labelling CD20 with ab271288 at 1/50 (16.04 μg/mL) dilution, followed by ab150157 Goat Anti-Rat IgG H&L (Alexa Fluor® 488) antibody at 1/1000 dilution (Green). Confocal image showing membranous staining in some subset of mouse PBMC cell line. ab179513 Anti-beta Tubulin rabbit monoclonal antibody was used to counterstain tubulin at 1/200 dilution, followed by ab150080 Goat Anti-Rabbit IgG H&L (Alexa Fluor® 594) at 1/500 dilution(Red). The Nuclear counterstain was DAPI (Blue).

-ve control 1 : Used ab271288 at 1/50 (16.04 μg/mL) dilution, followed by ab150080 at 1/500 dilution.

-ve control 2 : Used ab179513 at 1/200 dilution, followed by ab150157 at 1/1000 dilution.

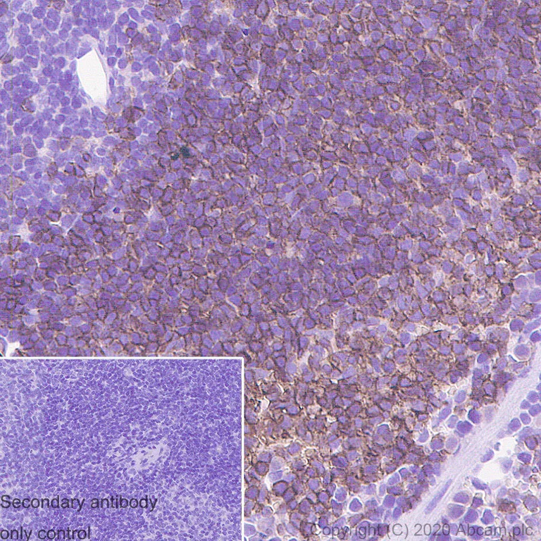
Immunohistochemistry (Formalin/PFA-fixed paraffin-embedded sections) - Anti-CD20 antibody [GOT214A] (AB271288)
  • IHC-P

Unknown

Immunohistochemistry (Formalin/PFA-fixed paraffin-embedded sections) - Anti-CD20 antibody [GOT214A] (AB271288)

Immunohistochemical analysis of paraffin-embedded Mouse spleen tissue labeling CD20 with ab271288 at 1/100 (8.02 μg/mL) dilution followed by a ready to use Goat Anti-Rat IgG H&L (HRP polymer) (ab214882). Membranous staining on the mouse spleen is observed. Counterstained with Hematoxylin.

Secondary antibody only control : Secondary antibody is a ready to use Goat Anti-Rat IgG H&L (HRP polymer) (ab214882).

Heat mediated antigen retrieval using ab93678 (citrate buffer, pH 6.0).

  • Carrier free

    Anti-CD20 antibody [GOT214A] - BSA and Azide free

Key facts

Host species

Rat

Clonality

Monoclonal

Clone number

GOT214A

Isotype

IgG2a

Carrier free

No

Reacts with

Mouse

Applications

ICC/IF, IHC-P

applications

Immunogen

The exact immunogen used to generate this antibody is proprietary information.

Reactivity data

{ "title": "Reactivity Data", "filters": { "stats": ["", "Species", "Dilution Info", "Notes"], "tabs": { "all-applications": {"fullname" : "All Applications", "shortname": "All Applications"}, "IHCP" : {"fullname" : "Immunohistochemistry (Formalin/PFA-fixed paraffin-embedded sections)", "shortname":"IHC-P"}, "FlowCyt" : {"fullname" : "Flow Cytometry", "shortname":"Flow Cyt"}, "WB" : {"fullname" : "Western blot", "shortname":"WB"}, "ICCIF" : {"fullname" : "Immunocytochemistry/ Immunofluorescence", "shortname":"ICC/IF"} }, "product-promise": { "all": "all", "testedAndGuaranteed": "tested", "guaranteed": "expected", "predicted": "predicted", "notRecommended": "not-recommended" } }, "values": { "Human": { "IHCP-species-checked": "notRecommended", "IHCP-species-dilution-info": "8.02 µg/mL", "IHCP-species-notes": "<p></p> Perform heat-mediated antigen retrieval with citrate buffer pH 6 before commencing with IHC staining protocol.", "FlowCyt-species-checked": "notRecommended", "FlowCyt-species-dilution-info": "", "FlowCyt-species-notes": "<p></p>", "WB-species-checked": "notRecommended", "WB-species-dilution-info": "", "WB-species-notes": "<p></p>", "ICCIF-species-checked": "notRecommended", "ICCIF-species-dilution-info": "16.04 µg/mL", "ICCIF-species-notes": "<p></p>" }, "Mouse": { "IHCP-species-checked": "testedAndGuaranteed", "IHCP-species-dilution-info": "8.02 µg/mL", "IHCP-species-notes": "<p></p> Perform heat-mediated antigen retrieval with citrate buffer pH 6 before commencing with IHC staining protocol.", "FlowCyt-species-checked": "notRecommended", "FlowCyt-species-dilution-info": "", "FlowCyt-species-notes": "<p></p>", "WB-species-checked": "notRecommended", "WB-species-dilution-info": "", "WB-species-notes": "<p></p>", "ICCIF-species-checked": "testedAndGuaranteed", "ICCIF-species-dilution-info": "16.04 µg/mL", "ICCIF-species-notes": "<p></p>" }, "Rat": { "IHCP-species-checked": "notRecommended", "IHCP-species-dilution-info": "8.02 µg/mL", "IHCP-species-notes": "<p></p> Perform heat-mediated antigen retrieval with citrate buffer pH 6 before commencing with IHC staining protocol.", "FlowCyt-species-checked": "notRecommended", "FlowCyt-species-dilution-info": "", "FlowCyt-species-notes": "", "WB-species-checked": "notRecommended", "WB-species-dilution-info": "", "WB-species-notes": "<p></p>", "ICCIF-species-checked": "notRecommended", "ICCIF-species-dilution-info": "", "ICCIF-species-notes": "" } } }

Product details

What are the advantages of a recombinant monoclonal antibody?
This product is a recombinant monoclonal antibody, which offers several advantages including:

  • - High batch-to-batch consistency and reproducibility
  • - Improved sensitivity and specificity
  • - Long-term security of supply
  • - Animal-free batch production

For more information, read more on recombinant antibodies.

Want a custom formulation?
This antibody clone is manufactured by Abcam. If you require a custom buffer formulation or conjugation for your experiments, please contact orders@abcam.com

Properties and storage information

Form
Liquid
Purification technique
Ion exchange chromatography
Storage buffer
pH: 7.2 - 7.4 Preservative: 0.01% Sodium azide Constituents: PBS, 40% Glycerol (glycerin, glycerine), 0.05% BSA
Shipped at conditions
Blue Ice
Appropriate short-term storage duration
1-2 weeks
Appropriate short-term storage conditions
+4°C
Appropriate long-term storage conditions
-20°C
Aliquoting information
Upon delivery aliquot
Storage information
Avoid freeze / thaw cycle

Supplementary information

This supplementary information is collated from multiple sources and compiled automatically.

CD20 also known as MS4A1 or L26 is a membrane-spanning 4-domains subfamily A member 1 protein. It is a non-glycosylated phosphoprotein with a molecular mass of approximately 33-37 kDa. Expressed extensively on the surface of B-cells CD20 plays an important role in B-cell activation and regulation. While CD20 is absent on early pro-B cells and plasma cells its presence increases as B-cells mature. Anti-CD20 antibodies such as 2H7 are commonly used in research and treatment to deplete B-cells due to the target's consistent expression in most stages of B-cell development.
Biological function summary

CD20 contributes significantly to calcium ion transport which is essential for the activation process of B-cells. Although CD20 does not belong to a larger protein complex its role centers around forming a calcium channel that allows a sustained influx of calcium into the B-cells. This influx is important for the signaling pathways that govern B-cell activation proliferation and differentiation impacting the immune response efficacy.

Pathways

CD20 is closely involved in the B-cell receptor (BCR) signaling pathway and the Fc gamma R-mediated phagocytosis pathway. These pathways play vital roles in adaptive immunity and immune response modulation. CD20's interaction with proteins like PI3K during BCR signaling enhances receptor-mediated cellular signals subsequently influencing downstream effectors involved in cell growth and survival of B-cells.

CD20 is strongly linked to certain blood cancers and autoimmune diseases including non-Hodgkin's lymphoma and rheumatoid arthritis. These conditions often exploit aberrant B-cell activity or count. CD20's expression on malignant B-cells in non-Hodgkin's lymphoma makes it an effective target for monoclonal antibody therapies such as rituximab an anti-CD20 antibody. Additionally CD20-targeted therapies can help deplete pathogenic B-cells in rheumatoid arthritis highlighting the protein's relevance in disease treatment.

Product protocols

For this product, it's our understanding that no specific protocols are required. You can visit:

Target data

B-lymphocyte-specific membrane protein that plays a role in the regulation of cellular calcium influx necessary for the development, differentiation, and activation of B-lymphocytes. Functions as a store-operated calcium (SOC) channel component promoting calcium influx after activation by the B-cell receptor/BCR.
See full target information Ms4a1

Publications (2)

Recent publications for all applications. Explore the full list and refine your search

Science advances 10:eadk9996 PubMed38838152

2024

Chemical conjugation mitigates immunotoxicity of chemotherapy via reducing receptor-mediated drug leakage from lipid nanoparticles.

Applications

Unspecified application

Species

Unspecified reactive species

Chao Zheng,Wen Zhang,Xiang Gong,Fengqin Xiong,Linyang Jiang,Lingli Zhou,Yuan Zhang,Helen He Zhu,Hao Wang,Yaping Li,Pengcheng Zhang

Cell death discovery 9:67 PubMed36797242

2023

Interleukin-35 -producing B cells rescues inflammatory bowel disease in a mouse model via STAT3 phosphorylation and intestinal microbiota modification.

Applications

Unspecified application

Species

Unspecified reactive species

Minxiang Xie,Yuzhen Zhu,Yunjiao Zhou,Qiao Wang,Erli Gu,Yiwei Chu,Luman Wang
View all publications

Product promise

We are committed to supporting your work with high-quality reagents, and we're here for you every step of the way. In the unlikely event that one of our products does not perform as expected, you're protected by our Product Promise.
For full details, please see our Terms & Conditions

Please note: All products are 'FOR RESEARCH USE ONLY. NOT FOR USE IN DIAGNOSTIC OR THERAPEUTIC PROCEDURES'.

For licensing inquiries, please contact partnerships@abcam.com