JavaScript is disabled in your browser. Please enable JavaScript to view this website.
AB243839

Anti-CD200R antibody [OX131]

Be the first to review this product! Submit a review

|

(1 Publication)

Rat Monoclonal CD200R antibody. Suitable for Flow Cyt, IHC-Fr and reacts with Mouse samples. Cited in 1 publication.

View Alternative Names

Mox2r, Ox2r, Cd200r1, Cell surface glycoprotein CD200 receptor 1, CD200 cell surface glycoprotein receptor, Cell surface glycoprotein OX2 receptor 1

2 Images
Flow Cytometry - Anti-CD200R antibody [OX131] (AB243839)
  • Flow Cyt

Lab

Flow Cytometry - Anti-CD200R antibody [OX131] (AB243839)

Flow cytometry staining of C57 BL/6 mouse splenocytes treated with 10 ug/ml LPS for 3 days with ab243839 (right) or Rat IgG1 kappa; (ab18407) isotype (left). Splenocytes were incubated for 30 min on ice in 1x PBS containing 10% mouse serum and 10% normal goat serum to block FC receptors and non-specific protein-protein interaction followed by the antibody (ab243839) or Rat IgG1 kappa; (ab18407) isotype (1x 106 in 100 μl at 1 μg/ml) for 30 min on ice.

The secondary antibody Goat anti-rat IgG H&L (Alexa Fluor® 488, pre-adsorbed) (ab150165) was used at 1/2000 dilution for 30 min on ice.

Acquisition of >30,000 events were collected using a 50 mW Blue laser (488nm) and 530/30 bandpass filter . Events were gated on live CD19 positive B cells.

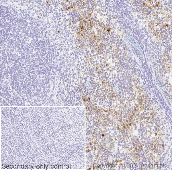
Immunohistochemistry (Frozen sections) - Anti-CD200R antibody [OX131] (AB243839)
  • IHC-Fr

Lab

Immunohistochemistry (Frozen sections) - Anti-CD200R antibody [OX131] (AB243839)

IHC image of CD200R staining in a section of frozen normal mouse spleen performed on a Leica BONDTM system using the standard protocol F.

The section was fixed with 10% paraformaldehyde for 10 mins prior to staining. The section was then incubated with ab243839, 5 μg/ml, for 15 mins at room temperature. A rabbit anti-rat bridger antibody, ab102248, was added at a 1/500 dilution for 8 mins at room temperature and then detected using an HRP conjugated compact polymer system. DAB was used as the chromogen. The section was then counterstained with haematoxylin and mounted with DPX.

The inset secondary-only control image is taken from an identical assay without primary antibody.
For other IHC staining systems (automated and non-automated) customers should optimize variable parameters such as antigen retrieval conditions, primary antibody concentration and antibody incubation times.

Key facts

Host species

Rat

Clonality

Monoclonal

Clone number

OX131

Isotype

IgG1

Carrier free

No

Reacts with

Mouse

Applications

Flow Cyt, IHC-Fr

applications

Immunogen

The exact immunogen used to generate this antibody is proprietary information.

Reactivity data

{ "title": "Reactivity Data", "filters": { "stats": ["", "Species", "Dilution Info", "Notes"], "tabs": { "all-applications": {"fullname" : "All Applications", "shortname": "All Applications"}, "FlowCyt" : {"fullname" : "Flow Cytometry", "shortname":"Flow Cyt"}, "IHCFr" : {"fullname" : "Immunohistochemistry (Frozen sections)", "shortname":"IHC-Fr"} }, "product-promise": { "all": "all", "testedAndGuaranteed": "tested", "guaranteed": "expected", "predicted": "predicted", "notRecommended": "not-recommended" } }, "values": { "Mouse": { "FlowCyt-species-checked": "testedAndGuaranteed", "FlowCyt-species-dilution-info": "1/1000", "FlowCyt-species-notes": "<p></p>", "IHCFr-species-checked": "testedAndGuaranteed", "IHCFr-species-dilution-info": "5 µg/mL", "IHCFr-species-notes": "<p></p>" } } }

Properties and storage information

Form
Liquid
Purification technique
Affinity purification Protein G
Storage buffer
Preservative: 0.01% Sodium azide Constituents: PBS, 40% Glycerol (glycerin, glycerine), 0.05% BSA
Shipped at conditions
Blue Ice
Appropriate short-term storage duration
1-2 weeks
Appropriate short-term storage conditions
+4°C
Appropriate long-term storage conditions
-20°C
Aliquoting information
Upon delivery aliquot
Storage information
Avoid freeze / thaw cycle

Supplementary information

This supplementary information is collated from multiple sources and compiled automatically.

CD200R also known as CD200 receptor is a protein expressed mainly on myeloid cells including macrophages dendritic cells and certain T cells. The protein has a molecular mass of approximately 62 kDa. This receptor is a type I membrane glycoprotein that plays an important role in immune system regulation. It binds to its ligand CD200 protein found on various cell types such as neurons epithelial cells and some immune cells to mediate suppressive effects on the immune response.
Biological function summary

CD200R plays a significant role in controlling the immune response by acting as an inhibitory receptor. When activated it sends signals that dampen immune cell activity which can prevent overactive immune responses and promote tissue homeostasis. This receptor is not part of a large receptor complex but interacts directly with its ligand CD200 to initiate signaling cascades that modulate immune functions. Its primary role lies in preventing unnecessary inflammation and autoimmunity through negative regulation of macrophage activation.

Pathways

CD200R is involved in the regulatory pathways of the immune system. It participates in pathways that manage immune tolerance and its interactions impact pathways related to inflammation control and tissue repair. The CD200R signaling cascades intersect with pathways involving other immune-modulatory proteins such as CD200R1 and CD200R3 which contribute to cellular communication in the immune environment. These pathways play critical roles in downregulating inflammatory responses and maintaining immune balance.

CD200R holds relevance for conditions involving immune dysregulation. It is connected to autoimmune disorders and atopic dermatitis. For example in atopic dermatitis altered expression or function of CD200R may lead to improper immune responses contributing to inflammation. Furthermore CD200R agonists which are molecules that mimic the function of CD200 are an area of interest for developing therapeutic strategies to modulate immune responses. Related proteins such as CD200 and its other receptor variants play active roles in these disorders highlighting the importance of their balanced function to maintain immune homeostasis.

Product protocols

For this product, it's our understanding that no specific protocols are required. You can visit:

Target data

Inhibitory receptor for the CD200/OX2 cell surface glycoprotein. Limits inflammation by inhibiting the expression of pro-inflammatory molecules including TNF-alpha, interferons, and inducible nitric oxide synthase (iNOS) in response to selected stimuli.
See full target information Cd200r1

Publications (1)

Recent publications for all applications. Explore the full list and refine your search

PloS one 8:e63325 PubMed23691022

2013

Dissection of agonistic and blocking effects of CD200 receptor antibodies.

Applications

Unspecified application

Species

Unspecified reactive species

Munir Akkaya,Marie-Laure Aknin,Billur Akkaya,A Neil Barclay
View all publications

Product promise

We are committed to supporting your work with high-quality reagents, and we're here for you every step of the way. In the unlikely event that one of our products does not perform as expected, you're protected by our Product Promise.
For full details, please see our Terms & Conditions

Please note: All products are 'FOR RESEARCH USE ONLY. NOT FOR USE IN DIAGNOSTIC OR THERAPEUTIC PROCEDURES'.

For licensing inquiries, please contact partnerships@abcam.com