JavaScript is disabled in your browser. Please enable JavaScript to view this website.
AB244593

Anti-CD200R antibody [OX131] - BSA and Azide free

Be the first to review this product! Submit a review

|

(1 Publication)

Rat Monoclonal CD200R antibody. Carrier free. Suitable for Flow Cyt, IHC-Fr and reacts with Mouse samples. Cited in 1 publication.

View Alternative Names

Mox2r, Ox2r, Cd200r1, Cell surface glycoprotein CD200 receptor 1, CD200 cell surface glycoprotein receptor, Cell surface glycoprotein OX2 receptor 1

2 Images
Flow Cytometry - Anti-CD200R antibody [OX131] - BSA and Azide free (AB244593)
  • Flow Cyt

Lab

Flow Cytometry - Anti-CD200R antibody [OX131] - BSA and Azide free (AB244593)

This data was developed using the same antibody clone in a different buffer formulation (ab243839).

Flow cytometry overlay histogram showing left control cells and right C57 BL/6 mouse splenocytes treated with 10 ug/ml LPS for 3 days stained with ab243839 (red line). The cells were incubated in 1x PBS containing 10% mouse serum and 10% normal goat serum followed by the antibody (ab243839) (1x106 in 100 μl at 1 μg/ml) for 30 min on ice.

The secondary antibody Goat anti-rat IgG H&L (Alexa Fluor ® 488, pre-adsorbed) (ab150165) was used at 1/2000 for 30 min on ice.

Isotype control antibody (black line) was Rat IgG1κ (ab18407) used at the same concentration and conditions as the primary antibody. Unlabelled sample (blue line) was also used as a control.

Acquisition of >30000 events were collected using a 50 mW Blue laser (488nm) and 530/30 bandpass filter. Events were gated on live CD19 positive B cells.

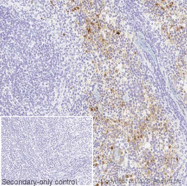
Immunohistochemistry (Frozen sections) - Anti-CD200R antibody [OX131] - BSA and Azide free (AB244593)
  • IHC-Fr

Lab

Immunohistochemistry (Frozen sections) - Anti-CD200R antibody [OX131] - BSA and Azide free (AB244593)

This data was developed using the same antibody clone in a different buffer formulation (ab243839).

IHC image of CD200R staining in a section of frozen normal mouse spleen performed on a Leica BONDTM system using the standard protocol F.

The section was fixed with 10% paraformaldehyde for 10 mins prior to staining. The section was then incubated with ab243839, 5 μg/ml, for 15 mins at room temperature. A rabbit anti-rat bridger antibody, ab102248, was added at a 1/500 dilution for 8 mins at room temperature and then detected using an HRP conjugated compact polymer system. DAB was used as the chromogen. The section was then counterstained with haematoxylin and mounted with DPX.

The inset secondary-only control image is taken from an identical assay without primary antibody.
For other IHC staining systems (automated and non-automated) customers should optimize variable parameters such as antigen retrieval conditions, primary antibody concentration and antibody incubation times.

Key facts

Host species

Rat

Clonality

Monoclonal

Clone number

OX131

Isotype

IgG1

Carrier free

Yes

Reacts with

Mouse

Applications

Flow Cyt, IHC-Fr

applications

Immunogen

The exact immunogen used to generate this antibody is proprietary information.

Reactivity data

{ "title": "Reactivity Data", "filters": { "stats": ["", "Species", "Dilution Info", "Notes"], "tabs": { "all-applications": {"fullname" : "All Applications", "shortname": "All Applications"}, "FlowCyt" : {"fullname" : "Flow Cytometry", "shortname":"Flow Cyt"}, "IHCFr" : {"fullname" : "Immunohistochemistry (Frozen sections)", "shortname":"IHC-Fr"} }, "product-promise": { "all": "all", "testedAndGuaranteed": "tested", "guaranteed": "expected", "predicted": "predicted", "notRecommended": "not-recommended" } }, "values": { "Mouse": { "FlowCyt-species-checked": "testedAndGuaranteed", "FlowCyt-species-dilution-info": "", "FlowCyt-species-notes": "<p></p>", "IHCFr-species-checked": "testedAndGuaranteed", "IHCFr-species-dilution-info": "", "IHCFr-species-notes": "<p></p>" } } }

Product details

ab244593 is the carrier-free version of ab243839.

Conjugation ready
Our carrier-free antibodies are typically supplied in a PBS-only formulation, purified and free of BSA, sodium azide and glycerol. This conjugation-ready format is designed for use with fluorochromes, metal isotopes, oligonucleotides, and enzymes, which makes them ideal for antibody labelling, functional and cell-based assays, flow-based assays (e.g. mass cytometry) and Multiplex Imaging applications.

Use our conjugation kits for antibody conjugates that are ready-to-use in as little as 20 minutes with 1 minute hands-on-time and 100% antibody recovery: available for fluorescent dyes, HRP, biotin and gold.

Compatibility
This product is compatible with the Maxpar® Antibody Labeling Kit from Fluidigm, without the need for antibody preparation. Maxpar® is a trademark of Fluidigm Canada Inc.

Properties and storage information

Form
Liquid
Purification technique
Affinity purification Protein G
Storage buffer
Constituents: 100% PBS
Shipped at conditions
Blue Ice
Appropriate short-term storage conditions
+4°C
Appropriate long-term storage conditions
+4°C
Storage information
Do Not Freeze

Supplementary information

This supplementary information is collated from multiple sources and compiled automatically.

CD200R also known as CD200 receptor is a protein expressed mainly on myeloid cells including macrophages dendritic cells and certain T cells. The protein has a molecular mass of approximately 62 kDa. This receptor is a type I membrane glycoprotein that plays an important role in immune system regulation. It binds to its ligand CD200 protein found on various cell types such as neurons epithelial cells and some immune cells to mediate suppressive effects on the immune response.
Biological function summary

CD200R plays a significant role in controlling the immune response by acting as an inhibitory receptor. When activated it sends signals that dampen immune cell activity which can prevent overactive immune responses and promote tissue homeostasis. This receptor is not part of a large receptor complex but interacts directly with its ligand CD200 to initiate signaling cascades that modulate immune functions. Its primary role lies in preventing unnecessary inflammation and autoimmunity through negative regulation of macrophage activation.

Pathways

CD200R is involved in the regulatory pathways of the immune system. It participates in pathways that manage immune tolerance and its interactions impact pathways related to inflammation control and tissue repair. The CD200R signaling cascades intersect with pathways involving other immune-modulatory proteins such as CD200R1 and CD200R3 which contribute to cellular communication in the immune environment. These pathways play critical roles in downregulating inflammatory responses and maintaining immune balance.

CD200R holds relevance for conditions involving immune dysregulation. It is connected to autoimmune disorders and atopic dermatitis. For example in atopic dermatitis altered expression or function of CD200R may lead to improper immune responses contributing to inflammation. Furthermore CD200R agonists which are molecules that mimic the function of CD200 are an area of interest for developing therapeutic strategies to modulate immune responses. Related proteins such as CD200 and its other receptor variants play active roles in these disorders highlighting the importance of their balanced function to maintain immune homeostasis.

Product protocols

For this product, it's our understanding that no specific protocols are required. You can visit:

Target data

Inhibitory receptor for the CD200/OX2 cell surface glycoprotein. Limits inflammation by inhibiting the expression of pro-inflammatory molecules including TNF-alpha, interferons, and inducible nitric oxide synthase (iNOS) in response to selected stimuli.
See full target information Cd200r1

Publications (1)

Recent publications for all applications. Explore the full list and refine your search

PloS one 8:e63325 PubMed23691022

2013

Dissection of agonistic and blocking effects of CD200 receptor antibodies.

Applications

Unspecified application

Species

Unspecified reactive species

Munir Akkaya,Marie-Laure Aknin,Billur Akkaya,A Neil Barclay
View all publications

Product promise

We are committed to supporting your work with high-quality reagents, and we're here for you every step of the way. In the unlikely event that one of our products does not perform as expected, you're protected by our Product Promise.
For full details, please see our Terms & Conditions

Please note: All products are 'FOR RESEARCH USE ONLY. NOT FOR USE IN DIAGNOSTIC OR THERAPEUTIC PROCEDURES'.

For licensing inquiries, please contact partnerships@abcam.com