JavaScript is disabled in your browser. Please enable JavaScript to view this website.
AB92495

Anti-CD23 antibody [EPR3617]

Be the first to review this product! Submit a review

|

(9 Publications)

Rabbit Recombinant Monoclonal CD23 antibody. Suitable for IHC-P, Flow Cyt, WB and reacts with Human samples. Cited in 9 publications.

View Alternative Names

CD23, CD23A, CLEC4J, FCE2, IGEBF, FCER2, Low affinity immunoglobulin epsilon Fc receptor, BLAST-2, C-type lectin domain family 4 member J, Fc-epsilon-RII, Immunoglobulin E-binding factor, Lymphocyte IgE receptor

9 Images
Immunohistochemistry (Formalin/PFA-fixed paraffin-embedded sections) - Anti-CD23 antibody [EPR3617] (AB92495)
  • IHC-P

Unknown

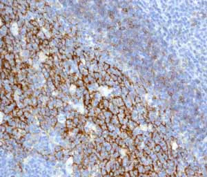
Immunohistochemistry (Formalin/PFA-fixed paraffin-embedded sections) - Anti-CD23 antibody [EPR3617] (AB92495)

ab92495 (unpurified) showing positive staining in Normal tonsil tissue.

Heat mediated antigen retrieval was performed via the pressure cooker method before commencing with IHC staining protocol.

Immunohistochemistry (Formalin/PFA-fixed paraffin-embedded sections) - Anti-CD23 antibody [EPR3617] (AB92495)
  • IHC-P

Unknown

Immunohistochemistry (Formalin/PFA-fixed paraffin-embedded sections) - Anti-CD23 antibody [EPR3617] (AB92495)

ab92495 (unpurified), at a 1/100 dilution, staining CD23 in formalin fixed, paraffin embedded Human tonsil tissue by Immunohistochemistry. Detection : DAB staining.

Heat mediated antigen retrieval was performed via the pressure cooker method before commencing with IHC staining protocol.

Flow Cytometry - Anti-CD23 antibody [EPR3617] (AB92495)
  • Flow Cyt

Unknown

Flow Cytometry - Anti-CD23 antibody [EPR3617] (AB92495)

Flow Cytometry analysis of Human peripheral blood mononuclear (PBMC) cells labeling CD23 with purified ab92495 at 1 : 20 dilution (10 μg/ml) (Red). A Goat anti rabbit IgG (Alexa Fluor® 488, ab150077) secondary antibody was used at 1 : 2000. Isotype control - Rabbit monoclonal IgG (Left).

Cells were stained with rabbit IgG (Left) or ab92495 (Right). Then stained with anti-CD19 conjugated to Alexa Fluor® 647. Gated on viable cells.

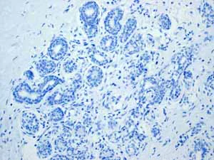
Immunohistochemistry (Formalin/PFA-fixed paraffin-embedded sections) - Anti-CD23 antibody [EPR3617] (AB92495)
  • IHC-P

Unknown

Immunohistochemistry (Formalin/PFA-fixed paraffin-embedded sections) - Anti-CD23 antibody [EPR3617] (AB92495)

ab92495 (unpurified) showing negative staining in Normal breast tissue.

Heat mediated antigen retrieval was performed via the pressure cooker method before commencing with IHC staining protocol.

Immunohistochemistry (Formalin/PFA-fixed paraffin-embedded sections) - Anti-CD23 antibody [EPR3617] (AB92495)
  • IHC-P

Unknown

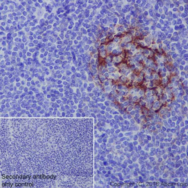
Immunohistochemistry (Formalin/PFA-fixed paraffin-embedded sections) - Anti-CD23 antibody [EPR3617] (AB92495)

Immunohistochemistry (Formalin/PFA-fixed paraffin-embedded sections) analysis of human tonsil tissue sections labeling CD23 with Purified ab92495 at 1/400 dilution (0.5 μg/ml). Heat mediated antigen retrieval was performed using ab93684 (Tris/EDTA buffer, pH 9.0). ImmunoHistoProbe one step HRP Polymer (ready to use) was used as the secondary antibody. Negative control : PBS instead of the primary antibody. Hematoxylin was used as a counterstain.

Western blot - Anti-CD23 antibody [EPR3617] (AB92495)
  • WB

Lab

Western blot - Anti-CD23 antibody [EPR3617] (AB92495)

The bands detected by ab92495 are consistent with what have been described in PMID : 20876574 and PMID : 17389606.

All lanes:

Western blot - Anti-CD23 antibody [EPR3617] (ab92495) at 1/1000 dilution

All lanes:

Human lymph lysates at 15 µg

Secondary

All lanes:

Goat Anti-Rabbit IgG (HRP) with minimal cross-reactivity with human IgG at 1/2000 dilution

Predicted band size: 36 kDa

Observed band size: 37 kDa,45 kDa

false

Immunohistochemistry (Formalin/PFA-fixed paraffin-embedded sections) - Anti-CD23 antibody [EPR3617] (AB92495)
  • IHC-P

Unknown

Immunohistochemistry (Formalin/PFA-fixed paraffin-embedded sections) - Anti-CD23 antibody [EPR3617] (AB92495)

ab92495 (unpurified) showing negative staining in Normal heart tissue.

Heat mediated antigen retrieval was performed via the pressure cooker method before commencing with IHC staining protocol.

Immunohistochemistry (Formalin/PFA-fixed paraffin-embedded sections) - Anti-CD23 antibody [EPR3617] (AB92495)
  • IHC-P

Unknown

Immunohistochemistry (Formalin/PFA-fixed paraffin-embedded sections) - Anti-CD23 antibody [EPR3617] (AB92495)

ab92495 (unpurified) showing negative staining in Normal brain tissue.

Heat mediated antigen retrieval was performed via the pressure cooker method before commencing with IHC staining protocol.

OI-RD Scanning - Anti-CD23 antibody [EPR3617] (AB92495)
  • OI-RD Scanning

Unknown

OI-RD Scanning - Anti-CD23 antibody [EPR3617] (AB92495)

We have systematically measured KD (the equilibrium dissociation constant between the antibody and its antigen), of more than 840 recombinant antibodies to assess not only their individual KD values but also to see the average affinity of antibody. Based on the comparison with published literature values for mouse monoclonal antibodies, Recombinant antibodies appear to be on average 1-2 order of magnitude higher affinity.

  • Carrier free

    Anti-CD23 antibody [EPR3617] - BSA and Azide free

  • 519 Alexa Fluor® 488

    Alexa Fluor® 488 Anti-CD23 antibody [EPR3617]

  • 665 Alexa Fluor® 647

    Alexa Fluor® 647 Anti-CD23 antibody [EPR3617]

  • 578 PE

    PE Anti-CD23 antibody [EPR3617]

  • 660 APC

    APC Anti-CD23 antibody [EPR3617]

  • 617 Alexa Fluor® 594

    Alexa Fluor® 594 Anti-CD23 antibody [EPR3617]

Key facts

Host species

Rabbit

Clonality

Monoclonal

Clone number

EPR3617

Isotype

IgG

Carrier free

No

Reacts with

Human

Applications

IHC-P, WB, Flow Cyt

applications

Immunogen

The exact immunogen used to generate this antibody is proprietary information.

Specificity

Recognizes both membrane bound and soluble forms of CD23.

Reactivity data

{ "title": "Reactivity Data", "filters": { "stats": ["", "Species", "Dilution Info", "Notes"], "tabs": { "all-applications": {"fullname" : "All Applications", "shortname": "All Applications"}, "IHCP" : {"fullname" : "Immunohistochemistry (Formalin/PFA-fixed paraffin-embedded sections)", "shortname":"IHC-P"}, "FlowCyt" : {"fullname" : "Flow Cytometry", "shortname":"Flow Cyt"}, "WB" : {"fullname" : "Western blot", "shortname":"WB"} }, "product-promise": { "all": "all", "testedAndGuaranteed": "tested", "guaranteed": "expected", "predicted": "predicted", "notRecommended": "not-recommended" } }, "values": { "Human": { "IHCP-species-checked": "testedAndGuaranteed", "IHCP-species-dilution-info": "1/400", "IHCP-species-notes": "<p><strong>For unpurified use at 1/00 - 1/250.</strong></p>", "FlowCyt-species-checked": "testedAndGuaranteed", "FlowCyt-species-dilution-info": "1/20", "FlowCyt-species-notes": "<p><a href='/en-us/products/primary-antibodies/rabbit-igg-monoclonal-epr25a-isotype-control-ab172730'>ab172730</a> - Rabbit monoclonal IgG, is suitable for use as an isotype control with this antibody.</p>", "WB-species-checked": "testedAndGuaranteed", "WB-species-dilution-info": "1/500 - 1/1000", "WB-species-notes": "<p></p>" } } }

Product details

Species reactivity
Mouse, Rat: We have preliminary internal testing data to indicate this antibody may not react with these species.
Please contact us for more information.

Patented technology
Our RabMAb® technology is a patented hybridoma-based technology for making rabbit monoclonal antibodies. For details on our patents, please refer to RabMAb® patents.

What are the advantages of a recombinant monoclonal antibody?
This product is a recombinant monoclonal antibody, which offers several advantages including:

  • - High batch-to-batch consistency and reproducibility
  • - Improved sensitivity and specificity
  • - Long-term security of supply
  • - Animal-free batch production

For more information, read more on recombinant antibodies.

Properties and storage information

Form
Liquid
Purification technique
Affinity purification Protein A
Storage buffer
pH: 7.2 - 7.4 Preservative: 0.01% Sodium azide Constituents: PBS, 40% Glycerol (glycerin, glycerine), 0.05% BSA
Shipped at conditions
Blue Ice
Appropriate short-term storage duration
1-2 weeks
Appropriate short-term storage conditions
+4°C
Appropriate long-term storage conditions
-20°C
Aliquoting information
Upon delivery aliquot
Storage information
Avoid freeze / thaw cycle

Supplementary information

This supplementary information is collated from multiple sources and compiled automatically.

CD23 also known as Fc epsilon receptor II (FcεRII) or BU38 is a type II integral membrane protein with a molecular mass of approximately 45 kDa. It is expressed mainly on B cells but also appears on various other cell types such as macrophages eosinophils and Langerhans cells. CD23 expression occurs in both soluble and membrane-bound forms. The protein consists of a lectin-like extracellular domain a short transmembrane domain and a cytoplasmic tail.
Biological function summary

CD23 facilitates several immune functions including the regulation of immunoglobulin E (IgE) production and its receptor-mediated endocytosis. It has a role in cell adhesion growth and differentiation. CD23 exists independently localizing primarily to the surface of CD23-positive cells. Furthermore this protein influences the release and activity of various cytokines impacting both innate and adaptive immunity.

Pathways

CD23 plays central roles in IgE-mediated immune responses and allergic reactions. It is importantly involved in the synthesis and regulation of IgE connecting it to the IgE signaling pathway and immune system pathways. CD23 interacts with IgE and its receptors which include the high-affinity receptor FcεRI forming an interface between the antigen and immune effector functions. Additionally CD23 participates in pathways that involve immune response modulation and inflammation prevention.

CD23 is most notably associated with allergic diseases such as asthma and allergic rhinitis due to its role in IgE regulation. It is also linked to chronic lymphocytic leukemia (CLL) in which CD23 serves as a marker for disease progression. In CLL interactions involving CD23 and related proteins such as BCMA and BAFF have been studied to better understand the disorder and its treatment. Anti-CD23 antibodies have been used as both diagnostic tools and therapeutic agents to target CD23-positive cells in these diseases.

Product protocols

For this product, it's our understanding that no specific protocols are required. You can visit:

Target data

Low-affinity receptor for immunoglobulin E (IgE) and CR2/CD21. Has essential roles in the regulation of IgE production and in the differentiation of B cells. On B cells, initiates IgE-dependent antigen uptake and presentation to T cells (PubMed : 2167225). On macrophages, upon IgE binding and antigen cross-linking induces intracellular killing of parasites through activation of L-Arginine-nitric oxide pathway (PubMed : 7544003).
See full target information FCER2

Publications (9)

Recent publications for all applications. Explore the full list and refine your search

BMC cancer 25:1507 PubMed41044515

2025

Effect of tumor draining lymph nodes in the formation and maturation of tertiary lymphoid structure in patients with lung adenocarcinoma.

Applications

Unspecified application

Species

Unspecified reactive species

Junxu Wen,Wenhua Yun,Xiaoyan Yin,Xiangjiao Meng

Frontiers in immunology 16:1602868 PubMed40519901

2025

Distribution characteristics and prognostic value of TIM-1 in patients with lung adenocarcinoma.

Applications

Unspecified application

Species

Unspecified reactive species

Junxu Wen,Wenhua Yun,Yu Chen,Xiaoyan Yin,Wenxing Cui,Minghao Yu,Xiangjiao Meng

Journal of gastrointestinal oncology 16:386-403 PubMed40386587

2025

Prognostic role of tertiary lymphatic structures and their modulation by adjuvant FOLFOX in stage III colon cancer: a retrospective cohort study.

Applications

Unspecified application

Species

Unspecified reactive species

Chuang Zhang,Shao-Ke Wang,Nan Zun Teo,Matthew Yuan-Kun Wei,Hiroki Hashida,Chen-Feng Yu,Yan-Long Liu,Bin-Bin Cui

The Journal of clinical investigation 135: PubMed40166933

2025

ACAT1 regulates tertiary lymphoid structures and correlates with immunotherapy response in non-small cell lung cancer.

Applications

Unspecified application

Species

Unspecified reactive species

Mengxia Jiao,Yifan Guo,Hongyu Zhang,Haoyu Wen,Peng Chen,Zhiqiang Wang,Baichao Yu,Kameina Zhuma,Yuchen Zhang,Jingbo Qie,Yun Xing,Pengyuan Zhao,Zihe Pan,Luman Wang,Dan Zhang,Fei Li,Yijiu Ren,Chang Chen,Yiwei Chu,Jie Gu,Ronghua Liu

Frontiers in immunology 15:1396808 PubMed39136032

2024

The distribution and maturation of tertiary lymphoid structures can predict clinical outcomes of patients with gastric adenocarcinoma.

Applications

Unspecified application

Species

Unspecified reactive species

Hui Sun,Yuxi Liu,Wanjing Cheng,Rong Xiong,Wenchao Gu,Xiaoyan Zhang,Xin Wang,Xu Wang,Cong Tan,Weiwei Weng,Meng Zhang,Shujuan Ni,Dan Huang,Midie Xu,Weiqi Sheng,Lei Wang

Frontiers in immunology 14:1334408 PubMed38259481

2024

Low-dose radiotherapy promotes the formation of tertiary lymphoid structures in lung adenocarcinoma.

Applications

Unspecified application

Species

Unspecified reactive species

Duo Wang,Liuying Huang,Danqi Qian,Yulin Cao,Xiaohan Wu,Peiwen Xu,Liang Ming,Junhui Tang,Zhaohui Huang,Yuan Yin,Leyuan Zhou

Frontiers in immunology 14:1142862 PubMed37187745

2023

Immune desert in MMR-deficient tumors predicts poor responsiveness of immune checkpoint inhibition.

Applications

Unspecified application

Species

Unspecified reactive species

Guoxing Zheng,Yingsi Lu,Zheng Yang,Hong Chen,Qian Liang,Qingqing Zhu,Yan Li,Xing Xiao,Zhuzhen He,Yifan Zhu,Bo Li,Leilei Huang,Nan Dong,Shuang Hu,Yihang Pan,Changhua Zhang,Chengming Zhu

Frontiers in oncology 10:609839 PubMed33585230

2021

Whole-Exome Sequencing Reveals New Potential Mutations Genes for Primary Mucosa-Associated Lymphoid Tissue Lymphoma Arising From the Kidney.

Applications

Unspecified application

Species

Unspecified reactive species

Shuang Wen,Tianqing Liu,Hongshuo Zhang,Xu Zhou,Huidan Jin,Man Sun,Zhifei Yun,Hong Luo,Ze Ni,Rui Zhao,Bo Fan

Molecular and clinical oncology 8:729-732 PubMed29732155

2018

Misdiagnosis of primary pleural DLBCL as tuberculosis: A case report and literature review.

Applications

Unspecified application

Species

Unspecified reactive species

Xinmei Yang,Xiaofang Xu,Binbin Song,Qiang Zhou,Ying Zheng
View all publications

Product promise

We are committed to supporting your work with high-quality reagents, and we're here for you every step of the way. In the unlikely event that one of our products does not perform as expected, you're protected by our Product Promise.
For full details, please see our Terms & Conditions

Please note: All products are 'FOR RESEARCH USE ONLY. NOT FOR USE IN DIAGNOSTIC OR THERAPEUTIC PROCEDURES'.

For licensing inquiries, please contact partnerships@abcam.com