JavaScript is disabled in your browser. Please enable JavaScript to view this website.
AB271855

Anti-CD21 antibody [EP3093] - BSA and Azide free

5

(1 Review)

|

(0 Publication)

Anti-CD21 antibody [EP3093] - BSA and Azide free (ab271855) is a rabbit recombinant monoclonal antibody provided in a PBS only buffer for easy conjugation detecting CD21 in Western Blot, IP, IHC-P, IHC-Fr, ICC/IF. Suitable for Human.

- BSA, sodium azide, and glycerol-free for easy conjugation
- Biophysical QC for unrivalled batch-batch consistency

View Alternative Names

CD21, C3DR, CR2, Complement receptor type 2, Cr2, Complement C3d receptor, Epstein-Barr virus receptor, EBV receptor

3 Images
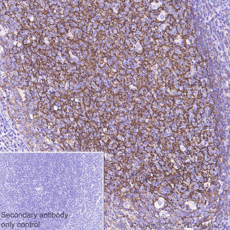
Immunohistochemistry (Formalin/PFA-fixed paraffin-embedded sections) - Anti-CD21 antibody [EP3093] - BSA and Azide free (AB271855)
  • IHC-P

Lab

Immunohistochemistry (Formalin/PFA-fixed paraffin-embedded sections) - Anti-CD21 antibody [EP3093] - BSA and Azide free (AB271855)

This data was developed using ab75985, the same antibody clone in a different buffer formulation.
Immunohistochemistry (Formalin/PFA-fixed paraffin-embedded sections) analysis of human tonsil tissue sections labeling CD21 with Purified ab75985 at 1 : 8000 dilution (0.066 μg/ml). Heat mediated antigen retrieval was performed using Heat mediated antigen retrieval using Bond™ Epitope Retrieval Solution 1 (pH 6.0) . Tissue was counterstained with Hematoxylin. Rabbit specific IHC polymer detection kit HRP/DAB (ab209101) secondary antibody was used at 1 : 0 dilution. PBS instead of the primary antibody was used as the negative control.

Immunocytochemistry/ Immunofluorescence - Anti-CD21 antibody [EP3093] - BSA and Azide free (AB271855)
  • ICC/IF

Lab

Immunocytochemistry/ Immunofluorescence - Anti-CD21 antibody [EP3093] - BSA and Azide free (AB271855)

This data was developed using ab271855, the same antibody clone in a different buffer formulation.
Immunocytochemistry analysis of Raji(Human Burkitt's lymphoma B lymphocyte) cells labeling CD21 with Purified ab271855 at 1 : 50 dilution (10 μg/ml). Cells were fixed in 4% Paraformaldehyde and permeabilized with 0.1% tritonX-100. Cells were counterstained with ab195889 Anti-alpha Tubulin antibody [DM1A]+H21 : L21 - Microtubule Marker (Alexa Fluor® 594) 1 : 200 (2.5 μg/ml). Goat anti rabbit IgG (Alexa Fluor® 488, ab150077) was used as the secondary antibody at 1 : 1000 (2 μg/ml) dilution. DAPI (blue) was used as nuclear counterstain. PBS instead of the primary antibody was used as the secondary antibody only control.

Western blot - Anti-CD21 antibody [EP3093] - BSA and Azide free (AB271855)
  • WB

Unknown

Western blot - Anti-CD21 antibody [EP3093] - BSA and Azide free (AB271855)

All lanes:

Western blot - Anti-CD21 antibody [EP3093] (<a href='/en-us/products/primary-antibodies/cd21-antibody-ep3093-ab75985'>ab75985</a>) at 1/20000 dilution

Lane 1:

Daudi (Human Burkitt's lymphoma lymphoblast) whole cell lysate at 20 µg

Lane 2:

Raji (Human Burkitt's lymphoma B lymphocyte) whole cell lysate at 20 µg

Secondary

All lanes:

Western blot - Goat Anti-Rabbit IgG H&L (HRP) (<a href='/en-us/products/secondary-antibodies/goat-rabbit-igg-h-l-hrp-ab97051'>ab97051</a>) at 1/20000 dilution

Predicted band size: 113 kDa

false

Key facts

Host species

Rabbit

Clonality

Monoclonal

Clone number

EP3093

Isotype

IgG

Carrier free

Yes

Reacts with

Human

Applications

IHC-P, IHC-Fr, WB, IP, ICC/IF

applications

Immunogen

The exact immunogen used to generate this antibody is proprietary information.

Reactivity data

{ "title": "Reactivity Data", "filters": { "stats": ["", "Species", "Dilution Info", "Notes"], "tabs": { "all-applications": {"fullname" : "All Applications", "shortname": "All Applications"}, "IP" : {"fullname" : "Immunoprecipitation", "shortname":"IP"}, "WB" : {"fullname" : "Western blot", "shortname":"WB"}, "IHCP" : {"fullname" : "Immunohistochemistry (Formalin/PFA-fixed paraffin-embedded sections)", "shortname":"IHC-P"}, "ICCIF" : {"fullname" : "Immunocytochemistry/ Immunofluorescence", "shortname":"ICC/IF"}, "IHCFr" : {"fullname" : "Immunohistochemistry (Frozen sections)", "shortname":"IHC-Fr"} }, "product-promise": { "all": "all", "testedAndGuaranteed": "tested", "guaranteed": "expected", "predicted": "predicted", "notRecommended": "not-recommended" } }, "values": { "Human": { "IP-species-checked": "testedAndGuaranteed", "IP-species-dilution-info": "", "IP-species-notes": "<p></p>", "WB-species-checked": "testedAndGuaranteed", "WB-species-dilution-info": "", "WB-species-notes": "<p></p>", "IHCP-species-checked": "testedAndGuaranteed", "IHCP-species-dilution-info": "", "IHCP-species-notes": "<p></p>", "ICCIF-species-checked": "testedAndGuaranteed", "ICCIF-species-dilution-info": "", "ICCIF-species-notes": "<p></p>", "IHCFr-species-checked": "guaranteed", "IHCFr-species-dilution-info": "", "IHCFr-species-notes": "<p></p>" } } }

You may be interested in:

AB45909

Human CD21 ELISA Kit

0

0 Reviews

View product

We recommend this product because it’s often used in the same experiment or related research.

We advise that you always check the datasheet to ensure it fits your experiments, or contact ourtechnical teamfor help.

Product details

What is this antibody validated in?
Anti-CD21 antibody [EP3093] - BSA and Azide free (ab271855) is a rabbit recombinant monoclonal antibody and is validated for use in Western Blot (WB), Immunoprecipitation (IP), Immunohistochemistry (IHC-P), Immunohistochemistry (IHC-Fr), Immunocytochemistry/immunofluorescence (ICC/IF) in Human samples.

What is the molecular weight of CD21?
Anti-CD21 [EP3093] - BSA and Azide free (ab271855) specifically detects a band for CD21 (UniProt: P20023) at a molecular weight of 113kDa.

Other related products
We have a range of other formats of antibody clone [EP3093] also available for your convenience: ab75985, Carrier free - ab193554, HRP - ab202354, Alexa Fluor® 488 - ab202692, Alexa Fluor® 647 - ab202693, Carrier free - ab271855, Alexa Fluor® 594 - ab281930, Alexa Fluor® 555 - ab282007, Biotin - ab322303, Alexa Fluor® 555 - ab322950

Patented technology
Our RabMAb® technology is a patented hybridoma-based technology for making rabbit monoclonal antibodies. For details on our patents, please refer to RabMAb® patents.

What are the advantages of a recombinant monoclonal antibody?
This product is a recombinant monoclonal antibody, which offers several advantages including:

  • - High batch-to-batch consistency and reproducibility
  • - Improved sensitivity and specificity
  • - Long-term security of supply
  • - Animal-free batch production

For more information, read more on recombinant antibodies.

Species reactivity
Rat: We have preliminary internal testing data to indicate this antibody may not react with this species.
Please contact us for more information.

Conjugation ready
Our carrier-free antibodies are typically supplied in a PBS-only formulation, purified and free of BSA, sodium azide and glycerol. This conjugation-ready format is designed for use with fluorochromes, metal isotopes, oligonucleotides, and enzymes, which makes them ideal for antibody labelling, functional and cell-based assays, flow-based assays (e.g. mass cytometry) and Multiplex Imaging applications.

Use our conjugation kits for antibody conjugates that are ready-to-use in as little as 20 minutes with 1 minute hands-on-time and 100% antibody recovery: available for fluorescent dyes, HRP, biotin and gold.

Compatibility
This product is compatible with the Maxpar® Antibody Labeling Kit from Fluidigm, without the need for antibody preparation. Maxpar® is a trademark of Fluidigm Canada Inc.

Properties and storage information

Form
Liquid
Purification technique
Affinity purification Protein A
Storage buffer
pH: 7.2 - 7.4 Constituents: PBS
Shipped at conditions
Blue Ice
Appropriate short-term storage conditions
+4°C
Appropriate long-term storage conditions
+4°C
Storage information
Do Not Freeze

Supplementary information

This supplementary information is collated from multiple sources and compiled automatically.

CD21 also known as complement receptor type 2 (CR2) or BU32 is a protein primarily expressed on the surface of B cells and some T cells. It functions as a receptor for complement component C3d EBV (Epstein-Barr Virus) and IFN-α. CD21 weighs approximately 145 kDa and belongs to the membrane protein family. Detection of CD21 can be done via immunohistochemistry (IHC) and blood tests. This marker is valuable for identifying cell populations that have roles in immune responses.
Biological function summary

Complement receptor type 2 is key in the immune system by facilitating B cell activation and proliferation. CD21 forms complexes with CD19 and CD81 increasing the sensitivity of B cells to antigens. This interaction enhances signal transduction enabling B lymphocytes to respond effectively to pathogens. The protein also plays a role in regulating immune tolerance and maintaining humoral immunity being important not only in immune defense but also in preventing autoimmunity.

Pathways

CD21 interacts with complement activation and immune response pathways. It connects with CD19 in a pivotal role where it further amplifies signaling in B lymphocytes. This interaction strengthens the downstream signaling of BCR (B cell receptor) important for antibody production. CD21 contributes to bridging the innate and adaptive immunological pathways by engaging components like C3d.

CD21 shows significant relevance in systemic lupus erythematosus (SLE) and some B cell lymphomas. Deficiencies or mutations in CD21 can lead to defective immune responses and increased susceptibility to autoimmune conditions such as SLE where CD19 is also implicated. Furthermore in Epstein-Barr Virus infections CD21 serves as an entry receptor facilitating pathogen establishment which can result in chronic conditions or even malignancies.

Product protocols

For this product, it's our understanding that no specific protocols are required. You can visit:

Target data

Serves as a receptor for various ligands including complement component CD3d, HNRNPU OR IFNA1 (PubMed : 1849076, PubMed : 21527715, PubMed : 7753047). When C3d is bound to antigens, attaches to C3d on B-cell surface and thereby facilitates the recognition and uptake of antigens by B-cells (PubMed : 21527715). This interaction enhances B-cell activation and subsequent immune responses. Forms a complex with several partners on the surface of B-cells including CD19, FCRL5 and CD81, to form the B-cell coreceptor complex that plays a crucial role in B-cell activation and signaling (PubMed : 1383329, PubMed : 30107486). Induces also specific intracellular signaling separately from the BCR and CD19 by activating the tyrosine kinase SRC, which then phosphorylates nucleolin/NCL and triggers AKT and GSK3 kinase activities in a SYK/CD19-independent manner (PubMed : 12938232). Acts as a ligand for CD23 (FcepsilonRII), a low-affinity receptor for IgE, which is expressed on B-cells and other immune cells, and thus participates in the regulation of IgE production (PubMed : 1386409).. (Microbial infection) Acts as a receptor for Epstein-Barr virus.
See full target information CR2

Product promise

We are committed to supporting your work with high-quality reagents, and we're here for you every step of the way. In the unlikely event that one of our products does not perform as expected, you're protected by our Product Promise.
For full details, please see our Terms & Conditions

Associated Products

Select an associated product type
Alternative Product
Primary Antibodies

AB202693

Alexa Fluor® 647 Anti-CD21 antibody [EP3093]

primary-antibodies

alexa-fluor-647-cd21-antibody-ep3093-ab202693

5

(1 reviews)

Alternative Product
Primary Antibodies

AB193554

Anti-CD21 antibody [EP3093] - Low endotoxin, Azide free

primary-antibodies

cd21-antibody-ep3093-low-endotoxin-azide-free-ab193554

0

(0 reviews)

Alternative Product
Primary Antibodies

AB240987

Anti-CD21 antibody [SP186] - BSA and Azide free

primary-antibodies

cd21-antibody-sp186-bsa-and-azide-free-ab240987

0

(0 reviews)

Alternative Product
Primary Antibodies

AB227668

Anti-CD21 antibody [SP199]

primary-antibodies

cd21-antibody-sp199-ab227668

0

(0 reviews)

Alternative Product
Primary Antibodies

AB240988

Anti-CD21 antibody [SP199] - BSA and Azide free

primary-antibodies

cd21-antibody-sp199-bsa-and-azide-free-ab240988

0

(0 reviews)

Please note: All products are 'FOR RESEARCH USE ONLY. NOT FOR USE IN DIAGNOSTIC OR THERAPEUTIC PROCEDURES'.

For licensing inquiries, please contact partnerships@abcam.com