JavaScript is disabled in your browser. Please enable JavaScript to view this website.
AB317495

Anti-CD21+CD35 antibody [EPR27417-508] - BSA and Azide free

Be the first to review this product! Submit a review

|

(0 Publication)

Rabbit Recombinant Monoclonal CD21 antibody. Carrier free. Suitable for IHC-P, WB and reacts with Human, Mouse samples.

View Alternative Names

CD21, Complement receptor type 2, Cr2, Complement C3d receptor

6 Images
Immunohistochemistry (Formalin/PFA-fixed paraffin-embedded sections) - Anti-CD21+CD35 antibody [EPR27417-508] - BSA and Azide free (AB317495)
  • IHC-P

Supplier Data

Immunohistochemistry (Formalin/PFA-fixed paraffin-embedded sections) - Anti-CD21+CD35 antibody [EPR27417-508] - BSA and Azide free (AB317495)

This data was developed using ab317494, the same antibody clone in a different buffer formulation.

Immunohistochemical analysis of paraffin-embedded Human liver tissue labeling CD21+CD35 with ab317494 at 1/2000 (0.25 ug/ml) dilution, followed by a ready to use LeicaDS9800 (Bond™ Polymer Refine Detection).

Negative control : no staining on human liver.
The section was incubated with ab317494 for 30 mins at room temperature.
The immunostaining was performed on a Leica Biosystems BOND® RX instrument

Counterstained with Hematoxylin.

Secondary antibody only control : Secondary antibody is a ready to use LeicaDS9800 (Bond™ Polymer Refine Detection).

Heat mediated antigen retrieval was performed with Tris-EDTA buffer (pH 9.0, Epitope Retrieval Solution2) for 20 mins

Immunohistochemistry (Formalin/PFA-fixed paraffin-embedded sections) - Anti-CD21+CD35 antibody [EPR27417-508] - BSA and Azide free (AB317495)
  • IHC-P

Supplier Data

Immunohistochemistry (Formalin/PFA-fixed paraffin-embedded sections) - Anti-CD21+CD35 antibody [EPR27417-508] - BSA and Azide free (AB317495)

This data was developed using ab317494, the same antibody clone in a different buffer formulation.

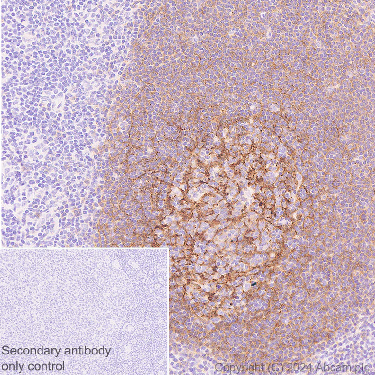
Immunohistochemical analysis of paraffin-embedded Human tonsil tissue labeling CD21+CD35 with ab317494 at 1/2000 (0.25 ug/ml) dilution, followed by a ready to use LeicaDS9800 (Bond™ Polymer Refine Detection).

Positive staining on human tonsil.
The section was incubated with ab317494 for 30 mins at room temperature.
The immunostaining was performed on a Leica Biosystems BOND® RX instrument

Counterstained with Hematoxylin.

Secondary antibody only control : Secondary antibody is a ready to use LeicaDS9800 (Bond™ Polymer Refine Detection).

Heat mediated antigen retrieval was performed with Tris-EDTA buffer (pH 9.0, Epitope Retrieval Solution2) for 20 mins

Immunohistochemistry (Formalin/PFA-fixed paraffin-embedded sections) - Anti-CD21+CD35 antibody [EPR27417-508] - BSA and Azide free (AB317495)
  • IHC-P

Supplier Data

Immunohistochemistry (Formalin/PFA-fixed paraffin-embedded sections) - Anti-CD21+CD35 antibody [EPR27417-508] - BSA and Azide free (AB317495)

This data was developed using ab317494, the same antibody clone in a different buffer formulation.

Immunohistochemical analysis of paraffin-embedded Mouse liver tissue labeling CD21+CD35 with ab317494 at 1/2000 (0.25 ug/ml) dilution, followed by a ready to use LeicaDS9800 (Bond™ Polymer Refine Detection).

Negative control : no staining on mouse liver.
The section was incubated with ab317494 for 30 mins at room temperature.
The immunostaining was performed on a Leica Biosystems BOND® RX instrument

Counterstained with Hematoxylin.

Secondary antibody only control : Secondary antibody is a ready to use LeicaDS9800 (Bond™ Polymer Refine Detection).

Heat mediated antigen retrieval was performed with Tris-EDTA buffer (pH 9.0, Epitope Retrieval Solution2) for 20 mins

Immunohistochemistry (Formalin/PFA-fixed paraffin-embedded sections) - Anti-CD21+CD35 antibody [EPR27417-508] - BSA and Azide free (AB317495)
  • IHC-P

Supplier Data

Immunohistochemistry (Formalin/PFA-fixed paraffin-embedded sections) - Anti-CD21+CD35 antibody [EPR27417-508] - BSA and Azide free (AB317495)

This data was developed using ab317494, the same antibody clone in a different buffer formulation.

Immunohistochemical analysis of paraffin-embedded Mouse spleen tissue labeling CD21+CD35 with ab317494 at 1/2000 (0.25 ug/ml) dilution, followed by a ready to use LeicaDS9800 (Bond™ Polymer Refine Detection).

Positive staining on mouse spleen.
The section was incubated with ab317494 for 30 mins at room temperature.
The immunostaining was performed on a Leica Biosystems BOND® RX instrument

Counterstained with Hematoxylin.

Secondary antibody only control : Secondary antibody is a ready to use LeicaDS9800 (Bond™ Polymer Refine Detection).

Heat mediated antigen retrieval was performed with Tris-EDTA buffer (pH 9.0, Epitope Retrieval Solution2) for 20 mins

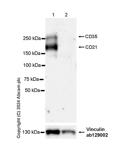
Western blot - Anti-CD21+CD35 antibody [EPR27417-508] - BSA and Azide free (AB317495)
  • WB

Supplier Data

Western blot - Anti-CD21+CD35 antibody [EPR27417-508] - BSA and Azide free (AB317495)

This data was developed using ab317494, the same antibody clone in a different buffer formulation.

Blocking and diluting buffer and concentration : 5% NFDM/TBST.

Negative control : EL4(PMID : 10453011)

The expression profile/ molecular weight observed is consistent with what has been described in the literature (PMID : 32907542)

In Western blot, Anti-Vinculin antibody [EPR8185] (ab129002) staining at 1/10000 dilution.

All lanes:

Western blot - Anti-CD21+CD35 antibody [EPR27417-508] (<a href='/en-us/products/primary-antibodies/cd21cd35-antibody-epr27417-508-ab317494'>ab317494</a>) at 1/1000 dilution

Lane 1:

WEHI-231 (mouse B cell lymphoma B lymphocyte ) whole cell lysate at 20 µg

Lane 2:

EL4 (mouse lymphoma T lymphocyte) whole cell lysate at 20 µg

Secondary

All lanes:

Western blot - Goat Anti-Rabbit IgG H&L (HRP) (<a href='/en-us/products/secondary-antibodies/goat-rabbit-igg-h-l-hrp-ab97051'>ab97051</a>) at 1/100000 dilution

Observed band size: 190 kDa,250 kDa,124 kDa

false

Exposure time: 180s

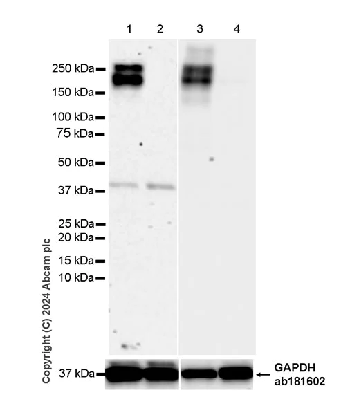
Western blot - Anti-CD21+CD35 antibody [EPR27417-508] - BSA and Azide free (AB317495)
  • WB

Supplier Data

Western blot - Anti-CD21+CD35 antibody [EPR27417-508] - BSA and Azide free (AB317495)

This data was developed using ab317494, the same antibody clone in a different buffer formulation.

Blocking and diluting buffer and concentration : 5% NFDM/TBST.

Low expression : thymus, EL4.IL-2 (PMID : 2966205)

The identity of the lower MW band at approximately 37 kDa (in lane 1 and 2) is unknown.

In Western blot, Anti-GAPDH antibody [EPR16891] - Loading Control (ab181602) staining at 1/200000 dilution.

Exposure time : Lane1-2 : 180 seconds, Lane3-4 : 15 seconds

All lanes:

Western blot - Anti-CD21+CD35 antibody [EPR27417-508] (<a href='/en-us/products/primary-antibodies/cd21cd35-antibody-epr27417-508-ab317494'>ab317494</a>) at 1/1000 dilution

Lane 1:

A20 (mouse reticulum sarcoma b lymphocyte) whole cell lysate at 20 µg

Lane 2:

EL4.IL-2 (mouse lymphoma T lymphocyte) whole cell lysate at 20 µg

Lane 3:

Mouse spleen tissue lysate at 20 µg

Lane 4:

Mouse thymus tissue lysate at 20 µg

Secondary

All lanes:

Western blot - Goat Anti-Rabbit IgG H&L (HRP) (<a href='/en-us/products/secondary-antibodies/goat-rabbit-igg-h-l-hrp-ab97051'>ab97051</a>) at 1/100000 dilution

Observed band size: 190 kDa,250 kDa,36 kDa

false

Key facts

Host species

Rabbit

Clonality

Monoclonal

Clone number

EPR27417-508

Isotype

IgG

Carrier free

Yes

Reacts with

Human, Mouse

Applications

WB, IHC-P

applications

Immunogen

The exact immunogen used to generate this antibody is proprietary information.

Specificity

Unsuitable for human WB

Reactivity data

{ "title": "Reactivity Data", "filters": { "stats": ["", "Species", "Dilution Info", "Notes"], "tabs": { "all-applications": {"fullname" : "All Applications", "shortname": "All Applications"}, "IHCP" : {"fullname" : "Immunohistochemistry (Formalin/PFA-fixed paraffin-embedded sections)", "shortname":"IHC-P"}, "WB" : {"fullname" : "Western blot", "shortname":"WB"}, "ICCIF" : {"fullname" : "Immunocytochemistry/ Immunofluorescence", "shortname":"ICC/IF"}, "FlowCyt" : {"fullname" : "Flow Cytometry", "shortname":"Flow Cyt"}, "IP" : {"fullname" : "Immunoprecipitation", "shortname":"IP"} }, "product-promise": { "all": "all", "testedAndGuaranteed": "tested", "guaranteed": "expected", "predicted": "predicted", "notRecommended": "not-recommended" } }, "values": { "Human": { "IHCP-species-checked": "testedAndGuaranteed", "IHCP-species-dilution-info": "", "IHCP-species-notes": "<p></p>", "WB-species-checked": "notRecommended", "WB-species-dilution-info": "", "WB-species-notes": "<p></p>", "ICCIF-species-checked": "notRecommended", "ICCIF-species-dilution-info": "", "ICCIF-species-notes": "", "FlowCyt-species-checked": "notRecommended", "FlowCyt-species-dilution-info": "", "FlowCyt-species-notes": "", "IP-species-checked": "notRecommended", "IP-species-dilution-info": "", "IP-species-notes": "" }, "Mouse": { "IHCP-species-checked": "testedAndGuaranteed", "IHCP-species-dilution-info": "", "IHCP-species-notes": "<p></p>", "WB-species-checked": "testedAndGuaranteed", "WB-species-dilution-info": "", "WB-species-notes": "<p></p>", "ICCIF-species-checked": "notRecommended", "ICCIF-species-dilution-info": "", "ICCIF-species-notes": "<p></p>", "FlowCyt-species-checked": "notRecommended", "FlowCyt-species-dilution-info": "", "FlowCyt-species-notes": "<p></p>", "IP-species-checked": "notRecommended", "IP-species-dilution-info": "", "IP-species-notes": "<p></p>" }, "Rat": { "IHCP-species-checked": "notRecommended", "IHCP-species-dilution-info": "", "IHCP-species-notes": "<p></p>", "WB-species-checked": "notRecommended", "WB-species-dilution-info": "", "WB-species-notes": "<p></p>", "ICCIF-species-checked": "notRecommended", "ICCIF-species-dilution-info": "", "ICCIF-species-notes": "", "FlowCyt-species-checked": "notRecommended", "FlowCyt-species-dilution-info": "", "FlowCyt-species-notes": "", "IP-species-checked": "notRecommended", "IP-species-dilution-info": "", "IP-species-notes": "" } } }

Product details

ab317495 is the carrirer-free version of ab317494.

Patented technology
Our RabMAb® technology is a patented hybridoma-based technology for making rabbit monoclonal antibodies. For details on our patents, please refer to RabMAb® patents.

What are the advantages of a recombinant monoclonal antibody?
This product is a recombinant monoclonal antibody, which offers several advantages including:

  • - High batch-to-batch consistency and reproducibility
  • - Improved sensitivity and specificity
  • - Long-term security of supply
  • - Animal-free batch production

For more information, read more on recombinant antibodies.

Conjugation ready
Our carrier-free antibodies are typically supplied in a PBS-only formulation, purified and free of BSA, sodium azide and glycerol. This conjugation-ready format is designed for use with fluorochromes, metal isotopes, oligonucleotides, and enzymes, which makes them ideal for antibody labelling, functional and cell-based assays, flow-based assays (e.g. mass cytometry) and Multiplex Imaging applications.

Use our conjugation kits for antibody conjugates that are ready-to-use in as little as 20 minutes with 1 minute hands-on-time and 100% antibody recovery: available for fluorescent dyes, HRP, biotin and gold.

Compatibility
This product is compatible with the Maxpar® Antibody Labeling Kit from Fluidigm, without the need for antibody preparation. Maxpar® is a trademark of Fluidigm Canada Inc.

Properties and storage information

Form
Liquid
Purification technique
Affinity purification Protein A
Storage buffer
pH: 7.2 - 7.4 Constituents: PBS
Shipped at conditions
Blue Ice
Appropriate short-term storage conditions
+4°C
Appropriate long-term storage conditions
+4°C

Supplementary information

This supplementary information is collated from multiple sources and compiled automatically.

The CD21+CD35 target commonly known as CD21/CD35 includes two surface proteins: CD21 and CD35. CD21 also known as complement receptor 2 (CR2) has an approximate mass of 145 kDa. CD35 also called complement receptor 1 (CR1) varies in mass between 190 to 280 kDa due to glycosylation. These proteins are expressed on the surface of B cells dendritic cells and some epithelial cells. Both markers participate in the immune system aiding in the clearance of pathogens and foreign antigens.
Biological function summary

CD21 and CD35 mediate the binding and clearance of opsonized antigens. These proteins form part of larger complexes where they act as receptors for complement proteins like C3d and C4b. CD21 enhances B cell activation by bridging the B-cell receptor with C3d-bound antigens. Meanwhile CD35 helps clear immune complexes reducing inflammation and facilitating healing.

Pathways

CD21/CD35 plays a significant role in the complement cascade and immune complex clearance pathways. Both CD21 and CD35 connect to other complement proteins such as C3. CD21 also interacts with proteins like CD19 and CD81 forming part of the B-cell co-receptor complex which amplifies B-cell receptor signaling and assists in immune response regulation.

CD21/CD35 involvement links with autoimmune conditions such as systemic lupus erythematosus and chronic lymphocytic leukemia. In these diseases defective or altered CD21/CD35 expression can lead to inadequate immune complex clearance or abnormal B cell activation. Dysfunction in this system may alter interactions with proteins like CD19 contributing to disease progression.

Product protocols

For this product, it's our understanding that no specific protocols are required. You can visit:

Target data

Serves as a receptor for various ligands including complement component CD3d, HNRNPU OR IFNA1. When C3d is bound to antigens, attaches to C3d on B-cell surface and thereby facilitates the recognition and uptake of antigens by B-cells. This interaction enhances B-cell activation and subsequent immune responses. Forms a complex with several partners on the surface of B-cells including CD19, FCRL5 and CD81, to form the B-cell coreceptor complex that plays a crucial role in B-cell activation and signaling. Induces also specific intracellular signaling separately from the BCR and CD19 by activating the tyrosine kinase SRC, which then phosphorylates nucleolin/NCL and triggers AKT and GSK3 kinase activities in a SYK/CD19-independent manner. Acts as a ligand for CD23 (FcepsilonRII), a low-affinity receptor for IgE, which is expressed on B-cells and other immune cells, and thus participates in the regulation of IgE production.
See full target information Cr2

Product promise

We are committed to supporting your work with high-quality reagents, and we're here for you every step of the way. In the unlikely event that one of our products does not perform as expected, you're protected by our Product Promise.
For full details, please see our Terms & Conditions

Please note: All products are 'FOR RESEARCH USE ONLY. NOT FOR USE IN DIAGNOSTIC OR THERAPEUTIC PROCEDURES'.

For licensing inquiries, please contact partnerships@abcam.com