JavaScript is disabled in your browser. Please enable JavaScript to view this website.
AB319000

Anti-CD21+CD35 antibody [RM2062] - BSA and Azide free

  • BOND RX™ Validated
  • Recombinant
  • Advanced Validation
  • RabMAb
  • What is this?

Be the first to review this product! Submit a review

|

(0 Publication)

Rabbit Recombinant Multiclonal CD21 antibody. Carrier free. Suitable for ICC/IF, WB, IP, Flow Cyt, IHC-P, mIHC and reacts with Mouse samples.

View Alternative Names

CD21, Complement receptor type 2, Cr2, Complement C3d receptor

8 Images
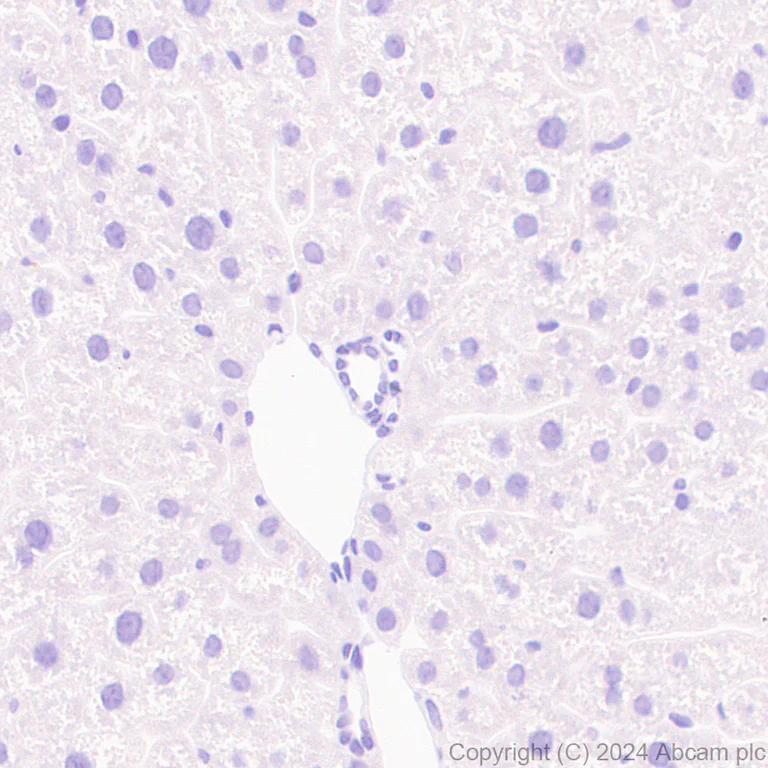
Immunohistochemistry (Formalin/PFA-fixed paraffin-embedded sections) - Anti-CD21+CD35 antibody [RM2062] - BSA and Azide free (AB319000)
  • IHC-P

Supplier Data

Immunohistochemistry (Formalin/PFA-fixed paraffin-embedded sections) - Anti-CD21+CD35 antibody [RM2062] - BSA and Azide free (AB319000)

This data was developed using ab318999, the same antibody clone in a different buffer formulation.

Immunohistochemical analysis of paraffin-embedded Mouse liver tissue labeling CD21+CD35 with ab318999 at 1/2000 (0.255 ug/ml) dilution, followed by a ready to use LeicaDS9800 (Bond™ Polymer Refine Detection).

Negative control : no staining on mouse liver.
The section was incubated with ab318999 for 30 mins at room temperature.
The immunostaining was performed on a Leica Biosystems BOND® RX instrument

Counterstained with Hematoxylin.

Secondary antibody only control : Secondary antibody is a ready to use LeicaDS9800 (Bond™ Polymer Refine Detection).

Heat mediated antigen retrieval was performed with Tris-EDTA buffer (pH 9.0, Epitope Retrieval Solution2) for 20 mins

Immunohistochemistry (Formalin/PFA-fixed paraffin-embedded sections) - Anti-CD21+CD35 antibody [RM2062] - BSA and Azide free (AB319000)
  • IHC-P

Supplier Data

Immunohistochemistry (Formalin/PFA-fixed paraffin-embedded sections) - Anti-CD21+CD35 antibody [RM2062] - BSA and Azide free (AB319000)

This data was developed using ab318999, the same antibody clone in a different buffer formulation.

Immunohistochemical analysis of paraffin-embedded Mouse spleen tissue labeling CD21+CD35 with ab318999 at 1/2000 (0.255 ug/ml) dilution, followed by a ready to use LeicaDS9800 (Bond™ Polymer Refine Detection).

Positive staining on mouse spleen.
The section was incubated with ab318999 for 30 mins at room temperature.
The immunostaining was performed on a Leica Biosystems BOND® RX instrument

Counterstained with Hematoxylin.

Secondary antibody only control : Secondary antibody is a ready to use LeicaDS9800 (Bond™ Polymer Refine Detection).

Heat mediated antigen retrieval was performed with Tris-EDTA buffer (pH 9.0, Epitope Retrieval Solution2) for 20 mins

Multiplex immunohistochemistry - Anti-CD21+CD35 antibody [RM2062] - BSA and Azide free (AB319000)
  • mIHC

Supplier Data

Multiplex immunohistochemistry - Anti-CD21+CD35 antibody [RM2062] - BSA and Azide free (AB319000)

This data was developed using ab318999, the same antibody clone in a different buffer formulation.

Multiplex immunohistochemistry analysis of formalin/PFA-fixed paraffin-embedded mouse spleen tissue staining CD21+CD35 with ab318999 at a 1 : 2000 (0.255 ug/ml) dilution, ab245235 anti-CD19 used at 1 : 1000 (0.444 ug/ml) dilution and ab16669 anti-CD3 used at a 1 : 150 (0.06 ug/ml) dilution.

Panel A : merged staining of anti-CD21+CD35 (green; Opal™520), anti-CD19 (magenta; Opal™690) and anti-CD3 (yellow; Opal™570) on mouse spleen.
Panel B : anti-CD21+CD35 staining B lymphocytes in mouse spleen.
Panel C : anti-CD19 staining B lymphocytes in mouse spleen.
Panel D : anti-CD3 staining T lymphocytes in mouse spleen.
Nuclear DNA was labeled with DAPI (shown in blue).

The section was incubated in three rounds of staining : in the order of ab318999, ab245235 and ab16669 for 30 mins at room temperature. Each round was followed by a separate fluorescent tyramide signal amplification system.

The immunostaining was performed on a Leica Biosystems BOND® RX instrument with an Opal™ 4-color kit. Image acquisition was performed with Leica SP8 confocal microscope.

Nuclear counter stain with DAPI.

Heat mediated antigen retrieval with Tris-EDTA buffer (pH 9.0, epitope retrieval solution2) for 20 mins.

Flow Cytometry - Anti-CD21+CD35 antibody [RM2062] - BSA and Azide free (AB319000)
  • Flow Cyt

Supplier Data

Flow Cytometry - Anti-CD21+CD35 antibody [RM2062] - BSA and Azide free (AB319000)

This data was developed using ab318999, the same antibody clone in a different buffer formulation.

Flow cytometric analysis of Mouse spleen cell cells labelling CD21+CD35 with ab318999 at 1/500 dilution (0.1 ug)/Right compared with a Rabbit monoclonal IgG (ab172730) / Left isotype control and an unlabelled control (cells without incubation with primary antibody and secondary antibody) (Blue).

Goat Anti-Rabbit IgG (Alexa Fluor® 488, ab150081) at 1/5000 dilution was used as the secondary antibody.

Mouse spleen cell are co-stained with CD19 conjugated PE/Cy7 (780/60BP).
Gated on viable cell.

Flow Cytometry - Anti-CD21+CD35 antibody [RM2062] - BSA and Azide free (AB319000)
  • Flow Cyt

Supplier Data

Flow Cytometry - Anti-CD21+CD35 antibody [RM2062] - BSA and Azide free (AB319000)

This data was developed using ab318999, the same antibody clone in a different buffer formulation.

Flow cytometric analysis of Mouse spleen cell cells labelling CD21+CD35 with ab318999 at 1/500 dilution (0.1 ug)/Right compared with a Rabbit monoclonal IgG (ab172730) / Left isotype control and an unlabelled control (cells without incubation with primary antibody and secondary antibody) (Blue).

Goat Anti-Rabbit IgG (Alexa Fluor® 488, ab150081) at 1/5000 dilution was used as the secondary antibody.

Mouse spleen cell are co-stained with CD3 conjugated Alexa Fluor®647.
Gated on viable cell.

Immunocytochemistry/ Immunofluorescence - Anti-CD21+CD35 antibody [RM2062] - BSA and Azide free (AB319000)
  • ICC/IF

Supplier Data

Immunocytochemistry/ Immunofluorescence - Anti-CD21+CD35 antibody [RM2062] - BSA and Azide free (AB319000)

This data was developed using ab318999, the same antibody clone in a different buffer formulation.

Immunofluorescent analysis of 4% Paraformaldehyde-fixed, 0.1% TritonX-100 permeabilized Mouse splenocyte cells labelling CD21+CD35 with ab318999 at 1/50 (10.2 ug/ml) dilution, followed by ab150081 Goat Anti-Rabbit IgG H&L (Alexa Fluor® 488) preadsorbed antibody at 1/1000 2 ug/ml dilution (Green).

Confocal image showing membranous staining in mouse splenocytes (shown in green). The counterstain was CD45R/B220 which is observed in magenta. Nuclear DNA was labelled with DAPI (shown in blue).
Image was taken with a confocal microscope (Leica-Microsystems, TCS SP8).

Anti-human/mouse CD45R/B220 rat monoclonal antibody (Alexa Fluor® 647) was used to counterstain tubulin at 1/100 5ug/ml dilution (Magenta). The Nuclear counterstain was DAPI (Blue).

Secondary antibody only control : Secondary antibody is ab150081 Goat Anti-Rabbit IgG H&L (Alexa Fluor® 488) preadsorbed at 1/1000 2 ug/ml dilution.

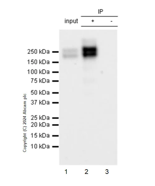
Immunoprecipitation - Anti-CD21+CD35 antibody [RM2062] - BSA and Azide free (AB319000)
  • IP

Supplier Data

Immunoprecipitation - Anti-CD21+CD35 antibody [RM2062] - BSA and Azide free (AB319000)

This data was developed using ab318999, the same antibody clone in a different buffer formulation.

CD21+CD35 was immunoprecipitated from 0.35 mg Mouse spleen tissue lysate with ab318999 at 1/30 dilution (2ug in 0.35mg lysates). Western blot was performed on the immunoprecipitate using ab318999 at 1/1000 dilution. VeriBlot for IP secondary antibody(HRP)(ab131366) was used at 1/5000 dilution.

Lane 1 : Mouse spleen tissue lysate 10ug
Lane 2 : ab318999 IP in Mouse spleen tissue lysate
Lane 3 : Rabbit monoclonal IgG (ab172730) instead of ab318999 in mouse spleen tissue lysate

All lanes:

Immunoprecipitation - Anti-CD21+CD35 antibody [RM2062] (<a href='/en-us/products/primary-antibodies/cd21cd35-antibody-rm2062-ab318999'>ab318999</a>) at 1/30 dilution

All lanes:

Mouse spleen tissue lysate 10ug with NFDM/TBST

Secondary

All lanes:

Immunoprecipitation - VeriBlot for IP Detection Reagent (HRP) (<a href='/en-us/products/reagents/veriblot-for-ip-detection-reagent-hrp-ab131366'>ab131366</a>) at 1/5000 dilution

false

Exposure time: 15s

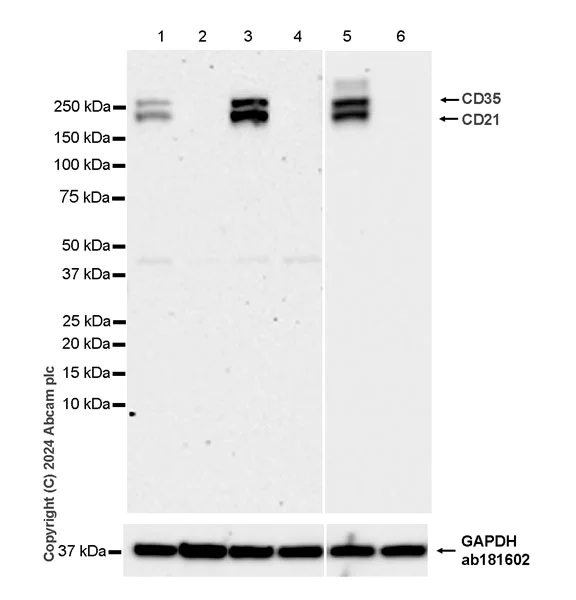
Western blot - Anti-CD21+CD35 antibody [RM2062] - BSA and Azide free (AB319000)
  • WB

Supplier Data

Western blot - Anti-CD21+CD35 antibody [RM2062] - BSA and Azide free (AB319000)

This data was developed using ab318999, the same antibody clone in a different buffer formulation.

Negative control : EL4(PMID : 10453011)

Low expression : thymus, EL4.IL-2 (PMID : 2966205)

The identity of the lower MW band at approximately 37 kDa (in lane1- 4) is unknown.

In Western blot, Anti-GAPDH antibody [EPR16891] - Loading Control (ab181602) staining at 1/200000 dilution.

Exposure time : Lane1-4 : 180 seconds, Lane5-6 : 26 seconds

All lanes:

Western blot - Anti-CD21+CD35 antibody [RM2062] (<a href='/en-us/products/primary-antibodies/cd21cd35-antibody-rm2062-ab318999'>ab318999</a>) at 1/1000 dilution

Lane 1:

WEHI-231 (mouse B cell lymphoma B lymphocyte ) whole cell lysate at 20 µg with NFDM/TBST

Lane 2:

EL4 (mouse lymphoma T lymphocyte) whole cell lysate at 20 µg with NFDM/TBST

Lane 3:

A20 (mouse reticum sarcoma b lymphocyte) whole cell lysate at 20 µg with NFDM/TBST

Lane 4:

EL4.IL-2 (mouse lymphoma T lymphocyte) whole cell lysate at 20 µg with NFDM/TBST

Lane 5:

Mouse spleen tissue lysate at 20 µg with NFDM/TBST

Lane 6:

Mouse thymus tissue lysate at 20 µg with NFDM/TBST

Secondary

All lanes:

Western blot - Goat Anti-Rabbit IgG H&L (HRP) (<a href='/en-us/products/secondary-antibodies/goat-rabbit-igg-h-l-hrp-ab97051'>ab97051</a>) at 1/100000 dilution

Observed band size: 190 kDa,250 kDa,36 kDa

false

Key facts

Host species

Rabbit

Clonality

Multiclonal

Clone number

RM2062

Isotype

IgG

Carrier free

Yes

Reacts with

Mouse

Applications

IP, mIHC, IHC-P, ICC/IF, Flow Cyt, WB

applications

Immunogen

The exact immunogen used to generate this antibody is proprietary information.

Reactivity data

{ "title": "Reactivity Data", "filters": { "stats": ["", "Species", "Dilution Info", "Notes"], "tabs": { "all-applications": {"fullname" : "All Applications", "shortname": "All Applications"}, "ICCIF" : {"fullname" : "Immunocytochemistry/ Immunofluorescence", "shortname":"ICC/IF"}, "WB" : {"fullname" : "Western blot", "shortname":"WB"}, "IP" : {"fullname" : "Immunoprecipitation", "shortname":"IP"}, "FlowCyt" : {"fullname" : "Flow Cytometry", "shortname":"Flow Cyt"}, "IHCP" : {"fullname" : "Immunohistochemistry (Formalin/PFA-fixed paraffin-embedded sections)", "shortname":"IHC-P"}, "mIHC" : {"fullname" : "Multiplex immunohistochemistry", "shortname":"mIHC"} }, "product-promise": { "all": "all", "testedAndGuaranteed": "tested", "guaranteed": "expected", "predicted": "predicted", "notRecommended": "not-recommended" } }, "values": { "Mouse": { "ICCIF-species-checked": "testedAndGuaranteed", "ICCIF-species-dilution-info": "", "ICCIF-species-notes": "<p></p>", "WB-species-checked": "testedAndGuaranteed", "WB-species-dilution-info": "", "WB-species-notes": "<p></p>", "IP-species-checked": "testedAndGuaranteed", "IP-species-dilution-info": "", "IP-species-notes": "<p></p>", "FlowCyt-species-checked": "testedAndGuaranteed", "FlowCyt-species-dilution-info": "", "FlowCyt-species-notes": "<p></p>", "IHCP-species-checked": "testedAndGuaranteed", "IHCP-species-dilution-info": "", "IHCP-species-notes": "<p></p> Perform heat-mediated antigen retrieval with Tris/EDTA buffer pH 9.0 before commencing with IHC staining protocol.", "mIHC-species-checked": "testedAndGuaranteed", "mIHC-species-dilution-info": "", "mIHC-species-notes": "<p></p> Perform heat-mediated antigen retrieval with Tris/EDTA buffer pH 9.0 before commencing with IHC staining protocol." }, "Rat": { "ICCIF-species-checked": "notRecommended", "ICCIF-species-dilution-info": "", "ICCIF-species-notes": "", "WB-species-checked": "notRecommended", "WB-species-dilution-info": "", "WB-species-notes": "<p></p>", "IP-species-checked": "notRecommended", "IP-species-dilution-info": "", "IP-species-notes": "", "FlowCyt-species-checked": "notRecommended", "FlowCyt-species-dilution-info": "", "FlowCyt-species-notes": "", "IHCP-species-checked": "notRecommended", "IHCP-species-dilution-info": "", "IHCP-species-notes": "<p></p>", "mIHC-species-checked": "notRecommended", "mIHC-species-dilution-info": "", "mIHC-species-notes": "" } } }

Product details

ab319000 is the carrier-free version of ab318999.

What are recombinant multiclonals?
Recombinant multiclonals are a mixture of recombinant antibodies co-expressed from a library of heavy and light chains. They offer several advantages including:

  • - The sensitivity of polyclonal antibodies by recognising multiple epitopes
  • - High batch-to-batch consistency and reproducibility
  • - Improved sensitivity and specificity
  • - Long-term security of supply
  • - Animal-free batch production

View our range of recombinant multiclonal antibodies.

Patented technology
Our RabMAb® technology is a patented hybridoma-based technology for making rabbit monoclonal antibodies. For details on our patents, please refer to RabMAb® patents.

Conjugation ready
Our carrier-free antibodies are typically supplied in a PBS-only formulation, purified and free of BSA, sodium azide and glycerol. This conjugation-ready format is designed for use with fluorochromes, metal isotopes, oligonucleotides, and enzymes, which makes them ideal for antibody labelling, functional and cell-based assays, flow-based assays (e.g. mass cytometry) and Multiplex Imaging applications.

Use our conjugation kits for antibody conjugates that are ready-to-use in as little as 20 minutes with 1 minute hands-on-time and 100% antibody recovery: available for fluorescent dyes, HRP, biotin and gold.

Compatibility
This product is compatible with the Maxpar® Antibody Labeling Kit from Fluidigm, without the need for antibody preparation. Maxpar® is a trademark of Fluidigm Canada Inc.

Properties and storage information

Form
Liquid
Purification technique
Affinity purification Protein A
Storage buffer
pH: 7.2 - 7.4 Constituents: PBS
Shipped at conditions
Blue Ice
Appropriate short-term storage conditions
+4°C
Appropriate long-term storage conditions
+4°C

Product protocols

For this product, it's our understanding that no specific protocols are required. You can visit:

Target data

Serves as a receptor for various ligands including complement component CD3d, HNRNPU OR IFNA1. When C3d is bound to antigens, attaches to C3d on B-cell surface and thereby facilitates the recognition and uptake of antigens by B-cells. This interaction enhances B-cell activation and subsequent immune responses. Forms a complex with several partners on the surface of B-cells including CD19, FCRL5 and CD81, to form the B-cell coreceptor complex that plays a crucial role in B-cell activation and signaling. Induces also specific intracellular signaling separately from the BCR and CD19 by activating the tyrosine kinase SRC, which then phosphorylates nucleolin/NCL and triggers AKT and GSK3 kinase activities in a SYK/CD19-independent manner. Acts as a ligand for CD23 (FcepsilonRII), a low-affinity receptor for IgE, which is expressed on B-cells and other immune cells, and thus participates in the regulation of IgE production.
See full target information Cr2

Additional targets

CR1

Product promise

We are committed to supporting your work with high-quality reagents, and we're here for you every step of the way. In the unlikely event that one of our products does not perform as expected, you're protected by our Product Promise.
For full details, please see our Terms & Conditions

Please note: All products are 'FOR RESEARCH USE ONLY. NOT FOR USE IN DIAGNOSTIC OR THERAPEUTIC PROCEDURES'.

For licensing inquiries, please contact partnerships@abcam.com