JavaScript is disabled in your browser. Please enable JavaScript to view this website.
AB111181

Anti-CD239/BCAM antibody [EPR4164]

0

(1 Review)

|

(2 Publications)

Rabbit Recombinant Monoclonal CD239/BCAM antibody. Suitable for IHC-P and reacts with Human samples. Cited in 2 publications.

View Alternative Names

CD239, LU, MSK19, BCAM, Basal cell adhesion molecule, Auberger B antigen, B-CAM cell surface glycoprotein, F8/G253 antigen, Lutheran antigen, Lutheran blood group glycoprotein

9 Images
Immunohistochemistry (Formalin/PFA-fixed paraffin-embedded sections) - Anti-CD239/BCAM antibody [EPR4164] (AB111181)
  • IHC-P

Unknown

Immunohistochemistry (Formalin/PFA-fixed paraffin-embedded sections) - Anti-CD239/BCAM antibody [EPR4164] (AB111181)

ab111181 showing positive staining in Thyroid gland carcinoma tissue.

Perform heat mediated antigen retrieval via the pressure cooker method before commencing with IHC staining protocol.

Immunohistochemistry (Formalin/PFA-fixed paraffin-embedded sections) - Anti-CD239/BCAM antibody [EPR4164] (AB111181)
  • IHC-P

Unknown

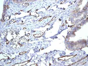
Immunohistochemistry (Formalin/PFA-fixed paraffin-embedded sections) - Anti-CD239/BCAM antibody [EPR4164] (AB111181)

ab111181 showing positive staining in Normal ovary tissue.

Perform heat mediated antigen retrieval via the pressure cooker method before commencing with IHC staining protocol.

Immunohistochemistry (Formalin/PFA-fixed paraffin-embedded sections) - Anti-CD239/BCAM antibody [EPR4164] (AB111181)
  • IHC-P

Unknown

Immunohistochemistry (Formalin/PFA-fixed paraffin-embedded sections) - Anti-CD239/BCAM antibody [EPR4164] (AB111181)

ab111181 showing positive staining in Normal liver tissue.

Perform heat mediated antigen retrieval via the pressure cooker method before commencing with IHC staining protocol.

Immunohistochemistry (Formalin/PFA-fixed paraffin-embedded sections) - Anti-CD239/BCAM antibody [EPR4164] (AB111181)
  • IHC-P

Unknown

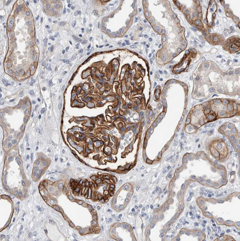
Immunohistochemistry (Formalin/PFA-fixed paraffin-embedded sections) - Anti-CD239/BCAM antibody [EPR4164] (AB111181)

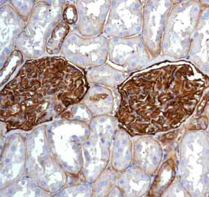
ab111181 showing positive staining in Normal kidney tissue.

Perform heat mediated antigen retrieval via the pressure cooker method before commencing with IHC staining protocol.

Immunohistochemistry (Formalin/PFA-fixed paraffin-embedded sections) - Anti-CD239/BCAM antibody [EPR4164] (AB111181)
  • IHC-P

Unknown

Immunohistochemistry (Formalin/PFA-fixed paraffin-embedded sections) - Anti-CD239/BCAM antibody [EPR4164] (AB111181)

ab111181 showing positive staining in Normal stomach tissue.

Perform heat mediated antigen retrieval via the pressure cooker method before commencing with IHC staining protocol.

Immunohistochemistry (Formalin/PFA-fixed paraffin-embedded sections) - Anti-CD239/BCAM antibody [EPR4164] (AB111181)
  • IHC-P

Unknown

Immunohistochemistry (Formalin/PFA-fixed paraffin-embedded sections) - Anti-CD239/BCAM antibody [EPR4164] (AB111181)

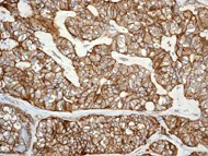
ab111181 showing positive staining in Hepatocellular carcinoma tissue.

Perform heat mediated antigen retrieval via the pressure cooker method before commencing with IHC staining protocol.

Immunohistochemistry (Formalin/PFA-fixed paraffin-embedded sections) - Anti-CD239/BCAM antibody [EPR4164] (AB111181)
  • IHC-P

Unknown

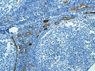
Immunohistochemistry (Formalin/PFA-fixed paraffin-embedded sections) - Anti-CD239/BCAM antibody [EPR4164] (AB111181)

ab111181 at 1/100 dilution staining CD239/BCAM in Paraffin-embedded Human tonsil tissue by Immunohistochemistry.

Perform heat mediated antigen retrieval via the pressure cooker method before commencing with IHC staining protocol.

Immunohistochemistry (Formalin/PFA-fixed paraffin-embedded sections) - Anti-CD239/BCAM antibody [EPR4164] (AB111181)
  • IHC-P

Unknown

Immunohistochemistry (Formalin/PFA-fixed paraffin-embedded sections) - Anti-CD239/BCAM antibody [EPR4164] (AB111181)

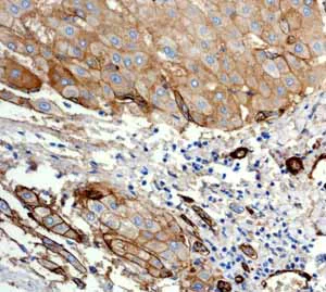
ab111181 at 1/100 dilution staining CD239/BCAM in Paraffin-embedded Human breast carcinoma tissue by Immunohistochemistry.

Perform heat mediated antigen retrieval via the pressure cooker method before commencing with IHC staining protocol.

Immunohistochemistry (Formalin/PFA-fixed paraffin-embedded sections) - Anti-CD239/BCAM antibody [EPR4164] (AB111181)
  • IHC-P

Unknown

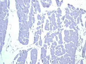
Immunohistochemistry (Formalin/PFA-fixed paraffin-embedded sections) - Anti-CD239/BCAM antibody [EPR4164] (AB111181)

ab111181 showing negative staining in Normal heart tissue.

Perform heat mediated antigen retrieval via the pressure cooker method before commencing with IHC staining protocol.

  • Carrier free

    Anti-CD239/BCAM antibody [EPR4164] - BSA and Azide free

Key facts

Host species

Rabbit

Clonality

Monoclonal

Clone number

EPR4164

Isotype

IgG

Carrier free

No

Reacts with

Human

Applications

IHC-P

applications

Immunogen

The exact immunogen used to generate this antibody is proprietary information.

Reactivity data

{ "title": "Reactivity Data", "filters": { "stats": ["", "Species", "Dilution Info", "Notes"], "tabs": { "all-applications": {"fullname" : "All Applications", "shortname": "All Applications"}, "IHCP" : {"fullname" : "Immunohistochemistry (Formalin/PFA-fixed paraffin-embedded sections)", "shortname":"IHC-P"}, "IP" : {"fullname" : "Immunoprecipitation", "shortname":"IP"}, "FlowCyt" : {"fullname" : "Flow Cytometry", "shortname":"Flow Cyt"}, "WB" : {"fullname" : "Western blot", "shortname":"WB"} }, "product-promise": { "all": "all", "testedAndGuaranteed": "tested", "guaranteed": "expected", "predicted": "predicted", "notRecommended": "not-recommended" } }, "values": { "Human": { "IHCP-species-checked": "testedAndGuaranteed", "IHCP-species-dilution-info": "1/100 - 1/250", "IHCP-species-notes": "<p></p>", "IP-species-checked": "notRecommended", "IP-species-dilution-info": "", "IP-species-notes": "<p></p>", "FlowCyt-species-checked": "notRecommended", "FlowCyt-species-dilution-info": "", "FlowCyt-species-notes": "<p></p>", "WB-species-checked": "notRecommended", "WB-species-dilution-info": "", "WB-species-notes": "<p></p>" } } }

Product details

Patented technology
Our RabMAb® technology is a patented hybridoma-based technology for making rabbit monoclonal antibodies. For details on our patents, please refer to RabMAb® patents.

What are the advantages of a recombinant monoclonal antibody?
This product is a recombinant monoclonal antibody, which offers several advantages including:

  • - High batch-to-batch consistency and reproducibility
  • - Improved sensitivity and specificity
  • - Long-term security of supply
  • - Animal-free batch production

For more information, read more on recombinant antibodies.

Properties and storage information

Form
Liquid
Purification technique
Affinity purification Protein A
Storage buffer
pH: 7.2 - 7.4 Preservative: 0.05% Sodium azide Constituents: 50% Tissue culture supernatant, 40% Glycerol (glycerin, glycerine), 9.85% Tris glycine, 0.1% BSA
Shipped at conditions
Blue Ice
Appropriate short-term storage conditions
+4°C
Appropriate long-term storage conditions
-20°C
Storage information
Stable for 12 months at -20°C

Supplementary information

This supplementary information is collated from multiple sources and compiled automatically.

CD239 also known as basal cell adhesion molecule (BCAM) is an integral protein with a mass of about 60 kDa. This protein is primarily expressed in endothelial cells red blood cells and various epithelial tissues. BCAM plays a significant role in cell adhesion acting as a receptor for the extracellular matrix component laminin specifically laminin-511/521. It helps cells attach an essential role for maintaining tissue integrity and cellular communication.
Biological function summary

BCAM influences processes related to cell adhesion and motility. Although not explicitly part of a large complex it interacts closely with the cytoskeleton and mediators of signal transduction. Functions of BCAM involve linking extracellular matrix signals to the intracellular environment impacting cell movement and stabilization within tissues. It also modulates cellular responses to external mechanical stresses playing essential roles in maintaining normal cell function.

Pathways

BCAM is involved in several critical signaling processes including integrin-mediated adhesion and the MAPK/ERK pathway. How BCAM affects these pathways is through its interaction with integrins and elements related to cellular migration and proliferation. Within these pathways related proteins like laminins and other integrin subunits contribute to its adhesion properties and signaling functions enabling coordinated cellular responses to environmental cues.

BCAM is notably associated with sickle cell disease and certain cancers. In sickle cell disease the altered expression or function of BCAM on red blood cells causes abnormal adhesion to the endothelium leading to vaso-occlusion. This adhesion is often exacerbated by interactions with other proteins like L-selectin. In cancer BCAM overexpression correlates with increased tumor cell migration and invasion influencing metastasis and patient prognosis. These associations highlight BCAM's critical role in disease pathology and potential as a therapeutic target.

Product protocols

For this product, it's our understanding that no specific protocols are required. You can visit:

Target data

Transmembrane glycoprotein that functions as both a receptor and an adhesion molecule playing a crucial role in cell adhesion, motility, migration and invasion (PubMed : 9616226, PubMed : 31413112). Extracellular domain enables binding to extracellular matrix proteins, such as laminin, integrin and other ligands while its intracellular domain interacts with cytoskeletal proteins like hemoglobin, facilitating cell signal transduction (PubMed : 17158232). Serves as a receptor for laminin alpha-5/LAMA5 to promote cell adhesion (PubMed : 15975931). Mechanistically, JAK2 induces BCAM phosphorylation and activates its adhesion to laminin by stimulating a Rap1/AKT signaling pathway in the absence of EPOR (PubMed : 23160466).
See full target information BCAM

Publications (2)

Recent publications for all applications. Explore the full list and refine your search

Discover oncology 15:381 PubMed39207605

2024

BCAM (basal cell adhesion molecule) protein expression in different tumor populations.

Applications

Unspecified application

Species

Unspecified reactive species

Sneha Burela,Mengni He,Ioannis P Trontzas,Niki Gavrielatou,Kurt A Schalper,Solomon Langermann,Dallas B Flies,David L Rimm,Thazin N Aung

Stem cell research & therapy 9:61 PubMed29523190

2018

Differentiation of human induced pluripotent stem cells into nucleus pulposus-like cells.

Applications

Unspecified application

Species

Unspecified reactive species

Ruhang Tang,Liufang Jing,Vincent P Willard,Chia-Lung Wu,Farshid Guilak,Jun Chen,Lori A Setton
View all publications

Product promise

We are committed to supporting your work with high-quality reagents, and we're here for you every step of the way. In the unlikely event that one of our products does not perform as expected, you're protected by our Product Promise.
For full details, please see our Terms & Conditions

Please note: All products are 'FOR RESEARCH USE ONLY. NOT FOR USE IN DIAGNOSTIC OR THERAPEUTIC PROCEDURES'.

For licensing inquiries, please contact partnerships@abcam.com