JavaScript is disabled in your browser. Please enable JavaScript to view this website.
AB254162

Anti-CD23 antibody [BU38]

Be the first to review this product! Submit a review

|

(2 Publications)

Mouse Recombinant Monoclonal CD23 antibody. Suitable for Flow Cyt, IHC-P and reacts with Human samples. Cited in 2 publications.

View Alternative Names

CD23, CD23A, CLEC4J, FCE2, IGEBF, FCER2, Low affinity immunoglobulin epsilon Fc receptor, BLAST-2, C-type lectin domain family 4 member J, Fc-epsilon-RII, Immunoglobulin E-binding factor, Lymphocyte IgE receptor

2 Images
Flow Cytometry - Anti-CD23 antibody [BU38] (AB254162)
  • Flow Cyt

Supplier Data

Flow Cytometry - Anti-CD23 antibody [BU38] (AB254162)

Flow cytometric analysis of human peripheral blood mononuclear cell (PBMC) (right) labeling CD23 with ab254162 at 11.14μg/ml, compared with Mouse monoclonal IgG Isotype Control (left). Goat Anti-Mouse IgG (Alexa Fluor® 488) (ab150113) at 1/2000 dilution was used as the secondary antibody.

Cells were stained with mouse IgG (Left) or ab254162 (Right). Then stained with anti-CD19 conjugated to Alexa Fluor® 647.

Gated on viable cells.

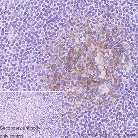
Immunohistochemistry (Formalin/PFA-fixed paraffin-embedded sections) - Anti-CD23 antibody [BU38] (AB254162)
  • IHC-P

Supplier Data

Immunohistochemistry (Formalin/PFA-fixed paraffin-embedded sections) - Anti-CD23 antibody [BU38] (AB254162)

Immunohistochemical analysis of paraffin-embedded human tonsil tissue labeling CD23 with ab254162 at 1.114μg/ml, followed by ready to use secondary. Positive staining on germinal center in the human tonsil is observed. The section was incubated with ab254162 for 30 mins at room temperature. The immunostaining staining was performed on a Leica Biosystems BOND® RX instrument. Counterstained with hematoxylin.
Secondary antibody only control : Used PBS instead of primary antibody, followed by ready to use secondary.

Heat mediated antigen retrieval with Tris-EDTA buffer (pH 9.0, epitope retrieval solution 2) for 20 mins.

  • Carrier free

    Anti-CD23 antibody [BU38] - BSA and Azide free

Key facts

Host species

Mouse

Clonality

Monoclonal

Clone number

BU38

Isotype

IgG1

Carrier free

No

Reacts with

Human

Applications

Flow Cyt, IHC-P

applications

Immunogen

The exact immunogen used to generate this antibody is proprietary information.

Reactivity data

{ "title": "Reactivity Data", "filters": { "stats": ["", "Species", "Dilution Info", "Notes"], "tabs": { "all-applications": {"fullname" : "All Applications", "shortname": "All Applications"}, "FlowCyt" : {"fullname" : "Flow Cytometry", "shortname":"Flow Cyt"}, "IHCP" : {"fullname" : "Immunohistochemistry (Formalin/PFA-fixed paraffin-embedded sections)", "shortname":"IHC-P"} }, "product-promise": { "all": "all", "testedAndGuaranteed": "tested", "guaranteed": "expected", "predicted": "predicted", "notRecommended": "not-recommended" } }, "values": { "Human": { "FlowCyt-species-checked": "testedAndGuaranteed", "FlowCyt-species-dilution-info": "11.14 µg/mL", "FlowCyt-species-notes": "<p></p>", "IHCP-species-checked": "testedAndGuaranteed", "IHCP-species-dilution-info": "1.114 µg/mL", "IHCP-species-notes": "<p></p>" }, "Mouse": { "FlowCyt-species-checked": "predicted", "FlowCyt-species-dilution-info": "", "FlowCyt-species-notes": "", "IHCP-species-checked": "predicted", "IHCP-species-dilution-info": "", "IHCP-species-notes": "" }, "Rat": { "FlowCyt-species-checked": "predicted", "FlowCyt-species-dilution-info": "", "FlowCyt-species-notes": "", "IHCP-species-checked": "predicted", "IHCP-species-dilution-info": "", "IHCP-species-notes": "" } } }

Product details

What are the advantages of a recombinant monoclonal antibody?
This product is a recombinant monoclonal antibody, which offers several advantages including:

  • - High batch-to-batch consistency and reproducibility
  • - Improved sensitivity and specificity
  • - Long-term security of supply
  • - Animal-free batch production

For more information, read more on recombinant antibodies.

Want a custom formulation?
This antibody clone is manufactured by Abcam. If you require a custom buffer formulation or conjugation for your experiments, please contact orders@abcam.com

Properties and storage information

Form
Liquid
Purification technique
Affinity purification Protein A
Storage buffer
pH: 7.2 - 7.4 Preservative: 0.01% Sodium azide Constituents: PBS, 40% Glycerol (glycerin, glycerine), 0.05% BSA
Shipped at conditions
Blue Ice
Appropriate short-term storage duration
1-2 weeks
Appropriate short-term storage conditions
+4°C
Appropriate long-term storage conditions
-20°C
Aliquoting information
Upon delivery aliquot
Storage information
Avoid freeze / thaw cycle

Supplementary information

This supplementary information is collated from multiple sources and compiled automatically.

CD23 also known as Fc epsilon receptor II (FcεRII) or BU38 is a type II integral membrane protein with a molecular mass of approximately 45 kDa. It is expressed mainly on B cells but also appears on various other cell types such as macrophages eosinophils and Langerhans cells. CD23 expression occurs in both soluble and membrane-bound forms. The protein consists of a lectin-like extracellular domain a short transmembrane domain and a cytoplasmic tail.
Biological function summary

CD23 facilitates several immune functions including the regulation of immunoglobulin E (IgE) production and its receptor-mediated endocytosis. It has a role in cell adhesion growth and differentiation. CD23 exists independently localizing primarily to the surface of CD23-positive cells. Furthermore this protein influences the release and activity of various cytokines impacting both innate and adaptive immunity.

Pathways

CD23 plays central roles in IgE-mediated immune responses and allergic reactions. It is importantly involved in the synthesis and regulation of IgE connecting it to the IgE signaling pathway and immune system pathways. CD23 interacts with IgE and its receptors which include the high-affinity receptor FcεRI forming an interface between the antigen and immune effector functions. Additionally CD23 participates in pathways that involve immune response modulation and inflammation prevention.

CD23 is most notably associated with allergic diseases such as asthma and allergic rhinitis due to its role in IgE regulation. It is also linked to chronic lymphocytic leukemia (CLL) in which CD23 serves as a marker for disease progression. In CLL interactions involving CD23 and related proteins such as BCMA and BAFF have been studied to better understand the disorder and its treatment. Anti-CD23 antibodies have been used as both diagnostic tools and therapeutic agents to target CD23-positive cells in these diseases.

Product protocols

For this product, it's our understanding that no specific protocols are required. You can visit:

Target data

Low-affinity receptor for immunoglobulin E (IgE) and CR2/CD21. Has essential roles in the regulation of IgE production and in the differentiation of B cells. On B cells, initiates IgE-dependent antigen uptake and presentation to T cells (PubMed : 2167225). On macrophages, upon IgE binding and antigen cross-linking induces intracellular killing of parasites through activation of L-Arginine-nitric oxide pathway (PubMed : 7544003).
See full target information FCER2

Publications (2)

Recent publications for all applications. Explore the full list and refine your search

Journal for immunotherapy of cancer 13: PubMed39824529

2025

Pancreatic cancer cell-intrinsic transglutaminase-2 promotes T cell suppression through microtubule-dependent secretion of immunosuppressive cytokines.

Applications

Unspecified application

Species

Unspecified reactive species

Anton Lahusen,Nora Minhöfer,Kim-André Lohse,Christine Blechner,Jessica Lindenmayer,Tim Eiseler,Anton Wellstein,Alexander Kleger,Thomas Seufferlein,Sabine Windhorst,Yuan-Na Lin

BMC immunology 24:4 PubMed36650424

2023

PU.1-CD23 signaling mediates pulmonary innate immunity against Aspergillus fumigatus infection by driving inflammatory response.

Applications

Unspecified application

Species

Unspecified reactive species

Min Wang,Ming Zhang,Jiayong Qiu,Chenyang Liu,Yao Lou,Tongsheng Wang,Yingmin Zhang,Yimin Mao
View all publications

Product promise

We are committed to supporting your work with high-quality reagents, and we're here for you every step of the way. In the unlikely event that one of our products does not perform as expected, you're protected by our Product Promise.
For full details, please see our Terms & Conditions

Please note: All products are 'FOR RESEARCH USE ONLY. NOT FOR USE IN DIAGNOSTIC OR THERAPEUTIC PROCEDURES'.

For licensing inquiries, please contact partnerships@abcam.com