JavaScript is disabled in your browser. Please enable JavaScript to view this website.
AB212076

Anti-CD226 antibody [EPR21172]

Be the first to review this product! Submit a review

|

(3 Publications)

Rabbit Recombinant Monoclonal CD226 antibody. Suitable for IHC-P, WB and reacts with Human samples. Cited in 3 publications.

View Alternative Names

CD226, DNAM1, CD226 antigen, DNAX accessory molecule 1, DNAM-1

3 Images
Immunohistochemistry (Formalin/PFA-fixed paraffin-embedded sections) - Anti-CD226 antibody [EPR21172] (AB212076)
  • IHC-P

Supplier Data

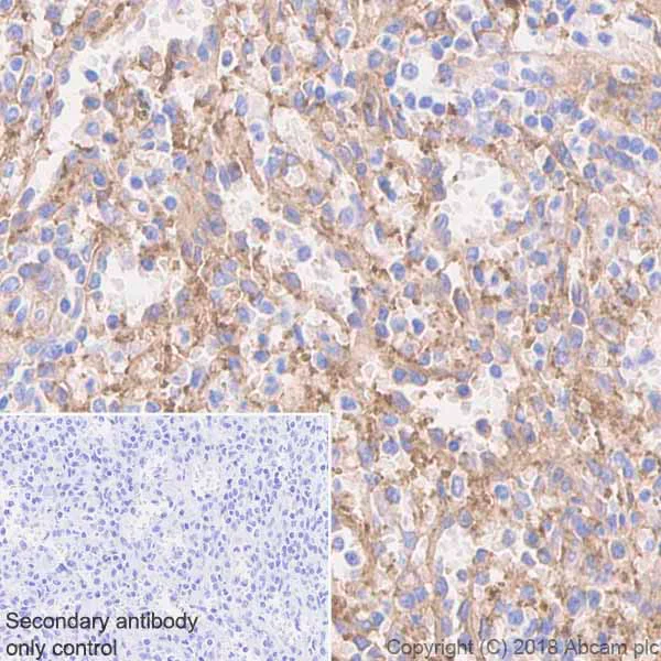
Immunohistochemistry (Formalin/PFA-fixed paraffin-embedded sections) - Anti-CD226 antibody [EPR21172] (AB212076)

Immunohistochemical analysis of paraffin-embedded human bone marrow tissue labeling CD226 with ab212076 at 1/2000 dilution, followed by Rabbit specific IHC polymer detection kit HRP/DAB (ab209101). Cytoplasmic staining in megakaryocytes of human bone marrow (PMID : 15693793) is observed. Counter stained with hematoxylin.

Secondary antibody only control : Used PBS instead of primary antibody, secondary antibody is Rabbit specific IHC polymer detection kit HRP/DAB (ab209101).

Perform heat-induced antigen retrieval using ab208572 (Universal HIER antigen retrieval reagent).

Immunohistochemistry (Formalin/PFA-fixed paraffin-embedded sections) - Anti-CD226 antibody [EPR21172] (AB212076)
  • IHC-P

Supplier Data

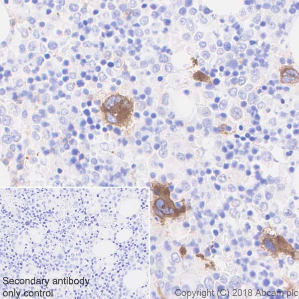
Immunohistochemistry (Formalin/PFA-fixed paraffin-embedded sections) - Anti-CD226 antibody [EPR21172] (AB212076)

Immunohistochemical analysis of paraffin-embedded human spleen tissue labeling CD226 with ab212076 at 1/2000 dilution, followed by Rabbit specific IHC polymer detection kit HRP/DAB (ab209101). Positive staining of platelets and endothelium in human spleen is observed. Counter stained with hematoxylin.

Secondary antibody only control : Used PBS instead of primary antibody, secondary antibody is Rabbit specific IHC polymer detection kit HRP/DAB (ab209101).

Perform heat-induced antigen retrieval using ab208572 (Universal HIER antigen retrieval reagent).

Western blot - Anti-CD226 antibody [EPR21172] (AB212076)
  • WB

Supplier Data

Western blot - Anti-CD226 antibody [EPR21172] (AB212076)

Exposure time : Lane 1 : 37 seconds; Lane 2 : 15 seconds; Lane 3 : 3 minutes.

Blocking/Dilution buffer : 5% NFDM/TBST.

The different molecular masses observed in different tissues or cell lines may be due to different level of CD226 glycosylation (PMID : 8673704).

All lanes:

Western blot - Anti-CD226 antibody [EPR21172] (ab212076) at 1/1000 dilution

Lane 1:

HEL (human bone marrow erythroleukemia cell line) whole cell lysate at 20 µg

Lane 2:

Human fetal spleen lysate at 20 µg

Lane 3:

Human thymus lysate at 20 µg

Secondary

All lanes:

Western blot - Goat Anti-Rabbit IgG H&L (HRP) (<a href='/en-us/products/secondary-antibodies/goat-rabbit-igg-h-l-hrp-ab97051'>ab97051</a>) at 1/100000 dilution

Predicted band size: 39 kDa

Observed band size: 60-80 kDa

false

Key facts

Host species

Rabbit

Clonality

Monoclonal

Clone number

EPR21172

Isotype

IgG

Carrier free

No

Reacts with

Human

Applications

IHC-P, WB

applications

Immunogen

The exact immunogen used to generate this antibody is proprietary information.

Reactivity data

{ "title": "Reactivity Data", "filters": { "stats": ["", "Species", "Dilution Info", "Notes"], "tabs": { "all-applications": {"fullname" : "All Applications", "shortname": "All Applications"}, "IHCP" : {"fullname" : "Immunohistochemistry (Formalin/PFA-fixed paraffin-embedded sections)", "shortname":"IHC-P"}, "WB" : {"fullname" : "Western blot", "shortname":"WB"} }, "product-promise": { "all": "all", "testedAndGuaranteed": "tested", "guaranteed": "expected", "predicted": "predicted", "notRecommended": "not-recommended" } }, "values": { "Human": { "IHCP-species-checked": "testedAndGuaranteed", "IHCP-species-dilution-info": "1/2000", "IHCP-species-notes": "<p></p>", "WB-species-checked": "testedAndGuaranteed", "WB-species-dilution-info": "1/1000", "WB-species-notes": "<p></p>" } } }

Product details

Patented technology
Our RabMAb® technology is a patented hybridoma-based technology for making rabbit monoclonal antibodies. For details on our patents, please refer to RabMAb® patents.

What are the advantages of a recombinant monoclonal antibody?
This product is a recombinant monoclonal antibody, which offers several advantages including:

  • - High batch-to-batch consistency and reproducibility
  • - Improved sensitivity and specificity
  • - Long-term security of supply
  • - Animal-free batch production

For more information, read more on recombinant antibodies.

Properties and storage information

Form
Liquid
Purification technique
Affinity purification Protein A
Storage buffer
pH: 7.2 - 7.4 Preservative: 0.01% Sodium azide Constituents: PBS, 40% Glycerol (glycerin, glycerine), 0.05% BSA
Shipped at conditions
Blue Ice
Appropriate short-term storage duration
1-2 weeks
Appropriate short-term storage conditions
+4°C
Appropriate long-term storage conditions
-20°C
Aliquoting information
Upon delivery aliquot
Storage information
Avoid freeze / thaw cycle

Supplementary information

This supplementary information is collated from multiple sources and compiled automatically.

CD226 also known as DNAM-1 (DNAX Accessory Molecule-1) is a transmembrane protein expressed on the surface of various immune cells such as T cells natural killer (NK) cells and some B cells. The protein has a molecular weight of approximately 65 kDa. CD226 is part of the Ig superfamily and plays a role in the adhesion and signaling processes of immune cells. It interacts with its ligands CD112 (PVRL2) and CD155 (PVR) on target cells facilitating immune synapse formation and cytotoxic activity.
Biological function summary

CD226 is involved in immune cell activation and receptor-mediated signaling. It aids the recognition and destruction of target cells by NK cells and cytotoxic T lymphocytes through its interaction with ligand-expressing cells. CD226 does not work alone but functions as part of a complex system of co-stimulatory and inhibitory receptors balancing immune responses. Its cooperation with receptors such as CD96 and TIGIT (T cell immunoreceptor with Ig and ITIM domains) modulates the activity of immune effector cells.

Pathways

CD226 takes part in immune signaling pathways that regulate cell-mediated cytotoxicity and inflammation. It is an important component of the immune checkpoint axis interacting closely with proteins like CD96 and TIGIT within these pathways. This interaction helps determine the fate of immune responses influencing the progression or resolution of inflammatory and autoimmune conditions. CD226 plays a role in the NK cell-mediated cytotoxicity pathway and the adaptive immune response.

CD226 has been linked to autoimmune diseases such as multiple sclerosis and type 1 diabetes. Abnormal expression or function of CD226 can influence the pathogenesis of these conditions often through interactions with related proteins like TIGIT impacting immune tolerance and effector cell function. CD226's involvement in regulating immune responses highlights its importance as a potential therapeutic target in managing autoimmune and other immune-related disorders.

Product protocols

For this product, it's our understanding that no specific protocols are required. You can visit:

Target data

Cell surface receptor that plays an important role in the immune system, particularly in intercellular adhesion, lymphocyte signaling, cytotoxicity and lymphokine secretion mediated by cytotoxic T-cells and NK cells (PubMed : 8673704, PubMed : 9712030). Functions as a costimulatory receptor upon recognition of target cells, such as virus-infected or tumor cells. Upon binding to its ligands PVR/CD155 or NECTIN2/CD112 on target cells, promotes the cytotoxic activity of NK cells and CTLs, enhancing their ability to kill these cells (PubMed : 26755705, PubMed : 31253644, PubMed : 30591568). Mechanistically, phosphorylation by Src kinases such as LYN of FYN, enables binding to adapter GRB2, leading to activation of VAV1, PI3K and PLCG1. Promotes also activation of kinases ERK and AKT, as well as calcium fluxes (By similarity).
See full target information CD226

Publications (3)

Recent publications for all applications. Explore the full list and refine your search

Discover oncology 16:417 PubMed40153115

2025

NEK2 promotes cancer cell progression and 5-fluorouracil resistance via the Wnt/β-catenin signaling pathway in colorectal cancer.

Applications

Unspecified application

Species

Unspecified reactive species

Facai Cui,Yu Chen,Xiaoyu Wu,Weifeng Zhao

Translational cancer research 13:4846-4865 PubMed39430819

2024

Construction of a prognostic model with exosome biogenesis- and release-related genes and identification of RAB27B in immune infiltration of pancreatic cancer.

Applications

Unspecified application

Species

Unspecified reactive species

Tian-Yu Li,Cheng Qin,Bang-Bo Zhao,Ze-Ru Li,Yuan-Yang Wang,Yu-Tong Zhao,Wei-Bin Wang

EBioMedicine 102:105053 PubMed38471398

2024

High lymphocyte signature genes expression in parathyroid endocrine cells and its downregulation linked to tumorigenesis.

Applications

Unspecified application

Species

Unspecified reactive species

Chong Geng,Junjun Liu,Bingzhou Guo,Kailin Liu,Pengfei Gong,Bao Wang,Qiang Wan,Liang Sun,Jiajun Zhao,Yongfeng Song
View all publications

Product promise

We are committed to supporting your work with high-quality reagents, and we're here for you every step of the way. In the unlikely event that one of our products does not perform as expected, you're protected by our Product Promise.
For full details, please see our Terms & Conditions

Please note: All products are 'FOR RESEARCH USE ONLY. NOT FOR USE IN DIAGNOSTIC OR THERAPEUTIC PROCEDURES'.

For licensing inquiries, please contact partnerships@abcam.com