JavaScript is disabled in your browser. Please enable JavaScript to view this website.
AB218340

Anti-CD22 antibody [BLCAM/1795]

Be the first to review this product! Submit a review

|

(2 Publications)

Mouse Monoclonal CD22 antibody. Suitable for ICC, Flow Cyt, WB, Protein Array, IHC-P and reacts with Human, Recombinant full length protein - Human samples. Cited in 2 publications. Immunogen corresponding to Recombinant Fragment Protein within Human CD22 aa 50-200.

View Alternative Names

CD22, SIGLEC2, B-cell receptor CD22, B-lymphocyte cell adhesion molecule, Sialic acid-binding Ig-like lectin 2, T-cell surface antigen Leu-14, BL-CAM, Siglec-2

6 Images
Immunohistochemistry (Formalin/PFA-fixed paraffin-embedded sections) - Anti-CD22 antibody [BLCAM/1795] (AB218340)
  • IHC-P

Supplier Data

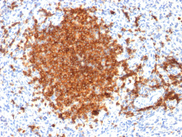
Immunohistochemistry (Formalin/PFA-fixed paraffin-embedded sections) - Anti-CD22 antibody [BLCAM/1795] (AB218340)

Immunohistochemistry (Formalin/PFA-fixed paraffin-embedded sections) analysis of human spleen tissue labelling CD22 with ab218340.

Flow Cytometry - Anti-CD22 antibody [BLCAM/1795] (AB218340)
  • Flow Cyt

Supplier Data

Flow Cytometry - Anti-CD22 antibody [BLCAM/1795] (AB218340)

Flow Cytometry analysis of paraformaldehyde-fixed MOLT-4 (human lymphoblastic leukemia cell line) cells labeling CD22 with ab218340 followed by goat anti-Mouse IgG-CF488 (Blue); Isotype Control (Red).

Immunohistochemistry (Formalin/PFA-fixed paraffin-embedded sections) - Anti-CD22 antibody [BLCAM/1795] (AB218340)
  • IHC-P

Supplier Data

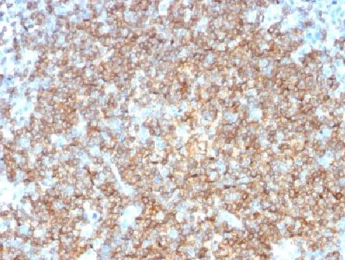
Immunohistochemistry (Formalin/PFA-fixed paraffin-embedded sections) - Anti-CD22 antibody [BLCAM/1795] (AB218340)

Immunohistochemical analysis of formalin-fixed and paraffin-embedded Human tonsil tissue labeling CD22 with ab218340 at 2 μg/ml dilution followed by conjugation to the secondary antibody.

Western blot - Anti-CD22 antibody [BLCAM/1795] (AB218340)
  • WB

Supplier Data

Western blot - Anti-CD22 antibody [BLCAM/1795] (AB218340)

All lanes:

Western blot - Anti-CD22 antibody [BLCAM/1795] (ab218340) at 1 µg/mL

Lane 1:

Raji cell lysate

Lane 2:

Ramos cell lysate

Predicted band size: 95 kDa

false

Protein Array - Anti-CD22 antibody [BLCAM/1795] (AB218340)
  • Protein Array

Unknown

Protein Array - Anti-CD22 antibody [BLCAM/1795] (AB218340)

ab218340 was tested in protein array against over 19000 different full-length human proteins.
Z- and S- Score : The Z-score represents the strength of a signal that a monoclonal antibody (MAb) (in combination with a fluorescently-tagged anti-IgG secondary antibody) produces when binding to a particular protein on the HuProtTM array. Z-scores are described in units of standard deviations (SD's) above the mean value of all signals generated on that array. If targets on HuProtTM are arranged in descending order of the Z-score the S-score is the difference (also in units of SD's) between the Z-score. S-score therefore represents the relative target specificity of a MAb to its intended target.
A MAb is specific to its intended target if the MAb has an S-score of at least 2.5. For example if a MAb binds to protein X with a Z-score of 43 and to protein Y with a Z-score of 14 then the S-score for the binding of that MAb to protein X is equal to 29.

Immunocytochemistry - Anti-CD22 antibody [BLCAM/1795] (AB218340)
  • ICC

Supplier Data

Immunocytochemistry - Anti-CD22 antibody [BLCAM/1795] (AB218340)

Immunocytochemistry analysis of paraformaldehyde-fixed Ramos (human Burkitt's lymphoma cell line) cells labeling CD22 with ab218340 followed by goat anti-Mouse IgG conjugated to CF488 (green). Nuclei are stained with Reddot.

Key facts

Host species

Mouse

Clonality

Monoclonal

Clone number

BLCAM/1795

Isotype

IgG1

Light chain type

kappa

Carrier free

No

Reacts with

Human

Applications

ICC, WB, Protein Array, IHC-P, Flow Cyt

applications

Immunogen

Recombinant Fragment Protein within Human CD22 aa 50-200. The exact immunogen used to generate this antibody is proprietary information.

P20273

Reactivity data

{ "title": "Reactivity Data", "filters": { "stats": ["", "Species", "Dilution Info", "Notes"], "tabs": { "all-applications": {"fullname" : "All Applications", "shortname": "All Applications"}, "ICC" : {"fullname" : "Immunocytochemistry", "shortname":"ICC"}, "FlowCyt" : {"fullname" : "Flow Cytometry", "shortname":"Flow Cyt"}, "WB" : {"fullname" : "Western blot", "shortname":"WB"}, "ProteinArray" : {"fullname" : "Protein Array", "shortname":"Protein Array"}, "IHCP" : {"fullname" : "Immunohistochemistry (Formalin/PFA-fixed paraffin-embedded sections)", "shortname":"IHC-P"} }, "product-promise": { "all": "all", "testedAndGuaranteed": "tested", "guaranteed": "expected", "predicted": "predicted", "notRecommended": "not-recommended" } }, "values": { "Human": { "ICC-species-checked": "testedAndGuaranteed", "ICC-species-dilution-info": "1-2 µg/L", "ICC-species-notes": "<p></p>", "FlowCyt-species-checked": "testedAndGuaranteed", "FlowCyt-species-dilution-info": "1-2 µg for 10^6 Cells", "FlowCyt-species-notes": "<p></p>", "WB-species-checked": "testedAndGuaranteed", "WB-species-dilution-info": "1-2 µg/mL", "WB-species-notes": "<p></p>", "ProteinArray-species-checked": "guaranteed", "ProteinArray-species-dilution-info": "", "ProteinArray-species-notes": "", "IHCP-species-checked": "testedAndGuaranteed", "IHCP-species-dilution-info": "1-2 µg/mL", "IHCP-species-notes": "<p></p> Perform heat-mediated antigen retrieval with Tris/EDTA buffer pH 9.0 before commencing with IHC staining protocol." }, "Recombinant full length protein - Human": { "ICC-species-checked": "notRecommended", "ICC-species-dilution-info": "", "ICC-species-notes": "", "FlowCyt-species-checked": "notRecommended", "FlowCyt-species-dilution-info": "", "FlowCyt-species-notes": "", "WB-species-checked": "notRecommended", "WB-species-dilution-info": "", "WB-species-notes": "", "ProteinArray-species-checked": "testedAndGuaranteed", "ProteinArray-species-dilution-info": "", "ProteinArray-species-notes": "<p></p>", "IHCP-species-checked": "notRecommended", "IHCP-species-dilution-info": "", "IHCP-species-notes": "" } } }

Properties and storage information

Form
Liquid
Purification technique
Affinity purification Protein A/G
Storage buffer
pH: 7.2 - 7.4 Preservative: 0.05% Sodium azide Constituents: PBS, 0.05% BSA
Shipped at conditions
Blue Ice
Appropriate short-term storage duration
1-2 weeks
Appropriate short-term storage conditions
+4°C
Appropriate long-term storage conditions
-20°C
Aliquoting information
Upon delivery aliquot
Storage information
Avoid freeze / thaw cycle

Supplementary information

This supplementary information is collated from multiple sources and compiled automatically.

CD22 also known as Siglec-2 or B-lymphocyte cell adhesion molecule (BL-CAM) is a transmembrane protein with a mass of around 140 kDa. It is selectively expressed on the surface of mature B cells and some immature B cells. This protein plays an important role in the immune system particularly in the regulation of B cell function. CD22 functions by modulating signal transduction processes through its cytoplasmic domain which contains immunoreceptor tyrosine-based inhibitory motifs (ITIMs).
Biological function summary

CD22 acts mainly as a negative regulator of B cell receptor (BCR) signaling. It is part of a complex that interacts with the BCR and other accessory molecules. CD22 helps maintain B cell tolerance by inhibiting overactive signaling and preventing autoimmune responses. By binding to sialic acid-containing glycans CD22 modulates interactions between B cells and other cells aiding in the maintenance of immune homeostasis.

Pathways

CD22 plays a critical role in the BCR signaling pathway and the regulation of phosphatidylinositol 3-kinase (PI3K) signaling. It works together with proteins like CD19 and SHP-1 that are key components of these pathways. By influencing these signaling cascades CD22 contributes to the modulation of B cell activation proliferation and apoptosis ensuring proper functioning of the immune response.

CD22 is associated with autoimmune conditions and hematological malignancies such as hairy cell leukemia (HCL). Therapeutic approaches targeting CD22 such as anti-CD22 antibodies are being explored for treating these diseases. CD22's role in these conditions is connected with proteins involved in the autoimmune pathways or cancer development offering potential therapeutic targets for intervention.

Product protocols

For this product, it's our understanding that no specific protocols are required. You can visit:

Target data

Most highly expressed siglec (sialic acid-binding immunoglobulin-like lectin) on B-cells that plays a role in various aspects of B-cell biology including differentiation, antigen presentation, and trafficking to bone marrow (PubMed : 34330755, PubMed : 8627166). Binds to alpha 2,6-linked sialic acid residues of surface molecules such as CD22 itself, CD45 and IgM in a cis configuration. Can also bind to ligands on other cells as an adhesion molecule in a trans configuration (PubMed : 20172905). Acts as an inhibitory coreceptor on the surface of B-cells and inhibits B-cell receptor induced signaling, characterized by inhibition of the calcium mobilization and cellular activation. Mechanistically, the immunoreceptor tyrosine-based inhibitory motif domain is phosphorylated by the Src kinase LYN, which in turn leads to the recruitment of the protein tyrosine phosphatase 1/PTPN6, leading to the negative regulation of BCR signaling (PubMed : 8627166). If this negative signaling from is of sufficient strength, apoptosis of the B-cell can be induced (PubMed : 20516366).
See full target information CD22

Publications (2)

Recent publications for all applications. Explore the full list and refine your search

The Journal of cell biology 222: PubMed36459066

2022

Senescent cells suppress macrophage-mediated corpse removal via upregulation of the CD47-QPCT/L axis.

Applications

Unspecified application

Species

Unspecified reactive species

Daniela Schloesser,Laura Lindenthal,Julia Sauer,Kyoung-Jin Chung,Triantafyllos Chavakis,Eva Griesser,Praveen Baskaran,Ulrike Maier-Habelsberger,Katrin Fundel-Clemens,Ines Schlotthauer,Carolin Kirsten Watson,Lee Kim Swee,Frederik Igney,John Edward Park,Markus S Huber-Lang,Matthew-James Thomas,Karim Christian El Kasmi,Peter J Murray

Aging 12:1304-1321 PubMed31982864

2020

AURKB promotes gastric cancer progression via activation of expression.

Applications

Unspecified application

Species

Unspecified reactive species

Min Nie,Yadong Wang,Zenong Yu,Xinyu Li,Yexuan Deng,Ying Wang,Dongjun Yang,Qixiang Li,Xiangwei Zeng,Junyi Ju,Ming Liu,Quan Zhao
View all publications

Product promise

We are committed to supporting your work with high-quality reagents, and we're here for you every step of the way. In the unlikely event that one of our products does not perform as expected, you're protected by our Product Promise.
For full details, please see our Terms & Conditions

Please note: All products are 'FOR RESEARCH USE ONLY. NOT FOR USE IN DIAGNOSTIC OR THERAPEUTIC PROCEDURES'.

For licensing inquiries, please contact partnerships@abcam.com