JavaScript is disabled in your browser. Please enable JavaScript to view this website.
AB319040

Anti-CD200R antibody [EPR28088-189] - BSA and Azide free

Be the first to review this product! Submit a review

|

(0 Publication)

Rabbit Recombinant Monoclonal CD200R antibody. Carrier free. Suitable for Flow Cyt, WB and reacts with Human samples.

View Alternative Names

CD200R, CRTR2, MOX2R, OX2R, UNQ2522/PRO6015, CD200R1, Cell surface glycoprotein CD200 receptor 1, CD200 cell surface glycoprotein receptor, Cell surface glycoprotein OX2 receptor 1

5 Images
Flow Cytometry - Anti-CD200R antibody [EPR28088-189] - BSA and Azide free (AB319040)
  • Flow Cyt

Supplier Data

Flow Cytometry - Anti-CD200R antibody [EPR28088-189] - BSA and Azide free (AB319040)

This data was developed using ab319039, the same antibody clone in a different buffer formulation.

Flow cytometric analysis of No-GFP-CD16.NK-92 (CD16 ectopically expressed natural killer(NK-92®) cell with no GFP tag) (Right) / A549 (human lung carcinoma epithelial cell) (Left) cells labelling CD200R with ab319039 at 1/500 dilution (0.1ug) (Red) compared with a Rabbit monoclonal IgG (ab172730) (Black) isotype control and an unlabelled control (cells without incubation with primary antibody and secondary antibody).

Goat Anti-Rabbit IgG (Alexa Fluor® 488, ab150081) at 1/5000 dilution was used as the secondary antibody.

Gated on viable cells.
Low expression : A549.

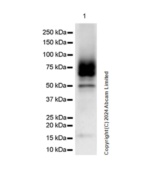
Western blot - Anti-CD200R antibody [EPR28088-189] - BSA and Azide free (AB319040)
  • WB

Supplier Data

Western blot - Anti-CD200R antibody [EPR28088-189] - BSA and Azide free (AB319040)

This data was developed using ab319039, the same antibody clone in a different buffer formulation.

Blocking and diluting buffer and concentration : 5% NFDM/TBST.

The identity of the bands lower than 50 kDa are unknown.

All lanes:

Western blot - Anti-CD200R antibody [EPR28088-189] (<a href='/en-us/products/primary-antibodies/cd200r-antibody-epr28088-189-ab319039'>ab319039</a>) at 1/1000 dilution

Lane 1:

HEL (human erythroleukemia erythroblast) whole cell lysate at 20 µg

Lane 2:

HuT-78 (human sezary syndrome cutaneous t lymphocyte) whole cell lysate at 20 µg

Secondary

All lanes:

Western blot - Goat Anti-Rabbit IgG H&L (HRP) (<a href='/en-us/products/secondary-antibodies/goat-rabbit-igg-h-l-hrp-ab97051'>ab97051</a>) at 1/20000 dilution

Observed band size: 60-90 kDa

false

Exposure time: 180s

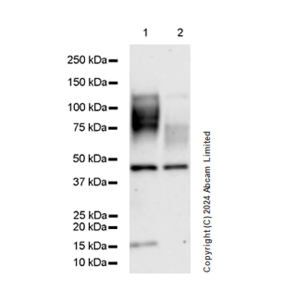
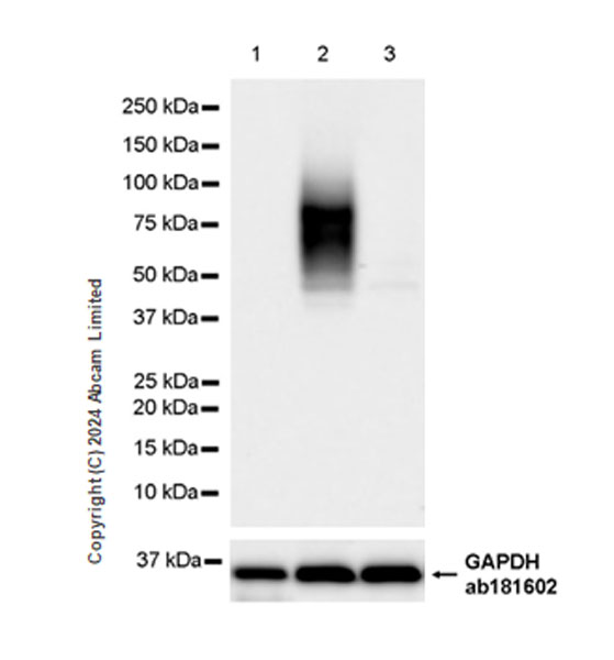
Western blot - Anti-CD200R antibody [EPR28088-189] - BSA and Azide free (AB319040)
  • WB

Supplier Data

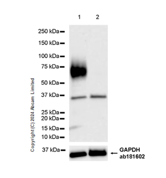
Western blot - Anti-CD200R antibody [EPR28088-189] - BSA and Azide free (AB319040)

This data was developed using ab319039, the same antibody clone in a different buffer formulation.

Blocking and diluting buffer and concentration : 5% NFDM/TBST.

Low expression : A549, NCI-H1299 (PMID : 32395395).

The identity of the bands lower than 50 kDa are unknown.

In Western blot, Anti-GAPDH antibody [EPR16891] - Loading Control (ab181602) staining at 1/200000 dilution.

All lanes:

Western blot - Anti-CD200R antibody [EPR28088-189] (<a href='/en-us/products/primary-antibodies/cd200r-antibody-epr28088-189-ab319039'>ab319039</a>) at 1/1000 dilution

Lane 1:

A549 (human lung carcinoma epithelial cell) whole cell lysate at 20 µg

Lane 2:

No-GFP-CD16.NK-92 (natural killer (nk-92®) cell lacki gfp-cd16) whole cell lysate at 20 µg

Lane 3:

NCI-H1299 (human lung carcinoma epithelial cell) whole cell lysate at 20 µg

Secondary

All lanes:

Western blot - Goat Anti-Rabbit IgG H&L (HRP) (<a href='/en-us/products/secondary-antibodies/goat-rabbit-igg-h-l-hrp-ab97051'>ab97051</a>) at 1/20000 dilution

Observed band size: 60-90 kDa,36 kDa

false

Exposure time: 10s

Western blot - Anti-CD200R antibody [EPR28088-189] - BSA and Azide free (AB319040)
  • WB

Supplier Data

Western blot - Anti-CD200R antibody [EPR28088-189] - BSA and Azide free (AB319040)

This data was developed using ab319039, the same antibody clone in a different buffer formulation.

Blocking and diluting buffer and concentration : 5% NFDM/TBST.

The identity of the lower MW band at approximately 48 kDa is unknown.

The high-sensitivity ECL substrate allows for the detection of proteins in the mid-femtogram range.

All lanes:

Western blot - Anti-CD200R antibody [EPR28088-189] (<a href='/en-us/products/primary-antibodies/cd200r-antibody-epr28088-189-ab319039'>ab319039</a>) at 1/1000 dilution

All lanes:

Human placenta tissue lysate at 20 µg

Secondary

All lanes:

Goat Anti-Rabbit IgG (HRP) with minimal cross-reactivity with human IgG at 1/2000 dilution

Observed band size: 60-90 kDa

true

Exposure time: 136s

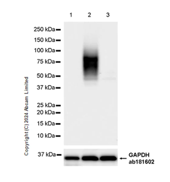
Western blot - Anti-CD200R antibody [EPR28088-189] - BSA and Azide free (AB319040)
  • WB

Supplier Data

Western blot - Anti-CD200R antibody [EPR28088-189] - BSA and Azide free (AB319040)

This data was developed using ab319039, the same antibody clone in a different buffer formulation.

Blocking and diluting buffer and concentration : 5% NFDM/TBST.

Low expression : skeletal muscle (PMID : 12853143).

The identity of the lower MW band at approximately 36 kDa is unknown.

In Western blot, Anti-GAPDH antibody [EPR16891] - Loading Control (ab181602) staining at 1/200000 dilution.

All lanes:

Western blot - Anti-CD200R antibody [EPR28088-189] (<a href='/en-us/products/primary-antibodies/cd200r-antibody-epr28088-189-ab319039'>ab319039</a>) at 1/1000 dilution

Lane 1:

Human spleen tissue lysate at 20 µg

Lane 2:

Human skeletal muscle tissue lysate at 20 µg

Secondary

All lanes:

Goat Anti-Rabbit IgG (HRP) with minimal cross-reactivity with human IgG at 1/2000 dilution

Observed band size: 60-75 kDa,36 kDa

false

Exposure time: 136s

Key facts

Host species

Rabbit

Clonality

Monoclonal

Clone number

EPR28088-189

Isotype

IgG

Carrier free

Yes

Reacts with

Human

Applications

Flow Cyt, WB

applications

Immunogen

The exact immunogen used to generate this antibody is proprietary information.

Reactivity data

{ "title": "Reactivity Data", "filters": { "stats": ["", "Species", "Dilution Info", "Notes"], "tabs": { "all-applications": {"fullname" : "All Applications", "shortname": "All Applications"}, "FlowCyt" : {"fullname" : "Flow Cytometry", "shortname":"Flow Cyt"}, "WB" : {"fullname" : "Western blot", "shortname":"WB"}, "IHCP" : {"fullname" : "Immunohistochemistry (Formalin/PFA-fixed paraffin-embedded sections)", "shortname":"IHC-P"}, "ICCIF" : {"fullname" : "Immunocytochemistry/ Immunofluorescence", "shortname":"ICC/IF"} }, "product-promise": { "all": "all", "testedAndGuaranteed": "tested", "guaranteed": "expected", "predicted": "predicted", "notRecommended": "not-recommended" } }, "values": { "Human": { "FlowCyt-species-checked": "testedAndGuaranteed", "FlowCyt-species-dilution-info": "", "FlowCyt-species-notes": "<p></p>", "WB-species-checked": "testedAndGuaranteed", "WB-species-dilution-info": "", "WB-species-notes": "<p></p>", "IHCP-species-checked": "notRecommended", "IHCP-species-dilution-info": "", "IHCP-species-notes": "<p></p>", "ICCIF-species-checked": "notRecommended", "ICCIF-species-dilution-info": "", "ICCIF-species-notes": "<p></p>" }, "Mouse": { "FlowCyt-species-checked": "notRecommended", "FlowCyt-species-dilution-info": "", "FlowCyt-species-notes": "", "WB-species-checked": "notRecommended", "WB-species-dilution-info": "", "WB-species-notes": "", "IHCP-species-checked": "notRecommended", "IHCP-species-dilution-info": "", "IHCP-species-notes": "<p></p>", "ICCIF-species-checked": "notRecommended", "ICCIF-species-dilution-info": "", "ICCIF-species-notes": "" }, "Rat": { "FlowCyt-species-checked": "notRecommended", "FlowCyt-species-dilution-info": "", "FlowCyt-species-notes": "", "WB-species-checked": "notRecommended", "WB-species-dilution-info": "", "WB-species-notes": "", "IHCP-species-checked": "notRecommended", "IHCP-species-dilution-info": "", "IHCP-species-notes": "<p></p>", "ICCIF-species-checked": "notRecommended", "ICCIF-species-dilution-info": "", "ICCIF-species-notes": "" } } }

Product details

ab319040 is the carrier-free version of ab319039.

Patented technology
Our RabMAb® technology is a patented hybridoma-based technology for making rabbit monoclonal antibodies. For details on our patents, please refer to RabMAb® patents.

What are the advantages of a recombinant monoclonal antibody?
This product is a recombinant monoclonal antibody, which offers several advantages including:

  • - High batch-to-batch consistency and reproducibility
  • - Improved sensitivity and specificity
  • - Long-term security of supply
  • - Animal-free batch production

For more information, read more on recombinant antibodies.

Conjugation ready
Our carrier-free antibodies are typically supplied in a PBS-only formulation, purified and free of BSA, sodium azide and glycerol. This conjugation-ready format is designed for use with fluorochromes, metal isotopes, oligonucleotides, and enzymes, which makes them ideal for antibody labelling, functional and cell-based assays, flow-based assays (e.g. mass cytometry) and Multiplex Imaging applications.

Use our conjugation kits for antibody conjugates that are ready-to-use in as little as 20 minutes with 1 minute hands-on-time and 100% antibody recovery: available for fluorescent dyes, HRP, biotin and gold.

Compatibility
This product is compatible with the Maxpar® Antibody Labeling Kit from Fluidigm, without the need for antibody preparation. Maxpar® is a trademark of Fluidigm Canada Inc.

Properties and storage information

Form
Liquid
Purification technique
Affinity purification Protein A
Storage buffer
pH: 7.2 - 7.4 Constituents: PBS
Shipped at conditions
Blue Ice
Appropriate short-term storage conditions
+4°C
Appropriate long-term storage conditions
+4°C

Supplementary information

This supplementary information is collated from multiple sources and compiled automatically.

CD200R also known as CD200 receptor is a protein expressed mainly on myeloid cells including macrophages dendritic cells and certain T cells. The protein has a molecular mass of approximately 62 kDa. This receptor is a type I membrane glycoprotein that plays an important role in immune system regulation. It binds to its ligand CD200 protein found on various cell types such as neurons epithelial cells and some immune cells to mediate suppressive effects on the immune response.
Biological function summary

CD200R plays a significant role in controlling the immune response by acting as an inhibitory receptor. When activated it sends signals that dampen immune cell activity which can prevent overactive immune responses and promote tissue homeostasis. This receptor is not part of a large receptor complex but interacts directly with its ligand CD200 to initiate signaling cascades that modulate immune functions. Its primary role lies in preventing unnecessary inflammation and autoimmunity through negative regulation of macrophage activation.

Pathways

CD200R is involved in the regulatory pathways of the immune system. It participates in pathways that manage immune tolerance and its interactions impact pathways related to inflammation control and tissue repair. The CD200R signaling cascades intersect with pathways involving other immune-modulatory proteins such as CD200R1 and CD200R3 which contribute to cellular communication in the immune environment. These pathways play critical roles in downregulating inflammatory responses and maintaining immune balance.

CD200R holds relevance for conditions involving immune dysregulation. It is connected to autoimmune disorders and atopic dermatitis. For example in atopic dermatitis altered expression or function of CD200R may lead to improper immune responses contributing to inflammation. Furthermore CD200R agonists which are molecules that mimic the function of CD200 are an area of interest for developing therapeutic strategies to modulate immune responses. Related proteins such as CD200 and its other receptor variants play active roles in these disorders highlighting the importance of their balanced function to maintain immune homeostasis.

Product protocols

For this product, it's our understanding that no specific protocols are required. You can visit:

Target data

Inhibitory receptor for the CD200/OX2 cell surface glycoprotein. Limits inflammation by inhibiting the expression of pro-inflammatory molecules including TNF-alpha, interferons, and inducible nitric oxide synthase (iNOS) in response to selected stimuli. Also binds to HHV-8 K14 viral CD200 homolog with identical affinity and kinetics as the host CD200.
See full target information CD200R1

Product promise

We are committed to supporting your work with high-quality reagents, and we're here for you every step of the way. In the unlikely event that one of our products does not perform as expected, you're protected by our Product Promise.
For full details, please see our Terms & Conditions

Please note: All products are 'FOR RESEARCH USE ONLY. NOT FOR USE IN DIAGNOSTIC OR THERAPEUTIC PROCEDURES'.

For licensing inquiries, please contact partnerships@abcam.com