JavaScript is disabled in your browser. Please enable JavaScript to view this website.
AB302526

Anti-CD23 antibody [EPR26479-9]

Be the first to review this product! Submit a review

|

(0 Publication)

Rabbit Recombinant Monoclonal CD23 antibody. Suitable for IHC-P and reacts with Mouse samples.

View Alternative Names

CD23, Fcer2a, Fcer2, Low affinity immunoglobulin epsilon Fc receptor, Fc-epsilon-RII, Lymphocyte IgE receptor

3 Images
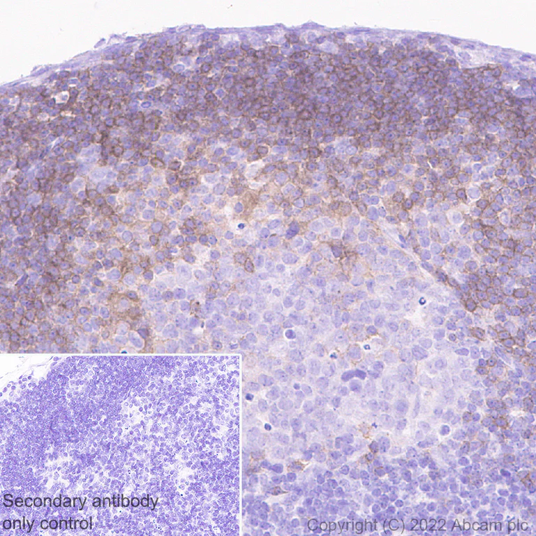
Immunohistochemistry (Formalin/PFA-fixed paraffin-embedded sections) - Anti-CD23 antibody [EPR26479-9] (AB302526)
  • IHC-P

Supplier Data

Immunohistochemistry (Formalin/PFA-fixed paraffin-embedded sections) - Anti-CD23 antibody [EPR26479-9] (AB302526)

Immunohistochemical analysis of paraffin-embedded mouse lymph nodes tissue labeling CD23 with ab302526 at 1/100 dilution (4.67 µg/ml) followed by a ready to use Goat Anti-Rabbit IgG H&L (HRP polymer) (ab214880) as secondary antibody. Positive staining on mouse lymph nodes. The section was incubated with ab302526 at 4°C overnight. Counterstained with Hematoxylin.

Secondary antibody only control : Secondary antibody without primary.

Heat mediated antigen retrieval was performed using ab93684 (Tris/EDTA buffer, pH 9.0)

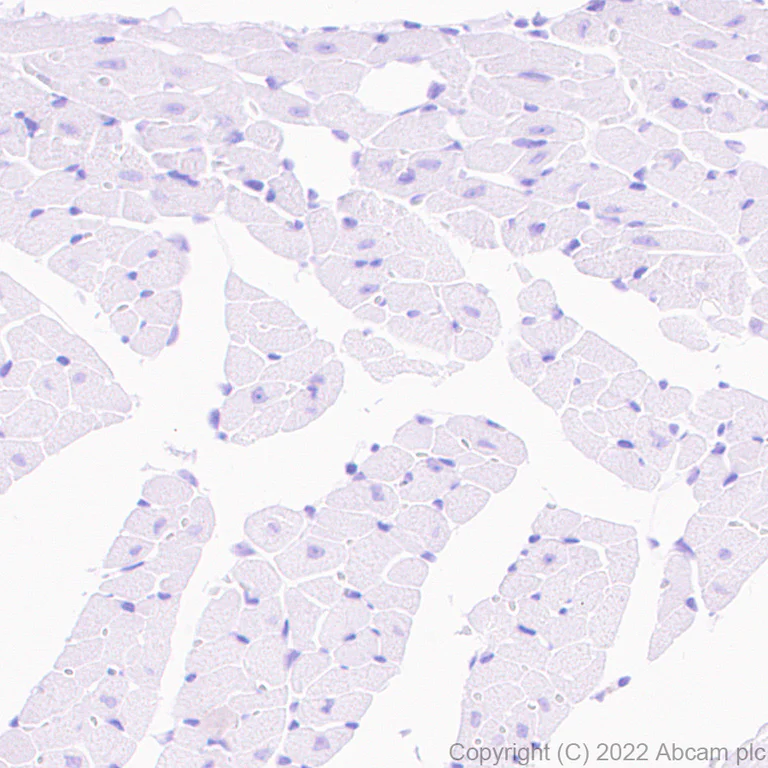
Immunohistochemistry (Formalin/PFA-fixed paraffin-embedded sections) - Anti-CD23 antibody [EPR26479-9] (AB302526)
  • IHC-P

Supplier Data

Immunohistochemistry (Formalin/PFA-fixed paraffin-embedded sections) - Anti-CD23 antibody [EPR26479-9] (AB302526)

Immunohistochemical analysis of paraffin-embedded mouse cardiac muscle tissue to label CD23 with ab302526 at 1/100 dilution (4.67 µg/ml) followed by a ready to use Goat Anti-Rabbit IgG H&L (HRP polymer) (ab214880).

Negative control : no staining on mouse cardiac muscle. The section was incubated with ab302526 at 4°C overnight. Counterstained with Hematoxylin.

Heat mediated antigen retrieval was performed using ab93684 (Tris/EDTA buffer, pH 9.0)

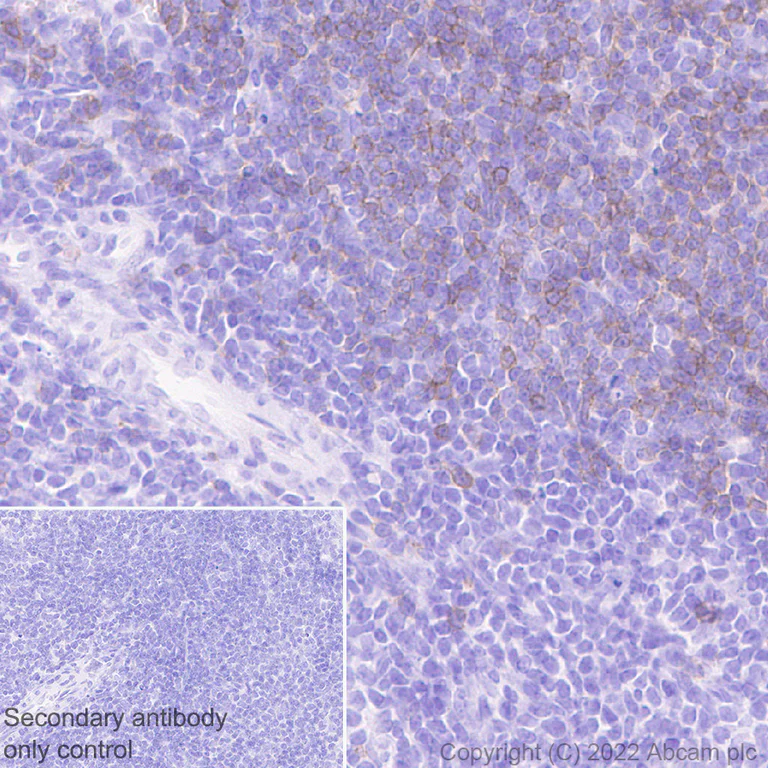
Immunohistochemistry (Formalin/PFA-fixed paraffin-embedded sections) - Anti-CD23 antibody [EPR26479-9] (AB302526)
  • IHC-P

Supplier Data

Immunohistochemistry (Formalin/PFA-fixed paraffin-embedded sections) - Anti-CD23 antibody [EPR26479-9] (AB302526)

Immunohistochemical analysis of paraffin-embedded mouse spleen tissue labeling CD23 with ab302526 at 1/100 dilution (4.67 µg/ml) followed by a ready to use Goat Anti-Rabbit IgG H&L (HRP polymer) (ab214880) as secondary antibody. Positive staining on mouse spleen. The section was incubated with ab302526 at 4°C overnight. Counterstained with Hematoxylin.

Secondary antibody only control : Secondary antibody without primary.

Heat mediated antigen retrieval was performed using ab93684 (Tris/EDTA buffer, pH 9.0).

  • Carrier free

    Anti-CD23 antibody [EPR26479-9] (BSA and Azide free)

Key facts

Host species

Rabbit

Clonality

Monoclonal

Clone number

EPR26479-9

Isotype

IgG

Carrier free

No

Reacts with

Mouse

Applications

IHC-P

applications

Immunogen

The exact immunogen used to generate this antibody is proprietary information.

Reactivity data

{ "title": "Reactivity Data", "filters": { "stats": ["", "Species", "Dilution Info", "Notes"], "tabs": { "all-applications": {"fullname" : "All Applications", "shortname": "All Applications"}, "IP" : {"fullname" : "Immunoprecipitation", "shortname":"IP"}, "FlowCyt" : {"fullname" : "Flow Cytometry", "shortname":"Flow Cyt"}, "ICCIF" : {"fullname" : "Immunocytochemistry/ Immunofluorescence", "shortname":"ICC/IF"}, "IHCFr" : {"fullname" : "Immunohistochemistry (Frozen sections)", "shortname":"IHC-Fr"}, "IHCP" : {"fullname" : "Immunohistochemistry (Formalin/PFA-fixed paraffin-embedded sections)", "shortname":"IHC-P"}, "WB" : {"fullname" : "Western blot", "shortname":"WB"} }, "product-promise": { "all": "all", "testedAndGuaranteed": "tested", "guaranteed": "expected", "predicted": "predicted", "notRecommended": "not-recommended" } }, "values": { "Human": { "IP-species-checked": "notRecommended", "IP-species-dilution-info": "", "IP-species-notes": "", "FlowCyt-species-checked": "notRecommended", "FlowCyt-species-dilution-info": "", "FlowCyt-species-notes": "", "ICCIF-species-checked": "notRecommended", "ICCIF-species-dilution-info": "", "ICCIF-species-notes": "", "IHCFr-species-checked": "notRecommended", "IHCFr-species-dilution-info": "", "IHCFr-species-notes": "", "IHCP-species-checked": "notRecommended", "IHCP-species-dilution-info": "1/100", "IHCP-species-notes": "<p></p> Perform heat-mediated antigen retrieval with Tris/EDTA buffer pH 9.0 before commencing with IHC staining protocol.", "WB-species-checked": "notRecommended", "WB-species-dilution-info": "", "WB-species-notes": "<p></p>" }, "Mouse": { "IP-species-checked": "notRecommended", "IP-species-dilution-info": "", "IP-species-notes": "<p></p>", "FlowCyt-species-checked": "notRecommended", "FlowCyt-species-dilution-info": "", "FlowCyt-species-notes": "<p></p>", "ICCIF-species-checked": "notRecommended", "ICCIF-species-dilution-info": "", "ICCIF-species-notes": "<p></p>", "IHCFr-species-checked": "notRecommended", "IHCFr-species-dilution-info": "", "IHCFr-species-notes": "<p></p>", "IHCP-species-checked": "testedAndGuaranteed", "IHCP-species-dilution-info": "1/100", "IHCP-species-notes": "<p></p> Perform heat-mediated antigen retrieval with Tris/EDTA buffer pH 9.0 before commencing with IHC staining protocol.", "WB-species-checked": "notRecommended", "WB-species-dilution-info": "", "WB-species-notes": "<p></p>" }, "Rat": { "IP-species-checked": "notRecommended", "IP-species-dilution-info": "", "IP-species-notes": "", "FlowCyt-species-checked": "notRecommended", "FlowCyt-species-dilution-info": "", "FlowCyt-species-notes": "", "ICCIF-species-checked": "notRecommended", "ICCIF-species-dilution-info": "", "ICCIF-species-notes": "", "IHCFr-species-checked": "notRecommended", "IHCFr-species-dilution-info": "", "IHCFr-species-notes": "", "IHCP-species-checked": "notRecommended", "IHCP-species-dilution-info": "1/100", "IHCP-species-notes": "<p></p> Perform heat-mediated antigen retrieval with Tris/EDTA buffer pH 9.0 before commencing with IHC staining protocol.", "WB-species-checked": "notRecommended", "WB-species-dilution-info": "", "WB-species-notes": "<p></p>" } } }

You may be interested in:

AB206984

Mouse CD23 ELISA Kit

0

0 Reviews

View product

We recommend this product because it’s often used in the same experiment or related research.

We advise that you always check the datasheet to ensure it fits your experiments, or contact ourtechnical teamfor help.

Product details

Want a custom formulation?
This antibody clone is manufactured by Abcam. If you require a custom buffer formulation or conjugation for your experiments, please contact orders@abcam.com

Patented technology
Our RabMAb® technology is a patented hybridoma-based technology for making rabbit monoclonal antibodies. For details on our patents, please refer to RabMAb® patents.

What are the advantages of a recombinant monoclonal antibody?
This product is a recombinant monoclonal antibody, which offers several advantages including:

  • - High batch-to-batch consistency and reproducibility
  • - Improved sensitivity and specificity
  • - Long-term security of supply
  • - Animal-free batch production

For more information, read more on recombinant antibodies.

Properties and storage information

Form
Liquid
Purification technique
Affinity purification Protein A
Storage buffer
pH: 7.2 - 7.4 Preservative: 0.01% Sodium azide Constituents: PBS, 40% Glycerol (glycerin, glycerine), 0.05% BSA
Shipped at conditions
Blue Ice
Appropriate short-term storage duration
1-2 weeks
Appropriate short-term storage conditions
+4°C
Appropriate long-term storage conditions
-20°C
Aliquoting information
Upon delivery aliquot
Storage information
Avoid freeze / thaw cycle

Supplementary information

This supplementary information is collated from multiple sources and compiled automatically.

CD23 also known as Fc epsilon receptor II (FcεRII) or BU38 is a type II integral membrane protein with a molecular mass of approximately 45 kDa. It is expressed mainly on B cells but also appears on various other cell types such as macrophages eosinophils and Langerhans cells. CD23 expression occurs in both soluble and membrane-bound forms. The protein consists of a lectin-like extracellular domain a short transmembrane domain and a cytoplasmic tail.
Biological function summary

CD23 facilitates several immune functions including the regulation of immunoglobulin E (IgE) production and its receptor-mediated endocytosis. It has a role in cell adhesion growth and differentiation. CD23 exists independently localizing primarily to the surface of CD23-positive cells. Furthermore this protein influences the release and activity of various cytokines impacting both innate and adaptive immunity.

Pathways

CD23 plays central roles in IgE-mediated immune responses and allergic reactions. It is importantly involved in the synthesis and regulation of IgE connecting it to the IgE signaling pathway and immune system pathways. CD23 interacts with IgE and its receptors which include the high-affinity receptor FcεRI forming an interface between the antigen and immune effector functions. Additionally CD23 participates in pathways that involve immune response modulation and inflammation prevention.

CD23 is most notably associated with allergic diseases such as asthma and allergic rhinitis due to its role in IgE regulation. It is also linked to chronic lymphocytic leukemia (CLL) in which CD23 serves as a marker for disease progression. In CLL interactions involving CD23 and related proteins such as BCMA and BAFF have been studied to better understand the disorder and its treatment. Anti-CD23 antibodies have been used as both diagnostic tools and therapeutic agents to target CD23-positive cells in these diseases.

Product protocols

For this product, it's our understanding that no specific protocols are required. You can visit:

Target data

Low-affinity receptor for immunoglobulin E (IgE) and CR2/CD21. Has essential roles in the regulation of IgE production and in the differentiation of B cells. On B cells, initiates IgE-dependent antigen uptake and presentation to T cells. On macrophages, upon IgE binding and antigen cross-linking induces intracellular killing of parasites through activation of L-Arginine-nitric oxide pathway.
See full target information Fcer2

Product promise

We are committed to supporting your work with high-quality reagents, and we're here for you every step of the way. In the unlikely event that one of our products does not perform as expected, you're protected by our Product Promise.
For full details, please see our Terms & Conditions

Please note: All products are 'FOR RESEARCH USE ONLY. NOT FOR USE IN DIAGNOSTIC OR THERAPEUTIC PROCEDURES'.

For licensing inquiries, please contact partnerships@abcam.com