JavaScript is disabled in your browser. Please enable JavaScript to view this website.
AB320010

Anti-CD226 antibody [RM2068] - BSA and Azide free

Be the first to review this product! Submit a review

|

(0 Publication)

Rabbit Recombinant Multiclonal CD226 antibody. Carrier free. Suitable for IHC-P, WB, IP, Flow Cyt and reacts with Human, Mouse samples.

View Alternative Names

CD226, DNAM1, CD226 antigen, DNAX accessory molecule 1, DNAM-1

17 Images
Immunohistochemistry (Formalin/PFA-fixed paraffin-embedded sections) - Anti-CD226 antibody [RM2068] - BSA and Azide free (AB320010)
  • IHC-P

Supplier Data

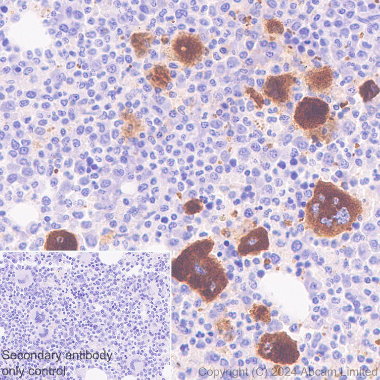
Immunohistochemistry (Formalin/PFA-fixed paraffin-embedded sections) - Anti-CD226 antibody [RM2068] - BSA and Azide free (AB320010)

This data was developed using ab320009, the same antibody clone in a different buffer formulation.

Immunohistochemical analysis of paraffin-embedded Human spleen tissue labeling CD226 with ab320009 at 1/100 (4.91 ug/ml) dilution, followed by a ready to use LeicaDS9800 (Bond™ Polymer Refine Detection).

Positive staining on human spleen.
The section was incubated with ab320009 for 30 mins at room temperature.
The immunostaining was performed on a Leica Biosystems BOND® RX instrument
Incubate slides with 3% Hydrogen Peroxide for 10 mins at room temperature after MSD279 antibody incubation to reduce the background

Counterstained with Hematoxylin.

MSD279 antibody only control : Secondary antibody is a ready to use LeicaDS9800 (Bond™ Polymer Refine Detection).

Heat mediated antigen retrieval was performed with Tris-EDTA buffer (pH 9.0, Epitope Retrieval Solution2) for 20 mins

Flow Cytometry - Anti-CD226 antibody [RM2068] - BSA and Azide free (AB320010)
  • Flow Cyt

Supplier Data

Flow Cytometry - Anti-CD226 antibody [RM2068] - BSA and Azide free (AB320010)

This data was developed using ab320009, the same antibody clone in a different buffer formulation.

Flow cytometric analysis of Human PBMC (human peripheral blood mononuclear cell) cells labelling CD226 with ab320009 at 1/50 dilution (1ug) / Right compared with a Rabbit monoclonal IgG (ab172730) / Left isotype control and an unlabelled control (cells without incubation with primary antibody and secondary antibody) (Blue).

Goat Anti-Rabbit IgG (Alexa Fluor® 488, ab150081) at 1/5000 dilution was used as the secondary antibody.

Cells were co-stained with anti human CD56 conjugated to Brilliant Violet 421.
Gated on viable cells.

Flow Cytometry - Anti-CD226 antibody [RM2068] - BSA and Azide free (AB320010)
  • Flow Cyt

Supplier Data

Flow Cytometry - Anti-CD226 antibody [RM2068] - BSA and Azide free (AB320010)

This data was developed using ab320009, the same antibody clone in a different buffer formulation.

Flow cytometric analysis of Jurkat (human T cell leukemia T lymphocyte from peripheral blood) (Right) / MCF7 (human breast adenocarcinoma epithelial cell) (Left) cells labelling CD226 with ab320009 at 1/500 dilution (0.1ug) (Red) compared with a Rabbit monoclonal IgG (ab172730) (Black) isotype control and an unlabelled control (cells without incubation with primary antibody and secondary antibody) (Blue).

Goat Anti-Rabbit IgG (Alexa Fluor® 488, ab150081) at 1/5000 dilution was used as the secondary antibody.

Gated on viable cells.
Negative control : MCF7 (PMID : 8673704)

Flow Cytometry - Anti-CD226 antibody [RM2068] - BSA and Azide free (AB320010)
  • Flow Cyt

Supplier Data

Flow Cytometry - Anti-CD226 antibody [RM2068] - BSA and Azide free (AB320010)

This data was developed using ab320009, the same antibody clone in a different buffer formulation.

Flow cytometric analysis of Human PBMC (human peripheral blood mononuclear cell) cells labelling CD226 with ab320009 at 1/50 dilution (0.1ug) / Right compared with a Rabbit monoclonal IgG (ab172730) / Left isotype control and an unlabelled control (cells without incubation with primary antibody and secondary antibody) (Blue).

Goat Anti-Rabbit IgG (Alexa Fluor® 488, ab150081) at 1/5000 dilution was used as the secondary antibody.

Cells were co-stained with anti human CD19 conjugated to PE/Cy7.
Gated on viable cells.

Flow Cytometry - Anti-CD226 antibody [RM2068] - BSA and Azide free (AB320010)
  • Flow Cyt

Supplier Data

Flow Cytometry - Anti-CD226 antibody [RM2068] - BSA and Azide free (AB320010)

This data was developed using ab320009, the same antibody clone in a different buffer formulation.

Flow cytometric analysis of Human PBMC (human peripheral blood mononuclear cell) cells labelling CD226 with ab320009 at 1/50 dilution (1ug) / Right compared with a Rabbit monoclonal IgG (ab172730) / Left isotype control and an unlabelled control (cells without incubation with primary antibody and secondary antibody) (Blue).

Goat Anti-Rabbit IgG (Alexa Fluor® 488, ab150081) at 1/5000 dilution was used as the secondary antibody.

Cells were co-stained with anti human CD3 conjugated to Alexa Fluor® 647.
Gated on viable cells.

Flow Cytometry - Anti-CD226 antibody [RM2068] - BSA and Azide free (AB320010)
  • Flow Cyt

Supplier Data

Flow Cytometry - Anti-CD226 antibody [RM2068] - BSA and Azide free (AB320010)

This data was developed using ab320009, the same antibody clone in a different buffer formulation.

Flow cytometric analysis of HEL (human erythroleukemia erythroblast) (Right) / K-562 (human chronic myelogenous leukemia lymphoblast) (Left) cells labelling CD226 with ab320009 at 1/500 dilution (0.1ug) (Red) compared with a Rabbit monoclonal IgG (ab172730) (Black) isotype control and an unlabelled control (cells without incubation with primary antibody and secondary antibody) (Blue).

Goat Anti-Rabbit IgG (Alexa Fluor® 488, ab150081) at 1/5000 dilution was used as the secondary antibody.

Gated on viable cells.
Negative control : K-562 (PMID : 8673704)

Immunohistochemistry (Formalin/PFA-fixed paraffin-embedded sections) - Anti-CD226 antibody [RM2068] - BSA and Azide free (AB320010)
  • IHC-P

Supplier Data

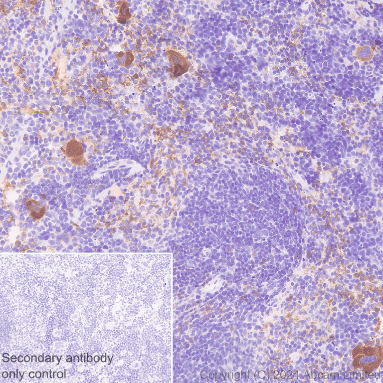
Immunohistochemistry (Formalin/PFA-fixed paraffin-embedded sections) - Anti-CD226 antibody [RM2068] - BSA and Azide free (AB320010)

This data was developed using ab320009, the same antibody clone in a different buffer formulation.

Immunohistochemical analysis of paraffin-embedded Human bone marrow tissue labeling CD226 with ab320009 at 1/100 (4.91 ug/ml) dilution, followed by a ready to use LeicaDS9800 (Bond™ Polymer Refine Detection).

Positive staining on megakaryocytic of human bone marrow (PMID : 15693793).
The section was incubated with ab320009 for 30 mins at room temperature.
The immunostaining was performed on a Leica Biosystems BOND® RX instrument
Incubate slides with 3% Hydrogen Peroxide for 10 mins at room temperature after MSD279 antibody incubation to reduce the background

Counterstained with Hematoxylin.

MSD279 antibody only control : Secondary antibody is a ready to use LeicaDS9800 (Bond™ Polymer Refine Detection).

Heat mediated antigen retrieval was performed with Tris-EDTA buffer (pH 9.0, Epitope Retrieval Solution2) for 20 mins

Immunohistochemistry (Formalin/PFA-fixed paraffin-embedded sections) - Anti-CD226 antibody [RM2068] - BSA and Azide free (AB320010)
  • IHC-P

Supplier Data

Immunohistochemistry (Formalin/PFA-fixed paraffin-embedded sections) - Anti-CD226 antibody [RM2068] - BSA and Azide free (AB320010)

This data was developed using ab320009, the same antibody clone in a different buffer formulation.

Immunohistochemical analysis of paraffin-embedded Human skeletal muscle tissue labeling CD226 with ab320009 at 1/100 (4.91 ug/ml) dilution, followed by a ready to use LeicaDS9800 (Bond™ Polymer Refine Detection).

Low expression tissue : weak staining on mouse skeletal muscle.
The section was incubated with ab320009 for 30 mins at room temperature.
The immunostaining was performed on a Leica Biosystems BOND® RX instrument
Incubate slides with 3% Hydrogen Peroxide for 10 mins at room temperature after MSD279 antibody incubation to reduce the background

Counterstained with Hematoxylin.

MSD279 antibody only control : Secondary antibody is a ready to use LeicaDS9800 (Bond™ Polymer Refine Detection).

Heat mediated antigen retrieval was performed with Tris-EDTA buffer (pH 9.0, Epitope Retrieval Solution2) for 20 mins

Immunoprecipitation - Anti-CD226 antibody [RM2068] - BSA and Azide free (AB320010)
  • IP

Supplier Data

Immunoprecipitation - Anti-CD226 antibody [RM2068] - BSA and Azide free (AB320010)

This data was developed using ab320009, the same antibody clone in a different buffer formulation.

CD226 was immunoprecipitated from 0.35 mg Jurkat (human T cell leukemia T lymphocyte from peripheral blood) whole cell lysate with ab320009 at 1/30 dilution (2ug in 0.35mg lysates). Western blot was performed on the immunoprecipitate using ab320009 at 1/1000 dilution. VeriBlot for IP secondary antibody(HRP)(ab131366) was used at 1/5000 dilution.

Lane 1 : Jurkat (human T cell leukemia T lymphocyte from peripheral blood) whole cell lysate
Lane 2 : ab320009 IP in Jurkat (human T cell leukemia T lymphocyte from peripheral blood) whole cell lysate
Lane 3 : Rabbit monoclonal IgG (ab172730) instead of ab320009 in Jurkat whole cell lysate

Blocking and dilution buffer and concentration : 5% NFDM/TBST

All lanes:

Immunoprecipitation - Anti-CD226 antibody [RM2068] (<a href='/en-us/products/primary-antibodies/cd226-antibody-rm2068-ab320009'>ab320009</a>) at 1/30 dilution

All lanes:

Jurkat (human T cell leukemia T lymphocyte from peripheral blood) whole cell lysate

Secondary

All lanes:

Immunoprecipitation - VeriBlot for IP Detection Reagent (HRP) (<a href='/en-us/products/reagents/veriblot-for-ip-detection-reagent-hrp-ab131366'>ab131366</a>) at 1/5000 dilution

false

Exposure time: 24s

Immunohistochemistry (Formalin/PFA-fixed paraffin-embedded sections) - Anti-CD226 antibody [RM2068] - BSA and Azide free (AB320010)
  • IHC-P

Supplier Data

Immunohistochemistry (Formalin/PFA-fixed paraffin-embedded sections) - Anti-CD226 antibody [RM2068] - BSA and Azide free (AB320010)

This data was developed using ab320009, the same antibody clone in a different buffer formulation.

Immunohistochemical analysis of paraffin-embedded Mouse skeletal muscle tissue labeling CD226 with ab320009 at 1/100 (4.91 ug/ml) dilution, followed by a ready to use LeicaDS9800 (Bond™ Polymer Refine Detection).

Low expression tissue : weak staining on mouse skeletal muscle.
The section was incubated with ab320009 for 30 mins at room temperature.
The immunostaining was performed on a Leica Biosystems BOND® RX instrument
Incubate slides with 3% Hydrogen Peroxide for 10 mins at room temperature after MSD279 antibody incubation to reduce the background

Counterstained with Hematoxylin.

MSD279 antibody only control : Secondary antibody is a ready to use LeicaDS9800 (Bond™ Polymer Refine Detection).

Heat mediated antigen retrieval was performed with Tris-EDTA buffer (pH 9.0, Epitope Retrieval Solution2) for 20 mins

Immunohistochemistry (Formalin/PFA-fixed paraffin-embedded sections) - Anti-CD226 antibody [RM2068] - BSA and Azide free (AB320010)
  • IHC-P

Supplier Data

Immunohistochemistry (Formalin/PFA-fixed paraffin-embedded sections) - Anti-CD226 antibody [RM2068] - BSA and Azide free (AB320010)

This data was developed using ab320009, the same antibody clone in a different buffer formulation.

Immunohistochemical analysis of paraffin-embedded Mouse spleen tissue labeling CD226 with ab320009 at 1/100 (4.91 ug/ml) dilution, followed by a ready to use LeicaDS9800 (Bond™ Polymer Refine Detection).

Positive staining on mouse spleen.
The section was incubated with ab320009 for 30 mins at room temperature.
The immunostaining was performed on a Leica Biosystems BOND® RX instrument
Incubate slides with 3% Hydrogen Peroxide for 10 mins at room temperature after MSD279 antibody incubation to reduce the background

Counterstained with Hematoxylin.

MSD279 antibody only control : Secondary antibody is a ready to use LeicaDS9800 (Bond™ Polymer Refine Detection).

Heat mediated antigen retrieval was performed with Tris-EDTA buffer (pH 9.0, Epitope Retrieval Solution2) for 20 mins

Flow Cytometry - Anti-CD226 antibody [RM2068] - BSA and Azide free (AB320010)
  • Flow Cyt

Supplier Data

Flow Cytometry - Anti-CD226 antibody [RM2068] - BSA and Azide free (AB320010)

This data was developed using ab320009, the same antibody clone in a different buffer formulation.

Flow cytometric analysis of Mouse spleen cell cells labelling CD226 with ab320009 at 1/50 dilution (1ug) / Right compared with a Rabbit monoclonal IgG (ab172730) / Left isotype control and an unlabelled control (cells without incubation with primary antibody and secondary antibody) (Blue).

Goat Anti-Rabbit IgG (Alexa Fluor® 488, ab150081) at 1/5000 dilution was used as the secondary antibody.

Cells were co-stained with anti human CD3 conjugated to Alexa Fluor® 647.
Gated on viable cells.

Flow Cytometry - Anti-CD226 antibody [RM2068] - BSA and Azide free (AB320010)
  • Flow Cyt

Supplier Data

Flow Cytometry - Anti-CD226 antibody [RM2068] - BSA and Azide free (AB320010)

This data was developed using ab320009, the same antibody clone in a different buffer formulation.

Flow cytometric analysis of Mouse spleen cell cells labelling CD226 with ab320009 at 1/50 dilution (1ug) / Right compared with a Rabbit monoclonal IgG (ab172730) / Left isotype control and an unlabelled control (cells without incubation with primary antibody and secondary antibody) (Blue).

Goat Anti-Rabbit IgG (Alexa Fluor® 488, ab150081) at 1/5000 dilution was used as the secondary antibody.

Cells were co-stained with anti human CD19 conjugated to PE/Cy7.
Gated on viable cells.

Immunoprecipitation - Anti-CD226 antibody [RM2068] - BSA and Azide free (AB320010)
  • IP

Supplier Data

Immunoprecipitation - Anti-CD226 antibody [RM2068] - BSA and Azide free (AB320010)

This data was developed using ab320009, the same antibody clone in a different buffer formulation.

CD226 was immunoprecipitated from 0.35 mg Mouse spleen tissue lysate with ab320009 at 1/30 dilution (2ug in 0.35mg lysates). Western blot was performed on the immunoprecipitate using ab320009 at 1/1000 dilution. VeriBlot for IP secondary antibody(HRP)(ab131366) was used at 1/5000 dilution.

Lane 1 : Mouse spleen tissue lysate
Lane 2 : ab320009 IP in Mouse spleen tissue lysate
Lane 3 : Rabbit monoclonal IgG (ab172730) instead of ab320009 in Mouse spleen tissue lysate

Blocking and dilution buffer and concentration : 5% NFDM/TBST

All lanes:

Immunoprecipitation - Anti-CD226 antibody [RM2068] (<a href='/en-us/products/primary-antibodies/cd226-antibody-rm2068-ab320009'>ab320009</a>) at 1/30 dilution

All lanes:

Mouse spleen tissue lysate

Secondary

All lanes:

Immunoprecipitation - VeriBlot for IP Detection Reagent (HRP) (<a href='/en-us/products/reagents/veriblot-for-ip-detection-reagent-hrp-ab131366'>ab131366</a>) at 1/5000 dilution

false

Exposure time: 84s

Western blot - Anti-CD226 antibody [RM2068] - BSA and Azide free (AB320010)
  • WB

Supplier Data

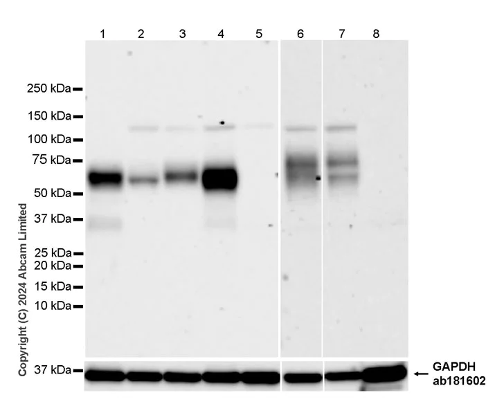
Western blot - Anti-CD226 antibody [RM2068] - BSA and Azide free (AB320010)

This data was developed using ab320009, the same antibody clone in a different buffer formulation.

Negative control : K-562, MCF7 (PMID : 8673704).

The identity of the lower MW band at approximately 50 kDa (in lanes 3-4) is unknown.

The lanes 5-6 were developed using a high sensitivity ECL substrate.

In Western blot, Anti-GAPDH antibody [EPR16891] - Loading Control (ab181602) staining at 1/200000 dilution.

Blocking and dilution buffer and concentration : 5% NFDM/TBST

All lanes:

Western blot - Anti-CD226 antibody [RM2068] (<a href='/en-us/products/primary-antibodies/cd226-antibody-rm2068-ab320009'>ab320009</a>) at 1/1000 dilution

Lane 1:

HEL (human erythroleukemia erythroblast) whole cell lysate at 20 µg

Lane 2:

Jurkat (human T cell leukemia T lymphocyte from peripheral blood) whole cell lysate at 20 µg

Lane 3:

K-562 (human chronic myelogenous leukemia lymphoblast) whole cell lysate at 20 µg

Lane 4:

MCF7 (human breast adenocarcinoma epithelial cell) whole cell lysate at 20 µg

Lane 5:

EL4.IL-2 (mouse lymphoma T lymphocyte) whole cell lysate at 20 µg

Lane 6:

YAC-1 (mouse Moloney leukemia virus induced lymphoma lymphoblast) whole cell lysate at 20 µg

Secondary

All lanes:

Western blot - Goat Anti-Rabbit IgG H&L (HRP) (<a href='/en-us/products/secondary-antibodies/goat-rabbit-igg-h-l-hrp-ab97051'>ab97051</a>) at 1/20000 dilution

Observed band size: 37 kDa,60-90 kDa,36 kDa

false

Exposure time: 180s

Western blot - Anti-CD226 antibody [RM2068] - BSA and Azide free (AB320010)
  • WB

Supplier Data

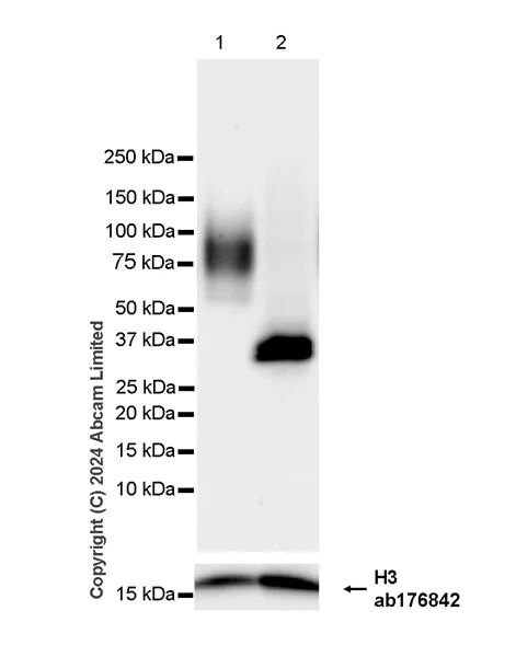
Western blot - Anti-CD226 antibody [RM2068] - BSA and Azide free (AB320010)

This data was developed using ab320009, the same antibody clone in a different buffer formulation.

CD226 is a glycoprotein of approximately 60-90 kDa and detected as a 37-kDa band after treated with Peptide : N-glycosidase F (PNGase F).

In Western blot, Anti-Histone H3 antibody [EPR16987] - Nuclear Marker and ChIP Grade (ab176842) staining at 1/100000 dilution.

Blocking and dilution buffer and concentration : 5% NFDM/TBST

All lanes:

Western blot - Anti-CD226 antibody [RM2068] (<a href='/en-us/products/primary-antibodies/cd226-antibody-rm2068-ab320009'>ab320009</a>) at 1/1000 dilution

Lane 1:

Untreated HEL (human erythroleukemia erythroblast) whole cell lysate at 20 µg with NFDM/TBST

Lane 2:

HEL whole cell lysate treated with Peptide:N-glycosidase F (PNGase F) at 20 µg with NFDM/TBST

Secondary

All lanes:

Western blot - Goat Anti-Rabbit IgG H&L (HRP) (<a href='/en-us/products/secondary-antibodies/goat-rabbit-igg-h-l-hrp-ab97051'>ab97051</a>) at 1/20000 dilution

Observed band size: 37 kDa,60-90 kDa,15 kDa

false

Exposure time: 26s

Western blot - Anti-CD226 antibody [RM2068] - BSA and Azide free (AB320010)
  • WB

Supplier Data

Western blot - Anti-CD226 antibody [RM2068] - BSA and Azide free (AB320010)

This data was developed using ab320009, the same antibody clone in a different buffer formulation.

Low expression : skeletal muscle.

The lanes 6-8 were developed using a high sensitivity ECL substrate.

The identity of the higher MW band at approximately 120 kDa is unknown.

Lanes 6-8 are applied with Goat Anti-Rabbit IgG, (H+L), Peroxidase conjugated (ab97051) at 1/20000 and lanes 1-5 are applied with Goat Anti-Rabbit IgG (HRP) with minimal cross-reactivity with human IgG at 1/2000.

In Western blot, Anti-GAPDH antibody [EPR16891] - Loading Control (ab181602) staining at 1/200000 dilution.

Blocking and dilution buffer and concentration : 5% NFDM/TBST

All lanes:

Western blot - Anti-CD226 antibody [RM2068] (<a href='/en-us/products/primary-antibodies/cd226-antibody-rm2068-ab320009'>ab320009</a>) at 1/1000 dilution

Lane 1:

Human bone marrow tissue lysate at 20 µg

Lane 2:

Human lung tissue lysate at 20 µg

Lane 3:

Human lymph node tissue lysate at 20 µg

Lane 4:

Human spleen tissue lysate at 20 µg

Lane 5:

Human skeletal muscle lysate at 20 µg

Lane 6:

Mouse spleen lysate at 20 µg

Lane 7:

Mouse lung lysate at 20 µg

Lane 8:

Mouse skeletal muscle lysate at 20 µg

Secondary

Lanes 1 - 5:

Goat Anti-Rabbit IgG (HRP) with minimal cross-reactivity with human IgG at 1/2000 dilution

Lanes 6 - 8:

Western blot - Goat Anti-Rabbit IgG H&L (HRP) (<a href='/en-us/products/secondary-antibodies/goat-rabbit-igg-h-l-hrp-ab97051'>ab97051</a>) at 1/20000 dilution

Observed band size: 37 kDa,60-90 kDa,36 kDa

false

Exposure time: 180s

Key facts

Host species

Rabbit

Clonality

Multiclonal

Clone number

RM2068

Isotype

IgG

Carrier free

Yes

Reacts with

Human, Mouse

Applications

Flow Cyt, IHC-P, IP, WB

applications

Immunogen

This product was produced with the following immunogens:

The exact immunogen used to generate this antibody is proprietary information.

The exact immunogen used to generate this antibody is proprietary information.

The exact immunogen used to generate this antibody is proprietary information.

Reactivity data

{ "title": "Reactivity Data", "filters": { "stats": ["", "Species", "Dilution Info", "Notes"], "tabs": { "all-applications": {"fullname" : "All Applications", "shortname": "All Applications"}, "IHCP" : {"fullname" : "Immunohistochemistry (Formalin/PFA-fixed paraffin-embedded sections)", "shortname":"IHC-P"}, "WB" : {"fullname" : "Western blot", "shortname":"WB"}, "IP" : {"fullname" : "Immunoprecipitation", "shortname":"IP"}, "FlowCyt" : {"fullname" : "Flow Cytometry", "shortname":"Flow Cyt"}, "ICCIF" : {"fullname" : "Immunocytochemistry/ Immunofluorescence", "shortname":"ICC/IF"} }, "product-promise": { "all": "all", "testedAndGuaranteed": "tested", "guaranteed": "expected", "predicted": "predicted", "notRecommended": "not-recommended" } }, "values": { "Human": { "IHCP-species-checked": "testedAndGuaranteed", "IHCP-species-dilution-info": "", "IHCP-species-notes": "<p></p>", "WB-species-checked": "testedAndGuaranteed", "WB-species-dilution-info": "", "WB-species-notes": "<p></p>", "IP-species-checked": "testedAndGuaranteed", "IP-species-dilution-info": "", "IP-species-notes": "<p></p>", "FlowCyt-species-checked": "testedAndGuaranteed", "FlowCyt-species-dilution-info": "", "FlowCyt-species-notes": "<p></p>", "ICCIF-species-checked": "notRecommended", "ICCIF-species-dilution-info": "", "ICCIF-species-notes": "<p></p>" }, "Mouse": { "IHCP-species-checked": "testedAndGuaranteed", "IHCP-species-dilution-info": "", "IHCP-species-notes": "<p></p>", "WB-species-checked": "testedAndGuaranteed", "WB-species-dilution-info": "", "WB-species-notes": "<p></p>", "IP-species-checked": "testedAndGuaranteed", "IP-species-dilution-info": "", "IP-species-notes": "<p></p>", "FlowCyt-species-checked": "testedAndGuaranteed", "FlowCyt-species-dilution-info": "", "FlowCyt-species-notes": "<p></p>", "ICCIF-species-checked": "notRecommended", "ICCIF-species-dilution-info": "", "ICCIF-species-notes": "<p></p>" }, "Rat": { "IHCP-species-checked": "notRecommended", "IHCP-species-dilution-info": "", "IHCP-species-notes": "<p></p>", "WB-species-checked": "notRecommended", "WB-species-dilution-info": "", "WB-species-notes": "", "IP-species-checked": "notRecommended", "IP-species-dilution-info": "", "IP-species-notes": "", "FlowCyt-species-checked": "notRecommended", "FlowCyt-species-dilution-info": "", "FlowCyt-species-notes": "", "ICCIF-species-checked": "notRecommended", "ICCIF-species-dilution-info": "", "ICCIF-species-notes": "" } } }

Product details

ab320010 is the carrier-free version of ab320009.

What are recombinant multiclonals?
Recombinant multiclonals are a mixture of recombinant antibodies co-expressed from a library of heavy and light chains. They offer several advantages including:

  • - The sensitivity of polyclonal antibodies by recognising multiple epitopes
  • - High batch-to-batch consistency and reproducibility
  • - Improved sensitivity and specificity
  • - Long-term security of supply
  • - Animal-free batch production

View our range of recombinant multiclonal antibodies.

Patented technology
Our RabMAb® technology is a patented hybridoma-based technology for making rabbit monoclonal antibodies. For details on our patents, please refer to RabMAb® patents.

Conjugation ready
Our carrier-free antibodies are typically supplied in a PBS-only formulation, purified and free of BSA, sodium azide and glycerol. This conjugation-ready format is designed for use with fluorochromes, metal isotopes, oligonucleotides, and enzymes, which makes them ideal for antibody labelling, functional and cell-based assays, flow-based assays (e.g. mass cytometry) and Multiplex Imaging applications.

Use our conjugation kits for antibody conjugates that are ready-to-use in as little as 20 minutes with 1 minute hands-on-time and 100% antibody recovery: available for fluorescent dyes, HRP, biotin and gold.

Compatibility
This product is compatible with the Maxpar® Antibody Labeling Kit from Fluidigm, without the need for antibody preparation. Maxpar® is a trademark of Fluidigm Canada Inc.

Properties and storage information

Form
Liquid
Purification technique
Affinity purification Protein A
Storage buffer
pH: 7.2 - 7.4 Constituents: PBS
Shipped at conditions
Blue Ice
Appropriate short-term storage conditions
+4°C
Appropriate long-term storage conditions
+4°C

Supplementary information

This supplementary information is collated from multiple sources and compiled automatically.

CD226 also known as DNAM-1 (DNAX Accessory Molecule-1) is a transmembrane protein expressed on the surface of various immune cells such as T cells natural killer (NK) cells and some B cells. The protein has a molecular weight of approximately 65 kDa. CD226 is part of the Ig superfamily and plays a role in the adhesion and signaling processes of immune cells. It interacts with its ligands CD112 (PVRL2) and CD155 (PVR) on target cells facilitating immune synapse formation and cytotoxic activity.
Biological function summary

CD226 is involved in immune cell activation and receptor-mediated signaling. It aids the recognition and destruction of target cells by NK cells and cytotoxic T lymphocytes through its interaction with ligand-expressing cells. CD226 does not work alone but functions as part of a complex system of co-stimulatory and inhibitory receptors balancing immune responses. Its cooperation with receptors such as CD96 and TIGIT (T cell immunoreceptor with Ig and ITIM domains) modulates the activity of immune effector cells.

Pathways

CD226 takes part in immune signaling pathways that regulate cell-mediated cytotoxicity and inflammation. It is an important component of the immune checkpoint axis interacting closely with proteins like CD96 and TIGIT within these pathways. This interaction helps determine the fate of immune responses influencing the progression or resolution of inflammatory and autoimmune conditions. CD226 plays a role in the NK cell-mediated cytotoxicity pathway and the adaptive immune response.

CD226 has been linked to autoimmune diseases such as multiple sclerosis and type 1 diabetes. Abnormal expression or function of CD226 can influence the pathogenesis of these conditions often through interactions with related proteins like TIGIT impacting immune tolerance and effector cell function. CD226's involvement in regulating immune responses highlights its importance as a potential therapeutic target in managing autoimmune and other immune-related disorders.

Product protocols

For this product, it's our understanding that no specific protocols are required. You can visit:

Target data

Cell surface receptor that plays an important role in the immune system, particularly in intercellular adhesion, lymphocyte signaling, cytotoxicity and lymphokine secretion mediated by cytotoxic T-cells and NK cells (PubMed : 8673704, PubMed : 9712030). Functions as a costimulatory receptor upon recognition of target cells, such as virus-infected or tumor cells. Upon binding to its ligands PVR/CD155 or NECTIN2/CD112 on target cells, promotes the cytotoxic activity of NK cells and CTLs, enhancing their ability to kill these cells (PubMed : 26755705, PubMed : 31253644, PubMed : 30591568). Mechanistically, phosphorylation by Src kinases such as LYN of FYN, enables binding to adapter GRB2, leading to activation of VAV1, PI3K and PLCG1. Promotes also activation of kinases ERK and AKT, as well as calcium fluxes (By similarity).
See full target information CD226

Additional targets

Cd226

Product promise

We are committed to supporting your work with high-quality reagents, and we're here for you every step of the way. In the unlikely event that one of our products does not perform as expected, you're protected by our Product Promise.
For full details, please see our Terms & Conditions

Please note: All products are 'FOR RESEARCH USE ONLY. NOT FOR USE IN DIAGNOSTIC OR THERAPEUTIC PROCEDURES'.

For licensing inquiries, please contact partnerships@abcam.com