JavaScript is disabled in your browser. Please enable JavaScript to view this website.
AB257323

Anti-CD23 antibody [FCER2/3592] - BSA and Azide free

Be the first to review this product! Submit a review

|

(0 Publication)

Mouse Monoclonal CD23 antibody. Carrier free. Suitable for IHC-P, Protein Array and reacts with Human, Recombinant full length protein - Human samples. Immunogen corresponding to Recombinant Fragment Protein within Human FCER2 aa 1 to C-terminus.

View Alternative Names

CD23, CD23A, CLEC4J, FCE2, IGEBF, FCER2, Low affinity immunoglobulin epsilon Fc receptor, BLAST-2, C-type lectin domain family 4 member J, Fc-epsilon-RII, Immunoglobulin E-binding factor, Lymphocyte IgE receptor

2 Images
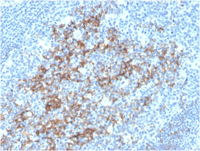
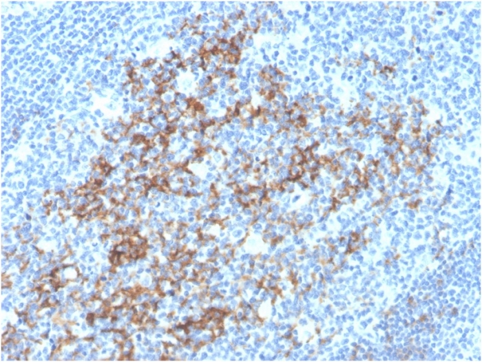
Immunohistochemistry (Formalin/PFA-fixed paraffin-embedded sections) - Anti-CD23 antibody [FCER2/3592] - BSA and Azide free (AB257323)
  • IHC-P

Supplier Data

Immunohistochemistry (Formalin/PFA-fixed paraffin-embedded sections) - Anti-CD23 antibody [FCER2/3592] - BSA and Azide free (AB257323)

Formalin-fixed, paraffin-embedded human tonsil tissue labeling CD23 using ab257306 at 2 μg/ml in immunohistochemical analysis.

Staining of formalin-fixed tissues requires boiling tissue sections in 10mM citrate buffer, pH 6.0, for 10-20 min followed by cooling at RT for 20 minutes.

This data was produced with ab257306, the same antibody in a different formulation with BSA and Azide.

Protein Array - Anti-CD23 antibody [FCER2/3592] - BSA and Azide free (AB257323)
  • Protein Array

Supplier Data

Protein Array - Anti-CD23 antibody [FCER2/3592] - BSA and Azide free (AB257323)

Protein array containing >19,000 full-length human proteins, probed using ab257306.

This data was produced with ab257306, the same antibody in a different formulation with BSA and Azide.

Z- and S- Score : The Z-score represents the strength of a signal that a monoclonal antibody (Monoclonal Antibody) (in combination with a fluorescently-tagged anti-IgG secondary antibody) produces when binding to a particular protein on the HuProtTM array. Z-scores are described in units of standard deviations (SD's) above the mean value of all signals generated on that array. If targets on HuProtTM are arranged in descending order of the Z-score, the S-score is the difference (also in units of SD's) between the Z-score. S-score therefore represents the relative target specificity of a Monoclonal Antibody to its intended target. A Monoclonal Antibody is considered to specific to its intended target, if the Monoclonal Antibody has an S-score of at least 2.5. For example, if a Monoclonal Antibody binds to protein X with a Z-score of 43 and to protein Y with a Z-score of 14, then the S-score for the binding of that Monoclonal Antibody to protein X is equal to 29.

Key facts

Host species

Mouse

Clonality

Monoclonal

Clone number

FCER2/3592

Isotype

IgG2b

Light chain type

kappa

Carrier free

Yes

Reacts with

Human

Applications

IHC-P, Protein Array

applications

Immunogen

Recombinant Fragment Protein within Human FCER2 aa 1 to C-terminus. The exact immunogen used to generate this antibody is proprietary information.

P06734

Reactivity data

{ "title": "Reactivity Data", "filters": { "stats": ["", "Species", "Dilution Info", "Notes"], "tabs": { "all-applications": {"fullname" : "All Applications", "shortname": "All Applications"}, "IHCP" : {"fullname" : "Immunohistochemistry (Formalin/PFA-fixed paraffin-embedded sections)", "shortname":"IHC-P"}, "ProteinArray" : {"fullname" : "Protein Array", "shortname":"Protein Array"} }, "product-promise": { "all": "all", "testedAndGuaranteed": "tested", "guaranteed": "expected", "predicted": "predicted", "notRecommended": "not-recommended" } }, "values": { "Human": { "IHCP-species-checked": "testedAndGuaranteed", "IHCP-species-dilution-info": "1-2 µg/mL", "IHCP-species-notes": "<p>Incubate with primary antibody for 30 minutes at RT.</p> Perform heat-mediated antigen retrieval with citrate buffer pH 6 before commencing with IHC staining protocol.", "ProteinArray-species-checked": "guaranteed", "ProteinArray-species-dilution-info": "", "ProteinArray-species-notes": "" }, "Recombinant full length protein - Human": { "IHCP-species-checked": "notRecommended", "IHCP-species-dilution-info": "", "IHCP-species-notes": "", "ProteinArray-species-checked": "testedAndGuaranteed", "ProteinArray-species-dilution-info": "", "ProteinArray-species-notes": "<p></p>" } } }

Product details

ab257323 is the carrier-free version of ab257306.

Conjugation ready
Our carrier-free antibodies are typically supplied in a PBS-only formulation, purified and free of BSA, sodium azide and glycerol. This conjugation-ready format is designed for use with fluorochromes, metal isotopes, oligonucleotides, and enzymes, which makes them ideal for antibody labelling, functional and cell-based assays, flow-based assays (e.g. mass cytometry) and Multiplex Imaging applications.

Use our conjugation kits for antibody conjugates that are ready-to-use in as little as 20 minutes with 1 minute hands-on-time and 100% antibody recovery: available for fluorescent dyes, HRP, biotin and gold.

Properties and storage information

Form
Liquid
Purification technique
Affinity purification Protein A/G
Storage buffer
pH: 7.2 - 7.4 Constituents: PBS
Shipped at conditions
Blue Ice
Appropriate short-term storage duration
1-2 weeks
Appropriate short-term storage conditions
+4°C
Appropriate long-term storage conditions
-20°C
Aliquoting information
Upon delivery aliquot
Storage information
Avoid freeze / thaw cycle

Supplementary information

This supplementary information is collated from multiple sources and compiled automatically.

CD23 also known as Fc epsilon receptor II (FcεRII) or BU38 is a type II integral membrane protein with a molecular mass of approximately 45 kDa. It is expressed mainly on B cells but also appears on various other cell types such as macrophages eosinophils and Langerhans cells. CD23 expression occurs in both soluble and membrane-bound forms. The protein consists of a lectin-like extracellular domain a short transmembrane domain and a cytoplasmic tail.
Biological function summary

CD23 facilitates several immune functions including the regulation of immunoglobulin E (IgE) production and its receptor-mediated endocytosis. It has a role in cell adhesion growth and differentiation. CD23 exists independently localizing primarily to the surface of CD23-positive cells. Furthermore this protein influences the release and activity of various cytokines impacting both innate and adaptive immunity.

Pathways

CD23 plays central roles in IgE-mediated immune responses and allergic reactions. It is importantly involved in the synthesis and regulation of IgE connecting it to the IgE signaling pathway and immune system pathways. CD23 interacts with IgE and its receptors which include the high-affinity receptor FcεRI forming an interface between the antigen and immune effector functions. Additionally CD23 participates in pathways that involve immune response modulation and inflammation prevention.

CD23 is most notably associated with allergic diseases such as asthma and allergic rhinitis due to its role in IgE regulation. It is also linked to chronic lymphocytic leukemia (CLL) in which CD23 serves as a marker for disease progression. In CLL interactions involving CD23 and related proteins such as BCMA and BAFF have been studied to better understand the disorder and its treatment. Anti-CD23 antibodies have been used as both diagnostic tools and therapeutic agents to target CD23-positive cells in these diseases.

Product protocols

For this product, it's our understanding that no specific protocols are required. You can visit:

Target data

Low-affinity receptor for immunoglobulin E (IgE) and CR2/CD21. Has essential roles in the regulation of IgE production and in the differentiation of B cells. On B cells, initiates IgE-dependent antigen uptake and presentation to T cells (PubMed : 2167225). On macrophages, upon IgE binding and antigen cross-linking induces intracellular killing of parasites through activation of L-Arginine-nitric oxide pathway (PubMed : 7544003).
See full target information FCER2

Product promise

We are committed to supporting your work with high-quality reagents, and we're here for you every step of the way. In the unlikely event that one of our products does not perform as expected, you're protected by our Product Promise.
For full details, please see our Terms & Conditions

Please note: All products are 'FOR RESEARCH USE ONLY. NOT FOR USE IN DIAGNOSTIC OR THERAPEUTIC PROCEDURES'.

For licensing inquiries, please contact partnerships@abcam.com