JavaScript is disabled in your browser. Please enable JavaScript to view this website.
AB283512

Anti-CD204 antibody [EPR24403-17] - BSA and Azide free

Be the first to review this product! Submit a review

|

(0 Publication)

Rabbit Recombinant Monoclonal CD204 antibody. Carrier free. Suitable for IP, Flow Cyt, WB, ICC/IF, IHC-P and reacts with Human samples.

View Alternative Names

CD204, SCARA1, MSR1, Macrophage scavenger receptor types I and II, Macrophage acetylated LDL receptor I and II, Scavenger receptor class A member 1

9 Images
Immunohistochemistry (Formalin/PFA-fixed paraffin-embedded sections) - Anti-CD204 antibody [EPR24403-17] - BSA and Azide free (AB283512)
  • IHC-P

Supplier Data

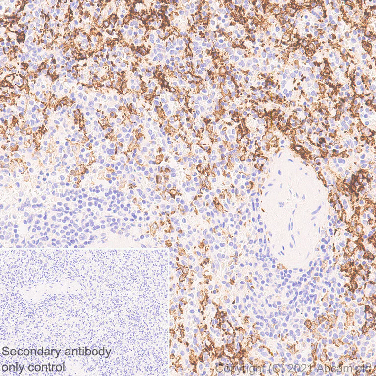
Immunohistochemistry (Formalin/PFA-fixed paraffin-embedded sections) - Anti-CD204 antibody [EPR24403-17] - BSA and Azide free (AB283512)

This data was developed using ab271070, the same antibody clone in a different buffer formulation.

Immunohistochemical analysis of paraffin-embedded Human spleen tissue labelling CD204 with ab271070 at 1/100 (5.16 ug/ml) dilution followed by a ready to use LeicaDS9800 (Bond™ Polymer Refine Detection). Positive staining on human spleen. The section was incubated with ab271070 for 30 mins at room temperature. The immunostaining was performed on a Leica Biosystems BOND® RX instrument Counterstained with Hematoxylin.

Secondary antibody only control : Secondary antibody is a ready to use LeicaDS9800 (Bond™ Polymer Refine Detection).

Heat mediated antigen retrieval with Tris-EDTA buffer (pH 9.0, epitope retrieval solution2) for 20 mins.

Immunocytochemistry/ Immunofluorescence - Anti-CD204 antibody [EPR24403-17] - BSA and Azide free (AB283512)
  • ICC/IF

Supplier Data

Immunocytochemistry/ Immunofluorescence - Anti-CD204 antibody [EPR24403-17] - BSA and Azide free (AB283512)

This data was developed using ab271070, the same antibody clone in a different buffer formulation.

Immunofluorescent analysis of 4% Paraformaldehyde-fixed, 0.1% TritonX-100 permeabilized THP-1 cells labelling CD204 with ab271070 at 1/50 (10.32 ug/ml) dilution, followed by ab150081 Goat Anti-Rabbit IgG H&L (Alexa Fluor® 488) preadsorbed antibody at 1/1000 (2 ug/ml) dilution (Green). Confocal image showing increased cytoplasmic staining in THP-1 cells treated with Phorbol-12-myristate-13-acetate (80 nM) for 72 hours. ab195889 Anti-alpha Tubulin mouse monoclonal antibody - Microtubule Marker (Alexa Fluor® 594) was used to counterstain tubulin at 1/200 (2.5 ug/ml) dilution (Red). The Nuclear counterstain was DAPI (Blue).

Secondary antibody only control : Secondary antibody is ab150081 Goat Anti-Rabbit IgG H&L (Alexa Fluor® 488) preadsorbed at 1/1000 (2 ug/ml) dilution.

Immunohistochemistry (Formalin/PFA-fixed paraffin-embedded sections) - Anti-CD204 antibody [EPR24403-17] - BSA and Azide free (AB283512)
  • IHC-P

Supplier Data

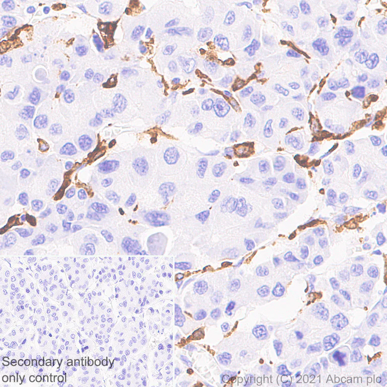
Immunohistochemistry (Formalin/PFA-fixed paraffin-embedded sections) - Anti-CD204 antibody [EPR24403-17] - BSA and Azide free (AB283512)

This data was developed using ab271070, the same antibody clone in a different buffer formulation.

Immunohistochemical analysis of paraffin-embedded Human liver tissue labelling CD204 with ab271070 at 1/100 (5.16 ug/ml) dilution followed by a ready to use LeicaDS9800 (Bond™ Polymer Refine Detection). Positive staining on Kupffer cells in human liver (PMID : 28202073). The section was incubated with ab271070 for 30 mins at room temperature. The immunostaining was performed on a Leica Biosystems BOND® RX instrument Counterstained with Hematoxylin.

Secondary antibody only control : Secondary antibody is a ready to use LeicaDS9800 (Bond™ Polymer Refine Detection).

Heat mediated antigen retrieval with Tris-EDTA buffer (pH 9.0, epitope retrieval solution2) for 20 mins.

Immunohistochemistry (Formalin/PFA-fixed paraffin-embedded sections) - Anti-CD204 antibody [EPR24403-17] - BSA and Azide free (AB283512)
  • IHC-P

Supplier Data

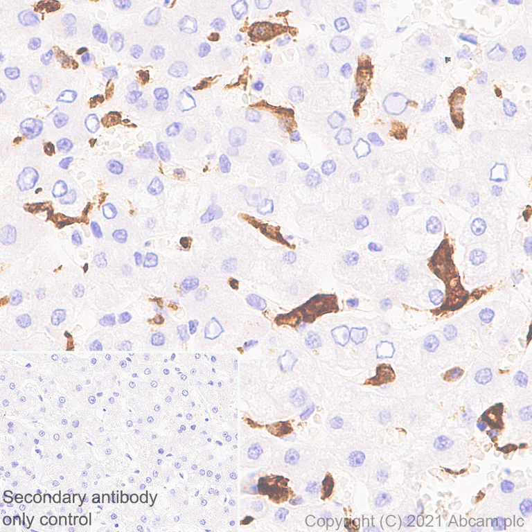
Immunohistochemistry (Formalin/PFA-fixed paraffin-embedded sections) - Anti-CD204 antibody [EPR24403-17] - BSA and Azide free (AB283512)

This data was developed using ab271070, the same antibody clone in a different buffer formulation.

Immunohistochemical analysis of paraffin-embedded Human lung tissue labelling CD204 with ab271070 at 1/100 (5.16 ug/ml) dilution followed by a ready to use LeicaDS9800 (Bond™ Polymer Refine Detection). Positive staining on macrophages in human lung. The section was incubated with ab271070 for 30 mins at room temperature. The immunostaining was performed on a Leica Biosystems BOND® RX instrument Counterstained with Hematoxylin.

Secondary antibody only control : Secondary antibody is a ready to use LeicaDS9800 (Bond™ Polymer Refine Detection).

Heat mediated antigen retrieval with Tris-EDTA buffer (pH 9.0, epitope retrieval solution2) for 20 mins.

Flow Cytometry - Anti-CD204 antibody [EPR24403-17] - BSA and Azide free (AB283512)
  • Flow Cyt

Supplier Data

Flow Cytometry - Anti-CD204 antibody [EPR24403-17] - BSA and Azide free (AB283512)

This data was developed using ab271070, the same antibody clone in a different buffer formulation.

Flow cytometric analysis of THP-1 (Human monocytic leukemia monocyte) cells treated with 80nM phorbol 12-myristate 13-acetate (PMA) for 72 hours (Right) / Untreated control (Left), labelling CD204 with ab271070 at 1/50 dilution (1ug). Goat F(ab')2 Anti-Rabbit IgG (DyLight® 488, ab98507) at 1/500 dilution was used as the secondary antibody. Gated on viable cells.

Immunohistochemistry (Formalin/PFA-fixed paraffin-embedded sections) - Anti-CD204 antibody [EPR24403-17] - BSA and Azide free (AB283512)
  • IHC-P

Supplier Data

Immunohistochemistry (Formalin/PFA-fixed paraffin-embedded sections) - Anti-CD204 antibody [EPR24403-17] - BSA and Azide free (AB283512)

This data was developed using ab271070, the same antibody clone in a different buffer formulation.

Immunohistochemical analysis of paraffin-embedded Human hepatocellular carcinoma tissue labelling CD204 with ab271070 at 1/100 (5.16 ug/ml) dilution followed by a ready to use LeicaDS9800 (Bond™ Polymer Refine Detection). Positive staining on immune cells in human hepatocellular carcinoma (PMID : 28202073). The section was incubated with ab271070 for 30 mins at room temperature. The immunostaining was performed on a Leica Biosystems BOND® RX instrument Counterstained with Hematoxylin.

Secondary antibody only control : Secondary antibody is a ready to use LeicaDS9800 (Bond™ Polymer Refine Detection).

Heat mediated antigen retrieval with Tris-EDTA buffer (pH 9.0, epitope retrieval solution2) for 20 mins.

Immunohistochemistry (Formalin/PFA-fixed paraffin-embedded sections) - Anti-CD204 antibody [EPR24403-17] - BSA and Azide free (AB283512)
  • IHC-P

Supplier Data

Immunohistochemistry (Formalin/PFA-fixed paraffin-embedded sections) - Anti-CD204 antibody [EPR24403-17] - BSA and Azide free (AB283512)

This data was developed using ab271070, the same antibody clone in a different buffer formulation.

Immunohistochemical analysis of paraffin-embedded Human gastric carcinoma tissue labelling CD204 with ab271070 at 1/100 (5.16 ug/ml) dilution followed by a ready to use LeicaDS9800 (Bond™ Polymer Refine Detection). Positive staining on immune cells in human gastric carcinoma (PMID : 28202073). The section was incubated with ab271070 for 30 mins at room temperature. The immunostaining was performed on a Leica Biosystems BOND® RX instrument Counterstained with Hematoxylin.

Secondary antibody only control : Secondary antibody is a ready to use LeicaDS9800 (Bond™ Polymer Refine Detection).

Heat mediated antigen retrieval with Tris-EDTA buffer (pH 9.0, epitope retrieval solution2) for 20 mins.

Immunoprecipitation - Anti-CD204 antibody [EPR24403-17] - BSA and Azide free (AB283512)
  • IP

Supplier Data

Immunoprecipitation - Anti-CD204 antibody [EPR24403-17] - BSA and Azide free (AB283512)

This data was developed using ab271070, the same antibody clone in a different buffer formulation.

CD204 was immunoprecipitated from 0.35 mg THP-1 (human monocytic leukemia monocyte), treated with 80nM PMA for 72 hours, whole cell lysate with ab271070 at 1/30 dilution (2 ug in 0.35 mg lysates). Western blot was performed on the immunoprecipitate using ab271070 at 1/1000 dilution. VeriBlot for IP secondary antibody (HRP) (ab131366) was used at 1/5000 dilution.

Lane 1 : THP-1(human monocytic leukemia monocyte) treated with 80nM PMA for 72 hours whole cell lysate 20 ug

Lane 2 : ab271070 IP in THP-1 treated with 80nM PMA for 72 hours whole cell lysate

Lane 3 : Rabbit monoclonal IgG (ab172730) instead of ab271070 in THP-1 treated with 80nM PMA for 72 hours whole cell lysate

Blocking and dilution buffer and concentration : 5% NFDM/TBST.

Exposure time : 6 seconds.

All lanes:

Immunoprecipitation - Anti-CD204 antibody [EPR24403-17] (<a href='/en-us/products/primary-antibodies/cd204-antibody-epr24403-17-ab271070'>ab271070</a>)

Predicted band size: 50 kDa

Observed band size: 80 kDa

false

Western blot - Anti-CD204 antibody [EPR24403-17] - BSA and Azide free (AB283512)
  • WB

Lab

Western blot - Anti-CD204 antibody [EPR24403-17] - BSA and Azide free (AB283512)

This data was developed using ab271070, the same antibody clone in a different buffer formulation. Blocking and diluting buffer and concentration : 5% NFDM/TBST. The expression profile/ molecular weight observed is consistent with what has been described in the literature (PMID : 30991038). Exposure time : Lanes 1-2 : 26 seconds; Lanes 3-4 : 8 seconds.

All lanes:

Western blot - Anti-CD204 antibody [EPR24403-17] (<a href='/en-us/products/primary-antibodies/cd204-antibody-epr24403-17-ab271070'>ab271070</a>) at 1/1000 dilution

Lane 1:

Human liver tissue lysate at 20 µg

Lane 2:

Human spleen tissue lysate at 20 µg

Lane 3:

Untreated THP-1 (human monocytic leukemia monocyte) whole cell lysate at 20 µg

Lane 4:

THP-1 treated with 80nM PMA for 72 hours whole cell lysate at 20 µg

Secondary

All lanes:

Western blot - Goat Anti-Rabbit IgG H&L (HRP) (<a href='/en-us/products/secondary-antibodies/goat-rabbit-igg-h-l-hrp-ab97051'>ab97051</a>) at 1/50000 dilution

Predicted band size: 50 kDa

Observed band size: 80 kDa

false

Key facts

Host species

Rabbit

Clonality

Monoclonal

Clone number

EPR24403-17

Isotype

IgG

Carrier free

Yes

Reacts with

Human

Applications

ICC/IF, IP, WB, Flow Cyt, IHC-P

applications

Immunogen

The exact immunogen used to generate this antibody is proprietary information.

Reactivity data

{ "title": "Reactivity Data", "filters": { "stats": ["", "Species", "Dilution Info", "Notes"], "tabs": { "all-applications": {"fullname" : "All Applications", "shortname": "All Applications"}, "IP" : {"fullname" : "Immunoprecipitation", "shortname":"IP"}, "FlowCyt" : {"fullname" : "Flow Cytometry", "shortname":"Flow Cyt"}, "WB" : {"fullname" : "Western blot", "shortname":"WB"}, "ICCIF" : {"fullname" : "Immunocytochemistry/ Immunofluorescence", "shortname":"ICC/IF"}, "IHCP" : {"fullname" : "Immunohistochemistry (Formalin/PFA-fixed paraffin-embedded sections)", "shortname":"IHC-P"} }, "product-promise": { "all": "all", "testedAndGuaranteed": "tested", "guaranteed": "expected", "predicted": "predicted", "notRecommended": "not-recommended" } }, "values": { "Human": { "IP-species-checked": "testedAndGuaranteed", "IP-species-dilution-info": "", "IP-species-notes": "<p></p>", "FlowCyt-species-checked": "testedAndGuaranteed", "FlowCyt-species-dilution-info": "", "FlowCyt-species-notes": "<p></p>", "WB-species-checked": "testedAndGuaranteed", "WB-species-dilution-info": "", "WB-species-notes": "<p></p>", "ICCIF-species-checked": "testedAndGuaranteed", "ICCIF-species-dilution-info": "", "ICCIF-species-notes": "<p></p>", "IHCP-species-checked": "testedAndGuaranteed", "IHCP-species-dilution-info": "", "IHCP-species-notes": "<p></p>" }, "Mouse": { "IP-species-checked": "notRecommended", "IP-species-dilution-info": "", "IP-species-notes": "", "FlowCyt-species-checked": "notRecommended", "FlowCyt-species-dilution-info": "", "FlowCyt-species-notes": "", "WB-species-checked": "notRecommended", "WB-species-dilution-info": "", "WB-species-notes": "<p></p>", "ICCIF-species-checked": "notRecommended", "ICCIF-species-dilution-info": "", "ICCIF-species-notes": "", "IHCP-species-checked": "notRecommended", "IHCP-species-dilution-info": "", "IHCP-species-notes": "<p></p>" }, "Rat": { "IP-species-checked": "notRecommended", "IP-species-dilution-info": "", "IP-species-notes": "", "FlowCyt-species-checked": "notRecommended", "FlowCyt-species-dilution-info": "", "FlowCyt-species-notes": "", "WB-species-checked": "notRecommended", "WB-species-dilution-info": "", "WB-species-notes": "<p></p>", "ICCIF-species-checked": "notRecommended", "ICCIF-species-dilution-info": "", "ICCIF-species-notes": "", "IHCP-species-checked": "notRecommended", "IHCP-species-dilution-info": "", "IHCP-species-notes": "<p></p>" } } }

Product details

ab283512 is the carrier-free version of ab271070.

Patented technology
Our RabMAb® technology is a patented hybridoma-based technology for making rabbit monoclonal antibodies. For details on our patents, please refer to RabMAb® patents.

What are the advantages of a recombinant monoclonal antibody?
This product is a recombinant monoclonal antibody, which offers several advantages including:

  • - High batch-to-batch consistency and reproducibility
  • - Improved sensitivity and specificity
  • - Long-term security of supply
  • - Animal-free batch production

For more information, read more on recombinant antibodies.

Conjugation ready
Our carrier-free antibodies are typically supplied in a PBS-only formulation, purified and free of BSA, sodium azide and glycerol. This conjugation-ready format is designed for use with fluorochromes, metal isotopes, oligonucleotides, and enzymes, which makes them ideal for antibody labelling, functional and cell-based assays, flow-based assays (e.g. mass cytometry) and Multiplex Imaging applications.

Use our conjugation kits for antibody conjugates that are ready-to-use in as little as 20 minutes with 1 minute hands-on-time and 100% antibody recovery: available for fluorescent dyes, HRP, biotin and gold.

Compatibility
This product is compatible with the Maxpar® Antibody Labeling Kit from Fluidigm, without the need for antibody preparation. Maxpar® is a trademark of Fluidigm Canada Inc.

Properties and storage information

Form
Liquid
Purification technique
Affinity purification Protein A
Storage buffer
pH: 7.2 - 7.4 Constituents: PBS
Shipped at conditions
Blue Ice
Appropriate short-term storage conditions
+4°C
Appropriate long-term storage conditions
+4°C

Supplementary information

This supplementary information is collated from multiple sources and compiled automatically.

CD204 also known as MSR1 or the macrophage scavenger receptor 1 is a class A scavenger receptor. It has a molecular mass of approximately 80-85 kDa. CD204 is mainly expressed on the surface of macrophages as well as some dendritic cells. This receptor plays a role in mediating the endocytosis of various polyanionic molecules such as modified low-density lipoproteins. CD204 serves as a recognition site for apoptotic cells signaling molecules and some types of bacteria.
Biological function summary

CD204 influences inflammatory responses and lipid metabolism. It does not function alone but as part of a complex involving several other molecules like pattern recognition receptors. CD204 recognizes and binds to modified lipoproteins and is significant in processes like phagocytosis and clearance of cellular debris. Its activity affects immune response modulation and can influence atherosclerosis development by its interaction with oxidized low-density lipoproteins.

Pathways

The role of CD204 extends to key cellular and immunological pathways. This receptor is involved in the Toll-like receptor signaling pathway which is important for innate immunity besides participating in the macrophage activation pathways. In these pathways CD204 interacts with other proteins including CD36 and SRA. This interaction helps coordinate inflammatory responses and the resolution of inflammation.

CD204 is associated with atherosclerosis and chronic inflammation. Its connection with these conditions arises from its role in lipid uptake and immune cell regulation within the vascular system. In the context of atherosclerosis CD204's interaction with Apolipoprotein E (ApoE) influences the formation of foam cells which are significant in the disease's progression. Similarly in chronic inflammation CD204 modulates macrophage behavior impacting the inflammatory environment and potentially affecting the disease outcome.

Product protocols

For this product, it's our understanding that no specific protocols are required. You can visit:

Target data

Membrane glycoproteins implicated in the pathologic deposition of cholesterol in arterial walls during atherogenesis. Two types of receptor subunits exist. These receptors mediate the endocytosis of a diverse group of macromolecules, including modified low density lipoproteins (LDL) (PubMed : 2251254). Isoform III does not internalize acetylated LDL (PubMed : 9548586).
See full target information MSR1

Product promise

We are committed to supporting your work with high-quality reagents, and we're here for you every step of the way. In the unlikely event that one of our products does not perform as expected, you're protected by our Product Promise.
For full details, please see our Terms & Conditions

Please note: All products are 'FOR RESEARCH USE ONLY. NOT FOR USE IN DIAGNOSTIC OR THERAPEUTIC PROCEDURES'.

For licensing inquiries, please contact partnerships@abcam.com