JavaScript is disabled in your browser. Please enable JavaScript to view this website.
AB240404

Anti-CD22 antibody [SP104] - BSA and Azide free

Be the first to review this product! Submit a review

|

(1 Publication)

Rabbit Recombinant Monoclonal CD22 antibody. Carrier free. Suitable for IHC-P and reacts with Human samples. Cited in 1 publication.

View Alternative Names

CD22, SIGLEC2, B-cell receptor CD22, B-lymphocyte cell adhesion molecule, Sialic acid-binding Ig-like lectin 2, T-cell surface antigen Leu-14, BL-CAM, Siglec-2

5 Images
Immunohistochemistry (Formalin/PFA-fixed paraffin-embedded sections) - Anti-CD22 antibody [SP104] - BSA and Azide free (AB240404)
  • IHC-P

Supplier Data

Immunohistochemistry (Formalin/PFA-fixed paraffin-embedded sections) - Anti-CD22 antibody [SP104] - BSA and Azide free (AB240404)

Formalin-fixed, paraffin-embedded human tonsil tissue stained for CD22 using ab227645 at 1/100 dilution in immunohistochemical analysis.

This data was developed using the same antibody clone in a different buffer formulation containing PBS, BSA, glycerol, and sodium azide (ab227645).

Immunohistochemistry (Formalin/PFA-fixed paraffin-embedded sections) - Anti-CD22 antibody [SP104] - BSA and Azide free (AB240404)
  • IHC-P

Supplier Data

Immunohistochemistry (Formalin/PFA-fixed paraffin-embedded sections) - Anti-CD22 antibody [SP104] - BSA and Azide free (AB240404)

Formalin-fixed, paraffin-embedded human tonsil tissue stained for CD22 using ab227645 at 1/100 dilution in immunohistochemical analysis.

This data was developed using the same antibody clone in a different buffer formulation containing PBS, BSA, glycerol, and sodium azide (ab227645).

Immunohistochemistry (Formalin/PFA-fixed paraffin-embedded sections) - Anti-CD22 antibody [SP104] - BSA and Azide free (AB240404)
  • IHC-P

Unknown

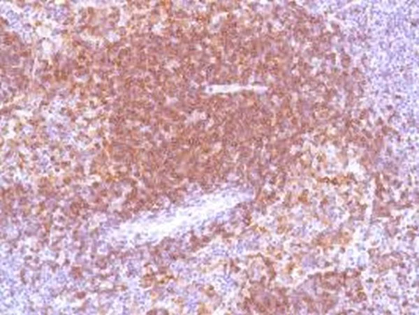
Immunohistochemistry (Formalin/PFA-fixed paraffin-embedded sections) - Anti-CD22 antibody [SP104] - BSA and Azide free (AB240404)

Formalin-fixed, paraffin-embedded human spleen tissue stained for CD22 using ab227645 at 1/100 dilution in immunohistochemical analysis.

This data was developed using the same antibody clone in a different buffer formulation containing PBS, BSA, glycerol, and sodium azide (ab227645).

Immunohistochemistry (Formalin/PFA-fixed paraffin-embedded sections) - Anti-CD22 antibody [SP104] - BSA and Azide free (AB240404)
  • IHC-P

Unknown

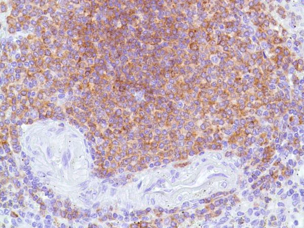
Immunohistochemistry (Formalin/PFA-fixed paraffin-embedded sections) - Anti-CD22 antibody [SP104] - BSA and Azide free (AB240404)

Formalin-fixed, paraffin-embedded human HK lymphoma tissue stained for CD22 using ab227645 at 1/100 dilution in immunohistochemical analysis.

This data was developed using the same antibody clone in a different buffer formulation containing PBS, BSA, glycerol, and sodium azide (ab227645).

Immunohistochemistry (Formalin/PFA-fixed paraffin-embedded sections) - Anti-CD22 antibody [SP104] - BSA and Azide free (AB240404)
  • IHC-P

Supplier Data

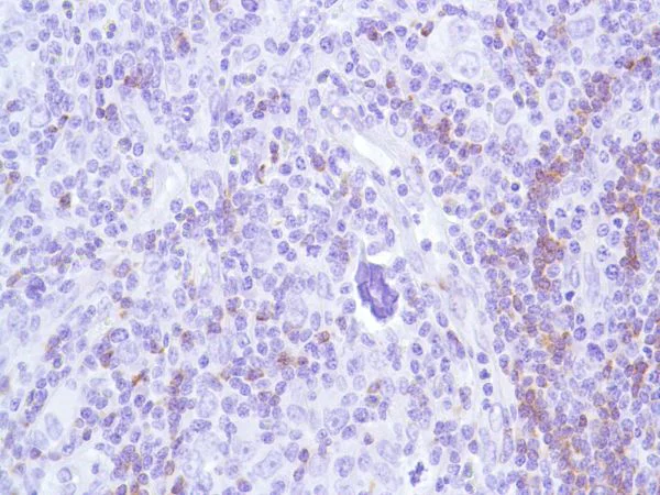
Immunohistochemistry (Formalin/PFA-fixed paraffin-embedded sections) - Anti-CD22 antibody [SP104] - BSA and Azide free (AB240404)

Formalin-fixed, paraffin-embedded human reactive lymph node tissue stained for CD22 using ab227645 at 1/100 dilution in immunohistochemical analysis.

This data was developed using the same antibody clone in a different buffer formulation containing PBS, BSA, glycerol, and sodium azide (ab227645).

  • Unconjugated

    Anti-CD22 antibody [SP104] - C-terminal

  • 519 Alexa Fluor® 488

    Alexa Fluor® 488 Anti-CD22 antibody [SP104] - C-terminal

  • 665 Alexa Fluor® 647

    Alexa Fluor® 647 Anti-CD22 antibody [SP104] - C-terminal

  • 565 Alexa Fluor® 555

    Alexa Fluor® 555 Anti-CD22 antibody [SP104] - C-terminal

  • 617 Alexa Fluor® 594

    Alexa Fluor® 594 Anti-CD22 antibody [SP104] - C-terminal

  • 578 PE

    PE Anti-CD22 antibody [SP104] - C-terminal

  • 660 APC

    APC Anti-CD22 antibody [SP104] - C-terminal

  • 775 Alexa Fluor® 750

    Alexa Fluor® 750 Anti-CD22 antibody [SP104] - C-terminal

Key facts

Host species

Rabbit

Clonality

Monoclonal

Clone number

SP104

Isotype

IgG

Carrier free

Yes

Reacts with

Human

Applications

IHC-P

applications

Immunogen

The exact immunogen used to generate this antibody is proprietary information.

Reactivity data

{ "title": "Reactivity Data", "filters": { "stats": ["", "Species", "Dilution Info", "Notes"], "tabs": { "all-applications": {"fullname" : "All Applications", "shortname": "All Applications"}, "IHCP" : {"fullname" : "Immunohistochemistry (Formalin/PFA-fixed paraffin-embedded sections)", "shortname":"IHC-P"} }, "product-promise": { "all": "all", "testedAndGuaranteed": "tested", "guaranteed": "expected", "predicted": "predicted", "notRecommended": "not-recommended" } }, "values": { "Human": { "IHCP-species-checked": "testedAndGuaranteed", "IHCP-species-dilution-info": "", "IHCP-species-notes": "<p>Primary antibody incubation for 30 minutes at room temperature.</p>" }, "Dog": { "IHCP-species-checked": "predicted", "IHCP-species-dilution-info": "", "IHCP-species-notes": "" } } }

Product details

ab240404 is the carrier-free version of ab227645.

What are the advantages of a recombinant monoclonal antibody?
This product is a recombinant monoclonal antibody, which offers several advantages including:

  • - High batch-to-batch consistency and reproducibility
  • - Improved sensitivity and specificity
  • - Long-term security of supply
  • - Animal-free batch production

For more information, read more on recombinant antibodies.

Conjugation ready
Our carrier-free antibodies are typically supplied in a PBS-only formulation, purified and free of BSA, sodium azide and glycerol. This conjugation-ready format is designed for use with fluorochromes, metal isotopes, oligonucleotides, and enzymes, which makes them ideal for antibody labelling, functional and cell-based assays, flow-based assays (e.g. mass cytometry) and Multiplex Imaging applications.

Use our conjugation kits for antibody conjugates that are ready-to-use in as little as 20 minutes with 1 minute hands-on-time and 100% antibody recovery: available for fluorescent dyes, HRP, biotin and gold.

Compatibility
This product is compatible with the Maxpar® Antibody Labeling Kit from Fluidigm, without the need for antibody preparation. Maxpar® is a trademark of Fluidigm Canada Inc.

Properties and storage information

Form
Liquid
Purification technique
Affinity purification Protein A/G
Purification notes
Purified from TCS by protein A/G.
Storage buffer
pH: 7.2 - 7.4 Constituents: PBS
Shipped at conditions
Blue Ice
Appropriate short-term storage conditions
+4°C
Appropriate long-term storage conditions
+4°C
Storage information
Do Not Freeze

Supplementary information

This supplementary information is collated from multiple sources and compiled automatically.

CD22 also known as Siglec-2 or B-lymphocyte cell adhesion molecule (BL-CAM) is a transmembrane protein with a mass of around 140 kDa. It is selectively expressed on the surface of mature B cells and some immature B cells. This protein plays an important role in the immune system particularly in the regulation of B cell function. CD22 functions by modulating signal transduction processes through its cytoplasmic domain which contains immunoreceptor tyrosine-based inhibitory motifs (ITIMs).
Biological function summary

CD22 acts mainly as a negative regulator of B cell receptor (BCR) signaling. It is part of a complex that interacts with the BCR and other accessory molecules. CD22 helps maintain B cell tolerance by inhibiting overactive signaling and preventing autoimmune responses. By binding to sialic acid-containing glycans CD22 modulates interactions between B cells and other cells aiding in the maintenance of immune homeostasis.

Pathways

CD22 plays a critical role in the BCR signaling pathway and the regulation of phosphatidylinositol 3-kinase (PI3K) signaling. It works together with proteins like CD19 and SHP-1 that are key components of these pathways. By influencing these signaling cascades CD22 contributes to the modulation of B cell activation proliferation and apoptosis ensuring proper functioning of the immune response.

CD22 is associated with autoimmune conditions and hematological malignancies such as hairy cell leukemia (HCL). Therapeutic approaches targeting CD22 such as anti-CD22 antibodies are being explored for treating these diseases. CD22's role in these conditions is connected with proteins involved in the autoimmune pathways or cancer development offering potential therapeutic targets for intervention.

Product protocols

For this product, it's our understanding that no specific protocols are required. You can visit:

Target data

Most highly expressed siglec (sialic acid-binding immunoglobulin-like lectin) on B-cells that plays a role in various aspects of B-cell biology including differentiation, antigen presentation, and trafficking to bone marrow (PubMed : 34330755, PubMed : 8627166). Binds to alpha 2,6-linked sialic acid residues of surface molecules such as CD22 itself, CD45 and IgM in a cis configuration. Can also bind to ligands on other cells as an adhesion molecule in a trans configuration (PubMed : 20172905). Acts as an inhibitory coreceptor on the surface of B-cells and inhibits B-cell receptor induced signaling, characterized by inhibition of the calcium mobilization and cellular activation. Mechanistically, the immunoreceptor tyrosine-based inhibitory motif domain is phosphorylated by the Src kinase LYN, which in turn leads to the recruitment of the protein tyrosine phosphatase 1/PTPN6, leading to the negative regulation of BCR signaling (PubMed : 8627166). If this negative signaling from is of sufficient strength, apoptosis of the B-cell can be induced (PubMed : 20516366).
See full target information CD22

Publications (1)

Recent publications for all applications. Explore the full list and refine your search

Scientific reports 13:15508 PubMed37726363

2023

A 3D adrenocortical carcinoma tumor platform for preclinical modeling of drug response and matrix metalloproteinase activity.

Applications

Unspecified application

Species

Unspecified reactive species

Priya H Dedhia,Hemamylammal Sivakumar,Marco A Rodriguez,Kylie G Nairon,Joshua M Zent,Xuguang Zheng,Katie Jones,Liudmila V Popova,Jennifer L Leight,Aleksander Skardal
View all publications

Product promise

We are committed to supporting your work with high-quality reagents, and we're here for you every step of the way. In the unlikely event that one of our products does not perform as expected, you're protected by our Product Promise.
For full details, please see our Terms & Conditions

Please note: All products are 'FOR RESEARCH USE ONLY. NOT FOR USE IN DIAGNOSTIC OR THERAPEUTIC PROCEDURES'.

For licensing inquiries, please contact partnerships@abcam.com