JavaScript is disabled in your browser. Please enable JavaScript to view this website.
AB244280

Anti-CD239/BCAM antibody

Be the first to review this product! Submit a review

|

(2 Publications)

Rabbit Polyclonal CD239/BCAM antibody. Suitable for IHC-P, ICC/IF and reacts with Human samples. Cited in 2 publications. Immunogen corresponding to Recombinant Fragment Protein within Human BCAM aa 300-450.

View Alternative Names

CD239, LU, MSK19, BCAM, Basal cell adhesion molecule, Auberger B antigen, B-CAM cell surface glycoprotein, F8/G253 antigen, Lutheran antigen, Lutheran blood group glycoprotein

5 Images
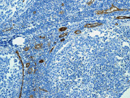
Immunohistochemistry (Formalin/PFA-fixed paraffin-embedded sections) - Anti-CD239/BCAM antibody (AB244280)
  • IHC-P

Supplier Data

Immunohistochemistry (Formalin/PFA-fixed paraffin-embedded sections) - Anti-CD239/BCAM antibody (AB244280)

Immunohistochemical analysis of formalin-fixed, paraffin-embedded human kidney tissue labeling CD239/BCAM with ab244280 at a 1/200 dilution.

Immunocytochemistry/ Immunofluorescence - Anti-CD239/BCAM antibody (AB244280)
  • ICC/IF

Unknown

Immunocytochemistry/ Immunofluorescence - Anti-CD239/BCAM antibody (AB244280)

PFA-fixed, Triton X-100 permeabilized A431 (human epidermoid carcinoma cell line) cells stained for CD239/BCAM (green) using ab244280 at 4 μg/ml in ICC/IF.

Immunohistochemistry (Formalin/PFA-fixed paraffin-embedded sections) - Anti-CD239/BCAM antibody (AB244280)
  • IHC-P

Supplier Data

Immunohistochemistry (Formalin/PFA-fixed paraffin-embedded sections) - Anti-CD239/BCAM antibody (AB244280)

Immunohistochemical analysis of formalin-fixed, paraffin-embedded human liver tissue labeling CD239/BCAM with ab244280 at a 1/200 dilution.

Immunohistochemistry (Formalin/PFA-fixed paraffin-embedded sections) - Anti-CD239/BCAM antibody (AB244280)
  • IHC-P

Supplier Data

Immunohistochemistry (Formalin/PFA-fixed paraffin-embedded sections) - Anti-CD239/BCAM antibody (AB244280)

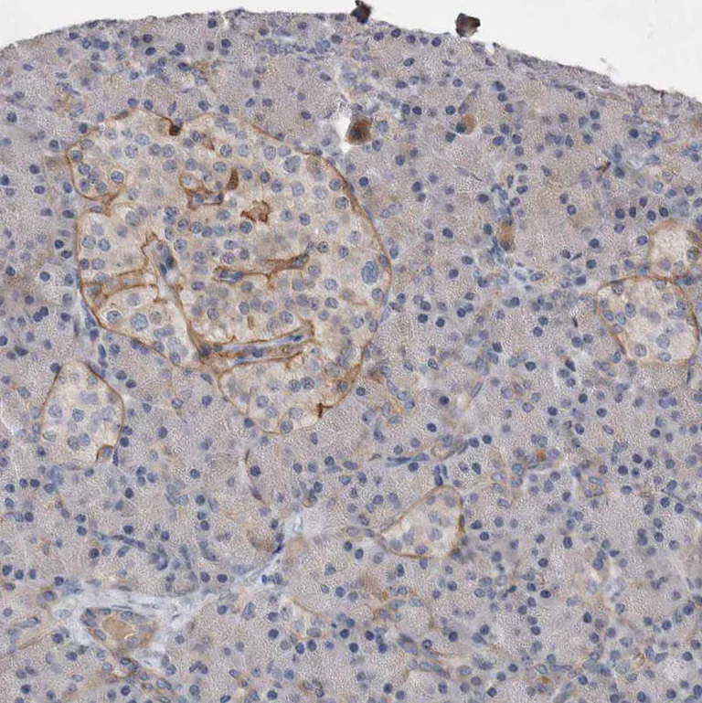
Immunohistochemical analysis of formalin-fixed, paraffin-embedded human pancreas tissue labeling CD239/BCAM with ab244280 at a 1/200 dilution.

Immunohistochemistry (Formalin/PFA-fixed paraffin-embedded sections) - Anti-CD239/BCAM antibody (AB244280)
  • IHC-P

Supplier Data

Immunohistochemistry (Formalin/PFA-fixed paraffin-embedded sections) - Anti-CD239/BCAM antibody (AB244280)

Immunohistochemical analysis of formalin-fixed, paraffin-embedded human Fallopian tube labeling CD239/BCAM with ab244280 at a 1/200 dilution.

Key facts

Host species

Rabbit

Clonality

Polyclonal

Isotype

IgG

Carrier free

No

Reacts with

Human

Applications

IHC-P, ICC/IF

applications

Immunogen

Recombinant Fragment Protein within Human BCAM aa 300-450. The exact immunogen used to generate this antibody is proprietary information.

P50895

Reactivity data

{ "title": "Reactivity Data", "filters": { "stats": ["", "Species", "Dilution Info", "Notes"], "tabs": { "all-applications": {"fullname" : "All Applications", "shortname": "All Applications"}, "IHCP" : {"fullname" : "Immunohistochemistry (Formalin/PFA-fixed paraffin-embedded sections)", "shortname":"IHC-P"}, "ICCIF" : {"fullname" : "Immunocytochemistry/ Immunofluorescence", "shortname":"ICC/IF"} }, "product-promise": { "all": "all", "testedAndGuaranteed": "tested", "guaranteed": "expected", "predicted": "predicted", "notRecommended": "not-recommended" } }, "values": { "Human": { "IHCP-species-checked": "testedAndGuaranteed", "IHCP-species-dilution-info": "1/50 - 1/200", "IHCP-species-notes": "<p></p> Perform heat-mediated antigen retrieval with citrate buffer pH 6 before commencing with IHC staining protocol.", "ICCIF-species-checked": "testedAndGuaranteed", "ICCIF-species-dilution-info": "0.25-2 µg/mL", "ICCIF-species-notes": "<p>Fixation/Permeabilization: PFA/Triton X-100.</p>" } } }

Properties and storage information

Form
Liquid
Purification technique
Affinity purification Immunogen
Storage buffer
pH: 7.2 Preservative: 0.02% Sodium azide Constituents: PBS, 40% Glycerol (glycerin, glycerine)
Shipped at conditions
Blue Ice
Appropriate short-term storage duration
1-2 weeks
Appropriate short-term storage conditions
+4°C
Appropriate long-term storage conditions
-20°C
Aliquoting information
Upon delivery aliquot
Storage information
Avoid freeze / thaw cycle

Supplementary information

This supplementary information is collated from multiple sources and compiled automatically.

CD239 also known as basal cell adhesion molecule (BCAM) is an integral protein with a mass of about 60 kDa. This protein is primarily expressed in endothelial cells red blood cells and various epithelial tissues. BCAM plays a significant role in cell adhesion acting as a receptor for the extracellular matrix component laminin specifically laminin-511/521. It helps cells attach an essential role for maintaining tissue integrity and cellular communication.
Biological function summary

BCAM influences processes related to cell adhesion and motility. Although not explicitly part of a large complex it interacts closely with the cytoskeleton and mediators of signal transduction. Functions of BCAM involve linking extracellular matrix signals to the intracellular environment impacting cell movement and stabilization within tissues. It also modulates cellular responses to external mechanical stresses playing essential roles in maintaining normal cell function.

Pathways

BCAM is involved in several critical signaling processes including integrin-mediated adhesion and the MAPK/ERK pathway. How BCAM affects these pathways is through its interaction with integrins and elements related to cellular migration and proliferation. Within these pathways related proteins like laminins and other integrin subunits contribute to its adhesion properties and signaling functions enabling coordinated cellular responses to environmental cues.

BCAM is notably associated with sickle cell disease and certain cancers. In sickle cell disease the altered expression or function of BCAM on red blood cells causes abnormal adhesion to the endothelium leading to vaso-occlusion. This adhesion is often exacerbated by interactions with other proteins like L-selectin. In cancer BCAM overexpression correlates with increased tumor cell migration and invasion influencing metastasis and patient prognosis. These associations highlight BCAM's critical role in disease pathology and potential as a therapeutic target.

Product protocols

For this product, it's our understanding that no specific protocols are required. You can visit:

Target data

Transmembrane glycoprotein that functions as both a receptor and an adhesion molecule playing a crucial role in cell adhesion, motility, migration and invasion (PubMed : 9616226, PubMed : 31413112). Extracellular domain enables binding to extracellular matrix proteins, such as laminin, integrin and other ligands while its intracellular domain interacts with cytoskeletal proteins like hemoglobin, facilitating cell signal transduction (PubMed : 17158232). Serves as a receptor for laminin alpha-5/LAMA5 to promote cell adhesion (PubMed : 15975931). Mechanistically, JAK2 induces BCAM phosphorylation and activates its adhesion to laminin by stimulating a Rap1/AKT signaling pathway in the absence of EPOR (PubMed : 23160466).
See full target information BCAM

Publications (2)

Recent publications for all applications. Explore the full list and refine your search

Cell reports 43:114309 PubMed38848215

2024

Lineage specification in glioblastoma is regulated by METTL7B.

Applications

Unspecified application

Species

Unspecified reactive species

Myrianni Constantinou,James Nicholson,Xinyu Zhang,Eleni Maniati,Sara Lucchini,Gabriel Rosser,Claire Vinel,Jun Wang,Yau Mun Lim,Sebastian Brandner,Sven Nelander,Sara Badodi,Silvia Marino

Development (Cambridge, England) 149: PubMed35020896

2022

Cell trajectory modeling identifies a primitive trophoblast state defined by BCAM enrichment.

Applications

Unspecified application

Species

Unspecified reactive species

Matthew J Shannon,Jennet Baltayeva,Barbara Castellana,Jasmin Wächter,Gina L McNeill,Ji Soo Yoon,Jenna Treissman,Hoa T Le,Pascal M Lavoie,Alexander G Beristain
View all publications

Product promise

We are committed to supporting your work with high-quality reagents, and we're here for you every step of the way. In the unlikely event that one of our products does not perform as expected, you're protected by our Product Promise.
For full details, please see our Terms & Conditions

Please note: All products are 'FOR RESEARCH USE ONLY. NOT FOR USE IN DIAGNOSTIC OR THERAPEUTIC PROCEDURES'.

For licensing inquiries, please contact partnerships@abcam.com