JavaScript is disabled in your browser. Please enable JavaScript to view this website.
AB308457

Anti-CD209B/DC-SIGNR1 antibody [EPR27427-87]

  • BOND RX™ Validated
  • 20ul selling size
  • RabMAb
  • Recombinant
  • What is this?

Be the first to review this product! Submit a review

|

(2 Publications)

Rabbit Recombinant Monoclonal C209B antibody. Suitable for IHC-P, WB, IP and reacts with Transfected cell line - Mouse, Mouse, Rat, Transfected cell lysate - Mouse samples. Cited in 2 publications.

View Alternative Names

CD209, CD209 antigen-like protein B, DC-SIGN-related protein 1, OtB7, DC-SIGNR1, Cd209b

8 Images
Immunohistochemistry (Formalin/PFA-fixed paraffin-embedded sections) - Anti-CD209B/DC-SIGNR1 antibody [EPR27427-87] (AB308457)
  • IHC-P

Supplier Data

Immunohistochemistry (Formalin/PFA-fixed paraffin-embedded sections) - Anti-CD209B/DC-SIGNR1 antibody [EPR27427-87] (AB308457)

Immunohistochemical analysis of paraffin-embedded (A) HEK-293T (human tissue labelling CD209B/DC-SIGNR1 with ab308457 at 1/4000 (0.129 ug/ml) followed by a ready to use LeicaDS9800 (Bond™ Polymer Refine Detection). Positive staining (A) HEK-293T transfected with a mouse CD209B expression vector containing a his tag, no staining on (B) HEK-293T transfected with empty vector containing a his tag. The section was incubated with ab308457 for 30 mins at room temperature. The immunostaining was performed on a Leica Biosystems BOND® RX instrument Counterstained with Hematoxylin. Secondary antibody only control : Secondary antibody is a ready to use LeicaDS9800 (Bond™ Polymer Refine Detection). Heat mediated antigen retrieval was performed with Tris-EDTA buffer (pH 9.0, Epitope Retrieval Solution2) for 20 mins

Immunohistochemistry (Formalin/PFA-fixed paraffin-embedded sections) - Anti-CD209B/DC-SIGNR1 antibody [EPR27427-87] (AB308457)
  • IHC-P

Supplier Data

Immunohistochemistry (Formalin/PFA-fixed paraffin-embedded sections) - Anti-CD209B/DC-SIGNR1 antibody [EPR27427-87] (AB308457)

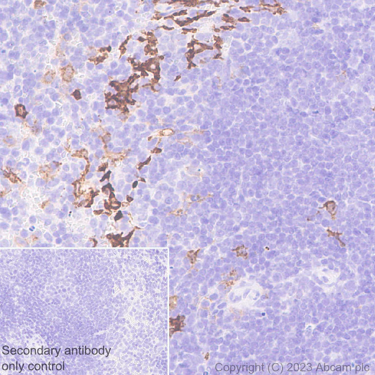
Immunohistochemical analysis of paraffin-embedded Rat spleen tissue labelling CD209B/DC-SIGNR1 with ab308457 at 1/2000 (0.257 ug/ml) followed by a ready to use LeicaDS9800 (Bond™ Polymer Refine Detection). Positive staining on rat spleen. The section was incubated with ab308457 for 30 mins at room temperature. The immunostaining was performed on a Leica Biosystems BOND® RX instrument Counterstained with Hematoxylin. Secondary antibody only control : Secondary antibody is a ready to use LeicaDS9800 (Bond™ Polymer Refine Detection). Heat mediated antigen retrieval was performed with Tris-EDTA buffer (pH 9.0, Epitope Retrieval Solution2) for 20 mins

Immunohistochemistry (Formalin/PFA-fixed paraffin-embedded sections) - Anti-CD209B/DC-SIGNR1 antibody [EPR27427-87] (AB308457)
  • IHC-P

Supplier Data

Immunohistochemistry (Formalin/PFA-fixed paraffin-embedded sections) - Anti-CD209B/DC-SIGNR1 antibody [EPR27427-87] (AB308457)

Immunohistochemical analysis of paraffin-embedded Rat skeletal muscle tissue labelling CD209B/DC-SIGNR1 with ab308457 at 1/2000 (0.257 ug/ml) followed by a ready to use LeicaDS9800 (Bond™ Polymer Refine Detection). Negative control : no staining on rat skeletal muscle. The section was incubated with ab308457 for 30 mins at room temperature. The immunostaining was performed on a Leica Biosystems BOND® RX instrument Counterstained with Hematoxylin. Secondary antibody only control : Secondary antibody is a ready to use LeicaDS9800 (Bond™ Polymer Refine Detection). Heat mediated antigen retrieval was performed with Tris-EDTA buffer (pH 9.0, Epitope Retrieval Solution2) for 20 mins

Immunohistochemistry (Formalin/PFA-fixed paraffin-embedded sections) - Anti-CD209B/DC-SIGNR1 antibody [EPR27427-87] (AB308457)
  • IHC-P

Supplier Data

Immunohistochemistry (Formalin/PFA-fixed paraffin-embedded sections) - Anti-CD209B/DC-SIGNR1 antibody [EPR27427-87] (AB308457)

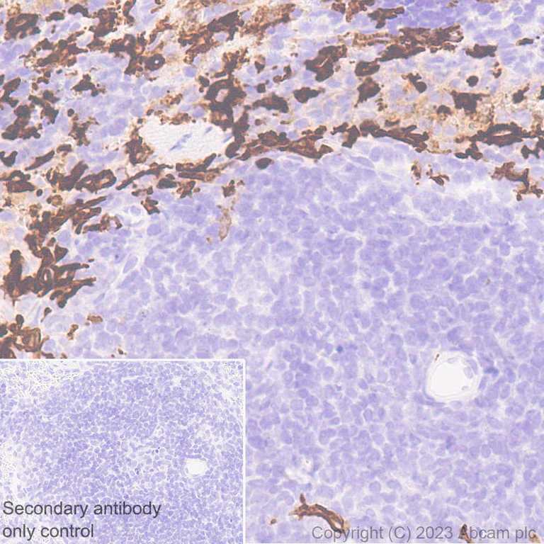
Immunohistochemical analysis of paraffin-embedded Mouse spleen tissue labelling CD209B/DC-SIGNR1 with ab308457 at 1/2000 (0.257 ug/ml) followed by a ready to use LeicaDS9800 (Bond™ Polymer Refine Detection). Positive staining on mouse spleen (PMID : 34286101). The section was incubated with ab308457 for 30 mins at room temperature. The immunostaining was performed on a Leica Biosystems BOND® RX instrument Counterstained with Hematoxylin. Secondary antibody only control : Secondary antibody is a ready to use LeicaDS9800 (Bond™ Polymer Refine Detection). Heat mediated antigen retrieval was performed with Tris-EDTA buffer (pH 9.0, Epitope Retrieval Solution2) for 20 mins

Immunohistochemistry (Formalin/PFA-fixed paraffin-embedded sections) - Anti-CD209B/DC-SIGNR1 antibody [EPR27427-87] (AB308457)
  • IHC-P

Supplier Data

Immunohistochemistry (Formalin/PFA-fixed paraffin-embedded sections) - Anti-CD209B/DC-SIGNR1 antibody [EPR27427-87] (AB308457)

Immunohistochemical analysis of paraffin-embedded Mouse skeletal muscl tissue labelling CD209B/DC-SIGNR1 with ab308457 at 1/2000 (0.257 ug/ml) followed by a ready to use LeicaDS9800 (Bond™ Polymer Refine Detection). Negative control : no staining on mouse skeletal muscle. The section was incubated with ab308457 for 30 mins at room temperature. The immunostaining was performed on a Leica Biosystems BOND® RX instrument Counterstained with Hematoxylin. Secondary antibody only control : Secondary antibody is a ready to use LeicaDS9800 (Bond™ Polymer Refine Detection). Heat mediated antigen retrieval was performed with Tris-EDTA buffer (pH 9.0, Epitope Retrieval Solution2) for 20 mins

Immunoprecipitation - Anti-CD209B/DC-SIGNR1 antibody [EPR27427-87] (AB308457)
  • IP

Supplier Data

Immunoprecipitation - Anti-CD209B/DC-SIGNR1 antibody [EPR27427-87] (AB308457)

CD209B/DC-SIGNR1 was immunoprecipitated from 0.35 mg Mouse spleen tissue lysate with ab308457 at 1/30 dilution (2ug in 0.35mg lysates). Western blot was performed on the immunoprecipitate using ab308457 at 1/1000 dilution. VeriBlot for IP secondary antibody (HRP) (ab131366) was used at 1/5000 dilution.

Lane 1 : Mouse spleen tissue lysate
Lane 2 : ab308457 IP in Mouse spleen tissue lysate
Lane 3 : Rabbit monoclonal IgG (ab172730) instead of ab308457 in mouse spleen tissue lysate

Blocking and dilution buffer and concentration : 5% NFDM/TBST.

Exposure time : 8 seconds

All lanes:

Immunoprecipitation - Anti-CD209B/DC-SIGNR1 antibody [EPR27427-87] (ab308457) at 1/1000 dilution

All lanes:

Mouse spleen tissue lysate at 10 µg

Secondary

All lanes:

Immunoprecipitation - VeriBlot for IP Detection Reagent (HRP) (<a href='/en-us/products/reagents/veriblot-for-ip-detection-reagent-hrp-ab131366'>ab131366</a>) at 1/5000 dilution

Observed band size: 45 kDa

false

Exposure time: 8s

Western blot - Anti-CD209B/DC-SIGNR1 antibody [EPR27427-87] (AB308457)
  • WB

Supplier Data

Western blot - Anti-CD209B/DC-SIGNR1 antibody [EPR27427-87] (AB308457)

Blocking and diluting buffer and concentration : 5% NFDM/TBST. Negative control : skeletal muscle (PMID : 11581173). In Western blot, anti-GAPDH antibody (ab181602) loading control staining at 1/200000 dilution. Exposure time : Lanes 1, 3-4 : 92 seconds., Lane 2 : 26 seconds., Lanes 5, 7 : 81 seconds. and Lane 6 : 15 seconds.

All lanes:

Western blot - Anti-CD209B/DC-SIGNR1 antibody [EPR27427-87] (ab308457) at 1/1000 dilution

Lane 1:

Mouse spleen tissue lysate at 20 µg

Lane 2:

Mouse lymph node tissue lysate at 20 µg

Lane 3:

Mouse skin tissue lysate at 20 µg

Lane 4:

Mouse skeletal muscle tissue lysate at 20 µg

Lane 5:

Rat spleen tissue lysate at 20 µg

Lane 6:

Rat lymph node tissue lysate at 20 µg

Lane 7:

Rat skeletal muscle tissue lysate at 20 µg

Secondary

All lanes:

Western blot - Goat Anti-Rabbit IgG H&L (HRP) (<a href='/en-us/products/secondary-antibodies/goat-rabbit-igg-h-l-hrp-ab97051'>ab97051</a>) at 1/100000 dilution

Observed band size: 45 kDa

false

Western blot - Anti-CD209B/DC-SIGNR1 antibody [EPR27427-87] (AB308457)
  • WB

Supplier Data

Western blot - Anti-CD209B/DC-SIGNR1 antibody [EPR27427-87] (AB308457)

Blocking and diluting buffer and concentration : 5% NFDM/TBST. In Western blot, anti-His antibody (ab213204) staining at 1/5000 dilution. In Western blot, anti-GAPDH antibody (ab181602) loading control staining at 1/200000 dilution. Exposure time : 15 seconds.

All lanes:

Western blot - Anti-CD209B/DC-SIGNR1 antibody [EPR27427-87] (ab308457) at 1/1000 dilution

Lane 1:

293T (human embryonic kidney epithelial cell) cells transfected with an empty vector containing a his tag whole cell lysate at 20 µg

Lane 2:

293T cells transfected with a mouse CD209B/DC-SIGNR1 expression vector containing a his tag whole cell lysate at 20 µg

Secondary

All lanes:

Western blot - Goat Anti-Rabbit IgG H&L (HRP) (<a href='/en-us/products/secondary-antibodies/goat-rabbit-igg-h-l-hrp-ab97051'>ab97051</a>) at 1/100000 dilution

Predicted band size: 45 kDa

Observed band size: 45 kDa

false

Exposure time: 15s

  • 665 Alexa Fluor® 647

    Alexa Fluor® 647 Anti-CD209B/DC-SIGNR1 antibody [EPR27427-87]

  • 617 Alexa Fluor® 594

    Alexa Fluor® 594 Anti-CD209B (DC-SIGNR1) antibody [EPR27427-87]

  • 519 Alexa Fluor® 488

    Alexa Fluor® 488 Anti-CD209B/DC-SIGNR1 antibody [EPR27427-87]

  • Carrier free

    Anti-CD209B/DC-SIGNR1 antibody [EPR27427-87] - BSA and Azide free

Key facts

Host species

Rabbit

Clonality

Monoclonal

Clone number

EPR27427-87

Isotype

IgG

Carrier free

No

Reacts with

Rat, Mouse

Applications

IHC-P, IP, WB

applications

Immunogen

The exact immunogen used to generate this antibody is proprietary information.

Reactivity data

{ "title": "Reactivity Data", "filters": { "stats": ["", "Species", "Dilution Info", "Notes"], "tabs": { "all-applications": {"fullname" : "All Applications", "shortname": "All Applications"}, "IHCP" : {"fullname" : "Immunohistochemistry (Formalin/PFA-fixed paraffin-embedded sections)", "shortname":"IHC-P"}, "WB" : {"fullname" : "Western blot", "shortname":"WB"}, "IP" : {"fullname" : "Immunoprecipitation", "shortname":"IP"}, "ICCIF" : {"fullname" : "Immunocytochemistry/ Immunofluorescence", "shortname":"ICC/IF"}, "FlowCyt" : {"fullname" : "Flow Cytometry", "shortname":"Flow Cyt"} }, "product-promise": { "all": "all", "testedAndGuaranteed": "tested", "guaranteed": "expected", "predicted": "predicted", "notRecommended": "not-recommended" } }, "values": { "Human": { "IHCP-species-checked": "notRecommended", "IHCP-species-dilution-info": "", "IHCP-species-notes": "<p></p>", "WB-species-checked": "notRecommended", "WB-species-dilution-info": "", "WB-species-notes": "<p></p>", "IP-species-checked": "notRecommended", "IP-species-dilution-info": "", "IP-species-notes": "", "ICCIF-species-checked": "notRecommended", "ICCIF-species-dilution-info": "", "ICCIF-species-notes": "", "FlowCyt-species-checked": "notRecommended", "FlowCyt-species-dilution-info": "", "FlowCyt-species-notes": "" }, "Mouse": { "IHCP-species-checked": "testedAndGuaranteed", "IHCP-species-dilution-info": "1/2000", "IHCP-species-notes": "<p></p> Perform heat-mediated antigen retrieval with Tris/EDTA buffer pH 9.0 before commencing with IHC staining protocol.", "WB-species-checked": "testedAndGuaranteed", "WB-species-dilution-info": "1/1000", "WB-species-notes": "<p></p>", "IP-species-checked": "testedAndGuaranteed", "IP-species-dilution-info": "1/30", "IP-species-notes": "<p></p>", "ICCIF-species-checked": "notRecommended", "ICCIF-species-dilution-info": "", "ICCIF-species-notes": "<p></p>", "FlowCyt-species-checked": "notRecommended", "FlowCyt-species-dilution-info": "", "FlowCyt-species-notes": "<p></p>" }, "Rat": { "IHCP-species-checked": "testedAndGuaranteed", "IHCP-species-dilution-info": "1/2000", "IHCP-species-notes": "<p></p> Perform heat-mediated antigen retrieval with Tris/EDTA buffer pH 9.0 before commencing with IHC staining protocol.", "WB-species-checked": "testedAndGuaranteed", "WB-species-dilution-info": "1/1000", "WB-species-notes": "<p></p>", "IP-species-checked": "guaranteed", "IP-species-dilution-info": "", "IP-species-notes": "", "ICCIF-species-checked": "notRecommended", "ICCIF-species-dilution-info": "", "ICCIF-species-notes": "", "FlowCyt-species-checked": "notRecommended", "FlowCyt-species-dilution-info": "", "FlowCyt-species-notes": "" }, "Transfected cell line - Mouse": { "IHCP-species-checked": "testedAndGuaranteed", "IHCP-species-dilution-info": "1/4000", "IHCP-species-notes": "<p></p> Perform heat-mediated antigen retrieval with Tris/EDTA buffer pH 9.0 before commencing with IHC staining protocol.", "WB-species-checked": "notRecommended", "WB-species-dilution-info": "", "WB-species-notes": "", "IP-species-checked": "notRecommended", "IP-species-dilution-info": "", "IP-species-notes": "", "ICCIF-species-checked": "notRecommended", "ICCIF-species-dilution-info": "", "ICCIF-species-notes": "", "FlowCyt-species-checked": "notRecommended", "FlowCyt-species-dilution-info": "", "FlowCyt-species-notes": "" }, "Transfected cell lysate - Mouse": { "IHCP-species-checked": "notRecommended", "IHCP-species-dilution-info": "", "IHCP-species-notes": "", "WB-species-checked": "testedAndGuaranteed", "WB-species-dilution-info": "1/1000", "WB-species-notes": "<p></p>", "IP-species-checked": "notRecommended", "IP-species-dilution-info": "", "IP-species-notes": "", "ICCIF-species-checked": "notRecommended", "ICCIF-species-dilution-info": "", "ICCIF-species-notes": "", "FlowCyt-species-checked": "notRecommended", "FlowCyt-species-dilution-info": "", "FlowCyt-species-notes": "" } } }

Product details

Patented technology
Our RabMAb® technology is a patented hybridoma-based technology for making rabbit monoclonal antibodies. For details on our patents, please refer to RabMAb® patents.

What are the advantages of a recombinant monoclonal antibody?
This product is a recombinant monoclonal antibody, which offers several advantages including:

  • - High batch-to-batch consistency and reproducibility
  • - Improved sensitivity and specificity
  • - Long-term security of supply
  • - Animal-free batch production

For more information, read more on recombinant antibodies.

Properties and storage information

Form
Liquid
Purification technique
Affinity purification Protein A
Storage buffer
pH: 7.2 - 7.4 Preservative: 0.01% Sodium azide Constituents: PBS, 40% Glycerol (glycerin, glycerine), 0.05% BSA
Shipped at conditions
Blue Ice
Appropriate short-term storage duration
1-2 weeks
Appropriate short-term storage conditions
+4°C
Appropriate long-term storage conditions
-20°C
Aliquoting information
Upon delivery aliquot
Storage information
Avoid freeze / thaw cycle

Supplementary information

This supplementary information is collated from multiple sources and compiled automatically.

CD209B also known as DC-SIGNR1 is a C-type lectin receptor with a molecular mass of about 45 kDa. This receptor is similar in structure to CD209A another member of the same gene family. CD209B is mainly expressed on macrophages and dendritic cells which are critical components of the immune system. This receptor plays a role in the immune response by recognizing and binding to specific carbohydrate structures on the surface of various pathogens.
Biological function summary

CD209B functions as part of a broader set of protein interactions involved in pathogen recognition and clearance. It acts as a pattern recognition receptor and is involved in initiating immune responses. Although not part of a large complex CD209B shares functional similarities with other receptors like CD209A mediating defensive strategies against infections through binding to glycoprotein antigens on microbes.

Pathways

The receptor participates in the immune signaling networks that oversee pathogen recognition. It is vital within the innate immune pathway where it helps to stimulate adaptive immunity. CD209B engages with proteins such as Toll-like receptors which amplify immune responses against pathogens.

CD209B has potential implications in infectious diseases and autoimmune disorders. Its ability to bind diverse pathogens makes it an important player in infections like HIV where it helps the virus gain entry into host cells. Additionally its interaction with proteins like mannose receptor suggests a role in diseases characterized by chronic inflammation. Understanding these interactions assists in developing interventions to modulate immune response in such conditions.

Product protocols

For this product, it's our understanding that no specific protocols are required. You can visit:

Target data

Probable pathogen-recognition receptor. May mediate the endocytosis of pathogens which are subsequently degraded in lysosomal compartments. May recognize in a calcium-dependent manner high mannose N-linked oligosaccharides in a variety of pathogen antigens. Is a receptor for ICAM3, probably by binding to mannose-like carbohydrates.
See full target information Cd209b

Publications (2)

Recent publications for all applications. Explore the full list and refine your search

Life science alliance 8: PubMed40533345

2025

Mutation in the rat interleukin 34 gene impacts macrophage development, homeostasis, and inflammation.

Applications

Unspecified application

Species

Unspecified reactive species

Stephen Huang,Omkar L Patkar,Sarah Schulze,Dylan Carter-Cusack,Susan Millard,Ginell Ranpura,Emma K Green,Emma Maxwell,Jeeva Kanesarajah,Gary Cowin,Damion Stimson,Nyoman D Kurniawan,Sahar Keshvari,Rachel Allavena,Allison R Pettit,Katharine M Irvine,David A Hume

PLoS genetics 21:e1011525 PubMed39869647

2025

Wild-type bone marrow cells repopulate tissue resident macrophages and reverse the impacts of homozygous CSF1R mutation.

Applications

Unspecified application

Species

Unspecified reactive species

Dylan Carter-Cusack,Stephen Huang,Sahar Keshvari,Omkar Patkar,Anuj Sehgal,Rachel Allavena,Robert A J Byrne,B Paul Morgan,Stephen J Bush,Kim M Summers,Katharine M Irvine,David A Hume
View all publications

Product promise

We are committed to supporting your work with high-quality reagents, and we're here for you every step of the way. In the unlikely event that one of our products does not perform as expected, you're protected by our Product Promise.
For full details, please see our Terms & Conditions

Please note: All products are 'FOR RESEARCH USE ONLY. NOT FOR USE IN DIAGNOSTIC OR THERAPEUTIC PROCEDURES'.

For licensing inquiries, please contact partnerships@abcam.com