JavaScript is disabled in your browser. Please enable JavaScript to view this website.
AB75985

Anti-CD21 antibody [EP3093]

4

(6 Reviews)

|

(38 Publications)

Anti-CD21 antibody [EP3093] (ab75985) is a rabbit monoclonal antibody detecting CD21 in Western Blot, IP, IHC-P, ICC/IF. Suitable for Human.

- Biophysical QC for unrivalled batch-batch consistency
- Over 30 publications
- Trusted since 2009

View Alternative Names

CD21, C3DR, CR2, Complement receptor type 2, Cr2, Complement C3d receptor, Epstein-Barr virus receptor, EBV receptor

4 Images
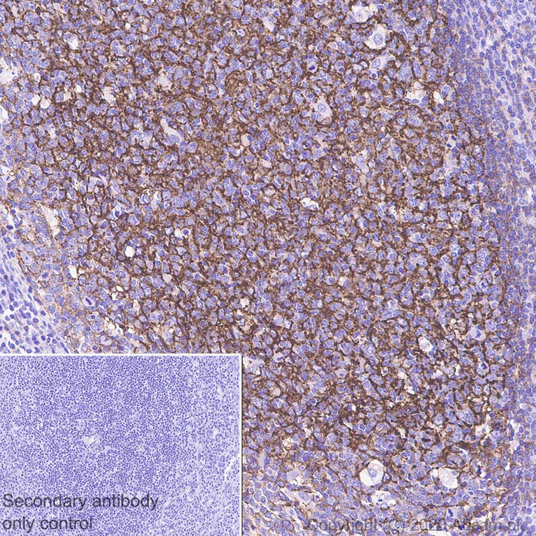
Immunohistochemistry (Formalin/PFA-fixed paraffin-embedded sections) - Anti-CD21 antibody [EP3093] (AB75985)
  • IHC-P

Lab

Immunohistochemistry (Formalin/PFA-fixed paraffin-embedded sections) - Anti-CD21 antibody [EP3093] (AB75985)

Immunohistochemistry (Formalin/PFA-fixed paraffin-embedded sections) analysis of human tonsil tissue sections labeling CD21 with Purified ab75985 at 1 : 8000 dilution (0.066 μg/ml). Heat mediated antigen retrieval was performed using Heat mediated antigen retrieval using Bond™ Epitope Retrieval Solution 1 (pH 6.0) . Tissue was counterstained with Hematoxylin. Rabbit specific IHC polymer detection kit HRP/DAB (ab209101) secondary antibody was used at 1 : 0 dilution. PBS instead of the primary antibody was used as the negative control.

Immunocytochemistry/ Immunofluorescence - Anti-CD21 antibody [EP3093] (AB75985)
  • ICC/IF

Lab

Immunocytochemistry/ Immunofluorescence - Anti-CD21 antibody [EP3093] (AB75985)

Immunocytochemistry analysis of Raji (Human Burkitt's lymphoma B lymphocyte) cells labeling CD21 with Purified ab75985 at 1 : 50 dilution (10 μg/ml). Cells were fixed in 4% Paraformaldehyde and permeabilized with 0.1% tritonX-100. Cells were counterstained with ab195889 Anti-alpha Tubulin antibody [DM1A]+H21 : L21 - Microtubule Marker (Alexa Fluor® 594) 1 : 200 (2.5 μg/ml). Goat anti rabbit IgG (Alexa Fluor® 488, ab150077) was used as the secondary antibody at 1 : 1000 (2 μg/ml) dilution. DAPI (blue) was used as nuclear counterstain. PBS instead of the primary antibody was used as the secondary antibody only control.

Immunoprecipitation - Anti-CD21 antibody [EP3093] (AB75985)
  • IP

Unknown

Immunoprecipitation - Anti-CD21 antibody [EP3093] (AB75985)

Purified ab75985 at 1/100 dilution (2μg) immunoprecipitating CD21 in Daudi whole cell lysate.
Lane 1 (input) : Daudi (Human Burkitt's lymphoma lymphoblast) whole cell lysate 10μg
Lane 2 (+) : ab75985 + Daudi whole cell lysate.
Lane 3 (-) : Rabbit monoclonal IgG (ab172730) instead of ab75985 in Daudi whole cell lysate.
VeriBlot for IP Detection Reagent (HRP) (ab131366) (1/1000 dilution) was used for Western blotting.
Blocking Buffer and concentration : 5% NFDM/TBST.
Diluting buffer and concentration : 5% NFDM/TBST.
Observed band size : 155 kDa
The band at around 15kDa could be cleavage form. (PMID : 9647256)

All lanes:

Immunoprecipitation - Anti-CD21 antibody [EP3093] (ab75985)

Predicted band size: 113 kDa

false

Western blot - Anti-CD21 antibody [EP3093] (AB75985)
  • WB

Unknown

Western blot - Anti-CD21 antibody [EP3093] (AB75985)

All lanes:

Western blot - Anti-CD21 antibody [EP3093] (ab75985) at 1/20000 dilution

Lane 1:

Daudi (Human Burkitt's lymphoma lymphoblast) whole cell lysate at 20 µg

Lane 2:

Raji (Human Burkitt's lymphoma B lymphocyte) whole cell lysate at 20 µg

Secondary

All lanes:

Western blot - Goat Anti-Rabbit IgG H&L (HRP) (<a href='/en-us/products/secondary-antibodies/goat-rabbit-igg-h-l-hrp-ab97051'>ab97051</a>) at 1/20000 dilution

Predicted band size: 113 kDa

false

Key facts

Host species

Rabbit

Clonality

Monoclonal

Clone number

EP3093

Isotype

IgG

Carrier free

No

Reacts with

Human

Applications

ICC/IF, WB, IP, IHC-P

applications

Immunogen

The exact immunogen used to generate this antibody is proprietary information.

Reactivity data

{ "title": "Reactivity Data", "filters": { "stats": ["", "Species", "Dilution Info", "Notes"], "tabs": { "all-applications": {"fullname" : "All Applications", "shortname": "All Applications"}, "IHCP" : {"fullname" : "Immunohistochemistry (Formalin/PFA-fixed paraffin-embedded sections)", "shortname":"IHC-P"}, "IP" : {"fullname" : "Immunoprecipitation", "shortname":"IP"}, "WB" : {"fullname" : "Western blot", "shortname":"WB"}, "ICCIF" : {"fullname" : "Immunocytochemistry/ Immunofluorescence", "shortname":"ICC/IF"} }, "product-promise": { "all": "all", "testedAndGuaranteed": "tested", "guaranteed": "expected", "predicted": "predicted", "notRecommended": "not-recommended" } }, "values": { "Human": { "IHCP-species-checked": "testedAndGuaranteed", "IHCP-species-dilution-info": "1/8000", "IHCP-species-notes": "<p>For unpurified use at dilution 1/250 to 1/500</p>", "IP-species-checked": "testedAndGuaranteed", "IP-species-dilution-info": "1/100", "IP-species-notes": "<p></p>", "WB-species-checked": "testedAndGuaranteed", "WB-species-dilution-info": "1/2000 - 1/5000", "WB-species-notes": "<p></p>", "ICCIF-species-checked": "testedAndGuaranteed", "ICCIF-species-dilution-info": "1/50", "ICCIF-species-notes": "<p>For unpurified use at dilution 1/250 to 1/500</p>" } } }

You may be interested in:

AB284613

Human CD21 ELISA Kit

0

0 Reviews

View product

We recommend this product because it’s often used in the same experiment or related research.

We advise that you always check the datasheet to ensure it fits your experiments, or contact ourtechnical teamfor help.

Product details

What is this antibody validated in?
Anti-CD21 antibody [EP3093] (ab75985) is a rabbit recombinant monoclonal antibody and is validated for use in Western Blot (WB), Immunoprecipitation (IP), Immunohistochemistry (IHC-P), Immunocytochemistry/immunofluorescence (ICC/IF) in Human samples.

What is the molecular weight of CD21?
Anti-CD21 [EP3093] (ab75985) specifically detects a band for CD21 (UniProt: P20023) at a molecular weight of 113kDa.

Trusted by the scientific community
Anti-CD21 [EP3093] (ab75985) was first used in a scientific publication in 2009 and has been cited over 30 times in peer-reviewed journals.

Reviewed by scientists
Anti-CD21 [EP3093] (ab75985) has over 5 independent reviews from customers.

Trial sizes available!
Test your antibody or perform pre-screening before committing to a larger quantity. Sold in 10µl. Discover our selection of trial-size antibodies.

Other related products
We have a range of other formats of antibody clone [EP3093] also available for your convenience: ab75985, Carrier free - ab193554, HRP - ab202354, Alexa Fluor® 488 - ab202692, Alexa Fluor® 647 - ab202693, Carrier free - ab271855, Alexa Fluor® 594 - ab281930, Alexa Fluor® 555 - ab282007, Biotin - ab322303, Alexa Fluor® 555 - ab322950

Patented technology
Our RabMAb® technology is a patented hybridoma-based technology for making rabbit monoclonal antibodies. For details on our patents, please refer to RabMAb® patents.

What are the advantages of a recombinant monoclonal antibody?
This product is a recombinant monoclonal antibody, which offers several advantages including:

  • - High batch-to-batch consistency and reproducibility
  • - Improved sensitivity and specificity
  • - Long-term security of supply
  • - Animal-free batch production

For more information, read more on recombinant antibodies.

Species reactivity
Rat: We have preliminary internal testing data to indicate this antibody may not react with this species.
Please contact us for more information.

Properties and storage information

Form
Liquid
Purification technique
Affinity purification Protein A
Storage buffer
pH: 7.2 - 7.4 Preservative: 0.05% Sodium azide Constituents: 50% Tissue culture supernatant, 40% Glycerol (glycerin, glycerine), 9.85% Tris glycine, 0.1% BSA
Shipped at conditions
Blue Ice
Appropriate short-term storage duration
1-2 weeks
Appropriate short-term storage conditions
+4°C
Appropriate long-term storage conditions
-20°C
Aliquoting information
Upon delivery aliquot
Storage information
Avoid freeze / thaw cycle

Supplementary information

This supplementary information is collated from multiple sources and compiled automatically.

CD21 also known as complement receptor type 2 (CR2) or BU32 is a protein primarily expressed on the surface of B cells and some T cells. It functions as a receptor for complement component C3d EBV (Epstein-Barr Virus) and IFN-α. CD21 weighs approximately 145 kDa and belongs to the membrane protein family. Detection of CD21 can be done via immunohistochemistry (IHC) and blood tests. This marker is valuable for identifying cell populations that have roles in immune responses.
Biological function summary

Complement receptor type 2 is key in the immune system by facilitating B cell activation and proliferation. CD21 forms complexes with CD19 and CD81 increasing the sensitivity of B cells to antigens. This interaction enhances signal transduction enabling B lymphocytes to respond effectively to pathogens. The protein also plays a role in regulating immune tolerance and maintaining humoral immunity being important not only in immune defense but also in preventing autoimmunity.

Pathways

CD21 interacts with complement activation and immune response pathways. It connects with CD19 in a pivotal role where it further amplifies signaling in B lymphocytes. This interaction strengthens the downstream signaling of BCR (B cell receptor) important for antibody production. CD21 contributes to bridging the innate and adaptive immunological pathways by engaging components like C3d.

CD21 shows significant relevance in systemic lupus erythematosus (SLE) and some B cell lymphomas. Deficiencies or mutations in CD21 can lead to defective immune responses and increased susceptibility to autoimmune conditions such as SLE where CD19 is also implicated. Furthermore in Epstein-Barr Virus infections CD21 serves as an entry receptor facilitating pathogen establishment which can result in chronic conditions or even malignancies.

Product protocols

For this product, it's our understanding that no specific protocols are required. You can visit:

Target data

Serves as a receptor for various ligands including complement component CD3d, HNRNPU OR IFNA1 (PubMed : 1849076, PubMed : 21527715, PubMed : 7753047). When C3d is bound to antigens, attaches to C3d on B-cell surface and thereby facilitates the recognition and uptake of antigens by B-cells (PubMed : 21527715). This interaction enhances B-cell activation and subsequent immune responses. Forms a complex with several partners on the surface of B-cells including CD19, FCRL5 and CD81, to form the B-cell coreceptor complex that plays a crucial role in B-cell activation and signaling (PubMed : 1383329, PubMed : 30107486). Induces also specific intracellular signaling separately from the BCR and CD19 by activating the tyrosine kinase SRC, which then phosphorylates nucleolin/NCL and triggers AKT and GSK3 kinase activities in a SYK/CD19-independent manner (PubMed : 12938232). Acts as a ligand for CD23 (FcepsilonRII), a low-affinity receptor for IgE, which is expressed on B-cells and other immune cells, and thus participates in the regulation of IgE production (PubMed : 1386409).. (Microbial infection) Acts as a receptor for Epstein-Barr virus.
See full target information CR2

Publications (38)

Recent publications for all applications. Explore the full list and refine your search

Journal for immunotherapy of cancer 11: PubMed37072348

2023

Intratumoral tertiary lymphoid structure (TLS) maturation is influenced by draining lymph nodes of lung cancer.

Applications

Unspecified application

Species

Unspecified reactive species

Miao He,Qihua He,Xiuyu Cai,Jun Liu,Hongshen Deng,Feng Li,Ran Zhong,Yi Lu,Haoxin Peng,Xiangrong Wu,Zisheng Chen,Shen Lao,Caichen Li,Jianfu Li,Jianxing He,Wenhua Liang

PLoS pathogens 19:e1011040 PubMed36630458

2023

New insight into Epstein-Barr virus infection using models of stratified epithelium.

Applications

Unspecified application

Species

Unspecified reactive species

Ian R Hayman,Rachel M Temple,Cole K Burgess,Mary Ferguson,Jason Liao,Craig Meyers,Clare E Sample

Cancers 14: PubMed36551593

2022

Intra-Tumoral Secondary Follicle-like Tertiary Lymphoid Structures Are Associated with a Superior Prognosis of Overall Survival of Perihilar Cholangiocarcinoma.

Applications

Unspecified application

Species

Unspecified reactive species

Fa-Peng Zhang,Ke Zhu,Tai-Feng Zhu,Chao-Qun Liu,Hong-Hua Zhang,Lei-Bo Xu,Gang Xiao,Chao Liu

International journal of molecular sciences 23: PubMed36555105

2022

Sterol O-Acyltransferase Inhibition Ameliorates High-Fat Diet-Induced Renal Fibrosis and Tertiary Lymphoid Tissue Maturation after Ischemic Reperfusion Injury.

Applications

Unspecified application

Species

Unspecified reactive species

Yuki Ariyasu,Yuki Sato,Yosuke Isobe,Keisuke Taniguchi,Motoko Yanagita,Makoto Arita

The Journal of investigative dermatology 143:273-283.e12 PubMed36116506

2022

Disease Association of Anti‒Carboxyethyl Lysine Autoantibodies in Hidradenitis Suppurativa.

Applications

Unspecified application

Species

Unspecified reactive species

Giulio Macchiarella,Vanessa Cornacchione,Celine Cojean,Julia Riker,Yichen Wang,Helene Te,Melanie Ceci,Johann E Gudjonsson,Swann Gaulis,Jean François Goetschy,Audrey Wollschlegel,Stephanie K Gass,Sofia Oetliker-Contin,Barbara Wettstein-Ling,Dirk J Schaefer,Pascale Meschberger,Roland de Roche,Rik Osinga,Grazyna Wieczorek,Ulrike Naumann,Joachim C U Lehmann,Anna Schubart,Andreas Hofmann,Lukas Roth,Edwin F Florencia,Christian Loesche,Elisabetta Traggiai,Alexandre Avrameas,Errol P Prens,Till A Röhn,Ben Roediger

Journal of leukocyte biology 112:1591-1603 PubMed35501298

2022

Relationship and prognostic significance of IL-33, PD-1/PD-L1, and tertiary lymphoid structures in cervical cancer.

Applications

Unspecified application

Species

Unspecified reactive species

Ying Zhang,Jing Li,Fan Yang,Xiying Zhang,Xiubao Ren,Feng Wei

Journal of experimental & clinical cancer research : CR 41:132 PubMed35392977

2022

Adaptive antitumor immune response stimulated by bio-nanoparticle based vaccine and checkpoint blockade.

Applications

Unspecified application

Species

Unspecified reactive species

Xuewei Bai,Yanmei Zhou,Yuki Yokota,Yoshihiro Matsumoto,Bo Zhai,Nader Maarouf,Hikaru Hayashi,Rolf Carlson,Songhua Zhang,Aryanna Sousa,Bei Sun,Hossein Ghanbari,Xiaoqun Dong,Jack R Wands

Frontiers in oncology 12:811586 PubMed35223493

2022

Tertiary Lymphoid Structures and Chemokine Landscape in Virus-Positive and Virus-Negative Merkel Cell Carcinoma.

Applications

Unspecified application

Species

Unspecified reactive species

Motoki Nakamura,Tetsuya Magara,Shinji Kano,Akihiro Matsubara,Hiroshi Kato,Akimichi Morita

Oncoimmunology 11:2015170 PubMed35003894

2022

Mice transgenic for human fusion gene show proliferation and transformation of ATLL-like and AITL-like T cells.

Applications

Unspecified application

Species

Unspecified reactive species

Gyu Jin Lee,Yukyung Jun,Yoon Kyung Jeon,Daekee Lee,Sanghyuk Lee,Jaesang Kim

Journal of the American Society of Nephrology : JASN 33:186-200 PubMed34725107

2021

Advanced Tertiary Lymphoid Tissues in Protocol Biopsies are Associated with Progressive Graft Dysfunction in Kidney Transplant Recipients.

Applications

Unspecified application

Species

Unspecified reactive species

Yu Ho Lee,Yuki Sato,Mitsuru Saito,Shingo Fukuma,Masaya Saito,Shigenori Yamamoto,Atsushi Komatsuda,Nobuhiro Fujiyama,Shigeru Satoh,Sang-Ho Lee,Peter Boor,Tomonori Habuchi,Jürgen Floege,Motoko Yanagita
View all publications

Product promise

We are committed to supporting your work with high-quality reagents, and we're here for you every step of the way. In the unlikely event that one of our products does not perform as expected, you're protected by our Product Promise.
For full details, please see our Terms & Conditions

Associated Products

Select an associated product type
Alternative Product
Primary Antibodies

AB237981

Anti-CD21 antibody [CR2/1953]

primary-antibodies

cd21-antibody-cr2-1953-ab237981

0

(0 reviews)

Alternative Product
Primary Antibodies

AB201303

PE/Cy5® Anti-CD21 antibody [LT21]

primary-antibodies

pe-cy5-cd21-antibody-lt21-ab201303

0

(0 reviews)

Alternative Product
Primary Antibodies

AB187583

Alexa Fluor® 647 Anti-CD21 antibody [LT21]

primary-antibodies

alexa-fluor-647-cd21-antibody-lt21-ab187583

0

(0 reviews)

Alternative Product
Primary Antibodies

AB203299

Anti-CD21 antibody - C-terminal

primary-antibodies

cd21-antibody-c-terminal-ab203299

0

(0 reviews)

Alternative Product
Primary Antibodies

AB7290

Anti-CD21 antibody [1F8], prediluted

primary-antibodies

cd21-antibody-1f8-prediluted-ab7290

0

(0 reviews)

Alternative Product
Primary Antibodies

AB46900

Anti-CD21 antibody [B-E5] - BSA and Azide free

primary-antibodies

cd21-antibody-b-e5-bsa-and-azide-free-ab46900

0

(0 reviews)

Alternative Product
Primary Antibodies

AB240987

Anti-CD21 antibody [SP186] - BSA and Azide free

primary-antibodies

cd21-antibody-sp186-bsa-and-azide-free-ab240987

0

(0 reviews)

Alternative Product
Primary Antibodies

AB65809

FITC Anti-CD21 antibody [LT21]

primary-antibodies

fitc-cd21-antibody-lt21-ab65809

0

(0 reviews)

Alternative Product
Primary Antibodies

AB54253

Anti-CD21 antibody [Bu32]

primary-antibodies

cd21-antibody-bu32-ab54253

0

(0 reviews)

Alternative Product
Primary Antibodies

AB227662

Anti-CD21 antibody [SP186] - C-terminal

primary-antibodies

cd21-antibody-sp186-c-terminal-ab227662

0

(0 reviews)

Alternative Product
Primary Antibodies

AB227668

Anti-CD21 antibody [SP199]

primary-antibodies

cd21-antibody-sp199-ab227668

0

(0 reviews)

Alternative Product
Primary Antibodies

AB240988

Anti-CD21 antibody [SP199] - BSA and Azide free

primary-antibodies

cd21-antibody-sp199-bsa-and-azide-free-ab240988

0

(0 reviews)

Alternative Version
Primary Antibodies

AB193554

Anti-CD21 antibody [EP3093] - Low endotoxin, Azide free

primary-antibodies

cd21-antibody-ep3093-low-endotoxin-azide-free-ab193554

0

(0 reviews)

Please note: All products are 'FOR RESEARCH USE ONLY. NOT FOR USE IN DIAGNOSTIC OR THERAPEUTIC PROCEDURES'.

For licensing inquiries, please contact partnerships@abcam.com