JavaScript is disabled in your browser. Please enable JavaScript to view this website.
AB315289

Anti-CD23 antibody [EPR28712-26]

  • BOND RX™ Validated
  • 20ul selling size
  • RabMAb
  • Recombinant
  • Advanced Validation
  • What is this?

Be the first to review this product! Submit a review

|

(2 Publications)

Rabbit Recombinant Monoclonal CD23 antibody. Suitable for mIHC, IP, IHC-P, ICC/IF, Flow Cyt and reacts with Mouse samples. Cited in 2 publications.

View Alternative Names

CD23, Fcer2a, Fcer2, Low affinity immunoglobulin epsilon Fc receptor, Fc-epsilon-RII, Lymphocyte IgE receptor

11 Images
Multiplex immunohistochemistry - Anti-CD23 antibody [EPR28712-26] (AB315289)
  • mIHC

Lab

Multiplex immunohistochemistry - Anti-CD23 antibody [EPR28712-26] (AB315289)

Multiplex immunohistochemistry analysis of formalin/PFA-fixed paraffin-embedded mouse spleen tissue staining CD23 with ab315289 at a 1/2000 dilution (0.253 µg/ml), CD19 with ab245235 at 1/1000 dilution (0.444 µg/ml), and CD3 with ab237721 at 1/8000 dilution (0.07 µg/ml), followed by a ready to use secondary antibody Opal Polymer HRP Ms + Rb.

Panel A : merged staining of anti-CD23 (green; Opal™520), anti-CD19 (magenta; Opal™570) and anti-CD3 (yellow; Opal™690) on mouse spleen.
Panel B : anti-CD23 staining B lymphocytes in mouse spleen.
Panel C : anti-CD19 staining B lymphocytes in mouse spleen.
Panel D : anti-CD3 staining T lymphocytes in mouse spleen.
Nuclear DNA was labeled with DAPI (shown in blue).

The section was incubated in three rounds of staining : in the order of ab315289, ab245235 and ab237721 for 30 mins at room temperature. Each round was followed by a separate fluorescent tyramide signal amplification system.

Heat mediated antigen retrieval with Tris-EDTA buffer (pH 9.0, epitope retrieval solution2) for 20 mins.

Immunohistochemistry (Formalin/PFA-fixed paraffin-embedded sections) - Anti-CD23 antibody [EPR28712-26] (AB315289)
  • IHC-P

Supplier Data

Immunohistochemistry (Formalin/PFA-fixed paraffin-embedded sections) - Anti-CD23 antibody [EPR28712-26] (AB315289)

Immunohistochemical analysis of paraffin-embedded Mouse cardiac muscle tissue labeling CD23 with ab315289 at 1/2000 (0.253 ug/ml) dilution, followed by a ready to use LeicaDS9800 (Bond™ Polymer Refine Detection).

Negative control : No staining on mouse cardiac muscle. The section was incubated with ab315289 for 30 mins at room temperature. The immunostaining was performed on a Leica Biosystems BOND® RX instrument. Counterstained with Hematoxylin.

Secondary antibody only control : Secondary antibody is a ready to use LeicaDS9800 (Bond™ Polymer Refine Detection).

Heat mediated antigen retrieval was performed with Tris-EDTA buffer (pH 9.0, Epitope Retrieval Solution2) for 20 mins.

Immunohistochemistry (Formalin/PFA-fixed paraffin-embedded sections) - Anti-CD23 antibody [EPR28712-26] (AB315289)
  • IHC-P

Supplier Data

Immunohistochemistry (Formalin/PFA-fixed paraffin-embedded sections) - Anti-CD23 antibody [EPR28712-26] (AB315289)

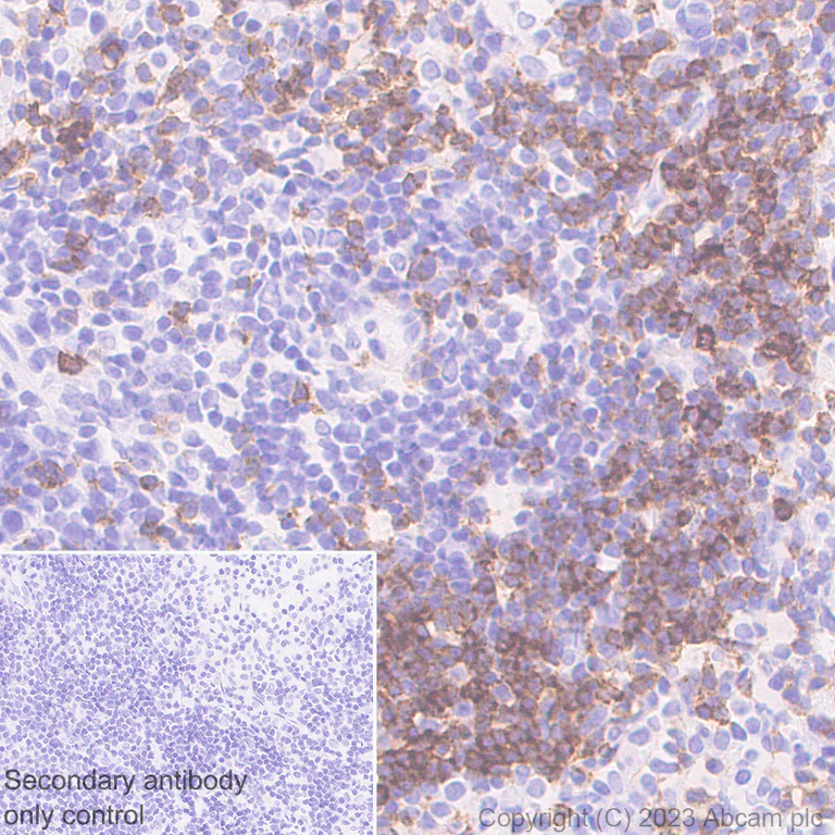
Immunohistochemical analysis of paraffin-embedded Mouse spleen tissue labeling CD23 with ab315289 at 1/2000 (0.253 ug/ml) dilution, followed by a ready to use LeicaDS9800 (Bond™ Polymer Refine Detection).

Membranous staining on mouse spleen. The section was incubated with ab315289 for 30 mins at room temperature. The immunostaining was performed on a Leica Biosystems BOND® RX instrument. Counterstained with Hematoxylin.

Secondary antibody only control : Secondary antibody is a ready to use LeicaDS9800 (Bond™ Polymer Refine Detection).

Heat mediated antigen retrieval was performed with Tris-EDTA buffer (pH 9.0, Epitope Retrieval Solution2) for 20 mins.

Immunohistochemistry (Formalin/PFA-fixed paraffin-embedded sections) - Anti-CD23 antibody [EPR28712-26] (AB315289)
  • IHC-P

Supplier Data

Immunohistochemistry (Formalin/PFA-fixed paraffin-embedded sections) - Anti-CD23 antibody [EPR28712-26] (AB315289)

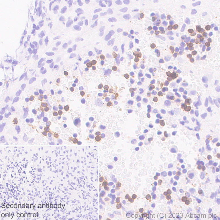
Immunohistochemical analysis of paraffin-embedded Mouse pancreas tumor tissue labeling CD23 with ab315289 at 1/2000 (0.253 ug/ml) dilution, followed by a ready to use LeicaDS9800 (Bond™ Polymer Refine Detection).

Membranous staining on several immune cells of mouse pancreas tumor. The section was incubated with ab315289 for 30 mins at room temperature. The immunostaining was performed on a Leica Biosystems BOND® RX instrument. Counterstained with Hematoxylin.

Secondary antibody only control : Secondary antibody is a ready to use LeicaDS9800 (Bond™ Polymer Refine Detection).

Heat mediated antigen retrieval was performed with Tris-EDTA buffer (pH 9.0, Epitope Retrieval Solution2) for 20 mins.

Immunocytochemistry/ Immunofluorescence - Anti-CD23 antibody [EPR28712-26] (AB315289)
  • ICC/IF

Supplier Data

Immunocytochemistry/ Immunofluorescence - Anti-CD23 antibody [EPR28712-26] (AB315289)

Immunofluorescent analysis of 4% Paraformaldehyde-fixed, 0.1% TritonX-100 permeabilized mouse splenocytes cells labelling CD23 with ab315289 at 1/100 (5.06 ug/ml) dilution, followed by ab150081 Goat Anti-Rabbit IgG H&L (Alexa Fluor® 488) preadsorbed antibody at 1/1000 (2 ug/ml) dilution (Green).

Confocal image showing membranous staining in subsets of mouse splenocytes. Image was taken with a confocal microscope(Leica-Microsystems, TCS SP8).

ab195889 Anti-alpha Tubulin mouse monoclonal antibody - Microtubule Marker (Alexa Fluor® 594) was used to counterstain tubulin at 1/200 (2.5 ug/ml) dilution (Red). The Nuclear counterstain was DAPI (Blue).

Secondary antibody only control : Secondary antibody is ab150081 Goat Anti-Rabbit IgG H&L (Alexa Fluor® 488) preadsorbed at 1/1000 (2 ug/ml) dilution.

Flow Cytometry - Anti-CD23 antibody [EPR28712-26] (AB315289)
  • Flow Cyt

Supplier Data

Flow Cytometry - Anti-CD23 antibody [EPR28712-26] (AB315289)

Flow cytometric analysis of Mouse splenocytes cells labelling CD23 with ab315289 at 1/500 dilution (0.1 ug, Right) compared with a Rabbit monoclonal IgG (ab172730) / Left isotype control.

Goat Anti-Rabbit IgG (Alexa Fluor® 488, ab150081) at 1/5000 dilution was used as the secondary antibody.

Cells are co-stained with CD19 conjugated to Alexa Fluor®647. Gated on viable cells.

Flow Cytometry - Anti-CD23 antibody [EPR28712-26] (AB315289)
  • Flow Cyt

Supplier Data

Flow Cytometry - Anti-CD23 antibody [EPR28712-26] (AB315289)

Flow cytometric analysis of Mouse splenocytes cells labelling CD23 with ab315289 at 1/500 dilution (0.1 ug, Right) compared with a Rabbit monoclonal IgG (ab172730) / Left isotype control.

Goat Anti-Rabbit IgG (Alexa Fluor® 488, ab150081) at 1/5000 dilution was used as the secondary antibody.

Cells are co-stained with CD3 conjugated to Alexa Fluor®647. Gated on viable cells.

Immunohistochemistry (Formalin/PFA-fixed paraffin-embedded sections) - Anti-CD23 antibody [EPR28712-26] (AB315289)
  • IHC-P

Supplier Data

Immunohistochemistry (Formalin/PFA-fixed paraffin-embedded sections) - Anti-CD23 antibody [EPR28712-26] (AB315289)

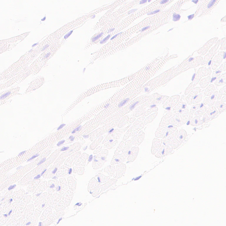
Immunohistochemical analysis of paraffin-embedded Mouse skeletal muscle tissue labeling CD23 with ab315289 at 1/2000 (0.253 ug/ml) dilution, followed by a ready to use LeicaDS9800 (Bond™ Polymer Refine Detection).

Negative control : No staining on mouse skeletal muscle. The section was incubated with ab315289 for 30 mins at room temperature. The immunostaining was performed on a Leica Biosystems BOND® RX instrument. Counterstained with Hematoxylin.

Secondary antibody only control : Secondary antibody is a ready to use LeicaDS9800 (Bond™ Polymer Refine Detection).

Heat mediated antigen retrieval was performed with Tris-EDTA buffer (pH 9.0, Epitope Retrieval Solution2) for 20 mins.

Multiplex immunohistochemistry - Anti-CD23 antibody [EPR28712-26] (AB315289)
  • mIHC

Lab

Multiplex immunohistochemistry - Anti-CD23 antibody [EPR28712-26] (AB315289)

Multiplex immunohistochemistry analysis of formalin/PFA-fixed paraffin-embedded mouse lymph node tissue staining CD23 with ab315289 at a 1/2000 dilution (0.253 µg/ml), CD19 with ab245235 at 1/1000 dilution (0.444 µg/ml), and CD3 with ab237721 at 1/8000 dilution (0.07 µg/ml), followed by a ready to use secondary antibody Opal Polymer HRP Ms + Rb.

Panel A : merged staining of anti-CD23 (green; Opal™520), anti-CD19 (magenta; Opal™570) and anti-CD3 (yellow; Opal™690) on mouse lymph node.
Panel B : anti-CD23 staining B lymphocytes in mouse lymph node.
Panel C : anti-CD19 staining B lymphocytes in mouse lymph node.
Panel D : anti-CD3 staining T lymphocytes in mouse lymph node.
Nuclear DNA was labeled with DAPI (shown in blue).

The section was incubated in three rounds of staining : in the order of ab315289, ab245235 and ab237721 for 30 mins at room temperature. Each round was followed by a separate fluorescent tyramide signal amplification system.

Heat mediated antigen retrieval with Tris-EDTA buffer (pH 9.0, epitope retrieval solution2) for 20 mins.

Multiplex immunohistochemistry - Anti-CD23 antibody [EPR28712-26] (AB315289)
  • mIHC

Lab

Multiplex immunohistochemistry - Anti-CD23 antibody [EPR28712-26] (AB315289)

Multiplex immunohistochemistry analysis of formalin/PFA-fixed paraffin-embedded mouse thymus tissue staining CD23 with ab315289 at a 1/2000 dilution (0.253 µg/ml), CD19 with ab245235 at 1/1000 dilution (0.444 µg/ml), and CD3 with ab237721 at 1/8000 dilution (0.07 µg/ml), followed by a ready to use secondary antibody Opal Polymer HRP Ms + Rb.

Panel A : merged staining of anti-CD23 (green; Opal™520), anti-CD19 (magenta; Opal™570) and anti-CD3 (yellow; Opal™690) on mouse thymus.
Panel B : anti-CD23 staining B lymphocytes in mouse thymus.
Panel C : anti-CD19 staining B lymphocytes in mouse thymus.
Panel D : anti-CD3 staining T lymphocytes in mouse thymus.
Nuclear DNA was labeled with DAPI (shown in blue).

The section was incubated in three rounds of staining : in the order of ab315289, ab245235 and ab237721 for 30 mins at room temperature. Each round was followed by a separate fluorescent tyramide signal amplification system.

Heat mediated antigen retrieval with Tris-EDTA buffer (pH 9.0, epitope retrieval solution2) for 20 mins.

Immunoprecipitation - Anti-CD23 antibody [EPR28712-26] (AB315289)
  • IP

Supplier Data

Immunoprecipitation - Anti-CD23 antibody [EPR28712-26] (AB315289)

CD23 was immunoprecipitated from 0.35 mg Mouse spleen whole cell lysate with ab315289 at 1/30 dilution (2ug in 0.35mg lysates). Western blot was performed on the immunoprecipitate using ab315289 at 1/1000 dilution. VeriBlot for IP secondary antibody(HRP)(ab131366) was used at 1/5000 dilution.

Lane 1 : Mouse spleen whole cell lysate

Lane 2 : ab315289 IP in Mouse spleen whole cell lysate

Lane 3 : Rabbit monoclonal IgG (ab172730) instead of ab315289 in mouse spleen whole cell lysate

Blocking and dilution buffer and concentration : 5% NFDM/TBST.

All lanes:

Immunoprecipitation - Anti-CD23 antibody [EPR28712-26] (ab315289) at 1/30 dilution

All lanes:

Mouse spleen whole cell lysate

Secondary

All lanes:

Immunoprecipitation - VeriBlot for IP Detection Reagent (HRP) (<a href='/en-us/products/reagents/veriblot-for-ip-detection-reagent-hrp-ab131366'>ab131366</a>) at 1/5000 dilution

false

Exposure time: 125s

Key facts

Host species

Rabbit

Clonality

Monoclonal

Clone number

EPR28712-26

Isotype

IgG

Carrier free

No

Reacts with

Mouse

Applications

IHC-P, IP, ICC/IF, mIHC, Flow Cyt

applications

Immunogen

The exact immunogen used to generate this antibody is proprietary information.

Reactivity data

{ "title": "Reactivity Data", "filters": { "stats": ["", "Species", "Dilution Info", "Notes"], "tabs": { "all-applications": {"fullname" : "All Applications", "shortname": "All Applications"}, "mIHC" : {"fullname" : "Multiplex immunohistochemistry", "shortname":"mIHC"}, "IP" : {"fullname" : "Immunoprecipitation", "shortname":"IP"}, "IHCP" : {"fullname" : "Immunohistochemistry (Formalin/PFA-fixed paraffin-embedded sections)", "shortname":"IHC-P"}, "ICCIF" : {"fullname" : "Immunocytochemistry/ Immunofluorescence", "shortname":"ICC/IF"}, "FlowCyt" : {"fullname" : "Flow Cytometry", "shortname":"Flow Cyt"}, "WB" : {"fullname" : "Western blot", "shortname":"WB"} }, "product-promise": { "all": "all", "testedAndGuaranteed": "tested", "guaranteed": "expected", "predicted": "predicted", "notRecommended": "not-recommended" } }, "values": { "Human": { "mIHC-species-checked": "notRecommended", "mIHC-species-dilution-info": "", "mIHC-species-notes": "", "IP-species-checked": "notRecommended", "IP-species-dilution-info": "", "IP-species-notes": "", "IHCP-species-checked": "notRecommended", "IHCP-species-dilution-info": "", "IHCP-species-notes": "<p></p>", "ICCIF-species-checked": "notRecommended", "ICCIF-species-dilution-info": "", "ICCIF-species-notes": "", "FlowCyt-species-checked": "notRecommended", "FlowCyt-species-dilution-info": "", "FlowCyt-species-notes": "", "WB-species-checked": "notRecommended", "WB-species-dilution-info": "", "WB-species-notes": "<p></p>" }, "Mouse": { "mIHC-species-checked": "testedAndGuaranteed", "mIHC-species-dilution-info": "1/2000", "mIHC-species-notes": "<p></p>", "IP-species-checked": "testedAndGuaranteed", "IP-species-dilution-info": "1/30", "IP-species-notes": "<p></p>", "IHCP-species-checked": "testedAndGuaranteed", "IHCP-species-dilution-info": "1/2000", "IHCP-species-notes": "<p></p>", "ICCIF-species-checked": "testedAndGuaranteed", "ICCIF-species-dilution-info": "1/100", "ICCIF-species-notes": "<p></p>", "FlowCyt-species-checked": "testedAndGuaranteed", "FlowCyt-species-dilution-info": "1/500", "FlowCyt-species-notes": "<p></p>", "WB-species-checked": "notRecommended", "WB-species-dilution-info": "", "WB-species-notes": "<p></p>" }, "Rat": { "mIHC-species-checked": "notRecommended", "mIHC-species-dilution-info": "", "mIHC-species-notes": "", "IP-species-checked": "notRecommended", "IP-species-dilution-info": "", "IP-species-notes": "", "IHCP-species-checked": "notRecommended", "IHCP-species-dilution-info": "", "IHCP-species-notes": "<p></p>", "ICCIF-species-checked": "notRecommended", "ICCIF-species-dilution-info": "", "ICCIF-species-notes": "", "FlowCyt-species-checked": "notRecommended", "FlowCyt-species-dilution-info": "", "FlowCyt-species-notes": "", "WB-species-checked": "notRecommended", "WB-species-dilution-info": "", "WB-species-notes": "<p></p>" } } }

Product details

Patented technology
Our RabMAb® technology is a patented hybridoma-based technology for making rabbit monoclonal antibodies. For details on our patents, please refer to RabMAb® patents.

What are the advantages of a recombinant monoclonal antibody?
This product is a recombinant monoclonal antibody, which offers several advantages including:

  • - High batch-to-batch consistency and reproducibility
  • - Improved sensitivity and specificity
  • - Long-term security of supply
  • - Animal-free batch production

For more information, read more on recombinant antibodies.

Properties and storage information

Form
Liquid
Purification technique
Affinity purification Protein A
Storage buffer
pH: 7.2 - 7.4 Preservative: 0.01% Sodium azide Constituents: PBS, 40% Glycerol (glycerin, glycerine), 0.05% BSA
Shipped at conditions
Blue Ice
Appropriate short-term storage duration
1-2 weeks
Appropriate short-term storage conditions
+4°C
Appropriate long-term storage conditions
-20°C
Aliquoting information
Upon delivery aliquot
Storage information
Avoid freeze / thaw cycle

Supplementary information

This supplementary information is collated from multiple sources and compiled automatically.

CD23 also known as Fc epsilon receptor II (FcεRII) or BU38 is a type II integral membrane protein with a molecular mass of approximately 45 kDa. It is expressed mainly on B cells but also appears on various other cell types such as macrophages eosinophils and Langerhans cells. CD23 expression occurs in both soluble and membrane-bound forms. The protein consists of a lectin-like extracellular domain a short transmembrane domain and a cytoplasmic tail.
Biological function summary

CD23 facilitates several immune functions including the regulation of immunoglobulin E (IgE) production and its receptor-mediated endocytosis. It has a role in cell adhesion growth and differentiation. CD23 exists independently localizing primarily to the surface of CD23-positive cells. Furthermore this protein influences the release and activity of various cytokines impacting both innate and adaptive immunity.

Pathways

CD23 plays central roles in IgE-mediated immune responses and allergic reactions. It is importantly involved in the synthesis and regulation of IgE connecting it to the IgE signaling pathway and immune system pathways. CD23 interacts with IgE and its receptors which include the high-affinity receptor FcεRI forming an interface between the antigen and immune effector functions. Additionally CD23 participates in pathways that involve immune response modulation and inflammation prevention.

CD23 is most notably associated with allergic diseases such as asthma and allergic rhinitis due to its role in IgE regulation. It is also linked to chronic lymphocytic leukemia (CLL) in which CD23 serves as a marker for disease progression. In CLL interactions involving CD23 and related proteins such as BCMA and BAFF have been studied to better understand the disorder and its treatment. Anti-CD23 antibodies have been used as both diagnostic tools and therapeutic agents to target CD23-positive cells in these diseases.

Product protocols

For this product, it's our understanding that no specific protocols are required. You can visit:

Target data

Low-affinity receptor for immunoglobulin E (IgE) and CR2/CD21. Has essential roles in the regulation of IgE production and in the differentiation of B cells. On B cells, initiates IgE-dependent antigen uptake and presentation to T cells. On macrophages, upon IgE binding and antigen cross-linking induces intracellular killing of parasites through activation of L-Arginine-nitric oxide pathway.
See full target information Fcer2

Publications (2)

Recent publications for all applications. Explore the full list and refine your search

International journal of biological sciences 21:3827-3851 PubMed40607252

2025

Interferon Regulatory Factor 4 Recruits Immature B Cells to Signal Tertiary Lymphoid Structure Immaturity and Progression of Clear Cell Renal Cell Carcinoma.

Applications

Unspecified application

Species

Unspecified reactive species

Siqi Zhou,Shiqi Ye,Liang Chen,Qintao Ge,Jiahe Lu,Aihetaimujiang Anwaier,Xi Tian,Zhongyuan Wang,Shuxuan Zhu,Kun Chang,Jianfeng Yang,Tian Li,Hailiang Zhang,Dingwei Ye,Jianfeng Xiang,Wenhao Xu

The Journal of clinical investigation 135: PubMed40166933

2025

ACAT1 regulates tertiary lymphoid structures and correlates with immunotherapy response in non-small cell lung cancer.

Applications

Unspecified application

Species

Unspecified reactive species

Mengxia Jiao,Yifan Guo,Hongyu Zhang,Haoyu Wen,Peng Chen,Zhiqiang Wang,Baichao Yu,Kameina Zhuma,Yuchen Zhang,Jingbo Qie,Yun Xing,Pengyuan Zhao,Zihe Pan,Luman Wang,Dan Zhang,Fei Li,Yijiu Ren,Chang Chen,Yiwei Chu,Jie Gu,Ronghua Liu
View all publications

Product promise

We are committed to supporting your work with high-quality reagents, and we're here for you every step of the way. In the unlikely event that one of our products does not perform as expected, you're protected by our Product Promise.
For full details, please see our Terms & Conditions

Please note: All products are 'FOR RESEARCH USE ONLY. NOT FOR USE IN DIAGNOSTIC OR THERAPEUTIC PROCEDURES'.

For licensing inquiries, please contact partnerships@abcam.com