JavaScript is disabled in your browser. Please enable JavaScript to view this website.
AB281573

Anti-CD208 antibody [EPR24265-8] - BSA and Azide free

5

(3 Reviews)

|

(1 Publication)

Rabbit Recombinant Monoclonal CD208 antibody. Carrier free. Suitable for IHC-P and reacts with Human samples. Cited in 1 publication.

View Alternative Names

CD208, DCLAMP, TSC403, LAMP3, Lysosome-associated membrane glycoprotein 3, LAMP-3, Lysosomal-associated membrane protein 3, DC-lysosome-associated membrane glycoprotein, Protein TSC403, DC LAMP

12 Images
Multiplex immunohistochemistry - Anti-CD208 antibody [EPR24265-8] - BSA and Azide free (AB281573)
  • mIHC

Supplier Data

Multiplex immunohistochemistry - Anti-CD208 antibody [EPR24265-8] - BSA and Azide free (AB281573)

Multiplex immunohistochemistry analysis of formalin/PFA-fixed paraffin-embedded human thymus tissue staining CD208 with ab324381 at a 1 : 100 (4.94 ug/ml) dilution, ab281573 anti-LAMP3/CD208 used at 1 : 500 (0.938 ug/ml) dilution and ab237772 anti-CD19 used at a 1 : 5000 (0.21 ug/ml) dilution.

Panel A : merged staining of anti-LAMP3/CD208 (green; Opal™520), anti-LAMP3/CD208 (magenta; Opal™570) and anti-CD19 (yellow; Opal™690) on human thymus.
Panel B : anti-LAMP3/CD208 staining dendritic cells in human thymus.
Panel C : anti-LAMP3/CD208 staining dendritic cells in human thymus.
Panel D : anti-CD19 staining B lymphocytes of human thymus.
Nuclear DNA was labeled with DAPI (shown in blue).

The section was incubated in three rounds of staining : in the order of ab324381, ab271053, and ab237772 for 30 mins at room temperature. Each round was followed by a separate fluorescent tyramide signal amplification system.

The immunostaining was performed on a Leica Biosystems BOND® RX instrument with an Opal™ 4-color kit. Image acquisition was performed with Leica SP8 confocal microscope.

Nuclear counter stain with DAPI.

Heat mediated antigen retrieval with Tris-EDTA buffer (pH 9.0, epitope retrieval solution2) for 20 mins.

Multiplex immunohistochemistry - Anti-CD208 antibody [EPR24265-8] - BSA and Azide free (AB281573)
  • mIHC

Supplier Data

Multiplex immunohistochemistry - Anti-CD208 antibody [EPR24265-8] - BSA and Azide free (AB281573)

Multiplex immunohistochemistry analysis of formalin/PFA-fixed paraffin-embedded human tonsil tissue staining CD208 with ab324381 at a 1 : 100 (4.94 ug/ml) dilution, ab281573 anti-LAMP3/CD208 used at 1 : 500 (0.938 ug/ml) dilution and ab237772 anti-CD19 used at a 1 : 5000 (0.21 ug/ml) dilution.

Panel A : merged staining of anti-LAMP3/CD208 (green; Opal™520), anti-LAMP3/CD208 (magenta; Opal™570) and anti-CD19 (yellow; Opal™690) on human tonsil.
Panel B : anti-LAMP3/CD208 staining dendritic cells in human tonsil.
Panel C : anti-LAMP3/CD208 staining dendritic cells in human tonsil.
Panel D : anti-CD19 staining B lymphocytes of human tonsil.
Nuclear DNA was labeled with DAPI (shown in blue).

The section was incubated in three rounds of staining : in the order of ab324381, ab271053, and ab237772 for 30 mins at room temperature. Each round was followed by a separate fluorescent tyramide signal amplification system.

The immunostaining was performed on a Leica Biosystems BOND® RX instrument with an Opal™ 4-color kit. Image acquisition was performed with Leica SP8 confocal microscope.

Nuclear counter stain with DAPI.

Heat mediated antigen retrieval with Tris-EDTA buffer (pH 9.0, epitope retrieval solution2) for 20 mins.

Immunohistochemistry (Formalin/PFA-fixed paraffin-embedded sections) - Anti-CD208 antibody [EPR24265-8] - BSA and Azide free (AB281573)
  • IHC-P

Supplier Data

Immunohistochemistry (Formalin/PFA-fixed paraffin-embedded sections) - Anti-CD208 antibody [EPR24265-8] - BSA and Azide free (AB281573)

This data was developed using ab271053, the same antibody clone in a different buffer formulation.

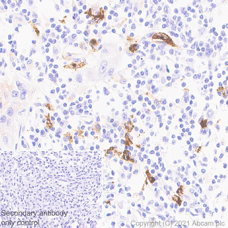
Immunohistochemical analysis of paraffin-embedded Human cardiac muscle tissue labelling CD208 with ab271053 at 1/500 (0.938 ug/ml) dilution followed by a ready to use LeicaDS9800 (Bond™ Polymer Refine Detection). Negative control : No staining on human cardiac muscle.The section was incubated with ab271053 for 30 mins at room temperature. The immunostaining was performed on a Leica Biosystems BOND® RX instrument Counterstained with Hematoxylin.

Secondary antibody only control : Secondary antibody is a ready to use LeicaDS9800 (Bond™ Polymer Refine Detection).

Heat mediated antigen retrieval with Tris-EDTA buffer (pH 9.0, epitope retrieval solution2) for 20 mins.

Immunohistochemistry (Formalin/PFA-fixed paraffin-embedded sections) - Anti-CD208 antibody [EPR24265-8] - BSA and Azide free (AB281573)
  • IHC-P

Supplier Data

Immunohistochemistry (Formalin/PFA-fixed paraffin-embedded sections) - Anti-CD208 antibody [EPR24265-8] - BSA and Azide free (AB281573)

This data was developed using ab271053, the same antibody clone in a different buffer formulation.

Immunohistochemical analysis of paraffin-embedded Human cerebrum tissue labelling CD208 with ab271053 at 1/500 (0.938 ug/ml) dilution followed by a ready to use LeicaDS9800 (Bond™ Polymer Refine Detection). Negative control : No staining on human cerebrum.The section was incubated with ab271053 for 30 mins at room temperature. The immunostaining was performed on a Leica Biosystems BOND® RX instrument Counterstained with Hematoxylin.

Secondary antibody only control : Secondary antibody is a ready to use LeicaDS9800 (Bond™ Polymer Refine Detection).

Heat mediated antigen retrieval with Tris-EDTA buffer (pH 9.0, epitope retrieval solution2) for 20 mins.

Immunohistochemistry (Formalin/PFA-fixed paraffin-embedded sections) - Anti-CD208 antibody [EPR24265-8] - BSA and Azide free (AB281573)
  • IHC-P

Supplier Data

Immunohistochemistry (Formalin/PFA-fixed paraffin-embedded sections) - Anti-CD208 antibody [EPR24265-8] - BSA and Azide free (AB281573)

This data was developed using ab271053, the same antibody clone in a different buffer formulation.

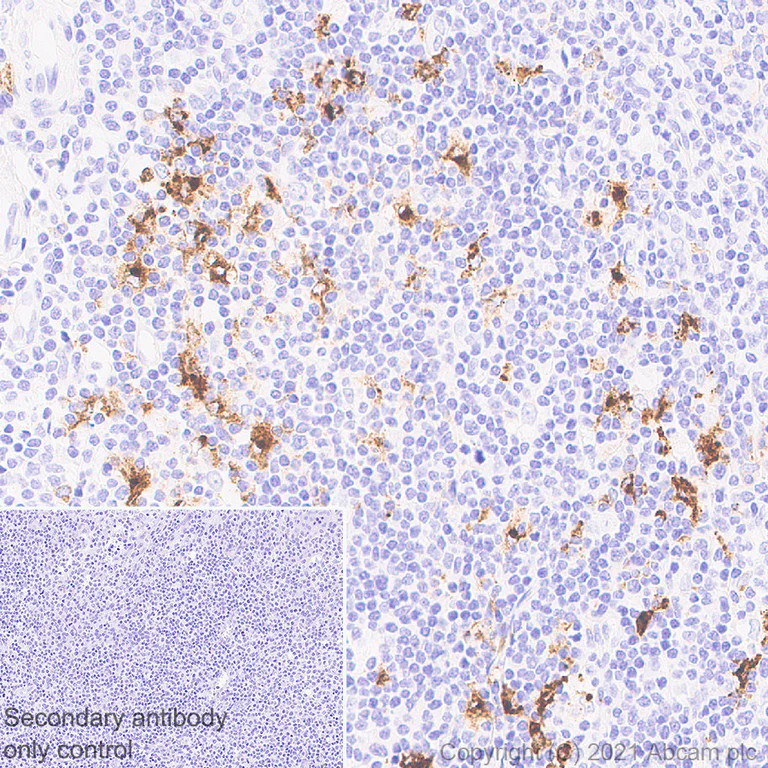
Immunohistochemical analysis of paraffin-embedded Human tonsil tissue labelling CD208 with ab271053 at 1/500 (0.938 ug/ml) dilution followed by a ready to use LeicaDS9800 (Bond™ Polymer Refine Detection). Positive staining on Dendritic cells in human tonsil (PMID : 23528943).The section was incubated with ab271053 for 30 mins at room temperature. The immunostaining was performed on a Leica Biosystems BOND® RX instrument Counterstained with Hematoxylin.

Secondary antibody only control : Secondary antibody is a ready to use LeicaDS9800 (Bond™ Polymer Refine Detection).

Heat mediated antigen retrieval with Tris-EDTA buffer (pH 9.0, epitope retrieval solution2) for 20 mins.

Immunohistochemistry (Formalin/PFA-fixed paraffin-embedded sections) - Anti-CD208 antibody [EPR24265-8] - BSA and Azide free (AB281573)
  • IHC-P

Supplier Data

Immunohistochemistry (Formalin/PFA-fixed paraffin-embedded sections) - Anti-CD208 antibody [EPR24265-8] - BSA and Azide free (AB281573)

This data was developed using ab271053, the same antibody clone in a different buffer formulation.

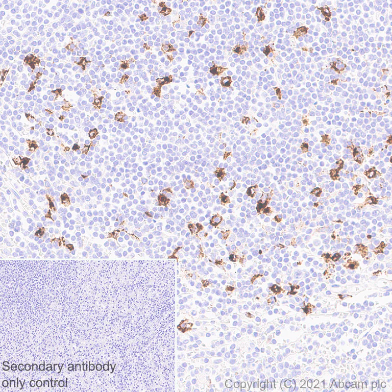
Immunohistochemical analysis of paraffin-embedded Human spleen tissue labelling CD208 with ab271053 at 1/500 (0.938 ug/ml) dilution followed by a ready to use LeicaDS9800 (Bond™ Polymer Refine Detection). Positive staining on Dendritic cells in human spleen (PMID : 23528943).The section was incubated with ab271053 for 30 mins at room temperature. The immunostaining was performed on a Leica Biosystems BOND® RX instrument Counterstained with Hematoxylin.

Secondary antibody only control : Secondary antibody is a ready to use LeicaDS9800 (Bond™ Polymer Refine Detection).

Heat mediated antigen retrieval with Tris-EDTA buffer (pH 9.0, epitope retrieval solution2) for 20 mins.

Immunohistochemistry (Formalin/PFA-fixed paraffin-embedded sections) - Anti-CD208 antibody [EPR24265-8] - BSA and Azide free (AB281573)
  • IHC-P

Supplier Data

Immunohistochemistry (Formalin/PFA-fixed paraffin-embedded sections) - Anti-CD208 antibody [EPR24265-8] - BSA and Azide free (AB281573)

This data was developed using ab271053, the same antibody clone in a different buffer formulation.

Immunohistochemical analysis of paraffin-embedded Human cervical carcinoma tissue labelling CD208 with ab271053 at 1/500 (0.938 ug/ml) dilution followed by a ready to use LeicaDS9800 (Bond™ Polymer Refine Detection). Positive staining on human cervical carcinoma.The section was incubated with ab271053 for 30 mins at room temperature. The immunostaining was performed on a Leica Biosystems BOND® RX instrument Counterstained with Hematoxylin.

Secondary antibody only control : Secondary antibody is a ready to use LeicaDS9800 (Bond™ Polymer Refine Detection).

Heat mediated antigen retrieval with Tris-EDTA buffer (pH 9.0, epitope retrieval solution2) for 20 mins.

Multiplex immunohistochemistry - Anti-CD208 antibody [EPR24265-8] - BSA and Azide free (AB281573)
  • mIHC

Supplier Data

Multiplex immunohistochemistry - Anti-CD208 antibody [EPR24265-8] - BSA and Azide free (AB281573)

Immunohistochemistry (Formalin/PFA-fixed paraffin-embedded sections) analysis of Human liver cancer labelling CD208 with ab281573 at 1/1200 (B), CD3E with ab237707 at 1/1200 dilution (C) and CD19 with ab237772 at 1/1200 dilution(D). Opal Polymer HRP Ms + Rb was used as a secondary antibody, and DAPI was used for a nuclear counter stain. Heat mediated antigen retrieval with Tris-EDTA buffer (pH 9.0, epitope retrieval solution2) for 20 mins.

Panel A : merged staining of anti-CD208 (red; Opal™570), anti-CD3E (green; Opal™520) and anti-CD19 (magenta; Opal™690) on human liver cancer.

Panel B : anti-CD208 staining dendritic cells in human liver cancer.

Panel C : anti-CD3E staining T lymphocytes in human liver cancer.

Panel D : anti-CD19 staining B lymphocytes of human liver cancer.

The section was incubated in three rounds of staining : in the order ab281573, ab237707, and ab237772 for 30 mins at room temperature. Each round was followed by a separate fluorescent tyramide signal amplification system.

The immunostaining was performed on a Leica Biosystems BOND® RX instrument with an Opal™ 4-color kit. Image acquisition was performed with Leica SP8 confocal microscope.

Multiplex immunohistochemistry - Anti-CD208 antibody [EPR24265-8] - BSA and Azide free (AB281573)
  • mIHC

Supplier Data

Multiplex immunohistochemistry - Anti-CD208 antibody [EPR24265-8] - BSA and Azide free (AB281573)

Immunohistochemistry (Formalin/PFA-fixed paraffin-embedded sections) analysis of Human tonsil labelling CD208 with ab281573 at 1/1200 (B), CD3E with ab237707 at 1/1200 dilution (C) and CD19 with ab237772 at 1/1200 dilution(D). Opal Polymer HRP Ms + Rb was used as a secondary antibody, and DAPI was used for a nuclear counter stain. Heat mediated antigen retrieval with Tris-EDTA buffer (pH 9.0, epitope retrieval solution2) for 20 mins.

Panel A : merged staining of anti-CD208 (red; Opal™570), anti-CD3E (green; Opal™520) and anti-CD19 (magenta; Opal™690) on human tonsil.
Panel B : anti-CD208 staining dendritic cells in human tonsil.
Panel C : anti-CD3E staining T lymphocytes in human tonsil.
Panel D : anti-CD19 staining B lymphocytes of human tonsil.

The section was incubated in three rounds of staining : in the order ab281573, ab237707, and ab237772 for 30 mins at room temperature. Each round was followed by a separate fluorescent tyramide signal amplification system.

The immunostaining was performed on a Leica Biosystems BOND® RX instrument with an Opal™ 4-color kit. Image acquisition was performed with Leica SP8 confocal microscope.

Multiplex immunohistochemistry - Anti-CD208 antibody [EPR24265-8] - BSA and Azide free (AB281573)
  • mIHC

Supplier Data

Multiplex immunohistochemistry - Anti-CD208 antibody [EPR24265-8] - BSA and Azide free (AB281573)

Immunohistochemistry (Formalin/PFA-fixed paraffin-embedded sections) analysis of Human colon labelling CD208 with ab281573 at 1/1200 (B), CD3E with ab237707 at 1/1200 dilution (C) and CD19 with ab237772 at 1/1200 dilution(D). Opal Polymer HRP Ms + Rb was used as a secondary antibody, and DAPI was used for a nuclear counter stain. Heat mediated antigen retrieval with Tris-EDTA buffer (pH 9.0, epitope retrieval solution2) for 20 mins.

Panel A : merged staining of anti-CD208 (red; Opal™570), anti-CD3E (green; Opal™520) and anti-CD19 (magenta; Opal™690) on human colon.

Panel B : anti-CD208 staining dendritic cells in human colon.

Panel C : anti-CD3E staining T lymphocytes in human colon.

Panel D : anti-CD19 staining B lymphocytes of human colon.

The section was incubated in three rounds of staining : in the order ab281573, ab237707, and ab237772 for 30 mins at room temperature. Each round was followed by a separate fluorescent tyramide signal amplification system.

The immunostaining was performed on a Leica Biosystems BOND® RX instrument with an Opal™ 4-color kit. Image acquisition was performed with Leica SP8 confocal microscope.

Multiplex immunohistochemistry - Anti-CD208 antibody [EPR24265-8] - BSA and Azide free (AB281573)
  • mIHC

Supplier Data

Multiplex immunohistochemistry - Anti-CD208 antibody [EPR24265-8] - BSA and Azide free (AB281573)

Immunohistochemistry (Formalin/PFA-fixed paraffin-embedded sections) analysis of Human colon cancer labelling CD208 with ab281573 at 1/1200 (B), CD3E with ab237707 at 1/1200 dilution (C) and CD19 with ab237772 at 1/1200 dilution(D). Opal Polymer HRP Ms + Rb was used as a secondary antibody, and DAPI was used for a nuclear counter stain. Heat mediated antigen retrieval with Tris-EDTA buffer (pH 9.0, epitope retrieval solution2) for 20 mins.

Panel A : merged staining of anti-CD208 (red; Opal™570), anti-CD3E (green; Opal™520) and anti-CD19 (magenta; Opal™690) on human colon cancer.

Panel B : anti-CD208 staining dendritic cells in human colon cancer.

Panel C : anti-CD3E staining T lymphocytes in human colon cancer.

Panel D : anti-CD19 staining B lymphocytes of human colon cancer.

The section was incubated in three rounds of staining : in the order ab281573, ab237707, and ab237772 for 30 mins at room temperature. Each round was followed by a separate fluorescent tyramide signal amplification system.

The immunostaining was performed on a Leica Biosystems BOND® RX instrument with an Opal™ 4-color kit. Image acquisition was performed with Leica SP8 confocal microscope.

Immunohistochemistry (Formalin/PFA-fixed paraffin-embedded sections) - Anti-CD208 antibody [EPR24265-8] - BSA and Azide free (AB281573)
  • IHC-P

AbReview80635****

Immunohistochemistry (Formalin/PFA-fixed paraffin-embedded sections) - Anti-CD208 antibody [EPR24265-8] - BSA and Azide free (AB281573)

Immunohistochemistry (Formalin/PFA-fixed paraffin-embedded sections) analysis of paraformaldehyde-fixed 0.3% Triton X-100 permeabilized human tonsil tissue staining with ab281573 at 5 µg/ml dilution. Samples were incubated with the primary antibody with for 1 hour at 20°C. Blocking was done using Donkey Serum 10% + 3% BSA for 24 hours at 4°C. Heat mediated antigen retrieval with Citrate pH 6 & TRIS pH 9.

This image is courtesy of an Abreview submitted by Dylan Windell

Key facts

Host species

Rabbit

Clonality

Monoclonal

Clone number

EPR24265-8

Isotype

IgG

Carrier free

Yes

Reacts with

Human

Applications

IHC-P

applications

Immunogen

The exact immunogen used to generate this antibody is proprietary information.

Reactivity data

{ "title": "Reactivity Data", "filters": { "stats": ["", "Species", "Dilution Info", "Notes"], "tabs": { "all-applications": {"fullname" : "All Applications", "shortname": "All Applications"}, "ICCIF" : {"fullname" : "Immunocytochemistry/ Immunofluorescence", "shortname":"ICC/IF"}, "IP" : {"fullname" : "Immunoprecipitation", "shortname":"IP"}, "WB" : {"fullname" : "Western blot", "shortname":"WB"}, "IHCP" : {"fullname" : "Immunohistochemistry (Formalin/PFA-fixed paraffin-embedded sections)", "shortname":"IHC-P"}, "FlowCytIntra" : {"fullname" : "Flow Cytometry (Intracellular)", "shortname":"Flow Cyt (Intra)"} }, "product-promise": { "all": "all", "testedAndGuaranteed": "tested", "guaranteed": "expected", "predicted": "predicted", "notRecommended": "not-recommended" } }, "values": { "Human": { "ICCIF-species-checked": "notRecommended", "ICCIF-species-dilution-info": "", "ICCIF-species-notes": "<p></p>", "IP-species-checked": "notRecommended", "IP-species-dilution-info": "", "IP-species-notes": "<p></p>", "WB-species-checked": "notRecommended", "WB-species-dilution-info": "", "WB-species-notes": "<p></p>", "IHCP-species-checked": "testedAndGuaranteed", "IHCP-species-dilution-info": "", "IHCP-species-notes": "<p></p>", "FlowCytIntra-species-checked": "notRecommended", "FlowCytIntra-species-dilution-info": "", "FlowCytIntra-species-notes": "<p></p>" }, "Mouse": { "ICCIF-species-checked": "notRecommended", "ICCIF-species-dilution-info": "", "ICCIF-species-notes": "<p></p>", "IP-species-checked": "notRecommended", "IP-species-dilution-info": "", "IP-species-notes": "", "WB-species-checked": "notRecommended", "WB-species-dilution-info": "", "WB-species-notes": "<p></p>", "IHCP-species-checked": "notRecommended", "IHCP-species-dilution-info": "", "IHCP-species-notes": "<p></p>", "FlowCytIntra-species-checked": "notRecommended", "FlowCytIntra-species-dilution-info": "", "FlowCytIntra-species-notes": "<p></p>" }, "Rat": { "ICCIF-species-checked": "notRecommended", "ICCIF-species-dilution-info": "", "ICCIF-species-notes": "", "IP-species-checked": "notRecommended", "IP-species-dilution-info": "", "IP-species-notes": "", "WB-species-checked": "notRecommended", "WB-species-dilution-info": "", "WB-species-notes": "<p></p>", "IHCP-species-checked": "notRecommended", "IHCP-species-dilution-info": "", "IHCP-species-notes": "<p></p>", "FlowCytIntra-species-checked": "notRecommended", "FlowCytIntra-species-dilution-info": "", "FlowCytIntra-species-notes": "" } } }

Product details

ab281573 is the carrier-free version of ab271053.

Patented technology
Our RabMAb® technology is a patented hybridoma-based technology for making rabbit monoclonal antibodies. For details on our patents, please refer to RabMAb® patents.

What are the advantages of a recombinant monoclonal antibody?
This product is a recombinant monoclonal antibody, which offers several advantages including:

  • - High batch-to-batch consistency and reproducibility
  • - Improved sensitivity and specificity
  • - Long-term security of supply
  • - Animal-free batch production

For more information, read more on recombinant antibodies.

Conjugation ready
Our carrier-free antibodies are typically supplied in a PBS-only formulation, purified and free of BSA, sodium azide and glycerol. This conjugation-ready format is designed for use with fluorochromes, metal isotopes, oligonucleotides, and enzymes, which makes them ideal for antibody labelling, functional and cell-based assays, flow-based assays (e.g. mass cytometry) and Multiplex Imaging applications.

Use our conjugation kits for antibody conjugates that are ready-to-use in as little as 20 minutes with 1 minute hands-on-time and 100% antibody recovery: available for fluorescent dyes, HRP, biotin and gold.

Compatibility
This product is compatible with the Maxpar® Antibody Labeling Kit from Fluidigm, without the need for antibody preparation. Maxpar® is a trademark of Fluidigm Canada Inc.

Properties and storage information

Form
Liquid
Purification technique
Affinity purification Protein A
Storage buffer
Constituents: PBS
Shipped at conditions
Blue Ice
Appropriate short-term storage conditions
+4°C
Appropriate long-term storage conditions
+4°C

Supplementary information

This supplementary information is collated from multiple sources and compiled automatically.

The protein CD208 also known as DC-LAMP or LAMP-3 is integral to the immune system. It has an approximate mass of 60 kDa. CD208 is a type I transmembrane glycoprotein found mainly in the endosomal/lysosomal compartments of dendritic cells. The expression of CD208 is upregulated during the maturation of dendritic cells making it a reliable marker for these immune cells. Researchers often use CD208 to study dendritic cell biology and its role in immune responses.
Biological function summary

CD208 participates in the regulation of the immune response by facilitating antigen processing and presentation. This protein is a part of the lysosomal-associated membrane protein family which contributes to the recycling of MHC class II molecules. Through its involvement in the endocytic pathway CD208 aids in presenting antigens to T lymphocytes an important step in triggering adaptive immunity. The protein colocalizes with MHC class II which is essential for effective antigen presentation.

Pathways

CD208 has a significant role in the endosomal-lysosomal pathway where it interacts with other proteins involved in antigen processing. It also engages in the intracellular trafficking pathway that affects the presentation of peptides on MHC class II molecules. The interaction with proteins such as HLA-DR is vital for efficient antigen presentation to helper T cells. CD208 supports the proper delivery of peptide-loaded MHC molecules to the cell surface a necessity for a functional adaptive immune response.

CD208 has implications in autoimmune diseases and infectious diseases. Its expression is notably altered in conditions like lupus and certain infectious diseases. In systemic lupus erythematosus (SLE) abnormal CD208 expression correlates with the dysregulation of immune responses. Additionally during infectious diseases changes in CD208 expression can impact the activation and function of dendritic cells affecting disease progression. The interaction of CD208 with proteins like MHC class II molecules highlights its role in disease pathology and immune regulation.

Product protocols

For this product, it's our understanding that no specific protocols are required. You can visit:

Target data

Lysosomal membrane glycoprotein which plays a role in the unfolded protein response (UPR) that contributes to protein degradation and cell survival during proteasomal dysfunction (PubMed : 25681212). Plays a role in the process of fusion of the lysosome with the autophagosome, thereby modulating the autophagic process (PubMed : 24434718). Promotes hepatocellular lipogenesis through activation of the PI3K/Akt pathway (PubMed : 29056532). May also play a role in dendritic cell function and in adaptive immunity (PubMed : 9768752).. (Microbial infection) Plays a positive role in post-entry steps of influenza A virus replication, either virus uncoating, cytosolic transport, or nuclear import of viral components, and promotes nuclear accumulation of influenza nucleoprotein/NP at early stages of viral infection.. (Microbial infection) Supports the FURIN-mediated cleavage of mumps virus fusion protein F by interacting with both FURIN and the unprocessed form but not the processed form of the viral protein F.. (Microbial infection) Promotes the intracellular proliferation of Salmonella typhimuium.
See full target information LAMP3

Publications (1)

Recent publications for all applications. Explore the full list and refine your search

Nature immunology 25:2152-2165 PubMed39438660

2024

A longitudinal single-cell atlas of anti-tumour necrosis factor treatment in inflammatory bowel disease.

Applications

Unspecified application

Species

Unspecified reactive species

Tom Thomas,Matthias Friedrich,Charlotte Rich-Griffin,Mathilde Pohin,Devika Agarwal,Julia Pakpoor,Carl Lee,Ruchi Tandon,Aniko Rendek,Dominik Aschenbrenner,Ashwin Jainarayanan,Alexandru Voda,Jacqueline H Y Siu,Raphael Sanches-Peres,Eloise Nee,Dharshan Sathananthan,Dylan Kotliar,Peter Todd,Maria Kiourlappou,Lisa Gartner,Nicholas Ilott,Fadi Issa,Joanna Hester,Jason Turner,Saba Nayar,Jonas Mackerodt,Fan Zhang,Anna Jonsson,Michael Brenner,Soumya Raychaudhuri,Ruth Kulicke,Danielle Ramsdell,Nicolas Stransky,Ray Pagliarini,Piotr Bielecki,Noah Spies,Brian Marsden,Stephen Taylor,Allon Wagner,Paul Klenerman,Alissa Walsh,Mark Coles,Luke Jostins-Dean,Fiona M Powrie,Andrew Filer,Simon Travis,Holm H Uhlig,Calliope A Dendrou,Christopher D Buckley
View all publications

Product promise

We are committed to supporting your work with high-quality reagents, and we're here for you every step of the way. In the unlikely event that one of our products does not perform as expected, you're protected by our Product Promise.
For full details, please see our Terms & Conditions

Please note: All products are 'FOR RESEARCH USE ONLY. NOT FOR USE IN DIAGNOSTIC OR THERAPEUTIC PROCEDURES'.

For licensing inquiries, please contact partnerships@abcam.com