JavaScript is disabled in your browser. Please enable JavaScript to view this website.
AB198010

Anti-CD200R antibody

Be the first to review this product! Submit a review

|

(1 Publication)

Rabbit Polyclonal CD200R antibody. Suitable for IHC-P and reacts with Human samples. Cited in 1 publication.

View Alternative Names

CD200R, CRTR2, MOX2R, OX2R, UNQ2522/PRO6015, CD200R1, Cell surface glycoprotein CD200 receptor 1, CD200 cell surface glycoprotein receptor, Cell surface glycoprotein OX2 receptor 1

2 Images
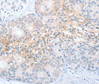
Immunohistochemistry (Formalin/PFA-fixed paraffin-embedded sections) - Anti-CD200R antibody (AB198010)
  • IHC-P

Supplier Data

Immunohistochemistry (Formalin/PFA-fixed paraffin-embedded sections) - Anti-CD200R antibody (AB198010)

Immunohistochemical analysis of paraffin-embedded Human thyroid cancer tissue labeling CD200R with ab198010 at 1/70 dilution.

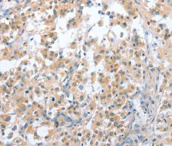
Immunohistochemistry (Formalin/PFA-fixed paraffin-embedded sections) - Anti-CD200R antibody (AB198010)
  • IHC-P

Supplier Data

Immunohistochemistry (Formalin/PFA-fixed paraffin-embedded sections) - Anti-CD200R antibody (AB198010)

Immunohistochemical analysis of paraffin-embedded Human prostate cancer tissue labeling CD200R with ab198010 at 1/70 dilution.

Key facts

Host species

Rabbit

Clonality

Polyclonal

Isotype

IgG

Carrier free

No

Reacts with

Human

Applications

IHC-P

applications

Immunogen

The exact immunogen used to generate this antibody is proprietary information.

Reactivity data

{ "title": "Reactivity Data", "filters": { "stats": ["", "Species", "Dilution Info", "Notes"], "tabs": { "all-applications": {"fullname" : "All Applications", "shortname": "All Applications"}, "IHCP" : {"fullname" : "Immunohistochemistry (Formalin/PFA-fixed paraffin-embedded sections)", "shortname":"IHC-P"} }, "product-promise": { "all": "all", "testedAndGuaranteed": "tested", "guaranteed": "expected", "predicted": "predicted", "notRecommended": "not-recommended" } }, "values": { "Human": { "IHCP-species-checked": "testedAndGuaranteed", "IHCP-species-dilution-info": "1/50 - 1/200", "IHCP-species-notes": "<p></p>" } } }

Properties and storage information

Form
Liquid
Purification technique
Affinity purification Immunogen
Storage buffer
pH: 7.4 Preservative: 0.05% Sodium azide Constituents: PBS, 50% Glycerol (glycerin, glycerine)
Shipped at conditions
Blue Ice
Appropriate short-term storage duration
1-2 weeks
Appropriate short-term storage conditions
+4°C
Appropriate long-term storage conditions
-20°C
Aliquoting information
Upon delivery aliquot
Storage information
Avoid freeze / thaw cycle

Supplementary information

This supplementary information is collated from multiple sources and compiled automatically.

CD200R also known as CD200 receptor is a protein expressed mainly on myeloid cells including macrophages dendritic cells and certain T cells. The protein has a molecular mass of approximately 62 kDa. This receptor is a type I membrane glycoprotein that plays an important role in immune system regulation. It binds to its ligand CD200 protein found on various cell types such as neurons epithelial cells and some immune cells to mediate suppressive effects on the immune response.
Biological function summary

CD200R plays a significant role in controlling the immune response by acting as an inhibitory receptor. When activated it sends signals that dampen immune cell activity which can prevent overactive immune responses and promote tissue homeostasis. This receptor is not part of a large receptor complex but interacts directly with its ligand CD200 to initiate signaling cascades that modulate immune functions. Its primary role lies in preventing unnecessary inflammation and autoimmunity through negative regulation of macrophage activation.

Pathways

CD200R is involved in the regulatory pathways of the immune system. It participates in pathways that manage immune tolerance and its interactions impact pathways related to inflammation control and tissue repair. The CD200R signaling cascades intersect with pathways involving other immune-modulatory proteins such as CD200R1 and CD200R3 which contribute to cellular communication in the immune environment. These pathways play critical roles in downregulating inflammatory responses and maintaining immune balance.

CD200R holds relevance for conditions involving immune dysregulation. It is connected to autoimmune disorders and atopic dermatitis. For example in atopic dermatitis altered expression or function of CD200R may lead to improper immune responses contributing to inflammation. Furthermore CD200R agonists which are molecules that mimic the function of CD200 are an area of interest for developing therapeutic strategies to modulate immune responses. Related proteins such as CD200 and its other receptor variants play active roles in these disorders highlighting the importance of their balanced function to maintain immune homeostasis.

Product protocols

For this product, it's our understanding that no specific protocols are required. You can visit:

Target data

Inhibitory receptor for the CD200/OX2 cell surface glycoprotein. Limits inflammation by inhibiting the expression of pro-inflammatory molecules including TNF-alpha, interferons, and inducible nitric oxide synthase (iNOS) in response to selected stimuli. Also binds to HHV-8 K14 viral CD200 homolog with identical affinity and kinetics as the host CD200.
See full target information CD200R1

Publications (1)

Recent publications for all applications. Explore the full list and refine your search

Journal of neuroinflammation 13:85 PubMed27095555

2016

Downregulation of CD47 and CD200 in patients with focal cortical dysplasia type IIb and tuberous sclerosis complex.

Applications

IHC-P

Species

Human

Fei-Ji Sun,Chun-Qing Zhang,Xin Chen,Yu-Jia Wei,Song Li,Shi-Yong Liu,Zhen-le Zang,Jiao-Jiang He,Wei Guo,Hui Yang
View all publications

Product promise

We are committed to supporting your work with high-quality reagents, and we're here for you every step of the way. In the unlikely event that one of our products does not perform as expected, you're protected by our Product Promise.
For full details, please see our Terms & Conditions

Please note: All products are 'FOR RESEARCH USE ONLY. NOT FOR USE IN DIAGNOSTIC OR THERAPEUTIC PROCEDURES'.

For licensing inquiries, please contact partnerships@abcam.com