JavaScript is disabled in your browser. Please enable JavaScript to view this website.
AB315161

Anti-CD21 antibody [EPR27369-9] - BSA and Azide free

  • BOND RX™ Validated
  • Recombinant
  • Advanced Validation
  • RabMAb
  • What is this?

Be the first to review this product! Submit a review

|

(0 Publication)

Rabbit Recombinant Monoclonal CD21 antibody. Carrier free. Suitable for IHC-P, Flow Cyt, ICC/IF, WB, IP, mIHC and reacts with Human, Transfected cell lysate - Human samples.

View Alternative Names

CD21, C3DR, CR2, Complement receptor type 2, Cr2, Complement C3d receptor, Epstein-Barr virus receptor, EBV receptor

13 Images
Flow Cytometry - Anti-CD21 antibody [EPR27369-9] - BSA and Azide free (AB315161)
  • Flow Cyt

Supplier Data

Flow Cytometry - Anti-CD21 antibody [EPR27369-9] - BSA and Azide free (AB315161)

This data was developed using ab315160, the same antibody clone in a different buffer formulation.

Flow cytometric analysis of Human PBMC (human peripheral blood mononuclear cell) cells labelling CD21 with ab315160 at 1/500 dilution (0.1 ug)/Right compared with a Rabbit monoclonal IgG (ab172730) / Left isotype control.

Goat Anti-Rabbit IgG (Alexa Fluor® 488, ab150081) at 1/5000 dilution was used as the secondary antibody.

Gated on viable cells. Cells are co-stained with CD19 conjugated to Alexa Fluor®647.

Flow Cytometry - Anti-CD21 antibody [EPR27369-9] - BSA and Azide free (AB315161)
  • Flow Cyt

Supplier Data

Flow Cytometry - Anti-CD21 antibody [EPR27369-9] - BSA and Azide free (AB315161)

This data was developed using ab315160, the same antibody clone in a different buffer formulation.

Flow cytometric analysis of Human PBMC (human peripheral blood mononuclear cell) cells labelling CD21 with ab315160 at 1/500 dilution (0.1 ug)/Right compared with a Rabbit monoclonal IgG (ab172730) / Left isotype control

Goat Anti-Rabbit IgG (Alexa Fluor® 488, ab150081) at 1/5000 dilution was used as the secondary antibody.

Gated on viable cells. Cells are co-stained with CD56 conjugated to Brilliant Violet 421.

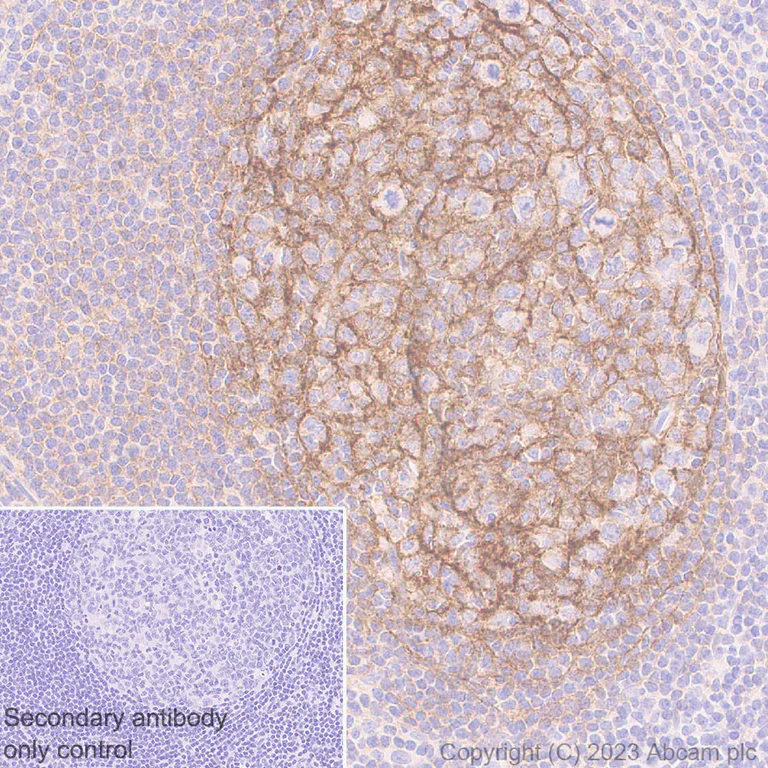
Immunohistochemistry (Formalin/PFA-fixed paraffin-embedded sections) - Anti-CD21 antibody [EPR27369-9] - BSA and Azide free (AB315161)
  • IHC-P

Supplier Data

Immunohistochemistry (Formalin/PFA-fixed paraffin-embedded sections) - Anti-CD21 antibody [EPR27369-9] - BSA and Azide free (AB315161)

This data was developed using ab315160, the same antibody clone in a different buffer formulation.

Immunohistochemical analysis of paraffin-embedded Human tonsil tissue labeling CD21 with ab315160 at 1/50 (10.56 ug/ml) dilution, followed by a ready to use Rabbit specific IHC polymer detection kit HRP/DAB (ab209101).

Positive staining on germinal center of human tonsil. The section was incubated with ab315160 for 30 mins at room temperature. The immunostaining was performed on a Leica Biosystems BOND® RX instrument Counterstained with Hematoxylin.

Secondary antibody only control : Secondary antibody is a ready to use Rabbit specific IHC polymer detection kit HRP/DAB (ab209101).

Heat mediated antigen retrieval was performed with Tris-EDTA buffer (pH 9.0, Epitope Retrieval Solution2) for 20 mins

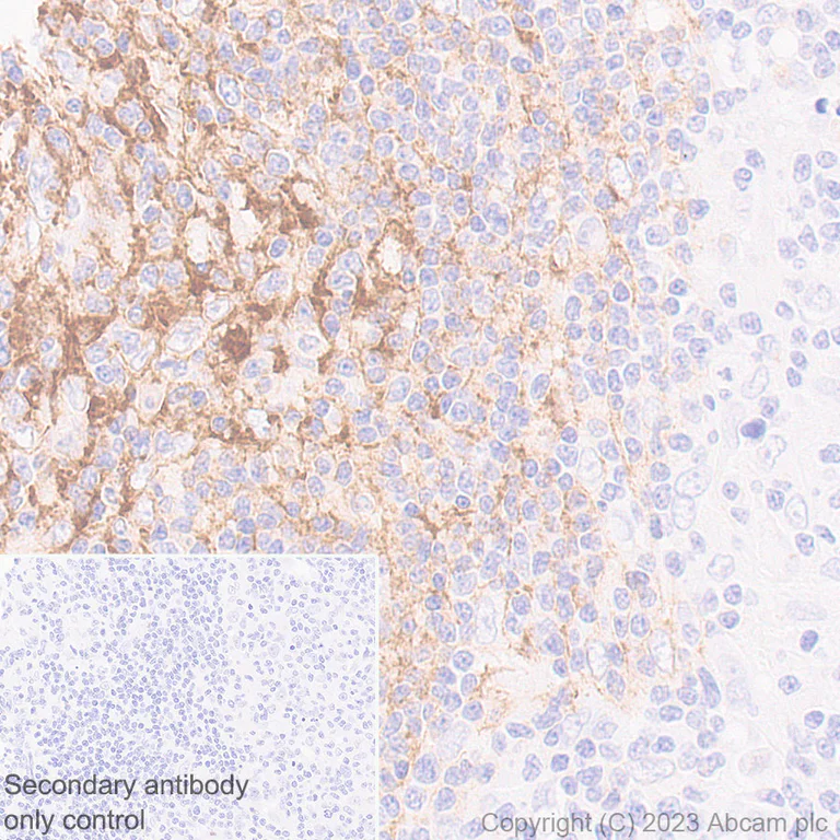
Immunohistochemistry (Formalin/PFA-fixed paraffin-embedded sections) - Anti-CD21 antibody [EPR27369-9] - BSA and Azide free (AB315161)
  • IHC-P

Supplier Data

Immunohistochemistry (Formalin/PFA-fixed paraffin-embedded sections) - Anti-CD21 antibody [EPR27369-9] - BSA and Azide free (AB315161)

This data was developed using ab315160, the same antibody clone in a different buffer formulation.

Immunohistochemical analysis of paraffin-embedded Human hodgkin's lymphoma tissue labeling CD21 with ab315160 at 1/50 (10.56 ug/ml) dilution, followed by a ready to use Rabbit specific IHC polymer detection kit HRP/DAB (ab209101).

Positive staining on human hodgkin's lymphoma. The section was incubated with ab315160 for 30 mins at room temperature. The immunostaining was performed on a Leica Biosystems BOND® RX instrument Counterstained with Hematoxylin.

Secondary antibody only control : Secondary antibody is a ready to use Rabbit specific IHC polymer detection kit HRP/DAB (ab209101).

Heat mediated antigen retrieval was performed with Tris-EDTA buffer (pH 9.0, Epitope Retrieval Solution2) for 20 mins

Immunocytochemistry/ Immunofluorescence - Anti-CD21 antibody [EPR27369-9] - BSA and Azide free (AB315161)
  • ICC/IF

Supplier Data

Immunocytochemistry/ Immunofluorescence - Anti-CD21 antibody [EPR27369-9] - BSA and Azide free (AB315161)

This data was developed using ab315160, the same antibody clone in a different buffer formulation.

Immunofluorescent analysis of 4% Paraformaldehyde-fixed, 0.1% Tween-20 permeabilized Human PBMC (human primary peripheral blood mononuclear cell) cells labelling CD21 with ab315160 at 1/50 (10.56 ug/ml) dilution, followed by ab150081 Goat Anti-Rabbit IgG H&L (Alexa Fluor® 488) preadsorbed antibody at 1/1000 (2 ug/ml) dilution (Green).

Confocal image showing membranous staining in subsets of human PBMCs. Image was taken with a confocal microscope(Leica-Microsystems, TCS SP8).

ab195889 Anti-alpha Tubulin mouse monoclonal antibody - Microtubule Marker (Alexa Fluor® 594) was used to counterstain tubulin at 1/200 (2.5 ug/ml) dilution (Red). The Nuclear counterstain was DAPI (Blue).

Secondary antibody only control : Secondary antibody is ab150081 Goat Anti-Rabbit IgG H&L (Alexa Fluor® 488) preadsorbed at 1/1000 (2 ug/ml) dilution.

Immunocytochemistry/ Immunofluorescence - Anti-CD21 antibody [EPR27369-9] - BSA and Azide free (AB315161)
  • ICC/IF

Supplier Data

Immunocytochemistry/ Immunofluorescence - Anti-CD21 antibody [EPR27369-9] - BSA and Azide free (AB315161)

This data was developed using ab315160, the same antibody clone in a different buffer formulation.

Immunofluorescent analysis of 4% Paraformaldehyde-fixed, 0.1% Tween-20 permeabilized Raji (human Burkitt's lymphoma B lymphocyte) cells labelling CD21 with ab315160 at 1/50 (10.56 ug/ml) dilution, followed by ab150081 Goat Anti-Rabbit IgG H&L (Alexa Fluor® 488) preadsorbed antibody at 1/1000 (2 ug/ml) dilution (Green).

Confocal image showing membranous and cytoplasmic staining in Raji cell line. Negative control : K-562 (PMID : 6983911).Image was taken with a confocal microscope(Leica-Microsystems, TCS SP8).

ab195889 Anti-alpha Tubulin mouse monoclonal antibody - Microtubule Marker (Alexa Fluor® 594) was used to counterstain tubulin at 1/200 (2.5 ug/ml) dilution (Red). The Nuclear counterstain was DAPI (Blue).

Secondary antibody only control : Secondary antibody is ab150081 Goat Anti-Rabbit IgG H&L (Alexa Fluor® 488) preadsorbed at 1/1000 (2 ug/ml) dilution.

Immunohistochemistry (Formalin/PFA-fixed paraffin-embedded sections) - Anti-CD21 antibody [EPR27369-9] - BSA and Azide free (AB315161)
  • IHC-P

Supplier Data

Immunohistochemistry (Formalin/PFA-fixed paraffin-embedded sections) - Anti-CD21 antibody [EPR27369-9] - BSA and Azide free (AB315161)

This data was developed using ab315160, the same antibody clone in a different buffer formulation.

Immunohistochemical analysis of paraffin-embedded Human cardiac muscle tissue labeling CD21 with ab315160 at 1/50 (10.56 ug/ml) dilution, followed by a ready to use Rabbit specific IHC polymer detection kit HRP/DAB (ab209101).

Negative control : no staining on human cardiac muscle. The section was incubated with ab315160 for 30 mins at room temperature. The immunostaining was performed on a Leica Biosystems BOND® RX instrument Counterstained with Hematoxylin.

Secondary antibody only control : Secondary antibody is a ready to use Rabbit specific IHC polymer detection kit HRP/DAB (ab209101).

Heat mediated antigen retrieval was performed with Tris-EDTA buffer (pH 9.0, Epitope Retrieval Solution2) for 20 mins

Flow Cytometry - Anti-CD21 antibody [EPR27369-9] - BSA and Azide free (AB315161)
  • Flow Cyt

Supplier Data

Flow Cytometry - Anti-CD21 antibody [EPR27369-9] - BSA and Azide free (AB315161)

This data was developed using ab315160, the same antibody clone in a different buffer formulation.

Flow cytometric analysis of K-562 (human chronic myelogenous leukemia lymphoblast, Left) / Raji (human Burkitt's lymphoma B lymphocyte, Right) cells labelling CD21 with ab315160 at 1/500 dilution (0.1 ug)/Red compared with a Rabbit monoclonal IgG (ab172730) (Black) isotype control and an unlabelled control (cells without incubation with primary antibody and secondary antibody) (Blue).

Goat Anti-Rabbit IgG (Alexa Fluor® 488, ab150081) at 1/5000 dilution was used as the secondary antibody.

Negative control : K-562. Gated on viable cells.

Multiplex immunohistochemistry - Anti-CD21 antibody [EPR27369-9] - BSA and Azide free (AB315161)
  • mIHC

Supplier Data

Multiplex immunohistochemistry - Anti-CD21 antibody [EPR27369-9] - BSA and Azide free (AB315161)

This data was developed using ab315160, the same antibody clone in a different buffer formulation.

Multiplex immunohistochemistry analysis of formalin/PFA-fixed paraffin-embedded human tonsil tissue staining CD21 with ab315160 at a 1 : 50 (10.56 ug/ml) dilution, ab237772 anti-CD19 used at 1 : 5000 (0.21 ug/ml) dilution and ab237707 anti-CD3E used at a 1 : 500 (1.01 ug/ml) dilution.

Panel A : merged staining of anti-CD21 (green; Opal™690), anti-CD3E (grey; Opal™520) and anti-CD19 (red; Opal™570) on human tonsil.
Panel B : anti-CD21 staining mature B lymphocytes and T-lymphocytes of human tonsil.
Panel C : anti-CD19 staining B lymphocytes of human tonsil.
Panel D : anti-CD3E staining T lymphocytes of human tonsil.

The section was incubated in three rounds of staining : in the order of ab315160, ab237772, and ab237707 for 30 mins at room temperature. Each round was followed by a separate fluorescent tyramide signal amplification system.

The immunostaining was performed on a Leica Biosystems BOND® RX instrument with an Opal™ 4-color kit. Image acquisition was performed with Leica SP8 confocal microscope.

Nuclear counter stain with DAPI.

Heat mediated antigen retrieval with Tris-EDTA buffer (pH 9.0, epitope retrieval solution2) for 20 mins.

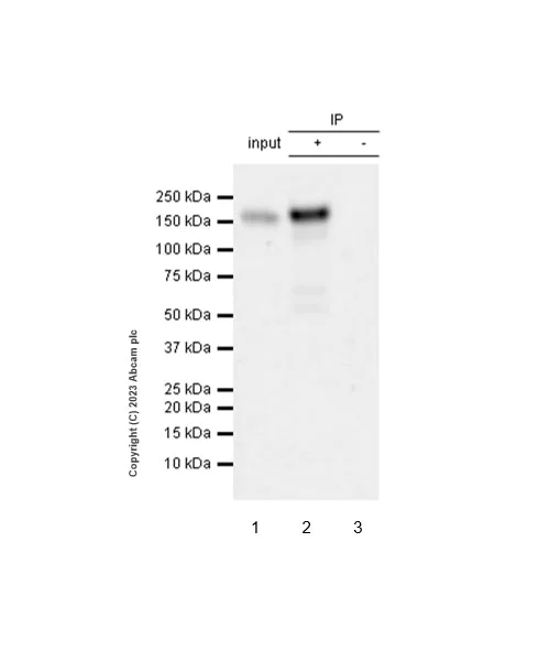
Immunoprecipitation - Anti-CD21 antibody [EPR27369-9] - BSA and Azide free (AB315161)
  • IP

Supplier Data

Immunoprecipitation - Anti-CD21 antibody [EPR27369-9] - BSA and Azide free (AB315161)

This data was developed using ab315160, the same antibody clone in a different buffer formulation.

CD21 was immunoprecipitated from 0.35 mg Raji (human Burkitt's lymphoma B lymphocyte) with ab315160 at 1/30 dilution (2ug in 0.35mg lysates). Western blot was performed on the immunoprecipitate using ab315160 at 1/1000 dilution. VeriBlot for IP secondary antibody(HRP)(ab131366) was used at 1/5000 dilution.

Lane 1 : Raji (human Burkitt's lymphoma B lymphocyte) whole cell lysate

Lane 2 : ab315160 IP in Raji (human Burkitt's lymphoma B lymphocyte)

Lane 3 : Rabbit monoclonal IgG (ab172730) instead of ab315160 in Raji whole cell lysate

Blocking and dilution buffer and concentration : 5% NFDM/TBST.

All lanes:

Immunoprecipitation - Anti-CD21 antibody [EPR27369-9] (<a href='/en-us/products/primary-antibodies/cd21-antibody-epr27369-9-ab315160'>ab315160</a>) at 1/30 dilution

All lanes:

Raji (human Burkitt's lymphoma B lymphocyte) whole cell lysate

Secondary

All lanes:

Immunoprecipitation - VeriBlot for IP Detection Reagent (HRP) (<a href='/en-us/products/reagents/veriblot-for-ip-detection-reagent-hrp-ab131366'>ab131366</a>) at 1/5000 dilution

false

Exposure time: 41s

Western blot - Anti-CD21 antibody [EPR27369-9] - BSA and Azide free (AB315161)
  • WB

Supplier Data

Western blot - Anti-CD21 antibody [EPR27369-9] - BSA and Azide free (AB315161)

This data was developed using ab315160, the same antibody clone in a different buffer formulation.

Blocking and diluting buffer and concentration : 5% NFDM/TBST.

Negative control : Human heart.

The identity of the lower MW bands at approximately 50kDa is unknown.

In Western blot, Anti-GAPDH antibody [EPR16891] - Loading Control (ab181602) staining at 1/200000 dilution.

Exposure time : Lane 1 : 15 seconds Lane 2 : 180 seconds

All lanes:

Western blot - Anti-CD21 antibody [EPR27369-9] (<a href='/en-us/products/primary-antibodies/cd21-antibody-epr27369-9-ab315160'>ab315160</a>) at 1/1000 dilution

Lane 1:

Human tonsil tissue lysate at 20 µg

Lane 2:

Human heart tissue lysate at 20 µg

Secondary

All lanes:

Western blot - Goat Anti-Rabbit IgG H&L (HRP) (<a href='/en-us/products/secondary-antibodies/goat-rabbit-igg-h-l-hrp-ab97051'>ab97051</a>) at 1/20000 dilution

Observed band size: 150 kDa,36 kDa

false

Western blot - Anti-CD21 antibody [EPR27369-9] - BSA and Azide free (AB315161)
  • WB

Supplier Data

Western blot - Anti-CD21 antibody [EPR27369-9] - BSA and Azide free (AB315161)

This data was developed using ab315160, the same antibody clone in a different buffer formulation.

Blocking and diluting buffer and concentration : 5% NFDM/TBST.

Negative control : K-562 (PMID : 6983911).

In Western blot, Anti-GAPDH antibody [EPR16891] - Loading Control (ab181602) staining at 1/200000 dilution.

Exposure time : Lane 1 : 48 seconds Lane 2 : 180 seconds

All lanes:

Western blot - Anti-CD21 antibody [EPR27369-9] (<a href='/en-us/products/primary-antibodies/cd21-antibody-epr27369-9-ab315160'>ab315160</a>) at 1/1000 dilution

Lane 1:

Raji (human Burkitt's lymphoma B lymphocyte) whole cell lysate at 20 µg

Lane 2:

K-562 (human chronic myelogenous leukemia lymphoblast) whole cell lysate at 20 µg

Secondary

All lanes:

Western blot - Goat Anti-Rabbit IgG H&L (HRP) (<a href='/en-us/products/secondary-antibodies/goat-rabbit-igg-h-l-hrp-ab97051'>ab97051</a>) at 1/20000 dilution

Observed band size: 150 kDa,36 kDa

false

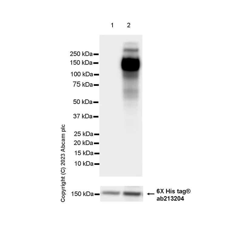
Western blot - Anti-CD21 antibody [EPR27369-9] - BSA and Azide free (AB315161)
  • WB

Supplier Data

Western blot - Anti-CD21 antibody [EPR27369-9] - BSA and Azide free (AB315161)

This data was developed using ab315160, the same antibody clone in a different buffer formulation.

Blocking and diluting buffer and concentration : 5% NFDM/TBST.

In Western blot, Anti-6X His tag® antibody [EPR20547] - ChIP Grade (ab213204) staining at 1/5000 dilution.

All lanes:

Western blot - Anti-CD21 antibody [EPR27369-9] (<a href='/en-us/products/primary-antibodies/cd21-antibody-epr27369-9-ab315160'>ab315160</a>) at 1/1000 dilution

Lane 1:

293T (human embryonic kidney epithelial cell) cells transfected with an empty vector containing a myc-His-tag®, whole cell lysate at 10 µg

Lane 2:

293T cells transfected with a human CD21 expression vector containing a myc-His-tag®, whole cell lysate at 10 µg

Secondary

All lanes:

Western blot - Goat Anti-Rabbit IgG H&L (HRP) (<a href='/en-us/products/secondary-antibodies/goat-rabbit-igg-h-l-hrp-ab97051'>ab97051</a>) at 1/20000 dilution

Observed band size: 150 kDa

false

Exposure time: 3.25s

Key facts

Host species

Rabbit

Clonality

Monoclonal

Clone number

EPR27369-9

Isotype

IgG

Carrier free

Yes

Reacts with

Human

Applications

Flow Cyt, IHC-P, ICC/IF, WB, IP, mIHC

applications

Immunogen

The exact immunogen used to generate this antibody is proprietary information.

Reactivity data

{ "title": "Reactivity Data", "filters": { "stats": ["", "Species", "Dilution Info", "Notes"], "tabs": { "all-applications": {"fullname" : "All Applications", "shortname": "All Applications"}, "IHCP" : {"fullname" : "Immunohistochemistry (Formalin/PFA-fixed paraffin-embedded sections)", "shortname":"IHC-P"}, "FlowCyt" : {"fullname" : "Flow Cytometry", "shortname":"Flow Cyt"}, "ICCIF" : {"fullname" : "Immunocytochemistry/ Immunofluorescence", "shortname":"ICC/IF"}, "WB" : {"fullname" : "Western blot", "shortname":"WB"}, "IP" : {"fullname" : "Immunoprecipitation", "shortname":"IP"}, "mIHC" : {"fullname" : "Multiplex immunohistochemistry", "shortname":"mIHC"} }, "product-promise": { "all": "all", "testedAndGuaranteed": "tested", "guaranteed": "expected", "predicted": "predicted", "notRecommended": "not-recommended" } }, "values": { "Human": { "IHCP-species-checked": "testedAndGuaranteed", "IHCP-species-dilution-info": "", "IHCP-species-notes": "<p></p>", "FlowCyt-species-checked": "testedAndGuaranteed", "FlowCyt-species-dilution-info": "", "FlowCyt-species-notes": "<p></p>", "ICCIF-species-checked": "testedAndGuaranteed", "ICCIF-species-dilution-info": "", "ICCIF-species-notes": "<p></p>", "WB-species-checked": "testedAndGuaranteed", "WB-species-dilution-info": "", "WB-species-notes": "<p></p>", "IP-species-checked": "testedAndGuaranteed", "IP-species-dilution-info": "", "IP-species-notes": "<p></p>", "mIHC-species-checked": "testedAndGuaranteed", "mIHC-species-dilution-info": "", "mIHC-species-notes": "<p></p>" }, "Mouse": { "IHCP-species-checked": "notRecommended", "IHCP-species-dilution-info": "", "IHCP-species-notes": "<p></p>", "FlowCyt-species-checked": "notRecommended", "FlowCyt-species-dilution-info": "", "FlowCyt-species-notes": "", "ICCIF-species-checked": "notRecommended", "ICCIF-species-dilution-info": "", "ICCIF-species-notes": "", "WB-species-checked": "notRecommended", "WB-species-dilution-info": "", "WB-species-notes": "<p></p>", "IP-species-checked": "notRecommended", "IP-species-dilution-info": "", "IP-species-notes": "", "mIHC-species-checked": "notRecommended", "mIHC-species-dilution-info": "", "mIHC-species-notes": "" }, "Rat": { "IHCP-species-checked": "notRecommended", "IHCP-species-dilution-info": "", "IHCP-species-notes": "<p></p>", "FlowCyt-species-checked": "notRecommended", "FlowCyt-species-dilution-info": "", "FlowCyt-species-notes": "", "ICCIF-species-checked": "notRecommended", "ICCIF-species-dilution-info": "", "ICCIF-species-notes": "", "WB-species-checked": "notRecommended", "WB-species-dilution-info": "", "WB-species-notes": "<p></p>", "IP-species-checked": "notRecommended", "IP-species-dilution-info": "", "IP-species-notes": "", "mIHC-species-checked": "notRecommended", "mIHC-species-dilution-info": "", "mIHC-species-notes": "" }, "Transfected cell lysate - Human": { "IHCP-species-checked": "notRecommended", "IHCP-species-dilution-info": "", "IHCP-species-notes": "", "FlowCyt-species-checked": "notRecommended", "FlowCyt-species-dilution-info": "", "FlowCyt-species-notes": "", "ICCIF-species-checked": "notRecommended", "ICCIF-species-dilution-info": "", "ICCIF-species-notes": "", "WB-species-checked": "testedAndGuaranteed", "WB-species-dilution-info": "", "WB-species-notes": "<p></p>", "IP-species-checked": "notRecommended", "IP-species-dilution-info": "", "IP-species-notes": "", "mIHC-species-checked": "notRecommended", "mIHC-species-dilution-info": "", "mIHC-species-notes": "" } } }

Product details

ab315161 is the carrier-free version of ab315160.

Patented technology
Our RabMAb® technology is a patented hybridoma-based technology for making rabbit monoclonal antibodies. For details on our patents, please refer to RabMAb® patents.

What are the advantages of a recombinant monoclonal antibody?
This product is a recombinant monoclonal antibody, which offers several advantages including:

  • - High batch-to-batch consistency and reproducibility
  • - Improved sensitivity and specificity
  • - Long-term security of supply
  • - Animal-free batch production

For more information, read more on recombinant antibodies.

Conjugation ready
Our carrier-free antibodies are typically supplied in a PBS-only formulation, purified and free of BSA, sodium azide and glycerol. This conjugation-ready format is designed for use with fluorochromes, metal isotopes, oligonucleotides, and enzymes, which makes them ideal for antibody labelling, functional and cell-based assays, flow-based assays (e.g. mass cytometry) and Multiplex Imaging applications.

Use our conjugation kits for antibody conjugates that are ready-to-use in as little as 20 minutes with 1 minute hands-on-time and 100% antibody recovery: available for fluorescent dyes, HRP, biotin and gold.

Compatibility
This product is compatible with the Maxpar® Antibody Labeling Kit from Fluidigm, without the need for antibody preparation. Maxpar® is a trademark of Fluidigm Canada Inc.

Properties and storage information

Form
Liquid
Purification technique
Affinity purification Protein A
Storage buffer
pH: 7.2 - 7.4 Constituents: PBS
Shipped at conditions
Blue Ice
Appropriate short-term storage conditions
+4°C
Appropriate long-term storage conditions
+4°C

Supplementary information

This supplementary information is collated from multiple sources and compiled automatically.

CD21 also known as complement receptor type 2 (CR2) or BU32 is a protein primarily expressed on the surface of B cells and some T cells. It functions as a receptor for complement component C3d EBV (Epstein-Barr Virus) and IFN-α. CD21 weighs approximately 145 kDa and belongs to the membrane protein family. Detection of CD21 can be done via immunohistochemistry (IHC) and blood tests. This marker is valuable for identifying cell populations that have roles in immune responses.
Biological function summary

Complement receptor type 2 is key in the immune system by facilitating B cell activation and proliferation. CD21 forms complexes with CD19 and CD81 increasing the sensitivity of B cells to antigens. This interaction enhances signal transduction enabling B lymphocytes to respond effectively to pathogens. The protein also plays a role in regulating immune tolerance and maintaining humoral immunity being important not only in immune defense but also in preventing autoimmunity.

Pathways

CD21 interacts with complement activation and immune response pathways. It connects with CD19 in a pivotal role where it further amplifies signaling in B lymphocytes. This interaction strengthens the downstream signaling of BCR (B cell receptor) important for antibody production. CD21 contributes to bridging the innate and adaptive immunological pathways by engaging components like C3d.

CD21 shows significant relevance in systemic lupus erythematosus (SLE) and some B cell lymphomas. Deficiencies or mutations in CD21 can lead to defective immune responses and increased susceptibility to autoimmune conditions such as SLE where CD19 is also implicated. Furthermore in Epstein-Barr Virus infections CD21 serves as an entry receptor facilitating pathogen establishment which can result in chronic conditions or even malignancies.

Product protocols

For this product, it's our understanding that no specific protocols are required. You can visit:

Target data

Serves as a receptor for various ligands including complement component CD3d, HNRNPU OR IFNA1 (PubMed : 1849076, PubMed : 21527715, PubMed : 7753047). When C3d is bound to antigens, attaches to C3d on B-cell surface and thereby facilitates the recognition and uptake of antigens by B-cells (PubMed : 21527715). This interaction enhances B-cell activation and subsequent immune responses. Forms a complex with several partners on the surface of B-cells including CD19, FCRL5 and CD81, to form the B-cell coreceptor complex that plays a crucial role in B-cell activation and signaling (PubMed : 1383329, PubMed : 30107486). Induces also specific intracellular signaling separately from the BCR and CD19 by activating the tyrosine kinase SRC, which then phosphorylates nucleolin/NCL and triggers AKT and GSK3 kinase activities in a SYK/CD19-independent manner (PubMed : 12938232). Acts as a ligand for CD23 (FcepsilonRII), a low-affinity receptor for IgE, which is expressed on B-cells and other immune cells, and thus participates in the regulation of IgE production (PubMed : 1386409).. (Microbial infection) Acts as a receptor for Epstein-Barr virus.
See full target information CR2

Product promise

We are committed to supporting your work with high-quality reagents, and we're here for you every step of the way. In the unlikely event that one of our products does not perform as expected, you're protected by our Product Promise.
For full details, please see our Terms & Conditions

Please note: All products are 'FOR RESEARCH USE ONLY. NOT FOR USE IN DIAGNOSTIC OR THERAPEUTIC PROCEDURES'.

For licensing inquiries, please contact partnerships@abcam.com